中华急诊医学杂志  2016, Vol. 37 Issue (11): 1412-1417
FLT3信号通路介导常规树突状细胞启动和调节急性肺损伤早期炎症反应的机制研究
董亮, 贺宏丽, 刘军, 刘玲, 杨毅, 邱海波     
214023 江苏省无锡,南京医科大学附属无锡人民医院重症医学科(董亮) ;
210009 南京,东南大学附属中大医院重症医学科(贺宏丽、刘军、刘玲、杨毅、邱海波)
摘要: 目的 明确FLT3信号通路依赖的肺常规树突状细胞(cDCs)对急性肺损伤(ALI)早期炎症反应和肺损伤的影响及其调控机制。 方法 SPF级C57BL/6小鼠30只按随机数字表法分为正常对照组、ALI组、FLT3L预处理组、来他替尼预处理组和DMSO对照组,分别给予FLT3L、来他替尼预处理5 d后采用LPS气道内滴入复制ALI模型, 6 h及24 h后处死小鼠留取肺组织,采用流式细胞术检测CD11c+CD11b+双阳性细胞比例评价肺cDCs的数量,检测肺cDCs的 MHCⅡ及CD80表达比例评价肺cDCs的成熟程度; ELISA检测IL-6、TNF-α评价肺部炎症反应的强度;计算肺湿质量/体质量比(LWW/BW)评价肺水肿程度;肺组织HE染色行组织病理学检查评价肺损伤程度;比色法检测肺MPO活性评价中性粒细胞的浸润;qRT-PCR检测转录因子T-bet及GATA-3 mRNA的表达比例评价辅助性T细胞Th1/Th2亚群漂移;ELISA检测IFN-γ及IL-4表达评价Th1/Th2细胞因子的平衡。 结果 肺cDCs聚集及成熟程度高峰出现于ALI成模后6 h(P<0.05)。FLT3L预处理显著增加肺cDCs的聚集和成熟程度(P<0.05),上调肺部炎症反应并加重肺损伤,同时肺MPO活性、T-bet/GATA-3的表达比例和肺IFN-γ水平均显著上升(P<0.05)。来他替尼预处理显著抑制肺cDCs的聚集和分化成熟(P<0.05),下调肺部炎症反应并减轻肺损伤,同时肺MPO活性、T-bet/GATA-3的表达比例和肺IFN-γ水平均显著下降(P<0.05)。 结论 肺cDCs可通过FLT3信号通路调节中性粒细胞的浸润和Th1/Th2免疫反应的平衡,进而启动和调节ALI早期炎症反应和肺损伤。
关键词: 急性肺损伤     常规树突状细胞     FLT3信号通路     炎症反应     中性粒细胞浸润     Th免疫反应     发病机制    
The control effects of FLT3 signaling-dependent pulmonary conventional dendritic cells on the initiation of acute lung inflammation response to lipopolysaccharide induced acute lung injury in mice
Dong Liang, He Hongli, Liu Jun, Liu Ling, Yang Yi, Qiu Haib     
Department of Critical Care Medicine, Affiliated Wuxi People’ s Hospital of Nanjing Medical University, Wuxi 214023, China (Dong L);
Department of Critical Care Medicine,Nanjing Zhongda Hospital of Southeast University, Nanjing 210009, China (He HL, Liu J, Liu L, Yang Y, Qiu HB)
*Corresponding author: Qiu Haibo. E-mail:haiboq2000@163.com.
Fund program: National Natural Science Foundation of China (81400054); Natural Science Foundation of Jiangsu Province (BK20140122)
Abstract: Objective To clarify the role of FLT3 signaling-dependent pulmonary conventional dendritic cells (cDCs) in the pathogenesis of lipopolysaccharide (LPS)-induced acute lung injury (ALI), and as well as the modulation effects of cDCs in vivo on the inflammatory responses to acute lung injury. Methods Thirty C57BL/6 male mice were divided into normal control group, LPS group, FLT3L