甲状腺功能减退 (甲减)是内分泌较为常见的一种疾病,临床主要表现为黏液水肿,但甲减患者合并多浆膜腔积液及CA125升高比较罕见,总结我院1例甲减导致多浆膜腔积液及CA125升高的病例,并结合相关文献报道,分析如下。
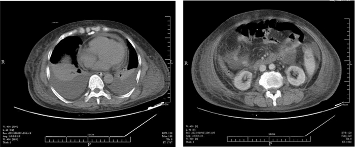
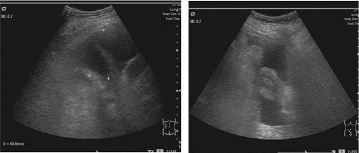
1 病例资料患者,女,64岁,因“反复膝关节疼痛伴腹胀全身肿胀2月余”入院。患者2个月前反复膝关节疼痛后渐出现腹痛腹胀及全身肿胀,及胸闷气急。10 d前至当地医院诊治,给予抗感染、抑酸,营养支持等对症治疗。患者症状无明显好转,遂至本院急诊。既往行“胆囊切除术”后2年,“鼻息肉切除术”后7个月。查体:BP 139/72 mmHg,P:88次/min,R:25次/min,T:37.5 ℃。嗜睡,精神软,口唇无发绀,皮肤干粗糙,巩膜无黄染,全身浅表淋巴结未触及肿大;两肺呼吸低,未闻及干湿性啰音;心率58次/min,律齐,心音低,未闻及病理性杂音;腹膨隆,未见腹壁静脉曲张,腹部可见一长约10 cm手术疤痕,愈合好。未见胃肠型,全腹,左下腹压痛、反跳痛,肝脾触诊不满意,麦式点无压痛,肠鸣音1次/分,腹部移动性浊音阳性;全身浮肿;生理反射存在,病理反射未引出。辅助检查:2012.9.5 肝功(本院):总蛋白 53.2 g/L,白蛋白 24 g/L,尿素 18.41 mmol/L,肌酐 154 μmol/L,血糖 8.74 mmol/L。2012.9.5急诊血常规白细胞 20.6×109/L,中性粒细胞 81.6%,血红蛋白 69 g/L,血小板 22×109/L 。急诊血气分析:pH 7.360,二氧化碳分压. 29.0 mmHg,氧分压. 126.0 mmHg,剩余碱.-8.0 mmol/L;2012.8.28 CT(当地医院)示:两侧胸腔积液伴两下肺压迫性肺不张,心包少量积液,腹腔盆腔积液,肝脏密度不均匀,脾脏增大(图 1,图 2)。2012.8.29 B超(当地医院)示:腹腔积液,双侧胸腔积液(图 3,图 4)。血补体C3 0.472 g/L(0.85~1.93),补体C4 0.077 g/L(0.12~0.36);血T3 0.28 μg/L(0.61~0.81),T4 13.60 μg/L (45~109),FT3 0.70 pmol/L(3.5~6.5),FT4 5.38 pmol/L(11.5~22.7)TSH6.67(0.35~5.50) TPOAb、TgAb阳性;血C-反应蛋白 36 mg/L;腹水外观血性混浊 李凡氏试验(+) 中心粒20 淋巴细胞50间皮细胞25,蛋白35 g/L,CA125 123 U/mL;风湿免疫功能:ANA,SCL-70,JO-1,U1RNP,SM,SS-A,SS-B,组蛋白抗体,抗线粒体抗体,抗PCNA抗体,板层素抗体,抗肌动蛋白抗体,着丝点抗体,抗核小体抗体,均阴性;凝血全套正常;结核抗体阴性;肿瘤指标CA125 512 U/mL。入院诊断为:原发性甲状腺功能减退、多浆膜腔积液。口服左甲状腺素片50 μg/d为初始剂量,以后逐渐增至150 μg/d,泼尼松5 mg早8:00、晚16:00 口服,患者3 d后食欲好转,查头颅MRI及血垂体功能检测正常,排除继发性甲减,停用泼尼松。半月后浮肿消退,至住院1月复查CA125 20 U/mL;B超:心包积液及双侧胸膜腔积液完全吸收,腹腔少量液性暗区。住院40 d复查甲功正常;B超:肝肾隐窝、脾周及腹腔内均未见游离液性暗区(图 4),临床痊愈,出院,出院后服用左甲状腺素片150 μg/d,定期随访,目前以此剂量维持。
![]() |
| 图 1 治疗前CT:A 胸腔积液,B 心包积液,腹腔盆腔积液 |
![]() |
