小网膜囊是胃与胰腺之间的潜在间隙。正常情况下,小网膜囊是塌陷的。急性胰腺炎(acute pancreatitis,AP)时,胰腺因炎症或坏死使炎性渗出物或坏死物质积聚在小网膜囊内会导致其增厚。炎性渗出物或坏死物产生的量及组成成分因胰腺炎严重程度不同而有所差异,从而导致小网膜囊厚度的差异及不同的特征性超声表现[1]。虽然增强CT是目前诊断AP的首选,但是部分AP发病急、进展快,如不及时诊断及治疗,会随时威胁患者生命,因此及早、方便的检查诊断评估非常重要。本文旨在通过回顾性分析、对照研究,探讨通过急诊超声检测小网膜囊厚度对AP严重程度进行早期评估的价值。
1 资料与方法 1.1 一般资料选择2014年9月至2016年3月期间收住浙江省人民医院急诊科临床确诊为AP的患者56例,入院前为初次发病且未经过任何治疗,诊断标准符合《急性胰腺炎诊治指南(2014)》[2]。按照病理及病情的严重程度,分为轻症急性胰腺炎(mild acute pancreatitis,MAP)组25例,其中男18例,女7例,年龄36~86岁, (61±13)岁;中重症及重症急性胰腺炎(moderately severe acute pancreatitis,MSAP or severe acute pancreatitis,SAP)组31例,其中男19例,女12例,年龄30~88岁, (59±12)岁。
1.2 排除标准①可引起血、尿淀粉酶升高的其他疾病;②合并失代偿期肝硬化或低蛋白血症;③合并腹腔、腹膜后间隙感染性的其他疾病;④腹腔肿瘤性或出血性疾病等。
1.3 仪器和检查方法采用迈瑞(Mindray)公司产便携式彩色超声诊断仪(型号M9),配C5-1S凸阵探头,频率1.0~5.0 MHz; GE公司产彩色超声诊断仪(型号:LOGIQ E9),配C1-5凸阵探头,频率2.8~5.0 MHz。56例AP患者均行一次或多次急诊超声检查。所有被检者常规仰卧位,超声常规观察胰腺、胃,分清胰腺与胃后壁的关系,明确小网膜囊的范围;胃胰间距增宽(即小网膜囊增厚)则需测量其间距,并观察内部回声情况,同时行胰周及其他腹腔间隙扫查。为控制诊断质量及减少测量误差,由高年资超声专业医师进行操作,取5次测量值的平均值进行分析,并留取典型图像。对部分胰腺显示困难患者,采用超声探头持续加压,以推挤、排除局部胃肠气体干扰,缩短体表至胰腺的距离,必要时可改变体位以最大限度显示胰腺。所有AP患者同期均做胰腺增强CT,重症急性胰腺炎合并胰腺脓肿和(或)感染患者,行手术治疗,随访记录CT、手术结果,并与超声检查结果进行对照。
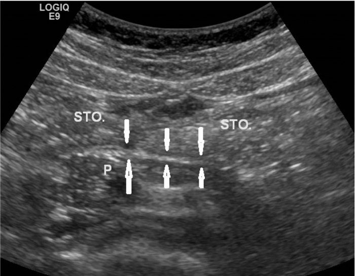
1.4 小网膜囊增厚超声判断标准:正常情况下,小网膜囊超声不显示(图 1),以胰胃间距增加作为小网膜囊增厚的判断标准。
|
| 上排箭头:胃后壁,其浆膜面构成网膜囊前壁;下排箭头:胰腺前缘,构成网膜囊后壁;STO:胃;P:胰腺 图 1 正常情况小网膜囊超声图示 |
|
|
使用SPSS 17.0统计软件包进行数据处理,计量资料采用均数±标准差(x±s)表示,不同程度AP组小网膜囊增厚发生率的比较采用χ2检验,不同程度AP组小网膜囊厚度比较采用t检验,以P<0.05为差异有统计学意义。
2 结果 2.1 不同程度AP组小网膜囊增厚的发生率比较25例MAP患者中,小网膜囊超声不显示19例(76%),增厚6例(24%);31例MSAP及SAP患者,小网膜囊超声不显示2例(6.5%),增厚29例(93.5%)。小网膜囊增厚的发生率及对照情况见表 1。MSAP及SAP组小网膜囊增厚发生率明显高于MAP组(P<0.05)。
25例MAP患者中,小网膜囊增厚6例,厚0.5~2.0 cm, (1.18±0.53)cm;31例MSAP及SAP患者中,29例小网膜囊增厚,厚0.8~4. 0 cm, (2.26±0.78)cm。小网膜囊厚度及对照情况见表 2。MSAP及SAP组小网膜厚度明显大于MAP组(P<0.05)。
