中华急诊医学杂志  2016, Vol. 25 Issue (8): 1095-1095
肾病综合征继发CMV肺炎一例
辛彩焕, 熊辉     
100034 北京,北京大学第一医院急诊科
Cytomegalovirus pneumonia inapatient with nephrotic syndrome
Xin Caihuan, Xiong Hui     
Emergency Department,Peking University First Hospital,Beijing 100034,China

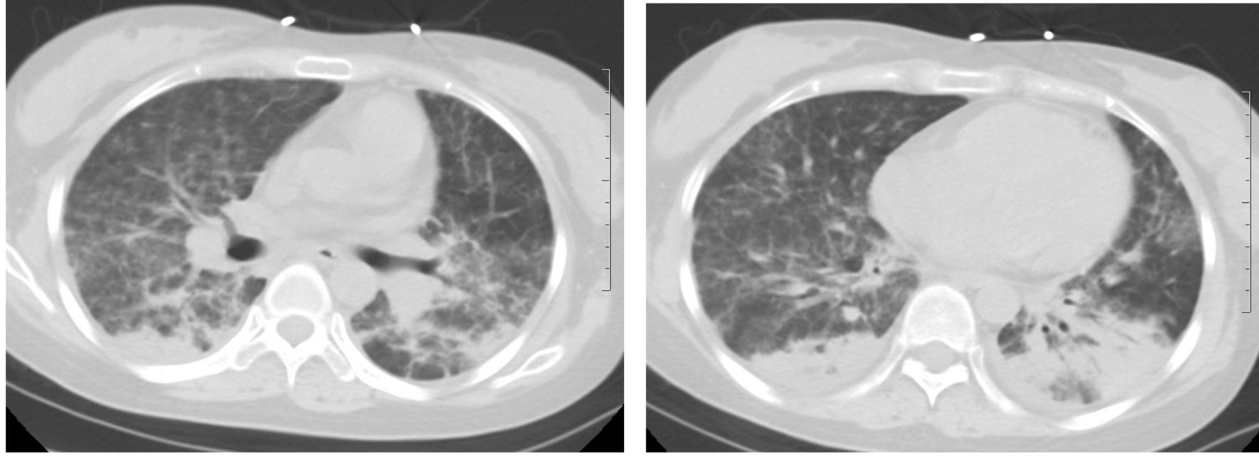
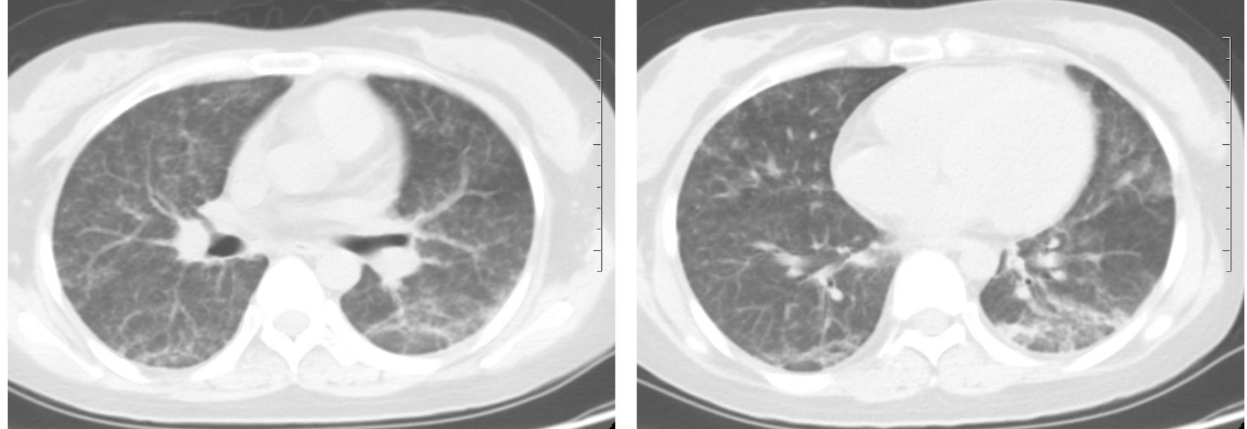
患者,女,24岁,主因“发热、干咳20余天”入院。外院抗生素治疗效果差。既往肾病综合征,口服激素。查体:T 38 ℃、P 105次/min,RR 20次/min,BP 102/73 mmHg(1 mmHg=0.133 kPa),双肺未闻及啰音。辅助检查:WBC 1.52× 109 L-1、NE 78.3%;CRP 71 mg/L;ALT 248 U/L、AST 118 U/L;动脉血气(未吸氧):pH 7.44,PaCO2 34 mmHg,PaO2 69 mmHg;胸部平片未见异常。入院后美罗培南治疗3 d,未见好转,呼吸困难进行性加重,I型呼吸衰竭。第3日胸部CT提示双肺间质弥漫渗出,部分实变(图 1),病原不明确,调整抗感染方案:美罗培南、莫西沙星、磺胺、卡泊芬净、更昔洛韦250 mg/12 h、甲强龙40 mg/d、丙种球蛋白。第6日症状明显好转,复查胸部CT较前明显吸收(图 2),此时回报PCT、血培养、G试验、GM试验、呼吸道病原菌培养均阴性;CD4、CD8及CD4/CD8显著下降;肺泡灌洗液CMV-DNA 9.4×105 拷贝/mL,血清CMV-DNA 4.35×104 拷贝/mL,考虑巨细胞病毒肺炎诊断明确,维持更昔洛韦、甲强龙治疗3周,1月后胸部CT示渗出及实变完全吸收(如图 3)。

