急性肺损伤(acute lung injury,ALI)是感染、创伤等导致的急性难治性呼吸衰竭,尽管呼吸支持治疗已取得显著进步,但其病死率依然高达40%[1]。ALI的发生和发展涉及到多种病理生理过程,目前认为失控的炎症反应是其发生的根本机制[2]。辅助性T细胞17(Th17)和CD4+CD25+调节T细胞 (Treg细胞)细胞是近几年才发现的CD4+T淋巴细胞亚群,其数量及功能的异常与感染性疾病的发生与发展密切相关[3]。Th17细胞和Treg细胞失衡是否与ALI的发生与发展相关,目前尚无系统研究报告。本研究以急性肺损伤小鼠模型为基础,观察不同时间段ALI小鼠Th17细胞和Treg细胞的变化以及其相关细胞因子在外周血和肺组织局部的表达情况,希望为探讨ALI炎症失控的机制提供帮助。
1 材料与方法 1.1 实验动物SPF级C57BL/6小鼠90只,雄性,6~8周龄,体质量18~22 g,由湖北省疾控中心实验动物中心提供。
1.2 主要试剂和仪器脂多糖内毒素(LPS)购自Sigma-Aldrich公司,白介素(IL)-17、白介素(IL)-6、白介素(IL)-10、肿瘤坏死因子(TNF)-α、转化生长因子(TGF)-β1 ELISA试剂盒均购自武汉华美生物工程有限公司。
1.3 LPS-ALI模型制备急性肺损伤模型依据文献[4],采用LPS气管滴注法制备ALI模型。小鼠称质量,各组大鼠均腹腔注射3%戊巴比妥钠(45 mg/kg)麻醉,切开皮肤,暴露气管,除对照组外,其余各组大鼠气管内缓慢滴入2%LPS(2 mg/kg,溶于30 μL PBS中),对照组滴入等量生理盐水。小鼠LPS-ALI模型复制成功标准:肺间质充血、水肿,肺泡间隔明显增宽,肺间质和肺泡腔内有大量炎性细胞浸润、出血,大量肺泡萎陷。
1.4 实验分组实验大鼠按随机数字法分成3组:(1)正常组(n=10)为代谢笼饲养的正常进食小鼠;(2)对照组(n=40)气管内滴入与LPS等体积的30 μL PBS(磷酸盐缓冲液);(3)ALI组(n=40)气管内滴入LPS复制LPS-ALI模型。正常组于实验12 h处死,作为对照组的参考指标;对照组和ALI组分别于12、24、48和72 h处死小鼠10只,留取血液标本,采取枸橼酸纳和肝素分别抗凝;同时留取肺组织待检。
1.5 肺湿质量/体质量(LW/BW)测定及肺损伤程度评分小鼠处死后,留取肺组织。纸吸干肺表面水分和血迹后称湿质量,计算肺组织LW/BW。肺损伤程度评分:取右肺组织4%多聚甲醛固定,脱钙剂脱钙72 h,逐级乙醇脱水,二甲苯透明、浸蜡,石蜡包埋,切成4 mm的薄片,苏木素-伊红(HE)染色。在光学显微镜下观察肺组织病理形态学改变。每个标本观察5个视野。病理评分基于肺泡和间质水肿、炎症细胞浸润、出血。严重程度评分:无损伤计1分,损伤25%计2分,损伤50%计3分,损伤75%计4分,弥漫性损伤计5分。
1.6 Treg细胞及Th17细胞比例及其相关细胞因子的检测用流式细胞仪检测外周血Treg细胞及Th17细胞比例,流式细胞仪(美国Beckman Coulte公司,Epics-XL4)计数,全部数据EXP032 ADC软件获取分析。用酶联免疫吸附实验(ELISA)检测外周血IL-17、IL-10、TNF-α血清浓度:分离外周血血浆,严格按ELISA试剂盒说明书进行操作。用酶联免疫吸附实验(ELISA)检测肺组织匀浆中IL-17、IL-6、IL-10、TNF-α及TGF-β1水平:取右下肺组织制备肺组织匀浆,ELISA检测IL-6、IL-10、IL-17、TNF-α及TGF-β1水平,严格按ELISA试剂盒说明书进行操作。
1.7 免疫状态的评估标准IL-10/TNF-α比值也可判断机体免疫反应状态,免疫激活状态时,其比值降低;免疫抑制状态时,其比值增高[5]。
1.8 统计学方法所有数据统计由SPSS17.0统计软件处理,计量资料采用均数±标准差(x±s)表示,多组间比较采用方差分析,两组间比较采用LSD-t检验,以P< 0.05为差异有统计学意义。
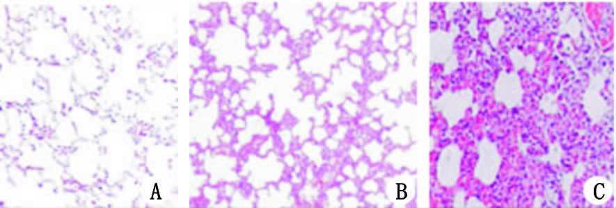
2 结果2.1 各组小鼠干湿比及肺部损伤评分研究结果显示,ALI组肺组织LW/BW较对照组明显升高,差异有统计学意义(P<0.01),但ALI组肺组织LW/BW在24 h后呈下降趋势。在光镜下,正常组肺组织结构清晰,肺泡间隔均匀一致,肺泡壁光滑。对照组肺组织结构清晰,肺泡间隔均匀一致,主要是轻度肺水肿改变,未见明显的炎症反应。ALI组肉眼可见肺表面颜色加深,充血水肿,有点片状出血点,光镜下可见肺充血,肺间质增宽水肿,炎细胞弥漫性浸润肺泡毛细血管扩张,有红细胞渗出,见图 1(24 h)。Smith肺损伤半定量评分,ALI组明显高于对照组,差异有统计学意义(P<0.01),见表 1。
|
| A:正常组;B:对照组;C:模型组 图 1 24 h 各组小鼠肺组织病理切片(HE×100) |
