中华急诊医学杂志  2017, Vol. 26 Issue (3): 346-347
特发性心包积气一例
沈俊飞, 严金川, 王昭军, 赵建伟, 张保海, 龙欣光     
12001 江苏省镇江,江苏大学附属医院心内科

心包积气(pneumopericardium)在临床较为罕见,多发生于心脏、食管等外科手术后。非创伤并发的心包积气,则多见于心包与邻近空腔脏器间形成瘘道而致,如消化性溃疡穿孔[1],食管癌浸润破入心包等。现将江苏大学附属医院心内科收治一例心包积气患者诊治过程报道如下。

1 资料与方法

患者,男,63岁。因“持续性胸痛2 d”于2016年3月31日入院。患者于2016年3月29日10:00无明显诱因下突然出现胸骨后疼痛,呈闷痛,放射至咽喉部,症状呈持续性,初未予重视。次日19:00胸痛症状一度减轻,但3 h后疼痛加剧,且伴有胸闷、气短,即至当地医院就诊,查心电图示:“窦性心动过速,Ⅱ、Ⅲ 、aVF 导联ST段抬高” ,拟诊“急性下壁心肌梗死”,予阿司匹林150 mg口服,硝酸甘油静脉滴注、吸氧等治疗,胸痛持续不缓解,遂于3月31日11:10由120急救车转入我院。本次发病以来无咳嗽、咳痰,无发热,无恶心、呕吐,无腹痛,无黑便,无意识障碍。近期无明显消瘦史。既往(2009年)曾因“食管癌”而行外科手术治疗,无放射治疗或化学治疗史。无其他重要疾病史。体格检查:体温36.8℃,脉搏112次/min,呼吸16次/min,血压102/66 mmHg(1 mmHg=0.133 kPa)。体型偏瘦,自主体位,口唇不发绀,颈胸部无皮下气肿,全身浅表淋巴结不肿大。颈静脉无怒张,气管居中。双肺叩诊呈清音,听诊呼吸音清,未闻及干湿罗音。心前区无异常隆起,心尖搏动不明显,心前区未触及震颤,叩诊心界不扩大,听诊心率112次/min,心律整齐,心音不低远,各瓣膜听诊区未闻及病理性杂音。未闻及心包摩擦音。腹平软,肝脾未触及,腹部无压痛,未扪及包块及血管搏动。

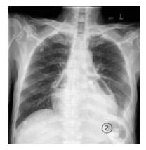
入院后复查心电图(2016年3月31日11:30)示:窦性心动过速,Ⅱ、Ⅲ、aVF 、V4-V6导联ST段抬高(图 1A)。肌酸激酶同工酶(CK-MB)和心肌肌钙蛋白(cTnI)在正常范围;血常规:白细胞总数19.9×109/L,中性粒细胞93.3%,血红蛋白124 g/L;C反应蛋白(CRP):165.5 mol/L;超声心动图(GE Vivid E9)检查示:肺气干扰,图像质量差。室壁运动无异常,少量心包积液。急诊胸部CT(图 1B)示:食管癌术后,心包积气,双侧胸腔积液,右上肺斑片影。上消化道碘油造影(图 1C)示:心包积气,食管癌术后,左侧胸腔胃,吻合口正常。入院诊断“心包积气,急性心包炎”,请胸外科、消化科等会诊后,给予CCU监护、吸氧、禁食,胃肠减压,全胃肠外营养,头孢哌酮舒巴坦静脉滴注等治疗,并抽取外周静脉血标本作血培养。4月1日患者诉说话、翻身或坐起时胸痛,平卧后胸痛可缓解。测体温正常,血压100/62 mmHg,复查CK-MB和cTnI均正常,降钙素原11.53 ng/mL。请感染科会诊后将抗生素改为亚胺培南西司他丁钠联合阿奇霉素抗感染治疗。4月3日复查全胸片(图 2)示:心包积气、积液(积气较2日前有所吸收),左侧少量胸腔积液。血常规:白细胞总数 9.7×109/L,中性粒细胞 80.1%,血红蛋白130 g/L;CRP 143.0 mol/L;降钙素原2.89 ng/mL。血电解质在正常范围。双侧血培养48 h(需氧和厌氧菌)均无细菌生长。继续禁食、胃肠减压、胃肠外营养、抗生素等治疗。

A:心电图示 Ⅱ、Ⅲ、aVF、V4-V6导联 ST段抬高; B:胸部CT检查示,食管癌术后,心包积气,双侧胸腔积液,右上肺斑片影;C:上消化道碘油造影示,心包积气,食管癌术后,吻合口正常 图 1 患者入院心电图(A)、急诊胸部CT(B)和上消化道碘油造影(C)结果
图 2 患者全胸X线片结果

4月5日10:30患者胸痛症状明显减轻,测体温正常,血压103/78 mmHg。复查ECG(图 3A)示,非阵发性交界性心动过速,Ⅱ、Ⅲ、aVF、V4-V6导联ST仍抬高(0.1 mV);床边全胸片(图 3B)示,两肺渗出性病变,左侧胸腔积液。

