中华急诊医学杂志  2015, Vol. 25 Issue (4): 515-516
体外膜肺氧合支持下经纤维支气管镜介入治疗重度恶性肿瘤性气道狭窄3例
刘志贞, 陈恩国 , 闻胜兰, 应可净    
322000 浙江省义乌, 浙江大学医学院附属第四医院呼吸内科(刘志贞);
310020 杭州, 浙江大学医学院附属邵逸夫医院呼吸内科(陈恩国、闻胜兰、应可净)
Case report of using extracorporeal membrane oxygenation during high-risk interventional therapy by fibrobronchoscope on three patients with malignant tumor airway stenosis
Liu Zhizhen, Chen Enguo , Wen Shenglan, Ying Kejing    
Department of Respiratory Medicine, The Fourth Hospital Affiliated to Zhejiang University School of Medicine. Yiwu, 322000 China(Liu ZZ);
Department of Respiratory Medicine, The Sir Run Run Shaw Hospital, School of Medicine, Zhejiang University, Hangzhou, 310020 China (Chen EG, Wen SL, Ying KJ)
Corresponding author: Chen Enguo, Email: georgechen100@googlemail.com

肺癌、食管癌等常侵犯或压迫气管、支气管,严重气道狭窄甚至可直接导致窒息死亡。经支气管镜介入治疗已成为及时有效解除各种气道狭窄的首选治疗方法[1],但对于严重气道狭窄患者,术中极有可能并发严重低氧血症、呼吸心搏骤停等,治疗往往受到限制[2]。国外有一些病例报道,体外膜肺氧合(extracorporeal membrane oxygenation,ECMO)可用于小儿[3]及成人[4]严重气道狭窄时的支气管镜介入治疗,这种方式有效避免了术中低氧血症。本文报道了3 例恶性肿瘤引起的严重气道狭窄患者,在ECMO支持下顺利完成经支气管镜介入治疗,及时解除气道梗阻。

1 资料与方法

例1 患者女性,41岁,因“痰中带血1年,加重伴气急2个月”于2011 年11 月20 日入住邵逸夫医院。患者1年前确诊肺腺癌,拒绝手术及放化疗,长期口服中药。2个月前气急进行性加重,不能平卧。体格检查:呼吸促,右肺呼吸音低,左肺干啰音。胸部CT:右主支气管几乎完全闭塞,左主支气管开口腔内新生物,尚存狭小缝隙(图 1A)。纤维支气管镜:隆突黏膜浸润,右主支气管管腔堵塞,左主支气管腔内新生物,管腔明显狭窄,气管镜进入声门后十余秒,患者气急明显加重,不能耐受,遂停止检查。患者右主支气管完全闭塞,左主支气管亦严重狭窄,气管插管无法解决通气问题,遂选择行ECMO支持下经支气管镜支气管新生物切除术。患者取半卧位,采用股静脉-股动脉(V-A)模式,从右股静脉经皮穿刺置入F 22 号静脉插管引流,左股动脉经皮穿刺置入F16 号股动脉插管灌注。VA-ECMO启动后,立即静脉给予丙泊酚基础麻醉镇静,气管插管。循环系统预充:复方电解质注射液500 mL,高渗氯化钠羟乙基淀粉注射液200 mL,氨甲环酸注射液200 mL;转流新鲜血浆240 mL,红细胞2 U,肝素4 mg/kg,转流中监测平均动脉压(MAP)、SpO2。血流速度为2.5 L/min 左右,使SpO2保持在90% 以上。术中支气管镜示:右主支气管腔内新生物,隆突累及,右主支气管管腔基本堵塞,左主支气管腔内新生物,左主支气管管腔明显狭窄,左上下各段支气管管腔通畅,未见明显狭窄或新生物堵塞管腔(图 1BC)。予以左主支气管腔内肿块高频电圈套去除,根部予氩气刀治疗,过程顺利,治疗后左主支气管管腔基本通畅。遂停ECMO,鱼精蛋白中和肝素。待患者清醒后拔气管插管。患者术后胸闷气急明显好转,生命体征及SpO2平稳。给予埃克替尼靶向治疗肺癌,顺利出院,1个月后复查CT(图 1D)、气管镜(图 1EF)提示左主支气管管腔仍通畅。

图 1 A:术前胸部CT示,右肺肿块伴阻塞性肺炎,右主支气管几乎完全闭塞,左主支气管尚存狭小缝隙。图B:术前气管镜(隆突)示,右主支气管腔内新生物,隆突累及,右主管腔基本堵塞,左主可见新生物。图C:术前气管镜(左主支气管)示,左主支气管腔内新生物,左主支气管管腔明显狭窄。图D:术后胸部CT示,左主支气管狭窄较前明显好转。图E:术后气管镜(隆突),右主支气管仍几乎完全堵塞,左主支气管通畅。 图F:术后气管镜(左主支气管)示,左主支气管通畅,内侧壁新生物伴局部凹陷。