25例MAP患者超声显示17例胰腺增大,形态饱满,轮廓尚光整清楚,内回声不改变或减弱;6例小网膜囊增厚,边界尚规则,内呈无回声区(图 2),其中3例透声欠佳。该组CT显示胰腺整体增大18例,其中单纯胰腺体尾部增大3例,胰腺头部增大3例;胰腺密度减低不均匀20例,小网膜囊积液6例,阴性病例1例。
|
| 上排箭头:胃后壁,其浆膜面构成网膜囊前壁;下排箭头:胰腺前缘,构成网膜囊后壁;STO:胃;P:胰腺,小网膜囊增厚,厚约0.5 cm,边界清、规则,内呈无回声区,透声好,胰腺不增大,轮廓尚清,内回声不改变 图 2 轻症急性胰腺炎(MAP)超声所见 |
|
|
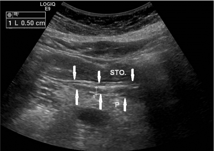
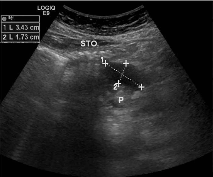
31例MSAP及SAP患者超声显示胰腺均肿大,边缘不规则,边界不清,胰腺实质回声分布不均匀,可见粗大强回声斑或低回声及无回声混杂,其中6例超声提示胰腺脓肿或胰周假性囊肿形成,呈类圆形低回声或无回声区,边界欠清(图 3);29例小网膜囊增厚,呈片状或块状增强回声带,部分内合并有无回声区(图 4)。
|
| 胰周假性囊肿形成,呈无回声区,内透声可,范围约3.4 cm×1.7 cm, 经手术证实; STO:胃;P:胰腺 图 3 重症急性胰腺炎(SAP)超声所见 |
|
|
|
| 小网膜囊增厚,最厚约2.0 cm,呈片状增强回声带,内合并有液性无回声区,胰腺边缘不规则,与小网膜囊分界不清,胰腺内部回声不均匀;STO:胃;P:胰腺 图 4 重症急性胰腺炎(SAP)超声所见 |
|
|
6例超声及CT均诊断为胰周假性囊肿或胰腺脓肿的患者行手术治疗,术中见胰周皂性坏死或胰腺暗红色出血灶。
该组CT显示31例胰腺体积均增大,胰腺实质密度不均匀合并片状或弥漫性的低密度灶区22例,小网膜囊内呈片状高密度影或伴低密度灶29例,6例CT提示胰周假性囊肿或胰腺脓肿,呈类圆形低密度灶。
3 讨论小网膜囊位于胃后方,其范围上至膈肌,下至大网膜下缘,左至脾脏,右至幽门后方,呈盲囊状,借网膜孔与腹膜腔相通。在生理状态下,CT或超声仅显示胃后壁浆膜面构成网膜囊前壁,胰腺前缘结肠系膜构成网膜囊后壁[3-4]。各种原因的腹腔病变引起炎性渗出物或液体积聚或肿瘤侵润,均会导致小网膜囊增厚,具有不同的声像图特征。
急性胰腺炎(AP)是指多种病因引起的胰酶激活,继以胰腺局部炎性反应为主要特征,病情较重者可发生全身炎症反应综合征,并可伴有器官功能障碍的疾病。按照病情的严重程度,分为轻症急性胰腺炎(MAP)、中重症急性胰腺炎(MSAP)、重症急性胰腺炎(SAP)[2, 5]。
临床上.MAP占AP的多数,病程多呈自限性,不伴有局部或全身并发症,约20%~30%的患者发展为MSAP及SAP,伴有胰腺实质和/或胰周组织坏死,可出现全身严重并发症,病死率高,需提早进行干预治疗。因此本研究根据AP严重程度将患者分成MAP组、MSAP及SAP组,有助于基于疾病严重程度的评估及治疗方案的制定。在AP病理状态下,炎性渗出或坏死物积聚于胰腺周围,而积聚范围与AP病理改变严重程度相关。MAP其主要病理变化为胰腺肿胀,可有少量炎性渗出,渗液清亮,本文6例(20%)MAP患者超声表现为小网膜囊轻度增厚,厚约0.5~2.0 cm,1.18±0.53 cm,边界规则,内呈无回声,部分透声欠佳,符合MAP的病理改变。而MSAP及SAP主要病理变化为胰腺肿大、边界模糊,腺体坏死或出血,胰液溢出腐蚀胰周结构,如侵入胰胃间的小网膜囊,炎性渗出、坏死物质积聚导致胰胃分离,间距增加,囊壁肿胀增厚,即小网膜囊增厚。本文MSAP及SAP组超声声像图表现为胃胰间出现片状或块状增强回声带,部分内合并有无回声区,紧贴或包裹在肿大的胰腺前缘,胰腺回声减低,与小网膜囊无明显分界,符合MSAP及SAP的病理改变。本文研究发现MSAP及SAP组急诊超声小网膜囊增厚发生率及增厚程度均高于MAP组,其差异有统计学意义,且超声表现与临床诊断、CT扫描、手术结果一致,说明通过急诊超声检测小网膜囊厚度情况有助于判断AP的严重程度。国内外有文献报道超声发现小网膜增厚,如结合胰周和腹腔渗液可作出坏死性胰腺炎的诊断,小网膜囊的检出甚至比检出胰腺本身病变更有价值[6]。
