急性一氧化碳中毒(acute carbon monoxide, CO)是全球致死率极高的“隐形杀手”之一[1],CO中毒导致的脑损伤一般认为是脑缺氧引起,CO进入血液后,CO分子强力结合血红蛋白、细胞色素氧化酶、血红素蛋白,可直接导致组织缺氧,氧化应激以及神经元凋亡[2],约有10%~30%患者在经历一定的“假愈期”后可出现CO中毒迟发性脑病(delayed neuropsychological sequelae,DNS)[3]。DNS的发病率较高,国内为10%~30%,国外为3%~40%[4]。
CysLT1R弱表达于脑组织,但在脑外伤、脑肿瘤、脑缺氧等病理过程后其表达可增加,期结果已证实急性CO中毒后CysLT1R的表达增高,证实了CysLT1R参与了DNS的发病过程,孟鲁司特为CysLT1R的特效拮抗剂,对大鼠缺血缺氧后损伤有保护作用,并且能减少神经细胞凋亡,减轻炎症损伤[5-7],本研究通过应用孟鲁司特对CO中毒大鼠的行为学、病理组织学、神经细胞凋亡等方面的影响,来研究其对CO中毒DNS的作用、发挥作用的机制,为临床治疗提供新思路。
1 材料与方法 1.1 实验动物健康清洁级雄性SD大鼠90只,鼠龄6~8周,体质量(200±20) g,由徐州医学院实验动物中心提供。
1.2 实验试剂99.9% CO气体(济宁协力气体厂),孟鲁司特(杭州默沙东制药有限公司),TUNEL试剂盒(德国ROCHE公司),多聚甲醛(北京化工厂)。
1.3 仪器设备Morris水迷宫及分析软件(Stoeling公司),显微镜(德国Leica公司),石蜡切片机(德国Leica公司)。
1.4 方法 1.4.1 急性CO中毒大鼠模型制备参照文献[8]大鼠经Morris水迷宫训练7 d,每日依次从4个不同象限面向池壁放入水中,记录大鼠巡游轨迹及逃避潜伏期。7 d后,巡游轨迹为直线式或趋向式,逃避潜伏期小于1 min为合格大鼠,大于1 min者淘汰。参考文献[9]制备急性CO中毒大鼠模型。将CO气体按照120 mL/kg快速注入大鼠腹腔,后每间隔4 h以首剂的2/3腹腔注射1次,共追加注射3次。对照组大鼠注射等量空气。
1.4.2 实验分组CO末次染毒结束后2 h迅速将存活大鼠随机(随机数字法)分为:CO中毒组(Mod组),孟鲁司特低剂量组(ML组)(0.25 mg/kg)、孟鲁司特中剂量组(MM组)(0.5 mg/kg)、孟鲁司特高剂量组(MH组)(1.0 mg/kg),每组10只。孟鲁司特溶于0.9%生理盐水经灌胃给药(3 mL/kg),Con组和Mod组予等量0.9%生理盐水,分别于染毒后30 min、4 h、12 h各给药一次,后每12 h给药一次,连续给药7d。
1.4.3 碳氧血红蛋白(carboxy-hemoglobin, COHb)浓度测定采用改良的双波长COHb定量法测定,取大鼠尾静脉血0.1 mL加0.4 mol/L氢氧化铵20 mL混匀,10 min内于535 nm及578 nm波长下测定吸光度,COHb(%)=(2 144× A 535/ A 578-2 168)×100%。分别于染毒后第0.5 h、4.5 h、8.5 h以及12.5 h进行COHb测定,连续监测12 h内各组COHb浓度变化。
1.5 DNS大鼠的判定CO染毒后第21d行水迷宫试验,通过逃避潜伏期及穿台次数筛选DNS大鼠,若大鼠穿台次数低于3次,逃避潜伏期较染毒前明显延长,提示存在智力障碍,判定大鼠发生DNS [9]。
1.6 标本采集及处理染毒后第21 d,以10%水合氯醛按4mL/kg腹腔注射麻醉,经左心室升主动脉插管灌注,先快速灌注生理盐水,后用4%多聚甲醛灌注,肝脏变硬,四肢僵硬灌注结束,后断头取脑以4%多聚甲醛固定48h后行石蜡包埋,组织切片,行HE染色及TUNEL染色。
1.7 观察指标HE染色观察皮质、海马CA1区神经细胞病理变化,TUNEL法检测海马CA1区及大脑皮层细胞凋亡情况。TUNEL染色的阳性细胞(凋亡细胞)表现为细胞核呈棕黄色或棕褐色。
1.8 统计学方法用SPSS13.0软件进行统计分析,数据以均数±标准差(x±s)表示,多组均数比较采用单因素方差分析,方差齐采用LSD-t法,方差不齐采用Dunnett’s T3法,DNS发生率比较采用χ2检验,以P < 0.05为差异有统计学意义。