pretreatment group, lestaurtinib, (a high efficient and specific blocker in FLT3 signal pathway) pretreatment group and vehicle (DMSD) control group. FLT3L and lestaurtinib were administrated subcutaneously for 5 days. Murine model of ALI was subsequently established by intra-tracheal application of LPS and lung specimens were harvested 6hor 24hlater. The accumulation and maturation of pulmonary cDCs were assessed by flow cytometry. IL-6 and TNF-α were quantified to evaluate lung inflammation. Lung injury was estimated by lung wet weight/body weight ratio (LWW/BW) and histopathological assessment. Lung myeloperoxidase (MPO) activity was measured to evaluate neutrophil infiltration. Transcription factors T-bet/GATA-3 mRNA ratio was determined to estimate balance of Th1/Th2 response. IFN-γ and IL-4 were quantified to evaluate Th1-specific and Th2-specific cytokine production respectively. Results The accumulation and maturation of pulmonary cDCs peaked at 6h after LPS challenge. FLT3L pretreatment significantly stimulated the accumulation and maturation of pulmonary cDCs (P<0.05), leading to markedly deterioration of LWW/BW and lung histopathological changes. Meanwhile lung MPO activity and T-bet/GATA-3 mRNA ratio were elevated (P<0.05). Furthermore,the production of IL-6, TNF-α and IFN-γ was markedly increased by FLT3L pretreatment (P<0.05). In contrast, lestaurtinib pretreatment markedly inhibited the accumulation and maturation of pulmonary cDCs (P<0.05), leading to significant improvement of LWW/BW and lung histopathological changes. Meanwhile lung MPO activity and T-bet/GATA-3 mRNA ratio were decreased (P<0.05). Furthermore lestaurtinib efficiently suppressed the production of IL-6, TNF-α and IFN-γ(P<0.05). Conclusion This study thus demonstrated that FLT3 signaling-dependent pulmonary cDCs could control the initiation of acute lung inflammation response to LPS-induced ALI through the regulation of neutrophil infiltration and balance of Th1/Th2 response.
Key words: Acute lung injury     Conventional dendritic cells     FLT3 signaling     Inflammation     Neutrophils infiltration     T-helper-cell response     Pathogenesis    

