脓毒症是指感染引起的全身炎症反应综合征,是严重创(烧)伤、休克、外科大手术后常见的并发症,进一步发展可导致脓毒性休克和多器官功能障碍综合征[1]。目前脓毒症已成为危重症患者最常见的死亡原因,而且发病率逐年升高[2]。近年来的研究使得对脓毒症的发病病理和治疗都有了新的认识[3],但仍不能控制脓毒症的发病率。
盲肠结扎穿孔术模型(cecal ligation-perforation,CLP)是经典的脓毒症动物模型,这个模型在1980年由Wichterman等[4]加以改良并推广。此模型模拟人类阑尾炎穿孔的病例,造成革兰阴性细菌感染或以革兰阴性细菌感染为主的混合性感染,被认为是进行脓毒症研究的金标准。
SO2是近年研究人体内可以产生的一种含硫气体,可在体内由含硫氨基酸代谢生成,并发挥广泛的生理作用[5],近年来研究发现内源性SO2对在静脉注射脂多糖引起急性肺损伤的炎性反应具有调节作用[6],但是在CLP导致的脓毒症发病的过程中尚无相关研究。因此本研究拟探讨内源性SO2在盲肠结扎穿孔术模型脓毒症大鼠的急性肺损伤过程中对炎性介质的调节作用。
1 材料与方法 1.1 实验动物与材料雄性SD大鼠24只,体质量200~250 g,北京大学第一医院实验动物中心。Na2SO3和NaHSO3购自北京化学试剂公司。
1.2 实验分组大鼠随机(随机数字法)分入4组:分别为假手术对照组(control 组),假手术+ 二氧化硫组(SO2 组),脓毒症组(sepsis 组),脓毒症+二氧化硫组(sepsis+ SO2 组),每个组6只。Control 组予大鼠开腹后关腹缝合。SO2 组大鼠在假手术之前30 min腹腔注射SO2供体Na2SO3/NaHSO3 溶液0.5 mL/kg。Na2SO3/NaHSO3溶液用无菌生理盐水以3∶ 1 (0.54 mmol/kg∶ 0.18 mmol/kg) 新鲜配制混合液,作为内源性SO2供体。sepsis 组开腹后实施盲肠结扎穿孔术[4]。sepsis +SO2 组大鼠在实施盲肠结扎穿孔术之前30 min腹腔注射SO2供体Na2SO3/NaHSO3 0.5 mL/kg。在观察结束后用12%乌拉坦1 mL/kg腹腔注射麻醉动物,腹主动脉放血处死。
1.3 肺组织学半定量评分取右肺中叶肺组织10%福尔马林固定,石蜡包埋,切片,HE染色,400倍光镜下观察。每张切片取10个视野,进行肺损伤半定量评分。评价指标有肺泡水肿、炎性细胞浸润及透明膜形成。每项指标分为正常、轻度、中度及严重四级别,分别记录为0~3分[7]。
1.4 肺组织湿干质量比分离右侧肺组织后即称肺组织湿质量,放入80 ℃恒温箱48 h以上直至重量不再变化后称肺组织干重,计算湿重与干重的比值。
1.5 血浆SO2水平测定处死大鼠时立即留取各组大鼠血浆,4 ℃,3 000 r/min离心20 min去上清,按照杜淑旭等[8]的高效液相色谱荧光法检测SO2水平,即加入70 μL硼氢化钠(NaBH4,0.212 mol/L,溶于0.05 mol/L pH 8.5的Tris液)及10 μL mBrB (70 mmol/L,溶于乙腈),充分混匀,42 ℃孵育7 min,加入50 μL高氯酸(1.5 mol/L)混匀,12 400 r/min,23 ℃离 心10 min,取上清液,加入20 μL Tris液(2.0 mol/L,pH 3.0)轻轻混匀,12 400 r/min,23 ℃离心8 min,留取上清液4 ℃避光保存。测定时取5 μL进样分析。流动相A:甲醇、乙酸及水的体积比为5∶ 0.25∶ 94.75,pH 3.4;流动相B:甲醇(甲醇梯度:0~8 min,50 mL/L;8~15 min,50~120 mL/L;15~20 min,120 mL/L;20~30 min,120~200 mL/L;30~32 min,200 mL/L;32~35 min,200~1 000 mL/L;35~40 min,1 000 mL/L;40~43 min,1 000~30 mL/L;43~45 min,30 mL/L)。激发波长392 nm,检测波长479 nm。
1.6 血浆中炎性介质含量的测定采用双抗体夹心ELISA法检测血浆及肺组织匀浆中IL 6、IL 8、IL 10及MCP、TNF-α含量,方法按试剂盒操作说明进行。
1.7 统计学方法数据采用均数±标准差(x±s)的方式表示,使用SPSS 17.0 统计分析软件进行分析,多组样本的均数比较采用单因素方差分析(one-way ANOVA)。以P<0.05为差异无统计学意义。
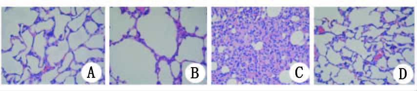
2 结果 2.1 肺损伤半定量评分结果肺损伤半定量评分在sepsis组与正常组相比有明显升高 (P< 0.01)。但是脓毒症+SO2组与脓毒症组相比,有明显降低(P< 0.01) (图 1,图 2)。
|
| A:coutrol;B:SO2;C:sepsis;D:sepsis+SO2 图 1 各组大鼠肺组织病理变化(HE×400)。 Fig. 1 Morphological changes of lung tissues (HE×400) |
|
| 与control组比,aP<0.01;与sepsis组比,aP<0.01 图 2 各组肺组织半定量评分及各组肺组织湿干重比结果 Fig. 2 The change of IQA scores and wet/dry weight ratio of lung tissue in each group. |
在脓毒症大鼠肺组织湿干质量比与对照组相比明显升高 (P<0.01)。但是在提前给与SO2干预后与sepsis组相比肺组织湿干重比有明显降低(P<0.01) (图 2)。
