中华急诊医学杂志  2017, Vol. 26 Issue (5): 586-587
工业有机氟气体中毒致心肌损伤三例分析
曹隽, 范晓理, 黄伟, 葛梓, 于沁, 赵言玮, 夏志洁     
上海市医师协会医院管理研究基金项目 (201640311)

有机氟气体中毒多见于职业伤害[1],因其无色无味,不易察觉,早期症状不典型,常隐匿起病,经呼吸道吸入后可引起急性肺损伤 (acute lung injury, ALI),乃至急性呼吸窘迫综合征 (acute respiratory distress syndrome, ARDS)。患者病程中呼吸系统症状突出,但同时可发生多系统器官损害,其中对心肌和心脏传导系统影响常导致各种类型心律失常,严重时危及生命。既往报道多见于误服氟乙酰胺、氟乙酸钠等灭鼠药[2-5],气体吸入中毒致心肌损害报道相对较少,但一经发现心肌损伤,即使肺部改变不明显,即需考虑重度中毒。2014年复旦大学附属华山医院北院接诊三例有机氟气体中毒患者,治疗过程中均有典型心肌损害表现,现加以总结。

1 资料与方法

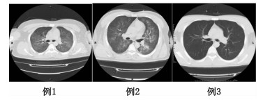
3例患者均为男性,年龄21~45岁,平素体健,化工厂工人。工作中接触泄漏的有机氟气体八氟异丁烯后咳嗽气喘约8 h于2014年11月13日来我院急诊 (患者均为车间工作,具体接触原因不详,大约接触7 h后首先出现咳嗽症状)。来院时均有不同程度的胸闷、气急,并且开始出现恶心、呕吐等症状。查体:GCS 14~15分,HR 110~140次/min,平均动脉压 (MAP) 65~75 mmHg (1 mmHg=0.133 kPa),呼吸 (R) 35~40次/min,双肺呼吸音粗,可闻及广泛湿啰音,心律齐。血气分析:PCO2 30~39 mmHg,PO2 51~73 mmHg,氧合指数 (PO2/FiO2):150~195 mmHg,肺CT示:两肺片状模糊影,广泛渗出 (图 1)。根据职业性急性有机氟中毒诊断标准 (GBZ66-2002)[6]和ARDS柏林标准[7-8]诊断:急性有机氟气体吸入中毒、急性呼吸窘迫综合征 (ARDS)。均按分诊分级标准分为Ⅰ级,经绿色通道收入重症监护室 (intensive care unit, ICU),首日APACHEⅡ评分为19~26分。24 h后复查肺CT进展迅速 (图 2)。

图 1 3例患者来院时肺CT检查结果
图 2 3例患者24 h后复查肺CT检查结果

3例患者均接受针对有机氟中毒的特异性治疗--大剂量激素[9]冲击[甲强龙10 mg/(kg·d) 起,每3日减量,维持疗程约2个月]和积极对症支持,包括保护性肺通气、限制性液体管理、脑保护、血糖控制、肠内营养等。在治疗过程中患者呼吸衰竭状况逐渐得到改善,但随病程进展先后出现不同类型心脏损害表现,治疗均以内科对症处理为主。

病例1体型肥胖,入院后病情进展迅速,氧合指数难以纠正,持续低于100 mmHg水平,反复发生快速性室上性心律失常,最高心室率可达200次/min,伴有血流动力学不稳定,抗心律失常药物无效,需电复律。治疗至第五日,患者在氧合指数已恢复至308.1 mmHg的情况下,先后出现横纹肌溶解、肝肾功能进行恶化 (谷丙转氨酶72 U/L升至895 U/L,谷草转氨酶41 U/L升至947 U/L,凝血时间延长,血清肌酐87 μmol/L升至265 μmol/L,尿量减少) 以及循环衰竭。第七日突发室颤,经抢救无效死亡。

病例2治疗第3天起反复发作窦性心动过缓,间或伴有血压骤降,静推阿托品有效,异丙肾上腺素无效。持续时间约20 d。后逐渐撤离血管活性药物。病情平稳出院。

病例3治疗1周时患者交替发作心动过缓与室上性心动过速,分别予以阿托品和胺碘酮对症处理,1 d后改善。

随访此三例患者心肌标志物动态变化趋势 (图 3~6)。

图 3 肌红蛋白 (ng/mL) 变化趋势
图 4 CK-MB (ng/mL) 变化趋势
图 5 肌钙蛋白T (ng/mL) 变化趋势
图 6 pro-BNP (pg/mL) 变化趋势
2 讨论

氟化物中毒在此三例患者中造成反复性心律失常,其中一例患者因恶性心律失常事件死亡。查阅文献可见不同有机氟组分对心肌损伤机制不同。有研究认为氟烷烃损害的靶器官是心肌及心脏传导系统,提高了心肌对肾上腺素或去甲肾上腺素的敏感性,心肌应激性增强,从而发生快速性心律失常等心律紊乱,而氟烯烃类可能会损害窦房结和房室结[10]。也有文献认为有机氟的毒性作用于心肌糖代谢,干扰三羧酸循环,在此基础上发生细胞内外膜电解质分布异常从而继发心律失常和心肌损伤[1]

除有机氟毒性作用外,心肌损害还受机体整体病情影响[11]。例如早期发生的呼吸衰竭,严重的低氧血症同样会造成心肌细胞ATP生成系统崩溃。治疗过程中的感染、酸碱电解质紊乱、容量失调均会导致继发性的心肌功能不良。若合并基础心脏疾病如冠心病、心肌病等则更进一步加重心肌损害。