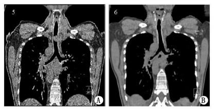
例2 患者男性,49 岁,因“确诊食管癌1年余,呼吸困难进行性加重1周”于2011年1月17 日入住邵逸夫医院。患者诊断食管癌1年余,曾行放疗1疗程,化疗7疗程。1周前出现气急进行性加重。体格检查:端坐呼吸,吸气时可见明显的三凹征,双肺双相干啰音,以胸骨柄处最明显。胸部CT:全内脏反位,气管中段腔内肿块,长约3 cm,管腔明显狭窄(图 2A)。入院后第2天患者呼吸困难进一步加重,面罩吸氧8 L/min下SpO2在 80%~85%,次日尝试支气管镜检查,患者根本无法耐受,气管镜连声门也进不了。遂选择ECMO支持下经支气管镜行气管支架植入术。采用股静脉-股动脉(V-A)模式,丙泊酚静脉麻醉镇静,循环系统预充:新鲜血浆100 mL,R-L液400 mL,肝素2 mg/kg,转流中监测MAP、SpO2。纤维支气管镜见气管中段管腔外压性狭窄伴腔内新生物,管腔基本堵塞,予顺利植入气管支架,镜下见原病变处管腔较前明显通畅。术后患者咳嗽气急症状明显缓解,1 d后复查胸部CT示:气管管腔通畅,支架位置良好(图 2B)。复查支气管镜:气管中段支架已完全张开,气管管腔通畅。随访1月无明显气急。

图 2 A:术前胸部CT平扫加重建示,胸廓入口处T2椎体水平食管左侧肿块,侵犯前方并向气管内生长,气管腔部分狭窄。B:术后第3天胸部CT平扫加重建示,气管内占位已未见,气管支架植入,气管腔通畅,未见明显狭窄或新生物。

例3 患者男性,60 岁,因“进食哽咽感1月,加重伴气急3 d”入院。胸部CT:气管中段管腔内肿块,气管狭窄,后纵膈肿物。予以吸氧等对症支持治疗,气急症状进行性加重。体格检查:呼吸急促,双肺双相干啰音。入院后予以高流量面罩吸氧下SpO2在 90% 左右。遂行ECMO下经支气管镜气管支架植入术,操作步骤同前,术后患者气急缓解。术后3 d行电子胃镜检查:进镜至食道距门齿18 cm处受阻,近全周粘膜呈不规则结节样隆起新生物,被覆灰白坏死苔,质脆易出血,伴该段食管狭窄,无法继续进镜,取活检3块。活检病理:食管癌侵犯气管(鳞癌)。予以对症支持治疗,呼吸平稳,有吞咽困难,出院后随访一月无明显气急。

2 讨论

本文报道了3例在邵逸夫医院成功开展的ECMO支持下经纤维支气管镜介入治疗重度恶性肿瘤性气道狭窄病例,介入治疗内容包括高频电圈套、氩气刀及气管支架植入术。国外有文献报道可在ECMO支持下经支气管镜介入治疗严重气道狭窄患者[5, 6, 7],国内罕见相关报道。

有文献统计就诊急诊室的肿瘤患者23.2%主诉是气急[8],严重恶性肿瘤性气道狭窄是临床并不少见的肿瘤急症,尽快解决气道狭窄才能帮助患者争取后续肿瘤针对性治疗如手术、放化疗等机会[9]。经支气管镜介入治疗是解除气道狭窄首选的治疗方法之一[10],但对于严重气道梗阻的患者,介入治疗随时有急性呼吸、循环衰竭的可能,此时体外膜肺氧合(ECMO)支持成了最佳选择。另外,介入治疗手段如高频电圈套、氩气刀等操作时,因安全因素患者往往不能吸氧,此时ECMO支持即可保证机体供氧,又不会引起操作风险。国外已有文献报道ECMO支持下对肺泡蛋白沉着症患者行经支气管镜肺泡灌洗治疗[11],或行气道异物取出治疗[12],或对气道占位患者行经支气管镜肿瘤清理术[2],还有对气道梗阻患者行气道支架植入治疗[5],表明ECMO可以保证术中患者有足够的氧供。

ECMO是一种无需开胸手术的呼吸循环支持技术,据转流方式不同主要分为静脉-静脉(V-V)、静脉-动脉(V-A)模式,其中V-V模式以支持肺功能为主,V-A模式可同时支持心、肺功能[13],蒋崇慧等[14]将ECMO用于危重心肌梗死患者的介入治疗,明显提高其存活率。选择V-A模式可以同时避免术中通气不足及心搏骤停带来的风险。

