急性肺损伤 (acute lung injury,ALI) 是由各种损伤因素引起的急性、进行性、低氧性呼吸功能不全或衰竭,目前临床上缺乏有效的治疗措施[1-2]。有研究表明,在ALI发生发展中最显著的病理变化是弥漫性肺泡上皮细胞损伤[3],包括肺泡上皮屏障功能降低、肺泡表面活性物质的分泌减少等[4],其中肺泡上皮屏障功能降低是ALI发病环节中的重要步骤,肺泡上皮屏障发挥选择性通透作用主要依赖于肺泡上皮细胞间紧密连接[3]。紧密连接组成蛋白包括Occludin、zonula occludens (ZO)、Claudin、JAMs (junctional adhesion molecules) 等[5]。Occludin、ZO-1表达的降低和空间分布、结构的改变与ALI动物模型中肺泡上皮屏障功能降低密切相关[6]。同时Claudin家族中Claudin-4被证实在调控肺泡上皮屏障功能中发挥着重要作用[7]。因此,通过调节紧密连接蛋白的表达从而改善肺泡上皮屏障功能是治疗ALI的途径之一。
前期研究表明,在脂多糖 (LPS) 诱导的小鼠ALI模型中,常见三环类抗抑郁药丙咪嗪具有抗炎、提高小鼠生存率和减轻肺水肿的作用[8],考虑丙咪嗪可能对肺上皮细胞屏障功能有保护作用。本研究目的是探讨丙咪嗪对LPS诱导小鼠ALI肺泡上皮屏障功能的保护作用,并探讨其可能的机制。
1 材料与方法 1.1 材料 1.1.1 实验动物18~22gSPF级Balb/c雄性小鼠32只,由安徽省实验动物中心提供[合格证号:SCXK (皖)0010433]。
1.1.2 主要试剂和仪器LPS (E.coli 055:B5,美国Sigma公司);丙咪嗪 (美国Cayman公司);FITC-FD4(美国Sigma公司);Occludin多克隆抗体 (美国Iife Technology公司);ZO-1多克隆抗体、Claudin-4多克隆抗体 (美国Abcam公司);RNA提取试剂盒和逆转录试剂盒 (美国Promega公司);免疫组织化学试剂盒 (中国北京中杉金桥生物技术有限公司);LightCycler480 PCR仪 (美国Roche公司)。
1.2 方法 1.2.1 动物模型建立随机 (随机数字法) 将32只小鼠按处理方式的不同分为4组,即:健康对照组、丙咪嗪组、LPS组、LPS+丙咪嗪组,每组各8只。丙咪嗪组及LPS+丙咪嗪组腹腔注射LPS 30 min前,给予腹腔注射丙咪嗪 (25 mg/kg),后LPS组及LPS+丙咪嗪组给予腹腔注射LPS (20 mg/kg)。
1.2.2 肺组织的采集及处理观察12 h后,用10%水合氯醛 (300 mg/kg) 腹腔麻醉,并暴露气管及开胸,观察肺形态。取不同部分肺组织标本,右肺一部分用于HE染色的制备;右肺尖叶用于计算肺组织的湿干比 (W/D);余肺置于无菌无酶冻存管内,液氮罐保存。
1.2.3 HE染色肺组织样本送至安徽医科大学第二附属医院病理科,行HE染色,并在光镜下观察肺组织的病理变化。参考Takao等[9]方法进行病理评分。主要从肺充血及出血情况、血管壁及肺泡壁中性粒细胞浸润情况、肺泡内炎性渗出情况、肺泡壁增厚情况及肺透明膜形成四方面进行评分。上述指标损伤程度共分5个等级,记为0~4分。
1.2.4 肺湿干重比 (W/D) 测定称取右肺尖叶后,置于80 ℃烘箱中烘烤48 h至恒重后复称肺组织干质量,计算肺组织湿质量/肺组织干质量比值。
1.2.5 支气管肺泡灌洗液 (BALF)/血清FD4比值的测定LPS注射12 h后,各组小鼠分别给予尾静脉注射FITC-FD4(25 mg; 10 mg/kg),10 min后,各组小鼠分别给予10%水合氯醛 (300 mg/kg) 腹腔麻醉,开胸并暴露和分离气管,从气管上部插入24G套管针,留取BALF和心脏取血。用荧光酶标仪检测BALF:血清FITC-FD4的比值 (血清用PBS稀释20倍),激发光波长492 nm,发射光波长515 nm。比值用于评估小鼠肺泡上皮细胞通透性。
1.2.6 实时定量PCR (real-time PCR)参照RNA提取试剂盒说明书,提取RNA,逆转录为cDNA,然后进行相应的基因扩增。扩增反应条件:95 ℃预变性10 min,95 ℃ 15 s,60 ℃ 15 s,72 ℃20 s,循环50次。末次循环后进行溶解曲线分析。本实验的引物使用PubMed在线Primer3软件设计,由上海生工公司成,引物序列见表 1。以磷酸甘油醛脱氧酶基因 (Gapdh) 作内参基因。
| 基因名称 | 基因序列 (5'-3') |
| Gapdh | F:GTTGTCTCCTGCGACTTCA |
| R:GCCCCTCCTGTTATTATGG | |
| Occludin | F:TGAACTGTGGATTGGCAGC |
