中华急诊医学杂志  2017, Vol. 26 Issue (2): 232-232
难以琢磨的腹痛--一例克罗恩病病例讨论
张素巧     
卫生部中日友好医院急诊科

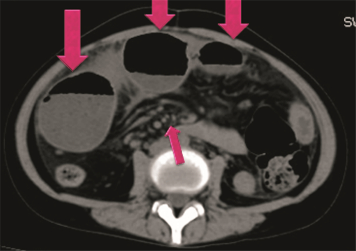
患者女,19岁,主因“间断腹痛1个月,加重2 d”于2016年9月19日入院。患者1个月前无明显诱因出现腹痛,自诉疼痛位置不定,主要为右下腹及脐周胀痛,偶伴恶心,无呕吐,于卫生部中日友好医院门诊就诊,完善腹部超声未见明显异常,妇科超声提示少量盆腔积液,予对症处理,腹痛症状间断缓解。2 d前腹痛症状加重,为阵发性脐周疼痛,伴恶心,无呕吐,伴发热,Tmax 37.8℃,1 d前未再排气排便,故来我院急诊就诊。既往史:反流性食管炎病史6年余,未规律服药;1月余前化验提示贫血,血色素78 g/L,考虑缺铁性贫血;月经史:初潮16岁,月经不规律,周期40~60 d,每次持续6~7 d,末次月经2016年9月1日。来诊查体:T 36.5℃,HR 112次/min,R 19次/min,BP 116/67 mmHg。神志清楚,急性病容。心肺查体无特殊。腹肌紧张,右下腹及脐周轻压痛,肠鸣音6次/min。双下肢不肿。初步印象:腹痛待查。完善相关检查:血常规WBC 13.64×109 L-1、N% 89.8%、Hb 88 g/L、PLT 704×109 L-1;阑尾B超未见异常;腹部CT示:腹腔液气平、腹腔软组织肿块、肠系膜淋巴结肿大,见图 1。普外科会诊后认为患者目前存在小肠梗阻,建议禁食水、补液;考虑腹部软组织肿块性质不明确,建议进一步完善腹部增强CT明确诊断;必要时联系急诊手术。次日血常规示WBC 11.61×109 L-1、N%72%、Hb 80 g/L、PLT617×109 L-1;普外科再次会诊后认为患者肠梗阻病因不详,目前血色素较前有下降,考虑有急诊手术指征,遂行急诊剖腹探查术。术中判断小肠克罗恩病可能性大,切除病变肠组织送检;病理示“肠壁全层可见慢性炎,局灶可见穿透肌层的裂隙状溃疡,伴中心脓肿形成,黏膜下层水肿及淋巴管扩张,淋巴滤泡形成,散在见上皮样肉芽肿,病变符合克罗恩病”。患者术后SICU观察;9月21日转入普外科一部病房;9月30日好转离院。

图 1 患者腹部CT结果

专家点评  从影像学看患者小肠壁增厚,考虑为反复炎症反应所致,基本上可除外急性小肠梗阻;因患者为青年女性,首先应考虑为小肠结核或小肠Crohn病。由于此患者无结核中毒症状,暂不考虑小肠结核。

Crohn病多见于青年人,病因未明,表现为肉芽肿性炎症病变,合并纤维化与溃疡。该病好发部位为回盲部,可侵及全胃肠道的任何部位,包括口腔、肛门,病变呈节段性或跳跃性分布,并可侵及肠道以外,特别是皮肤。临床表现因病变部位、范围及程度不同而多样化,病程缓慢,易复发。多数患者(2/3以上) 起病隐匿,初起症状不明显,可延误诊治;少数患者(不足1/3) 起病急骤,易误诊为急性阑尾炎、肠梗阻等。其病程长短不一,有者发病后经治痊愈,不再复发;有者可达数年或数十年。症状持续存在,经久不愈或复发与缓解交替出现。随炎症病变的进展,最终导致肠管纤维化,肠腔狭窄、梗阻或穿透肠壁形成瘘管或侵入附近脏器、组织。上消化道内镜可观察到食管、胃和十二指肠的病变,表现为多发性的口疮样溃疡或纵行的溃疡。此患者发病年龄 < 20岁,黏膜病变广泛,血小板明显升高,推测疾病预后欠佳。Crohn病目前主要采用内科药物治疗或介入治疗,一旦外科干预需警惕瘘管形成等并发症。