100853 北京,中国人民解放军总医院CT室(李家开、王岩),急诊科(黎檀实)
Department of Emergency, Chinese PLA General Hospital, Beijing 100853, China(Li TS)
全球每年创伤相关性死亡超过六百万并造成大量患者残疾[1-2]。严重创伤是一个重要的全球公共卫生问题[3]。钝性胸主动脉损伤是最严重的胸部创伤,因胸主动脉损伤可能随时破裂,需早期诊断、及时处理[4]。大多数钝性胸主动脉损伤危及生命,80%患者死于受伤现场,幸存的患者如未治疗,伤后24 h病死率可达50%[5] 胸主动脉损伤的严重程度往往会决定预后[6]。钝性胸主动脉损伤的常见原因为车祸伤及坠落伤[7-8],是车祸伤引起死亡的主要原因,仅次于脑外伤,占机动车祸伤引起死亡人数的18%[9],占胸部钝性外伤的4.76%[10]。钝性胸主动脉损伤的症状及体征多样化,对于诊断钝性胸主动脉损伤没有特异性[11],影像学检查对于诊断此种损伤极其重要。目前,胸部CTA检查是诊断钝性胸主动脉损伤的首选方法,CTA可明确钝性胸主动脉损伤的部位和程度。本文旨在回顾性分析总结在解放军总医院急诊科诊治的37例钝性胸主动脉损伤的CTA征象,为临床诊断钝性胸主动脉损伤积累经验。
1 资料与方法 1.1 一般资料2004年6月至2014年6月在解放军总医院急诊科诊治的37 例钝性胸主动脉损伤,男32例,女5例,年龄15~59岁,平均30.5岁。损伤原因均为减速损伤引起,汽车车祸伤 31例,摩托车祸伤3例,行人汽车相撞2例,坠落伤1例。钝性胸主动脉损伤部位,主动脉峡部83.8%(31/37)、主动脉弓5.4%(2/37)、主动降部8.1%(3/37)、主动脉升部2.7%(1/37)。