近年来,复苏后治疗策略的重大进展显著提高了心搏骤停 (cardiac arrest, CA) 患者的存活率,同时改善了CA后昏迷患者的神经功能预后[1]。然而,仍有45%~70%的存活CA患者出现缺血缺氧性脑病,表现为严重的神经功能受损甚至死亡[2]。寻找早期准确的评估手段对自主循环恢复 (return of spontaneous circulation, ROSC) 患者脑功能预后判断及治疗方案的选择具有重要的临床意义。监测方法如神经系统检查、脑电图、诱发电位、血清生物标志物及神经影像学等被应用于CA后昏迷患者神经功能预后评估[3-4]。其中,头颅CT检查可通过定性描述大脑结构状况及定量测定脑灰质/白质比例 (gray-white matter ratio, GWR) 判断预后[2]。
头颅CT显示缺血缺氧性脑病与CA后不良预后相关,表现为弥漫性脑水肿、脑灰质密度减低及GWR下降[5]。既往研究发现,CA后存活患者神经功能预后不良者GWR显著低于预后良好者,ROSC后24 h内CT提示GWR明显下降可预测脑功能不良预后[6-11]。然而,各研究结果显示GWR判断阈值不尽相同。本研究旨在探讨GWR对成人CA后昏迷患者神经功能预后的判断价值。
1 资料与方法 1.1 一般资料回顾性分析2011年1月至2016年1月南京医科大学第一附属医院61例复苏后72 h内行头颅CT检查的成人CA患者,采用美国通用公司GE Optima 520Pro 16排CT机,自听眦线至颅顶行头颅连续平扫,扫描层厚5 mm,平均24层,扫描参数:管电压120 kV,管电流180 mA,窗宽100 HU,窗位35 HU。CT结果判读及目的区域的选择由两位放射科专业医师独立完成,两人对患者临床相关信息及相互区域选择均不知情。排除标准为:年龄<18岁,存在神经功能缺损性疾病、创伤、恶性肿瘤等。此外,CT显示脑实质异常及CT图像不能确定脑实质密度者也排除于本研究。本研究通过南京医科大学伦理委员会批准并征得患者家属知情同意。
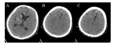
1.2 方法根据既往研究确定的方法[9-10],由两位研究者分别对患者CT图像进行分析,分别选择基底节、半卵圆中心及高凸性三个层面,采用圆形 (10 mm2) 测量方式,在双侧目的区域选取图像并进行CT值 (HU) 的测定。在基底节水平分别记录尾状核 (CN)、壳核 (PU)、胼胝体膝部 (CC) 及内囊后肢 (PIC) 的CT值,在半卵圆中心和高凸性水平分别记录灰质 (MC) 和白质 (MWM) CT值,并取双侧平均值,见图 1。GWR的计算方法具体为:GWR-基底节= (CN+PU)/(CC+ PIC),GWR-大脑=(MC1+MC2)/(MWM1+MWM2),GWR-平均=(GWR-BG+GWR-CO)/2,GWR-简化=PU/PIC[5, 10]。以患者出院时CPC评分作为临床预后判断的依据,CPC 1或2分为预后良好,CPC 3~5分为预后不良。
|
| 基底节水平 (A):1为胼胝体膝部,2为尾状核,3为壳核,4为内囊后肢;半卵圆中心 (B) 和高凸性水平 (C):5、7为灰质,6、8为白质 图 1 头颅CT双侧圆形目的区域的选择 Figure 1 Circular regions of interest were placed bilaterally on brain computed tomography |
|
|
所有数据均采用SPSS 13.0软件进行统计分析,计量资料以均数±标准差 (x±s) 或中位数 (四分位数间距) 表示,采用成组t检验或Mann-Whitney U检验,计数资料以构成比表示,采用χ2检验。采用受试者工作特征曲线 (ROC曲线) 评价GWR对CA后昏迷患者神经功能预后的判断价值。以P<0.05为差异具有统计学意义。
2 结果 2.1 患者一般资料根据患者出院时CPC评分分组,预后良好组有17例 (27.9%),年龄 (49.71±21.54) 岁,男性10例;预后不良组有44例 (72.1%),年龄 (55.82±20.36) 岁,男性26例。两组在年龄、性别及ROSC至CT实施时间上差异无统计学意义 (P>0.05)。预后良好组ROSC后及出院时GCS评分均显著高于预后不良组,并且预后良好组住院时间显著延长。有22.7%的CA患者病因为蛛网膜下腔出血,其预后均不佳。患者的一般临床资料见表 1。
| 指标 | 预后良好组 (n=17) |
预后不良组 (n=44) |
t/χ2/Z值 | P值 |
| 年龄 (岁, x±s) | 49.71±21.54 | 55.82±20.36 | -1.035 | 0.305 |
| 男性 (例,%) | 10 (58.8) | 26 (59.1) | 0.000 | 0.985 |
| 基础疾病史 (例,%) | ||||
