百草枯(paraquat,PQ)属有机杂环类非选择性、接触性除草剂,对人畜有较高的毒性。由于PQ在机体中通过多胺为固有底物的摄取系统[1],不断主动浓聚于肺中,使其对肺的损害最突出且最严重。早期的急性肺水肿及后期不可逆的肺纤维化是PQ中毒导致呼吸衰竭乃至死亡的重要原因[2]。PQ中毒发生率逐年增高,病死率国外报道为40%~60%[3]。目前尚缺乏特效解毒剂,即使临床上予以积极综合性治疗措施,仍造成患者器官功能衰竭而死亡[4]。为此,探寻PQ中毒导致急性肺损伤和肺纤维化的治疗已成为目前急性中毒救治十分有意义的研究方向。20世纪60年代末,首次从骨髓中发现了间充质干细胞(mesenchymal stem cells,MSCs),并已逐步用于治疗临床多种病理模型。其中,骨髓间充质干细胞(bone marrow mesenchymal stem cells,BMSCs)在急性中毒中的应用已成为近年来研究的一大热点,研究中发现BMSCs不仅可分化为同一胚层的组织细胞,而且可跨胚层,在体外诱导分化为内胚层的肝细胞和外胚层的神经元、神经胶质细胞等[5],因此目前关于BMSCs的移植治疗研究大多集中在急性一氧化碳中毒迟发性脑病、中毒性肝损害中,而在PQ中毒致肺组织损伤及肺纤维中的研究不多。本研究旨在研究急性PQ中毒致肺纤维化的机制及BMSCs移植对PQ中毒导致肺纤维化的作用。
1 材料与方法 1.1 实验动物准备与分组选取54只健康的成年SD雄性大鼠,体质量150~200 g,实验动物均由吴氏实验动物中心提供[批号SCXK(闽)2012-0001],所有动物经检疫符合实验动物标准。按随机数字表进行随机分组,共分成3组,每组 18 只:A组为对照组;B组为PQ染毒组(PQ+PBS 组),20 mg/mL的PQ 溶液以120 mg/kg剂量经口一次性灌胃,6 h 后经尾静脉注射PBS1 mL/只;C组为PQ + BMSCs 治疗组(PQ+BMSCs 组),20 mg/mL的PQ溶液以120 mg/kg剂量经口一次性灌胃,6 h后经尾静脉注射BMSCs 1×106/只,重悬于PBS中。置于福建省立医院动物实验中心饲养,实验前适应性饲养3 d ,实验前12 h禁食、不禁水。
1.2 PQ溶液的配制PQ粉末购自梯希爱(上海)化成工业发展有限公司,纯度98%。将PQ粉末溶于0.9%生理盐水中,配制成20 mg/mL的PQ溶液,现配现用。
1.3 动物模型建立取适量七氟烷(生产商 Baxter Healthcare of Puerte Rice)将大鼠诱导麻醉后,称质量,而后插入“胃管”(中心静脉管替代,型号16Ga×20 cm),深度约6 cm ,快速注入少量空气,可闻及气过水音,确认证明“胃管”在胃内后,根据体质量以120 mg/kg的剂量灌胃。
1.4 标本采集及处理各组大鼠分别在造模后7 d、 14 d、 28 d 颈椎脱臼处死,取左下肺组织浸于10% 甲醛,分别行HE染色和Masson染色观察肺组织病理形态及肺纤维化情况,用免疫组织化学检测肺组织中 转化生长因子-β1(transforming growth factor-β1,TGF-β1)及肝细胞生长因子(hepatocyte growth factor,HGF)的表达情况;同时剪取右下肺投入液氮中贮存,测定肺组织中羟脯氨酸(hydroxyproline,HYP)的含量。羟脯氨酸试剂盒(碱水解法)购自南京建成科技有限公司,Masson 染色试剂盒购自北京康为有限公司,TGF-β1 抗体、 HGF抗体购自博奥森生物有限公司,免疫组织化学试剂盒购自北京康为有限公司,10% 甲醛购自广东省精细化学品技术研究中心。
1.5 肺纤维化程度判断
在光学显微镜下观察肺组织的病理形态变化,并根据 Szapiel等[6] 的方法将肺泡炎和肺纤维化分为 0 ~ Ⅲ级,0 级:无纤维化计 1 分; Ⅰ级:轻度纤维化,受累面积<全肺 20% 计 2 分; Ⅱ级:中度纤维化,受累面积占 20%~50% 计3分;Ⅲ级:重度纤维化,受累面积>50% ,肺泡结构紊乱计4分。
1.6 TGF-β1和HGF测定样本碱水解法测定肺组织中HYP含量,肺组织HYP含量根据计算公式: HYP含量 (μg/mg湿质量) = (测定管吸光度 -空白管吸光度)/(标准管吸光度-空白管吸光度) × 标准管含量(5 μg/mL) × 水解液总体积 (10 mL) / 组织湿质量 (mg)。
