中华急诊医学杂志  2016, Vol. 25 Issue (9): 1191-1193
不伴胆道梗阻的急性重症胰腺炎策略性清创治疗62例分析
周鑫滨, 王贵锋, 钱维明     
310009 杭州,浙江大学医学院附属第二医院麻醉手术部 ;
310009 杭州,浙江大学医学院附属第二医院全科医学科
Analysis of strategic debridement of 62 cases of severe acute pancreatitis without biliary obstruction
Zhou Xinbin, Wang Guifeng, Qian Weiming     
Anesthesiology and Surgery Department, The Second Affiliated Hospital, Zhejiang University School of Medicine,Hangzhou 310009, China;
General Medicine, The Second Affiliated Hospital, Zhejiang University School of Medicine, Hangzhou 310009, China

急性坏死性胰腺炎因其病死率高、治疗难度大一直困扰着临床医生。2012年亚特兰大会议摒弃了过去综合生理、影像及脏器功能等评估手段的临床分类法,而突出强调了持续性脏器功能衰竭为标准的分类方法将急性胰腺炎的严重程度分为轻症急性胰腺炎(mild acute pancreatitis,MAP)、中等程度的重症急性胰腺炎(moderate severe acute pancreatitis, MSAP)和重症急性胰腺炎(severe acute pancreatitis,SAP)[1-2]。目前较为一致的观点认为MAP主要以内科治疗为主,伴有胆道梗阻的SAP早期行胆道减压引流具有良好的疗效[3-4]。虽然手术创伤是对胰腺炎患者的“二次打击”,而相当一部分不伴胆道梗阻的SAP患者仍然需要清创手术,同时因为脏器功能多受损、手术时机选择困难、手术并发症多等原因其治疗非常困难。2006年新英格兰医学杂志又对SAP的手术处理原则进行了阐述,认为胰腺坏死伴感染是手术指针,但并非必须获得细菌学证据; 发病早期手术因为胰腺坏死界限不清可导致65%的病死率; 延迟手术(>2周)可明显提高生存率和脏器功能的完整性[5]。但在临床实际中仍然存在如何通过保守方法减轻胰周感染及手术发生率、手术最佳时机的选择以及综合治疗的规范等一系列问题。

目前一致认为SAP发病后早期的正确处置是缓解胰腺坏死和器官功能损伤的关键环节[4, 6]。本研究结合长期以来对SAP患者的救治经验和教训,以如何把握施行胰腺清创的最佳时机、减少甚至避免开腹手术为目的,对62例SAP患者实施一套策略性诊治方案,并对其必要性和可行性进行分析。

1 资料与方法 1.1 一般资料

收集浙江大学医学院附属第二医院自2010年1月至2013年12月间早期(发病一周内)伴有脏器功能不全的急性胰腺炎患者共计109例,根据2012新亚特兰大分级方法中急性重症胰腺炎诊断标准(脏器功能不全经积极治疗48h后仍不能恢复)[1],共有62例不伴胆道梗阻的SAP纳入本次研究。其中男性32例,女性30例,年龄(49.3±12.5) 岁,27~84岁。根据在整个治疗过程中是否行胰周清创术将全组患者分为清创组(22例)和未清创组(40例)进行对照研究。另有5例伴有胆道梗阻的AP和42例不伴胆道梗阻的MAP或MSAP未被纳入研究。

1.2 早期综合治疗

除胰腺休息的治疗原则外,特别强调液体复苏、脏器功能支持、营养支持、腹腔及后腹膜引流等关键性措施。

1.2.1 液体复苏

病程早期(6 h)内根据对每小时尿量、红细胞压积、中心静脉压(CVP)、平均动脉压(MAP)、混合静脉饱和度、血清乳酸浓度以及通过PiCCO技术监测心排血量(CO)、全心舒张末期容量(GEDI)、胸腔内血容量(ITBV)、血管外肺水(EVLW)、肺血管通透性指数(PVPI)等血流动力学参数,综合考虑有效循环容量、心肌收缩功能、微循环状态以及组织氧耗等因素对SAP患者进行适量的液体复苏。

1.2.2 脏器功能支持

因伴有短期内不能缓解的ARDS,低血容量休克,急性肾功能不全或凝血功能障碍等,所有纳入研究的SAP患者均转移至重症监护室,实施包括机械通气、血液滤过、血流动力学监测等在内的脏器功能支持治疗。

1.2.3 营养支持

不伴有腹腔室隔综合征(abdominal compartment syndrome, ACS)的患者在血流动力学稳定之后即放置经鼻空肠营养管并开始由全肠外营养(TPN)向肠内营养(EN)逐渐过渡。及时处理肠内营养的并发症,如腹胀、腹泻、乳糜腹等。