| 冠心病 | 1 (5.9) | 6 (13.6) | 0.163 | 0.686 |
| 高血压 | 4 (23.5) | 12 (27.3) | 0.089 | 0.766 |
| 糖尿病 | 3 (17.6) | 4 (9.1) | 0.242 | 0.623 |
| 院外CA (例, %) | 6 (35.3) | 19 (43.2) | 0.315 | 0.574 |
| 心源性病因 (例, %) | 4 (23.5) | 11 (25.0) | 0.014 | 0.905 |
| 蛛网膜下腔出血病因 (例, %) | 0 (0) | 10 (22.7) | 3.112 | 0.078 |
| ROSC至CT实施时间 (例, %) | ||||
| 24 h内 | 11 (64.7) | 25 (56.8) | 0.315 | 0.574 |
| 24~72 h | 6 (35.3) | 19 (43.2) | ||
| GCS评分 (分, x±s) | ||||
| ROSC后 | 5.41±2.15 | 3.34±0.86 | 3.850 | 0.001 |
| 出院时 | 14.53±0.80 | 4.72±1.90 | 22.950 | < 0.001 |
| 预后 | ||||
| ROSC后住院时间[(d), M (P25, P75)] | 22.0 (12.0, 42.0) | 10.0 (4.3, 22.0) | -2.632 | 0.008 |
| 出院存活率 (例, %) | 17(100) | 25 (56.8) | 10.662 | 0.01 |
| 28 d存活率 (例, %) | 17 (100) | 16 (36.4) | 19.997 | < 0.01 |
与预后良好组相比较,预后不良组灰质 (CN、PU、MC1、MC2) 密度显著减低,白质密度变化在两组间差异无统计意义。预后不良组4种GWR均显著低于预后良好组 (均P < 0.05)。各目的区域HU值及GWR见表 2。
| 指标 | 预后良好组 (n=17) | 预后不良组 (n=44) | Z值 | P值 |
| 目的区域HU值 | ||||
| 尾状核 (CN) | 33.96 (32.54, 37.53) | 30.97 (27.21, 34.84) | -2.895 | 0.004 |
| 壳核 (PU) | 36.73 (30.62, 38.03) | 30.70 (28.45, 34.18) | -2.172 | 0.030 |
| 胼胝体膝部 (CC) | 29.88 (23.77, 31.40) | 25.72 (23.22, 29.58) | -1.496 | 0.135 |
| 内囊后肢 (PIC) | 28.12 (22.80, 29.97) | 26.88 (22.39, 30.11) | -0.362 | 0.717 |
| 灰质1(MC1) | 38.49 (34.20, 39.82) | 32.89 (30.21, 35.64) | -4.118 | < 0.01 |
| 白质1(MWM1) | 30.20 (24.39, 32.18) | 26.59 (22.64, 32.42) | -1.038 | 0.299 |
| 灰质2(MC2) | 39.00 (36.58, 40.06) | 33.40 (29.38, 36.55) | -4.504 | < 0.01 |
| 白质2(MWM2) | 30.35 (23.77, 33.68) | 26.37 (21.84, 31.98) | -1.480 | 0.139 |
| GWR | ||||
| 基底节 | 1.24 (1.20, 1.35) | 1.19 (1.11, 1.25) | -2.509 | 0.012 |
| 大脑 | 1.28 (1.17, 1.47) | 1.15 (1.09, 1.39) | -2.107 | 0.035 |
| 平均 | 1.24 (1.21, 1.40) | 1.19 (1.10, 1.33) | -2.236 | 0.025 |
| 简化 | 1.27 (1.21, 1.39) | 1.17 (1.09, 1.29) | -2.316 | 0.021 |
所示4种GWR对不良预后的判断均具有统计学意义 (均P<0.05)。以100%特异度确定的判断阈值,其敏感度均较低。其中,GWR-基底节预测价值最高,GWR<1.18预测不良预后的敏感度和特异度分别为50%和88.2%(P=0.012)。GWR对CA后昏迷患者神经功能预后的预测价值见表 3。
| GWR | 判断阈值 | 敏感度 (%) |
特异度 (%) |
曲线下面积 (95%CI) |
P值 |
| 基底节 | 1.18 | 50.0 | 88.2 | 0.709 (0.575~0.842) |
0.012 |
