桡骨远端骨折是急诊科常见骨科疾病, 约占骨科急诊患者的1/6, 占全身骨折的6.7%[1-2].骨折的复位优劣对骨折愈合可产生直接影响, 因此手法整复是急诊保守治疗桡骨远端骨折的重要环节.骨折端的良好复位, 不仅有利于腕关节功能的恢复, 而且可抑制创伤性关节退变的发生[3].在日常急诊治疗中, 总会有部分桡骨远端骨折患者经首次手法整复后, 骨折位置尚未达到理想的复位状态, 选择适合的患者重复整复, 采用精准的小角度跟进式的补充手法纠正, 最终可获得良好的骨折复位.
1 资料与方法 1.1 一般资料2013年1月至2014年12月, 35例桡骨远端骨折的患者, 因首次复位后骨折位置不满意, 进行重复手法整复, 其中男17例, 女18例; 左侧15例, 右侧20例; 年龄范围9至65岁; 受伤原因:跌伤26例、坠落4、其他5例.
1.2 治疗方法采用臂丛麻醉或骨折断端局部麻醉, 患者取坐位或仰卧位, 助手站立于患肢前臂后侧, 双手牵于上臂远端紧靠肘横纹处; 术者双手握住患者患手大小鱼际, 双拇指并拢置于骨折远端, 并缓慢用力牵引, 在牵引时应将前臂旋前, 使旋前方肌松弛, 牵引约2~3 min, 当感觉骨折牵开后, 术者改用单手牵引, 另一只手在骨折断端畸形处实施手法整复, 根据骨折远端向背侧或掌侧成角、尺侧或桡侧偏离情况, 向相反的方向推按、挤压复位.如果骨折端粉碎或骨质疏松严重, 轻柔挤按即可, 以免使粉碎的皮质凹陷影响复位.在整复关节内骨折时, 可反复轻摇腕关节, 以达到磨平关节面的目的.整复完毕后石膏或夹板外固定.于整复后拍摄X线片, 确定骨折复位状况.
重复整复前, 需分审慎析首次整复后X线片, 掌握倾角、尺偏角、桡骨长度的恢复情况, 确定如何改进整复手法.确定使用多大力量才能纠正尚未矫正的骨折移位或成角, 使骨折最大限度地复位, 并接近于理想复位状态.重复手法整复不是简单的再次整复重, 而是具有明显的目的性、精准性、有效性的小角度跟进式的补充手法整复.
1.3 观察指标所有患者分别于治疗前、首次整复及再次整复后, 记录掌倾角、尺偏角、桡骨长度变化.定期复诊并拍摄X线片, 确保固定处于有效状态及骨折生长情况.于治疗后6个月, 记录Gartland-Werley关节评分[4]、Knirk-Jupiter关节炎分级[5].
1.4 统计学方法采用SPSS 17.0统计软件, 计量资料以均数±标准差(x±s) 表示, 两组均数比较采用成组t检验, 以P < 0.05差异具有统计学意义.
2 结果重复整复后的掌倾角、尺偏角、桡骨长度, 明显好于治疗前及首次整复后, 差异具有统计学意义(P < 0.05), 见表 1.所有患者获得随访, 骨折均愈合, 无神经及血管损伤, 无骨筋膜室综合发生.治疗后6个月, Gartland-Werley腕关节评分, 优14例, 良17例, 可3例, 差1例, 优良率达到88.57%. Knirk-Jupiter关节炎分级评价, 0级27例; 1级5例; 2级2例; 3级1例.典型病例修复前后X线片见图 1~3.