| 指标 | 12 h | 24 h | 48 h | 72 h |
| LW/BW(%) | ||||
| 正常组 | 0.48±0.03 | - | - | - |
| 对照组 | 0.53±0.02 | 0.50±0.03 | 0.49±0.02 | 0.48±0.03 |
| ALI 组 | 0.66±0.05a | 0.69±0.04a | 0.63±0.03a | 0.62±0.04a |
| 肺损伤评分 | td> | |||
| 正常组 | 0.60±0.11 | - | - | - |
| 对照组 | 0.66±0.20 | 0.63±0.21 | 0.62±0.19 | 0.60±0.20 |
| ALI 组 | 5.28±0.25a | 5.19±0.23a | 5.23±0.22a | 5.26±0.21a |
| 注:与对照组比较,aP< 0.01 | ||||
ALI组,24 h后Th17细胞的表达率在呈逐步上升趋势,与对照组相比,ALI组Th17细胞的表达率明显升高(P<0.01)。Treg细胞表达率在ALI组早期较对照组下降,但差异无统计学意义;48 h后ALI组Treg细胞的表达率与对照组相比明显上升,差异有统计学意义(P<0.01)。ALI组IL-17的含量早期呈下降的趋势,在24 h后逐步升高,与对照组相比,ALI组IL-17的含量明显升高(P<0.01)。ALI组IL-10的含量在24 h后逐步升高,与对照组相比,ALI组IL-10的含量明显升高(P<0.01)。TNF-α在ALI组的表达呈逐步下降的趋势,但与对照组相比,ALI组TNF-α的含量明显升高,差异有统计学意义(P<0.01)。在ALI组中IL-10/TNF-α比值24 h内呈下降趋势,但随着病变的加重,IL-10/TNF-α比值明显的上升,与对照组相比,ALI组IL-10/TNF-α比值明显升高(P<0.01)。见表 2。
| 指标 | 12 h | 24 h | 48 h | 72 h |
| Th17细胞(%) | ||||
| 正常组 | 2.79±0.07 | - | - | - |
| 对照组 | 2.85±0.07 | 3.04±0.08 | 2.93±0.07 | 2.99±0.08 |
| ALI 组 | 4.28±0.24a | 4.05±0.20a | 4.79±0.25a | 4.54±0.23a |
| Treg细胞(%) | ||||
| 正常组 | 6.45±2.34 | - | - | - |
| 对照组 | 6.47±2.32 | 6.32±2.30 | 6.49±2.33 | 6.51±2.34 |
| ALI 组 | 5.60±2.21 | 5.32±1.75 | 9.28±2.24a | 12.67±2.36a |
| IL-17(pg/mg) | ||||
| 正常组 | 7.34±2.31 | - | - | - |
| 对照组 | 7.50±2.26 | 7.41±2.21 | 7.53±2.24 | 7.59±2.32 |
| ALI 组 | 70.56±5.25a | 64.35±5.76a | 73.25±6.83a | 62.41±7.19a |
| IL-10(pg/mg) | ||||
| 正常组 | 11.89±5.21 | - | - | - |
| 对照组 | 12.96±4.82 | 12.53±4.62 | 13.15±5.18 | 13.29±5.26 |
| ALI 组 | 42.32±15.55a | 35.86±17.33a | 46.57±19.84a | 52.46±22.37a |
| TNF-α(pg/mL) | ||||
| 正常组 | 15.4±3.6 | - | - | - |
| 对照组 | 17.4±4.1 | 19.2±3.8 | 18.2±3.7 | 17.9±3.6 |
| ALI 组 | 856.4±147.5a | 446.8±74.3a | 219.4±67.8a | 215±65.3a |
| IL-10/TNF-α | ||||
| 正常组 | 5.46±2.22 | - | - | - |
| 对照组 | 7.13±2.54 | 6.94±2.46 | 7.06±2.36 | 7.15±2.39 |
| ALI 组 | 8.47±2.29 | 8.20±2.33 | 15.91±5.23a | 25.66±6.34a |
| 注:与对照组比较,aP< 0.01 | ||||
在ALI组,IL-17在肺组织中的含量呈下降趋势,但差异无统计学意义,后逐步升高;但与对照组相比,ALI组肺组织中IL-17的含量明显升高,差异有统计学意义(P<0.01)。从研究结果来看,ALI组肺组织中IL-6的含量在24 h时达到峰值,但较对照组明显升高(P<0.01)。ALI组肺组织中IL-10含量与对照组相比明显升高,且从24 h后逐步升高,差异有统计学意义(P<0.01)。TNF-α的含量在ALI组肺组织中呈逐步下降趋势,与对照组相比,TNF-α含量在ALI组肺组织中明显升高(P<0.01)。与对照组相比,TGF-β1含量在ALI组肺组织中明显升高,24 h后差异有统计学意义(P<0.01)。