| 1.12 | 29.5 | 100 | |||
| 大脑 | 1.15 | 54.5 | 88.2 | 0.675 (0.538~0.813) |
0.035 |
| 1.09 | 29.5 | 100 | |||
| 平均 | 1.14 | 38.6 | 100 | 0.686 (0.549~0.823) |
0.025 |
| 简化 | 1.16 | 47.7 | 94.1 | 0.693 (0.559~0.826) |
0.021 |
| 1.10 | 27.3 | 100 |
心肺复苏后体温控制治疗及对复苏后综合征的积极处理提高了CA患者的存活率并改善了神经功能预后,昏迷患者早期神经功能预后评估已成为CA后管理的重要组成部分[12]。既往研究发现,头颅CT GWR测定可作为CA后预后判断的影像学标志物[13]。Metter等[7]研究显示,平均GWR<1.20可作为预测死亡风险的可靠指标 (敏感度36%,特异度98%)。另有两项研究则分别报道了GWR (PU/CC)<1.17和GWR<1.16与不良预后密切相关[9-10]。Lee等[2]则发现GWR对不良预后的判断作用较弱,并对心源性病因导致的院外CA后昏迷患者无预后评估价值。针对中国人群的相关研究鲜有文献报道,本研究首次探讨中国人群头颅CT GWR测定对CA后昏迷患者神经功能的预测价值,结果表明GWR-基底节<1.18可判断患者的不良预后 (敏感度50%,特异度88.2%)。
头颅CT提示灰/白质分界或大脑沟回消失,对早期预测CA后脑功能不良预后具有较高的敏感度和特异度。正常情况下,由于灰质水含量较高而脂肪含量低,使其氧体积分数升高、碳浓度减低,进而引起光电吸收水平增加,导致CT图像所示灰质和白质存在密度差异[14]。脑水肿患者因灰质密度减低可导致GWR的下降[15]。此外,因灰质代谢率高、血流丰富及对兴奋性中毒的易感性,使其更易受到缺血缺氧等因素的损害。与白质相比,血管通透性增加致液体渗出 (血管性水肿) 及兴奋性中毒致离子跨膜流动改变 (细胞毒性水肿) 共同导致选择性灰质水肿加剧[16]。
基底节区的尾状核和壳核是常用于测定灰质密度变化的区域,本研究结果显示不良预后组灰质密度显著降低 (均P < 0.05)。而白质较少受急性缺血缺氧的影响,在不同预后组间无显著密度变化[17],本研究同时报道了白质CT值在两组间差异无统计学意义。然而,灰质密度变化对预后的判断价值明显低于GWR[16]。GWR既可反映灰质水肿及X线衰减减弱等表现,也可评价灰/白质分界消失和脑损伤程度。不同的GWR计算方法所对应的最佳判断阈值不尽相同。本研究中,以100%特异度确定的GWR最佳阈值分别为基底节1.12,大脑1.09,平均1.14和简化1.10,与既往研究的GWR范围1.11~1.16相一致[5]。此外,本研究发现GWR-大脑的判断阈值与既往研究差异较大,究其原因可能与大脑灰质区域CT值测定易受局部容积效应影响而致可靠性降低。
基底节区是位于灌注边缘带的高代谢脑功能区域,最易受到缺血缺氧等损伤性刺激的影响,本研究结果显示GWR-基底节对脑功能预后预测价值最高。因基底节区 (尤其壳核) 水肿表现较其他部位更为严重[18],且壳核在解剖学上容易识别,故CT确定该区域较为可靠。本研究选择壳核作为GWR-简化测定的灰质区域,同理选择内囊后肢作为白质区域。研究表明GWR-简化同样可作为预后判断的有效指标,因其测量内容简化,临床应用更为直接便捷。
头颅CT表现在不同神经系统疾病中存在时间差异,缺血性脑卒中患者通常在发病6 h内无特征性显影,而早期CT即可显示CA后弥漫性脑水肿等变化。Kim等[8]评价了ROSC后1 h内行头颅CT的患者GWR测定对预后的影响,结果显示GWR降低与不良预后具有显著相关性。Wu等[6]研究发现,与CA后24 h内行头颅CT相比较,CA后24~72 h CT显示壳核密度明显减低。本研究中不同预后组间CT实施时间差异无统计学意义,后续研究可进一步探讨CT实施时间对GWR判断不良预后价值的影响。
目前认为,神经影像检查对CA后昏迷患者神经功能具有重要的预后判断价值,但必须与其他监测指标联合应用[3]。GWR等单一指标对预后的评估尚不能达到较高的精确性和可靠性。本研究为单中心回顾性研究,样本量较小,后续需要在多中心、更大样本量及CT实施时机对预测结果影响等方面做进一步研究。
综上所述,本研究表明CA-ROSC后昏迷患者头颅CT提示GWR降低可能与神经功能不良预后相关,GWR测定可作为CA后昏迷患者预后评估及指导最佳临床决策选择的有效手段。
| [1] | Callaway CW, Donnino MW, Fink EL, et al. Part 8: Post-Cardiac Arrest Care: 2015 American Heart Association Guidelines Update for Cardiopulmonary Resuscitation and Emergency Cardiovascular Care[J]. Circulation, 2015, 132(18 suppl 2): S465-482. DOI:10.1161/CIR.0000000000000262 |