2.3 血浆SO2水平测定结果sepsis组和对照组相比下降了54%,而sepsis+SO2组与sepsis组相比增长了308%,P<0.01(图 3) 。
|
| 与对照组比较,aP<0.05,bP<0.01;与肺损伤组比较,cP<0.05,dP<0.01)。 图 3 各组血浆SO2、IL 6、IL 8、IL 10、MCP及TNF-α含量 Fig. 3 Levels of SO2,IL 6、IL 8、IL 10,MCP and TNF-α in plasma in each group |
血浆IL 6、IL 8、IL 10含量在sepsis组与对照组相比明显升高(P均<0.01),sepsis+ SO2组与sepsis组相比明显降低(P<0.01,P<0.05) (图 3)。
2.5 血浆MCP-1、TNF-α水平测定结果血浆MCP-1、TNF-α含量在sepsis组与对照组相比明显升高(P均<0.01),MCP-1在sepsis+SO2组与sepsis组相比明显降低(P<0.01),TNF-α在sepsis+SO2组与sepsis组相比同样体现出下降趋势(图 3)。
3 讨论脓毒症是感染引起的全身炎症反应综合征,肺组织是脓毒症常见的受累部位。病因为肺部原发的细菌感染或身体其他部位感染诱发的脓毒症进而炎性介质血源性传播导致的肺外源性肺损伤。肺部原发性感染导致的肺损伤以肺泡上皮损伤为主,肺外源性肺损伤以血管内皮及肺间质损伤及低氧[9]为主,既往研究证实氧化应激、炎性介质与内质网应激均参与了急性肺损伤[10],但是其具体机制还不十分清楚。
CLP模型是经典的脓毒症模型,这个模型在1980年由wichterman加以改良并推广此模型模拟人类阑尾炎或憩室炎穿孔的病例[11],造成革兰阴性细菌感染或以革兰阴性细菌感染为主的混合性感染,坏死组织可成为炎症反应来源,被认为是进行脓毒症研究的金标准[12]。笔者在试验中发现CLP模型大鼠中肺组织半定量评分及肺湿干重比明显增加,符合肺损伤的临床表现,而且肺组织病理照片显示肺间质明显增厚,符合肺外源性肺损伤的表现。提示给予CLP模型成功导致了大鼠急性肺损伤。
SO2是继一氧化氮、一氧化氮、硫化氢之后第四个被发现的气体信号分子[13],L-半胱氨酸在半胱氨酸酶的作用下氧化为L-半胱氨酸亚磺酸,后者在谷氨酸草酰乙酸转移酶的作用下转氨基酶生成β-亚磺酰丙酮酸,再自发分解为丙酮酸和SO2。研究还发现SO2在心血管系统中具有舒张血管[14]、抑制平滑肌增殖[15]及降低肺动脉压等作用,抑制内源性SO2可以引起血压升高等现象[16, 17]以及对氧化应激具有抑制作用[14]。研究发现在肺损伤过程中给予内源性SO2供体可以起到肺保护性作用[6]。同样,本研究中发现,在脓毒症肺损伤时大鼠血浆SO2浓度减低,在给予内源性SO2供体后,血浆内SO2浓度升高,同时肺损伤程度减轻,提示内源性SO2参与到了肺损伤的病理生理过程,并起到保护性作用。
既往的研究表明,炎性介质在肺损伤的发病过程起到重要的调节作用[18],抑制炎性反应可以减轻肺损伤程度[19]。同时Wu等[20]发现在合并有急性淋巴细胞白血病患者中,SO2具有抗炎作用[21]。本研究中发现在脓毒症肺损伤时血浆IL 6、IL 8、IL 10含量明显升高,而在提前给予SO2干预的大鼠血浆IL 6、IL 8、IL 10含量以及肺损伤程度均明显降低,这与Wu的实验结果相符合,这一结果提示在脓毒症大鼠的肺损伤过程中,SO2通过抑制炎性介质起到保护性作用。
MCP-1是一种重要的炎症趋化因子,在机体的炎性反应过程中对TNF-α以及白细胞介素的刺激做出反应,MCP-1和TNF-α可以通过诱导下游的炎性介质IL 6、IL 8、IL 10[21, 22]。同时我们的研究发现,在肺损伤时MCP-1及TNF-α含量明显升高,而在提前给予SO2干预的大鼠血浆MCP-1及TNF-α含量明显减低,同时IL 6、IL 8、IL 10含量明显减低,这些结果提示给予SO2可能在肺损伤时通过抑制MCP-1及TNF-α的表达,进而抑制炎性介质的释放,从而在脓毒症肺损伤是起到保护作用。
综上所述,实验结果表明SO2在脓毒症所致肺损伤过程中通过抑制炎性介质的释放起到对肺的保护作用,其机制可能与抑制MCP-1及TNF-α有关。但是其全部机制还需要进一步研究进行探讨。
| [1] | Singer M, Deutschman CS, Seymour CW, et al. The Third International Consensus Definitions for Sepsis and Septic Shock (Sepsis-3)[J]. JAMA, 2016, 315(8):801-810. DOI: 10.1001/jama.2016.0287. |
| [2] | 葛勤敏,王晓,边帆,等. Toll样受体4在脓毒症大鼠胰岛中的表达[J].中华急诊医学杂志, 2015,24(2):142-146. DOI:10.3760/cma.j.issn.1671-0282.2015.02.006. Ge QM, Wang X, Bian F, et al. TLR4 expression on pancreatic islet beta cell of septic rat and its significance[J]. Chin J Emerg Med, 2015, 24(2): 142-146. |
