几十年来心肺复苏技术不断发展,但总的突破性进展寥寥无几,尤其是成功率及生存率并无大的改善[1]。心室颤动(ventricular fibrillation,VF)是猝死的最常见原因,电除颤是终止VF唯一有效的方法。除颤能否成功取决于经心电流,而经心电流大小取决于除颤能量和经胸阻抗。心肺复苏(CPR)指南并未确定第一次电击除颤的最佳能量,建议选择制造商推荐的首次能量[2],如飞利浦除颤仪成人除颤首次推荐能量双向波150 J。但人体经胸阻抗差异很大,大约介于 25~150 Ω之间,均值大约为 70 Ω[3-4]。那些阻抗较高的VF患者选择推荐的首次除颤能量是否能够提供足够的经心电流终止VF尚未有研究报道。本研究拟通过建立猪VF模型,应用可调节的体外电阻器制作高低不同经胸阻抗,来比较高低两种阻抗对除颤成功率以及心脏、皮肤损伤程度的影响。为了尽可能减少实验动物使用数量,每头家猪都进行5次诱发VF。根据本课题组以往实验数据普通家猪的经胸阻抗平均约为50 Ω[5-7]。本实验通过在除颤仪和除颤电极片之间连接一个可调节体外电阻仪(25~200 Ω,递增25 Ω),可以增加经胸阻抗到指定数值制作高阻抗模型,本研究拟选择100 Ω。
1 材料与方法 1.1 实验动物的选择本研究中使用的实验动物来源于具有国家实验动物主管部门核发的《实验动物生产许可证》的单位,并具有相应的质量合格证。因考虑到猪的代谢和心血管功能方面与人类较为相似,并且其心脏解剖与人类也相似,本次实验将选择健康的猪作为实验动物模型。
1.2 动物准备动物实验地点:心肺脑复苏北京市重点实验室。北京长白猪(月龄2~3个月),雌雄不限,体质量(30±5) kg。实验猪术前12 h禁食,术前2 h禁水。应用肌注咪达唑仑20 mg及经耳缘静脉推注丙泊酚1 mg/kg诱导麻醉;术中应用异戊巴比妥钠8 mg/(kg·h)维持。进行气管切开插管(6.5 F)后连接呼吸机(Drager-Evata Ⅳ,德尔格公司,德国),用室内空气通气,通气频率为12次/min,潮气量初步设为15 mL/kg。于气管插管和呼吸机接头之间连接ETCO2探测仪,通过调节潮气量使ETCO2维持在35~40 mmHg(1 mmHg=0.133 kPa)。连接心电监护(型号HP-M1165,惠普公司,美国)用于记录心率、血压。将7 F的血管造影用鞘管置入左侧股静脉,用于放置双极临时起搏电极直至右心室。将5 F动脉导管通过左侧股动脉置入降主动脉连接监测仪,测量动脉血压。将猪胸前二侧部位的毛发剃干净,将除颤仪(HeartStart XL+除颤监护仪,飞利浦公司,荷兰)粘贴右侧除颤电极中心位于右肩峰和胸骨柄切迹连线中点的下垂线与右第3、4肋骨间的交点,左侧电极中心位于左肩峰和胸骨柄切迹连接线外侧1/3处的下垂线与左第4、5肋骨间的交点。
1.3 制作高低经胸阻抗模型低阻抗组:家猪不连接体外电阻仪,平均阻抗约50 Ω左右;高阻抗组:通过连接体外可调节电阻仪(25~200 Ω,递增25 Ω),设定阻抗值100 Ω。按随机数字法对实验动物进行编号,随机分为高经胸阻抗组(n=8) 和低经胸阻抗组(n=8) 。
1.4 诱发VF手术结束后,动物恢复30 min,将起搏电极导线连接医用程控刺激仪(GY600-A,中国开封华南仪器有限公司,中国),选择食道输出S1S2(300/200 ms)模式,8:1比例,步长-10 ms连续电刺激,直到出现VF[8]。VF的判断标准是动脉血压迅速下降,心电图显示VF波形。
1.5 电除颤诱发VF成功15 s后,立即进行电击除颤,首次除颤选择能量双向波150 J(推荐首次剂量,飞利浦HeartStart XL除颤仪),如果一次除颤未恢复自主循环,则给予2 min胸外按压(期间继续呼吸机通气)后再给予第2次除颤(选择最大能量200 J),依次类推进行第3次或更多除颤(200 J),如果6次除颤动物没有恢复自主循环则宣布实验猪死亡。
1.6 重复诱发VF当实验猪电击除颤恢复自主节律后,进行严密监护0.5 h,期间给予补充生理盐水20 mL/kg。待实验猪心率、血压稳定后0.5 h后再次进行诱发VF及进行电击除颤。能量选择仍是首次150 J, 如不成功下次选择200 J。如果实验猪每次诱发VF都能除颤成功,则共进行5次诱发VF。当第5次诱发VF并除颤成功后0.5 h处死动物,留取心脏和皮肤组织标本。
1.7 数据采集及分析记录诱发VF的次数,每组VF的首次除颤成功率及总除颤成功率;基础状态及每次除颤以后30 min抽取静脉血检测肌红蛋白(MYO),肌酸激酶(CKMB)及肌钙蛋白(CTNI);记录每次除颤后心电图(除颤仪自动记录)上标识的经心电流大小。并对皮肤灼伤的程度分析,实验结束处死动物后留取皮肤和心肌进行病理学检查。皮肤灼伤程度分三级:正常或轻度红肿;水泡和脱皮;焦痂。根据病理损伤程度分级:正常,轻度异常和明显异常。