| [2] | Lee BK, Jeung KW, Song KH, et al. Prognostic values of gray matter to white matter ratios on early brain computed tomography in adult comatose patients after out-of-hospital cardiac arrest of cardiac etiology[J]. Resuscitation, 2015, 96(7): 46-52. DOI:10.1016/j.resuscitation.2015.07.027 |
| [3] | 王淦楠, 张劲松. 心搏骤停后昏迷患者神经功能预后评估的研究进展[J]. 中华急诊医学杂志, 2016, 25(5): 687-690. DOI:10.3760/cma.j.issn.1671-0282.2016.05.031 |
| [4] | Sandroni C, Geocadin RG. Neurological prognostication after cardiac arrest[J]. Curr Opin Crit Care, 2015, 21(3): 209-214. DOI:10.1097/MCC.0000000000000202 |
| [5] | Gentsch A, Storm C, Leithner C, et al. Outcome prediction in patients after cardiac arrest: a simplified method for determination of gray-white matter ratio in cranial computed tomography[J]. Clin Neuroradiol, 2015, 25(1): 49-54. DOI:10.1007/s00062-013-0281-3 |
| [6] | Wu O, Batista LM, Lima FO, et al. Predicting clinical outcome in comatose cardiac arrest patients using early noncontrast computed tomography[J]. Stroke, 2011, 42(4): 985-992. DOI:10.1161/STROKEAHA.110.594879 |
| [7] | Metter RB, Rittenberger JC, Guyette FX, et al. Association between a quantitative CT scan measure of brain edema and outcome after cardiac arrest[J]. Resuscitation, 2011, 82(9): 1180-1185. DOI:10.1016/j.resuscitation.2011.04.001 |
| [8] | Kim SH, Choi SP, Park KN, et al. Early brain computed tomography findings are associated with outcome in patients treated with therapeutic hypothermia after out-of-hospital cardiac arrest[J]. Scand J Trauma Resusc Emerg Med, 2013, 21(1): 57. DOI:10.1186/1757-7241-21-57 |
| [9] | Scheel M, Storm C, Gentsch A, et al. The prognostic value of gray-white-matter ratio in cardiac arrest patients treated with hypothermia[J]. Scand J Trauma Resusc Emerg Med, 2013, 21(1): 23. DOI:10.1186/1757-7241-21-23 |
| [10] | Lee YH, Oh YT, Ahn HC, et al. The prognostic value of the grey-to-white matter ratio in cardiac arrest patients treated with extracorporeal membrane oxygenation[J]. Resuscitation, 2016, 99: 50-55. DOI:10.1016/j.resuscitation.2015.11.009 |