本院心肌标志物检验包含肌红蛋白、CK-MB、肌钙蛋白T、pro-BNP四种。在急性心肌梗死患者中,血肌红蛋白升高峰值最早出现,但因其不仅反映心肌坏死,身体其他部位横纹肌坏死也会明显升高,所以特异性较差。CK-MB、肌钙蛋白T是能直接反映心肌坏死特异性较高的指标,其中肌钙蛋白T的特异性、敏感性更高于前者。

分析此三例患者的肌红蛋白变化趋势可见有较明显的规律:发病3 d出现第一个较低的峰值,发病一周时出现一个较高的峰值。三例患者的肌红蛋白变化趋势与CK-MB、肌钙蛋白T、pro-BNP不匹配。推测有机氟中毒造成横纹肌破坏更为显著,不同患者轻重程度不一。早期峰值变化可能与急性缺氧相关,药物的直接毒性作用尚不显著,随氧合改善迅速下降,第二个峰值变化则考虑与有机氟进入体内后代谢产物相关,进入三羧酸循环,干扰肌糖原分解代谢,影响供能。此三例患者发病3~7 d为心律失常频发阶段,符合该趋势图所反映规律,说明影响外周横纹肌的同时,心肌代谢受累,其作用机制与常见心肌梗死后心肌坏死不同,尤其对例2、例3患者而言心肌破坏不明显,说明没有直接对冠脉作用,而是干扰了心肌细胞尤其是房室传导系统的电活动。

三例患者预后存在显著差异。结合心肌标志物变化趋势图可以发现例1患者发病1 d即出现显著的CK-MB、肌钙蛋白T升高,说明相较其他二例患者在疾病初期就出现了严重的心肌坏死,随即表现有持续反复的心律失常“风暴”样发作以及以pro-BNP明显进行升高为表现的循环衰竭。对于相同年龄段、基础健康状况类似的三例患者而言,死亡患者的突出性差异为体型肥胖。推测该患者预后不良的可能原因是由于身体脂肪含量高,即使暴露于相同浓度、相同时间的有机氟环境中,因其脂溶性的物理学特性,毒物摄入量较他人明显增加。毒物进入体内后二次释放造成的直接毒性反应和后续代谢产生的间接毒性反应均可能加重病情。该患者缺氧的程度严重,氧合改善的时间明显较另两例患者延迟,且存在显著肝、肾功能异常,毒物无法正常排出,从而进入恶性循环。

通过上述三例有机氟气体吸入后导致心脏损伤的病例分析可见随病程进展其临床表现及体内病理生理变化呈现一定的规律性,并可以结合实验室检查辅助推断患者的预后。当然由于病例数相对较少,需要扩大观察样本量进一步证实上述推断,此外还可以通过动物实验完善对有机氟气体中毒毒理机制的认识,例如有机氟气体在体内是否代谢为氟乙酸,是否可联合应用乙酰胺特异性解毒。这些疑问的解答都将有益于临床对治疗时机和治疗手段的改进。

同时通过此次病例分析提示群发性的伤害事件不同患者之间还存在个体差异,治疗时不能一概而论,个性化治疗有助于改善预后。

参考文献
[1] 翁雪梅, 闻建范, 王洁. 群发急性有机氟吸入及中毒临床诊治体会[J]. 职业卫生与应急救援, 2010, 28(4): 222-223.
[2] 刘进, 刘军, 富昭, 等. 有机氟中毒对心肌的损害[J]. 国外医学医学地理分册, 2004, 25(3): 143-145. DOI:10.3969/j.issn.1001-8883.2004.03.017
[3] 朱万勤, 杜铁宽, 刘郁. 氟乙酰胺急性中毒患者血清肌酸激酶升高的临床意义[J]. 中华急诊医学杂志, 2002, 11(5): 344. DOI:10.3760/j.issn.1671-0282.2002.05.020
[4] 吴晓春, 吴少琴, 卢益中. 急性氟乙酰胺中毒的急救[J]. 中华急诊医学杂志, 2001, 10(1): 52. DOI:10.3760/j.issn.1671-0282.2001.01.024
[5] 刘益林, 刘景源, 李斌. 小儿氟乙酰胺中毒多系统受损192例分析[J]. 中华急诊医学杂志, 2003, 12(9): 634. DOI:10.3760/j.issn.1671-0282.2003.09.023
[6] 中华人民共和国国家职业卫生标准GBZ66-2002职业性急性有机氟中毒诊断标准[S]. 北京: 中华人民共和国卫生部, 2002: 1-6.
[7] Ranieri VM, Rubenfeld GD, Thompson BT, et al. Acute respiratory distress syndrome:the Berlin Definition[J]. JAMA, 2012, 307(23): 2526-2533. DOI:10.1001/jama.2012.5669
[8] 刘光明, 徐思成. 急性呼吸窘迫综合征定义进展[J]. 中华急诊医学杂志, 2013, 22(4): 432-436. DOI:10.3760/cma.j.issn.1671-0282.2013.04.023
[9] 柳月珍, 何爱文, 陈寿权, 等. 乌司他丁联合甲基强的松龙治疗急性吸人性有机氟中毒疗效观察[J]. 中华急诊医学杂志, 2014, 23(5): 512-515. DOI:10.3760/cma.j.issn.1671-0282.2014.05.009
[10] 王莹. 急性有机氟中毒的特点[J]. 化工劳动保护:工业卫生与职业病分册, 1997, 18(5): 217-220.
[11] 李立斌, 沈华浩. 急性呼吸窘迫综合征与多器官衰竭的关系[J]. 中华急诊医学杂志, 2012, 21(8): 789-791. DOI:10.3760/cma.j.issn.1671-0282.2012.08.001