脓毒症的发病率进年来持续增加[1-2],脓毒症常常进一步发展为多器官功能障碍综合征(MODS),这些受累器官包括肺、肝、肾、心、凝血系统、免疫系统甚至胰腺[3-6]等。甲状腺做为体内重要的内分泌器官,在脓毒症时,临床上常常可见其血清甲状腺激素水平异常,此类不正常的甲状腺功能检测结果被认为是甲状腺病态综合征(euthyroid sick syndrome,ESS)[7-8]。为了明确脓毒症时甲状腺功能异常原因及其病理改变,笔者对脓毒症大鼠甲状腺超微结构和功能改变等进行探讨,现报道如下。
1 材料与方法 1.1 试验材料T3、T4、fT3、fT4、TSH放射免疫分析盒由北京北方生物技术研究所提供(批号20121220) ;Caspase-3一抗抗体、AbExcel goat anti-rabbit(HRP)由Abcam公司提供(批号分别为GR51429-5、 GR101082-1) ;BCA蛋白定量试剂盒由碧云天生物技术研究所提(批号P0010) ;考马斯亮蓝G-250由上海沃凯药业有限公司提供(批号71011284) ;中分子量预染蛋白Marker(7带)由Fermentas公司提供(批号SM0671) ;Acrylamide、 Bis-Acrylamide由Amresco公司提供(批号分别为0341、0172) ;Ponceaus由Sigma公司提供(批号P3504) ;超微结构观察采用PHILIPS(EM208型)透射电镜。
1.2 动物分组及模型制备清洁级健康雄性SD大鼠32只(福建医科大学实验动物中心提供),体质量180~220 g,随机(随机数字法)分成4组,分别为对照组(C组)、12 h组(12 h组)、24 h组(24 h组)及36 h组(36 h组),每组大鼠8只。其中12 h组、24 h组及36 h组合称脓毒症组。脓毒症组大鼠术前禁食24 h,不禁水,腹腔注射水合氯醛(300 mg/kg)麻醉下保留自主呼吸。盲肠结扎穿孔术[9]:剃除腹部毛发后,碘伏棉球消毒,延腹部正中切开1.5 cm腹壁,暴露盲肠,距末端1 cm处结扎盲肠,然后用0.7 mm内径穿刺针单次贯穿被结扎盲肠中点处,由穿刺孔挤出粪便进入腹腔,后将盲肠送回原位,双层缝合腹壁,皮下注射生理盐水3 mL/100 g补充手术失水及抗休克治疗;C组动物不予任何处理。脓毒症模型成功标准:开腹后见被结扎盲肠发黑、肿胀,明显恶臭,腹腔内大量血性腹水。12 h组、24 h组及36 h组分别在术后12 h、24 h、36 h采取标本。腹腔内注射水合氯醛300 mg/kg麻醉下,分离右颈总动脉,穿刺采血约4 mL,1 000转/min高速离心5 min后得血清约2 mL,分装各1.5 mL及0.5 mL,冻存于-20 ℃冰箱备用,分别用于甲状腺功能指标T3、T4、fT3、fT4、TSH的检测,用放射免疫法检测。
1.3 观察指标的检测方法在处死大鼠之前,立刻离断气管,上至声门,下至第4~5节气管软骨环,置于0 ℃冰盐水中,镊子小心分离甲状腺左右侧叶,左侧冻存于-20 ℃冰箱,用于检测Caspase-3蛋白表达情况;右侧一分为二,一半固定于4%多聚甲醛,用于TUNEL检测细胞凋亡指数,操作在2 min内完成。免疫印迹法(Western blotting,WB)测凋亡蛋白Caspase-3表达,TUNEL检测甲状腺组织凋亡指数。操作严格按照各指标说明书进行。
甲状腺电镜标本制备与观察:右侧另一部分甲状腺在1 min内浸于3%戊二醛预固定,1.5%多聚甲醛前固定,1%锇酸-1.5%亚铁氰化钾后固定,酒精-丙酮脱水,环氧树脂618包埋剂包埋后超薄切片,醋酸铀、柠檬酸铅染色,透射电镜观察、摄影。
1.4 统计学方法甲状腺激素值以均数±标准差(x±s)表示,各组大鼠甲状腺激素水平的比较采用单因素方差分析。因凋亡指数及Caspase-3表达灰度值均非正态分布,以中位数(M)及四分位数(P25,P75)表示,多组间比较采用非参数Kruskal-Wallis H检验,如存在统计学差异,两两比较采用Nemenyi检验。统计学处理采用SPSS 19.0统计软件包完成,以P<0.05为差异具有统计学意义。