1.2.4 腹腔及胰周引流治疗

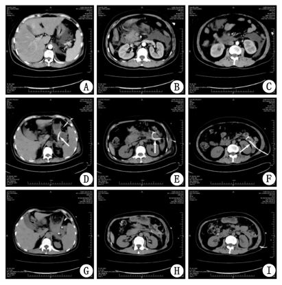
早期联合CT及B超引导下行腹腔引流(双腔ARROW管)及胰周(图 1)各腔隙引流(包括胰周、小网膜囊、两侧结肠旁沟、肠系膜根部后方等), 部分患者因重要器官阻挡、多腔分隔以及家属拒绝等因素未能接受胰周引流。

图 1 CT及超声示胰周各腔隙积液及置管引流情况
1.3 胰腺清创手术

手术时机选择:病程至少4周以后,同时具备①胰周脓肿形成,伴或不伴“气泡征”且脓腔壁厚>0.5 cm; ②高热(T>38.5 ℃)经抗生素治疗无效。手术方法:彻底胰腺脓肿清创,引流,空肠造瘘,必要时行胆囊切除或脾切除。术后管理:通过胰周引流管行冲洗引流; 及时处理大出血、肠漏等并发症。

1.4 疗效评估

对清创组与未清创组进行对照研究,以手术避免率、ACS发生率、手术次数,严重并发症(腹腔大出血、肠漏等)发生率,病死率、平均ICU住院时间等多项指标判断本治疗方案的疗效。

1.5 统计学方法

采用SPSS 19.0统计软件进行统计分析,计量资料以均数±标准差(x ±s)表示,两组间比较成组t检验,计数资料采用χ2检验或Fisher检验。以P<0.05为差异具有统计学意义。

2 结果 2.1 组间临床特征比较

所有患者到院时APACHE Ⅱ评分(18.6±3.2) 分,(14~28) 分,而清创组与未清创组间APACHE Ⅱ评分差异无统计学意义(P>0.05) 。入院后48 h内出现不能纠正的ARDS并使用呼吸机治疗60例,而两组间差异无统计学意义(P>0.05) ; 合并ACS 11例,其中清创组8例(36.4%),显著高于未清创组(7.5%)(P<0.05) ; 合并胰性脑病6例,清创组4例(18.2%),显著高于未清创组(5%)(P<0.05) ; 另合并凝血功能障碍20例、低血压休克13例、急性肾功能衰竭8例,两组间差异均无统计学意义(均P>0.05) 。全组共有17例以胰头坏死为主的SAP患者,其中清创组9例(40.9%),显著高于未清创组8例(20.0%)(P<0.05) 。见表 1

表 1 非胆道梗阻SAP清创组和未清创组患者各临床数据比较
指标清创组(n=22) 未清创组(n=40) 全组(n=62)
年龄(岁,x±s)51.2±10.948.3±11.849.3±12.5
接诊时间(d,x±s)5.6±1.54.3±1.15.1±1.6
APECHE Ⅱ评分(x±s)17.4±2.820.8±3.518.6±3.2
Ⅰ型呼衰(例,%)22(100) 38(95) 60(97)
急性肾衰(例,%)3(13.6) 5(12.5%)8(12.9)
休克(例,%)5(22.7) 8(20.0) 13(20.9)
凝血功能障碍(例,%)6(27.3) 14(35) 20(32.2)
ACS(例,%)8(36.4) a3(7.5) 11(17.7)
胰性脑病(例,%)4(18.2) a2(5) 6(9.7)
胰头坏死为主(例,%)9(40.9) 8(20.0) 17(27.4)
腹腔引流(例,%)20(90.9) 35(87.5) 55(88.7)
胰周引流(例,%)15(68.2) a36(90.0) 51(82.3)
首次清创时间(d,x±s)43.0±3.4
清创次数(x±s)1.5±0.4
结肠漏(例,%)6(27.2) 06(9.7)
腹腔大出血(例,%)3(13.6) 03(4.8)
DIC(例,%)2(9.1) 02(3.2)
肺梗死(例,%)2(9.1) 02(3.2)
死亡(例,%)6(27.2) a2(5.0) 8(12.9)
ICU住院时间(d,x±s)52.3±7.9a40.5±6.744.7±9.3
注:与未清创组比较,a P<0.05
2.2 组间腹腔及胰周引流和手术情况比较

所有患者共有55例行腹腔引流,51例胰周引流(11例未行胰周引流原因:重要器官阻挡8例、多腔分隔2例、家属拒绝1例),其中清创组胰周引流15例(68.2%),比例显著低于未清创组(90.0%)(P<0.05) 。全组患者没有一例行早期开腹手术。清创组患者中,首次手术时间(43.0±3.4) d,(32~58 d),清创手术次数(1.5±0.4) 次/例,(1~5次/例)。见表 1

