中华急诊医学杂志  2016, Vol. 25 Issue (12): 1273-1276
急性吸入性金属镍中毒4例
梅勇, 张劲松, 陈旭锋, 张刚, 孙凯, 孙昊, 刘霞, 沈斌     
210029 南京,南京医科大学第一附属医院急诊医学中心
摘要: 目的 探讨急性吸入性金属镍中毒的临床特点,并观察治疗效果。 方法 收集南京医科大学第一附属医院急诊医学中心近期收治的4例急性吸入性金属镍中毒患者的临床资料,分析其暴露史、临床特点、实验室及影像学检查、血清及尿镍浓度及临床治疗和转归。 结果 4例患者胸部CT均表现为肺部弥漫性渗出。血清及尿镍浓度均升高,与病情严重性成正比。2例重症患者予二巯丙磺钠和机械通气,4例患者均接受了糖皮质激素治疗。所有患者均病情改善出院。 结论 吸入性金属镍中毒少见,早期症状不典型。肺部弥漫性渗出改变为其主要特征。血、尿镍检测有助于诊断和判断病情。糖皮质激素、驱镍治疗和对症处理有效。
关键词: 急性     金属镍     吸入性     中毒     镍浓度     急性呼吸窘迫综合征     机械通气     糖皮质激素     驱镍治疗    
Acute inhalational metallic nickel poisoning
Mei Yong, Zhang Jinsong, Chen Xufeng, Zhang Gang, Sun Kai, Sun Hao, Liu Xia, Shen Bin     
Department of Emergency Medicine, the First Affiliated Hospital of Nanjing Medical University, Nanjing, 210029, China
*Corresponding author: Zhang Jinsong, Email: zhangjso@njmu.edu.cn.
Fund program: Program for Key disease of Jiangsu Province Science and Technology Department (BL2014088)
Abstract: Objective To investigate the clinical characteristics of acute inhalational metallic nickel poisoning and its treatment effect. Methods Data including epidemiology, clinical features, laboratory tests, imaging examinations, therapy protocol as well as prognosis were collected and analyzed. Results Thoracic CT scan of all patients demonstrated as bilateral diffuse infiltration. Nickel concentration in both blood and urine were high in all patients and the concentration was positively associated with poisoning severity. All 4 patients received glucocorticoid treatment, 2 of whom with acute respiratory distress syndrome were admitted to ICU to initiate mechanical ventilation and were given sodium dimercaptopropanesulfonate. All patients survived to hospital discharge. Conclusions Acute inhalational metallic nickel poisoning is uncommon and early symptoms are inconclusive. The blood and urine nickel concentration is helpful to judge the severity of the disease. Pulmonary diffuse infiltration is the main clinical feature. Glucocorticoid, chelation therapy as well as symptomatic treatment are effective therapies to relief disease severity.
Key words: Acute     Metallic nickel     Inhalational     Poisoning     Nickel concentration     Acute respiratory distress syndrome     Mechanical ventilation     Glucocorticoid     Chelation therapy    

镍是一种重要的有色金属原料,在造船、化学、电化学和镀锌等现代工业生产中被广泛应用。因此,职业性和相关环境中会存在广泛的镍暴露[1]。工业上,羰基镍大量应用于镍提纯,故羰基镍中毒是国内外报道最多的镍中毒[1-2]。急性金属镍中毒主要发生在喷涂镍过程中。以“镍”与“中毒”、“呼吸衰竭”、“ARDS”分别组合为关键词查阅万方、中国知网、维普等国内数据库,近十年尚未见金属镍中毒报道。现将南京医科大学第一附属医院近期收治的4例急性吸入性金属镍中毒病例结合文献报道如下。

1 资料与方法 1.1 一般资料

收集南京医科大学第一附属医院急诊中心收治的4例急性吸入性金属镍中毒患者资料纳入研究。4例患者分别编号为A、B、C、D。4例患者均为从事耐火涂层工作的男性,年龄分别为49岁、59岁、49岁、43岁,平均年龄为50岁,均于2016年8月至9月入院。既往均体健。B患者有吸烟史,吸烟指数为900。