1.7 统计学方法所有实验数据采用 SPSS 17.0 统计软件进行分析。计量资料采用均数±标准差(x±s)表示;等级资料转化为计量资料,方法是 0~Ⅲ级为0~3 分。多组间计量资料比较选用 one way ANOVA 方法检验,组间比较若方差齐采用 LSD-t法,若方差不齐采用 Dunnett T3。以P<0.05为差异有统计学意义。
2 结果 2.1 一般情况观察A 组大鼠进食进水如常、行动敏捷、肥硕强壮、毛色光泽发亮,呼吸平顺。B 组大鼠在灌胃染毒后喜进水,不喜进食,神情呆滞、行动迟缓易捕捉,出现不同程度的眯眼、拱背、呼吸急促、毛发松散、颜色晦暗等;染毒后1~3 d上述症状最重,7 d 后仍存活的大鼠上述症状逐渐减轻;21 d后仍存活的大鼠可再次出现呼吸频率逐渐加快的情况。C 组大鼠也出现神情呆滞、行动迟缓易捕捉,毛发松散、颜色晦暗、呼吸急促等中毒表现,但较B组有所减轻,但与 A 组比较,仍有活动减少,行动迟缓等反应。其中 B 组中有1例大鼠于染毒后3 d(中毒急性期)死亡,而 A 组和 C 组大鼠中无发现死亡。
2.2 大鼠肺组织病理改变及纤维化评分
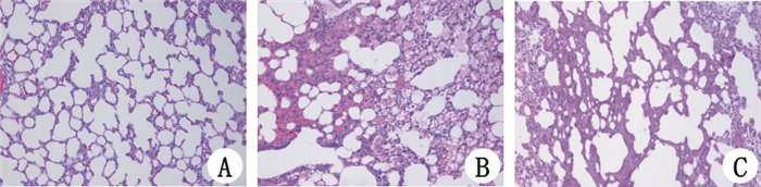
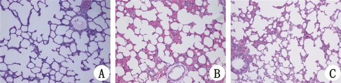
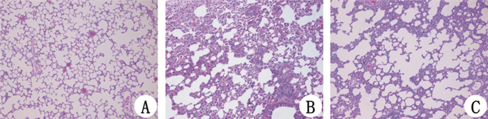
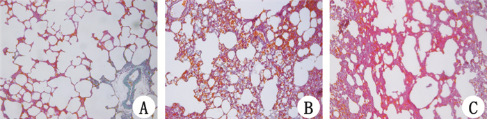
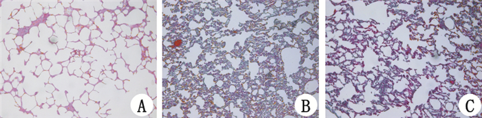
2.2.1 肺组织病理改变(HE及Masson染色)染毒 7 d : A 组肺泡间隔为单层,未见增厚,肺泡腔内未见渗出物;B 组肺泡炎性改变明显,间隔增宽,其中可见大量炎症细胞,血管扩张充血,间质水肿,肺泡腔内可见大量渗出液,甚至出血;C 组肺泡炎性渗出及出血相对 B 组为轻。14 d:A 组肺泡间隔为单层,未见增厚,肺间质无实变、纤维化改变;B 组肺泡间质水肿及渗出较7 d 时有所减轻,间隔增宽,肺间质可见呈绿色的胶原纤维增多,出现肺间质纤维化;C组肺泡间隔增宽的厚度相对B组较轻,胶原纤维较B组少,间质纤维化沉积程度相对 B 组较轻。28 d:A 组肺泡数量丰富,肺泡间隔为单层,未见增厚,肺间质无实变、纤维化改变,肺结构正常;B 组肺泡正常结构消失,间隔增厚普遍可见绿色的胶原纤维沉积,残存的肺泡腔出现过度膨胀,表现为肺泡扩张明显,肺泡间隔断裂,相邻的肺泡腔融合成较大的囊腔,肺泡结构紊乱;C 组间隔中的胶原纤维化沉积相对B组较轻,也可见肺泡融合的大囊腔,但肺泡基本结构仍可见,见图 1~6。
![]() |
| 图 1 染毒7 d各组大鼠肺组织病理改变(HE ×200) Fig 1 Pathological changes in the lung tissue of each group at 7 days after PQ administration(HE ×200) |
![]() |
| 图 2 染毒14 d各组大鼠肺组织病理改变(HE ×200) Fig 2 Pathological changes in the lung tissue of each group at 14 days after PQ administration(HE ×200) |
![]() |
| 图 3 染毒28 d各组大鼠肺组织病理改变(HE ×200) Fig 3 Pathological changes in the lung tissue of each group at 28 days after PQ administration(HE ×200) |
![]() |
| 图 4 染毒7 d各组大鼠肺组织病理改变(Masson×200) Fig 4 Pathological changes in the lung tissue of each group at 7 days after PQ administration(Masson×200) |
![]() |
| 图 5 染毒14 d各组大鼠肺组织病理改变(Masson×200) Fig 5 Pathological changes in the lung tissue of each group at 14 days after PQ administration(Masson×200) |
![]() |