AP的首诊常在急诊科,早期及时、正确的诊断及临床处置可以最大程度上减少机体的损伤,缩短病程,改善预后。目前影像学上主要采取的急性胰腺炎评分系统多基于CT检查,但相关诊治指南认为发病1周左右进行增强CT检查,其诊断价值更高,CT在时效性、便捷性、肾毒性及电离辐射等方面存在的缺陷[7-13];同时更多的研究认为血清淀粉酶、血清脂肪酶活性高低与胰腺炎病情严重程度并不呈相关性,一定程度上限制了其早期评估AP严重程度的应用[2]。近年来,随着急重症超声的广泛开展应用,临床医生对急重症超声研究的不断深入,超声以快捷、方便且可重复检查、无电离辐射伤害等优势被广泛应用于院前急救、急诊室、重症医学科等,为临床医生尤其是急重症医生提供了非常及时有效的诊断及治疗信息[14-15]。本研究利用急诊超声对小网膜囊是否增厚及增厚程度的检测来评估判断AP的严重程度,可对急诊AP患者进行早期及重复检查,及时动态了解胰腺组织形态学变化,为急诊医生提供及时重要的诊断信息,也非常适合在部分无法进行CT检查的医院中的应用。
本研究将急诊超声检测小网膜增厚及增厚程度用于早期评估AP的严重程度,结果与文献报道基本一致[16],但由于样本量较少,有待进一步通过大样本的验证,后续可结合AP各项临床及实验室指标,建立超声评分系统,有助于更精准的诊断及病情的评估。
| [1] |
岳林先, 付庆国, 邓立强, 等. 超声检查小网膜囊增厚对诊断腹部疾病的临床意义[J].
中华超声影像学杂志 , 2001, 10 (9) : 551-553 Ye LX, Fu QG, Deng LQ, et al. Values of lesser omental bursa thickening for diagnosing the abdominal diseases by ultrasound[J]. Chin J Ultrasonogr , 2001, 10 (9) : 551-553 DOI:10.3760/cma.j.issn.1004-4477.2001.09.012 |
| [2] |
中华医学会外科学分会胰腺外科学组. 急性胰腺炎诊治指南(2014)[J].
中华外科杂志 , 2015, 30 (1) : 69-72 Group of Pancreas Surgery, Chinese Society of Surgery, Chinese Medical Association. Guide for diagnosis and treatment of acute pancreatitis[J]. Chin J Gener Surg , 2015, 30 (1) : 69-72 DOI:10.3760/cma.j.issn.1007-631X.2015.01.025 |
| [3] |
刘树伟, 邓雪飞, 杨晓飞.
临床解剖学丛书(腹盆部分册)(2版 ) [M]. 北京: 人民卫生出版社, 2014 : 143 .
Liu SW, Deng XF, Yang XF. Basin of clinical anatomy books (ventral part copies)2nd Ed [M]. Beijing: People's Medical Publishing House, 2014 : 143 . |
| [4] |
成峰, 吴凯宏, 李孝虎. 多排螺旋CT诊断小网膜囊病变的价值[J].
影像诊断与介入放射学 , 2011, 20 (6) : 411-413 Cheng F, Wu KH, Li XH. Diagnostic value of multi-detector CT for abnormalities in lesser omental bursa[J]. Diag Imag Interv Radol , 2011, 20 (6) : 411-413 DOI:10.3969/j.issn.1005-8001.2011.06.003 |
| [5] |
邹鑫森, 张可祥, 崔勇. 影响胰腺炎严重程度的发病机制研究进展[J].