1.2 方法

详细询问现场职业卫生环境、病史、体格检查。所有患者入院后均行血、尿、粪常规、肝肾功能、动脉血气分析、心电图、胸部CT检查。28 d后行胸部CT及肺功能检查。

测定患者血清、尿镍浓度。采集患者入院时尿液15 mL、随后每天晨尿15 mL,共28份。留取患者入院时血清,随后使用二巯丙磺钠期间,每天晨8时留取血清一份,7 d驱镍治疗结束后,每隔7 d留取血清一份,共10份。

镍浓度测定采用电感耦合等离子体质谱法。仪器和试剂为电感耦合等离子体质谱仪(Thermo Scientific iCAP-Q),镍标准溶液(GSB04-1766-2004,GSB04-2828-2011,国家有色金属及电子材料分析测试中心研究院,唯一标识:156102、156062)。测定方法:取200 μL血浆样本,加入300 μL硝酸,放于80 ℃恒温水浴锅水浴2.5 h至液体澄清透明,平衡至室温,加入内标应用液50 μL,稀释至10 mL刻度。配置标准溶液,添加内标,上机检测血清样本中镍含量,由iCAP-Q Qtegra软件处理导出实验结果。

2 结果 2.1 现场职业卫生环境

2016年8月11日下午3:00-5:00,某热力发电厂锅炉水冷壁维修时,工人(佩戴防护装置)使用超音速电弧喷涂技术喷涂镍,相隔5 m且处于下风密闭环境中进行耐火涂层的4名工人未佩戴防护装置。其中C、D闻到异味后,脱离工作现场(暴露约1 h)。A、B未离开,暴露2 h。

2.2 临床表现

患者均出现乏力、发热、咳嗽、胸闷症状。最早出现的症状为乏力、发热,体温分别为38.8 ℃、39.2 ℃、38.7 ℃、38.6 ℃,平均体温为38.8 ℃。呼吸系统症状均出现较迟,出现时间分别为56 h、66 h、68 h、120 h。入院时患者平均PaO2为62.5 mmHg (1 mmHg=0.133 Kpa)。暴露时间越长,症状出现越早,入院时PaO2越低(表 1)。

表 1 4例患者症状及出现时间 Table 1 Symptoms and onset time of patients
患者
编号
暴露时间
(h)
入院时PaO2
(mmHg)
症状出现时间(h)
乏力发热咳嗽胸闷气喘
A245122565662
B254434666672
C17548486876
D176525612012
注:PaO2均是在吸空气时检测
2.3 辅助检查 2.3.1 常规检查

患者入院时检查主要表现为白细胞总数及中性粒细胞比例增高。4例患者心肌酶谱、肝肾功能无明显异常。见表 2

表 2 4例患者入院时实验室检查结果 Table 2 Laboratory findings of patients
检查项目患者A患者B患者C患者D
WBC (×109 L-1)13.127.510.111.1
NE (%)92.089.788.283.1
ALT (U/L)311102225
AST (U/L)20261818
Cr (μmol/L)61697357
Urea (mmol/L)6.510.15.24.28
LDH (U/L)286270196186
Trop T (ng/L)4.36.63.94.8
注:WBC白细胞总数;NE%中性粒细胞百分比;ALT谷丙转氨酶;AST谷草转氨酶;Urea尿素;Cr肌酐;LDH乳酸脱氢酶;TropT肌钙蛋白T
2.3.2 血清、尿镍浓度

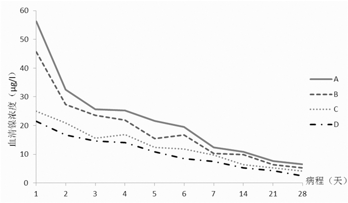
正常人血清镍浓度为0.2 μg/L,尿镍浓度为1~3 μg/L。患者病情越重,血清、尿镍浓度越高。患者在入院时血清、尿镍浓度达到峰值,随后浓度逐渐下降。第28天时仍高于正常(图 12)。