| R:CAAGATAAGCGAACCTTGGCG | |
| Claudin-4 | F:CCACTCTGTCCACATTGCCT |
| R:CTTTGCACAGTCCGGGTTTG | |
| ZO-1 | F:AACCCCCATGGTGCTACTTC |
| R:TGTCAAGGCTTTTGCTCCGA |
取50 mg肺组织用于蛋白的提取,后用凝胶电泳法分离蛋白,再转至聚偏二氟乙烯膜上,5%脱脂牛奶室温封闭120 min,TBS漂洗10 min×3次; 分别加入抗β-actin鼠多抗、抗Occludin鼠多抗、抗Claudin-4兔多抗、抗ZO-1兔多抗,4 ℃过夜。次日TBST漂洗10 min×4次后加入辣根过氧化物酶标记的二抗,孵育90 min,TBST漂洗10 min×4次,ECL显色,用天能图像分析系统进行分析。
1.2.8 免疫组织化学依次通过切片、脱蜡、水化、抗原修复后,加血清封闭液孵育,滴加相应的一抗4 ℃过夜,PBS冲洗,加入二抗孵育,PBS冲洗,DAB显色,苏木精复染,阴性对照用PBS代替一抗。并在倒置显微镜下观察紧密连接蛋白的表达情况。利用计算机图像分析实验结果,各组随机抽取5张染色较清晰的切片,并在光镜下随机选取10个视野,在固定窗口面积测定平均光灰度值,阳性染色强度平均灰度值越高则阳性染色强度越强,表示蛋白表达越高。
1.3 统计学方法采用SPSS 16.0软件进行数据分析图片制作采用Graph pad 5.0软件;蛋白和mRNA表达水平采用 (x±s) 表示;蛋白及mRNA表达水平多组间的均数比较采用单因素方差分析,组间两两比较采用LSD-t检验。以P < 0.05为差异具有统计学意义。
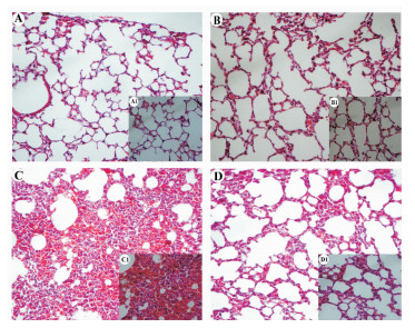
2 结果 2.1 肺组织的病理学变化及评分健康对照组及丙咪嗪组肺组织病理学为肺结构清晰,肺泡间隔薄,无明显红细胞及炎症细胞浸润。LPS注射12 h后,肺组织结构破坏明显,肺泡间隔增厚,肺泡腔内有大量红细胞及炎性介质浸润。LPS+丙咪嗪组,上述肺组织改变均有明显改善,如图 1所示。随机选取10个视野观察并评分,病理评分见表 2。病理评分结果显示,各组间评分差异具有统计学意义 (F=323.1,P < 0.01),LPS+丙咪嗪组小鼠病理评分 (9.22±0.21) 较LPS组 (11.23±0.55) 降低,差异具有统计学意义 (P < 0.05)。
|
| A:健康对照组;B:丙咪嗪组;C:LPS组;D:LPS+丙咪嗪组,A、B、C、D放大倍数×200,A1、B1、C1、D1放大倍数×400 图 1 各组小鼠肺组织病理学改变 (HE染色) Figure 1 Pathological changes of lung tissue in mice of each group (HE staining) |
|
|
| 组别 | 健康对照组 | 丙咪嗪组 | LPS组 | LPS+丙咪嗪组 |
| 评分 | 1.03±0.04 | 1.15±0.07 | 11.23±0.55a | 9.22±0.21ab |
| 注:与健康对照组比较:aP < 0.05;与LPS组比较, bP < 0.05 | ||||
如图 2所示,设置健康对照组W/D比值为1,其他3组取相对值。各组间差异具有统计学意义 (F=20.33,P=0.02),LPS组肺水肿程度最严重,LPS+丙咪嗪组肺水肿程度较LPS组减轻,减轻程度差异具有统计学意义 (P < 0.05)。
|
| 与Con组比较, aP < 0.05;与LPS组比较, bP < 0.05 图 2 各组肺组织湿干 (W/D) 重比 Figure 2 The lung tissue wet dry (W/D) weight ratio of each group |
|
|
各组小鼠肺泡上皮细胞通透性的测定结果,见图 3,各组间差异具有统计学意义 (F=61.49,P < 0.001)。LPS+丙咪嗪组较LPS组相比,BALF/血清FD4比值下降,差异具有统计学意义 (P < 0.05)。
|
| Con组比较, aP < 0.05;与LPS组比较, bP < 0.05 图 3 各组BALF/serum FD4的比值 Figure 3 The ratio of BALF / serum FD4 in each group |
|
|
Real-time PCR结果见图 4,各组间紧密连接蛋白的mRNA表达差异具有统计学意义 (Occludin:F=18.62,P < 0.05;Claudin-4:F=16.26,P < 0.05;ZO-1:F=18.74,P < 0.05)。经LSD-t检验,结果发现LPS+丙咪嗪组较LPS组相比,各紧密连接蛋白 (Claudin-4、ZO-1) mRNA的表达均增加,差异均有统计学意义 (均P < 0.05)。