2 结果 2.1 造模后大鼠行为表现染毒后约5~10 min大鼠出现呼吸急促,呼吸幅度增大,烦躁、多动、乱窜,肢端及尾部皮肤呈樱桃红色。染毒15 min左右逐渐出现四肢抽搐,部分大鼠发生角弓反张,另有部分大鼠出现四肢肌力下降,运动不能,瞳孔对光发射消失,甚至昏迷、死亡。对死亡大鼠解剖发现其脑组织充血水肿,心、肝脏及肠等胸腹腔脏器充血明显,特别是肝脏充血甚为明显,符合急性CO中毒表现。本实验水迷宫淘汰8只大鼠,剩余72只染毒,其中有32只大鼠死亡,病死率达44%。
2.2 大鼠静脉COHb浓度检测结果染毒前各组大鼠血碳氧血红蛋白浓度始终低于5%,染毒后0.5h后血碳氧血红蛋白浓度明显升高,达60%以上,连续监测12h,碳氧血红蛋白浓度始终>50%,符合中重度中毒标准,有利于迟发性脑病模型建立的成功,见表 1。
| 组别 | 染毒前 | 0.5 h | 4.5 h | 8.5 h | 12.5 h |
| Con组 | 1.2±0.4 | 1.2±0.3 | 1.2±0.4 | 1.2±0.4 | 1.2±0.3 |
| Mod组 | 1.2±0.5 | 60.8±5.4 | 57.6±3.5 | 55.3±3.1 | 53.7±3.7 |
| ML组 | 1.2±0.4 | 60.4±3.3 | 57.4±4.1 | 55.8±3.0 | 54.5±2.7 |
| MM组 | 1.2±0.6 | 60.1±2.6 | 58.8±4.2 | 55.9±2.7 | 54.2±3.3 |
| MH组 | 1.2±0.4 | 61.0±2.4 | 57.5±3.8 | 56.3±3.8 | 54.7±3.8 |
染毒前各组的逃避潜伏期差异无统计学意义(P﹥0.05),染毒后,与Con组相比,Mod组、ML组、MH组大鼠逃避潜伏期显著延长(P < 0.05),MM组大鼠Morris水迷宫逃避潜伏期有所延长,但差异无统计学意义(P﹥0.05);与Mod组相比,孟鲁司特干预组大鼠逃避潜伏期均缩短,但仅MM组的差异有统计学意义(P < 0.05)。见表 2。
| 组别 | 逃避潜伏期(s) | DNS例数(%) | 染毒21 d后 |
| 染毒前 | |||
| Con组 | 11.4±4.0 | 12.1±3.0 | 0(0) |
| Mod组 | 11.9±2.3 | 43.3±15.5 ab | 8(80) b |
| ML组 | 11.5±2.8 | 31.5±13.2 ab | 5(50) b |
| MM组 | 11.8±3.0 | 15.0±6.6 c | 1(10) c |
| MH组 | 11.0±3.8 | 30.1±12.2 ab | 4(40) b |
| 注:与染毒前成绩比较aP < 0.05;染毒后与Con组比较;bP < 0.05;与Mod组比较cP < 0.05 | |||
Con组大鼠未发生DNS,CO染毒各组均有大鼠发生DNS,CO染毒各组较COn组DNS发生率升高(P < 0.05);MM组大鼠DNS发生率低于Mod组(P < 0.05),见表 2。
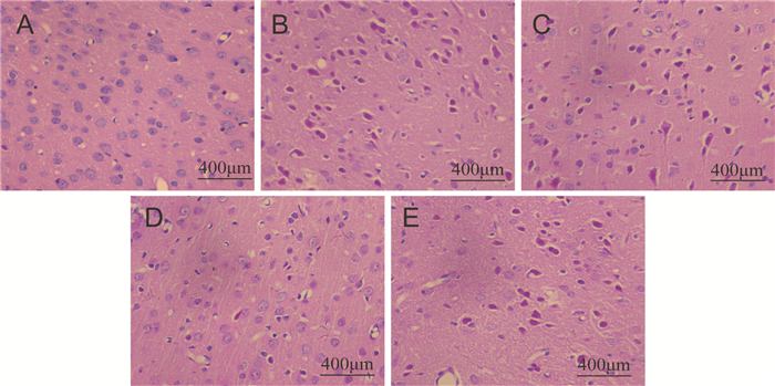
2.5 HE染色结果 2.5.1 皮层病理学变化Con组神经细胞形态基本正常,核仁明显,胞核呈淡蓝色,Mod组可见神经细胞形态改变,呈三角形或圆形,空泡变性,细胞核碎裂,甚至消失,孟鲁司特各干预组大鼠神经细胞变性坏死较Mod组减轻,以MM组减轻最明显图 1。
|
| A:Con组;B:Mod组;C:ML组;D:MM组;E:MH组 图 1 皮层HE染色形态学特征(×400) Figure 1 The pathologic change in cerebral cortex by HE(×400) |
|
|
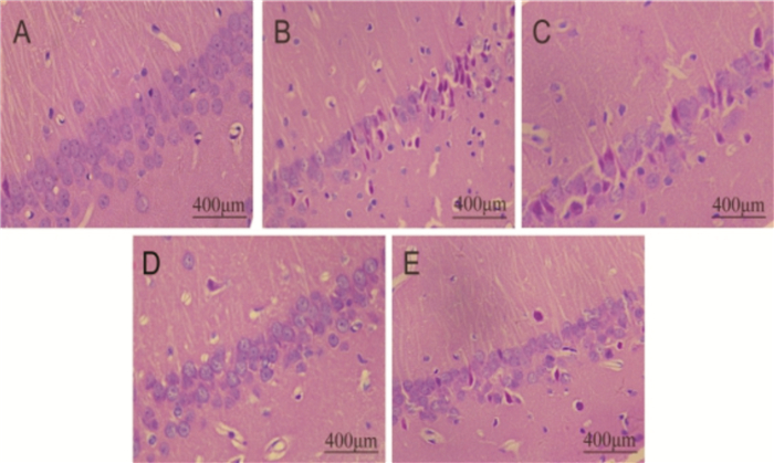
Con组海马CA1区可见锥体细胞排列紧密,约3~4层,细胞形态基本正常。Mod组可见锥体细胞排列紊乱,可见较多坏死神经元,呈三角形。孟鲁司特干预组锥体细胞排列较Mod组紧密,变性坏死神经元减少, 以MM组减少最明显图 2。
|