均为多发伤,伴随头部损伤37.8%(14/37),颅内出血、面骨骨折18.9%(7/37)、肋骨骨折70.2%(26/37)、肺挫伤40.5%(15/37)、心脏挫伤8.1%(3/37)、横膈损伤5.4%(2/37)、脾脏损伤16.2%(6/37)、肝脏损伤18.9%(7/37)、小肠损伤2.7%(1/37)、骨盆骨折35.1%(13/37)、股骨骨折21.6%(8/37)、胫骨骨折24.3%(9/37)、脊柱骨折21.6%(8/37)。全部病例均经手术或主动脉造影进一步证实。1例钝性胸主动脉降部损伤患者在急诊科诊治过程中因情绪激动引起血管破裂大出血死亡,未行进一步检查及治疗,未被纳入本组病例。
1.2 方法使用德国SIEMENS-SOMATOM Sensation Cardiac 64层CT扫描机,2005年前使用德国SIEMENS-SOMATOMSensation 16层CT扫描机。连续容积扫描(continuous volume scanning,CVS),无心电门控,平静呼吸状态下屏气。扫描体位均采用横轴位。扫描范围自主动脉弓上方水平至耻骨联合水平。扫描层厚1.5 mm,层间距1.0 mm。1.2 PI,120 kV,110 mAs,旋转时间0.33 s。所有患者均使用Omnipaque300非离子型造影剂,流率3.5 mL/s,造影剂总量为1.5 mL/kg。扫描延迟时间15~30s(自动监测值+延迟10 s)。将原始图像传至工作站进行后处理,诊断以二维图像为主,三维重建法采用容积重建(VR)、多层面重建(MPR)、最大密度投影(MIP)、曲面重建(CPR)。
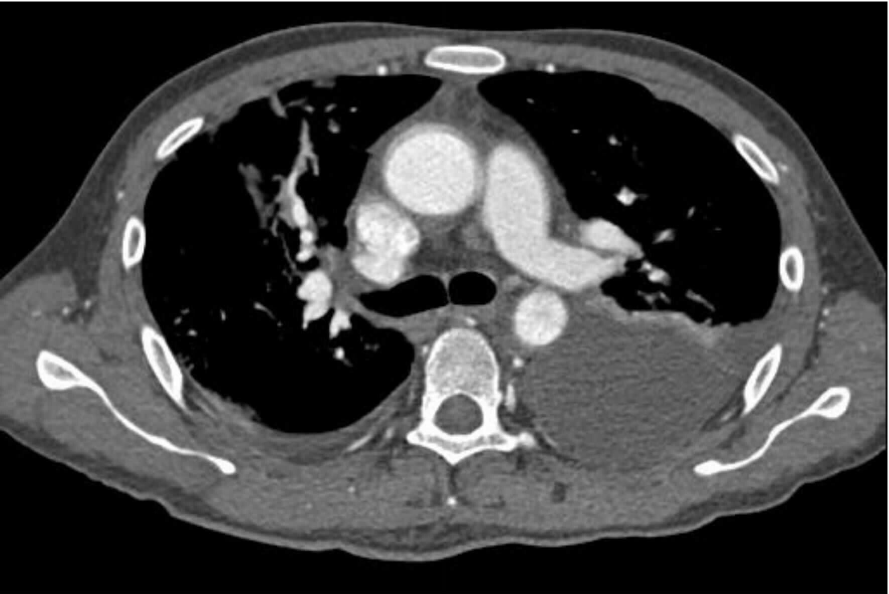
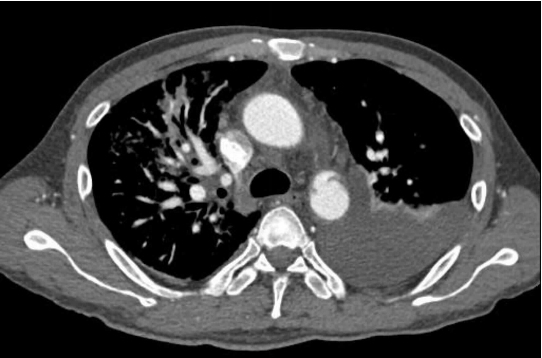
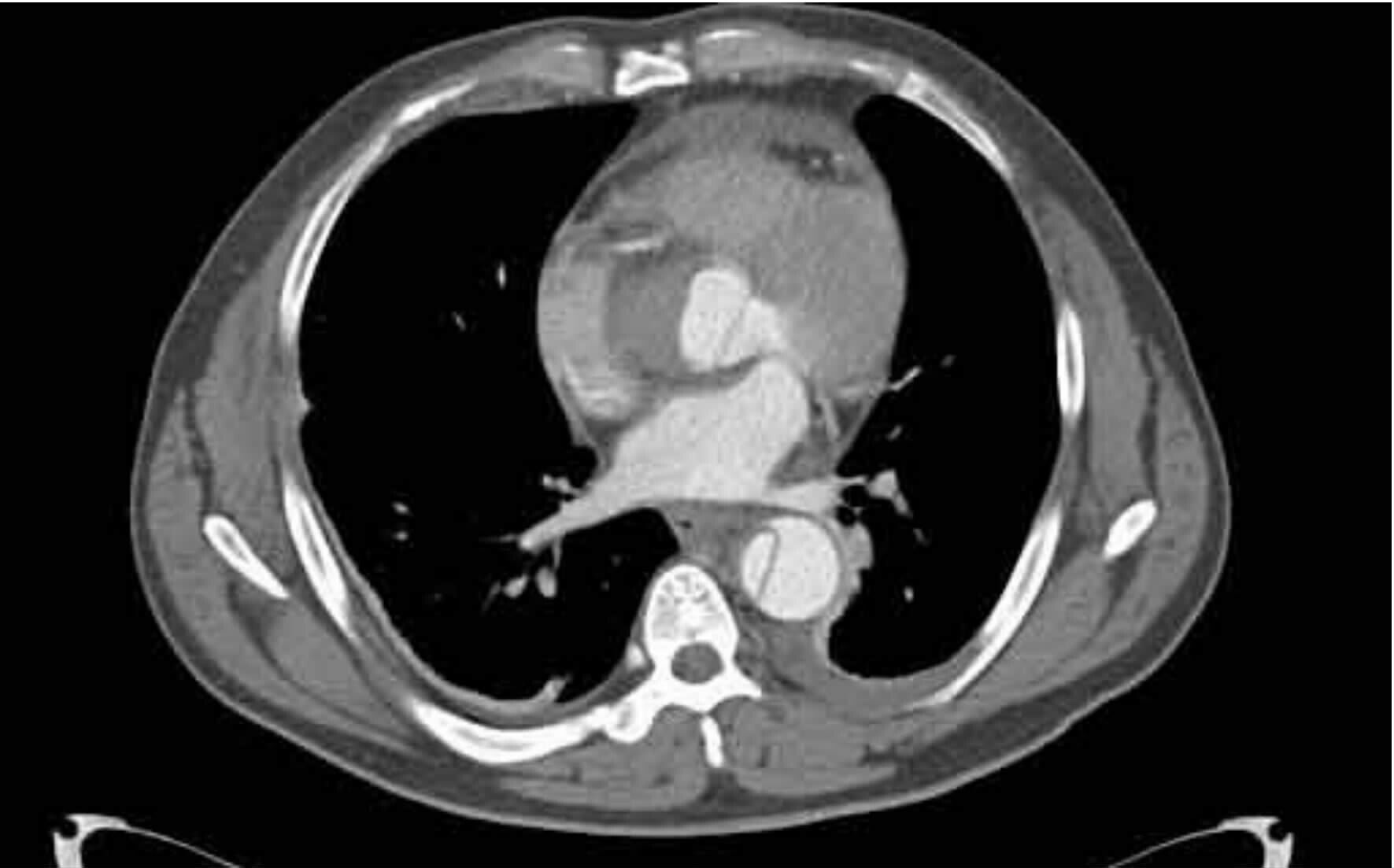
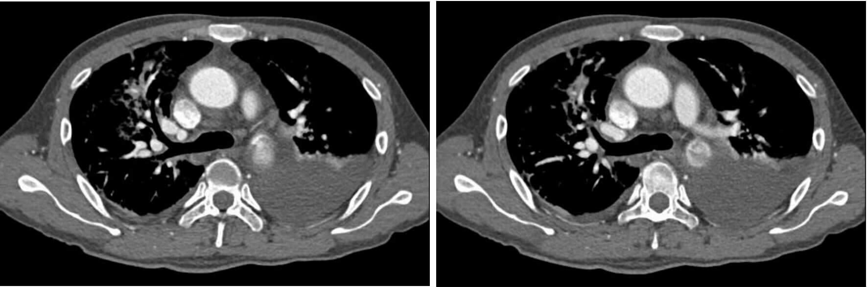
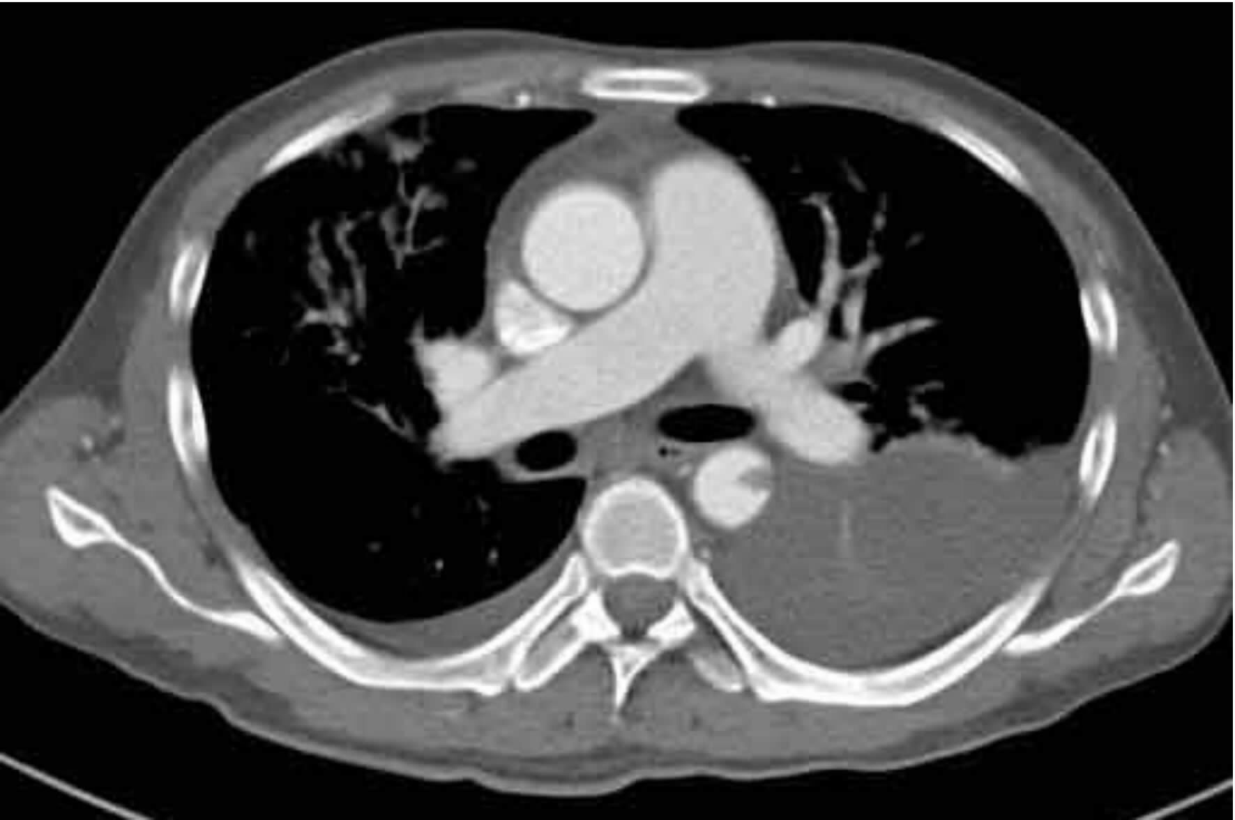
