脓毒症是急性肝损伤(actue liver injury, ALI)发生的主要原因之一[1]。脓毒症患者中肝功能障碍的发生率为34%~46%,主要可表现为缺氧性肝炎(hypoxic hepatitis, HH)和胆汁淤积两大类,可诱发多器官功能障碍综合征(MODS),预后差,病死率达54%~68%[2-3]。HH曾被称为“休克肝”,突出特点是病程短期内血转氨酶水平急剧升高20倍以上,多无明显的黄疸[4];脓毒症肝损伤另一特点是肝细胞对胆红素、胆汁酸等物质的吸收、转运、分泌作用减弱,重者可出现胆汁淤积,以高胆红素血症(直接胆红素升高为主)、碱性磷酸酶及胆汁酸升高等为临床特征[5]。目前对脓毒症肝损伤的病理生理机制仍处于探索研究过程,研究证实肝细胞对胆汁酸的摄取、转运、分泌功能降低是脓毒症肝损伤的主要机制[6]。
钠离子/牛磺胆酸共转运蛋白(sodium taurocholate cotransporting polypeptide, Ntcp)和胆盐输出泵(bile salt export pump, Bsep)是肝脏最重要的两个胆汁酸转运体,Ntcp主要负责将肝血窦中的胆汁酸转运到肝细胞内,Bsep将其从肝细胞转运到胆管中,两者协同参与胆汁酸的肝肠循环,避免胆汁酸及其他有毒物质在肝脏积累,从而避免肝功能障碍发生[7]。有研究发现先天性胆道闭锁、药物性肝损伤等均与胆汁酸转运体缺陷相关,Ntcp、Bsep表达受到不同程度的抑制[8-10]。给实验动物注射脂多糖(lipopolysaccharide, LPS)可部分复制脓毒症的临床特点[11]。虽然有研究提示LPS可能导致Ntcp mRNA、Bsep mRNA表达改变, 但研究者只观察了数小时[12-13],不足以代表脓毒症急性期肝损伤过程的病理生理变化。
本研究采用腹腔注射不同剂量LPS的方法,制作内毒素血症肝损伤小鼠模型,旨在比较不同剂量LPS在不同作用时间下小鼠肝脏Ntcp mRNA、Bsep mRNA表达量和血清总胆红素(TBIL)、总胆汁酸(TBA)、谷丙转氨酶(ALT)、谷草转氨酶(AST)水平的变化,探讨LPS对胆汁酸转运体mRNA表达信号通路的影响,以及胆汁酸转运体信号通路与内毒素肝损伤的关系。
1 材料与方法 1.1 实验动物128只清洁级8周龄C57BL/6雄性小鼠,体质量18~22 g,购于上海西普尔-必凯实验动物有限公司,动物许可证号码SCXK (沪)2013-0016,适应性饲养1周于上海市医学研究遗传所动物室, 自由进食标准颗粒饲料及饮水,经12 h光照和12 h黑暗交替,动物的管理、实验看护按照上海市科学技术委员会颁布的上海市实验动物管理条例进行。按照随机数字法对小鼠进行编号(1~128),随机分组进行实验,实验操作符合动物伦理学要求。
1.2 主要试剂和仪器脂多糖LPS (Ecoli.O111:B4) 购于美国Sigma公司,TRIzol RNA提取液购于美国Life Technologies公司,反转录及实时荧光定量PCR试剂盒购于日本TaKaRa公司,Nanodrop ND2000C分光光度计为美国Thermo公司产品,Light Cycler96实时荧光定量PCR仪为瑞士Roche公司产品,低温高速离心机型号为德国Eppendorf 5417R,全生化分析检测仪器型号为日本Hitachi 7180。
1.3 实验动物分组及处理C57BL/6小鼠128只,腹腔注射LPS (剂量分别为5、10、20、40 mg/kg),制作内毒素血症模型;并设生理盐水对照组和健康对照组;各内毒素血症组和生理盐水对照组小鼠按给药后取材时间进一步分为24 h、48 h、72 h组, 每组8只。称量小鼠体质量,内毒素血症组腹腔注射相应剂量LPS (溶于20 mL/kg生理盐水中),生理盐水对照组腹腔注射20 mL/kg生理盐水,健康对照组小鼠不做任何处理。观察内毒素血症组和生理盐水注射组处理后小鼠存活及活力状况,死亡小鼠即刻解剖取肝脏进行HE染色观察,其余存活小鼠按预定时间分别在腹腔注射后24 h、48 h、72 h时,进行麻醉、眼球摘除取血、全身灌流、留取肝脏组织。
1.4 肝功能指标检测1%戊巴比妥钠0.15 mL腹腔注射麻醉小鼠后,行眼球摘除法取血,3 500 r/min离心8 min分离获得血清,应用全生化分析仪检测小鼠血清TBIL、TBA、ALT、AST水平。