|
| 与Con组比较,aP < 0.05;与LPS组比较,bP < 0.05 图 4 各组肺组织紧密连接蛋白mRNA的表达 Figure 4 Expression of tight junction protein mRNA in lung tissue of each group |
|
|
Western blot结果见图 5,各组间紧密连接蛋白的表达差异具有统计学意义 (Occludin:F=43.25,P < 0.05;Claudin-4:F=129.60,P < 0.05;ZO-1:F=185.15,P < 0.05)。LPS+丙咪嗪组较LPS组相比,各紧密连接蛋白的表达有所增加,差异具有统计学意义 (Occludin:P < 0.05;Claudin-4:P < 0.05;ZO-1:P < 0.05)。
|
| 与Con组比较,aP < 0.05;与LPS组比较,bP < 0.05 图 5 各组肺组织紧密连接蛋白的表达 Figure 5 The expression of tight junction protein in lung tissue of each group |
|
|
免疫组织化学结果见图 6,Occludin、Claudin-4蛋白主要位于在肺泡上皮细胞膜,表达呈棕黄色;ZO-1主要位于肺泡上皮细胞胞浆内,表达呈棕黄色。LPS组较健康对照组相比,紧密连接蛋白表达显著减少 (Occludin:P < 0.05; Claudin-4: P < 0.05; ZO-1: P < 0.05),LPS+丙咪嗪组较LPS组相比,各紧密连接蛋白表达有所恢复 (Occludin:P < 0.05; Claudin-4: P < 0.05; ZO-1: P < 0.05)。
|
| 与Con组比较,aP < 0.05;与LPS组比较,bP < 0.05 图 6 各组小鼠紧密连接蛋白免疫组织化学变化 (DAB×400) Figure 6 The immunohistochemical changes of tight junction protein in lung tissue of each group (DAB×400) |
|
|
ALI是急性呼吸窘迫综合征 (ARDS) 的早期表现,两者均是临床上常见的高病死率的疾患。随着呼吸支持等治疗技术的进步和早期识别[10],ALI/ARDS病死率有逐年下降趋势,但目前ARDS的病死率仍维持在29%-42%左右[11]。目前尚缺乏有效干预和治疗急性肺损伤的手段,探索新的有效的干预和治疗措施已成为迫切任务。
ALI在病因方面,革兰阴性细菌感染居高危因素首位[11]。LPS是存在于革兰阴性细菌细胞壁外膜的主要成分,是革兰阴性细菌感染的主要致病因素,同时LPS也是诱导ALI的常见实验方法[12-13]。LPS诱导ALI关键的病理特征是弥漫性肺泡-毛细血管膜通透性增高。众所周知,肺泡上皮屏障较血管内皮屏障通透性低,其在肺水肿发生过程中发挥决定性作用[14]。同时Ware等[15]发现肺泡上皮屏障功能与ALI/ARDS病死率呈负相关性。因此,探讨ALI时肺泡上皮屏障功能降低的机制,探寻改善肺泡上皮屏障功能的措施是ALI研究的重要方向。肺泡上皮细胞屏障功能主要依赖于肺泡上皮细胞间的紧密连接,其中重要的紧密连接蛋白Occludin、Claudin-4、ZO-1在ALI中的变化已被相关实验证实[6-7, 16]。故通过减少紧密连接蛋白的破坏进而保护肺泡上皮细胞屏障功能是治疗ALI的途径之一。
本研究通过腹腔注射LPS诱导小鼠ALI,丙咪嗪提前干预的方法成功造模。实验结果显示,丙咪嗪可改善小鼠组织病理学,与前期研究结果表明丙咪嗪具有抗炎作用相符[8]。在ALI发生过程中,肺泡上皮细胞损伤,紧密连接蛋白表达和分布发生改变,对液体和蛋白质经细胞旁途径选择性通透作用增强而导致肺水肿[17],本实验中LPS+丙咪嗪组肺组织W/D比小于LPS组,差异均有统计学意义,丙咪嗪可减轻小鼠肺水肿情况;肺泡上皮细胞间间隙 (0.55~1.5 nm) 较肺血管内皮细胞小 (~4.4 nm),而FITC-FD4溶质半径为1.3 nm,BALF:血清FITC-FD4可用来评估肺泡上皮细胞的通透性[18]。本研究结果显示丙咪嗪可降低肺泡上皮细胞的选择通透性,对肺泡上皮细胞屏障功能有保护作用。Real-time PCR和western blot观察到小鼠ALI时紧密连接蛋白Occludin、Claudin-4、ZO-1的表达量受丙咪嗪的应用明显增加;免疫组织化学结果显示,Occludin、Claudin-4主要位于肺泡上皮细胞膜,ZO-1主要位于肺泡上皮细胞胞浆内,且随着丙咪嗪的应用,Occludin、Claudin-4、ZO-1的表达较LPS组有所升高,证明丙咪嗪提前干预对小鼠ALI肺泡上皮细胞间紧密连接蛋白有保护作用。由此表明丙咪嗪通过减少紧密连接蛋白的破坏进而降低肺泡上皮通透性,增强肺泡上皮细胞的屏障功能,减轻小鼠肺水肿,改善ALI。