2 结果37例钝性胸主动脉损伤,CTA征象表现为内膜瓣、轮廓异常、血栓、动脉收缩、假性动脉瘤、主动脉夹层6种情况。①内膜瓣:内膜瓣为增强的主动脉管腔内可见一个或多个弧形弱化区(图 1)。②主动脉轮廓异常:表现为主动脉管壁或轮廓不规则,圆形的主动脉横切面发生变化,(图 2)。③假性动脉瘤:指主动脉壁破裂出血,形成主动脉壁外的血肿,主动脉管腔与不规则瘤腔结合处呈锐性边缘(单侧或双侧),(图 3)。④主动脉夹层:内膜片和主动脉真假两腔形成是诊断夹层动脉瘤的基本征象。内膜片将血管分为真假两个腔隙。增强早期真腔密度高于假腔,随时间延迟,假腔密度逐渐增高,假腔密度可等于或高于真腔,(图 4)。⑤动脉收缩表现为损伤节段主动动脉直径小于正常节段动脉直径(图 5)。⑥血栓;主动脉腔内息肉样低密度区(图 6)。本组37例钝性胸钝性胸主动脉损伤患者,CTA征象存在内膜瓣34例(91.8%),主动脉轮廓改变或腔异常37例(100%),动脉收缩17例(45.9%),主动脉夹层10例(27.0%),假性动脉瘤21例(56.7%),血栓1例(2.7%)。
|
| 图 1 主动脉峡部损伤内膜瓣征象 Figure 1 Intimal flap sign of aortic isthmus injury |
|
|
|
| 图 2 主动脉峡部损伤动脉轮廓发生改变 Figure 2 Artery contour changes of aortic isthmus injury |
|
|
|
| 图 3 主动脉峡部损伤假性动脉瘤征象,左锁骨下动脉分支受压 Figure 3 Pseudoaneurysm sign of aortic isthmus injury and compression of the left subclavian artery. |
|
|
|
| 图 4 主动脉降部损伤夹层征象 Figure 4 Dissection sign of descending aortic injury |
|
|
|