| A:Con组;B:Mod组;C:ML组;D:MM组;E:MH组 图 2 海马CA1区HE染色形态学特征(×400) Figure 2 The pathologic change in hippocampus CA1 by HE(×400) |
|
|
与Con组相比,Mod组、ML组、MM组和MH组大鼠皮层TUNEL阳性细胞明显增多,差异有统计学意义(P < 0.05);与Mod组相比,孟鲁司特干预组大鼠皮质TUNEL阳性细胞减少,差异有统计学意义(P < 0.05)。与ML、MH组相比,MM组TUNEL阳性细胞数减少,差异有统计学意义(P < 0.05)。见图 3,表 3。
|
| A:Con组;B:Mod组;C:ML组;D:MM组;E:MH组 图 3 大鼠皮层TUNEL染色(×400) Figure 3 Apoptosis of cerebral cortex by TUNEL(×400) |
|
|
| 组别 | 皮质 | 海马CAI区 |
| Con组 | 6.2±2.4 | 3.6±2.0 |
| Mod组 | 42.8±6.6 a | 27.2±4.3 a |
| ML组 | 32.8±6.8 ab | 20.8±3.9 ab |
| MM组 | 25.6±5.2 abc | 15.7±3.5 abc |
| MH组 | 31.9±7.5 ab | 19.4±4.5 ab |
| 注:与Con组比较,aP < 0.05;与Mod组比较,bP < 0.05;与ML组比较,cP < 0.05 | ||
与Con组相比,Mod组、ML组、MM组和MH组大鼠海马CA1区TUNEL阳性细胞明显增多,差异有统计学意义(P < 0.05);与Mod组相比,孟鲁司特干预组大鼠皮质TUNEL阳性细胞减少,差异有统计学意义(P < 0.05),与ML、MH组相比,MM组TUNEL阳性细胞数减少,差异有统计学意义(P < 0.05)。见图 4,表 3。
|
| A:Con组;B:Mod组;C:ML组;D:MM组;E:MH组 图 4 海马CA1区TUNEL染色(×400) Figure 4 Apoptosis of hippocampus CA1 by TUNEL(×400) |
|
|
DNS主要是指急性CO中毒症状减轻后,经历2~60 d的“假愈期”后出现的以痴呆、锥体系和锥体外系症状以及精神症状为主的一系列神经精神异常,主要表现为记忆丧失,大小便失禁,共济失调,定向障碍,震颤麻痹,幻觉,以及其他运动障碍[10-11]。成功建立CO中毒模型是本实验的关键。本实验通过腹腔注射法制备CO中毒模型,连续间隔腹腔注射CO,较传统的吸入法具有操作简便,可行性好,安全性高等特点,连续监测12 h COHb浓度,结果可见12 h内COHb始终维持在50%以上,达重度中毒标准,符合临床过程,因此认定模型成功。
Morris水迷宫是一种研究空间学习记忆能力的标准模式,可评估大鼠学习与记忆能力,能客观的反映大鼠中毒后的认知功能改变。本实验发现,CO染毒后平均逃避潜伏期明显延长,DNS发生率增加,应用孟鲁司特后,大鼠平均逃避潜伏期均有缩短且DNS发生率降低,说明孟鲁司特可改善CO中毒大鼠认知功能,减少DNS的发生。病理学结果可见染毒各组皮层及海马CA1区病理损伤广泛,孟鲁司特干预各组皮层及海马CA1区病理损伤减轻,说明孟鲁司特可减轻神经细胞损伤。神经细胞凋亡在DNS发病过程中起重要作用,CO可作为信使分子激活可溶性鸟苷酸环化酶(sGC),催化三磷酸鸟苷(GTP)生成环鸟苷酸(cGMP),cGMP是细胞信号转导重要的第二信使,可激活cGMP依赖性蛋白激酶(PKG)调节离子通道Ca2+通道的变化,促进神经细胞凋亡,此外,CO中毒后兴奋性氨基酸谷氨酸释放增加,促使促凋亡基因Bax表达增加导致细胞凋亡[12-13]。本实验结果发现染毒各组大鼠大脑皮层及海马CA1区神经细胞凋亡数较Con组明显增多,进一步说明了细胞凋亡参与了DNS的发病过程,可能是DNS的发病机制之一。