| 图 6 染毒28 d各组大鼠肺组织病理改变(Masson×200) Fig 6 Pathological changes in the lung tissue of each group at 28 days after PQ administration(Masson×200) |
B 组大鼠随着时间点的延长肺纤维化评分逐渐升高,且各时间点肺纤维化评分均高于 A 组,均差异有统计学意义(P<0.01);C 组大鼠染毒后随着时间点的延长肺纤维化评分也逐渐升高,但各时间点肺纤维化积分均低于 B 组,但仍较 A 组高,与 B 组各时间点均差异有统计学意义(P<0.05),与 A 组比14 d、28 d肺纤维化评分均差异有统计学意义(P<0.05),表 1 。
| (x±s) | |||
| 组别 | 7 d | 14 d | 28 d |
| A组(空白对照组) | 0.00±0.00 | 0.00±0.00 | 0.33±0.57 |
| B组(PQ 组) | 1.67±0.60a | 2.30±0.57a | 3.00±0.00a |
| C组(PQ + BMSCs 组) | 0.33±0.57b | 1.30±0.57d | 1.67±0.60c |
| 注:与空白对照组比较,aP<0.05,bP<0.01 ;与PQ 组比较,cP<0.05,dP<0.01 | |||
A 组大鼠肺组织 HYP 含量,各时间点差异无统计学意义(F=0.817,P> 0.05);B 组大鼠肺组织 HYP 含量随着染毒时间的延长呈进行性增加,28 d 时 HYP 含量达最高峰,各时间点与 A 组比较差异有统计学意义(P<0.01);C 组大鼠肺组织HYP的含量随着染毒时间的延长也是呈进行性增加,28 d时达到最高值,7 d、14 d、28 d 各时间点与 A 组和 B 组比较,差异均有统计学差异(P<0.01),见表 2。
| (μg/mg,x±s) | |||
| 组别 | 7 d | 14 d | 28 d |
| A组(空白对照组) | 0.51±0.24 | 0.54±0.11 | 0.51±0.24 |
| B组(PQ 组) | 1.17±0.27a | 1.39±0.15a | 1.47±0.14a |
| C组(PQ + BMSCs 组) | 0.96±0.28b | 1.12±0.26c | 1.23±0.26d |
| 注:与空白对照组比较,aP<0.05,bP<0.01;与PQ 组比较,cP<0.05,dP<0.01 | |||
A 组大鼠肺组织 TGF-β1 主要在支气管黏膜上皮细胞、肺泡上皮细胞以及肺血管内皮细胞的胞质中表达,免疫组织化学结果显示为在细胞胞质中可见棕褐色的颗粒样物质;B 组大鼠肺组织 TGF-β1 表达含量增多且分布范围较 A 组广,表达增多的部位主要在血管壁及周围、增厚的肺泡间隔及肺泡壁中出现的大量的炎症细胞的胞质中。TGF-β1 的表达含量在第 7 d 时为最高峰,此后逐渐减少,但仍高于对照组,各时间点与对照组比较差异均有统计学意义(P<0.05);C 组大鼠肺组织各时间点 TGF-β1 表达含量均较 B 组少,差异有统计学意义(P<0.05),见表 3。
| (x±s) | |||
| 组别 | 7 d | 14 d | 28 d |
| A组(空白对照组) | 25.0±2.0 | 23.3±1.5 | 25.3±1.5 |
| B组(PQ 组) | 34.7±2.1b | 31.0±1.0b | 29.5±0.7a |
| C组(PQ + BMSCs 组) | 30.3±2.1d | 28.0±1.0d | 25.0±2.0c |
| 注:与空白对照组比较,a P<0.05,b P<0.01;与PQ组比较,c P<0.05,d P<0.01 | |||
A 组大鼠肺组织 HGF 主要在支气管上皮细胞、血管壁周围的基质细胞、肺泡上皮细胞及内皮细胞的胞质中表达,免疫组织化学显示为在胞质中可见棕褐色的颗粒样物质;B 组大鼠肺组织 HGF 的表达含量随着时间点延长逐渐增多,但各时间点比较差异无统计学意义(P>0.05);B 组与 A 组比较略有增多,但差异无统计学意义(P>0.05 );C 组大鼠肺组织 HGF 表达含量随着时间的延长逐渐增多,各时间点比较差异有统计学意义(P<0.05),增多的部位主要在增厚的肺泡间隔及肺泡壁中出现的巨噬细胞及中性粒细胞的胞质中,且各时间点与 A 组及 B 组比较差异均有统计学意义(P<0.05),见表 4。