| 指标 | 12 h | 24 h | 48 h | 72 h |
| IL-17 | ||||
| 正常组 | 180.7±33.4 | - | - | - |
| 对照组 | 186.3±35.7 | 190.2±38.6 | 183.6±34.8 | 186.6±35.4 |
| ALI 组 | 745.6±67.1a | 702.2±84.5a | 768.4±76.8a | 714.4±80.3a |
| IL-6 | ||||
| 正常组 | 348.5±114.8 | - | - | - |
| 对照组 | 352.4±118.6 | 358.2±120.4 | 350.7±116.1 | 348.2±108.4 |
| ALI 组 | 2 536.8±225.8a | 2 987.6±332.4a | 2 809.2±298.4a | 2 787.2±288.6a |
| IL-10 | ||||
| 正常组 | 11.6±3.7 | - | - | - |
| 对照组 | 12.5±3.5 | 14.3±3.1 | 13.6±3.3 | 14.1±3.2 |
| ALI 组 | 65.36±13.8a | 58.85±28.4a | 85.39±23.4a | 96.4±30.6a |
| TNF-α | ||||
| 正常组 | 15.6±3.4 | - | - | - |
| 对照组 | 18.2±3.7 | 19.5±3.5 | 18.6±3.7 | 17.8±3.3 |
| ALI 组 | 989.6±153.8a | 563.8±78.6a | 256.4±72.3a | 223.9±49.7a |
| TGF-β1 | ||||
| 正常组 | 119.5±16.3 | - | - | - |
| 对照组 | 126.7±15.4 | 135.5±18.9 | 130.4±17.5 | 138.4±20.2 |
| ALI 组 | 168.8±35.3 | 236.7±42.3a | 220.3±34.2a | 240.5±39.7a |
| 注:与对照组比较,aP< 0.01 | ||||
肺是全身炎性反应综合征(SIRS)发生发展过程中最早且最容易受损的靶器官,多器官功能障碍综合征(MODS)是这一病理过程的严重后果,急性肺损伤是MODS在肺部的表现[6, 7],严重脓毒症患者中有25%~50%并发急性肺损伤,而脓毒症所致的急性肺损伤病死率高达70%~90%。ALI的主要病理学改变为肺部广泛的炎症,中性粒细胞聚集,肺间质水肿,肺毛细血管内皮细胞和肺泡上皮细胞完整性破坏,目前普遍认为中性粒细胞的活化聚集产生的氧化应激损伤在其中发挥了至关重要的作用[8, 9]。TNF-α和IL-1β是ALI早期是介导急性期炎症反应最重要的细胞因子,TNF-α的异常释放是ALI发生和发展的始动因素,可直接导致内皮细胞损伤,并诱导IL-lβ、IL-6和IL-8等细胞因子及黏附分子的瀑布样释放,构成炎性损伤的级联放大效应[10, 11]。
Th17细胞和Treg细胞是近几年才发现的CD4+T淋巴细胞亚群,它们在维持机体免疫平衡过程中发挥重要作用,免疫相关性疾病和感染性疾病中均广泛存在Th17/Treg细胞平衡失调。从目前对脓毒症研究的来看,Th17细胞的增高与患者的强烈的炎症反应状态有关[12],而Treg细胞的表达明显增加将导致患者免疫麻痹[13];而笔者前期对脓毒症大鼠的研究也表明,Th17细胞和Treg细胞惨与了脓毒症免疫紊乱的过程 [14, 15]。导致不同免疫状态脓毒症Treg细胞/Th17细胞失衡的机制仍不清楚,已知病原微生物感染机体,启动固有免疫所产生的细胞因子微环境是调控初始CD4+T细胞分化为Treg细胞或Th17细胞的因素之一。尽管目前有研究指出,正常小鼠肺组织中IL-17浓度极低,而ALI小鼠肺IL-17明显升高,Th17转录因子RORγt mRNA表达显著增加,且肺组织RORγt表达、IL-17浓度与肺损伤程度呈正相关,提示在ALI肺组织中存在Th17细胞活化,Th17细胞参与ALI炎性损伤[14]。但Th17细胞和Treg细胞失衡是否与ALI的发生与发展密切相关,Th17细胞和Treg细胞失衡在肺组织局部表达如何,目前尚无系统研究报告。