皮肤病理学改变:正常为胶原纤维排列较紧密;轻度异常为胶原纤维排列较疏松;明显异常为胶原纤维排列明显疏松,甚至出现断裂和坏死。
心脏病理学改变:正常为心肌细胞形态正常;轻度异常为心肌纤维轻度增粗,心肌细胞肥大,核大;明显异常为心肌纤维明显增粗,心肌细胞明显肥大,核大,甚至出现细胞坏死。
1.8 统计学方法当连续变量服从正态分布时,采用均数±标准差(x±s)表示,两组间比较采用成组t检验。分类变量采用例数(百分比)的形式描述,两组间比较采用卡方检验或连续校正或Fisher确切概率法。所有检验均为双侧检验,以P<0.05为差异具有统计学意义。统计软件应用SPSS 18.0。
2 结果 2.1 复苏存活率低阻抗组(n=8) ,有1 头猪在第5次诱发VF前死亡,总复苏存活率 7/8;高阻抗组(n=8) ,所有实验猪都成功诱发5次VF,并除颤成功,总复苏存活率 8/8。两组复苏存活率间差异无统计学意义。
2.2 首次除颤经心电流大小和除颤成功率低阻抗组共同诱发VF39次,首次除颤时经心电流大小(34.9±3.2) A,而高阻抗组共诱发VF 40次,首次除颤时经心电流大小(19.1±2.1) A, 低阻抗组电流明显高于高阻抗组(P<0.05) 。 如表 1所示,低阻抗组39次VF中有37次首次除颤成功。而高阻抗组40次VF只有20次首次除颤成功。
| 组别 | 第一次成功率 | 第二次成功率 | 第三次成功率 | 第四次成功率 | 第五次成功率 | 总成功率(%) |
| 低阻抗组 | 8/8 | 7/8 | 8/8 | 7/8 | 7/8 | 94.9 |
| 高阻抗组 | 5/8 | 6/8 | 5/8 | 2/8 | 2/8 | 50.0a |
| 注:与低阻抗组比较,aP<0.05 | ||||||
低阻抗组39次诱发VF,共除颤43次,成功39次。高阻抗组40次诱发VF,共除颤70次,成功40次, 见表 2。
| 组别 | 第一次成功率 | 第二次成功率 | 第三次成功率 | 第四次成功率 | 第五次成功率 | 总成功率(%) |
| 低阻抗组 | 8/8 | 8/9 | 8/8 | 8/11 | 7/8 | 90.7 |
| 高阻抗组 | 8/12 | 8/10 | 8/11 | 8/17 | 8/20 | 57.1a |
| 注:与低阻抗组比较,aP<0.05 | ||||||
两组动物每次除颤后观察皮肤,皮肤均表现为正常或轻度红肿,没有一次出现水泡等较重损伤表现,所以两组之间皮肤灼伤程度无显著差异。
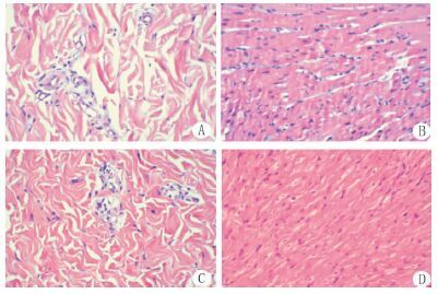
2.5 病理学表现两组皮肤组织病理学主要表现都是胶原纤维排列较疏松(图 1A、C, 轻度异常);但低阻抗组的心肌病理学主要表现是心肌纤维明显增粗,心肌细胞明显肥大,核大(图 1B, 明显异常),但无心肌纤维断裂、细胞坏死;而高阻抗组的心肌病理学主要表现心肌细胞形态基本正常(图 1D),见图 1。
|
| A:低阻抗组皮肤组织; B:低阻抗组心肌组织;C:高阻抗组皮肤组织; D:高阻抗组心肌组织 图 1 两组动物皮肤和心肌组织病理学表现(HE×200) Figure 1 Pathologic findings of skin and cardiac tissue in two groups(HE×200) |
|
|
如图 2所示,两组之间心肌酶(MYO, CKMB和CTNI)差异均无统计学意义(P>0.05) 。
|
| 图 2 两组动物心肌酶学变化 Figure 2 Myocardial enzyme changes in two groups |
|
|
电击除颤就是让足够的外加瞬间电流使所有心肌细胞同一时间去极化,然后同时复极,由于窦房结兴奋性最高,它首先发生激动恢复窦性心律[9]。有效的除颤要求经心电流足够达到去除心脏颤动的目的,同时又要尽可能小以减少对心肌的损伤。适当的经心电流是除颤成功的关键[10-11]。而经心电流的大小取决于除颤能量和经胸阻抗大小。除颤仪制造商推荐的首次除颤能量往往是固定的,如本研究拟用飞利浦HeartStart XL+除颤监护仪(双相波形)推荐成人首次除颤选择150 J,如果没有成功下次除颤能量增加至200 J。这种能量选择并没有考虑到不同的人经胸阻抗的差异。而影响经胸阻抗的因素有皮肤的情况,电极的大小,电极和皮肤的接触,除颤的次数和电击时通气的时相等[3-4]。由此可见由于个体差异或者人为因素造成的经胸阻抗增加,针对该类人群进行电击除颤时推荐的首次能量能否成功除颤尚未有研究。临床上也发现有些高经胸阻抗VF患者在选择制造商推荐首次除颤能量并未终止VF,而增加能量后除颤成功。所以本实验设计高低两种经胸阻抗模型,评价其对除颤的有效性和安全性。