中国急救复苏与灾害医学杂志 , 2015, 10 (10) : 972-975 Zou XS, Zhang KX, Cui Y. Research progress of influence mechanism of pancreatitis severity[J]. Chin J Emerg Resus Dis Med , 2015, 10 (10) : 972-975 DOI:10.3969/j.issn.1673-6966.2015.10.024 |
| [6] |
曹海根, 王金锐.
实用腹部超声诊断学 [M]. 北京: 人民卫生出版社, 2006 : 158 .
Cao HG, Wang JR. Practical abdominal ultrasound diagnostics [M]. Beijing: People's Medical Publishing House, 2006 : 158 . |
| [7] | Balthazar EJ, Freeny PC, vanSonnenberg E. Imaging and intervention in acute pancreatitis[J]. Radiology , 1994, 193 (2) : 297-306 DOI:10.1148/radiology.193.2.7972730 |
| [8] | Mortele KJ, Wiesner W, Intriere L, et al. A modified CT severity index for evaluating acute pancreatitis: improved correlation with patient outcome[J]. AJR Am J Roentgenol , 2004, 183 (5) : 1261-1265 DOI:10.2214/ajr.183.5.1831261 |
| [9] | De Waele JJ, Delrue L, Hoste EA, et al. Extrapancreatic inflammation on abdominal computed tomography as an early predictor of disease severity in acute pancreatitis: evaluation of a new scoring system[J]. Pancreas , 2007, 34 (2) : 185-190 DOI:10.1097/mpa.0b013e31802d4136 |
| [10] |
陈卫昌, 王芳军, 郭亮. 新CT评分系统预测AP病情严重程度的临床研究[J].
中华消化杂志 , 2009, 29 (1) : 17-20 Chen WC, Wang FJ, Guo l. Clinical study on a novel modified computed tomography severity index for predicting the severity of acute pancreatitis[J]. Chin J Dig , 2009, 29 (1) : 17-20 DOI:10.3760/cma.j.issn.0254-1432.2009.01.006 |
| [11] |
许东明. 增强CT和彩色超声在急性胰腺炎诊断中的比较[J].
中华急诊医学杂志 , 2015, 24 (10) : 1115-1117 Xu DM. The comparison of enhanced CT and color ultrasonography to the diagnosis of acute pancreatitis[J]. Chin J Emerg Med , 2015, 24 (10) : 1115-1117 DOI:10.3760/cma.j.issn.1671-0282.2015.10.016 |
| [12] |
吕发勤, 黎檀实. 超声技术在重症急性胰腺炎诊断和微创治疗中的应用前景[J].
中华急诊医学杂志 , 2012, 21 (10) : 1077-1079 Lv FQ, Li TS. Application prospect of Ultrasound in the diagnosis and minimally invasive treatment of severe acute pancreatitis[J]. Chin J Emerg Med , 2012, 21 (10) : 1077-1079 DOI:10.3760/cma.j.issn.1671-0282.2012.10.001 |
| [13] |
何绍亚, 向阳生, 王岭, 等. 重症急性胰腺炎早期5因素体系与分级评分对患者死亡的评估价值研究[J].
中国急救复苏与灾害医学杂志 , 2016, 11 (1) : 23-27 He SY, Xiang YS, Wang L, et al. The assessment value of early 5 factors system with APACHE Ⅱ, Ranson and CT grading in death of patients with severe acute pancreatitis[J]. Chin J Emerg Resus Dis Med , 2016, 11 (1) : 23-27 DOI:10.3969/j.issn.1673-6966.2016.01.008 |
| [14] |
旁超声在急危重症临床应用专家共识组. 床旁超声在急危重症临床应用的专家共识[J].
中华急诊医学杂志 , 2016, 25 (1) : 10-21 Expert group of the clinical application of bedsid. Expert consus on the clinical application of bedside ultrasound in emergency medicine and intensive care medicine[J]. Chin J Emerg Med , 2016, 25 (1) : 10-21 DOI:10.3760/cma.j.issn.1671-0282.2016.01.005 |
| [15] | Lam SH, Wise A, Yenter C. Emergency bedside ultrasound for the diagnosis of pediatric intussusception: a retrospective review[J]. World J Emerg Med , 2014, 5 (4) : 255-258 DOI:10.5847/wjem.j.issn.1920-8642.2014.04.002 |
| [16] | Lankisch PG, Struckmann K, Lehnick D. Presence and extent of extrapancreatic fluid collections are indicators of severe acute pancreatitis[J]. Int J Pancreatol , 1999, 26 (3) : 131-136 DOI:10.1385/IJGC:26:3:131 |
2016, Vol. 25