2 结果 2.1 各组间甲状腺激素值的比较T4水平在12 h、24 h、36 h 三个时点均较C组大鼠明显降低(P<0.05) ;T3水平在36 h时点较C组明显降低(P<0.05) ,其余两个时点和C组比较差异无统计学意义;fT3、fT4水平均表现为24 h组及36 h组较C组明显降低(P<0.05) ,其余差异无统计学意义;脓毒症各组TSH水平均较C组低,但差异无统计学意义,见表 1。
| 组别 | T3(ng/mL) | T4(ng/mL) | fT3(pmol/L) | fT4(pmol/L) | TSH(U/mL) |
| C 组 | 0.453±0.239 | 39.848±7.316 | 2.693±0. 983 | 7.920±1.769 | 0.506±0.144 |
| 12 h组 | 0.364±0.147 | 19.862±7.881a | 1.643±0.766 | 5.386±1.693 | 0.422±0.080 |
| 24 h组 | 0.271±0.051 | 12.784±4.394a | 1.155±0.417a | 3.413±1.115a | 0.458±0.087 |
| 36 h组 | 0.217±0.051a | 10.880±6.371a | 1.185±0.532a | 3.991±2.423a | 0.471±0.140 |
| 组间F值 | 4.007 | 31.984 | 8.194 | 9.829 | 0.708 |
| 注:与C组比较,aP<0.05 | |||||
脓毒症三组均高于C组,24 h组升高尤为明显,和C组比较差异有统计学意义(P<0.05) ,12 h、36 h组与C组比较则差异无统计学意义。
2.3 各组间TUNEL法测甲状腺组织凋亡指数的结果各组大鼠甲状腺组织凋亡细胞被染为棕色颗粒样,24 h组及36 h组可见大量被染色的甲状腺滤泡上皮细胞,其结构也受到严重破坏,滤泡破裂塌陷。随着时间延长,凋亡指数有逐步升高趋势。24 h组及36 h组凋亡指数均显著高于C组,差异有统计学意义(P<0.05) ,见表 2,图 1,2。
| 组别 | Caspase-3灰度值 | 凋亡指数 |
| C组 | 0.250(0.135,0.584) | 3.665(1.835,7.500) |
| 12 h组 | 0.639(0.472,1.045) | 11.830(11.000,14.247) |
| 24 h组 | 1.225(1.016,1.016) a | 17.500(15.580,22.165) a |
| 36 h组 | 0.462(0.172,0.625) | 23.665(17.000,27.670) a |
| χ2值 | 16.338 | 24.473 |
| 注:与C组比较,aP<0.05 | ||
|
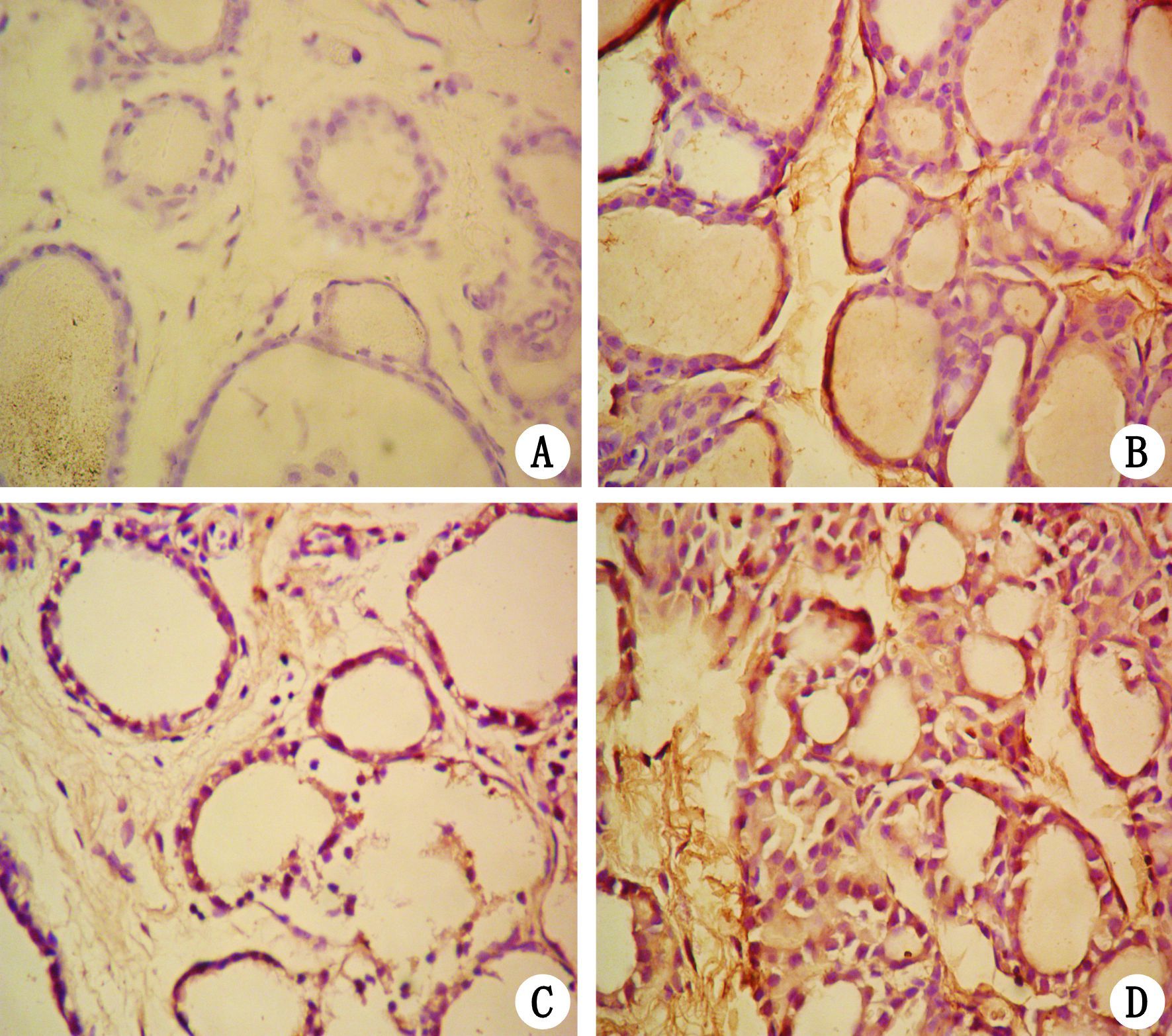
| 图 1 各组大鼠甲状腺Caspase-3蛋白的表达 Figure 1 The dynamic expression of Caspase-3 among control and sepsis groups |
|
|
|
| A图为C组(×400) ,可见1~2个细胞着色;B图为12 h组(×400) ,部分上皮细胞成串着色;C图为24 h组(×400) ;D图为36 h组(×400) ;C、D图可见更多细胞染色,且部分甲状腺滤泡塌陷,正常结构破坏 图 2 大鼠甲状腺组织TUNEL染色切片 Figure 2 TUNEL staining on thyroid gland of control group and sepsis groups |
|
|
