063000 河北省唐山,华北理工大学附属医院超声科(阚艳敏、马琳)
呼吸困难在临床症状中十分常见,引起此症状的两大主要病因分别是心源性和肺源性因素。急性心衰的预后很差,住院病死率为3%,6个月的再住院率约50%,5年病死率高达60%[1]。因此心源性和肺源性呼吸困难的鉴别十分重要,早期对二者进行区分可为患者的治疗争分夺秒。然而如何快速准确地区分二者,仍然是一个严峻的问题。近年来,许多文献报道肺脏超声可以通过B线(彗星尾征)发现肺水肿,甚至有报道称其可作为单一指标指导临床医师快速判断患者是否为心源性呼吸困难[2],马欢等[3]的报道则称为更好地应用它鉴别呼吸困难其科室制定了相应的诊断流程。本研究通过应用床旁肺脏超声对心源性和肺源性呼吸困难患者肺脏B线出现情况的研究,旨在探讨床旁肺脏超声在快速鉴别诊断心源性呼吸困难方面的价值。
1 资料与方法 1.1 一般资料选取2014年10月至2015年4月于华北理工大学附属医院因急性呼吸困难入院的患者,于入院后治疗前2 h内由笔者对所有患者行床旁肺脏及心脏超声检查,同时由临床医师问既往病史、现病史并安排完善其他相关检查,如胸片、血生化检查等。所有患者均由两名副主任医师及以上临床医师依据各项临床资料(病史、胸片、NT-proBNP、心脏超声等)明确诊断。排除肾功能不全、外伤、胸部敷料及其他原因引起的呼吸困难(包括肺炎、肺癌、肺栓塞、胸腔积液、气胸、上呼吸道阻塞、中毒)等情况后,对可入选患者74例进行前瞻性研究,男38例,女36例,年龄38~82岁,(64.0±9.7)岁。依临床诊断结果将上述患者分为急性左心衰呼吸困难组(Ⅰ组)及肺源性呼吸困难组(Ⅱ组)。Ⅰ组患者按按纽约心功能分级[1]分组。由于本研究中部分Ⅱ组患者未行NT-proBNP值检查,因而无法比较肺脏超声与NT-proBNP值诊断心源性呼吸困难的准确性,且无法评价二者联合应用的准确性。
1.2 仪器与方法应用美国Zonare公司Z.one Ultra彩色多普勒超声诊断仪,P4-1C探头,探头频率1~4 MHz。患者平卧、半卧或侧卧位,肺脏超声的测量参考Gargani等[4]的研究方法,并在其测量基础上添加了腋后线的测量,包括两侧胸骨旁线、锁骨中线、腋前线、腋中线及腋后线检查共10条线:左侧胸廓取第2~4肋间的胸骨旁线、锁骨中线、腋前线、腋中线、第6~8肋间的腋后线,右侧胸廓取第2~5肋间的胸骨旁线、锁骨中线、腋前线、腋中线、第6~8肋间的腋后线,共计34个点,计数上述34个点的B线总数。心脏超声检查:测量心脏的基本数值(左室舒张期内径、左房内径等),测定二尖瓣口舒张早期血流速度(E)及二尖瓣环舒张早期运动速度(E’),并计算二者之比(E/E’)[5],应用Simpson法测定左室射血分数(LVEF)。
1.3 统计学方法采用SPSS 17.0统计软件。计量资料以均数±标准差(x±s)或中位数(四分位数)[M(P25,P75)]表示,两样本均数比较采用独立样本t检验,两样本中位数(M)之间比较采用秩和检验;计数资料以各类别样本数表示,两样本率之间比较采用χ2检验。B线总数与NT-proBNP(仅Ⅰ组),LVEF,E/E’的相关性分析采用Spearman相关系数分析。绘制受试者工作特征(ROC)曲线,确定曲线下面积并判定最佳阈值。以P<0.05为差异有统计学意义。
2 结果 2.1 两组患者一般情况的比较上述74例患者中,由临床医师诊断为心源性呼吸困难的有36例,诊断为肺源性呼吸困难的有38例。其中Ⅰ组的病因包括冠心病、围产期心肌病、急性心肌梗死、风湿性心脏病;Ⅱ组的病因包括慢性阻塞性肺疾病(COPD)急性加重、支气管扩张、支气管哮喘急性发作。Ⅰ、Ⅱ两组患者的年龄、性别、身高、体质量等差异无统计学意义(P>0.05),具有可比性,见表 1。
| 组别 | n | 性别(男/女) | 年龄(岁) | 身高(cm) | 体质量(kg) |
| Ⅰ组 | 36 | 19/17 | 65.4±9.2 | 163.42±6.7 | 64.1±5.5 |
| Ⅱ组 | 38 | 19/19 | 62.7±10.1 | 162.97±8.6 | 62.3±7.2 |
| χ2/ t值 | 0.057 | 1.213 | 0.247 | 1.208 | |
| P值 | 0.811 | 0.229 | 0.805 | 0.231 |
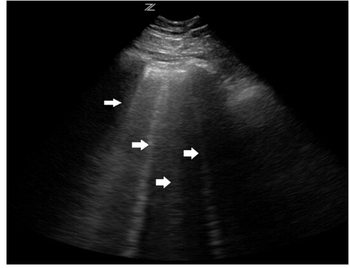
Ⅰ、Ⅱ两组患者的临床及超声参数见表 2。Ⅰ组和Ⅱ组患者在主动脉瓣根部内径、主肺动脉瓣环内径、左房、室间隔及左室后壁间无统计学差异(P>0.05),Ⅰ组患者B线总数、E/E’值及左室舒张末期内径均高于Ⅱ组,而EF值低于Ⅱ组,其差异有统计学意义(P < 0.05)。Ⅰ组肺超声检出的B线图像见图 1。Ⅰ组B线总数随纽约心功能分级变化的箱式图见图 2。