孟鲁司特是CysLT1R的特效拮抗剂,它能竞争性拮抗LTD4与CysLT1R的结合,作为非甾体类抗喘药临床疗效确切[14],近年来孟鲁司特的脑保护方面的作用引起重视。全脑缺血损伤是继发于颅脑损伤、休克、缺氧等病理过程引起的炎症损伤性病变[15],缺血缺氧是造成DNS的始动因素,DNS的发病机制之一类似于全脑缺血缺氧损伤过程,近期研究表明孟鲁司特可减轻全脑缺血后的炎症反应及神经元损伤[15],减少神经细胞凋亡[5]。在大鼠局灶性脑缺血损伤模型中,CysLT1R在急性期(24 h内)主要表达在缺血损伤的中心区,而后期(7 d~14 d)则表达在增殖的星形胶质细胞,说明CysLT1R参与调节急性神经元损伤和后期胶质瘢痕形成[16]。而胶质疤痕的形成可阻碍神经纤维向缺血区的生长,影响脑缺血后的神经功能恢复[17-18]。
较多研究已证实CysLT1R拮抗剂的受体非依赖作用,其中一种可能是拮抗其他CysLT1R亚型,例如,孟鲁司特减轻局灶性脑缺血损伤的作用,可能与抑制尿嘧啶核苷酸/CysLT双重调节受体GPRl7的效应有关[19],还可协同调节其他受体的效应,如肥大细胞的P2Y6受体[20]以及单核细胞的P2Y受体[21]。因此我们推测孟鲁司特可能是通过其本身的抗氧化应激,减少炎症浸润以及细胞凋亡而发挥对大鼠DNS的保护作用,而是否依赖其受体,还需进一步研究。
孟鲁司特对小鼠急性局灶性脑缺血呈浓度依赖性保护作用[22],其有效剂量为0.1mg/kg,治疗时间窗为30min[22]。本实验为得到孟鲁司特发挥保护作用的最佳剂量,根据相关文献[15]将药物分为3个不同剂量,通过比较各组神经细胞凋亡来判断其发挥作用的最佳剂量。本实验结果发现用药各组大鼠神经细胞凋亡较Mod组减少,MM组大鼠神经细胞凋亡较Mod组减少最明显,MH组大鼠神经细胞凋亡介于ML组与MM组之间,说明孟鲁司特对DNS的保护作用具有剂量依赖性,且根据目前实验结果可见0.5 mg/kg对DNS的保护作用最强。
综上所述,本研究表明孟鲁司特可以减轻CO中毒后神经细胞损伤,改善认知功能下降,降低DNS发生率,其发挥作用的可能机制是通过其自身的抑制炎症反应、减轻炎症损伤,减少细胞凋亡,是否通过拮抗CysLT1R还需进一步研究。
| [1] | Hampson NB, Piantadosi CA, Thom SR, et al. Practice recommendations in the diagnosis, management, and prevention of carbon monoxide poisoning[J]. Am J Respir Crit Care Med, 2012, 186(11): 1095-1101. DOI:10.1164/rccm.201207-1284CI |
| [2] | Weaver LK, Clinical practice. Carbon monoxide poisoning[J]. N Engl J Med, 2009, 360(12): 1217-1225. DOI:10.1056/NEJMcp0808891 |
| [3] | 王维展, 李敬, 马国营, 等. 金纳多对一氧化碳中毒迟发性脑病的临床价值[J]. 中华急诊医学杂志, 2016, 25(2): 205-209. DOI:10.3760/cmz.j.issn.1671-0282.2016.02.012 |
| [4] | Pepe G, Castelli M, Nazerian P, et al. Delayed neuropsychological sequelae after carbon monoxide poisoning: predictive risk factors in the Emergency Department[J]. Scand J Trauma Resusc Emerg Med, 2011, 19: 16. DOI:10.1186/1757-7241-19-16 |
| [5] | Zhao R, Shi WZ, Zhang YM, et al. Montelukast, a cysteinyl leukotriene receptor-1 antagonist, attenuates chronic brain injury after focal cerebral ischaemia in mice and rats[J]. J Pharm Pharmacol, 2011, 63(4): 550-557. DOI:10.1111/j.2042-7158.2010.01238.x |