丙咪嗪是常见的三环类抗抑郁药,也是动物实验中常用的酸性鞘磷脂酶 (acid sphingomyelinase,ASMase) 抑制剂[19]。ASMase是机体应激反应中鞘磷脂水化的调控关键酶,水解鞘磷脂产生一中间产物神经酰胺。神经酰胺在细胞的应激反应,如氧化应激、电离辐射、LPS、PAF等刺激中,作为第二信号分子发挥信号传导作用,放大炎症反应、诱导凋亡,引起组织损伤[20]。研究表明,在小鼠ALI模型中,ASMase活性增高,神经酰胺量相应增加,而应用ASMase抑制剂可以减少神经酰胺的生成,改善肺功能[19-20]。本课题组前期研究已证实神经酰胺可增加肺泡上皮细胞通透性、促进肺泡上皮细胞凋亡、降低肺泡上皮细胞间紧密连接蛋白的表达。结合本实验结果,推测丙咪嗪可能是通过抑制ASMase的活性减少神经酰胺的生成进而减少肺上皮细胞紧密连接蛋白的破坏,降低肺泡上皮细胞通透性,增强肺上皮细胞屏障功能,改善ALI,具体的分子机制值得进一步探讨。
| [1] | 向有喜, 彭菲, 彭再梅. 急性呼吸窘迫综合征的诊治现状与展望[J]. 中华急诊医学杂志, 2017, 26(3): 255-259. DOI:10.3760/cma.j.issn.1671-0282.2017.03.022 |
| [2] | 何婉媚, 曾勉. ARDS治疗新方法能造福患者吗?[J]. 中华急诊医学杂志, 2017, 26(3): 251-254. DOI:10.3760/cma.j.issn.1671-0282.2017.03.001 |
| [3] | Geiser T. Mechanisms of alveolar epithelial repair in acute lung injury--a translational approach[J]. Swiss Med Wkly, 2003, 133(43-44): 586-590. |
| [4] | Groppera MA, Wiener-Kronish J. The epithelium in acute lung injury/acute respiratory distress syndrome[J]. Curr Opin Crit Care, 2008, 14(1): 11-15. DOI:10.1097/MCC.0b013e3282f417a0 |
| [5] | Baker OJ. Current trends in salivary gland tight junctions[J]. Tissue Barriers, 2016, 4(3): e1162348. DOI:10.1080/21688370.2016.1162348 |
| [6] | Xie W, Wang H, Wang L, et al. Resolvin D1 reduces deterioration of tight junction proteins by upregulating HO-1 in LPS-induced mice[J]. Lab Invest, 2013, 93(9): 991-1007. DOI:10.1038/labinvest.2013.80 |
| [7] | Jin W, Rong L, Liu Y, et al. Increased Claudin-3, -4, and-18 levels in Bronchoalveolar Lavage Fluid Reflect severity of Acute Lung Injury[J]. Respirol, 2013, 18(4): 643-651. DOI:10.1111/resp.12034 |
| [8] | Yang J, Qu J M, Summah H, et al. Protective effects of imipramine in murine endotoxin-induced acute lung injury[J]. Eur J Pharmacol, 2010, 638(1/3): 128-133. DOI:10.1016/j.ejphar.2010.04.005 |
| [9] | Takao Y, Mikawa K, Nishina K, et al. Attenuation of acute lung injury with propofol in endotoxemia[J]. Anesth Analg, 2005, 100(3): 810-816. DOI:10.1213/01.ANE.0000144775.19385.8C |