A:心电图示:非阵发性交界性心动过速,Ⅱ、Ⅲ、aVF、V4-V6 导联ST抬高0.1 mV;B:床边全胸片示两肺渗出性病变,左侧胸腔积液 图 3 患者复查心电图和全胸片结果

下午17:05无明显诱因下患者突然血压下降(80/50 mmHg),心率减慢,随即心室停搏,经胸外心脏按压、气管插管呼吸机辅助呼吸,并应用血管活性药物(多巴胺、重酒石酸间羟胺、肾上腺素)等抢救恢复窦性心律。急查床边超声心动图示:心包内少量无回声区。17:50查血气分析示重度代谢性酸中毒(pH 7.01),乳酸18.3 mmol/L,予补液、纠酸等处理。19:10患者再次心率减慢(40次/min)并渐停止,经心肺复苏抢救,未能恢复自主心律和呼吸。

2 讨论

心包积气较为罕见,非创伤性心包积气多见于邻近空腔脏器病变,如消化性溃疡穿孔,食管癌浸润破入心包等。本例患者7年前曾有食管癌手术史,但本次发病后上消化道碘油造影示吻合口正常,无造影剂外渗,因此,可排除因吻合口瘘造成的心包积气。该患者虽不发热,血培养无致病菌生长,但多次血常规及CRP、降钙素原检查均提示患者体内存在感染,且经抗感染治疗后炎症指标基本正常,心包积气较前减少,因此需考虑心包积气与感染有关,但病原体的种类及感染途径不明。患者炎症指标明显升高而体温不高,其机制有待进一步探讨。

心包积气的临床表现与积气的量及产生的速度有关[2],短时间内心包积气急剧增多,可使心包腔压力骤升,心室舒张期充盈减少,心排出量显著下降,可造成心包填塞。该例患者心包积气较多,但无心脏压塞表现,可能与积气速度缓慢或存在瘘道与外界交通、未形成张力性心包积气有关。关于心包积气的心电图表现临床报道较少,本例患者常规心电图示多导联(除aVR外)ST段弓背向上抬高,应考虑与合并急性心包炎有关。另一方面,由于心包积气,该患者超声心动图检查表现为“肺气干扰”,但患者并无肺气肿、气胸等情况,而用于心脏超声检测的GE Vivid E9仪器性能先进,通常情况下成像清晰,因此,胸痛患者若心脏超声检查遇到类似“肺气干扰”,需警惕罕见的心包积气可能[3],并作进一步检查予以排除。

对于自发性心包积气的治疗主要包括: (1)抗感染。心包积气多有与外界相通的瘘道,易导致感染。如有感染征象,则应尽可能根据病原学检查结果选择相应的抗生素[4];(2)心电、血压等生命体征的监护;(3)吸氧;(4)补充血容量,必要时应用升压药纠正低血压及休克。(5)心包穿刺或心包置管引流术是缓解心包积气症状的重要方法,对张力性心包积气更是急救的重要手段[5]。本例患者在心包积气减轻,症状有所好转的情况下突然发生病情恶化,可能与感染、酸中毒、心肌损伤等有关。因此,心包积气合并心包炎的患者即使临床症状改善,仍有可能发生病情变化,应引起高度重视。本例患者心包积气原因不完全明确,病程中出现胸痛、心电图ST段抬高和心包积液,考虑合并有急性心包炎[6]。该患者影像学检查提示大量心包积气,血压偏低且心率快,考虑存在心脏压塞可能。因此该患者病情凶险,但如能及时行心包穿刺或置管引流可能会改善患者预后。

参考文献
[1] Taniyama D, Miyamoto K, Mashimo S, et al. A pneumopericardium caused by gastric ulcer perforation[J]. Intern Med, 2013, 52(11): 1277-1279. DOI:10.2169/internalmedicine.52.0283.
[2] L Brander, D Ramsay, D Dreier, et al. Continuous left hemidiaphragm sign revisited: a case of spontaneous pneumopericardium and literature review[J]. Heart, 2002, 88(4): e5. DOI:10.1136/heart.88.4.e5
[3] Bobbia X, Claret PG, Muller L, et al. Pneumopericardium diagnosis by point-of-care ultrasonography[J]. J Clin Ultrasound, 2014, 1(4): 235-237. DOI:10.1002/jcu.21943
[4] 高艳玲, 林宏扬, 梁亚风, 等. 心包积气1例分析[J]. 中国实用医药, 2009, 1(2): 158. DOI:10.14163/j.cnki.11-5547/r.2009.02.081
[5] 鲁敏. 急性心包填塞的急救与CCU监护探讨[J]. 世界最新医学信息文摘, 2015, 15(90): 58-59. DOI:10.3969/j.issn.1671-3141.2015.90.036
[6] 肖锋. 心血管病重症[J]. 中华急诊医学杂志, 2016, 25(7): 975-978. DOI:10.3760/cma.j.issn.1671-0282.2016.07.029