图 1 第3日胸部CT
图 2 第6日胸部CT
图 3 1月后胸部CT

讨论 巨细胞病毒是一种临床常见病原体,免疫力正常人感染常无症状,而免疫力低下患者,可累及肺、视网膜、胃肠道、中枢神经系统等多种器官,出现致命性的后果。近年来免疫抑制剂广泛应用于自身免疫疾病、肿瘤、器官移植等疾病,以及艾滋病患者的增多,导致巨细胞病毒所致的机会性感染明显增加,巨细胞病毒肺炎(cytomegalovirus pneumonia)已成为上述患者的重要死因之一。

CMV肺炎通常急性起病,快速进展,以发热、干咳或少痰、呼吸困难等临床症状常见,影像学表现为肺间质受累为主的炎症,单纯从症状、影像学难以和其他病毒或卡氏肺孢子虫肺炎相区别,诊断需依据实验室检查。虽肺组织活检找到巨细胞病毒包涵体或培养出病毒为临床诊断最可靠标准,但临床实施困难,不利于早期诊断。

目前常用检测方法包括CMV抗体、CMV-DNA、CMV-PP65抗原及CMV-mRNA检测。对于免疫力低下人群,可 能缺乏抗体反应或抗体延迟出现,故血清学抗体对早期诊断价值有限。CMV-DNA已被广泛应用于CMV感染早期诊断,检测标本可为血液和肺泡灌洗液。CMV-pp65抗原及CMV-mRNA较CMV-DNA有更高的特异性,不仅能早期诊断CMV感染,而且通过抗病毒治疗过程中定量监测更能反映病情控制情况。

CMV肺炎治疗中,支持治疗是最基本的。低氧血症时吸氧,必要时机械通气辅助呼吸,积极纠正心肺功能衰竭;同时保证营养支持、补液、退热对症等。怀疑CMV感染时提倡尽早抗病毒治疗,公认的抗病毒药物为更昔洛韦10 mg/(kg·d),分2次静点,疗程3~4周,待CMV-DNA转阴后停药。若免疫力低下状况不能解除,可考虑长期口服更昔洛韦预防CMV肺炎复发。免疫球蛋白的作用不确切。另外CMV重症肺炎是否应用糖皮质激素存在争议,文献中未查到相关研究报道。

急诊医师应提高对CMV肺炎的认识,若遇免疫功能低下肺炎患者,经一般抗感染治疗无效,外周血白细胞总数低、CD4/CD8下降、血气分析示严重低氧的患者,应高度警惕CMV肺炎,即使在等待病原学结果期间,也可提早应用抗病毒治疗。