实验结果表明与低阻抗组比较,高阻抗组在推荐的首次除颤能量电击下产生的经心电流明显下降(19.1 A vs. 34.9 A),导致首次除颤成功率也明显下降(50% vs. 94.9%)。首次除颤没有成功的动物经过CPR和再除颤(最大能量200 J)后所有动物都终止VF成功。如此可见当经胸阻抗较高时选择制造商推荐的首次能量除颤效果不佳,选择最高能量除颤可能提高除颤成功率。
虽然高阻抗组的总除颤次数70次明显高于低阻抗组43次,但两组的皮肤灼伤程度和组织病理学表现无明显差异。而且从病理学表现看,高阻抗组的心肌损伤明显轻于低阻抗组。虽然高阻抗组的除颤次数明显多于低阻抗组,但是经心电流明显小于后者。所以影响心肌损伤程度的最主要因素是经心电流大小,而不是除颤次数。但两组都没有明显的心肌细胞坏死,这与两组的心肌酶学之间差异无统计学意义的结果相吻合。
目前应用的除颤器可在输送电击前,基于患者阻抗的测量值调整除颤输出,也就是阻抗补偿技术。该技术可基于阻抗的实时测量值,通过更改波形的持续时间、振幅和(或)形状自动调整除颤器输出。当前的市售除颤器主要使用了两种不同的阻抗补偿技术,分别是基于电流的补偿和基于持续时间的补偿。本研究所用除颤仪的阻抗补偿技术属于第一种。既往研究表明对于高于均值的经胸阻抗,基于电流的补偿技术比基于持续时间的补偿技术更加有效[12]。也有研究表明基于电流的阻抗补偿技术对于高阻抗患者和低阻抗患者的除颤成功率差异无统计学意义[13]。但从本实验结果可见当阻抗增加一倍从50 Ω增加到100 Ω,理论上如果没有阻抗补偿技术电流会减少一半从34.9 A降至17.5 A,而本实验所用除颤仪基于电流的阻抗补偿技术所增加的电流却非常有限(从17.5 A增加到19.1 A),不足以保证有效除颤。所以虽然现在除颤仪都具有阻抗补偿技术,但补偿的电流很小,降低经胸阻抗才是提高除颤成功率的有效方法。降低阻抗的方法包括使用导电材料,对于有胸毛的男性患者要剔除胸毛,选择在呼气时相除颤, 保证足够的电极接触面积等[14-15]。
综上所述,经胸阻抗较高时应用推荐的首次能量除颤成功率较低,直接选择最大能量除颤可能效果更好。反复除颤导致的心肌损伤一般较轻,不会引起心肌坏死。影响心肌损伤的主要因素是经心电流的大小,而不是除颤次数。虽然临床应用除颤仪都具备阻抗补偿技术,但所补偿的电流非常有限,尽可能的降低阻抗才是成功除颤的关键。
| [1] | 李春盛, 卢毅. 成人心肺复苏研究进展[J]. 中华急诊医学杂志, 2015, 24(1): 7-9. DOI:10.3760/cma.j.issn.1671-0282.2015.01.004 |
| [2] | Kronick SL, Kurz MC, Lin S, et al. Part 4: Systems of care and continuous quality improvement: 2015 american heart association guidelines update for cardiopulmonary resuscitation and emergency cardiovascular care[J]. Circulation, 2015, 132(10): S397-413. DOI:10.1161/CIR.0000000000000258 |
| [3] | Kerber RE, Grayzel J, Hoyt R, et al. Transthoracic resistance in human defibrillation. Influence of body weight, chest size, serial shocks, paddle size and paddle contact pressure[J]. Circulation, 1981, 63(3): 676-682. DOI:10.1161/01.CIR.63.3.676 |
| [4] | Kerber RE, Kouba C, Martins J, et al. Advance prediction of transthoracic impedance in human defibrillation and cardioversion: Importance of impedance in determining the success of low-energy shocks[J]. Circulation, 1984, 70(8): 303-308. DOI:10.1161/01.CIR.70.2.303 |
| [5] | 武军元, 王烁, 李春盛, 等. 乌司他丁对心肺复苏后家猪脑功能保护的作用[J]. 中华急诊医学杂志, 2013, 22(1): 18-22. DOI:10.3760/cma.j.issn.1671-0282.2013.01.005 |