急性肺损伤(acute lung injury,ALI)根本病因在于失控的炎症反应,明确ALI早期炎症反应的启动和调控机制,有助于从源头上阻断或减弱失控的炎症反应,突破ALI的治疗困境[1-2]。 前期研究表明ALI早期即存在肺常规树突细胞(conventional dendritic cells,cDCs)的聚集和活化[3],但其调控ALI早期炎症反应的具体机制尚不清楚[4-6]。中性粒细胞的呼吸爆发和Th免疫反应的失衡可能在ALI早期炎症的发生发展中发挥着至关重要的作用[7],而cDCs可影响中性粒细胞的趋化、迁移[7-8],也可活化并决定辅助性T细胞(Th)亚群(Th1/Th2)的漂移[4]。因此笔者假设ALI早期存在肺cDCs的聚集和活化,并通过影响中性粒细胞的浸润和Th1/Th2亚群的漂移参与启动和调节ALI早期炎症反应。本研究在FLT3 信号通路调控肺cDCs的数量和成熟的基础上,探索肺cDCs对ALI早期炎症反应的启动和调控机制。

1 材料与方法 1.1 实验动物及主要试剂

SPF级4-6周龄C57BL/6雄性小鼠30只(北京军事医学科学院实验动物中心)。脂多糖(LPS)、Ⅴ型胶原酶及二甲基亚砜(DMSO)(美国Sigma-Aldrich公司)。FLT3-ligand(德国Miltenyi Biotec公司),来他替尼(美国LC laboratory)。亚美尼亚仓鼠抗小鼠单克隆抗体包括异硫氰酸荧光素(FITC)标记的CD11c及同型对照、别藻蓝蛋白(APC)标记的CD80及同型对照,大鼠抗小鼠单克隆抗体包括藻红蛋白(PE)标记的MHC class Ⅱ及同型对照、多甲藻素-叶绿素-花青甙5.5(Percp-Cy5.5)标记的CD11b及同型对照,大鼠抗小鼠单克隆封闭抗体CD16/32(美国eBioscience公司)。髓过氧化物酶(MPO)活性检测试剂盒(中国 南京建成生物工程研究所)。RNA抽提试剂盒、实时荧光定量聚合酶链反应(qRT-PCR)检测试剂盒(日本Takara公司)。IL-6、TNF-α、IFN-γ及IL-4的酶联免疫吸附法(ELISA)检测试剂盒(中国 上海依科赛生物制品有限公司)。

1.2 实验动物分组、处理及模型建立

将小鼠随机(随机数字法)分为5组:正常对照组(A组),ALI组(B组),FLT3L预处理组(C组),来他替尼(lestaurtinib,FLT3信号通路高效特异阻断剂)预处理组(D组)以及DMSO对照组(E组)。ALI组小鼠麻醉后暴露颈前部气管,以微量进液器直视下向气道内注入浓度2 mg/mL的LPS 2 mg/kg建立LPS-ALI模型[18]。正常对照组小鼠则向气道内注入等体积的生理盐水。FLT3L预处理组小鼠予以皮下注射FLT3L 10 μg/d,持续5 d后复制LPS-ALI模型。来他替尼预处理组小鼠予以皮下注射来他替尼 40 mg/(kg·d),持续5 d后复制LPS-ALI模型,来他替尼以10%DMSO作为溶媒。DMSO对照组予以皮下注射等量的10% DMSO,持续5 d后复制LPS-ALI模型。造模成功后6 h及24 h以断头法处死小鼠,取出完整肺组织并称重记录。留取左肺,采用机械分离联合胶原酶消化法制备肺实质单个核细胞悬液,台盼蓝染色确认细胞活性大于95%。右肺组织以液氮快速冷冻后置于-80 ℃保存备用。

1.3 检测指标及方法 1.3.1 流式细胞术检测肺cDCs的数量及成熟程度

肺单个核细胞悬液调整细胞浓度为1×106 /mL,分别加入单克隆抗体FITC-CD11c,Percp-Cy5.5-CD11b,PE-MHC Ⅱ及APC-CD80,室温下避光孵育30 min,PBS缓冲液洗涤后以1%多聚甲醛固定,4℃避光保存,24 h内上机检测。各样本均设相应的同型对照管。样本以流式细胞仪FASCanto(美国BD公司)进行检测,采用Cellquest软件(美国BD公司)获取分析细胞,以CD11c+CD11b+双阳性细胞占肺单个核细胞的百分比反映肺DCs的数量[6, 8],以MHC Ⅱ+或CD80+单阳性细胞占肺CD11c+CD11b+双阳性细胞的百分比反映肺DCs的成熟程度[6, 9]

1.3.2 ELISA法检测肺炎症介质的水平

取右肺中叶制备组织匀浆,检测各样品孔在450 nm处吸光度,依据标准曲线分别计算肺组织IL-6、TNF-α、IFN-γ及IL-4的浓度。

1.3.3 肺水肿及肺组织病理学检测

计算肺湿质量/体质量比(LWW/BW)反映肺水肿[9]。取右肺上叶组织以10%中性甲醛固定后切片,行HE染色后,高倍镜(400×)下计算肺病理损伤评分(LIS)[10]

1.3.4 比色法检测肺MPO活性

取右肺中叶制备组织匀浆,检测各样本在460 nm处吸光度,依据下列公式计算MPO活性:MPO 活性(U/g肺组织)=(样本管460 nm吸光度-空白对照管460 nm吸光度)/肺组织质量×11.3[11]

