急性呼吸窘迫综合征(ARDS)是由于弥漫性肺泡、毛细血管膜损伤导致的以非心源性肺水肿和炎症为病理特征的急性呼吸衰竭,是临床危重症,虽然经过近100年的不断医学探索,但其病死率高达40%~50%[1]。肺脂肪栓塞(pulmonary fat embolism,PFE)的诊断标准是肺实质中发现脂肪滴,多发生于长骨骨折、吸脂术患者中,严重者可引发ARDS。本实验旨在观察骨髓脂肪进入肺循环后出现的临床症状、病死率、动脉血氧分压(PO2)、动脉二氧化碳分压(PCO2)、游离脂肪酸(FFA)、肺组织病理改变,采用甲强龙、低分子肝素干预治疗后观察以上指标的变化,为临床诊断治疗PEF引起的ARDS提供帮助。
1 材料与方法 1.1 实验动物选用健康清洁级成年新西兰白兔42只(雌雄不限),兔龄(150±12) d,体质量(2.5±0.3)kg,购自河北医科大学动物实验中心,于河北医科大学第三医院清洁动物实验室饲养,每笼3只,室温控制在20~25 ℃,通风干燥安静。
1.2 实验方法 1.2.1 骨髓脂肪的制备将同种异体新西兰白兔处死后,无菌条件下,从四肢长骨骨髓腔内刮取骨髓,收集后使用超细匀浆机分散乳化,初步乳化后再使用超声细胞破碎仪充分破膜,液化的油脂混合物置于4 ℃低温离心机中以4 000 r/min离心40 min,取上层透明均一的橙黄色油脂,-80 ℃保存备用。使用前放置于37 ℃恒温水浴箱内,融解充分、漩涡仪匀质后使用。
1.2.2 试验动物与分组、模型制作、药物干预健康清洁级成年新西兰白兔42只(雌雄不限),随机(随机数字法)分为A组、B组和C组,每组14只。A组:单纯经股静脉注射骨髓脂肪。将兔仰卧位捆绑固定于兔台上,在清醒状态下于右腹股沟备皮,消毒,铺无菌手术单,用2%利多卡因1 mL作股静脉处麻醉切开皮肤,行股静脉穿刺成功并固定。将骨髓脂肪置于37 ℃恒温水浴箱内,脂肪呈现淡黄色清亮油状,用500 μL 微量注射器经股静脉以0.05 mL/min的速度持续缓慢注射0.8 mL/kg,缓慢注射保证脂肪滴直径在20~30 mm,避免形成过大脂肪滴,压迫止血,缝合皮肤。将新西兰白兔放回原笼中正常饲养24 h,并密切观察。B组:于骨髓脂肪注射前1 h(注射甲强后1 h血药浓度达峰值)及之后12 h分别在兔耳内静脉注射甲强龙1 mg/kg,(为成人治疗量的小剂量),其余操作步骤按A组操作。C组:于骨髓脂肪注射前3 h(皮下注射低分子肝素钠后3 h血药浓度达峰值)、术后12 h,分别给予FLUXM 300 U/kg(为成人治疗量)在兔腹部皮下注射,其余操作步骤按A组操作。
1.3 观察指标(1)各组病死率:按0.5、1、4、8、24 h比较病死率。(2)测定PO2,PCO2:在骨髓脂肪注射前和注射后0.5、4、8、24 h,分别抽取肝素抗凝左股动脉血1.0 mL用自动血气分析仪测定,死亡兔子不再抽血化验。(3)血浆游离脂肪酸:在骨髓脂肪注射前和注射后1、4、8、24 h,抽取肝素抗凝静脉血1.0 mL,高速离心后,分离出血浆0.4 mL,行血浆游离脂肪酸分析(气相色谱法)。(4)于栓塞后24 h处死三组存活新西兰白兔,取正常新西兰白兔2只和三组存活实验新西兰白兔肺组织行大体标本观察,冰冻切片改良油红O染色及4%甲醛固定,石蜡包埋切片苏木精-伊红(HE)染色和Masson三色染色。
1.4 统计学方法采用SPSS 13.0软件统计,病死率进行χ2检验。血气分析指标PO2 、PCO2,FFA酸作t检验,同组间作配对t检验,不同组之间作两样本均数比t检验。
2 结果3组死亡兔均表现为呼吸急促、过度通气、抽搐、死亡,24 h内病死率以A组最高,为8只,B组1只,C组6只。3组1 h内共死亡14只,占总病死率的93.3%。其中A组与B组相比χ2检验,差异具有统计学意义(P < 0.01),而C组与A组相比χ2检验,差异无统计学意义(P>0.05)。3组病死率比较见表 1。
| 组别 | 只数 | 栓塞后时间(h) | |||||
| 0.5 | 1 | 4 | 8 | 24 | 合计 | ||
