百草枯(paraquat,PQ)是世界范围内广泛使用的有机杂环类接触性脱叶剂及除草剂[1],对人畜有较强毒性,吸收后以肺内含量最高,急性肺泡炎和迅速进展的肺间质纤维化,是PQ中毒的主要死因。PQ中毒急性肺损伤的机制尚不完全清楚,目前认为炎症反应在PQ中毒中发挥了重要作用[2,3]。不规则趋化因子(fractalkine,FKN,又称CX3CL1)属趋化因子CX3C亚族,具有促进白细胞的黏附、转运,影响活性氧簇,加快炎性因子渗出等多种生物学作用,参与了多种炎性疾病的发生及发展过程,包括肺部疾病[4,5,6,7],但其与PQ中毒肺损伤的相关研究却罕见报道。本实验通过观察PQ染毒早期不同时间点肺组织中FKN的表达及变化,探讨FKN与PQ致大鼠急性肺损伤的关系,为研究PQ中毒急性肺损伤的发病机制提供依据。
1 材料与方法 1.1 主要试剂及实验地点主要试剂:20%百草枯溶液(江苏南通先正达药业),大鼠Fractalkine ELISA试剂盒、兔抗大鼠CX3CL1多克隆抗体(武汉博士德生物工程有限公司),免疫组化试剂盒(北京中杉金桥生物技术有限公司)。实验地点:中国医科大学附属盛京医院实验中心。
1.2 动物模型制作及标本采集 1.2.1 动物模型制作SPF级健康成年雄性SD大白鼠66只(由中国医科大学附属盛京医院动物实验中心提供),适应性喂养1周,体质量(392±38)g。将66只大鼠随机(随机数字法)分成染毒组(36只)和对照组(30只)。染毒组以PQ 22 mg/kg腹腔注射染毒,对照组给予等量的生理盐水。每组按观察时间点(染毒后6、12、24、72、120 h)随机分(随机数字法)为5个亚组,染毒72 h组8只大鼠,染毒120 h组10只,其他亚组各6只。至观察终点,染毒72 h组死亡2只,染毒120 h组死亡3只,均剔除实验。染毒120 h组,1只大鼠因在麻醉过程中死亡,亦剔除实验。各亚组均保留6只入组观察。
1.2.2 标本采集麻醉前称质量,10%水合氯醛300 mg/kg腹腔注射麻醉。腹主动脉采血约5 mL放入离心管中(静置30 min,3 500 r/min,离心15 min),留取上清液,置于-80 ℃冰箱保存。放血处死后,迅速打开胸腔,取出完整肺组织,冰生理盐水漂洗,滤纸吸干表面水分,称量肺组织湿质量。左侧肺组织投入液氮冷冻,并置于-80 ℃冰箱保存。右侧肺组织置于中性甲醛中固定24 h后,切取约1 cm×1 cm×0.5 cm大小,常规石蜡包埋。
1.3 肺脏系数测定肺脏系数=肺湿质量(g)/体质量(kg)。
1.4 血清及肺组织匀浆FKN浓度测定(ELISA法)冰冻的血清及肺组织标本先于4 ℃冰箱解冻。制备肺组织匀浆:切取质量约100 mg肺组织,以每克肺组织加入9 mL PBS缓冲液的比例,冰浴下眼科剪剪碎,匀浆机充分匀浆(每次15 s,间隙30 s,连续3~5次),置EP管中离心(4 ℃,3 000 r/min,15 min),吸取上清液置于EP管中。实验步骤严格按照试剂盒说明操作,应用Curve 1.4软件绘制标准曲线并计算浓度。
1.5 肺组织病理学观察4 μm切片,HE染色,光学显微镜下观察。
1.6 肺组织FKN免疫组化染色采用链霉亲和素-生物素标记法(SABC)进行染色,实验步骤严格按照试剂盒说明进行。一抗兔抗大鼠CX3CL1多克隆抗体稀释浓度为1∶ 50。镜下随机选取3个高倍视野,以胞质/胞膜出现棕黄色颗粒为阳性,运用免疫组化分析软件(NIS-Elements Br 3.0)进行图像分析,分别计算每个视野阳性染色的平均吸光度值(MOD),取其平均数进行统计学处理。
1.7 统计学方法应用SPSS 19.0软件处理数据。统计量以均数±标准差(x±s)表示,数据比较采用单因素方差分析,两组间数据比较采用LSD-t检验。相关性分析采用Pearson相关分析。以P<0.05为差异具有统计学意义。
2 结果 2.1 实验动物观察对照组大鼠观察期内无明显变化,活动敏捷,饮食正常,反应正常,毛发光滑,体质量增加或无明显改变。染毒组大鼠染毒后逐渐开始出现活动减少、进食进水减少、精神萎靡,皮毛蓬松,部分大鼠甚至在口鼻及肢端出现血性分泌物,有呼吸急促、呼吸困难等缺氧表现,严重者死亡。