| [3] | 高爽,张放,马帅,等.脓毒症急性肾损伤与免疫功能的相关性研究[J]. 中华急诊医学杂志, 2015,24(4):416-420.DOI:10.3760/cma.j.issn.1671-0282.2015.04.018. Gao S, Zhang F, Ma S, et al. A correlation study between septic acute kidney injury and immune function[J]. Chin J Emerg Med, 2015, 24(4): 416-420. |
| [4] | Wichterman KA, Baue AE, Chaudry IH. Sepsis and septic shock-a review of laboratory models and a proposal[J]. J Sury Res, 1980,29 (2):189-201.DOI: 10.1016/0022-4804(80)90037-2. |
| [5] | Wu R, Lin SY,Zhao HM. Albuterol in the treatment of acute respiratory distress syndrome: A meta-analysis of randomized controlled trials[J]. World J Emerg Med, 2015, 6 (3): 165-171. DOI: 10.5847/ wjem.j. 1920-8642.2015.03.001. |
| [6] | Liu ZW, Wang HY, Guan L, et al. Regulatory effects of hydrogen sulfide on alveolar epithelial cell endoplasmic reticulum stress in rats with acute lung injury[J]. World J Emerg Med, 2015, 6(1): 67-73. DOI: 10.5847/wjem.j.1920-8642.2015.01.012. |
| [7] | McGuigan RM, Mullenix P, Norlund LL, et al. Acute lung injury using oleic acid in the laboratory rat: Establishment of a working model and evidence against free radicals in the acute phase[J]. Curr Surg, 2003, 60: 412-417. DOI:10.1016/S0149-7944(02)00775-4. |
| [8] | 杜淑旭,张春雨,金红芳,等.二氧化硫衍生物舒张大鼠离体主动脉血管环的效应及其机制研究[J].北京大学学报:医学版, 2006, 38(6) : 581 - 585. DOI: 10.3321/j.issn:1671-167X.2006.06.005.Du SX, Zhang CY, Jin HF, et al. Vasorelaxant effect of sulfur dioxide derivatives on isolated aortic rings of rats and its mechanisms[J]. Journal of Peking University(Health Sciences), 2006, 38(6) : 581 - 585. |
| [9] | 田萍,丁辉,吕琪,等. β-连环蛋白在烟雾吸入性肺损伤大鼠中作用机制的实验研究[J].中国急救复苏与灾害医学杂志, 2015,(2):115-118.DOI: 10.3969 /j.issn.1673-6966.2015.02.005. Tian P, Ding H, Lv Q, et al. Expression of β-catenin in inhalation lung injury:experiment with rats[J]. Chin J Emerg Res Dis Med, 2015, (2): 115-118. |
| [10] | Liu ZW, Wang HY, Guan L, et al. Regulatory effects of hydrogen sulfide on alveolar epithelial cell endoplasmic reticulum stress inrats with acute lung injury[J]. World J Emerg Med, 2015, 6(1): 67-73. DOI: 10.5847/wjem.j.1920-8642.2015.01.012. |
| [11] | Jain S, Bellingan G. Basic science of acute lung injury[J]. Surgery (Oxford), 2007, 25(3): 112-116.DOI: 10.1016/j.mpsur.2007.02.003. |
| [12] | Hubbard WJ, Choudhry M, Schwacha MG, et al. Cecal ligation and puncture[J]. Shock, 2005, 24(Suppl 1): 52-57. DOI: 10.1097/01. shk. 0000191414.94461.7e. |