| 参数 | Ⅰ组( n=36) | Ⅱ组( n=38) | t/W | P值 |
| 主动脉瓣根部内径(mm, x±s) | 26.6±5.2 | 28.0±4.6 | -1.228 | 0.224 |
| 主肺动脉瓣环内径(mm, x±s) | 20.4±3.4 | 19.5±2.8 | 1.388 | 0.185 |
| 左房(mm, x±s) | 35.7±4.9 | 34.3±5.1 | 1.256 | 0.213 |
| 左室舒张末期内径(mm, x±s) | 55.6±4.2 | 51.0±4.7 | 4.440 | 0.000 |
| 室间隔(mm, x±s) | 8.7±1.0 | 8.6±1.4 | 0.407 | 0.685 |
| 左室后壁(mm, x±s) | 8.8±0.9 | 8.4±1.0 | 1.608 | 0.112 |
| E/E’( x±s) | 13.9±3.7 | 7.0±1.5 | 10.755 | 0.000 |
| LVEF(%, x±s) | 38.5±6.0 | 67.7±5.6 | -21.636 | 0.000 |
| B线总数[条, M( P25, P75)] | 22.0(10.3,28.3) | 2.5(0.0,6.0) | 832.500 | 0.000 |
| NT-proBNP(ng/L, x±s) | 5 036.3±2 068.6 | — | — | — |
![]() |
| 图 1 肺脏超声声像图示B线(箭头示) |
![]() |
| 图 2 Ⅰ组B线总数随纽约心功能分级的变化 |
对Ⅰ、Ⅱ两组数据的Spearman相关系数分析显示:B线总数与NT-proBNP值(仅Ⅰ组),LVEF,E/E’均有显著的相关性(P<0.05),其中B线总数与NT-proBNP值(仅Ⅰ组)(r=0.832)、E/E’(r=0.632)呈正相关,与LVEF(r=-0.768)呈负相关。
2.4 受试者工作特征(ROC)曲线依据中国心力衰竭诊断和治疗指南2014[1]将患者分为心源性呼吸困难组(Ⅰ组)及肺源性呼吸困难组(Ⅱ组),将Ⅰ组的B线总数作为阳性组,Ⅱ组的B线总数作为阴性组绘制ROC曲线(图 3)。曲线下面积为0.933(0.881~0.985)。其中根据约登指数(Youden’ s index)所确定的诊断临界值为>8条,具有较高的敏感度(81%)和特异度(89%),当特异度达到100%时的诊断临界值为>15条,此时敏感度较低,为58%。
![]() |
| 图 3 B线总数诊断心源性呼吸困难的ROC曲线 |
以往人们多认为超声不能应用于肺脏疾病的诊断,随着医学的不断进步,超声的应用范围越来越广泛,从而使得应用于肺脏疾病的诊断得以实现。Agricola等[6]首先提出了肺脏超声所检测出的B线能够鉴别心源性肺水肿和COPD急性加重,他所做的研究最终得出的结论是B线鉴别心源性呼吸困难的敏感度高达100%,特异度也可达到92%。Gargani[7]的临床研究也得到了相似的结果。B线实际上是一种混响伪像,其产生机制是超声在气体与水的交界处产生强烈的混响,声束产生无尽的反射,即超声在脏层胸膜与浅表肺泡之间的不断反射;表现为自胸膜发出垂直于胸膜并无限延伸至屏幕边缘的纵向激光样征象,如图 1。一般心源性因素引发的B线多为两侧对称性弥漫分布,ARDS、肺炎等疾病也可以观察到B线,但均不是对称性弥漫分布的。
心源性呼吸困难的本质是由于心脏功能受损导致肺循环压力升高,引起肺淤血、肺水肿,因此其引发的肺淤血、肺水肿多是两侧对称的。肺脏超声通过B线这一征象来评估肺水肿的程度,从而鉴别心源性与肺源性呼吸困难,并判定左心衰的程度。本文B线的测量在前人的基础上增加了两条腋后线,使测量更为全面。从图 2可见B线总数随纽约心功能分级的增加而增加,与Frassi等[8]的研究结果一致,说明B线对临床有较好的指导意义。本研究发现Ⅰ、Ⅱ两组患者的B线总数差异有统计学意义,Ⅰ组患者的B线总数明显多于Ⅱ组。且ROC曲线显示B线鉴别诊断心源性吸困难有较高的特异度,以B线总数>8条诊断心源性呼吸困难的敏感度为81%,特异度为89%;当B线总数>15条时,诊断心源性呼吸困难的特异度高达100%,而敏感度降为58%,此结果与Prosen等[9]及胡敏等[10]的研究结果一致。
NT-proBNP是一项重要的生化指标,研究表明,NT-proBNP可用于急性呼吸困难患者的诊断与鉴别诊断[11]。NT-proBNP的升高是由于急性左心衰时左室舒张压升高这一血流动力学原因,急性左心衰引发的B线也同样因为上述原因。心室肌细胞分泌利钠肽的主要力学因素是心室壁张力的增加[12]。左室舒张压升高导致肺毛细血管压升高,从而导致肺水肿,而B线正是肺水肿的一种表现[13]。正是这一原因使得B线总数与NT-proBNP值有显著相关性,本研究中B线总数与NT-proBNP值呈显著正相关,从而证明B线在诊断急性左心衰、鉴别心源性呼吸困难方面有一定的价值。