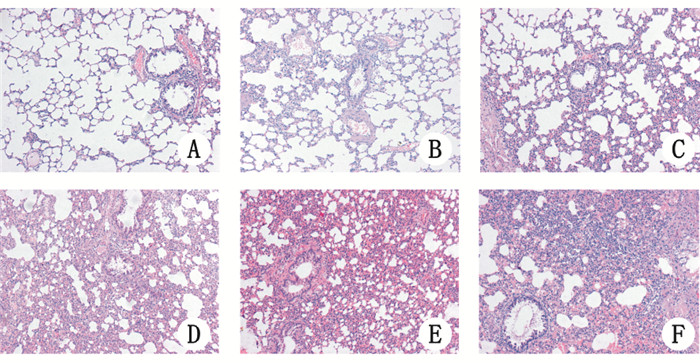
2.2 肺组织病理变化对照组肺组织结构正常,肺泡结构清晰,未见破坏,无充血水肿,无炎性渗出及炎细胞浸润。染毒组出现急性肺损伤表现。染毒后6 h即可见少量炎性细胞浸润,轻度肺泡间隔增宽,但肺泡结构清晰,无充血水肿;此后随观察时间延长,病情进行性加重,炎性细胞浸润进行性增多(主要有中性粒细胞、淋巴细胞及巨噬细胞等),肺泡间隔逐渐增宽,12 h起肺泡及间隔局部充血并逐渐加重,24 h起肺泡结构开始出现明显破坏且程度逐渐加重;至120 h,肺泡结构破坏严重,肺泡不张,辨认不清,大量炎性细胞聚集,少部分组织出现纤维化改变。见图 1。
![]() |
| A:对照组;B:染毒后6 h组;C:染毒后12 h组;D:染毒后24 h组;E:染毒后72 h组;F:染毒后120 h组 图 1 各组大鼠肺组织病理变化(HE×100) Fig 1 The pathological changes of rat lung tissue in each group(HE×100) |
对照组肺脏系数在各观察时间点无明显变化。染毒组肺脏系数在染毒后6、12、24、72、120 h呈逐渐增高趋势,明显高于对照组,差异具有统计学意义(P<0.01);染毒组在染毒后12、24、72及120 h与前一个观察时间点比较有明显增高(12 h及120 h时P<0.05,24 h及72 h时P<0.01)。见表 1。
| (x± s ) | |||||
| 组别 | 例数 | 肺脏系数 | 血清FKN质量浓度(pg/mL) | 肺组织匀浆FKN质量浓度(pg/mL) | 肺组织FKN平均吸光度 |
| 对照组 | |||||
| 6 h | 6 | 4.49±0.20 | 121.7±12.8 | 2 860.2±477.3 | 0.143±0.008 |
| 12 h | 6 | 4.28±0.13 | 121.6±12.1 | 3 068.9±446.0 | 0.144±0.008 |
| 24 h | 6 | 4.45±0.17 | 118.3±14.0 | 3 168.7±728.5 | 0.139±0.007 |
| 72 h | 6 | 4.31±0.19 | 122.8±12.4 | 3 178.0±488.2 | 0.139±0.008 |
| 120 h | 6 | 4.31±0.16 | 120.5±8.8 | 3 147.3±426.6 | 0.144±0.006 |
| 染毒组 | |||||
| 6 h | 6 | 5.03±0.07b | 140.9±15.8a | 4 222.0±641.1b | 0.164±0.006b |
| 12 h | 6 | 5.17±0.10bc | 157.9±17.6b | 5 021.0±514.5bc | 0.172±0.006bc |
| 24 h | 6 | 5.46±0.10bd | 188.8±24.8bc | 5 911.6±478.1bc | 0.191±0.007bd |
| 72 h | 6 | 5.68±0.15bd | 224.4±18.1bd | 7 092.2±652.9bd | 0.201±0.006bd |
| 120 h | 6 | 5.83±0.11bc | 229.9±10.0b | 7 639.3±666.6b | 0.209±0.006bc |
| 注:与对照组比较,aP<0.05,bP<0.01;与前一观察时间点比较,cP<0.05,dP<0.01 | |||||
对照组在各观察时间点无明显变化。染毒组在染毒后6、12、24、72、120 h呈逐渐增高趋势,明显高于对照组,差异具有统计学意义(6 h时P<0.05,12、24、72及120 h时P<0.01);染毒组在染毒后24 h及72 h与前一个观察时间点比较有明显增高(24 h时P<0.05,72 h时P<0.01)。见表 1。