| 图 5 主动脉峡部收缩征象 Figure 5 Contraction signs of aortic isthmus injury |
|
|
|
| 图 6 主动脉降部损伤,表现为息肉样血栓征象 Figure 6 Polypoid thrombosis sign of descending aortic injury |
|
|
钝性胸主动脉损伤是由突然的减速运动(交通事故、高处坠落)或胸部撞击所致,为合力作用的结果,涉及剪切力、牵伸力、扭转力、水锤效应和/或骨质挤压作用等多个因素,水锤效应使主动脉瞬间发生阻塞及血压突然增高,当主动脉腔内压力超过580~2 500 mmHg(1 mmHg=0.133 kPa)时,可导致钝性胸主动脉损伤,尤其是主动脉峡部。骨质挤压作用是指主动脉受其前方的胸壁及后方的椎体挤压引起损伤。主动脉峡部位于相对可活动的主动脉弓与较固定的降主动脉之间,突然的减速运动时,此处受到的剪切力最大。[12]在送达医院并存活的钝性胸主动脉损伤患者中,主动脉峡部损伤最常见,本研究占83.8%。
3.2 CTA诊断钝性胸主动脉损伤的优点主动脉造影曾经是诊断钝性胸主动脉损伤的金标准。20世纪60年代早期,主动脉造影用于诊断钝性胸主动脉损伤,30余年来一直是诊断钝性胸主动脉损伤的最好方法。然而,主动脉造影为有创、耗时检查,造影剂过多增加了多发伤患者肾损害的风险,操作时不利于对患者进行监测及支持治疗,血管造影在大多数医院常需预约,不能立即检查,可能延误诊断。
在许多医院,术前CTA检查已经取代了传统的血管造影检查。20世纪90年代引用CT检查,由于第一代CT分辨率差,医生读片经验不足,CT诊断钝性胸主动脉损伤的效果不理想。随着多层螺旋CT的应用及CTA技术进一步发展,CTA用于筛选和诊断主动脉发生了革命性变化。
多层螺旋CT在团注对比剂后一次屏气可扫描一个完整部位,对钝性胸主动脉损伤可迅速做出诊断。CTA诊断钝性胸主动脉损伤,与主动脉造影相比,分辨率高、操作容易、速度快、创伤小、费用少、并发症发生率低,可显示主动脉的横断面及纵隔内其他结构的解剖细节,可同时诊断伴随损伤。目前,CTA是诊断钝性胸主动脉损伤的最佳影像学方法。