图 1 患者尿镍浓度变化 Figure 1 Sequential urine Ni level of patients
图 2 患者血清镍浓度变化 Figure 2 Serum Ni level of patients
2.3.3 肺功能检查

患者发病28 d后行肺功能检查。患者A结果是中度限制性通气功能及轻度弥散功能障碍;患者B为中度限制性通气功能障碍;患者C为轻度限制性通气功能障碍;患者D肺功能正常。肺总量(TLC)占预计值的百分比与患者病情严重程度相关(表 3)。

表 3 4例患者肺功能结果(%) Table 3 Lung function of patients (%)
患者FEV1/FVCTLC%predDLCOSB%pred
A86.549.476.9
B88.252.782.3
C90.377.489.5
D92.285.691.2
注:FEV1第一秒用力呼气量;FVC用力肺活量;TLC%pred肺总量占预计值的百分比;DLCOSB%pred肺一氧化碳弥散量占预计值的百分比
2.3.4 胸部CT

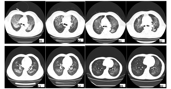
患者入院时胸部CT检查均显示,两肺弥漫性斑片影及磨玻璃样密度影。28 d后复查CT仍然存在斑片状渗出(图 3)。

A1、A2为A患者治疗前后比较;B1、B2为B患者治疗前后比较;C1、C2为C患者治疗前后比较;D1、D2为D患者治疗前后比较 图 3 4例患者胸部CT表现 Figure 3 CT appearance of lung of patients
2.4 治疗和转归 2.4.1 氧疗和机械通气

A、B患者入住急诊重症监护病房,C、D患者入住急诊普通病区。A患者表现为急性呼吸窘迫综合征(ARDS),予气管插管给予有创机械通气。7 d后症状好转,序贯无创通气。10 d后改为鼻导管给氧3 L/min。B患者入院后采用BiPAP模式行无创通气,15 d后改为鼻导管给氧3 L/min。C、D患者入院后予鼻导管给氧3 L/min。

2.4.2 驱镍治疗

A、B患者入院后即予二巯丙磺钠静脉滴注,用法为一次5 mg/kg,第1天为每6 h一次,第2天为每8 h一次,第3天为每12 h一次,后4 d为每天一次,总疗程7 d。C、D患者入院后未予驱镍治疗。

2.4.3 糖皮质激素治疗

A患者入院后即予甲强龙200 mg每天一次,3 d后减为80 mg每天一次,使用3 d后停用。B、C、D患者均予甲强龙每天80 mg,3 d后停用。4例患者治疗后均好转出院,门诊随访。

3 讨论

急性吸入性金属镍中毒国内外均罕见。文献报道以急性羰基镍中毒为主。急性羰基镍中毒特点与金属镍中毒不同,除呼吸系统损伤外,常伴有神经系统等多器官损伤。以“镍”与“中毒”、“呼吸衰竭”、“ARDS”两两组合为关键词查阅Pubmed、Springerlink国外数据库,近10年只有一篇Rendall等[3]报道的急性吸入性金属镍中毒病例,其报道中患者未采取防护措施进行电弧法喷涂镍90 min后,出现中毒症状,表现为ARDS,13 d后患者死亡。患者中毒环境及临床表现与本组病例相似,而该文献中现场采样调查显示中毒现场空气主要成分为金属镍,未检测到羰基镍。

镍中毒包括金属镍及其化合物中毒。其毒性强弱与其水溶性相关,水溶性越高,毒性越强。镍及其化合物根据水溶性分为三类[4]。一类是高溶解度化合物,包括氯化镍、硫酸镍、硝酸镍;一类是中等溶解度化合物,包括碳酸镍、氢氧化镍;一类是低溶解度化合物,包括金属镍、硫化镍、氧化镍、羰基镍。羰基镍虽然水溶性差,但是在常温下羰基镍是极易挥发的液体,且具有亲脂性,很容易穿透细胞膜,是毒性最强的镍化合物,其临床及基础研究较多[5]