| (x±s) | |||
| 组别 | 7 d | 14 d | 28 d |
| A组(对照组) | 25.7±1.2 | 26.7±1.5 | 27.7±2.3 |
| B组(PQ 组) | 26.0±1.0 b | 27.7±1.5 b | 29.0±1.4 a |
| C组(PQ + BMSCs 组) | 29.7±1.5d | 32.3±1.5d | 37.3±2.0c |
| 注:与对照组比较,aP<0.05,bP<0.01;与PQ 组比较,cP<0.05,dP<0.01 | |||
目前关于 PQ 进入机体后造成急性肺损伤和肺纤维化的机制尚未明确,主要的观点包括:①炎症反应: PQ 浓聚于肺脏后,继发引起大量炎症细胞浸润并释放大量的炎症因子,其中转化生长因子-β1(transforming growth factor-β1,TGF-β1)在早期的急性肺损伤及后期的肺纤维化中起着重要的作用[7]。②脂质过氧化反应和氧化应激: PQ 吸收入体内后作为一种电子受体,被主动转运到Ⅰ型和Ⅱ型肺泡上皮细胞内随即开始氧化还原反应,在 NADPH 还原型辅酶的作用下,将单电子还原为PQ-,然后再与 O2反应生成联吡啶阳离子和 O2,在超氧化物歧化酶(superoxide dismutase,SOD)的作用下,O2转变为H2O2 透过细胞膜,形成OH- ,引起脂质过氧化等一系列的连锁反应,进而导致肺损伤[8]。③基因应答:Mainwaring等[9]在PQ 中毒的大鼠体内发现存在膜转运、氧化应激、上皮细胞分化、 TGF-β 信号表达等的基因改变,说明了在 PQ 进入机体造成急性肺损伤前就存在快速的基因转录应答。
本研究为模拟人经口服 PQ 所致的肺纤维化的模式,通过给大鼠一次性灌胃的方式诱导 PQ 中毒导致的肺纤维化。本研究发现,以120 mg/kg 剂量染毒的大鼠 80% 可度过7 d 的炎症反应期,在28 d 处死大鼠,行 HE 染色,镜下可见肺泡失去正常结构,肺间隔增厚,间质纤维化明显,其中可见红染的胶原纤维大量沉积及代偿的肺气肿,提示以该剂量一次性经口灌胃的方式制备的大鼠肺纤维化模型成功。虽然本实验中灌胃染毒的 PQ 剂量明显较大,但所得的实验结果与文献[10]报道的相一致。PQ 导致的肺损伤大致可分为三个时期:炎症反应期( 1 ~ 7 d ),修复机化期(7 ~ 14 d),纤维稳定期(21 ~ 28 d 后),其中炎症细胞和炎症因子的出现对修复机制的发生和进展有着重要的启动和推动作用[11]。因此本实验选取的时间点为染毒后7 d 、 14 d 、 28 d ,以观察在这三个时期点中的肺纤维化及 TGF-β1、HGF 的变化情况,分析这两种因子在肺纤维化中可能的作用;同时将 BMSCs 通过尾静脉注射移植入各组大鼠体内,对比观察肺纤维化程度及这两种炎症因子的变化情况,从而分析外源性 BMSCs 是否对 PQ 中毒诱导的肺纤维化有治疗作用及其可能的机制。
胶原蛋白是胶原纤维的主要成分,由 18 种氨基酸组成,其中 HYP 是其中含量最多且相对恒定的一种,因此检测组织中 HYP 的含量可作为胶原蛋白代谢的重要指标。故在本实验中,通过检测肺组织中 HYP 的含量,可以反映肺纤维化的程度,即 HYP 的含量越高,说明肺纤维化的程度越重。本实验结果显示,与 A 组比较,B 组、C 组各时点肺组织中 HYP 的含量均明显升高,C 组各时点肺组织 HYP 含量较 B 组有明显减少,同时结合 HE 和 Masson 染色的肺纤维化评分结果可以提示 C组肺纤维化程度较 B 组有明显减轻,也就说明 BMSCs 移植对 PQ 中毒导致的肺纤维化作用有积极的治疗作用,可有效地减轻肺纤维化程度,这也与王贤等[12]的实验结果,即早期给予 MSCs 可抑制博莱霉素诱导的肺纤维化的作用相一致。
目前关于PQ导致机体肺纤维化的分子机制尚未明确,但在多项研究中观察到百草枯中毒大鼠肺组织中 TGF-β1 表达增加,其增高程度与肺纤维化程度呈正相关[13, 14]。本实验对 TGF-β1 的表达进行免疫组织化学分析发现,经一次性PQ灌胃染毒后,B 组大鼠肺组织中 TGF-β1的表达含量增多,主要分布在血管壁及周围、增厚的肺泡间隔及肺泡壁中出现的大量的巨噬细胞、中性粒细胞等炎症细胞的胞质中,且在各时间点均较 A 组增多。将 TGF-β1 表达的变化趋势结合肺组织病理结果发现,在炎症反应时期,大量的炎症细胞(如中性粒细胞、巨噬细胞等)浸润以及炎症因子的分泌,此时期的 TGF-β1 表达含量最多,此后随着炎症反应逐渐减轻,炎症细胞浸润和炎症因子分泌减少,进入修复机化期和纤维化稳定期,此时 TGF-β1 表达逐渐减少,但仍较正常肺组织多。肺组织 TGF-β1基因的表达是促进胶原纤维基因表达和胶原蛋白沉积[15]重要因子,而本实验通过测定 TGF-β1 的表达情况同时结合纤维化的程度也进一步说明了TGF-β1在PQ导致的肺纤维化中起着重要的作用。