| [11] | Hanning U, Bernhard Sporns P, Lebiedz P, et al. Automated assessment of early hypoxic brain edema in non-enhanced CT predicts outcome in patients after cardiac arrest[J]. Resuscitation, 2016, 104: 91-94. DOI:10.1016/j.resuscitation.2016.03.018 |
| [12] | 李强, 高玉芝. 连续脑电监测在心搏骤停后昏迷患者预后判断中的价值[J]. 中华急诊医学杂志, 2016, 25(5): 668-671. DOI:10.3760/cma.j.issn.1671-0282.2016.05.025 |
| [13] | Sandroni C, Cariou A, Cavallaro F, et al. Prognostication in comatose survivors of cardiac arrest: an advisory statement from the European Resuscitation Council and the European Society of Intensive Care Medicine[J]. Intensive Care Med, 2014, 40(12): 1816-1831. DOI:10.1007/s00134-014-3470-x |
| [14] | Gutierrez LG, Rovira A, Portela LA, et al. CT and MR in non-neonatal hypoxic-ischemic encephalopathy: radiological findings with pathophysiological correlations[J]. Neuroradiology, 2010, 52(11): 949-976. DOI:10.1007/s00234-010-0728-z |
| [15] | Inamasu J, Miyatake S, Suzuki M, et al. Early CT signs in out-of-hospital cardiac arrest survivors: Temporal profile and prognostic significance[J]. Resuscitation, 2010, 81(5): 534-538. DOI:10.1016/j.resuscitation.2010.01.012 |
| [16] | Choi SP, Park HK, Park KN, et al. The density ratio of grey to white matter on computed tomography as an early predictor of vegetative state or death after cardiac arrest[J]. Emerg Med J, 2008, 25(10): 666-669. DOI:10.1136/emj.2007.053306 |
| [17] | Yanagawa Y, Un-no Y, Sakamoto T, et al. Cerebral density on CT immediately after a successful resuscitation of cardiopulmonary arrest correlates with outcome[J]. Resuscitation, 2005, 64(1): 97-101. DOI:10.1016/j.resuscitation.2004.06.015 |
| [18] | Selip DB, Jantzie LL, Chang M, et al. Regional differences in susceptibility to hypoxic-ischemic injury in the preterm brain: exploring the spectrum from white matter loss to selective grey matter injury in a rat model[J]. Neurol Res Int, 2012, 2012: 725184. DOI:10.1155/2012/725184 |
2017, Vol. 26