| [10] | 才权, 刘晓伟, 刘志. 急诊ARDS患者的早期识别与救治[J]. 中华急诊医学杂志, 2016, 25(3): 268-270. DOI:10.3760/cma.j.issn.1671-0282.2016.03.003 |
| [11] | Bellani G, Laffey JG, Pham T, et al. Epidemiology, patterns of care, and mortality for patients with acute respiratory distress syndrome in intensive care units in 50 countries[J]. JAMA, 2016, 315(8): 788-800. DOI:10.1001/jama.2016.0291 |
| [12] | 毛梅, 袁凤, 卫丽, 等. 内皮祖细胞移植对急性肺损伤大鼠基质金属蛋白酶-9表达的影响[J]. 中华急诊医学杂志, 2015, 24(11): 1245-1247. DOI:10.3760/cma.j.issn.1671-0282.2015.11.014 |
| [13] | 李芮, 崔云, 张育才, 等. miR-155抑制剂对内毒素血症小鼠肺组织JAK/STAT1信号通路的影响[J]. 中华急诊医学杂志, 2015, 24(8): 839-844. DOI:10.3760/cma.j.issn.1671-0282.2015.08.007 |
| [14] | Frank JA. Claudins and alveolar epithelial barrier function in the lung[J]. Ann N Y Acad Sci, 2012, 1257: 175-183. DOI:10.1111/j.1749-6632.2012.06533.x |
| [15] | Ware LB, Matthay MA. Alveolar fluid clearance is impaired in the majority of patients with acute lung injury and the acute respiratory distress syndrome[J]. Am J Respir Crit Care Med, 2001, 163: 1376-1383. DOI:10.1164/ajrccm.163.6.2004035 |
| [16] | Schlingmann B, Overgaard CE, Molina SA, et al. Regulation of claudin/zonula occludens-1 complexes by hetero-claudin interactions[J]. Nat Commun, 2016, 7: 12276. DOI:10.1038/ncomms12276 |
| [17] | Uchida T. Acute lung injury and alveolar epithelial function[J]. J Anesth, 2011, 25(1): 152-154. DOI:10.1007/s00540-010-1063-6 |
| [18] | Han X, Fink MP, Uchiyama T, et al. Increased iNOS activity is essential for pulmonary epithelial tight junction dysfunction in endotoxemic mice[J]. Am J Physiol Lung Cell Mol Physiol, 2004, 286(2): L259-267. DOI:10.1152/ajplung.00187.2003 |
| [19] | G ggel R, Winoto-Morbach S, Vielhaber G, et al. PAF-mediated pulmonary edema: a new role for acid sphingomyelinase and ceramide[J]. Nat Med, 2004, 10(2): 155-160. DOI:10.1038/nm977 |
| [20] | Tibboel J, Reiss I, de Jongste JC, et al. Sphingolipids in lung growth and repair[J]. Chest, 2014, 145(1): 120-128. DOI:10.1378/chest.13-0967 |
2017, Vol. 26