| A组 | 14 | 4 | 3 | 1 | 0 | 0 | 8 |
| B组 | 14 | 0 | 1 | 0 | 0 | 0 | 1 |
| C组 | 14 | 3 | 3 | 0 | 0 | 0 | 6 |
| 注: B组与A组比较,χ 2=8.023 3, P<0.01;C组与A组比较,χ 2=0.571 4, P>0.05 | |||||||
动脉血氧分压PO2:3组均以注射脂肪后0.5hPO2最低,与注射脂肪前比同组间差异具有统计学意义(P < 0.01),此后逐渐升高。注射脂肪后0.5hB与A组之间两样本均数比较,差异具有统计学意义(P < 0.01)。注射脂肪后0.5hC与A组之间两样本均数比较,差异无统计学意义(P>0.05)。见表 2。
| 组别 | 只数 | 栓塞前 | 栓塞后时间(h) | |||
| 0.5 | 4 | 8 | 24 | |||
| A组 | 6 | 12.2±0.59 | 9.2±0.73 a | 9.9±0.69 | 10.2±0.69 | 10.9±0.71 |
| B组 | 13 | 12.3±0.60 | 10.6±0.55 ab | 11.2±0.57 | 11.8±0.68 | 12.1±0.61 |
| C组 | 8 | 12.3±0.63 | 9.6±0.61 ac | 10.4±0.62 | 10.8±0.62 | 11.1±0.61 |
| 注:A、B、C 3组组间配对比较, a P<0.01 ;B、A两组之间两样本均数比较, b P<0.05 ;C、A 两组之间两样本均数比较, c P>0.05 | ||||||
动脉血二氧化碳分压PCO2:3组均以注射脂肪后0.5hPO2最低,与注射脂肪前比同组间比较,差异具有统计学意义(P < 0.01)。注射脂肪后0.5hB与A组之间两样本均数比较,差异具有统计学意义(P < 0.01)。注射栓塞后0.5hC与A组之间两样本均数比较,差异无统计学意义(P>0.05),见表 3。
| 组别 | 只数 | 栓塞前 | 栓塞后时间(h) | |||
| 0.5 | 4 | 8 | 24 | |||
| A组 | 6 | 5.6±0.62 | 3.9±0.58 a | 4.3±0.65 | 4.6±0.58 | 5.1±0.59 |
| B组 | 13 | 5.4±0.49 | 4.5±0.51 ab | 4.7±0.51 | 5.3±0.49 | 5.4±0.50 |
| C组 | 8 | 5.5±0.53 | 4.0±0.61 ac | 4.4±0.62 | 4.9±0.49 | 5.3±0.52 |
| 注:A、B、C 3组组间配对比较, a P<0.01 ; B、A两组之间两样本均数比较, b P<0.05; C、A 两组之间两样本均数比较, c P>0.05 | ||||||
血浆游离脂肪酸(FFA):3组存活家兔血浆游离脂肪酸A、C组注射脂肪后4 h最高,B组注射脂肪后8 h最高,与前比同组间差异具有统计学意义(P < 0.01)。注射脂肪后4 h、8hB与A组之间两样本均数比较差异具有统计学意义(P < 0.01)。注射脂肪后4h C与A组之间两样本均数比较,差异无统计学意义(P>0.05),见表 4。
| 组别 | 只数 | 栓塞前 | 栓塞后时间(h) | |||
| 1 | 4 | 8 | 24 | |||
| A 组 | 6 | 364±51 | 495±61 | 669±49 a | 623±53 a | 482±63 |
| B 组 | 13 | 361±53 | 465±52 | 480±47 ab | 501±61 ab | 436±57 |
| C 组 | 8 | 360±52 | 482±49 | 645±51 ac | 598±56 a | 469±51 |
| 注:A、B、C 3组组间配对比较, a P<0.01 ; B、A两组之间两样本均数比较, b P<0.05; C、A两组之间两样本均数比较, c P>0.05 | ||||||
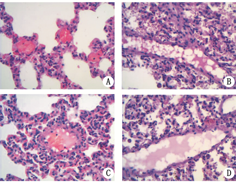