2.3 组间预后情况比较

清创术后并发腹腔大出血3例; 结肠漏6例; 肺梗死2例; DIC 2例。全组病死率12.9%,死亡原因主要为肺梗死、DIC、腹腔大出血等严重并发症,另有1例为心肺功能衰竭,1例为清创术后家属放弃; 清创组病死率显著高于未清创组(27.2% vs. 5.0%,P<0.05) 。ICU住院时间(44.7±9.3) d,其中清创组为(52.3±7.9) d,(31~98 d),显著多于未清创组(40.5±6.7) d,(17~61 d)(P<0.05) 。见表 1

3 讨论

对于不伴胆道梗阻的急性重症胰腺炎的治疗原则为经保守治疗出现胰腺坏死伴感染则进行胰腺清创手术。而临床运用上述原则时仍存在许多困惑:①轻、重胰腺炎的诊断标准存在较大差异; ②胰腺坏死伴感染并非必须进行胰腺清创,如何实现早期成功的保守治疗以尽可能避免清创手术?③SAP早期开腹手术存在较大风险,如何认定并实现在最佳时机进行开腹清创?笔者坚信施行一系列策略性的治疗计划在提高生存率的同时尽可能推迟手术时间、减少手术次数、降低甚至避免手术是SAP治疗理念的发展方向。

英国一项著名的多中心研究证实急性胰腺炎合并短期内(48 h内)不能缓解的器官功能障碍患者的病死率> 50%; 相反则病死率可降至0%[7]。作为对1992年亚特兰大标准的补充, 2005年英国胃肠病协会根据上述研究结果在AP的处理指南中推荐了SAP更为严格的诊断标准:发病1周内出现的器官衰竭, 若在ICU内治疗48 h内仍得不到控制才被认为是SAP[8]。因此不难想象,按照以往的标准诊断的SAP很有可能包含不伴或仅伴有一过性的脏器功能障碍的AP。这些认识差异的存在将难以避免地干扰SAP诊治方案一致意见的形成。本研究严格依据上述标准观察了62例不伴胆道梗阻的SAP患者,同时发现病变以胰头为主、并发ACS或胰性脑病的患者需要手术清创率及病死率均有明显升高。这些提示除了顽固性脏器功能障碍之外,胰头坏死、ACS及胰性脑病亦有可能为病情严重的指标。

早期成功的保守治疗不仅阻止了出现一过性脏器功能障碍的AP向SAP发展,更有可能帮助SAP获得最佳的手术干预时机甚至避免手术。本研究中对109例合并OF的AP施行早期及时的液体复苏、胰腺休息及肠内营养等综合治疗,其中42例OF缓解并全部存活。本研究62例SAP患者中未清创组的ICU住院时间、各项严重并发症的发生率以及病死率均明显低于清创组,说明手术带来了严重的创伤,对于SAP患者来说是“二次打击”。本组SAP患者早期大多接受了胰周腔隙的穿刺置管引流(51/62) ,尽管大量研究表明胰周置管可能增加医源性感染发生,但本研究发现成功避免清创手术组早期行胰周引流比例(90%)明显高于清创组(68.2%),初步认为胰周积液的及时引流有助于缓解肠道的化学刺激、减少细菌“培养基”以及降低腹内压等从而最终使SAP患者减少或避免手术,提升了其治疗质量[9-11]

SAP患者最终不能完全避免手术清创(本组22/62例),大量研究表明早期清创手术不仅不能达到清创的目的,同时增加了大出血、ACS以及多次手术的可能,故延期手术已成为SAP手术治疗的主流[12]。然而如何能够成功推迟手术以及手术最佳时机的选择仍是亟待解决的问题。本研究采用了策略性治疗方案,全部62例SAP未发生1例早期手术,首次手术平均发生时间为(43.0±3.4) d ,而包括胰周引流在内的早期综合处理是成功实现延期手术的关键。同时笔者采用了“病程至少4周以后,同时具备①胰周脓肿形成,伴或不伴“气泡征”且脓腔壁厚>0.5 cm; ②高热(T>38.5 ℃)经抗生素治疗无效。”作为手术指征,对胰腺脓肿实施彻底清创、引流、以及术后冲洗引流,以最大可能降低了手术次数(1.5±0.4) 次/人及病死率(27.2%)。

总之,SAP已不再是仅需单纯的内科或外科治疗的病种,它更需要多学科统筹规划,综合处理。一个由普通外科、消化内科、危重症专业、内窥镜、影像学专业等各相关的专科医师以及营养师组成的治疗小组对SAP患者进行联合治疗已成为必需。而以“早期进行必要的胰周引流、后期个体化进行清创手术”为主线的的策略性的治疗方案将大大提高SAP的治疗效果。

