中华急诊医学杂志  2016, Vol. 25 Issue (9): 1136-1141
硝酸异山梨酯改善猪心肺复苏后的心功能障碍
杭晨晨, 王涛, 唐子人, 吴彩军     
100020 北京,首都医科大学附属北京朝阳医院急诊科
摘要: 目的 研究硝酸异山梨酯(isosorbide mononitrate, IM)对室颤型心脏骤停猪自主循环恢复(return of spontaneous circulation, ROSC)后的心功能障碍的影响。 方法 实验于首都医科大学附属北京朝阳医院实验中心进行。20头五指山小型猪随机(随机数字法)分成IM组(n=10)和对照组(n=10),通过程控刺激方法制作室颤型心脏骤停模型,制模成功后8 min后行CPR。IM组在ROSC即刻给予IM 6 h;对照组则给予等量生理盐水。比较两组实验动物ROSC后24 h内血流动力学及ROSC后72 h心脏超声和心肌超微结构变化。 结果 IM组和对照组ROSC几率相同; IM组平均动脉压(mmHg,1 mmHg=0.133 kPa)在ROSC后6 h(88.5±5.6 vs. 87.8±6.0,P=0.790)与24 h(89.3±3.8 vs. 86.9±5.0,P=0.245)较对照组差异无统计学意义;IM组心输出量(L/min)在ROSC 6 h(2.40±0.17 vs.1.60±0.14, P<0.01)及24 h(2.49±0.12 vs. 2.09±0.16,P<0.01)较对照组显著升高;复苏后72 h IM组左心室收缩功能较对照组显著改善,射血分数显著高于对照组(0.67±0.08 vs.0.56±0.09,P=0.044); ROSC 72 h IM组心肌超微结构损伤较对照组减轻。 结论 硝酸异山梨酯可以改善室颤引起的猪心搏骤停复苏后的心功能障碍。
关键词: 心脏骤停     硝酸异山梨酯     室颤          心肺复苏     心肌顿抑    
Improvement of cardiac function after cardiopulmonary resuscitation by using isosorbide mononitrate in porcine models
Hang Chenchen, Wang Tao, Tang Ziren, Wu Caijun     
Department of Emergency, Beijing Chaoyang Hospital, Capital Medical University, Beijing 100020, China
Abstract: Objective To determine the protective effect of isosorbidemononitrate (IM) on myocardial injury after restoration of spontaneous circulation (ROSC) in swine models of cardiac arrest induced by ventricular fibrillation. Methods The experiment was carried out in Animal Lab of Beijing Chao-Yang Hospital, Capital Medical University. Ventricular fibrillation was induced and untreated for 8 min in twenty WhuZhiShan piglets. CPR was performed until ROSC occurred. The animals were randomized(random number) into two groups: IM group (n=10) and control group (n=10). IM or the equivalent volume in saline was administered respectively for 6 h after ROSC. Hemodynamics and post-resuscitation cardiac function were monitored until 24 h after ROSC. Echocardiography and transmission electron microscopy were useed at 72 h after ROSC. Results There was no significant difference in survival rate between the two groups. No significant differences in mean arterial pressures(mmHg)at ROSC 6 h (88.5±5.6 vs. 87.8±6.0, P=0.790) and ROSC 24 h (89.3±3.8 vs. 86.9±5.0, P=0.245) between the two groups were found. Cardiac outputs(L/min) were significantly increased at ROSC 6 h (2.40±0.17 vs. 1.60±0.14, P<0.01) and ROSC 24 h (2.49±0.17 vs. 2.09±0.21, P<0.01);and ejection fraction at ROSC 72 h (0.67±0.08 vs.0.56±0.09, P=0.044) was improved too,and significant differences were found between the two groups. The ultra-structural myocardial injury was ameliorated in the MI group at 72 h after CPR observed by using electron microscopy. Conclusions IM can ameliorate post-resuscitation cardiac dysfunction in porcine models of cardiac arrest induced by ventricular fibrillation.
Key words: Cardiac arrest     Isosorbide mononitrate     Ventricular fibrillation     Pig     Cardiopulmonary resuscitation: Myocardial stunning    