大体肺组织标本检查:3组存活的新西兰白兔经解剖后肉眼观察,双肺有不同程度的弥慢性充血性水肿,呈暗红色,呈肝样变,弹性降低,肺质量增加,切面见组织肿胀,结构松散,切面见浅血性液体渗出。病变程度:A组>C组>B组。肺组织冰冻切片的改良油红O 染色:3组存活的新西兰白兔经解剖后,取右肺下叶新西兰白兔的新鲜肺组织行恒温冷冻切片后改良油红O染色,均于肺小血管腔内见橘红色脂肪滴,200倍光镜下经计算脂肪滴数A组>C组>B组。肺石蜡包埋HE染色:3组存活的新西兰白兔经解剖后,取右肺上叶左肺下叶用4%甲醛固定,石蜡包埋后HE染色,见栓塞肺毛细血管内皮肿胀,血管壁增厚。肺泡间质水肿,炎性细胞细胞浸润,中性粒细胞为主。部分肺泡壁完整性缺失,基膜断裂,肺泡腔内可见淡粉红色水肿液。病变程度:A组>C组>B组,未栓塞正常兔肺组织正常,其肺血管内为见脂肪,见图 1。
![]() |
| A:正常家兔肺组织切片,血管内无脂肪栓子肺组织结构正常;B:骨髓脂肪栓塞对照组家兔肺组织切片;C:甲强龙治疗组骨髓脂肪栓塞后肺组织切片;D:低分子肝素治疗组骨髓脂肪栓塞后兔肺组织切片 图 1 各组家兔肺组织切片(HE×200) |
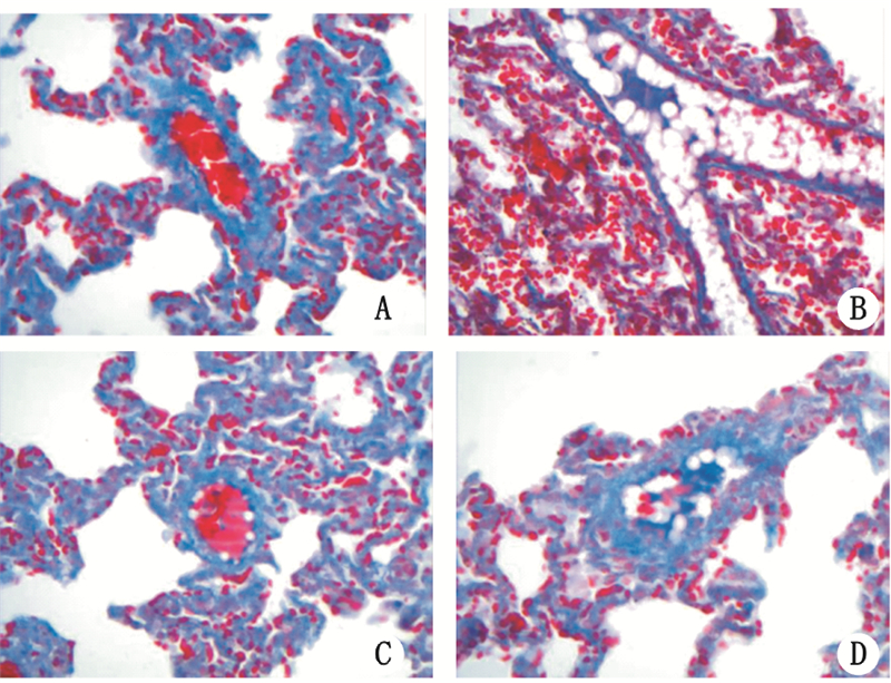
肺石蜡包埋Masson染色(观察弹性纤维):3组存活的家兔经解剖后,取右肺中叶、左肺上叶新西兰白兔的新鲜肺组织用4%甲醛固定,石蜡包埋后Masson染色,见部分栓塞血管周围有弹性纤维断裂现象,但无纤维增多,病变程度:A组>C组>B组,未栓塞正常兔肺组织Masson染色正常,见图 2。
![]() |
| A:正常家兔肺组织切片,血管内无脂肪栓子肺组织结构正常;B:骨髓脂肪栓塞对照组家兔肺组织切片;C:甲强龙治疗组骨髓脂肪栓塞后肺组织切片;D:低分子肝素治疗组骨髓脂肪栓塞后兔肺组织切片 图 2 各组家兔肺组织切片(Masson ×200) |
本实验选用同种新西兰白兔骨髓脂肪作为栓子模拟骨折后PFE引起ARDS的发病机制,包括机械阻塞理论、循环障碍凝结理论、生物化学理论、炎症反应理论 [2, 3, 4, 5, 6]。既往认为脂肪栓塞及其引起的ARDS无特异性治疗方案[1, 7, 8, 9]。本实验选择病死率为衡量指标之一,其注入脂肪量的选择参考了张伯勋等[10] 和马庆侠等[11]的研究,选定了0.8 mL/kg为注入量,由表 1可见脂肪栓塞后,无干预治疗组的死亡情况为8/14,接近半数致死率,甲强龙治疗组、低分子肝素钠治疗组死亡情况有所下降,分别为1/14,6 /14。由表 2、3可见PO2、PCO2在脂肪栓子注入后的变化符合脂肪栓塞综合征的过度通气、低氧或Ⅰ型呼吸衰竭,药物干预治疗后上述指标改善。由表 4及组织学检查所见表明上述药物的干预治疗效果从生化水平及组织病理结构中均有表现。
糖皮质激素(glucocorticoid,GCs)由于病因和发病机制的不同导致它对肺的保护作用与疗效研究数据差距相差较大。但近期的多项大型临床研究及Meta分析证实GCs对ARDS临床治疗有效 [12, 13]。
本实验甲强龙治疗组结果显示较脂肪栓组相比病死率降低,PO2 、PCO2的降低值,FFA的升高值比脂肪栓塞组差异具有统计学意义,组织病理观察血管内脂肪滴比其他2组少,组织损伤程度低。分析结果产生的机制,甲强龙可通过抑制核因子(nuclear factor,NF)-κB的p65亚单位使白介素(interleukin,IL)-1、肿瘤坏死因子(tumor neerosis factor,TNF)-α等诸多参与炎症反应的细胞因子产生减少[14, 15]。GCs能稳定溶酶体膜,减少应激时各种细胞因子和溶酶体酶对细胞的损伤;GCs能降低肺毛细血管内皮细胞的通透性,减少肺间质水肿和透明膜形成所致的弥散障碍[16, 17]。