|
| A、B为治疗前, C、D为首次复位后, E、F为再次复位后 图 1 男性42岁患者, 右侧桡骨远端骨折治疗后骨折复位变化 |
|
|
|
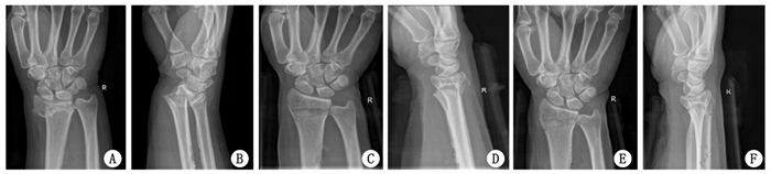
| A、B为治疗前, C、D为首次复位后, E、F为再次复位后 图 2 女性59岁患者, 左侧桡骨远端骨折治疗后骨折复位变化 |
|
|
|
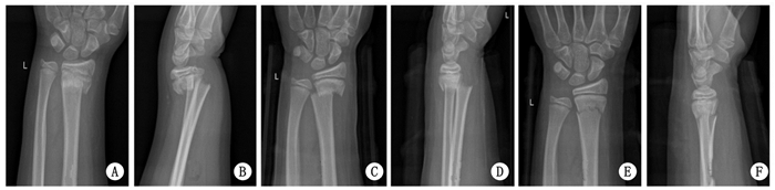
| A、B为治疗前, C、D为首次复位后, E、F为再次复位后 图 3 男性13岁患儿, 右侧桡骨远端骨折治疗后骨折复位变化 |
|
|
| 时点 | 例数 | 掌倾角(°) | 尺偏角(°) | 桡骨长度(mm) |
| 治疗前 | 35 | 4.25±8.70 | 9.25±10.84 | 4.63±5.08 |
| 首次复位后 | 35 | 7.11±4.16a | 15.11±7.50a | 7.15±2.30b |
| 再次复位后 | 35 | 10.21±1.02bd | 20.21±3.62bd | 11.02±1.13bd |
| 注:与治疗前比较, aP < 0.05, bP < 0.01;与首次复位后比较, cP < 0.05, dP < 0.01 | ||||
桡骨远端骨折的治疗方法很多, 何种方法能获得最佳的治疗效果, 国内外尚无统一的标准[6-7].在选择治疗方法时, 应综合考虑患者年龄、骨折类型、骨折端骨量、软组织的损伤等多方面因素, 而后制定个体化治疗方案, 并且在采取治疗前, 应向患者进行充分告知, 符合患者的个人意愿[8].桡骨远端骨折无论采用何种治疗方法, 目的都是为了获得最佳的骨折复位, 最终有效避免创伤性关节炎的发生, 并且最大限度地恢复腕关节的功能.保守治疗具有操作简单、费用低、疗效确切的优点, 易于被患者接受.在各级医院的急诊中, 保守治疗一直作为该类骨折的首选治疗方法, 其中以小夹板或石膏外固定治疗最具普遍性, 在实施保守治疗中, 手法整复是治疗中的核心, 手法整复后的复位程度, 直接关系到腕关节外形、功能恢复情况及是否采取手术治疗等问题.可参考的桡骨远端骨折复位标准[9-11]包括三部分, 即关节面的分离和塌陷 < 2 mm; 桡骨短缩 < 5 mm; 残余背倾 < 10°.
桡骨远端骨折畸形愈合与腕关节功能恢复情况的关系存在一定争议.有部分学者认为二者之间没有明显的联系, 良好的复位与腕关节功能恢复程度无必然关系[12-13].但相反的观点认为腕关节功能障碍与骨折愈合后残留的畸形之间存在相关性[14-15].腕关节是人体最复杂的关节, 属于椭圆关节, 同时也是非负重关节, 因此作者认为对桡骨远端骨折骨折的复位, 应根据不同年龄及患者的个人要求有所区别, 对于儿童及中青年患者应最大限度地接近解剖复位, 而老年人复位标准应有所降低.主要因为老年患者对腕关节活动的要求较低, 上肢的运动对腕关节活动有代偿作用, 即便腕关节活动范围部分减小, 对日常生活的影响不大.
实施手法复位时, 需要注意把握牵引的力量及时间, 只有牵引要到位, 才能利用韧带整复原理来恢复桡骨的高度、掌倾角、尺偏角, 这也是达到良好复位的前提条件.如牵引时间不够, 骨折两端的肌肉不够松弛, 骨折短缩就不能纠正, 其骨折的成角及旋转亦不能纠正, 骨折的整复效果难以达到理想状态.重复整复并非适用于所有患者, 主要选择对于腕关节功能要求较高的青中年患者及儿童患者, 再次整复的目的是最大限度恢复腕关节正常解剖结构, 以减少关节退行性变等并发症的发生.对于年龄>70岁的老年人或严重骨质疏松患者, 并不提倡.伴有骨质疏松的老年患者或高龄患者, 桡骨远端骨折后常伴有骨压缩或骨缺损, 重复整复将对腕部软组织造成再次损伤, 甚至导致骨折断端的进一步塌陷.另外, 此类患者在首次整复中亦切忌暴力整复, 因为老年人耐受性减低, 手法治理中易发生疼痛性休克, 甚至其他更严重并发症.
手法整复一次不能整复到位的情况常见, 但在首次整复前应习惯性向患者或家属进行告知, 此类告知可有效避免相关纷争, 有利于患者无障碍的配合再次整复.本研究中所选择的对象, 均为急诊首次手法复位不理想的患者, 短时间进行再次整复, 患者均达到了理想的复位效果.在急诊或门诊, 常可遇到首次在外院整复已经数日的患者, 且骨折复位不佳, 此类患者即便再次整复, 部分患者依然会出现复位不良, 甚至可能加大移位, 分析原因可能为骨折端血凝块或激化组织的形成直接影响到骨折复位.对于年龄>45岁患者, 常规心电图检查, 因为心电图检查结果既可指导麻醉方式的选择, 又可简单评估患者的心脏情况, 有利于避免手法治疗中的并发症发生.