自主循环恢复(ROSC)后存在的心肌顿抑,是心肺复苏(CPR)后综合征中重要的研究内容之一[1-2],这种心肌顿抑主要表现在与时间相关性的心脏收缩及舒张功能的异常[3-4]。发生心肌顿抑时,心肌微血管血流灌注减少,微血管内皮功能受损,血管内皮依赖性舒张功能减弱。已经证实硝酸酯类药物对顿抑心肌的微循环、微血管内皮功能具有延迟保护作用[5]。本研究通过程控电刺激诱导室颤制作心脏骤停动物模型,在ROSC早期静脉给予硝酸酯类药物(硝酸异山梨酯),通过心脏超声以及血流动力学、心肌组织学等检查以及72 h生存率分析,探讨硝酸酯类药物对CPR后的顿抑心肌是否具有保护作用以及其对CPR后72 h生存率的影响。

1 材料与方法 1.1 实验动物

本实验经过首都医科大学及附属朝阳医院动物实验伦理委员会批准,所有实验步骤均通过该委员会认可。采用健康实验用近交系五指山小型猪20只,周龄10~15周,体质量(20±2)kg,雌雄不限,由中国农科院畜牧研究所提供,许可证号:(2010)京牧050109。所有实验于首都医科大学附属北京朝阳医院实验动物中心进行。

1.2 研究方法 1.2.1 实验动物准备

术前晚上禁食,可自由饮水。肌注氯胺酮10 mg/kg,耳缘静脉静注3%戊巴比妥钠30 mg/kg诱导麻醉。随后3%戊巴比妥钠8 mg/(kg·h)维持麻醉;芬太尼注射液0.1 mg 静注术中镇痛。麻醉后以仰卧位置于手术操作台,四肢捆绑固定。经口置入6.5F气管插管,插管成功后接呼吸机(Drager-Evata IV,德尔格公司,德国)。呼吸机参数设置为:SIMV+PSV方式,PSV 10 cmH2O(1 cmH2O=0.098 kPa),FiO2 21%,VT 10~15 mL/kg,RR 12~18次/min。调整通气频率及潮气量使呼气末二氧化碳分压(ETCO2)维持在35~45 mmHg(1 mmHg=0.133 kPa)。备皮后连接心电监护(型号M1165,惠普公司,美国),监测肢体导联心电图。手术分离出左侧股动脉,置入5F的Outlook血管造影导管至主动脉弓,连接压力换能器及监测仪,用于监测主动脉血压及抽取动脉血。手术分离出左侧股静脉,置入Swan-Ganz导管,连接压力换能器及连续心排量监测仪(VigilanceⅡ,爱德华生命科学世界贸易公司,美国),连续监测心输出量(cardiac output,CO),抽取中心静脉血,并作为补液通道。分离右侧颈内静脉置入5F鞘管及心室双极临时起搏电极。

1.2.2 猪心脏骤停模型的制备

将右心室内双极临时起搏电极导线外接医用程控刺激仪(GY-600A,中国开封华南仪器有限公司),选择食道输出S1S2(300/200 ms)模式,8∶ 1比例,步长-10 ms连续电刺激,直到出现室颤[6-7]。室颤的判断标准:动脉血压骤降,心电图显示室颤波形。维持室颤8 min(代表心脏骤停患者到达急诊平均需要时间[8]),室颤期间停止机械通气。8 min后给予CPR,胸外按压2 min,频率100次/min,按压、放松时间各占50%,按压深度为胸廓前后径的1/3,运用Q-CPR技术对胸外按压进行质量控制(HeartStart MRx 除颤监测仪,Philips,荷兰)。CPR开始时即给予人工气囊辅助通气,按压通气比30∶ 2,2 min后给予电除颤1次(双向波150 J)。如果室颤波仍然存在,静注肾上腺素30 μg/kg,继续CPR 2 min后,再次电除颤1次(双向波150 J),直到出现ROSC。每隔3~5 min静注肾上腺素30 μg/kg。ROSC的标志为:MAP≥60 mmHg,持续10 min。30 min后若猪仍无ROSC判定猪死亡。