透视电镜下,C组甲状腺滤泡上皮细胞膜完整,胞质内各细胞器结构清晰可见,分泌颗粒丰富,细胞核仁结构正常,染色均匀,微绒毛排列整齐,部分细胞可见出胞分泌;12 h组大鼠甲状腺组织细胞核结构出现体积缩小,染色不均;24 h组大鼠甲状腺细胞膜完整性破坏,胞质内可见较多空泡,细胞器结构欠清,部分严重者,细胞核固缩、脱落于滤泡腔内;36 h组大鼠甲状腺滤泡结构大片破坏、塌陷,周围甲状腺滤泡上皮细胞被大量空泡取代,细胞结构丧失,见图 3。
|
| A图为C组(× 6 300) ,滤泡上皮细胞结构完整,细胞连接清晰可见,细胞核形态正常,染色均匀,胞质内可见线粒体、粗面内质网、高尔基体及较多深染分泌颗粒,部分伸入甲状腺滤泡腔内的微绒毛正在向外分泌;B图为12 h组(× 6 300) ,滤泡上皮细胞核形态发生改变,其内染色质不均匀分布,但细胞膜结构完整,图中呈长方形,细胞器结构清晰,箭头示细胞正处于分泌状态;C图为24 h组(× 6 300) ,滤泡上皮细胞尚由完整的细胞膜包绕,但细胞核明显缩小,染色加深(箭头所示),胞质未见完整线粒体、内质网等细胞器结构,取而代之的是大量空泡,微绒毛减少且排列紊乱;D图为36 h组(× 3 150) ,滤泡上皮细胞发生核固缩,染色不均匀加深,细胞结构完整性破坏,无细胞器结构,破碎的细胞质脱落于甲状腺滤泡中,残存的部分细胞质内可见大量空泡 图 3 各组大鼠甲状腺滤泡上皮细胞超微结构 Figure 3 The ultrastructural change in thyroid in control group and sepsis groups |
|
|
各种危重病导致甲状腺病态综合征早在1980年就有学者报道,表现为血清中甲状腺相关激素水平变化,而不存在甲状腺本身的病变[10],血清甲状腺激素水平改变表现为可逆性的甲状腺激素下降,起初是血清T3水平下降和rT3水平的上升,如果条件继续恶化,血清T4也有可能下降,形成一个典型的低T3、 T4而没有代偿性的高水平的TSH的情况,TSH往往都保持正常[11-12]。经典的ESS被称为低T3综合征,也有学者发现甲状腺病态综合征还包括低T4综合征、低T3T4综合征等[12]。本实验检测各组大鼠血清甲状腺激素水平发现,脓毒血症组较C组fT3、fT4及T4均明显低下,而TSH差异无统计学意义,和以往报道的甲状腺病态综合征结果基本一致,表明动物模型脓毒症可以导致甲状腺病态综合征。
Caspase-3在细胞凋亡起始和发展过程中起关键作用,是级联反应最关键的凋亡执行和效应蛋白酶,在凋亡程序中起最后枢纽作用[13]。在该实验中,各组大鼠甲状腺组织均检测到Caspase-3蛋白的表达,进行灰度值比较后发现脓毒症三组均高于C组,提示脓毒症组大鼠甲状腺细胞凋亡增加。各组大鼠甲状腺组织TUNEL法凋亡指数检测发现,24 h组及36 h组明显高于C组,这一结果和Caspase-3蛋白表达基本一致。可见,脓毒症可使甲状腺组织细胞凋亡增加。通过透射电镜发现,脓毒症组大鼠甲状腺滤泡细胞胞膜完整性破坏,胞质内可见较多空泡,细胞器结构欠清;部分严重者,细胞核固缩、脱落于滤泡腔内,严重者甚至出现细胞结构丧失,甲状腺滤泡结构大片破坏、塌陷。脓毒症大鼠甲状腺细胞凋亡增加,超微结构明显改变,表明脓毒症使大鼠甲状腺细胞出现明显损害。
甲状腺病态综合征发病机制,以往认为是由于一些甲状腺抑制物进入血液循环,使血清T3、T4水平降低,从而有利于机体能量需求和代谢水平减低,使机体处于低代谢率状态,达到节省能量,减少消耗目的。因此,甲状腺病态综合征可能是机体保护性机制作用的结果[14]。也有学者认为,危重症患者,机体因应激反应分泌各种细胞因子,这些细胞因子通过多种途径作用于下丘脑-垂体-甲状腺轴,使甲状腺激素合成、分泌、代谢及反馈等障碍,从而出现甲状腺病态综合征[15]。