3.3 CTA诊断钝性胸主动脉损伤的直接征象在选择的这组病例中,手术或主动脉造影均证实存在钝性胸主动脉损伤。CTA显示钝性胸主动脉损伤的征象包括内膜瓣、轮廓改变、假性动脉瘤、主动脉夹层、主动脉收缩及血栓形成。上述CTA征象可提示钝性主动脉存在损伤,是诊断钝性胸主动脉损伤的重要依据,对钝性胸主动脉损伤具有定性诊断价值。在阅CTA片时,注意观察有无上述征象存在,及时诊断钝性胸主动脉损伤。
本研究为回顾性研究,对CTA诊断钝性胸主动脉损伤阴性结果的患者未作回顾,即对CTA诊断钝性胸主动脉损伤未作整体研究,故不能分析CTA征象诊断钝性胸主动脉损伤的灵敏度、特异度及预测值。Wintermark等[13]报道CTA诊断BAI的灵敏度为96.2%,特异度为99.8%。如患者存在主动脉憩室、动脉导管残留时,CTA显示主动脉横断面轮廓可发生改变,CTA诊断钝性胸主动脉损伤可出现假阳性,引起误诊。可根椐主动脉憩室CTA征象无内膜瓣、纵膈血肿,动脉管壁光滑等征象进行鉴别。还可根据患者病史、体格检查及影像学检查进行鉴别诊断。床旁X线胸片典型改变可提示胸主动脉损伤[14]。超声心动图(经胸或经食管检查)在很长一段时间内是诊断钝性胸主动脉损伤的可靠检查方法之一[15]。
| [1] | Hokkam E, Gonna A, Zakaria O, et al. Trauma patterns in patients attending the Emergency Department of Jazan General Hospital, Saudi Arabia[J]. World J Emerg Med , 2015, 6 (1) : 48-53 DOI:10.5847/wjem.J.1920-8642.2015.01.009 |
| [2] |
吴彩军, 李春盛. 创伤早期液体复苏的研究进展[J].