急性左心衰患者一般心脏收缩及舒张功能均较差,且左心室多有增大的表现。心脏超声所测定的左室射血分数(LVEF)是常用的评估左室收缩功能的指标,其值越低表明心脏的收缩功能越差。心脏超声中的二尖瓣口舒张早期血流速度(E)与二尖瓣环舒张早期运动速度(E’)的比值(E/E’)与肺毛细血管压之间有良好的相关性,因而可以评估左室舒张压,从而评估左室舒张功能。研究表明E/E’比值越高,左室舒张功能越差,患者的预后也越差[5]。本研究中B线总数与LVEF呈显著的负相关,与E/E’有显著的正相关,这也证明了B线在诊断急性左心衰、鉴别心源性呼吸困难方面有一定的价值。
综上所述,肺脏超声所观测到的B线总数在心源性呼吸困难患者中明显大于肺源性呼吸困难,且有助于早期鉴别诊断心源性呼吸困难,并在一定程度上可以协助临床医生诊断急性左心衰并判断急性左心衰的严重程度。
| [1] | 中华医学会心血管病学分会, 中华心血管病杂志编辑委员会.中国心力衰竭诊断和治疗指南2014[J].中华心血管病杂志, 2014, 42 (2):98-122.DOI:10.3760/cma.j.issn.0253-3758.2014.02.004. Chinese Society of Cardiology, The editorial board of Chinese Journal of Cardiology.Guideline for the Diagnosis and Management of Heart Failure in China 2014[J].Chin J Cardiol, 2014, 42 (2):98-122. |
| [2] | 钟雷, 苏德淳, 王珂, 等.经胸肺超声彗尾征诊断心源性呼吸困难[J].中国医学影像技术, 2013, 29(4):561-564. Zhong L, Su DC, Wang K, et al.Transthoracic lung ultrasound displaying comet-tail sign in diagnosis of cardiogenic dyspnea[J].Chin J Med Imaging Technol, 2013, 29(4):561-564. |
| [3] | 马欢, 郭力恒, 黄道政, 等.如何应用床旁肺脏超声快速鉴别诊断呼吸困难:“彗星尾”快速识别心源性气促[J].中华危重病急救医学, 2013, 25(8):499-500.DOI:10.3760/cma.j.issn.2095-4352.2013.08.015. Ma H, Guo LH, Huang DZ, et al.How to use bedside lung ultrasound in differential diagnosis of dyspnea:“comet-tail” rapid identification of cardiogenic dyspnea[J].Chin Crit Care Med, 2013, 25(8):499-500. |
| [4] | Gargani L, Frassi F, Soldati G, et al.Ultrasound lung comets for the differential diagnosis of acute cardiogenic dyspnoea: A comparison with natriuretic peptides[J].Eur J Heart Fail, 2008, 10(1) :70-77.DOI: 10.1016/j.ejheart.2007.10.009. |
| [5] | 项恰敏, 徐红丰, 洪程.左室舒张性心力衰竭的左心形态及舒张功能的超声评价[J].临床超声医学杂志, 2012, 14(5):336-338.DOI: 10.3969/j.issn.1008-6978.2012.05.021. Xiang QM, Xu HF, Hong C.Echocardiographic assessment of left heart morphology and diastolic function in patients with left ventricular diastolic heart failure[J].J Chin Ultrasound Med, 2012, 14(5):336-338. |