急性金属镍中毒的主要途径为呼吸道吸入和皮肤接触。吸入的金属镍主要有气溶胶、粉尘、烟雾三种形式。镍吸入后主要沉积于上下呼吸道,沉积的部位取决于镍粒子直径[6]。直径5~30 μm的粒子沉积于鼻咽部粘膜;直径1~5 μm的粒子沉积于气管和细支气管;直径 < 1 μm的粒子沉积于肺泡。沉积在肺的镍一部分通过咳痰排出,20%~35%通过巨噬细胞吞噬进入血液。Torjussen和AndersenI[7]研究显示高溶解度镍化合物中毒患者的血清、尿镍浓度均高于金属镍中毒患者,说明由于金属镍的低溶解度,吸收入血的镍总量和速度小于高溶解度镍化合物,因此吸入性金属镍中毒患者早期血清镍浓度较低。金属镍在肺中的半衰期与其粒子直径及水溶性相关。动物实验显示,以大鼠为实验对象,与金属镍水溶性相似的氧化镍的半衰期长达11~21个月[8-9]。尸检显示吸入低溶解度镍化合物的患者,每克肺组织含镍量为(330±380)μg,而吸入高溶解度镍化合物的患者仅为(34±48)μg[10]。这也是本组病例在病程第28天时,胸部CT仍存在病灶的原因。进入血液的镍主要与白蛋白结合,其次与α2-巨球蛋白、L-组氨酸结合。金属镍在肺中分布浓度最高,其次依次为甲状腺、肾上腺、肾脏、肝脏、脑组织、脾脏、胰腺[11]。镍主要通过尿液排出,还有一小部分通过粪便、汗液排出。

吸入性金属镍中毒的损伤机制主要是对肺泡Ⅱ型上皮细胞的直接损伤。目前无吸入性金属镍中毒对其他系统造成损伤的报道。其临床表现主要为呼吸系统损伤的症状。本组病例的临床特点如下:早期症状不典型,呼吸道症状和肺部影像学改变分别出现于接触后56 h、66 h、68 h、120 h,此前表现为乏力、发热而无呼吸道症状,均误诊为感冒;患者均出现白细胞总数增高,病情越重,白细胞总数越高;肝肾功能未见明显损伤。患者胸部CT主要表现为两肺弥漫性斑片影及磨玻璃样改变,肺部病灶大小与病情严重程度相关。患者肺功能检查显示为限制性通气功能障碍和弥散功能障碍。

毒物检测是中毒诊治的重要方面[12]。镍中毒的毒物检测主要是血、尿镍浓度测定。有研究表明,镍中毒时,尿镍浓度是血清镍浓度的8倍[13]。本组病例血清、尿镍浓度在入院时达高峰后逐渐下降,病情严重程度与血清、尿镍浓度相关。

关于急性羰基镍中毒治疗的报道较多,而急性吸入性金属镍治疗目前无报道。本组病例以对症治疗为主,2例轻度中毒患者予鼻导管给氧,2例重度中毒患者予机械通气,按照ARDS的肺保护性通气策略行机械通气[14]。本组病例根据病情轻重,选择糖皮质激素的剂量。急性羰基镍中毒的驱镍治疗目前仍存在争议[15]。主要原因是:驱镍治疗有效的研究大都是动物实验和病例报道,缺乏说服力[4]。目前文献中推荐羰基镍中毒的驱镍药物为二乙基二硫代氨基甲酸钠,应用指征为中毒8 h后尿镍浓度>100 μg/L[4]。因无法取得二乙基二硫代氨基甲酸钠,故本组病例中A、B患者使用二巯丙磺钠治疗。4例患者出院时临床症状消失。两例重症患者,出院时肺部仍存在少许病灶。