1.3.5 qRT-PCR检测转录因子T-bet以及GATA-3的表达

取右肺下叶肺组织,提取总RNA反转录产生cDNA,通过ABI Prism 7300 型定量PCR仪(美国ABI公司)进行扩增。采用2-ΔΔCT法计算T-bet和GATA-3 mRNA的相对表达,选取 β-actin作为校正内参基因。PCR使用的引物序列如下:⑴ 小鼠T-bet:forward,5’ -ACC ACC TGT TGT GGT CCA AG-3’以及 reverse,5’-CAC CAA GAC CAC ATC CAC AA-3’; ⑵ 小鼠GATA-3:forward,5’ -ACC GGG TTC GGA TGT AAG TC-3’ 以及 reverse,5’ -AGG CAT TGC AAA GGT AGT GC-3’; ⑶ 小鼠β-actin:forward,5’ -CCT CTA TGC CAA CAC AGT GC-3’ 以及reverse,5’ -GTA CTC CTG CTT GCT GAT CC-3’。定量结果采用β-actin mRNA丰度进行校正,并针对对照组基因表达水平进行标化处理。

1.4 统计学方法

采用SPSS 16.0统计学软件包进行统计学分析。计量资料以均数±标准差(x±s)表示。计量资料采用成组t检验、方差分析(ANOVA)或Mann- Whitney U检验进行组内、组间数据比较,计数资料采用χ2检验,以P<0.05为差异有统计学意义。

2 结果 2.1 肺cDCs的聚集和成熟状态在ALI成模后6 h达到高峰

与0 h比较,ALI成模后6 h肺cDCs占肺单个核细胞的百分比显著增加,同时肺cDCs的MHC Ⅱ分子的表达亦较0 h显著增加。然而ALI成模后24 h,肺cDCs占肺单个核细胞的百分比及肺cDCs MHC Ⅱ分子的表达较成模后6 h显著降低。ALI成模后6 h组肺cDCs的CD80分子的表达与0 h比较差异无统计学意义,但ALI成模后24 h肺cDCs的CD80分子表达较成模后6 h显著增加,见图 1

与0 h比较,aP<0.05;与6 h比较,bP<0.05 图 1 ALI成模后0 h、6 h及24 h肺cDCs数量、MHCⅡ及CD80表达的动态变化 Figure 1 ynamic changes of accumulation and expression of MHCⅡ and CD80 of cDCs at 0 h,6 h,24h after ALI
2.2 FLT3 信号通路对肺cDCs聚集和成熟状态的调控效应

ALI成模后6 h,FLT3L预处理组肺cDCs占肺单个核细胞的百分比及肺cDCs MHC Ⅱ分子的表达均较ALI组显著升高。与DMSO对照组比较,来他替尼预处理显著降低预处理组肺DCs占肺单个核细胞的百分比及肺cDCs MHC Ⅱ分子的表达。然而各实验组肺cDCs CD80分子的表达均差异无统计学意义,见表 1

表 1 各实验组成模后6 h肺cDCs聚集及成熟程度比较 (x±s) Table 1 Comparison of accumulation and maturation of cDCs in the lung tissue between groups (x±s)
实验组肺cDCs数量 (%)MHCⅡ表达(%)CD80表达(%)
A组1.11±0.089.85±0.871.85±0.45
B组2.23±0.16a55.30±8.42a2.50±1.02
C组4.98±1.96b71.52±6.75b2.18±0.85
D组1.44±0.11c37.54±5.86c1.33±1.10
E组2.19±0.2751.39±6.882.25±1.25
注: A组为正常对照组;B组为ALI组;C组为FLT3L预处理组;D组为来他替尼预处理组;E组为DMSO对照组;与A组比较,aP<0.05;与B组比较,bP<0.05;与E组比较,cP<0.05
2.3 肺cDCs对肺TNF-α 和IL-6的表达的影响

ALI组成模后6 h肺TNF-α 和IL-6的表达较对照组显著增加。FLT3L预处理导致的肺cDCs数量增殖和成熟增加可进一步促进肺TNF-α 和IL-6的表达。与之相反,来他替尼预处理导致的肺cDCs数量减少和成熟抑制可显著下调肺TNF-α 和IL-6的表达,见表 2