HGF 是一种具有多种生物活性的多肽细胞因子,已被证实为一种抗纤维化的细胞因子而应用于研究肝硬化等疾病的模型中[16]。Gazdhar等[17] 将干细胞注入博来霉素诱导的肺纤维化后机体出现多种细胞因子的变化,其中致纤维化因子 TGF-β1 的表达明显减少,而 HGF 的表达增多,若对干细胞采用抗 HGF 的中和抗体预处理后再注入博来霉素诱导的动物体内,发现大鼠的肺纤维化程度加重,纤维含量明显增多,因此认为 HGF 是在干细胞治疗肺纤维化、改善肺泡上皮细胞修复中起重要作用的抗纤维化因子。但目前对于 HGF 在各其中具体的分子机制尚不清楚,主要发现 HGF 可通过不同的方式抑制 TGF-β1 的信号转导从而减弱 TGF-β1 的在组织的致纤维化作用,从而起到抗纤维化的作用[18, 19],然而HGF在PQ中毒的肺组织的变化情况尚无人研究。本研究发现,BMSCs 植入染毒大鼠后C组肺纤维化的程度较 B 组有明显减轻,说明 BMSCs 对百草枯导致的肺纤维化有改善作用;且 C 组肺组织中 TGF-β1 的表达含量比较 B 组明显减少,HGF 的表达含量比较 B 组均有所增多,到纤维化稳定期(第28天)时含量达到最高峰,因此提示了 BMSCs 对 PQ 导致的肺纤维化的治疗机制可能是通过上调抗纤维化 HGF 的表达,同时下调了致纤维化 TGF-β1 的表达,达到减轻肺纤维化的程度,这也进一步支持了干细胞的旁侧效应在细胞治疗中的重要作用。但对于外源性 BMSCs 是通过分化为肺泡上皮细胞后改变细胞间微环境中的 HGF 及 TGF-β1 的作用,还是直接通过表达细胞因子或抑制其他细胞因子的表达而改善肺纤维化的作用以及 HGF 在肺组织中的含量是否在28 d 以后仍继续升高、 HGF 和 TGF-β1 二者在 BMSCs 治疗百草枯中毒肺纤维化中的具体机制尚不清除,因此还有待进一步深入研究。
综上所述,外源性植入 BMSCs 可通过上调肺组织中 HGF 的表达同时下调 TGF-β1 的表达,进而改善肺组织中的微环境从而减轻成纤维细胞增生和转化,减少肺组织 HYP 的含量,抑制 PQ 诱导的肺纤维化形成。由此推论 BMSCs 对大鼠 PQ 中毒导致的肺纤维化有积极的治疗作用。
| [1] | 杭瑛, 朱长清. 百草枯中毒与多胺摄取系统[J]. 中华急诊医学杂志, 2010,19(4): 443-444. DOI:10.3760/cma.j.issn. 1671-0282.2010.04.037. Hang Y, Zhu CQ.Paraquat poisoning and polyamine uptake system[J]. Chin J Emerg Med, 2010,19(4): 443-444. |
| [2] | 周倩, 菅向东, 张忠臣, 等. 百草枯中毒肺损伤分子机制研究进展[J]. 中华劳动卫生职业病杂志, 2015, 33(1): 72-75. DOI:10.3760/cma.j.issn.1001-9391.2015.01.025. Zhou Q, Jian XD, Zhang ZC, et al. Progress in molecular mechanism of lung injury induced by paraquat poisoning [J]. Chin J Ind Hyg Occup Dis, 2015, 33(1): 72-75. |
| [3] | Cherukuri H, Pramoda K, Rohini D, et al. Demographics, clinical characteristics and management of herbicide poisoning in tertiary care hospital[J]. Toxicol Int, 2014, 21(2): 209.DOI:10.4103/0971-6580.139813. |