低分子肝素(low molecular weight heparin,LMWH)通过与抗凝血酶结合使凝血因子Ⅹa和凝血因子Ⅱa失活而起到抗凝作用。现已知其可通过多种机制或途径起到抗炎作用,并对炎症级联反应中的多种炎症介质有抑制作用[18, 19]。ARDS时肺内存在明显的血液循环异常,给予及时的抗凝溶栓治疗则可明显改善ARDS的低氧血症和肺内损伤程度[20]。根据以上理论LMWH应有防治作用,但本实验结果示C治疗组与对照组A虽差异无统计学意义,但C治疗组病死率降低,PO2 、PCO2的降低,FFA的升高比A组差异具有统计学意义。
综上所述,甲强龙对FE引起的ARDS有预防及治疗的作用,LMWH有益但作用不如甲强龙显著。
| [1] | Rubenfeld GD, Caldwell E, Peabody E, et al.Incidence and out-comes of acute lung injury[J].N Engl J Med, 2005, 353(16):1685-1693.DOI: 10.1056/NEJMoa050333. |
| [2] | 陆慰萱, 王辰. 肺循环病学[M]. 北京:人民卫生出版社. 2007.514-518. Lu WX, Wang C. Pulmonary vascular medicine[M].Beijing:People’ s Medical Publishing House.2007.514-518. |
| [3] | 赵金垣.化学性急性呼吸窘迫综合征临床研究进展[J]. 中华劳动卫生职业病杂志, 2010, 28(2):154-161.DOI:10.3760/cma.j.issn.1001-9391.2010.02.034. Zhao JY.Advance in clinical research on chemical acute respiratory distress syndrome[J].Chin J Ind Hyg Occu Dis, 2010, 28(2):154-161. |
| [4] | 李亚华, 陈刚, 赵瑞贞, 等.骨折后脂肪栓塞综合征患者肌酶肌钙蛋白ID-二聚体肺CT变化[J].中国急救医学,2013, 33(3):220-225.DOI:10.3969/j.issn.1002-1949.2013. 3. 008. Li YH, Chen G, Zhao RZ, et al.Changes of muscle enzymes, troponin I, D-dimer, lung CT in the patients with fat embolism syndrome after fracture[J].Chin J Crit Care Med, 2013, 33(3):220-225. |
| [5] | Arand M, Melzner H, Kinzl L, et al.Early inflammatory mediator response following isolated traumatic brain injury and other major trauma in humans[J].Langenbecks Arch Surg, 2001, 386(4):241-248.DOI:10.1007/s004230100204. |
| [6] | 尚嘉伟, 刘溪, 魏海玲, 等. 小鼠急性脂肪栓塞综合征模型中炎症因子及炎症信号通路的激活[J].上海交通大学学报:医学版, 2013, 33(2) :140-145.DOI:10.3969/j.issn. 1674-8115.2013.02.003. Shang JW, Liu X, Wei HL, et al.Activation of proinflammatory cytokines and transduction pathways in acute fat embolism syndrome mouse model[J].J Shanghai Jiaotong Univ (Med Sci), 2013, 33(2) :140-145. |