1.5 实时荧光定量聚合酶链反应(RT-qPCR)取20 mg肝组织,用1 mL TRIzol制备匀浆,提取总RNA, 测定其纯度及浓度,按反转录试剂盒要求进行反转录,反应总体积20 μL,反转录条件为:37 ℃15 min、85 ℃5 s。后进行实时荧光定量PCR,反应总体积为20 μL, 扩增条件为:95 ℃10 s,60 ℃15 s, 72 ℃15 s,反应45个循环。以GAPDH作为Ntcp、Bsep的内参对照。目的基因的相对表达量通过公式2-ΔΔct计算。引物由上海生物工程有限公司合成,序列参见表 1。
| 转运体 | 引物序列(5’to 3’) |
| Ntcp F | TGGCTACCTCCTCCCTGAT |
| Ntcp R | ATGCTGATGGTGCGTCTG |
| Bsep F | CCTCATACGGAAACCCAAGA |
| Bsep R | TGACTGTTGATAGGCGATGG |
| GAPDH F | GGTTGTCTCCTGCGACTTCA |
| GAPDH R | TGGTCCAGGGTTTCTTACTCC |
存活小鼠麻醉状态下,行生理盐水全身灌注冲净体循环血液,留取小鼠左中叶肝脏组织,经10%甲醛固定,常规石蜡包埋,切片,酒精脱蜡,二甲苯透明,苏木精-伊红(HE)染色,光学显微镜下观察肝组织病理变化。
1.7 统计学方法使用SPSS 23.0统计软件进行数据分析,计量资料以均数±标准差(x±s)表示,多组变量间比较采用单因素方差分析,组间两两比较采用LSD-t检验方法分析,以P<0.05为差异有统计学意义。
2 结果 2.1 小鼠生存及活力状况腹腔注射后开始观察各组小鼠一般情况。5、10 mg/kg LPS组小鼠精神活动反应差,部分出现眼角分泌物增多,蜷缩冷战,24 h后逐渐恢复对外界反应活力。20、40 mg/kg LPS组小鼠精神萎靡,毛发杂乱黯淡,蜷缩冷战,出现眼角分泌物增多,甚至腹泻症状,部分情况逐渐恶化,直至死亡;20 mg/kg LPS组小鼠24 h内死亡2只,24 h后无死亡;40 mg/kg LPS组小鼠24 h内死亡4只,24~48 h内死亡2只,48~72 h内死亡1只。生理盐水对照组处理前后无明显变化,且与健康对照组小鼠活力相同。
2.2 肝功能测定结果如图 1所示,与生理盐水对照组比较,LPS处理后24~72 h小鼠血清TBIL、TBA、ALT、AST水平均升高(P<0.05),24 h达峰值,随后呈下降趋势;其中40 mg/kg LPS处理后72 h较24 h均有显著降低,TBIL为(1.29±0.25) μmol/L和(1.71±0.22) μmol/L, TBA为(6.97±0.98) μmol/L和(8.96±1.01) μmol/L, ALT为(120.17±21.08) U/L和(179.22±16.57) U/L, AST为(360.34±35.31) U/L和(510.97±34.70) U/L,均P<0.05。
|
| 与同时间点NS组比较,aP<0.05;与同剂量LPS组给药后24 h比较,bP<0.05 图 1 不同时间点各组小鼠血清TBIL、TBA、ALT、AST水平变化 Figure 1 Serum TBIL, TBA, ALT and AST levels in each group at the indicated detection time |
|
|
与同时间点生理盐水对照组比较,各内毒素血症组小鼠Ntcp mRNA、Bsep mRNA相对表达量有不同程度下降,24 h表达量最低。在24 h、48 h时间点,随着LPS剂量增加,Ntcp mRNA、Bsep mRNA相对表达量逐渐降低。各组Ntcp mRNA表达在24 h、48 h比较,差异有统计学意义(F=5.29、F=14.97,均P<0.05),Bsep mRNA表达在24 h差异有统计学意义(F=9.31,P=0.02),见表 2、图 2。
|
| 图 2 不同时间点各内毒血症组小鼠肝组织Ntcp mRNA、Bsep mRNA相对表达量变化 Figure 2 The mRNA expression levels of Ntcp and Bsep in livers of mice treated with LPS at the indicated detection time |
|
|
| 指标 | NS组 | LPS 5 mg/kg组 | LPS 10 mg/kg组 | LPS 20 mg/kg组 | LPS 40 mg/kg组 | F值 | P值 |
| Ntcp mRNA | |||||||
| 24 h | 1.00±0.13 | 0.64±0.02 | 0.53±0.14 | 0.25±0.09 | 0.15±0.07 | 5.29 | 0.04a |