参考文献
[1] Banks PA, Bollen TL, Dervenis C, et al. Classification of acute pancreatitis--2012: revision of the Atlanta classification and definitions by international consensus[J]. Gut , 2013, 62 (1) : 102-111 DOI:10.1136/gutjnl-2012-302779
[2] 钱安瑜, 张茂. 美国胃肠病学会急性胰腺炎临床处理指南(2013版)[J]. 中华急诊医学杂志 , 2013, 22 (12) : 1324-1325
Qian AY, Zhang M. American gastroenterological association acute pancreatitis processing guide (2013)[J]. Chin J Emerg Med , 2013, 22 (12) : 1324-1325 DOI:10.3760/cma.j.issn.1671-0282.2013.12.003
[3] 杨坤兴, 时开网, 卞建明, 等. 39例急性胰腺炎合并梗阻性黄疸的手术与非手术结果分析[J]. 南京医科大学学报(自然科学版) , 2004, 24 (5) : 536-537
Yang KX, Shi KW, Bian JM, et al. Analysis of surgical and non-surgical results of 39 cases of acute pancreatitis with obstructive jaundice[J]. J Nanjing Med Univ(Nat Sci Ed) , 2004, 24 (5) : 536-537 DOI:10.3969/j.issn.1007-4368.2004.05.030
[4] 中华医学会消化病学分会胰腺疾病学组, 中华胰腺病杂志编辑委员会, 中华消化杂志编辑委员会. 中国急性胰腺炎诊治指南(2013年,上海)[J]. 中华消化杂志, 2013,33(4):217-222. DOI: 10.3760/cma.j.issn.0254-1432.2013.04.001.
Digestive disease association; Chinese medical association, Chinese Journal of Pancreatology editorial committee, Chinese Journal of Digestion editorial committee. China’ s guidelines of diagnosis and treatment of acute pancreatitis(2013,Shanghai)[J]. Chin J Dig, 2013,33(4):217-222.
[5] Famularo G, Minisola G, De Simone C. Acute pancreatitis[J]. N Engl J Med , 2006, 355 (9) : 961 DOI:10.1056/NEJMc061618
[6] 耿小平. 急性重症胰腺炎的规范化与个体化治疗[J]. 肝胆外科杂志 , 2011, 19 (4) : 241-243
Geng XP. The standard and individualized treatment of acute severe pancreatitis[J]. J Hepatobiliary Surg , 2011, 19 (4) : 241-243 DOI:10.3969/j.issn.1006-4761.2011.04.001
[7] Gurusamy KS, Farouk M, Tweedie JH. UK guidelines for management of acute pancreatitis: is it time to change[J]. Gut , 2005, 54 (9) : 1344-1345 DOI:10.1136/gut.2005.071076
[8] Working Party of the British Society of G, Association of Surgeons of Great B, Ireland, Pancreatic Society of Great B, Ireland, Association of Upper GISoGB, Ireland: UK guidelines for the management of acute pancreatitis[J]. Gut, 2005,54 Suppl 3:i1-9. DOI: 10.1136/gut.2004.057026.
[9] Sugimoto M, Sonntag DP, Flint GS, et al. A percutaneous drainage protocol for severe and moderately severe acute pancreatitis[J]. Surg Endosc , 2015, 29 (11) : 3282-3291 DOI:10.1007/s00464-015-4077-1.
[10] 吴天山, 廖龙剑. 经皮穿刺置管引流治疗急性重症胰腺炎合并胰腺周围组织坏死感染的效果观察[J]. 中国普通外科杂志 , 2016, 25 (3) : 333-338
Wu TS, Liao LJ. Percutaneous catheter drainage for acute severe pancreatitis complicated with peripancreatic necrosis and infection[J]. Chin J Gen Surg , 2016, 25 (3) : 333-338 DOI:10.3978/j.issn.1005-6947.2016.03.005
[11] 邢金燕, 燕晓雯, 孙运波, 等. 早期腹腔置管引流治疗重症急性胰腺炎[J]. 中华急诊医学杂志 , 2010, 19 (4) : 405-408
Xing JY, Yan XW, Sun YB. Early drainage of ascites for the treatment of severe acute pancreatitis[J]. Chin J Emerg Med , 2010, 19 (4) : 405-408 DOI:10.3760/cma.j.issn.1671-0282.2010.04.020
[12] van Santvoort HC, Bakker OJ, Bollen TL, et al. A conservative and minimally invasive approach to necrotizing pancreatitis improves outcome[J]. Gastroenterology , 2011, 141 (4) : 1254-1263 DOI:10.1053/j.gastro.2011.06.073.