| [6] | Wu JY, Wang S, Li CS. Hemodynamic and catecholamine changes after recurrent ventricular fibrillation[J]. J Emerg Med, 2013, 44(2): 543-549. DOI:10.1016/j.jemermed.2012.06.022 |
| [7] | 王烁, 武军元, 李春盛. 自动体外除颤仪对猪心肺复苏的效果及对心功能的影响[J]. 中华急诊医学杂志, 2010, 19(10): 1045-1049. DOI:10.3760/cma.j.issn.1671-0282.2010.10.010 |
| [8] | 武军元, 李春盛. 应用程控刺激的心脏骤停模型[J]. 中华急诊医学杂志, 2008, 17(10): 1063-1065. DOI:10.3760/j.issn.1671-0282.2008.10.014 |
| [9] | Blanchard SM, Ideker RE. Mechanisms of electrical defibrillation: Impact of new experimental defibrillator waveforms[J]. AHJ, 1994, 127(2): 970-977. |
| [10] | Kerber RE, Martins JB, Kienzle MG, et al. Energy, current, and success in defibrillation and cardioversion: clinical studies using an automated impedance-based method of energy adjustment[J]. Circulation, 1988, 77(5): 1038-1046. DOI:10.1161/01.CIR.77.5.1038 |
| [11] | Santini M, Colivicchi F, Ammirati F, et al. Current indications for cardioverter-defibrillator implant in patients with syncope[J]. Cardiologia, 1999, 44(Pt 2): 575-579. |
| [12] | Li Y, Ristagno G, Yu T, et al. A comparison of defibrillation efficacy between different impedance compensation techniques in high impedance porcine model[J]. Resuscitation, 2009, 80(11): 1312-1317. DOI:10.1016/j.resuscitation.2009.08.004 |
| [13] | Chen B, Yin C, Ristagno G, et al. Retrospective evaluation of current-based impedance compensation defibrillation in out-of-hospital cardiac arrest[J]. Resuscitation, 2013, 84(5): 580-585. DOI:10.1016/j.resuscitation.2012.09.017 |
| [14] | Dalzell GW, Cunningham SR, Anderson J, et al. Electrode pad size, transthoracic impedance and success of external ventricular defibrillation[J]. Am J Cardiol, 1989, 64(12): 741-744. DOI:10.1016/0002-9149(89)90757-1 |
| [15] | Garcia LA, Kerber RE. Transthoracic defibrillation: does electrode adhesive pad position alter transthoracic impedance[J]. Resuscitation, 1998, 37(3): 139-143. DOI:10.1016/S0300-9572(98)00050-1 |
2017, Vol. 26