表 2 各实验组成模后6 h肺组织炎症因子浓度及活性比较 (x±s) Table 2 Comparison of concentration and activity of lung inflammatory factors between groups (x±s)
实验组IL-6 (pg/mg)TNF-α (pg/mg)MPO (U/g)IFN-γ(pg/mg )IL-4(pg/mg)
A组125.20±14.23360.65±21.592.78±0.250.65±0.05412.50±18.25
B组270.94±18.28a482.67±19.39a5.71±0.41a50.20±3.55a390.90±10.88
C组334.22±25.67b590.20±20.86b8.58±0.87b65.80±6.23b420.85±9.56
D组223.15±19.11c439.95±27.71c4.43±0.29c38.72±5.85c385.88±22.39
E组296.06±19.44607.34±41.796.36±0.2860.24±4.98370.62±21.99
注: A组为正常对照组;B组为ALI组;C组为FLT3L预处理组;D组为来他替尼预处理组;E组为DMSO对照组;与A组比较,aP<0.05;与B组比较,bP<0.05;与E组比较,cP<0.05
2.4 肺cDCs功能状态对肺组织病理损伤和肺水肿的影响

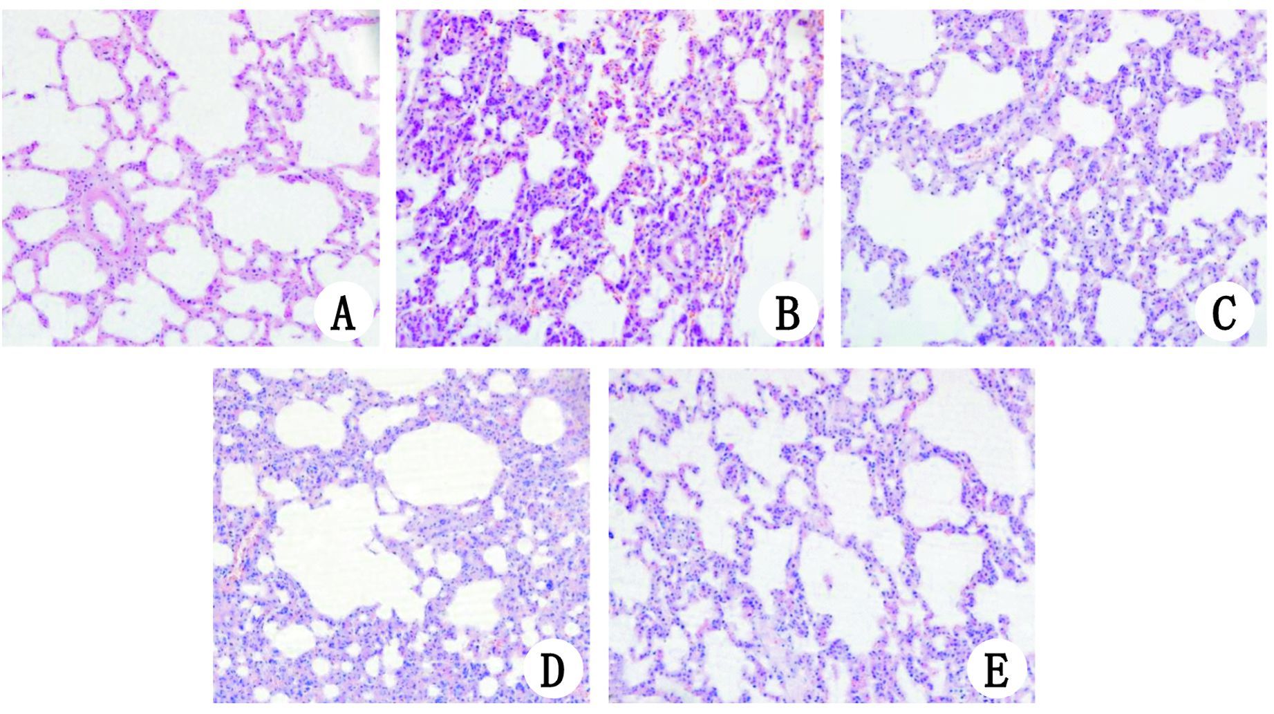
与正常对照组比较,ALI组小鼠肺组织存在广泛的肺泡及间质的水肿和出血,弥漫性的炎症细胞浸润,严重肺泡塌陷和肺泡结构破坏,其LIS和LWW/BW亦较对照组显著增高。FLT3L预处理可进一步加重上述的病理改变,其LIS和LWW/BW ratio 也进一步的升高。与DMSO对照组比较,来他替尼预处理可显著改善肺组织病理损伤的程度,其LIS和LWW/BW 也相应的改善,见图 2表 3