1.2.3 ROSC 前后的处理及分组

ROSC 前及ROSC 后各时间段在ICU 环境下监护和治疗。ROSC后将实验动物随机(随机数字法)分为IM组(n=10)和对照组(n=10)。记录诱导室颤前及ROSC 后1、6和24 h 4个时间点的血流动力学指标。在基础状态和ROSC后1、6和24 h 4个时间点抽取动脉血进行血气分析和肌钙蛋白I检测。IM组在ROSC即刻给予硝酸异山梨酯,用微量泵以2 μg/(kg·min)速度静滴6 h。对照组则给予与IM组同等液体量的生理盐水。在基础状态及ROSC后72 h对实验动物进行心脏超声检查(iU22四维彩色多普勒超声诊断仪,Philips,荷兰)。ROSC后72 h给予动物安乐死,取心肌组织,电镜下行心肌超微结构检测。另选健康同种属猪心肌组织作为对照,观察处理措施对心肌组织的影响。

1.3 统计学方法

采用SPSS 17. 0 统计学软件进行分析,计量资料以均数±标准差(x ±s)表示。采用Kaplan-Meier乘积极限法构建生存函数并且使用Log Rank进行检验;两组间不同的ROSC率的比较采用Fisher’ s 精确检验;其他各重复测量参数各时间点两组之间的比较使用多变量方差分析。组内变量各时间点比较使用重复测量方差分析。以P<0.05为差异具有统计学意义。

2 结果 2.1 复苏前的生理学及复苏数据

IM组和对照组动物之间性别、体质量及CPR成功率的差异无统计学意义,见表 1

表 1 IM组与对照组动物基本特征及复苏数据的比较 Table 1 Comparison of characteristics and resuscitation data between the IM and control groups
指标IM组 (n=10) 对照组 (n=10) P
性别(雄/雌)5/54/61.000
体质量(kg)20.5±1.120.4±1.10.768
CA模型成功率(%)100100-
ROSC例数1010-
2.2 生存分析

IM组的中位生存时间长于对照组,但差异无统计学意义 ,见图 1

图 1 IM组和对照组动物生存时间的比较 Figure 1 Comparison of survival time of swine after ROSC between the IM and control groups
2.3 血流动力学、pH值以及血肌钙蛋白I的变化

IM组平均动脉压在ROSC后1 h有较明显下降,较对照组差异有统计学意义(P <0.01),但随即恢复。ROSC后6 h与24 h平均动脉压与对照组相比,差异无统计学意义。两组动物CO及pH值在ROSC后均有显著下降并随时间推移有所恢复,但各时间点IM组均显著高于对照组(P <0.01)。肌钙蛋白I峰值出现于ROSC 6 h,至24 h有下降趋势,且对照组指标显著高于IM组(P <0.01)(表 2)。

表 2 IM组与对照组ROSC 24 h内血流动力学、pH值以及血肌钙蛋白I的比较(n=10,x ±s) Table 2 Comparison of hemodynamics, pH and cardiac troponin I within 24 h after ROSC between the IM and control groups(n=10,x ±s)
指标基础状态ROSC 1 hROSC 6 hROSC 24 h
心率(次/min)
IM组105±6111±7109±6107±5
对照组108±45115±7111±6108±4
F1.1120.9820.8730.793
P0.1890.2210.5410.510
平均动脉压(mmHg)
IM组95±589±589±6a89±4a
对照组95±597±489±6a87±5a
F 0.0123.047 0.673 1.002
P0.9270.0030.7900.245
CO(L/min)
IM组2.71±0.171.71±0.17b2.40±0.17b2.49±0.12
对照组2.80±0.12 1.32±0.14b 1.60±0.14b 2.09±0.16b
F 1.184 9.227 10.121 8.859
P0.188<0.01<0.01<0.01
pH值
IM组7.40±0.027.28±0.03b7.36±0.037.40±0.02
对照组 7.41±0.02 7.21±0.03b 7.28±0.03b 7.41±0.02
F 0.594 7.341 8.925 0.826
P0.387<0.01<0.010.336
血肌钙蛋白I(ng/L)
IM组0.04±0.020.11±0.04b17.8±3.55b3.45±1.11b
对照组 0.04±0.01 0.14±0.03b 23.5±3.70b 12.2±1.90b
F 0.021 1.213 6.239 16.878
P1.0000.1170.003<0.01
注:各时间点与基础状态之间比较,aP<0.05,bP <0.01
2.4 ROSC后72 h心脏超声结果