本文所用的ECMO技术与传统的ECMO有些不同。首先,麻醉方式不同,本研究选择静脉麻醉,并未使用肌松剂,虽然患者存在自主呼吸及咳嗽反应等会引起管道血流速度变化,从而影响体外氧合的效果,但患者自主呼吸可以适当弥补ECMO氧合的不足。其次,介入治疗操作时间短、改善通气起效快,所需ECMO支持时间短,在肝素化时使用的肝素剂量亦为传统剂量的一半,有助降低介入操作时气道出血的风险。治疗结束后患者存在自主呼吸,ECMO可很快停止工作,同时予以鱼精蛋白拮抗肝素以防止治疗部位出血。ECMO可帮助严重气道狭窄患者安全耐受经支气管镜介入治疗,通过更多临床实践的总结,有助于高难度支气管镜介入治疗的开展。

参考文献
[1] Alaaddin MS, Musab A, Dafalla MA. Airway foreign bodies: A critical review for a common pediatric emergency[J]. World J Emerg Med, 2016, 7(1):5-12. DOI: 10.5847/wjem.j.1920-8642.2016.01.001.
[2] Sento Y, Mizuno J, Abiko T, et al. Choice of induction with, or standby of, extracorporeal lung assist (ECLA) in anesthetic management of bronchoscopic yttrium-aluminium-garnet (YAG) laser treatment of airway tumor[J]. Masui, 2011, 60(9):1104-1108.
[3] Langham MR, Kays DW, Beierle EA, et al. Expanded application of extracorporeal membrane oxygenation in a pediatric surgery practice[J]. Ann Surg, 2003, 237:766-772. DOI: 10.1097/01.sla.0000067740.05989.45.
[4] Smith IJ, Sidebotham DA, McGeorge AD, et al. Use of extracorporeal membrane oxygenation during resection of tracheal papillomatosis[J]. Anesthesiology, 2009, 110(2):427-429. DOI: 10.1097/aln.0b013e3181943288.
[5] Ishikawa S, Yoshida I, Otani Y, et al. Intratracheal stent intubation under extracorporeal lung assist[J]. Surg Today, 1995, 25:995-997. DOI: 10.1016/s0003-4975(99)80016-2.
[6] Kurokawa S, Tobita T, Taga K, et al. Anesthetic management with veno-venous extracorporeal membrane oxygenator (VV-ECMO) in a patient with severe tracheobronchial stenosis[J]. Masui, 2000, 49:1242-1246. DOI: 10.2199/jjsca.30.58.
[7] Dexter ME, Cosgrove GP, Douglas IS. Managing a rare condition presenting with intractable hypoxemic respiratory failure[J]. Chest, 2007, 131(1):320-327. DOI: 10.1378/chest.06-1573.
[8] Muallaoglu S, Karagün O, Mertsoylu H, et al. Attributes of cancer patients admitted to the emergency department in one year[J]. World J Emerg Med, 2014, 5 (2): 85-90. DOI: 10.5847/ wjem.j.issn.1920-8642.2014.02.001.
[9] 周家明, 王实, 刘永军, 等. 临时性气管支架置入对严重压迫气管的2例甲状腺手术的报道[J].中华急诊医学杂志, 2015, 24(4):446-447. DOI:10.3760/cma.j.issn.1671-0282. 2015.04.027. Zhou JM, Wang S, Liu YJ, et al. Support effects of temporary airway stent placement to severe oppression airway in thyroid surgery[J]. Chin J Emerg Med, 2015, 24(4):446-447.
[10] Gattinoni L, Carlesso E, Langer T. Clinical review: extracorporeal membrane oxygenation[J]. Crit Care, 2011, 15(6):243. DOI: 10.1186/cc10490.
[11] Elliott SC, Ellen E,Michael RS. Pulmonary iratory failure treated with sequential whole-lung lavage utilizing venovenous extracorporeal membrane oxygenation: a case report and review[J]. Chest, 2001, 120(3):1024-1026. DOI: 10.1378/chest.120.3.1024.
[12] Romeo CI, Richard AF, Rebeccah LB. A case report of severe tracheal obstruction requiring extracorporeal membrane oxygenation. Journal of Pediatric Surgery, 2006, 41(10): e1-e4. DOI: 10.1016/j.jpedsurg.2006.06.021.
[13] 孙仁华, 呼邦传, 陈敏华, 等. ECMO联合CVVH替代治疗爆发性心肌炎1例[J]. 中华急诊医学杂志, 2014, 23(4): 445-448. DOI:10.3760/cma.j.issn.1671-0282.2014.04.022. Sun RH, Hu BC, Chen MH, et al. A young man with fulminant myocarditis survived by the extracorporeal membrane oxygenation support and renal replacement therapy[J]. Chin J Emerg Med, 2014, 23(4): 445-448.
[14] 蒋崇慧, 谢钢, 张励庭, 等. 急诊体外膜肺氧合辅助下危重心肌梗死的介入治疗[J]. 中国急救医学, 2008, 28(11):965-967. DOI:10.3969/j.issn.1002-1949.2008.11.002. Jiang CH, Xie G, Zhang LT, et al. Emergency extracorporeal membrane oxygenation for severely acute myocardial infarction patients undergoing percutaneous coronary intervention[J]. Chin J Crit Care Med, 2008, 28(11):965-967.