| [4] | Xu XL, Wang W, Song ZJ, et al. Imaging in detecting sites of pulmonary fibrosis induced by paraquat[J]. World J Emerg Med, 2011, 2(1):45-49. |
| [5] | Le Blanc K, Frassoni F, Ball L, et al. Mesenchymal stem cells for treatment of steroid-resistant, severe, acute graft-versus-host disease: a phase Ⅱ study[J]. The Lancet, 2008, 371(9624): 1579-86. DOI: 10.1016/S0140-6736(08)60690-X. |
| [6] | Szapiel SV, Elson NA, Fulmer JD, et al. Bleomycin-induced interstitial pulmonary disease in the nude, athymic mouse[J]. Am Rev Respir Dis, 1979, 120(4): 893-899. |
| [7] | Oka H, Ishii H, Iwata A, et al. Inhibitory effects of pitavastatin on fibrogenic mediator production by human lung fibroblasts[J]. Life Sci, 2013, 93(25): 968-974. DOI:10.1016/j.lfs.2013. 10.026. |
| [8] | Dinis-Oliveira R, Duarte J, Sanchez-Navarro A, et al. Paraquat poisonings: mechanisms of lung toxicity, clinical features, and treatment[J]. Crit Rev Toxicol, 2008, 38(1): 13-71. DOI: 10.1080/10408440701669959. |
| [9] | Mainwaring G, Lim FL, Antrobus K, et al. Identification of early molecular pathways affected by paraquat in rat lung[J]. Toxicology, 2006, 225(2): 157-172. DOI:10.1016/S0022-3093(01)01088-2. |
| [10] | 兰超, 王金柱, 李莉, 等. 奥美沙坦酯对百草枯致大鼠肺损伤的保护作用[J]. 中华急诊医学杂志, 2014, 23(11): 1222-1227. DOI:10.3760/cma.j.issn.1671-0282.2014.11.010. Lan C, Wang JZ, Li L, et al.The protective effect of olmesartan medoxomil on rat lung injury induced by Paraquat[J]. Chin J Emerg Med, 2014, 23(11): 1222-1227. |
| [11] | Dhainaut JF, Charpentier J, Chiche JD, et al. Transforming growth factor-β: a mediator of cell regulation in acute respiratory distress syndrome[J]. Crit Care Med, 2003, 31(4): S258-264. DOI:10.1016/0039-6028(94)00739-X. |