基础状态两组动物各心脏超声参数之间差异无统计学意义(P>0.05)。ROSC 72 h后,IM组左心室射血分数显著高于对照组,而左室舒张末期内径、左室收缩末期内径、左室舒张末期容积和左室收缩末期容积均显著小于对照组(P<0.05),见表 3

表 3 IM治疗组与对照组心脏超声结果(n=10,x ±s) Table 3 Comparison of echocardiograph between the IM and control groups(n=10,x ±s)
时点左室舒张末期内径(mm)左室收缩末期内径(mm)左室舒张末期容积(mL)左室收缩末期容积(mL)射血分数(%)
基础状态
IM组27.6±0.719.0±1.623.5±0.814.4±1.569±7
对照组27.9±0.619.4±1.924.3±0.715.2±1.367±9
F0.3390.1260.9840.8870.129
P0.5620.6670.2410.3290.786
ROSC 72 h
IM组27.8±0.922.0±1.124.6±0.912.2±1.267±8
对照组32.6±0.923.6±1.426.3±0.918.2±0.856±9
F5.2353.9243.77811.2391.562
P0.0120.0350.021 <0.010.044
2.5 心肌超微结构

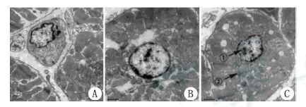
基础状态心肌细胞核结构完整,线粒体形态良好(图 2A)。ROSC后72 h心脏组织电镜下超微结构显示 两组动物细胞结构均有损伤,细胞核染色质有凝集现象(图 2C,箭头①),但IM组较对照组损伤较轻,线粒体结构较为完整(图 2B)。对照组线粒体结构肿胀,线粒体嵴模糊,部分消失(图 2C,箭头②)。

图 2 M组和对照组动物心肌组织电镜图 Figure 2 The myocardium of the IM and control group observed under electron microscopy
3 讨论

心脏骤停后的ROSC是机体经历长时间的、完全性的、全身性缺血-再灌注后的一种非自然的病理生理状态,是一种特殊的全身缺血-再灌注的病理生理过程。首先,在此过程中由于心脏骤停引起血流突然中断,心肌缺血缺氧致心肌顿抑,即使在成功复苏后心排血量也减少至原来的1/3或1/2,引起平均动脉血压及冠脉灌注压下降,从而进一步加重心肌缺血缺氧,这是造成复苏后心肌功能障碍的主要原因,也是2010版CPR指南推荐在此期间优化血流动力学治疗的理论基础[9]。其次,心脏骤停对机体是一种强烈的伤害性刺激,应急反应促使大量内源性儿茶酚胺释放(去甲肾上腺素、肾上腺素、多巴胺),而在进行CPR时又使用外源性的肾上腺素,大量的内源性和外源性儿茶酚胺可使心功能进一步恶化,这些因素可能是ROSC后心功能障碍的主要机制。而在此病理生理学基础上所出现的心肌顿抑日益受到重视,因其潜在的可恢复性,有人认为治疗一个可能自我痊愈的过程没有必要,但研究证明反复的心肌顿抑的持续可以引起心肌冬眠,从而导致心力衰竭[10]

硝酸酯是非内皮依赖性的血管扩张剂,无论内皮细胞功能和结构是否正常,均可发挥明确的血管平滑肌舒张效应。硝酸酯进入血管平滑肌细胞后,通过释放一氧化氮(NO)刺激鸟苷酸环化酶,使环磷酸鸟苷(cGMP)浓度增加,降低细胞内的钙浓度,导致血管平滑肌舒张。硝酸酯的血管舒张效应呈剂量依赖性,随着剂量递增,依次扩张静脉血管、大中动脉和阻力小动脉。硝酸酯的主要作用机制:(1)扩张静脉血管,减少回心血量,使心脏前负荷和室壁张力下降;扩张外周阻力小动脉,使动脉血压和心脏后负荷下降,两者均可降低心肌氧耗量。(2)扩张冠状动脉和侧支循环血管,使冠状动脉血流重新分布,增加缺血区域尤其是心内膜下的血液供应。在临床常用剂量范围内,不引起微动脉扩张,可避免“冠状动脉窃血”现象的发生。(3)降低肺血管床压力和肺毛细血管锲压,增加左心衰竭患者的每搏输出量和心输出量,改善心功能。(4)抗血小板聚集、抗栓、抗增殖、改善冠状动脉内皮功能和主动脉顺应性、降低主动脉收缩压等机制,亦可能在硝酸酯的抗缺血和改善心功能等作用中发挥协同效应[11-12]

