患者女性,30岁,剖宫产术后次日晨起活动后突发喘憋,胸背痛,面色苍白、大汗,伴心率增快,血压下降,意识逐渐转为恍惚。查体:呼吸急促,双肺呼吸音粗、未闻及干湿性啰音,心音有力,律齐,腹部伤口无渗血渗液。立即给予面罩吸氧,建立静脉通道,急查D-二聚体>10 000 μg/L。因高度可疑肺栓塞,立即转入ICU抢救,予锁骨下深静脉置管监测中心静脉压,桡动脉置管PICCO监测心功能,持续面罩吸氧,克赛6 000 U皮下注射抗凝治疗,去甲肾上腺素0.3 μg/(kg·h)联合多巴胺5 μg/(kg·h)维持血压。患者病情进展转为昏迷,立即给予气管插管机械通气,急行胸部增强CT检查回报双肺动脉主干及分支血栓栓塞(图 1)。急查超声心动示:EF45%,右心增大,左心功能减低,二尖瓣返流(中-重度),下腔静脉增宽。经评估风险,立即进行“经静脉导管碎解及抽栓、溶栓术”,术后继续泵入尿激酶60万单位/24 h,严密监测出凝血时间。治疗过程中患者出现少尿、血钾升高、代谢性酸中毒,谷丙及谷草转氨酶均超过1 000 U/L,给予床旁持续血液滤过、保肝降酶治疗。予冰盐水洗胃,耐信抑酸保护胃黏膜、卡洛磺钠治疗胃出血。溶栓24 h后复查肺动脉造影,右肺及左肺动脉主干部分显影,肺动脉压降低,继续尿激酶20万单位/24 h抗凝治疗。细胞病理回报:肺动脉血、外周血及中心静脉血均可见少许角化物(图 2)。给予氢化可的松抗过敏,茶碱、罂粟碱解除气道及血管痉挛,甘露醇降颅压、泰能抗感染治疗。经积极治疗72 h,患者意识转清,生命体征趋于平稳,复查超声心动提示心脏结构及功能正常,予逐步脱机拔管,因少尿继续血液净化治疗,治疗后30 d,患者进入多尿期,肝肾功能等实验室指标逐渐恢复正常,好转出院。
![]() |
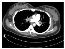
| 图 1 双肺动脉主干栓塞 |
![]() |
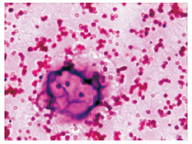
| 图 2 血液中的角化物(HE×100) |
讨论 肺动脉的血栓栓塞和羊水栓塞是产科的主要肺栓塞症,该患者发生大面积肺栓塞,在栓子及血液中检出角化物,考虑羊水栓塞。羊水栓塞的发生多为子宫收缩过强,宫内压力升高,在破膜后羊水中的有形物质(胎儿毳毛,角化上皮,胎脂,胎粪)和促凝物质通过裂伤的子宫静脉或开放的血窦进入母体血液循环引起,加之围生期产妇处于高凝状态,极易发生血栓栓塞性疾病,导致急性肺栓塞,过敏性休克,弥散性血管内凝血,肾功能衰竭或猝死,病情凶险,病死率极高。因此,避免缩宫素滥用、小剂量低分子肝素预防性抗凝治疗、动态监测血清D-二聚体对预防产妇肺栓塞是有益的。肺栓塞产妇血流动力学的改变主要取决于肺血管阻塞的程度,当阻塞达85%以上时,可因左心血量急剧下降而引起晕厥、休克甚至猝死。对肺栓塞患者的抢救原则为急性期抗凝、溶栓治疗、纠正右心功能不全、低血压和低氧血症。本例患者经胸部增强CT检查确诊肺栓塞后,即进行经静脉导管碎解及抽栓、溶栓术,迅速改善肺血流,恢复肺组织再灌注和逆转右心衰竭,增加肺毛细血管血容量,阻断患者病情进一步恶化,也是本例抢救成功的关键。另外,羊水栓塞除具有血栓栓塞的一般特征外,常合并有较严重的过敏反应,因此羊水栓塞后的抗过敏治疗非常重要。此外,积极预防和治疗继发于肺栓塞的多脏器功能衰竭、消化道出血,以及抗感染及对症支持治疗亦能使患者获得较好的转归。
2016, Vol. 25