2.4.2 肺组织匀浆FKN含量对照组在各观察时间点无明显变化。染毒组在染毒后6、12、24、72、120 h呈逐渐增高趋势,明显高于对照组,差异具有统计学意义(P<0.01);染毒组在染毒后12、24及72 h与前一个观察时间点比较有明显增高(12 h及24 h时P<0.05,72 h时P<0.01)。见表 1。
2.5 FKN在肺组织中的表达FKN主要表达于支气管和肺泡上皮细胞、肺小动脉内皮细胞中,在对照组中仅少量表达,染毒组中表达量增多,镜下阳性浓染的区域炎性细胞浸润增多。肺组织FKN相对表达,对照组在各观察时间点无明显变化;染毒组在染毒后6、12、24、72、120 h呈逐渐增高趋势,明显高于对照组,差异具有统计学意义(P<0.01);在染毒后12、24、72及120 h与前一个观察时间点比较有明显增高(12 h及120 h时P<0.05,24 h及72 h时P<0.01)。见图 2。
![]() |
| A:对照组;B:染毒后6 h组;C:染毒后12 h组;D:染毒后24 h组;E:染毒后72 h组;F:染毒后120 h组 图 2 各组大鼠肺组织FKN免疫组化染色结果(SABC×400) Fig 2 The expression of FKN in lung tissue of each group by immunohistochemical staining(SABC×400) |
肺组织匀浆FKN含量与肺脏系数的变化趋势相同,均从染毒后6 h开始增高,至120 h仍呈逐渐增高趋势,应用Pearson相关分析得出二者呈正相关(r=0.937,P<0.01)。
2.6.2 血清FKN含量与肺组织匀浆FKN含量的相关性 血清FKN含量与肺组织匀浆FKN含量的变化趋势一致,均从染毒后6 h开始增高,至120 h仍呈逐渐增高趋势,应用Pearson相关分析得出二者呈正相关(r=0.968,P<0.01)。见图 3。![]() |
| 图 3 检测指标的相关性分析 Fig 3 The correlation between parameters determined |
FKN是趋化因子CX3C亚族里的唯一成员[6,7,8],在20世纪90年代末期被发现,由Bazan等学者从美国国家生物技术信息中心(NCBI)的表达序列标签(EST)库中经Blast分析法得到。FKN主要表达在内皮细胞及上皮细胞,具有膜结合型和可溶型两种形式。跨膜受体CX3CRl分子是趋化因子FKN的特殊受体。膜结合型FKN既有趋化作用又有黏附功能,介导俘获快速血流中其受体CX3CR1阳性的白细胞,还能激活它们,同时又能诱导所表达的内皮细胞活化,促使白细胞与这些活化的内皮细胞黏附,且黏附过程无需整合素介导。当膜结合型FKN被溶蛋白性裂解后以游离的形式释放,对多种炎性细胞表现出强烈的趋化作用。FKN的特异性受体CX3CR1属于G蛋白耦联受体超家族,当FKN与受体CX3CR1结合以后,可以通过与G蛋白耦联,启动细胞内信号转导机制,从而产生相应的生物学效应。
在本实验中,分别对血清可溶型FKN及肺组织匀浆中结合型FKN进行了定量检测。结果显示,染毒组大鼠肺组织匀浆FKN含量及血清FKN含量在各观察时间点均明显高于对照组,从6 h开始增高,至120 h仍呈进行性增高趋势。该结果,同肺脏系数变化趋势相同。肺脏系数的大小与肺及体质量有关,是反应肺水肿的测量指标之一,肺脏系数增大,体现肺水肿加重、肺损伤加重。病理学观察证实,在急性百草枯中毒早期,肺组织出现炎性细胞浸润、充血水肿、结构破坏等急性肺损伤表现,随时间推移逐渐加重,甚至局部出现纤维化改变。实验中肺组织匀浆FKN含量与肺脏系数呈正相关,证实了FKN的表达同肺损伤程度的一致性,说明FKN与急性PQ中毒早期肺损伤的发病过程紧密相关。镜下观察,FKN主要表达于支气管和肺泡上皮细胞及肺小动脉内皮细胞,对照组中仅少量表达,但在染毒组中随着肺损伤加重,FKN染色加深,表达增多。推测PQ中毒早期肺损伤时,刺激诱导了肺组织中结合型FKN的表达。实验中得出,血清可溶型FKN与肺组织匀浆中结合型FKN的含量呈正相关,说明结合型FKN活化后裂解释放入血,使血清可溶型FKN增多。镜下仍观察到,FKN表达增多的区域炎性细胞浸润增多,说明FKN被激活后促进了炎症反应,诱发并加重了肺组织损伤。