| [13] | Parker SJ, Watkins PE. Experimental models of gram-negative sepsis[J]. Br J Surg, 2001,88(l):22. DOI: 10.1046/ j.1365-2168.2001.01632.x. |
| [14] | Tang CS, Li XH, Du JB. Hydrogen sulfide as a new endogenous gaseous transmitter in the cardiovascular system[J]. Curr Vasc Pharm Acol, 2006, 4 (1) : 17-22. DOI: 10.2174/157016106775203144. |
| [15] | Zhu M, Du J, Liu AD, et al. Effect of endogenous sulfur dioxide in regulating cardiovascular oxidative stress[J]. Histol Histopathol, 2014, 29(9):1107-1111. DOI: 10.14670/HH-29.1107. |
| [16] | Liu D, Huang Y, Bu D, et al. Sulfur dioxide inhibits vascular smooth muscle cell proliferation via suppressing the Erk/MAP kinase pathway mediated by cAMP/PKA signaling[J]. Cell Death Dis, 2014, 22,5:e1251 DOI: 10.1038/cddis.2014.229. |
| [17] | 田悦, 金红芳, 刘雪芹, 等. 二氧化硫对低氧性肺动脉高压大鼠肺动脉胶原堆积的影响[J]. 实用儿科临床杂志,2008,23(10):771-773. DOI: 10.3969/j.issn.1003-515X.2008.10.019.Tian R, Jin HF, Liu XQ, et al. Effects of sulphur dioxide on pulmonary artery collagen accumulation of rats with hypoxic pulmonary hypertensive[J]. J Appl Clin Pediat, 2008, 23(10):771-773. |
| [18] | 陈水洁, 潘景业, 周小洁. 弥漫性血管内凝血评分和降钙素原对脓毒症严重程度的评估价值[J]. 中国急救复苏与灾害医学杂志, 2014, 9(10): 923-929.DOI:10.3969/j.issn.1673-6966.2014.10.016. Chen SJ, Pan JY, Zhou XJ. The assessment value of disseminated intravascular coagulation score and procalcitonin for the severity of sepsis[J]. Chin J Emerg Res Dis Med, 2014,9(10):923-929. |
| [19] | Sun Y, Tian Y,Prabha M, et al. Effects of sulfur dioxide on hypoxic pulmonary vascular structural remodeling[J]. Lab Invest, 2010, 90 (1):68-82. DOI: 10.1038/labinvest.2009.102. |
| [20] | Li T, Zhao B, Wang C, et al. Regulatory effects of hydrogen sulfide on IL-6, IL-8 and IL-10 levels in the plasma and pulmonary tissue of rats with acute lung injury[J]. Exp Biol Med (Maywood), 2008,233(9):1081-1087. DOI: 10.3181/0712-RM-354. |
| [21] | Wu W, Jia Y, Du S, et al. Changes of sulfur dioxide, nuclear factor-κB, and interleukin-8 levels in pediatric acute lymphoblastic leukemia with bacterial inflammation[J]. Chin Med J (Engl), 2014, 127(23):4110-4113. DOI: 10.3760/cma.j.issn.0366-6999.20133059. |
| [22] | 胡才宝,严静,李莉,等. 脓毒症大鼠不同时期炎症因子水平与心功能关系的研究[J/CD]. 中华危重症医学杂志:电子版,2014,7(3):166-171. DOI: 10.3877/cma.j.issn.1674-6880.2014.03.003.Hu CB, Yan J, Li L, et al. Relationship between inflammatory factor and cardiac function at different periods in septic rats [J/CD]. Chin J Crit Care Med, 2014, 7 (3): 166-171. |
2016, Vol. 25


