中华急诊医学杂志  2017, Vol. 26 Issue (1): 119-119
创伤后15年迟发性肝脏疝入右侧胸腔一例
方鹤, 高红强, 李立     
650000 昆明,昆明医科大学附属甘美医院肝胆胰血管外科
1 资料与方法

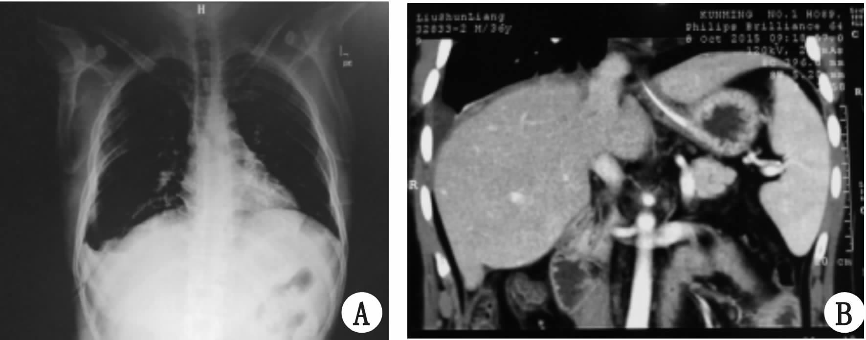
患者男性,35岁,就诊前12 h夜间睡觉时无明显诱因突发右上腹部疼痛不适入院,期间感胸闷,平卧时呼吸困难,无呕吐,腹痛前短期内无剧烈撞击史,15年前高空坠落后致胸部闭合性多发伤,血气胸,曾行右侧胸腔闭式引流。入院查体:呼吸浅快,右肺呼吸音未闻及,语颤减弱,腹软,右上腹空虚,剑突下及右侧中上腹部压痛、轻反跳痛伴肌紧张,肝浊音界上移,肠鸣音弱,2 min未闻及。入院急诊胸片示,右侧膈面升高,右肺压缩,膈疝可能(图 1A)。CT示右侧上中腹内横结肠及升结肠肠梗阻表现,并右侧膈肌抬升,右侧胸腔可见肠管影,肝脏位置上移、右肺膨胀不全,纵膈左偏,右肺压缩约80%(图 1B)。诊断为:肠梗阻,膈疝,遂急诊行剖腹探查术。

图 1 术前胸片(A)和CT结果(B)

右侧腹直肌切口进腹后经手探查发现右侧膈肌内侧冠状方向破裂约15 cm,横结肠、部分小肠、右半肝、肝左内叶及胆囊疝入右侧胸腔,肝左外叶处于正常位置,将疝入肠管约1.5 m逐渐从胸腔内缓慢移出,见肠管粘连扩张、水肿,无明显坏死。肠管回纳入腹腔后,术野内只能看到部分肝脏,经腹继续探查及还纳右肝和胆囊困难,无法完全暴露膈肌,遂调整体位为左侧位,经右胸后外侧第6肋间剖右胸探查(图 2A),见右肝呈椭圆形,脏面翻转朝上,胸腔内无积液,可见膈肌有陈旧疤痕,右肺不在术野之中,用手探查见右肝最高点平右胸骨角和右肺无明显粘连。经胸腹联合,将疝入肝脏和胆囊回纳入腹腔,由于腹腔空间有限,无法完全容纳肝脏,将肝脏移出腹腔,以便膈肌恢复原位,以10号丝线间断缝合修补破损膈肌,膈肌修补后呼吸机膨肺后留置胸腔闭式引流。关闭胸腔后,恢复平卧位,将肝脏及疝入肠管复位腹腔后导致腹腔空间不足,无法关腹,选择距屈氏韧带约1.5 m处粘连较重,术后可能再发梗阻的小肠切除约1 m(图 2B)。

图 2 术中右胸探查(A)和回纳肝脏(B)图片

患者肝脏回纳腹腔后,腹腔压力上升,术后前5 d腹内压波动在12~25 cmH2O(1 cmH2O=0.098 kPa),合并腹腔间隔综合征,术后转氨酶、胆红素一过性升高,术后3周复查胸片及CT平扫示小肠,结肠,肝脏及右膈位置正常(图 3),术后27 d痊愈出院。

图 3 术后胸片(A)和CT(B)图片
2 讨论

早期膈肌损伤影像学诊断率低,容易漏诊,创伤性膈疝临床上非常少见,右侧发生率较低。本例患者15年前高空坠落伤未发现右侧膈肌损伤,15年间无重复损伤的情况下急性起病。术中证实右侧膈肌破裂,诊断为迟发型创伤性膈疝,本病例膈肌迟发性破裂后,肝脏在腹腔及胸腔的双重压力下逐渐从膈肌裂口疝入胸腔,长期挤压后已变形呈椭圆形(图 2),肝脏取代部分膈肌的作用阻挡了肠管进入右侧胸腔,发病前右肺无症状。Sunanda等[1]报道了一例长达50年的右侧迟发型膈疝,患者3岁受伤,50年后出现症状,右肺发育良好。本例患者突发腹痛就诊,以“肠梗阻”为首发症状,CT明确胸腔内肠管有大量液气平面,故先行剖腹探查回纳肠管后,再行剖胸探查回纳肝脏,并采取直接缝合修补膈肌。由于腹腔高压,切除粘连肠管后关腹,术后仍出现腹腔间隔综合征,经胃肠减压、营养支持,减轻肠管水肿后腹腔高压逐渐好转,出院时患者已能正常饮食。本病例一经诊断后立即急诊手术,嵌顿肠管无坏死,右肺复张良好。

本病例另一独特之处在于,术后第1天患者即出现肝功能异常,这在既往的类似病例中很少见。推测术中、术后肝脏挤压受损致使ALT与AST一过性升高(图 4A),之后逐渐下降,恢复正常。术后4 d胆红素明显升高,以直接胆红素升高为主(图 4B),核磁共振排外肝内外胆管异常后,考虑患者肝脏疝入胸腔,脏面翻转后胆总管长期牵 拉,复位后存在一定程度的迂曲导致胆汁流出不畅,经过代偿后逐渐恢复正常。本例患者无其他复合损伤,术前身体状况良好,手术方案合理,术后并发症处理到位,未留下后遗症,预后较好。

图 4 术前和术后转氨酶(A)及胆红素(B)变化情况
参考文献
[1] Singh S, Kalan MM, Moreyra CE, et al. Diaphragmatic rupture presenting 50 years after the traumatic event[J]. J Trauma , 2000, 49 (1) : 156-159 DOI:10.1097/00005373-200007000-00025