A:正常对照组;B:ALI组;C:FLT3L预处理组;D:来他替尼预处理组;E:DMSO对照组 图 2 各实验组成模后6 h肺组织病理损伤比较(HE×400) Figure 2 Pathological changes in the lung tissue of each group(HE×400)
表 3 各实验组成模后6hLWW/BW和LIS比较 (x±s) Table 3 Comparison of LWW/BW and LIS between groups (x±s)
实验组LWW/BW (%)LIS评分
A组0.65±0.053.65±0.81
B组0.81±0.07a10.92±0.70a
C组0.95±0.06b13.55±1.01b
D组0.73±0.04c6.88±0.54c
E组0.83±0.0511.48±0.65
注: A组为正常对照组;B组为ALI组;C组为FLT3L预处理组;D组为来他替尼预处理组;E组为DMSO对照组;与A组比较,aP<0.05;与B组比较,bP<0.05;与E组比较,cP<0.05
2.5 肺cDCs对肺MPO活性的影响

ALI组肺MPO活性较正常对照组显著升高。FLT3L预处理可进一步增加肺MPO活性。与DMSO对照组比较,来他替尼预处理可显著抑制肺MPO的活性,见表 2

2.6 肺cDCs对转录因子T-bet/GATA-3 mRNA表达比例的影响

通过检测转录因子T-bet/GATA-3 mRNA的表达比例以反映肺DCs对Th1/Th2亚群的漂移影响[12]。ALI组T-bet mRNA的表达较对照组显著升高,FLT3L预处理可进一步增加T-bet mRNA的表达。与DMSO对照组比较,来他替尼预处理可显著抑制T-bet mRNA的表达。但各实验组GATA-3 mRNA表达并差异无统计学意义。ALI组T-bet/GATA-3 mRNA表达比例较对照组显著上升,而FLT3L预处理可进一步增加T-bet/GATA-3 mRNA表达比例;与之相反来他替尼预处理可显著降低T-bet/GATA-3 mRNA表达比例,见表 4

表 4 各实验组成模后6hT-bet及GATA-3 mRNA表达水平及其比值比较 (x±s) Table 4 Comparison of T-bet mRNA,GATA-3 mRNA and T-bet/GATA-3 mRNA ratio between groups (x±s)
实验组T-bet mRNA
(与β-actin比较)
GATA-3 mRNA
(与β-actin比较)
T-bet/GATA-3 mRNA
A组1.00±0.150.98±0.181.10±0.08
B组2.85±0.33a1.34±0.332.15±0.15a
C组3.98±0.45b1.05±0.155.98±0.94b
D组2.55±0.30c1.10±0.221.96±0.10c
E组3.40±0.401.28±0.253.88±0.40
注: A组为正常对照组;B组为ALI组;C组为FLT3L预处理组;D组为来他替尼预处理组;E组为DMSO对照组;与A组比较,aP<0.05;与B组比较,bP<0.05;与E组比较,cP<0.05
2.7 肺cDCs对Th1/Th2型细胞因子平衡的影响