心功能障碍的主要原因是心肌顿抑,早期识别顿抑心肌及抗心肌顿抑对改善心肺复苏后心功能障碍具有重要临床意义。硝酸异山梨酯是一种在临床上广泛使用的改善心肌缺血药物.近年来随着药理研究的深入,硝酸异山梨酯扩张冠状动脉以外的许多作用不断被阐明,其抗血小板聚集、改善心脏收缩及舒张功能等作用也逐渐被发现和验证。然而其诱导心肌早期保护和延迟保护作用的机制,是否可对抗心肌缺血-再灌注损伤引起的心肌顿抑均尚未阐明。

本项目通过建立猪室颤型心脏骤停的动物模型,观察复苏后的各阶段血流动力学指标变化,并应用硝酸异山梨酯干预。本研究发现,硝酸酯类药物用于CPR后,在短期内虽然会使血压降低,但未对心功能造成明显负面影响;相反,对于CO,射血分数等指标有明显改善作用。IM组实验动物血pH值明显改善,说明硝酸酯类药物的使用可以通过改善氧代谢状况使机体的酸碱平衡保持在相对正常水平,心肌的供氧也随之改善,损伤减轻。表现在超微结构上,可以观察到线粒体结构损伤的减轻。线粒体是细胞内氧代谢的关键细胞器,可以为代谢活跃的心肌细胞提供充足ATP供能。因此最终可以降低心肌损伤的标志物肌钙蛋白I的血清浓度。本研究结果表明硝酸酯类药物对复苏后的心肌顿抑有减轻作用,从而为应用硝酸异山梨酯治疗复苏后心功能障碍提供理论依据

有其他学者亦对硝酸酯类药物对顿抑心肌的保护作用进行了研究。李玉宏等[13]应用心肌声学造影定量的方法评价了硝酸甘油对犬顿抑心肌的作用,结果提示硝酸甘油能对抗缺血-再灌注损伤引起的心肌顿抑,对顿抑心肌的微循环、微血管内皮具有延迟保护作用。关于硝酸酯类药物在心肺复苏中的应用,Schultz等[14]在心肺复苏中的研究中应用了硝酸酯类药物的研究显示,硝酸酯类药物可以改善心肺复苏后实验动物的颈动脉血流和ETCO2,提高自主循环恢复成功率。本研究在CPR领域从心肌顿抑的角度对硝酸酯类药物作用机制进行了初步阐述,对上述研究的结果进行了补充。从分子生物学机制角度,硝酸酯类药物进入血管平滑肌细胞后,通过释放一氧化氮(NO)刺激鸟苷酸环化酶,使环磷酸鸟苷(cGMP)浓度增加,降低细胞内的钙浓度,导致血管平滑肌舒张,达到对顿抑心肌的保护作用。

诚然,本研究并未从最终生存率上得到有利于硝酸酯类药物应用的结论,这可能与样本数量有限,不足以得出阳性结果有关。尽管如此硝酸酯类药物抑制心肌顿抑,改善CPR后心功能是不争的事实。进一步的大规模临床试验将有利于确认硝酸酯类药物对CPR后心功能的作用。