而根据本研究结果,脓毒症导致的甲状腺病态综合征,其原因可能是甲状腺滤泡细胞损害及凋亡增加所致,不只是机体保护性机制作用的结果。当fT3、fT4及T4减低时,根据反馈机制,血浆TSH水平本应该升高,在本研究中,脓毒症大鼠血浆TSH水平反而降低,和C组比较,虽差异无统计学意义,但脓毒症不同时期三组大鼠血浆TSH均减低,也表明脓毒症时大鼠下丘脑及垂体可能也受到一定程度的损害。由图 3可知,随着脓毒症时间的延长,甲状腺细胞的损害越来越严重。可见,当脓毒症不能得到有效控制时,甲状腺和其他器官一样,随着病情的进展,损害将进一步加重,导致机体代谢进一步混乱,从而使患者的病情进一步恶化,这符合以往学者报道的危重患者血清T3和(或)T4值很低时提示预后差的结论[16]。
严重脓毒症是ICU常见的危重症疾病。严重脓毒症时,机体因应激反应分泌各种细胞因子和炎性介质,如白细胞介素-6(IL-6) 、肿瘤坏死因子-α(TNF-α)等,这些炎症介质以自分泌、旁分泌等方式单独或联合作用于局部和全身,加之微循环障碍、细菌毒素等的共同作用,使全身多个器官受累,常常引起MODS,而MODS不仅会出现肺、心、肝、循环、胃肠道、胰腺等器官功能障碍,从本实验结果可以看出,甲状腺作为重要的内分泌器官,同样可以受到损害,其损害的机制可能和肺、心、肝、肾等体内其他器官一样,是由于炎性介质、细胞因子、微循环障碍、细菌毒素等作用的结果。因此可以认为,在脓毒症引起的MODS中,甲状腺作为一个器官同样受到损害,从而导致功能异常,出现甲状腺病态综合征。
| [1] | 蔡国龙, 严静, 邱海波. 中国严重脓毒症/脓毒性休克治疗指南(2014)[J]. 中华危重病急救医学 , 2015, 27 (6) : 401-426 DOI:10.3760/cma.j.issn.2095-4352.2015.06.001 |
| [2] | Danai P, Martin GS. Epidemiology of sepsis: recent advances[J]. Curr Infect Dis Rep , 2005, 7 (5) : 329-334 DOI:10.1007/s11908-005-0005-1 |
| [3] | 石松菁, 林才经, 林兴盛. 多器官功能障碍综合征大鼠胰岛β细胞超微结构和功能的改变[J]. 中华急诊医学杂志 , 2009, 18 (10) : 1026-1030 DOI:10.3760/cma.j.issn.1671-0282.2009.10.006 |
| [4] | 石松菁, 林兴盛, 杨火保. 多器官功能障碍综合征患者胰腺损害的探讨[J]. 中华急诊医学杂志 , 2013, 22 (8) : 846-849 DOI:10.3760/cma.j.issn.1671-0282.2013.08.008 |
| [5] | 刘先华, 夏鹄. 脓毒症患者凝血功能异常与预后的关系[J]. 中国急救复苏与灾害医学杂志 , 2015, 10 (6) : 558-560 DOI:10.3969/j.issn.1673-6966.2015.06.025 |
| [6] | Cao C, Ma T, Chai YF, et al. The role of regulatory T cells in immune dysfunction during sepsis[J]. Word J Emerg Med , 2015, 6 (1) : 5-9 DOI:10.5847/wjem.j.1920-8642.2015.01.001 |
| [7] | Khardori R, Castillo D. Endocrine and metabolic changes during sepsis: an update[J]. Med Clin North Am , 2012, 96 (6) : 1095-1105 DOI:10.1016/j.mcna.2012.09.005 |