参考文献
[1] 王秋英, 马国煜, 宣小强, 等. 羰基镍的毒理及临床研究现状[J]. 中华劳动卫生职业病杂志 , 2010, 28 (2) : 149-151
Wang QY, Ma GY, Xuan XQ. Toxicology of nickel carbonyl and status quo of clinical research[J]. Chin J Indust Hyg Occup Dis , 2010, 28 (2) : 149-151 DOI:10.3760/cma.j.issn.1001-9391.2010.02.032
[2] Andersen O, Aaseth J. A review of pitfalls and progress in chelation treatment of metal poisonings[J]. J Trace Elem Med Biol , 2016, 38 (1) : 74-80 DOI:10.1016/j.jtemb.2016.03.013
[3] Rendall RE, Phillips JI, Renton KA. Death following exposure to fine particulate nickel from a metal arc process[J]. Ann Occup Hyg , 1994, 38 (6) : 921-30 DOI:10.1093/annhyg/38.6.921
[4] Barceloux DG. Nickel[J]. Clini Toxic , 1999, 37 (2) : 239-258 DOI:10.1081/CLT-100102423
[5] Bradberry SM, Vale JA. Therapeutic review: do diethyldithio carbamate and disulfiram have a role in acute nickel carbonyl poisoning[J]. J Toxicolclin Toxicol , 1999, 37 (2) : 259-264 DOI:10.1081/CLT-100102424
[6] Gordon T, AmdurMO. Casarett and Doull's toxicology4th [M]. New York: McGraw-Hill NY Press, 1991 : 383 -406 .
[7] Torjussen W, AndersenI. Nickel concentrations in nasal mucosa, plasma and urine in active and retired nickel workers[J]. Ann Clin Lab Sci , 1979, 9 (4) : 289-298
[8] Benson JM, Chang I-Y, Cheng YS. Particle clearance and histopathology in lungs of F344/N rats and B6C3F1 mice inhaling nickel oxide or nickel sulfate[J]. Fundam Appl Toxicol , 1995, 28 (2) : 232-244 DOI:10.1006/faat.1995.1164
[9] Tanaka I, Ishimatsu S, MatsunoK, et al. Biological half time of deposited nickel oxide aerosol in rat lung by inhalation[J]. Biol Trace Element Res , 1985, 8 (3) : 203-210 DOI:10.1007/BF02917459
[10] Svenes KB, Andersen I. Distribution of nickel in lungs from former nickel workers[J]. Int Arch Occup Environ Health , 1998, 71 (6) : 424-428 DOI:10.1007/s004200050301
[11] Rezuke WN, Knight JA, Sunderman FW Jr. Reference values for nickel concentrations in human tissues and bile[J]. Am J Ind Med , 1987, 11 (4) : 419-426 DOI:10.1002/ajim.4700110404
[12] 黄亮, 殷勤. 开展毒物检测, 规范中毒诊疗[J]. 中华急诊医学杂志 , 2014, 23 (11) : 1195-1197
Huang L, Yin Q. Develop toxicity analysis, standardize the diagnosis and treatment of poisoning[J]. Chin J Emerg Med , 2014, 23 (11) : 1195-1197 DOI:10.3760/cma.j.issn.1671-0282.2014.11.003
[13] Angerer J, LehnertG. Occupational chronic exposure to metals.Ⅱ.Nickel exposure of stainless steel welders-biological monitoring[J]. Int Arch Occup Environ Health , 1990, 62 (1) : 7-10 DOI:10.1007/BF00397842
[14] Wu R, Lin SY, Zhao HM, et al. Albuterol in the treatment of acute respiratory distress syndrome: A meta-analysis of randomized controlled trials[J]. World J Emerg Med , 2015, 6 (3) : 165-171 DOI:10.5847/wjem.j.1920-8642.2015.03.001
[15] Seet RC, Johan A, Teo CE, et al. Inhalational nickel carbonyl poisoning in waste processing workers[J]. Chest , 2005, 128 (1) : 424-429 DOI:10.1378/chest.128.1.424