本研究中, 患者经重复整复后的掌倾角、尺偏角、桡骨长度, 明显好于治疗前及首次整复后, 差异具有统计学意义, 说明重复整复可明显改善首次遗留的复位不良.治疗后的Gartland-Werley腕关节评分, 优良率可达88.57%; Knirk-Jupiter关节炎分级评价满意, 说明良好的骨折复位, 可改善腕关节功能, 并抑制创伤性关节退变.复位满意的患者需定期复查, 调整固定物松紧度, 并定期复查X线片, 以防固定物松动所导致的复位丢失[16].总之, 急诊重复整复操作简单, 不但不增加患者额外经济负担, 还可以避免由于复位不良, 而承担的高额手术费用.同时, 通过"手技"纠正的骨折畸形, 可重塑良好的肢体美学外观, 并为腕关节功能的回复创造了条件, 必将极大的改善患者生活质量.
| [1] | 胡伟锋, 陈维善. 急诊克氏针加动力型外固定架治疗不稳定性桡骨远端骨折[J]. 中华急诊医学杂志, 2015, 24(4): 440-442. DOI:10.3760/cma.j.issn.1671-0282.2015.04.024 |
| [2] | Hanel DP, Jones MD, Trumble TE. Wrist fractures[J]. Orthop Clin North Am, 2002, 33(1): 35-57. DOI:10.1016/S0030-5898(03)00071-3 |
| [3] | 赵小纲, 马岳蜂, 江观玉. 创伤性脑损伤影响骨折愈合速度机制的研究进展[J]. 中华急诊医学杂志, 2007, 16(2): 213-214. DOI:10.3760/j.issn:1671-0282.2007.02.028 |
| [4] | Gartland JJ Jr, Werley CW. Evaluation of healed Colles' fractures[J]. J Bone Joint Surg Am, 1951, 33(4): 895-907. DOI:10.2106/00004623-195133040-00009 |
| [5] | Knirk JL, Jupiter JB. Intra-articular fractures of the distal end of the radius in young adults[J]. J Bone Joint Surg Am, 1986, 68(5): 647-659. DOI:10.2106/00004623-198668050-00003 |
| [6] | Jung HW, Hong H, Jung HJ, et al. Redisplacement of distal radius fracture after initial closed reduction: analysis of prognostic factors[J]. Clin Orthop Surg, 2015, 7(3): 377-382. DOI:10.4055/cios.2015.7.3.377 |
| [7] | Desai MJ, Kamal RN, Richard MJ. Management of intercarpal ligament injuries associated with distal radius fractures[J]. Hand Clin, 2015, 31(3): 409-416. DOI:10.1016/j.hcl.2015.04.009 |
| [8] | Egol KA, Walsh M, Romo-Cardoso S, et al. Distal radial fractures in the elderly: operative compared with nonoperative treatment[J]. J Bone Joint Surg Am, 2010, 92(9): 1851-1857. DOI:10.2106/JBJS.I.00968 |
| [9] | Cooney WP. Fractures of the distal radius: A modern treatment-based classification[J]. Orthop Clin North Am, 1993, 24(2): 211-216. |
| [10] | Pogue DL, Viegas SF, Patterson RM, et al. Effects of distal radius fracture malunion on wrist joint mechanics[J]. J Hand Surg Am, 1990, 15(5): 721-727. DOI:10.1016/0363-5023(90)90143-F |
| [11] | Kazuki K, Kusunoki M, Shimazu A. A Pressure distribution in the radial carpal joint measured with a densitometer designed for pressure sensitive film[J]. J Hand Surg Am, 1991, 16(3): 401-408. DOI:10.1016/0363-5023(91)90005-V |
| [12] | Anzarut A, Johnson JA, Rowe BH, et al. Radiologic and patient-reported functional outcomes in an elderly cohort with conservatively treated distal radius fractures[J]. J Hand Surg Am, 2004, 29(6): 1121-1127. DOI:10.1016/j.jhsa.2004.07.002 |
| [13] | Arora R, Gabl M, Gschwentner M, et al. A comparative study of clinical and radiologic outcomes of unstable colles type distal radius fractures in patients older than 70 years: nonoperative treatment versus volar locking plating[J]. J Orthop Trauma, 2009, 23(4): 237-242. DOI:10.1097/BOT.0b013e31819b24e9 |
| [14] | Villar RN, Marsh D, Rushton N, et al. Three years after Colles' fracture. A prospective review[J]. J Bone Joint Surg Br, 1987, 69(4): 635-538. DOI:10.2106/00004623-198769040-00029 |
| [15] | Solgaard S, Bünger C, S lund K. Displaced distal radius fractures. A comparative study of early results following external fixation, functional bracing in supination, or dorsal plaster immobilization[J]. Arch Orthop Trauma Surg, 1990, 109(1): 34-38. |
| [16] | 魏立友, 陈立娟, 李春玲, 等. 金天格胶囊对骨质疏松性桡骨远端骨折患者骨折愈合及功能恢复的影响[J]. 中国骨质疏松杂志, 2015, 21(11): 1366-1368. DOI:10.3969/j.issn.1006-7108.2015.11.015 |
2017, Vol. 26