本研究通过对脓毒症小鼠模型LW/BW的分析以及肺损伤半定量评分的研究,发现脓毒症小鼠肺组织存在明显的炎性渗出,提示肺组织是脓毒症损伤的靶器官之一。进一步研究发现,脓毒症性ALI不仅有炎症因子的参与,同时有免疫因素的作用。在脓毒症ALI免疫紊乱的过程中,早期小鼠免疫功能呈现激活的趋势,但随着ALI病情的发展,IL-10/TNF-α比值明显下降,ALI小鼠出现免疫抑制。通过对ALI小鼠Th17细胞和Treg细胞的研究,笔者发现Th17细胞和Treg细胞在ALI小鼠血液中明显异常表达;在肺组织局部,Th17细胞和Treg细胞相关细胞因子IL-17、IL-6、IL-10、TNF-α及TGF-β1有明显的异常表达,提示Th17细胞介导免疫激活反应和Treg细胞介导的免疫抑制反应参与了ALI的免疫紊乱过程。
综上所述,ALI的病理生理改变中不仅存在炎症反应,同时存在免疫紊乱,在ALI早期,ALI小鼠表现为免疫激活趋势,伴随着ALI的加重,小鼠出现明显免疫抑制;Treg细胞介导的免疫抑制及Th17细胞介导免疫激活反应参与了小鼠ALI的发生和发展;Treg细胞/Th17细胞失衡的原因可能与ALI小鼠细胞因子微环境变化有关。
| [1] | Villar J, Sulemanji D, Kacmarek RM.The acute respiratory distress syndrome:incidence and mortality, has it changed [J]. Curt Opin Crit Care,2013, 20(1):3-9.DOI: 10.1097/MCC.0000000000000057. |
| [2] | Short KR, Kroeze EJ, Fouchier RA, et al. Pathogenesis of Influenza-induced acute respiratory distress syndrome[J]. Lancet Infect Dis,2014, 14(1):57-69.DOI: 10.1016/S1473-3099(13)70286-X. |
| [3] | Liang XS, Li CZ, Zhou Y, et al.Changes of Treg and Th17 cells in the development of acute and chronic hepatitis B virus infection[J]. BMC Gastmentero1, 2012, 12(1):43-46.DOI: 10.1186/1471-230X-12-43. |
| [4] | Wang F, Xia ZF, Chen XL, et al. Angiotensin II Type-1 receptor antagonist attenuates LPS-induced acute lung injury[J]. Cytokine, 2009, 48(3):246.DOI:10.1016/j.cyto.2009. 08.001. |
| [5] | Monneret G, Finck ME, Venet F, et al.The anti-inflammatory response dominates after septic shock:association of low monocyte HLA-DR expression and high interleukin-10 concentration[J]. Immunol Lett, 2004, 95(2):193-198.DOI: 10.1016/j.imlet.2004.07.009. |
| [6] | Dellinger RP, Levy MM, Rhodes A, et al. Surviving sepsis campaign: international guidelines for management of severe sepsis and septic shock, 2012[J]. Intensive Care Med,2013, 39(20): 165-228.DOI:10.1007/s00134-012-2769-8. |
| [7] | Calfee CS, Eisner MD, Ware LB, et al. Trauma-associated lung injury differs clinically and biologically from acute lung injury owing to other clinical disorders[J]. Crit Care Med, 2007, 35(10):2243-2250. |
| [8] | Ware LB, Matthay MA.The acute respiratory distress syndrome[J].N End J Med, 2000, 342(18):1334-1349. |