中华急诊医学杂志 , 2015, 24 (5) : 569-573 Wu CJ, Li CS. Advance of early fluid resuscitation in trauma[J]. Chin J Emerg Med , 2015, 24 (5) : 569-573 DOI:10.3760/cma.J.ssn.1671-0282.2015.05.031 |
| [3] |
江利冰 蒋守银 张茂 编译,严重创伤出血和凝血病处理欧洲指南(第四版) [J] 中华急诊医学杂志 2016, 25 (5): 577-579. DOI:10.3760/cma.J.issn.1671-0282.2016.05.00.
Jiang LB, Jiang SY, Zhang M translated. The European guideline on management of major bleeding and coagulopathy following trauma: fourth edition [J]. Chin J Emerg Med, 2016, 25 (5): 577-579. |
| [4] | Paul CYL, Jean MHL, Yeow LC, et al. Staphylococcal thoracic aortitis complicated by aortic dissection[J]. World J Emerg Med , 2013, 4 (2) : 154-156 DOI:10.5847/wjem.j.1920-8642.2013.02.013 |
| [5] | Osgood MJ, Heck JM, Rellinger EJ, et al. Natural history of grade I-Ⅱ blunt traumatic aortic injury[J]. J of Vasc Sur , 2014, 59 (2) : 334-341 DOI:10.1016/j.jvs.2013.09.007 |
| [6] | Boon O, Martyn H, Grant C. Images in emergency medicine: giant ascending aortic aneurysm dissection with hemopericardium[J]. World J Emerg Med , 2012, 3 (3) : 235-236 DOI:10.5847/wjem.j.1920-8642.2012.03.014 |
| [7] | Masahiko O, Makoto K, Manabu M, et al. Evaluation of the Outcome of Traumatic Thoracic Aortic Rupture in Patients in a Trauma and Critical Care Center[J]. Ann Vasc Dis , 2013, 6 (1) : 33-38 DOI:10.3400/avd.oa.13.00005 |
| [8] |
李雨林, 张茂, 江利冰, 等. 6例胸主动脉损伤诊疗分析[J].
中华急诊医学杂志 , 2014, 23 (10) : 1172-1174 Li YL, Zhang M, Jiang LB, et al. Diagnosis and treatment of thoracic aortic injury: A review of 6 Cases[J]. Chin J Emerg Med , 2014, 23 (10) : 1172-1174 DOI:10.3760/cma.j.issn.1671-0282.2014.10.02 |
| [9] | Vrancken Peeters MP, Muhs BE, Van Der Linden E, et al. Endovascular treatment of traumatic ruptures of the thoracic aorta[J]. Cardiovasc Surg (Torino) , 2007, 48 : 557-565 |
| [10] | Magu S, Yadav A, Agarwal S. Computed tomography in blunt chest trauma[J]. Indian J Chest Dis Allied Sci , 2009, 51 : 75-81 |
| [11] | Andrew FWH, Tallie WLC, Puneet S, et al. Atypical Presentation of Traumatic Aortic Injury[J]. Case Rep Emerg Med , 2014 : 864301 DOI:10.1155/2014/864301 |
| [12] | Baqué P, Serre T, Cheynel N, et al. An experimental cadaveric study for a better understanding of blunt traumatic aortic rupture[J]. Trauma , 2006, 61 : 586-591 DOI:10.1097/01.ta.0000197423.11405.e3 |
| [13] | Wintermark M, Wicky S, Schnyder P. Imaging of acute traumatic injuries of the thoracic aorta[J]. Eur Radiol , 2002, 12 : 431-142 DOI:10.1007/s003300100971 |
| [14] | Jennings SB, Rice J. Supporting the early use of echocardiography in blunt chest trauma[J]. Crit Ultrasound J , 2012, 4 : 7 DOI:10.1186/2036-7902-4-7 |
| [15] | Nejati A, Khalaj S, Azizkhani R, Shahryarian S, Kolahdouzan M, Hossein M S. Evaluating validity of clinical criteria for requesting chest X-rays in trauma patientsreferred to emergency room[J]. Adv Biomed Res , 2012, 1 : 22 DOI:10.4103/2277-9175.98125 |
2016, Vol. 25