| 48 h | 1.00±0.02 | 0.91±0.16 | 0.76±0.23 | 0.46±0.18 | 0.24±0.12 | 14.97 | <0.05a |
| 72 h | 1.00±0.09 | 1.04±0.15 | 0.97±0.22 | 0.59±0.12 | 0.51±0.19 | 3.04 | 0.20 |
| Bsep mRNA | |||||||
| 24 h | 1.00±0.13 | 0.74±0.12 | 0.58±0.11 | 0.41±0.09 | 0.27±0.11 | 9.31 | 0.02a |
| 48 h | 1.00±0.02 | 0.88±0.13 | 0.77±0.21 | 0.67±0.15 | 0.41±0.17 | 3.03 | 0.17 |
| 72 h | 1.00±0.09 | 1.09±0.10 | 1.13±0.05 | 0.79±0.10 | 0.49±0.08 | 2.94 | 0.42 |
| 注:同时间点各内毒素组间比较差异有统计学意义,aP<0.05 | |||||||
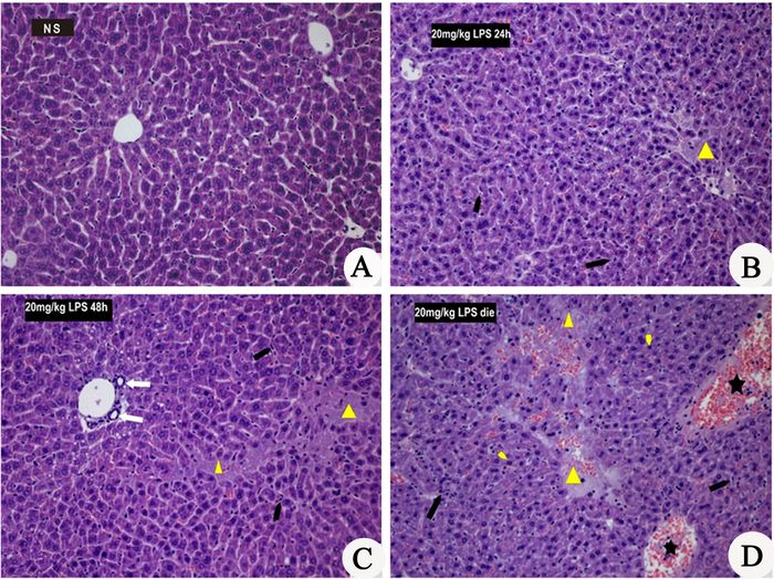
肝组织切片HE染色200倍光镜下观察,生理盐水对照组肝小叶完整,无肝细胞变性坏死现象;5、10 mg/kg LPS 24 h组小鼠肝组织疏松淡染,结构尚存,间质少量炎性细胞浸润,48 h及72 h组见肝细胞嗜酸性变、空泡样变,炎性细胞浸润,胆小管增生;20、40 mg/kg LPS存活小鼠各时间点组均可见肝组织结构改变,灶性坏死,间质大量炎症细胞浸润,胆小管增生、扩张;死亡小鼠肝小叶结构紊乱,出现大片核固缩和坏死灶,肝窦严重充血。小鼠肝组织病理学变化见图 3。
|
| A:生理盐水对照组(NS);B:20 mg/kg LPS 24 h处理组;C: 20 mg/kg LPS 48 h处理组;D:20 mg/kg LPS处理死亡小鼠;黑色箭头示炎性细胞浸润;白色箭头示胆小管扩张增生;黄色三角形示肝坏死灶;黄色箭头示核固缩;黑色五角星示充血 图 3 光镜下小鼠肝组织病理变化(HE×200) Figure 3 Histological changes of liver tissues under light microscope (HE×200) |
|
|
本研究通过给小鼠腹腔注射不同剂量LPS制作内毒素血症模型,结果显示小鼠血清TBIL、TBA、ALT、AST水平较对照组升高(P<0.05),病理学检查见肝组织疏松淡染,肝细胞嗜酸性变、空泡样变、灶性坏死,炎性细胞浸润,胆小管增生、扩张,说明注射LPS可以制作内毒素相关性肝损伤模型。实验研究发现,注射LPS后24~72 h内,肝脏Ntcp mRNA和Bsep mRNA表达量降低,说明在LPS所致的肝损伤过程中存在胆汁酸转运体信号通路的受损。
肝脏是宿主防卫作用的主要脏器,同时也是最易受损的器官之一,肝损伤可发生于脓毒症病程的任何时期[14]。脓毒症肝损伤是肝脏微循环功能障碍、炎症反应及胆红素、胆汁酸代谢紊乱等多因素综合作用的结果。胆汁酸是一类在肝脏合成后极少数被代谢,主要靠肝肠循环来维持体内各种生理作用的独特分子。越来越多的研究结果显示,肝细胞基底膜和胆管侧膜上的转运体对维持正常的胆汁流和肝脏功能起着重要作用。其中,摄取转运体中,主要有位于基底膜上的Ntcp,负责转运肝脏摄取的80%结合胆汁酸和不足50%的非结合胆汁酸;排泄转运体中,位于胆管侧膜的Bsep主要介导单价胆酸盐的转运,是介导胆汁流由肝细胞排泄入胆管的主要动力[7]。Green等[12]和Cherrington等[13]分别观察到给小鼠和大鼠腹腔注射LPS后,肝脏Ntcp mRNA、Bsep mRNA表达下调,下降程度与LPS作用时间呈正相关,16 h时表达量最低,但不足以代表肝损伤急性期全部时相该胆汁酸转运体mRNA信号通路的变化。Zollner等[15]对炎症性疾病导致的肝损伤患者进行肝穿刺活检,检测发现Ntcp mRNA和Bsep mRNA表达分别下调41%和34%。本实验发现小鼠肝脏Ntcp mRNA和Bsep mRNA在24 h内表达显著降低,24 h后表达量逐步回升趋势。说明内毒素血症模型中,在肝损伤发生72 h内Ntcp mRNA和Bsep mRNA的表达有明显时相关系,以最早24 h时降低明显,表示早期即引起胆汁酸转运障碍。其中低剂量(5、10 mg/kg) LPS处理的小鼠经过72 h后可逐步上调恢复至正常水平,可能是机体本身应激反应和代偿作用的结果;而中高剂量(20、40 mg/kg) LPS刺激的小鼠72 h后转运体mRNA表达仍明显降低,提示大剂量内毒素可以对胆红素或胆汁酸转运产生严重的破坏。