| [6] | Yu GL, Wei EQ, Zhang SH, et al. Montelukast, a cysteinyl leukotriene receptor-1 antagonist, dose-and time-dependently protects against focal cerebral ischemia in mice[J]. Pharmacology, 2005, 73(1): 31-40. DOI:10.1159/000081072 |
| [7] | Saad MA, Abdelsalam RM, Kenawy SA, et al. Montelukast, a cysteinyl leukotriene receptor-1 antagonist protects against hippocampal injury induced by transient global cerebral ischemia and reperfusion in rats[J]. Neurochem Res, 2015, 40(1): 139-150. DOI:10.1007/s11064-014-1478-9 |
| [8] | 燕宪亮, 邹建娇, 姜磊, 等. TDZD-8对大鼠一氧化碳中毒迟发性脑病防治作用的实验研究[J]. 国际麻醉学与复苏杂志, 2015, 36(3): 234-238. DOI:10.3760/cma.j.issn.1673-4378.2015.03.009 |
| [9] | 王耀宏, 赵金垣, 崔书杰, 等. 急性一氧化碳中毒迟发性脑病的动物模型制备研究[J]. 中国职业医学, 2004, 31(1): 5-10. DOI:10.3969/j.issn.1000-6486.2004.01.002 |
| [10] | Han ST, Bhopale VM, Thom SR. Xanthine oxidoreductase and neurological sequelae of carbon monoxide poisoning[J]. Toxicol Lett, 2007, 170(2): 111-115. DOI:10.1016/j.toxlet.2007.02.006 |
| [11] | 刘勇, 白姣, 王传秀, 等. 自制便携式氙气吸入装置防治一氧化碳中毒迟发性脑病[J]. 中华急诊医学杂志, 2013, 22(8): 866-870. DOI:10.3760/cma.j.issn.1671-0282.2013.08.014 |
| [12] | 刘福佳, 高春锦, 夏成青, 等. 急性一氧化碳中毒小鼠脑海马细胞凋亡及bcl-2、Bax和caspase-3蛋白表达[J]. 中华航海医学与高气压医学杂志, 2005, 12(2): 66-68. DOI:10.3760/cma.j.issn.1009-6906.2005.02.002 |
| [13] | BacigaluppiM, ComiG, HermannDM, 等. Animal models of ischemic stroke. Part two: modeling cerebral ischemia[J]. Open Neurol J, 2010, 4(11): 34-38. DOI:10.2174/1874205X01004020034 |
| [14] | Peters-Golden M, Henderson WR Jr. Leukotrienes[J]. N Engl J Med, 2007, 357(18): 1841-1854. DOI:10.1056/NEJMra071371 |
| [15] | 赵建波, 林晓霞, 陈文健, 等. CysLT1受体拮抗剂montelukast对全脑缺血海马神经元损伤的保护作用[J]. 健康研究, 2012, 32(2): 85-88. DOI:10.3969/j.issn.1674-6449.2012.02.002 |