近年来,氧化应激引起的炎症反应是较为公认的PQ中毒机制[2,3,9]。PQ中毒后,在早期肺损伤激活后,大量巨噬细胞、淋巴细胞、中性粒细胞及支气管、肺泡上皮细胞、血管内皮细胞和肺间质细胞活化,分泌细胞因子、炎性介质等多种生物活性物质,如核因子-κB(NF-κB)、转化生长因子-β(TGF-β)、肿瘤坏死因子-α(TNF-α)等及继发性炎症因子形成“细胞因子级联反应”,启动肺部炎症,而且一旦启动就难以控制,形成放大效应,加速肺泡炎症进展及肺纤维化的形成。FKN是与多种细胞因子相关联的活性因子。研究表明,FKN与CX3CR1结合以后,可以增加NF-κB的表达,促进动脉粥样硬化形成[10];还可以通过诱导巨噬细胞聚集、上调TGF-β1和I型胶原蛋白的表达水平,促进高血压引起的肾间质纤维化[11]。NF-κB及TGF-β1在PQ中毒肺损伤时都发挥着重要作用[2,3],抑制FKN的表达或许可以为PQ中毒的治疗提供新的思路。
更有研究显示,多种肺脏疾病的发生发展都与FKN关系密切。在内毒素诱导的小鼠急性肺损伤模型中[12],实验组肺组织中FKN表达较对照组显著增加,与病情进展一致。在肺动脉高压、肺血管重构相关实验研究中[13,14,15],实验组FKN的表达与活性氧(ROS)呈正相关,与抑制羟自由基能力(IHRA)呈负相关,其可促进肺及血管平滑肌细胞增殖,加速病情进展。在采用自体血栓法复制的大鼠肺动脉栓塞模型中[16],实验组血清FKN和肺组织FKN mRNA水平的表达明显增加,且与TNF-α等炎性因子的变化趋势一致,与肺动脉栓塞的发病相关。在体内肺结核的发病部位,亦观察到FKN的表达较其他部位增多,且其可促进单核细胞聚集及肉芽肿形成[17]。然而,目前对FKN与PQ中毒肺损伤的相关性研究甚少。本实验对FKN在PQ中毒急性肺损伤中的作用做了初步探索,发现FKN同PQ中毒肺损伤的病情进展相一致,但相关研究仍需深入。FKN特殊的趋化和黏附双重功能、受体CX3CR1的特异性以及其在炎症疾病细胞因子级联反应中的重要地位,在研究中值得关注。
| [1] | 赵金恒,徐希娴.临床职业病学[M].2版,北京:北京大学医学出版社,2010:407-410.Zhao JH,Xu XX.Clinical occupational medicine[M]2nd Edition,Beijing:Peking University Medical Press,2010:407-410. |
| [2] | 谢宗贤,徐兵,王繁麟,等.百草枯大鼠肺组织炎症因子TNF-α和IL-6的表达和水杨酸钠的干预作用[J]. 中华急诊医学杂志,2015,24(7):768-771.DOI:10.3760/cma.j.issn.1671-0282.2015.07.017.Xie ZX,Xu B,Wang FL,et al. Inflammatory cytokines TNF-α and IL-6 expression in lung tissue of rats with paraquat poisoning and intervention effect of sodium salicylate[J].ChinJEmerg Med,2015,24(7):768-771. |
| [3] | 陆如凤,黄小民,吴海波,等.急性百草枯中毒大鼠肺组织Toll样受体4和核因子-κB表达的变化[J]. 中华急诊医学杂志,2014,23(12):1344-1347.DOI:10.3760/cma.j. issn.1671-0282.2014.12.010.Lu RF,Huang XM,Wu HB,et al.Expressions of toll-like receptor 4 mRNA and nuclear factor-κB mRNA in lung tissue of rats with acute paraquat poisoning[J].ChinJEmerg Med,2014,23(12):1344-1347. |