参考文献
[1] Neumar RW, Nolan JP, Adrie C, et al. Post-cardiac arrest syndrome: epidemiology, pathophysiology, treatment, and prognostication[J]. Circulation , 2008, 118 (23) : 2452-2483 DOI:10.1161/CIRCULATIONAHA.108.190652
[2] Tang W, Weil MH, Sun S, et al. Epinephrine increases the severity of postresuscitation myocardial dysfunction[J]. Circulation , 1995, 92 (10) : 3089-3093 DOI:10.1161/01.CIR.92.10.3089
[3] Xu J, Sun S, Lu X, et al. Remote ischemic pre- and postconditioning improve postresuscitation myocardial and cerebral function in a rat model of cardiac arrest and resuscitation[J]. Crit Care Med , 2015, 43 (1) : e12-18 DOI:10.1097/CCM.0000000000000684
[4] Kurhekar PM, Yachendra V, Babu SP, et al. Myocardial stunning after resuscitation from cardiac arrest following spinal anaesthesia[J]. Indian J Anaesth , 2014, 58 (2) : 196-198 DOI:10.4103/0019-5049.130828
[5] Tang W, Weil MH, Sun S, et al. Progressive myocardial dysfunction after cardiac resuscitation[J]. Crit Care Med , 1993, 21 (7) : 1046-1050 DOI:10.1097/00003246-199307000-00022
[6] 武军元, 李春盛. 应用程控刺激的心脏骤停模型[J]. 中华急诊医学杂志 , 2008, 17 (10) : 1063-1065
Wu JY, Li CS. A swine model of cardiac arrest produced by programmed electrical stimulation[J]. Chin J Emerg Med , 2008, 17 (10) : 1063-1065 DOI:10.3760/j.issn.1671-0282.2008.10.014
[7] 刘朝霞, 李春盛. 心肺复苏质量对心搏骤停猪血流动力学及氧代谢的影响[J]. 中华急诊医学杂志 , 2008, 17 (11) : 1152-1157
Liu ZX, Li CS. Effects of different cardiopulmonary resuscitation qualities on hemodynamics and aerobic metabolism in pigs with cardiac arrest[J]. Chin J Emerg Med , 2008, 17 (11) : 1152-1157 DOI:10.3760/j.issn.1671-0282.2008.11.008
[8] van Alem AP, Vrenken RH, de Vos R, et al. Use of automated external defibrillator by first responders in out of hospital cardiac arrest: prospective controlled trial[J]. BMJ , 2003, 327 (7427) : 1312-1317 DOI:10.1136/bmj.327.7427.1312
[9] Yang L, Li C, Gao C, et al. Investigation of myocardial stunning after cardiopulmonary resuscitation in pigs[J]. Biomed Environ Sci , 2011, 24 (2) : 155-162 DOI:10.3967/0895-3988.2011.02.010.
[10] Bolli R. Why myocardial stunning is clinically important[J]. Basic Res Cardiol , 1998, 93 : 169-172 DOI:10.1007/s003950050083
[11] 严晓伟, 刘震字, 陈未, 等. 静脉注射硝酸酯类对急性心肌梗死早期左心室舒张功能的影响[J]. 中国临床药理学杂志 , 2005, 21 (1) : 11-13
Yan XW, Liu ZY, Chen W, et al. Effects of the left ventricular diastolic function of intravenous nitroglycerin and isosorbide dinitrate in early stage of acute myocardial infarction[J]. Chin J Clin Pharmacol , 2005, 21 (1) : 11-13 DOI:10.3969/j.issn.1001-6821.2005.01.003
[12] Liu H, Li Y, An Y, et al. Endothelium-independent hypoxic contraction is prevented specifically by nitroglycerin via inhibition of Akt kinase in porcine coronary artery[J]. Stem Cells Int , 2016, 2016 : 2916017 DOI:10.1155/2016/2916017
[13] 李玉宏, 杨军, 唐力, 等. 心肌声学造影定量评价硝酸甘油对犬顿抑心肌的延迟保护作用[J]. 中国超声医学杂志 , 2005, 21 (4) : 244-248
Li YH, Yang J, Tang L, et al. Evaluation of nitroglycerin protection effect on myocardial stuning using myocardial contrast echocardiography[J]. Chin J Ultrasound Med , 2005, 21 (4) : 244-248 DOI:10.3969/j.issn.1002-0101.2005.04.002
[14] Schultz JC, Segal N, Caldwell E, et al. Sodium nitroprusside-enhanced cardiopulmonary resuscitation improves resuscitation rates after prolonged untreated cardiac arrest in two porcine models[J]. Crit Care Med , 2011, 39 (12) : 2705-2710 DOI:10.1097/CCM.0b013e31822668ba