门静脉积气(portal venous gas, PVG)是急腹症一种罕见的伴发症,昆山市第一人民医院急诊医学科于2015年6月接诊一例肝门静脉积气病例,原发病为Ⅱ型糖尿病酮症酸中毒(DKA)和急性坏死性肠炎,现报道如下。
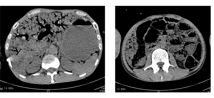
患者男性,46岁。突发持续性腹痛2 d加重6 h,伴恶心、腹胀、气急、气促。既往否认高血压、糖尿病、腹部手术史。发病前1个月患者食纳差,近3 d只进食饮料。初就诊于社区门诊,后因腹痛加重,急诊转入我院。查体:T 36.4 ℃,P 132次/min,BP 104/71 mmHg(1 mmHg=0.133 kPa),SPO2 100%。急性病容,精神萎靡,库斯莫尔呼吸,皮肤巩膜未见黄染,腹部稍膨隆,全腹压痛、反跳痛及腹肌紧张,腹部移动性浊音阴性,肠鸣音消失。实验室检查:血常规 白细胞 14.42×109 L-1,中性粒细胞94.7%;血气分析 pH 7.08,二氧化碳分压12.0 mmHg,氧分压170.0 mmHg,乳酸 8.4 mmol/L,实际碳酸氢盐3.6 mmol/L,标准碳酸氢盐6.4 mmol/L,剩余碱(B)-23.8 mmol/L;尿常规 比重1.010,葡萄糖14.0 mmol/L,酮体4.0 mmol/L;生化 谷丙转氨酶 31 U/L,谷草转氨酶 37 U/L,尿素氮12.9 mmol/L,肌酐193 μmol/L,葡萄糖55.6 mmol/L,二氧化碳 5.2mmol/L,钾4.2 mmol/L,钠142.2 mmol/L,钙2.48 mmol/L;血淀粉酶57 U/L。影像学检查:腹部CT提示肝内门脉系统明显积气扩张,积气形态沿门脉分支分布,门脉腹腔内分支也见积气扩张影像。肠腔积气、扩张,局部肠壁间可见多发气泡影像,肠壁坏死可能(图 1)。诊疗经过:给予患者液体复苏、控制血糖、纠正酸中毒、保留导尿、胃肠减压等治疗,并完善术前准备。入院1.5 h后患者突发血压下降,后经积极抢救无效,患者于入院2.5 h后死亡。
![]() |
| 图 1 患者腹部CT结果 |
讨论 PVG是一种常继发于肠道缺血性或坏死性疾病的伴发症状,因常合并有肠腔压力大,肠缺血坏死等情况,故一般需行手术治疗。PVG的形成原因主要有两种假说:
(1)肠腔内压力增高,消化道内微生物产生的气体经黏膜破损处溢入门脉系统;(2)肠黏膜屏障功能下降,产气菌侵及肠黏膜小静脉或直接上行至门静脉系统,从而造成门静脉积气。因腹部CT提供更客观及可靠的影像学依据,可作为诊断PVG的首选检查手段。目前在PVG治疗上宜早期行剖腹探查,切除病变或坏死肠道,术后予抗生素治疗。但如果无肠道坏死表现,且生命体征平稳,亦可在严密监测下行胃肠减压、抗感染、补液对症支持等保守治疗。本例患者出现PVG考虑为DKA合并急性肠梗阻所致肠缺血坏死后的并发症。其腹部CT中见肠腔积气、扩张明显,肠壁变薄且肠壁间可见多发气泡影像,高度提示肠道缺血坏死。故在诊断明确后积极完善术前准备,但终因患者病情危重,出现多器官功能衰竭而死亡。DKA合并肠梗阻在临床上较少见,其中伴发PVG者更是罕见。其病因复杂,起病急,病情危重,预后极差,临床医生应早期诊断,多学科积极配合治疗,以提高此类患者的治愈率。
2016, Vol. 25