Recknagel等[11]发现给大鼠腹腔注射不同剂量LPS引起的炎症反应程度不同,导致的肝损伤程度也有所差别。随着LPS作用时间延长,肝脏免疫系统即肝血窦中库普弗细胞不断吞噬代谢,抵抗其致炎危害。本研究观察到小鼠肝功能指标变化随LPS剂量增加而加重,给予低剂量(5、10 mg/kg) LPS小鼠24 h肝脏开始出现轻度损伤,肝组织疏松淡染,结构尚存,间质少量炎性细胞浸润,随时间推移肝损伤加重;而给予中高剂量(20、40 mg/kg) LPS 24 h即可见肝组织结构紊乱,灶性坏死,间质大量炎症细胞浸润,胆小管增生、扩张,并随时间推移至72 h尚未见明显缓解;同时需要注意的是,LPS达20 mg/kg及以上剂量时有致死风险,死亡小鼠肝小叶结构紊乱,出现大片核固缩和坏死灶,肝窦严重充血。24 h后随作用时间延长肝功能指标与文献[16]报道相近。
综上所述,小鼠肝脏Ntcp mRNA和Bsep mRNA在内毒素血症早期表达量降低,且随LPS剂量增加逐渐下降,同时血液肝功能指标水平逐渐升高,肝脏病理损伤程度进一步加重,说明胆汁酸转运体信号通路受损可能是LPS致使内毒素血症肝损伤的重要机制。随着对胆汁酸转运体信号通路在病态条件下改变的认识,以调控转运体作为治疗靶点,可能有助于防治脓毒症相关性肝损伤。
| [1] | Riehle KJ, Fausto N. Mechanisms of liver injury[M]//.Murray KF, Horslen S.Diseases of the liver in children. Springer New York, 2014:67-83. DOI:10.1007/978-1-4614-9005-0_4. |
| [2] | Yan J, Li S, Li S. The role of the liver in sepsis[J]. Int Rev Immunol, 2014, 33(6): 498-510. DOI:10.3109/08830185.2014.889129 |
| [3] | Fan HB, Yang DL, Chen AS, et al. Sepsis-associated cholestasis in adult patients: a prospective study[J]. Am J Med Sci, 2013, 346(6): 462-466. DOI:10.1097/MAJ.0b013e3182955457 |
| [4] | Horvatits T, Trauner M, Fuhrmann V. Hypoxic liver injury and cholestasis in critically ill patients[J]. Curr Opin Crit Care, 2013, 19(2): 128-132. DOI:10.1097/MCC.0b013e32835ec9e6 |
| [5] | Gilroy RK, Mailliard ME, Gollan JL. Gastrointestinal disorders of the critically ill. Cholestasis of sepsis[J]. Best Pract Res Clin Gastroenterol, 2003, 17(3): 357-367. DOI:10.1016/S1521-6918(03)00027-1 |
| [6] | 马晓春. 应提高对脓毒症肝损伤的认识[J]. 中华危重病急救医学, 2013, 25(4): 198-200. DOI:10.3760/cma.j.issn.2095-4352.2013.04.003 |
| [7] | Stieger B. The role of the sodium-taurocholate cotransporting polypeptide (NTCP) and of the bile salt export pump (BSEP) in physiology and pathophysiology of bile formation[M]//.Fromm MF, Kim RB. Drug transporters. Springer Berlin Heidelberg, 2011, 201:205-259. DOI: 10.1007/978-3-642-14541-4_5. |
