中华急诊医学杂志  2016, Vol. 25 Issue (9): 1210-1211
心包积液为首发表现的急性主动脉综合征一例
胡小莹, 王国干, 叶绍东, 丰雷, 李喆, 李岩, 张旌     
100037 北京,中国医学科学院阜外医院心内科 (胡小莹、王国干、叶绍东、丰雷、李喆) ;
100037 北京,中国医学科学院阜外医院心外科(李岩、张旌)
Pericardial infusion as the initial symptom in patients with acute aortic syndrome: a case report
Hu Xiaoying, Wang Guogan, Ye Shaodong, Feng Lei, Li Zhe, Li Yan, Zhang Jing     
Department of Cardiology, Fuwai Hospital,Chinese Academy of Medical Sciences and Peking Union Medical College, Beijing 100037, China (Hu XY, Wang GG, Ye SD, Feng L, Li Z);
Department of Cardiovascular Surgery, Fuwai Hospital, Chinese Academy of Medical Sciences and Peking Union Medical College, Beijing 100037, China(Li Y, Zhang J)

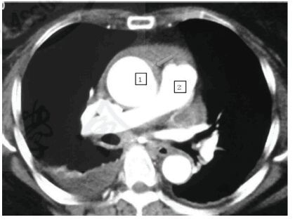
患者,女,50岁,既往有高血压病史8年,口服硝苯地平控释片降压治疗,平时未监测血压,以“突发胸闷、意识丧失1 d”收入本院。患者入院前1天患者小便后突发胸闷、憋气,伴腰部酸痛,继而意识丧失,约3~4 min后自行恢复意识,至当地医院就诊,HR 140 次/min,血压测不出,TNI 1.9 ng/mL,WBC 15×109/L,胸部CT示中大量心包积液、右侧胸腔积液,未见主动脉夹层及肺栓塞征象(图 1)。予多巴胺、多巴酚丁胺后血压可维持。次日转至本院急诊,入院后查体:BP 122/88 mmHg(1 mmHg=0.133 kPa),HR 120 次/min,律齐,未闻及瓣膜杂音,双侧桡动脉、股动脉、足背动脉搏动对称。辅助检查:ECG示窦性心动过速,无ST-T改变。UCG示LV 38 mm,EF57%,中量心包积液。实验室检查:WBC 17.54×109/L,TNI 0.816 ng/mL,D-二聚体 15.95 μg/mL。根据患者的临床症状和检查结果,需鉴别诊断主动脉夹层、肺栓塞、急性冠脉综合征(ACS)、急性心肌心包炎等疾病。外院CT检查结果已排除前两种疾病可能,而非ST段抬高心肌梗死较少出现心包积液,故ACS暂不支持,拟择期行冠脉造影检查进一步排除。患者补诉半月前有上呼吸道感染病史,白细胞、CRP等炎症指标升高,不排除急性心肌心包炎可能,故给予抗感染、营养心肌、多巴胺升压、利尿等药物治疗。患者入院后胸闷症状有所缓解,将多巴胺逐渐减停。但入院第6天,患者突发剧烈胸痛、背痛,伴腰痛、大汗,查体:BP 108/85 mmHg,HR 99次/min,律齐,未及瓣膜杂音,双侧桡动脉、股动脉、足背动脉搏动对称。ECG示Ⅱ、Ⅲ、AVF导联ST段抬高0.1 mV。因考虑不排除主动脉夹层累及冠状动脉开口的可能,遂首先复查主动脉CT,结果明确为Ⅰ型主动脉夹层(图 2)。次日行升主动脉置换术+全主动脉人工血管置换术+支架象鼻术,术中显示,血性心包积液,升主动脉壁呈紫色并有渗血。术后患者病情平稳,好转出院。而此时再次仔细观察患者第一份胸部CT隐约可见升主动脉壁有新月形增厚(图 1箭头所示),考虑为主动脉壁内血肿可能性大。

图 1 患者发病时第1份胸部CT

讨论 急性主动脉综合征(acute aortic syndrome,AAS)是累及主动脉的一组严重而紧急的临床综合征,其共同之处是最终导致主动脉内膜和中膜的破坏,可出现主动脉壁内血肿、穿透性溃疡、主动脉夹层,甚至是主动脉破裂。其中主动脉夹层最受临床医师重视,患者通常有典型的撕裂样胸痛、背痛、腹痛等临床表现,胸片可见纵膈增宽,超声心动及CT可见主动脉内膜片撕裂、主动脉双腔影等影像学特征,因此多能迅速诊断,罕有漏诊。而主 动脉壁内血肿(IHM)患者症状常不典型,影像学无内膜撕裂征象,多表现为新月形或环形的主动脉增厚(>0.5 cm),内部无血流信号,因此壁内血肿易被误诊漏诊。

图 2 患者胸痛加重后复查主动脉CT

本病例中,患者首次行胸部CT检查时未见明显主动脉内膜撕裂及主动脉双腔征,遂排除了主动脉夹层可能。而ESC主动脉疾病指南中明确指出,D-二聚体升高与AAS密切相关,症状上中度怀疑AAS伴D-二聚体明显升高者,应行主动脉CT明确有无AAS。如果持续怀疑AAS者初次主动脉CT阴性时,可考虑再次行主动脉CT。本例患者在胸背痛症状加重伴有心电图下壁导联ST段抬高时,并没有急于给予阿司匹林、氯吡格雷的抗血小板治疗及急诊冠脉介入治疗,而是立即复查主动脉CT排除主动脉夹层累及冠状动脉开口的可能,因此在主动脉夹层发生的第一时间及时明确诊断,并行急诊外科手术治疗,挽救了患者的生命。

仔细回顾患者第一份胸部CT时,可发现升主动脉段似有新月形主动脉壁内血肿征象。主动脉壁内血肿占AAS的5%~30%,同主动脉夹层一样,也分为A型(累及升主动脉)和B型,A型主动脉壁内血肿发生在心包内主动脉段时可导致主动脉壁渗血而出现心包积液,发生在心包外主动脉段时可出现胸腔积液。A型主动脉壁内血肿的院内病死率与A型主动脉夹层相似,30%~40%的A型壁内血肿会进展为急性主动脉夹层,且症状发作的前8 d风险最高。2014ESC指南中指出,对于合并心包积液、主动脉周血肿或大动脉瘤的A型主动脉壁内血肿,应行急诊外科手术治疗,而绝大多数的A型主动脉壁内血肿均需要24 h内进行紧急手术。