| [12] | 王贤, 曾玉兰, 彭红星, 等. 骨髓间充质干细胞抑制大鼠肺纤维化的作用机制[J]. 华中科技大学学报: 医学版, 2014, 43(3): 300-303. DOI:10.3870/j.issn.1672-0741.2014. 03.012. Wang X, Zeng YL, Peng HX, et al.Effect of bone marrow mesenchymal stem cells on pulmonary fibrosis in rats [J]. Acta Med Univ Sci Technol Huazhong, 2014, 43(3): 300-303. |
| [13] | 董雪松,刘盛业,刘伟,等.百草枯致小鼠肺间质纤维化过程中转化生长因子-β1的表达[J]. 中华急诊医学杂志,2011, 20(8):826-829. DOI: 10.3760/cma.j.issn.1671-0282.2011.08.011. Dong XS, Liu SY, Liu W, et al.Expression of transforming growth factor β1 in the process of pulmonary fibrosis induced by paraquat in mice[J]. Chin J Emerg Med, 2011, 20(8):826-829. |
| [14] | 张慧利,柳远飞,罗序睿,等.氢气饱和生理盐水对百草枯中毒大鼠肺组织的作用[J]. 中华急诊医学杂志,2011, 20(7):708-711. DOI:10.3760/cma.j.issn.1671-0282.2011. 07. 008. Zhang HL, Liu YF, Luo XR,et al.Effect of hydrogen saturated saline on the lung tissue of rats with paraquat poisoning[J]. Chin J Emerg Med, 2011, 20(7):708-711. |
| [15] | Kenyon N, Ward R, McGrew G, et al. TGF-β1 causes airway fibrosis and increased collagen I and Ⅲ mRNA in mice[J]. Thorax, 2003, 58(9): 772-777. DOI:10.1136/thorax.58. 9.772. |
| [16] | Yu JL, Li JH, Cheng RG, et al.Effect of matrine on transforming growth factor piand hepatocyte growth factor in rat liver fibrosis model[J]. Asian Pac J of Trop Med, 2014,7(5):390-393. DOI:10.1016/S1995-7645(14)60062-6. |
| [17] | Gazdhar A, Grad I, Tamò L, et al. The secretome of induced pluripotent stem cells reduces lung fibrosis in part by hepatocyte growth factor[J]. Stem Cell Res Ther, 2014, 5(6): 123. DOI:10.1186/scrt513. |
| [18] | Yi X, Li X, Zhou Y, et al. Hepatocyte growth factor regulates the TGF-β1 induced proliferation, differentiation and secretory function of cardiac fibroblasts[J]. Int J Mol Med, 2014, 34(2): 381-390. DOI:10.3892/ijmm.2014.1782. |
| [19] | Gazdhar A, Susuri N, Hostettler K, et al. HGF expressing stem cells in usual interstitial pneumonia originate from the bone marrow and are antifibrotic[J]. PloS One, 2013, 8(6): e65453. DOI:10.1371/journal.pone.0065453 |
2016, Vol. 25