| [8] | De Groot LJ. Non-thyroidal illness syndrome is a manifestation of hypothalamic-pituitary dysfunction, and in view of current evidence, should be treated with appropriate replacement therapies[J]. Crit Care Clin , 2006, 22 (1) : 57-86 DOI:10.1016/j.ccc.2005.10.001 |
| [9] | Hubbard WJ, Choudhry M, Schwacha MG, et al. Cecal ligation and puncture[J]. Shock , 2005, 24 (Suppl 1) : 52-57 DOI:10.1097/01.shk.0000191414.94461.7e |
| [10] | Inan M, Koyuncu A, Aydin C, et al. Thyroid hormone supplementation in sepsis: an experimental study[J]. Surgery Today , 2003, 33 (1) : 24-29 DOI:10.1007/s005950300004 |
| [11] | Dilli D, Dilmen U. The role of interleukin-6 and C-reactive protein in non-thyroidal illness in premature infants followed in neonatal intensive care unit[J]. J Clin Res Pediatr Endocrinol , 2012, 4 (2) : 66-71 DOI:10.4274/jcrpe.625 |
| [12] | Warner MH, Beckett GJ. Mechanisms behind the non-thyroidal illness syndrome: an update[J]. J Endocrinol , 2010, 205 (1) : 1-13 DOI:10.1677/JOE-09-0412 |
| [13] | Kang HJ, Lee YM, Jeong YJ, et al. Large-scale preparation of active caspase-3 in E.coli by designing its thrombin-activatable precursors[J]. BMC Biotechnol , 2008, 8 (4) : 1-8 DOI:10.1186/1472-6750-8-92 |
| [14] | Yaglova NV. Morphofunctional analysis of development of nonthyroid disease syndrome in experimental endotoxicosis[J]. Bull Exp Biol Med , 2009, 148 (5) : 829-833 DOI:10.1007/s10517-010-0828-0 |
| [15] | 王秀梅, 宋丽洁, 张金红. 正常甲状腺病态综合征[J]. 中国急救复苏与灾害医学杂志 , 2013, 8 (6) : 564-566 DOI:10.39696/j.issn.1673-6966.2013.06.03 |
| [16] | 许丽, 李春盛. 全身炎症反应综合征患者心率变异性及血甲状腺激素和皮质醇变化与预后关系的研究[J]. 中国危重病急救医学 , 2007, 19 (3) : 160-164 DOI:10.3760/j.issn.1003-0603.2007.03.010 |
2017, Vol. 26