| [16] | Fang SH, Wei EQ, Zhou Y, et al. Increased expression of cysteinyl leukotriene receptor-1 in the brain mediates neuronal damage and astrogliosis after focal cerebral ischemia in rats[J]. Neuroscience, 2006, 140(3): 969-979. DOI:10.1016/j.neuroscience.2006.02.051 |
| [17] | Shen LH, Li Y, Gao Q, et al. Down-regulation of neurocan expression in reactive astrocytes promotes axonal regeneration and facilitates the neurorestorative effects of bone marrow stromal cells in the ischemic rat brain[J]. Glia, 2008, 56(16): 1747-1754. DOI:10.1002/glia.20722 |
| [18] | Badan I, Buchhold B, Hamm A, et al. Accelerated glial reactivity to stroke in aged rats correlates with reduced functional recovery[J]. J Cereb Blood Flow Metab, 2003, 23(7): 845-854. DOI:10.1097/01.WCB.0000071883.63724.A7 |
| [19] | Ciana P, Fumagalli M, Trincavelli ML, et al. The orphan receptor GPR17 identified as a new dual uracil nucleotides/cysteinyl-leukotrienes receptor[J]. EMBO J, 2006, 25(19): 4615-4627. DOI:10.1038/sj.emboj.7601341 |
| [20] | Jiang Y, Borrelli L, Bacskai BJ, et al. P2Y6 receptors require an intact cysteinyl leukotriene synthetic and signaling system to induce survival and activation of mast cells[J]. J Immunol, 2009, 182(2): 1129-1137. DOI:10.4049/jimmunol.182.2.1129 |
| [21] | Mamedova L, Capra V, Accomazzo MR, et al. CysLT1 leukotriene receptor antagonists inhibit the effects of nucleotides acting at P2Y receptors[J]. Biochem Pharmacol, 2005, 71(1/2): 115-125. DOI:10.1016/j.bcp.2005.10.003 |
| [22] | Yu GL, Wei EQ, Wang ML, et al. Pranlukast, a cysteinyl leukotriene receptor-1 antagonist, protects against chronic ischemic brain injury and inhibits the glial scar formation in mice[J]. Brain Res, 2005, 1053(1/2): 116-125. DOI:10.1016/j.brainres.2005.06.046 |
2017, Vol. 26