| [9] | 黄晓军, 王选锭.急性肺损伤抗氧化治疗的研究进展[J].临床内科杂志, 2004, 10(21):652-654.DOI:10.3969/j.issn.1001-9057.2004.10.002.Huang XJ,Wang XD. Research progress on acute lung injury antioxidant therapy[J].J Clin Intern Med, 2004, 10(21):652-654. |
| [10] | Alam HB, Stanton K, Koustova E, et al.Effect of different resuscitation strategies on neutrophil activation in a swine model of hemorrhagic shock[J]. Resuscitation, 2004, 60(1): 91-99.DOI: 10.1016/j.resuscitation.2003.08.006. |
| [11] | 陈聪, 马成, 肖璐. 柴胡葛根配伍对发热大鼠体温和血清IL-lβ含量、MPO活性的影响[J].中国实验方剂学杂志, 2011, 17(5):207-209.DOI:10.3969/j.issn.1005-9903. 2011.05.063.Chen C,Ma C,Xiao L.Effect of Compatibility of Chinese thorowax root and lobed kudzuvine root on body temperature, serum content of IL-1β and activity of MPO of fever rats[J].Chin J Exp Trad Med Form,2011, 17(5):207-209. |
| [12] | 亢翠翠,吴铁军,张保军.脓毒症患者外周血中Th17细胞检测及意义[J].中华急诊医学杂志, 2012, 21(4):378-380.DOI:10.3760/cma.j.issn.1671-0282.2012.04.011. Kang CC,Wu TJ,Zhang BJ.Determination and significance of Th17 cells in peripheral blood of patients with sepsis[J]. Chin J Emerg Med,2012, 21(4):378-380. |
| [13] | 邵敏, 刘宝, 王锦权,等.脉冲高容量血液滤过对脓毒症患者细胞免疫功能的影响[J]. 中华急诊医学杂志, 2011, 20(6):604-609.DOI:10.3760/cma.j.issn.1671-0282.2011.06.012. Shao M,Liu B,Wang JQ,et al.Effect of pulse high-volume hemofiltration on cellular immunity in patients with sepsis[J].Chin J Emerg Med,2011, 20(6):604-609. |
| [14] | 王华兵,童延华,徐玲文,等.胸腺肽α1对脓毒症大鼠Th17细胞的作用[J].中国急救医学, 2015, 35(5):398-401.DOI:10.3969/j.issn.1002-1949.2015.05.004. Wang HB,Tong YH, Xu LW,et al.Effect of thymosinα1 on Th17 cells in septic rats[J]. Chin J Crit Care Med,2015, 35(5):398-401. |
| [15] | 王华兵, 李建国. CD4+CD25+调节性T细胞/辅助性T细胞Th17细胞在脓毒症大鼠中的作用[J].中华实验外科杂志, 2015, 32(2):284-287.DOI:10.3760/cma.j.issn.1001-9030.2015.02.024.Wang HB, Li JG.Effect of CD4+ CD25+ regulatory T cells and T helper type 17 cells in septic rats[J].Chin J Exp Surg,2015, 32(2):284-287. |
| [16] | 刘军,黄东亚,于涛,等. 急性肺损伤辅助性T细胞1和辅助性T细胞17失衡的研究[J].中华实验外科杂志, 2014, 31(11):2625-2626. DOI:10.3760/cma.j.issn.1001-9030. 2014.11.092. Liu J,Huang DY,Yu T,et al.Research of acute lung injury helper type T cells and helper type T cell 17 disorder[J]. Chin J Exp Surg,2014, 31(11):2625-2626. |
2016, Vol. 25