| [4] | Park J, Song KH, Ha H. Fractalkine increases mesangial cell proliferation through reactive oxygen species and mitogen-activated protein kinases[J]. Transplant Proc, 2012, 44(4): 1026-1028. DOI:10.1016/j.transproceed.2012.03.045. |
| [5] | Xiong Z, Leme AS, Ray P, et al. CX3CR1+ lung mononuclear phagocytes spatially confined to the interstitium produce TNF-α and IL-6 and promote cigarette smoke-induced emphysema[J].JImmunol, 2011, 186(5): 3206-3214. DOI:10.4049/jimmunol.1003221. |
| [6] | Jones BA, Beamer M, Ahmed S. Fractalkine/CX3CL1:apotential new target for inflammatory diseases[J]. Mol Interv, 2010, 10(5): 263-270. DOI:10.1124/mi.10.5.3. |
| [7] | Corcione A, Ferretti E, Pistoia V. CX3CL1/fractalkine isanovel regulator of normal and malignant humanBcell function[J].JLeukoc Biol, 2012, 92(1): 51-58. DOI:10.1189/jlb. 0112035. |
| [8] | Bazan JF, Bacon KB, Hardiman G, et al.Anew class of membrane-bound chemokine withaCX3C motif[J]. Nature, 1997, 385(6617): 640-644. DOI:10.1038/385640a0. |
| [9] | 周从阳,张志坚,罗亚娟,等.乌司他丁对百草枯染毒大鼠肺组织热休克蛋白70和NF-κB的影响[J].中华劳动卫生职业病杂志,2011,29(4):280-283.DOI:10.3760/cma.j.issn.1001-9391.2011.04.010.Zhou CY,Zhang ZJ,Luo YJ,et al.Effect of ulilnastatin on the expression of heat shock protein 70 and NF-κB in lung tissue in rats with paraquat poisoned[J].ChinJInd Hyg Occup Dis,2011,29(4):280-283. |
| [10] | 孙健,李淑梅,郑柳颖,等.FKN影响动脉粥样硬化信号传导机制及G-蛋白在其中作用的研究[J].中国老年学杂志,2007,27(6):534-535.DOI:10.3969/j.issn.1005-9202. 2007.06.016.Sun J,Li SM,Zheng LY,et al. Research of FKN influence the atherosclerosis signaling mechanisms and the role of G- protein[J].ChinJGerontol, 2007,27(6):534-535. |
| [11] | Shimizu K, Furuichi K, Sakai N, et al. Fractalkine and its receptor, CX3CR1, promote hypertensive interstitial fibrosis in the kidney[J]. Hypertens Res,2011,34(6): 747-752.DOI:10.1038/hr.2011.23. |