| [8] | Kubitz R, Droge C, Stindt J, et al. The bile salt export pump (BSEP) in health and disease[J]. Clin Res Hepatol Gastroenterol, 2012, 36(6): 536-553. DOI:10.1016/j.clinre.2012.06.006 |
| [9] | Chen HL, Liu YJ, Chen HL, et al. Expression of hepatocyte transporters and nuclear receptors in children with early and late-stage biliary atresia[J]. Pediatr Res, 2008, 63(6): 667-673. DOI:10.1203/PDR.0b013e318170a6b5 |
| [10] | Qiu X, Zhang Y, Liu T, et al. Disruption of BSEP function in hepaRG cells alters bile acid disposition and is a susceptive factor to drug-induced cholestatic injury[J]. Mol Pharm, 2016, 13(4): 1206-1216. DOI:10.1021/acs.molpharmaceut.5b00659 |
| [11] | Recknagel P, Gonnert FA, Halilbasic E, et al. Mechanisms and functional consequences of liver failure substantially differ between endotoxaemia and faecal peritonitis in rats[J]. Liver Int, 2013, 33(2): 283-293. DOI:10.1111/liv.12012 |
| [12] | Green RM, Beier D, Gollan JL. Regulation of hepatocyte bile salt transporters by endotoxin and inflammatory cytokines in rodents[J]. Gastroenterology, 1996, 111(1): 193-198. DOI:10.1053/gast.1996.v111.pm8698199 |
| [13] | Cherrington NJ, Slitt AL, Li N, et al. Lipopolysaccharide-mediated regulation of hepatic transporter mRNA levels in rats[J]. Drug Metab Dispos, 2004, 32(7): 734-741. DOI:10.1124/dmd.32.7.734 |
| [14] | Marshall JC. New translational research provides insights into liver dysfunction in sepsis[J]. PLoS Med, 2012, 9(11): e1001341. DOI:10.1371/journal.pmed.1001341 |
| [15] | Zollner G, Fickert P, Zenz R, et al. Hepatobiliary transporter expression in percu-taneous liver biopsies of patients with cholestatic liver diseases[J]. Hepatology, 2001, 33(3): 633-646. DOI:10.1053/jhep.2001.22646 |
| [16] | Nolan JP. The role of intestinal endotoxin in liver injury: a long and evolving history[J]. Hepatology, 2010, 52(5): 1829-1835. DOI:10.1002/hep.23917 |
2017, Vol. 26