| [7] | 尹国强, 郝进芳, 任广城, 等. 39 例创伤性脂肪栓塞综合征患者的救治分析[J]. 中华急诊医学杂志,2005, 14(11):952-955.DOI:10.3760/j.issn:1671-0282.2005.11.026. Yin GQ, Hao JF, Ren GC, et al.Treatment of 39 cases with traumatic fat embolism syndrome[J].Chin J Emerg Med, 2005, 14(11):952-955. |
| [8] | 陈辉, 陈仲清, 傅卫军, 等.12例脂肪栓塞综合征的诊治[J]. 中华创伤骨科杂志,2008, 10(8):799-780.DOI:10.3760/cma.j.issn.1671-7600.2008.08.026. Chen H, Chen ZQ, Fu WJ, et al.Treatment of 12 cases of fat embolism syndrome[J].Chin J Ortho Trauma, 2008, 10(8):799-780. |
| [9] | Habashi NM, Andrews OL, Scalea TM.Therapeutic aspects of fatembolism syndrome[J].Injury, 2006, 37 Suppl 4:S68-73.DOI:10.1016/j.injury.2006.08.042. |
| [10] | 张伯勋, 腾青山, 马承宣, 等.用骨髓脂肪建立脂肪栓塞综合征动物模型[J].解放军医学杂志,1995, 20(1) :52-54. Zhang BX,Teng QS,Ma CX,et al.The experimental reproduction of an animal model of fat embolism syndrome with bone marrow fat[J].Med J Chin PLA, 1995, 20(1) :52-54. |
| [11] | 马庆侠, 王爱忠, 江伟, 等.大鼠脂肪栓塞模型的建立及半数致死量的测定[J]. 上海医学,2009, 32(11) :949-952. Ma QX, Wang AZ, Jiang W, et al.Establishing fat embolism rat model and determination of half lethal dose[J].Shanghai Med J, 2009, 32(11) :949-952. |
| [12] | 刘玲, 李佳, 邱海波, 等.应激剂量糖皮质激素对合并危重病相关皮质醇不足的急性呼吸窘迫综合征患者的影响[J]. 中华内科医学杂志, 2012, 51(8):599-603. DOI:10.3760/cma.j.issn.0578-1426.2012.08.007. Liu L, Li J, Qiu HB, et al.The effect of stress dose glucocorticoid on patients with acute respiratory distress syndrome combined with critical illness-related corticosteroid insufficiency[J].Chin J Inter Med, 2012, 51(8):599-603. |
| [13] | 王洁心, 胡琼瑶, 丁超峰,等. 糖皮质激素对成人急性呼吸窘迫综合征疗效的Meta分析[J]. 中华急诊医学杂志,2010, 19(1):83-88.DOI:10.3760/cma.j.issn.1671-0282. 2010.01.023. Wang JX, Hu QY, Ding CF, et al. Effects of glucocorticoids on acute respiratory distress syndrome in adults patients: meta-analysis[J].Chin J Emerg Med, 2010, 19(1):83-88. |