| [12] | 张晓鸣,顾绍庆.水飞蓟素对急性肺损伤小鼠肺组织IL-1β,IL-6趋化因子fractalkine表达的影响[J].南京医科大学学报:自然科学版,2012,32(8):1083-1086.Zhang XM,Gu SQ.The effects of silymarin on IL-1β,IL-6,fractalkine gene expression in lung tissue rats with acute lung injury[J].Acta Universitatis Medicinals Nanjing(Nat Sci),2012,32(8):1083-1086. |
| [13] | 狄枫,王良兴,沈巨信,等.CX3CL1/fractalkine在肺动脉高压过程中的表达变化及葛根素的干预作用[J].中国病理生理杂志,2011,27(3):581-584,588.DOI:10.3969/j.issn.1000-4718.2011.03.031.Di F,Wang LX, Shen JX,et al.Effect of puerarin on monocrotaline-induced pulmonary hypertension and expression of chemokine CX3CL1/fractalkine[J].ChinJPathophysio,2011,27(3):581-584,588. |
| [14] | 向永红,张云,苏晓丽,等.Fractalkine在持续低氧大鼠肺动脉重构氧化应激机制中的作用[J].临床肺科杂志,2012,17(8):1364-1366.DOI:10.3969/j.issn.1009-6663.2012.08.003.Xiang YH,Zhang Y, Su XL,et al.The role of fractalkine in mechanisms of oxidative stress in pulmonary arterial remodeling in continuous hypoxia rats[J].J Clin Pulm Med,2012,17(8):1364-1366. |
| [15] | Zhang JL, Hu HB, Palma NL, et al. Hypoxia-induced endothelial CX3CL1 triggers lung smooth muscle cell phenotypic switching and proliferative expansion[J]. AmJPhysiol Lung Cell Mol Physiol,2012, 303(10): L912-922.DOI:10.1152/ajplung.00014. |
| [16] | 王灵聪,黄立权,孙晨,等.姜黄素对肺血栓栓塞症大鼠肺组织不规则趋化因子的影响[J].中华危重症医学杂志:电子版,2011,4(6):4-8.DOI:10.3877/cma.j.issn.1674-6880.2011.06.002.Wang LC,Huang LQ,Sun C,et al.Effect of curcumine on fractalkine of lung tissue in pulmonary thromboembolism rats[J].ChinJCrit Care Med (Electronic Edition),2011,4(6):4-8. |
| [17] | Hingley-Wilson SM, Connell D, Pollock K,et al. ESX1-dependent fractalkine mediates chemotaxis and Mycobacterium tuberculosis infection in humans[J]. Tuberculosis (Edinb), 2014, 94(3): 262-270.DOI:10.1016/j.tube.2014.01.004. |
2016, Vol. 25