通过检测细胞因子IFN-γ和IL-4的表达以反映肺cDCs对Th1/Th2型细胞因子平衡的影响。ALI组IFN-γ的表达较对照组显著升高,FLT3L预处理可进一步增加IFN-γ的浓度。与DMSO对照组比较,来他替尼预处理可显著抑制IFN-γ的表达。但各实验组IL-4的浓度并差异无统计学意义,见表 2

3 讨论

目前认为ALI的本质是机体或肺部失控的炎症反应,而肺cDCs在ALI发病机制中的作用也日益受到关注[1, 3]。研究已经表明ALI早期的确存在肺cDCs的快速聚集和成熟[6, 13]。本研究进一步证明肺cDCs的聚集和成熟仅在ALI成模后6 h即可达到高峰,而在ALI成模后24 h肺cDCs的聚集和成熟程度已出现明显的下降。上述结果提示cDCs主要在ALI起病的早期阶段发挥作用[3]。与此同时,肺TNF-α和IL-6的水平持续升高,提示显著的肺部炎症反应。因此,本研究结果提示肺cDCs参与启动了ALI早期炎症反应。

本研究亦发现,肺cDCs的快速聚集和成熟可显著加剧肺部炎症反应和肺损伤程度,而抑制肺cDCs的聚集和成熟可显著减轻肺部炎症反应和肺损伤程度。上述结果提示肺cDCs能够调控ALI的早期炎症反应和肺损伤程度。

目前对于肺cDCs调控急性肺部炎症和肺损伤的机制尚不清楚。本研究结果表明,调控FLT3 信号通路可显著影响肺cDCs的聚集和成熟程度,继而导致辅助性T细胞Th1/Th2亚群的漂移和后续的抗炎/促炎性细胞因子平衡的改变,而既往研究已经证明FLT3信号通路对T细胞的增殖和活化并无影响[5]。因此本研究结果提示直接调控肺Th1/Th2型免疫应答的平衡及后续的Th1/Th2细胞因子的产生是肺cDCs调控ALI早期肺部炎症和肺损伤的重要机制。

本研究结果亦表明调控FLT3 信号通路可显著影响肺cDCs的聚集和成熟程度,进而可影响肺MPO活性,提示肺cDCs可以在体调节中性粒细胞的浸润从而影响ALI早期炎症反应和肺损伤。

ALI早期存在肺Th1/Th2型细胞因子的失衡,但其浓度水平却令人困惑,虽然各实验组成模后24hIFN-γ表达的差异与相应的转录因子T-bet的变化一致,但其浓度水平却徘廻在低值。既往研究表明,从外界侵袭发生到DCs向次级淋巴中的T细胞提呈抗原的高峰至少需要24 h[14],因此不难理解在ALI成模后24 h观察到较低的Th1型细胞因子浓度。但与IFN-γ不同,虽然成模后24 h各实验组IL-4表达并差异无统计学意义,但其浓度水平却大大高于IFN-γ的水平。既往研究表明,为了抵御外界无害性抗原可能导致的Th1型免疫反应所致的组织损伤,正常状态下肺内免疫微环境是向Th2型免疫反应漂移的[3],因此ALI早期肺组织较高的IL-4水平反映的是肺部固有的防御机制[15]

本研究表明,肺cDCs可通过FLT3 信号通路影响肺部中性粒细胞的浸润和Th1/Th2型免疫反应平衡,进而启动和调节ALI早期炎症反应和肺损伤。通过调控ALI早期肺cDCs的数量和成熟程度进而影响肺部炎症反应可能为ALI防控提供新的思路。