| [6] | Agricola E, Bove T, Oppizzi M, et al.“Ultrasound comet-tail images”:a marker of pulmonary edema:a comparative study with wedge pressure and extravascular lung water[J].Chest, 2005, 127(5):1690-1695.DOI: 10.1378/chest.127.5.1690. |
| [7] | Gargani L.Lung ultrasound:a new tool for the cardiologist[J].Cardiovasc Ultrasound, 2011, 9(2):6.DOI: 10.1186/1476-7120-9-6. |
| [8] | Frassi F, Gargani L, Gligorova S, et al.Clinical and echocardiographic determinants of ultrasound lung comets[J].Eur J Echocardiogr, 2007, 8(6):474-479.DOI: 10.1016/j.euje.2006.09.004. |
| [9] | Prosen G, Klemen P, Strnad M, et al.Combination of lung ultrasound (a comet-tail sign)and N-terminal pro-brain natriuretic peptide in differentiating acute heart failure from chronic obstructive pulmonary disease and asthma as cause of acute dyspnea in prehospital emergency setting[J].Crit Care, 2011, 15(2):R114.DOI:10.1186/cc10511. |
| [10] | 胡敏, 江成皤, 王素霞, 等.经胸肺超声彗尾征鉴别诊断心源性呼吸困难[J].临床超声医学杂志, 2012, 14(9):606-609.DOI: 10.3969/j.issn.1008-6978.2012.09.011. Hu M, Jiang CF, Wang SX, et al.Value of transthoracic lung ultrasound comet-tail in differential diagnosis of cardiogenic dyspnea[J].J Chin Ultrasound in Med, 2012, 14(9):606-609. |
| [11] | 李鹏, 刘莹莹, 张建军, 等. 氨基末端B型利钠肽前体和“急性呼吸困难”的诊断及预后[J].中华急诊医学杂志, 2011, 20(7):726-729.DOI:10.3760/cma.j.issn.1671-0282.2011.07.012. Li P, Liu YY, Zhang JJ, et al.The diagnostic and predictive value of amino-terminal pro-B-type natriuretic peptide(NT-proBNP)[J].Chin J Emerg Med, 2011, 20(7):726-729. |
| [12] | Clerico A, Recchia FA, Passino C, et al.Cardiac endocrine function is an essential component of the homeostatic regulation network:physiological and clinical implications[J].Am J Physiol Heart Circ Physiol, 2006, 290(1):H17-29.DOI: 10.1152/ajpheart.00684.2005. |
| [13] | Picano E, Frassi F, Agricola E, et al.Ultrasound lung comets:a clinically useful sign of extravascular lung water[J].Am Soc Echocardiogr, 2006, 19(3):356-363.DOI: 10.1016/j.echo.2005.05.019. |
2015, Vol. 25