| [14] | Robert N. Molecular mechanisms of glucocorticoid action: what is important [J].Thorax, 2000,55 (7):603-613.DOI: 10.1136/thorax.55.7.603. |
| [15] | van Leeuwen HJ, van der Bruggen T, van Asbeck BS, et al.Effect of corticosteroids on nuclear fatter-kappa B activation and hemodynamics in late septic shock[J].Crit Care Med, 2001, 29 (5):1074-1077.DOI: 10.1097/00003246-200105000-00041. |
| [16] | Meduri GU,Kanangat S.Glucorticoid treatment of sepsis and acute respiratory distress syndrome:Time for a critical reappraisa1[J].Crit Care Med, 1998, 26 (4):630-633.DOI: 10.1097/00003246-199804000-00003. |
| [17] | Meduri GU.Duration of glucocorticoid treatment and outcome in sepsis[J].Chest, 1998, 114 (2):355-356.DOI: 10.1378/chest.114.2.355-a. |
| [18] | 付潇潇, 刘群, 耿辉. 低分子肝素联合表皮细胞生长因子对吸入性损伤大鼠肺治疗效果的研究[J].中华损伤与修复杂志:电子版,2009, 4(5):532-537.DOI:10.3969/j.issn.1673-9450.2009.05.006. Fu XX,Liu Q,Gen H.Protective effect of low molecular weight heparin and epidermal growth factor in smoke inhalation injury in rats’ model[J].Chin J Injury Rep wound Heal(Electronic Edition), 2009, 4(5):532-537. |
| [19] | 张洁,邸立军,宋国红,等.低分子肝素治疗恶性肿瘤并发深静脉血栓剂量及疗效的初步研究(附27例分析)[J].实用肿瘤杂志,2012,27(3): 267-270.DOI:10.13267/j.cnki.syzlzz.2012.03.022. Zhang J, Di LJ, Song GL, et al. Clinical significance of low molecule heparin for treatment of cancer patients with dep venous embolism[J]. J Pract Oncol, 2012,27(3): 267-270. |
| [20] | 陈莉, 赵金垣, 徐融, 等.油酸型急性呼吸窘迫综合征肺血液流变学变化及其意义探讨[J].中国工业医学杂志, 2000, 13(3):129-131.DOI:10.3969/j.issn.1002-221X. 2000.03.001. Chen L, Zhao JY, Xu R, et al.Hemorheologic change in pulmonary circulation blood of oleic acid-induced acute respiratory distress syndrome[J].Chin J Ind Med, 2000, 13(3):129-131. |
2015, Vol. 25