参考文献
[1] 董亮, 邱海波. 急性肺损伤的治疗进展[J]. 中华急诊医学杂志 , 2012, 21 (3) : 235-238
Dong L, Qiu HB. Treatment progress of acute lung injury[J]. Chin J Emerg Med , 2012, 21 (3) : 235-238 DOI:10.3760/cma.j.issn.1671-0282.2012.03.002
[2] Villar J, Sulemanji D, Kacmarek RM, et al. The acute respiratory distress syndrome: incidence and mortality, has it changed[J]. Curr Opin Crit Care , 2014, 20 (1) : 3-9 DOI:10.1097/MCC.0000000000000057
[3] 董亮, 贺宏丽, 刘军, 等. 急性肺损伤早期肺常规树突状细胞的动态变化[J]. 中华急诊医学杂志 , 2012, 21 (6) : 607-611
Dong L, He HL, Liu J, et al. The accumulation and maturation status of pulmonary conventional dendritic cells in the early phase of acute lung injury[J]. Chin J Emerg Med , 2012, 21 (6) : 607-611 DOI:10.3760/cma.j.issn.1671-0282.2012.06.012.
[4] Lee IT, Yang CM. Inflammatory signalings involved in airway and pulmonary diseases[J]. Mediators Inflamm , 2013, 2013 : 791231 DOI:10.1155/2013/791231
[5] Ward PA, Fattahi F, Bosmann M, et al. New insights into molecular mechanisms of immune complex-induced injury in lung[J]. Front Immunol , 2016, 7 : 86 DOI:10.3389/fimmu.2016.00086
[6] Venet F, Huang X, Chung CS, et al. Plasmacytoid dendritic cells control lung inflammation and monocyte recruitment in indirect acute lung injury in mice[J]. Am J Pathol , 2010, 176 (2) : 764-773 DOI:10.2353/ajpath.2010.090765.
[7] Riise RE, Bernson E, Aurelius J, et al. TLR-Stimulated neutrophils instruct NK cells to trigger dendritic cell maturation and promote adaptive T cell responses[J]. J Immunol , 2015, 195 (3) : 1121-1128 DOI:10.4049/jimmunol.1500709
[8] Wen H, Hogaboam CM, Gauldie J, et al. Severe sepsis exacerbates cell-mediated immunity in the lung due to an altered dendritic cell cytokine profile[J]. Am J Pathol , 2006, 168 (6) : 1940-1950 DOI:10.2353/ajpath.2006.051155
[9] Masten BJ, Lipscomb MF. Comparison of lung dendritic cells and B cells in stimulating naive antigen-specific T cells[J]. J Immunol , 1999, 162 (3) : 1310-1317
[10] Smith KM, Mrozek JD, Simonton SC, et al. Prolonged partial liquid ventilation using conventional and high-frequency ventilatory techniques: gas exchange and lung pathology in an animal model of respiratory distress syndrome[J]. Crit Care Med , 1997, 25 (11) : 1888-1897 DOI:10.1097/00003246-199711000-00030
[11] Mullane KM, Westlin W, Kraemer R. Activated neutrophils release mediators that may contribute to myocardial injury and dysfunction associated with ischemia and reperfusion[J]. Ann N Y Acad Sci , 1988, 524 : 103-121 DOI:10.1111/j.1749-6632.1988.tb38534.x
[12] Tanriver Y, Diefenbach A. Transcription factors controlling development and function of innate lymphoid cells[J]. Int Immunol , 2014, 26 (3) : 119-128 DOI:10.1093/intimm/dxt063.
[13] Dong L, He HL, Lu XM, et al. Modulation of FLT3 signaling targets conventional dendritic cells to attenuate acute lung injury[J]. APMIS , 2012, 120 (10) : 808-818 DOI:10.1111/j.1600-0463.2012.02906.x
[14] Hua J, Stevenson W, Dohlman TH, et al. Graft site microenvironment determines dendritic cell trafficking through the CCR7-CCL19/21 axis[J]. Invest Ophthalmol Vis Sci , 2016, 57 (3) : 1457-1467 DOI:10.1167/iovs.15-17551
[15] Na H, Cho M, Chung Y. Regulation of Th2 cell immunity by dendritic cells[J]. Immune Netw , 2016, 16 (1) : 1-12 DOI:10.4110/in.2016.16.1.1