| 图 2 治疗前B超:A 胸腔积液,B 腹腔积液 |
![]() |
| 图 3 治疗40 d后B超:无胸腹腔积液 |
患者T3 、T4、FT3、FT4下降而TSH升高,考虑原发性甲状腺功能减退,原发性甲状腺功能减退是由于甲状腺本身疾病所致血清中甲状腺素分泌不足而表现出临床综合征,可致多系统损害,60岁以上老年人多见[1, 2],发生率为4%~8.5% [3, 4],女性多于男性[5, 6],有合并症患者病死率高达40%~80%,早期诊断和有效治疗,病死率可降低15~20%。在浆膜腔积液患者中由甲状腺功能减退引起不到4%[7],甲减合并浆膜腔积液可累及心包腔、胸膜腔和腹腔,以心包积液最常见,也可累及关节腔,可单独出现,也可两个或多个出现,起病隐匿,易被误诊。引起多浆膜腔积液机制主要:甲状腺素缺乏,使组织代谢障碍及血管通透性改变,机体对粘蛋白和粘多糖分解代谢减弱[8];淋巴液的代谢减缓,蛋白质从毛细血管中漏出的速度超过淋巴管的清除速度,导致过多的透明质酸、粘蛋白、粘多糖及硫酸软骨素等沉积在组织间隙和浆膜腔[8, 9],组织间隙和浆膜腔受这些亲水性物质刺激导致各腔隙大量积液[10];甲减时抗利尿激素(ADH)分泌增加、心房利钠激素(ANH)分泌减少[11],肾素-血管紧张素-醛固酮系统分泌减少,使得肾小球滤过率降低,水钠的清除减少,导致液体积聚。积液的主要特点是[12]:比重高;蛋白含量高,总蛋白含量多大于25 g/L;细胞计数多小于100/mL,且以淋巴细胞为主。故甲减合并的腹水并非单纯的漏出液或渗出液;总蛋白量高似渗出液;细胞数量及细胞种类则似漏出液;胆固醇含量和免疫球蛋白含量高。本例患者的腹水性质与文献报道基本相似。
CA125是一种高分子糖蛋白,主要由肝脏代谢和排泄[13],在1981年Bast在卵巢恶性肿瘤中首次发现CA125糖蛋白并报道[14],CA125主要应用于临床女性盆腔肿瘤、胃肠道肿瘤及良恶性胸腹水监测治疗反应,只有少数病例报道粘液性水肿引起肿瘤指标CA125升高[15, 16],Hashimoto报告[17]在甲减时,CEA、CAl25、AFP、CAl53等均有升高,约为正常值的1.2~1.7倍,具体机制尚不详,可能与甲减时肝脏排泄CEA量减慢有关[18, 19];也报道指出[20, 21]CAl25升高与心包积液发生及严重程度均有关,免疫组化研究表明,阳性染色的心包组织反应的抗体和血清CA125水平相关;Taguchi 等[22]报道发现大量胸腔和心包积液的甲减合并CA125升高可能和严重的冠状动脉粥样硬化相关。随着激素及甲状腺素替代治疗,甲减所致的积液逐渐吸收,CA125渐恢复正常,而恶性肿瘤所致,积液改变不明显,CA125仍在较高水平,这是与恶性肿瘤的主要鉴别。
总之,本例患者提示甲状腺功能下降,可以导致多浆膜腔积液及CA125升高,临床上遇到多浆膜腔积液及CA125升高,在考虑恶性肿瘤同时,应检查甲状腺功能。
| [1] | Roberts CG,Ladenson PW. Hypothyroidism[J]. Lancet,2004,363(9411):793-803.DOI:10.1016/S0140-6736(04)15696-1. |
| [2] | Akintola AA1,Jansen SW1,van Bodegom D2,et al.Subclinical hypothyroidism and cognitive function in people over 60 years:asystematic review and meta-analysis[J].Front Aging Neurosci,2015,11(7):150. DOI: 10.3389/fnagi.2015.00150. |
| [3] | 徐家琴,廖冬梅.老年亚临床甲状腺功能减退临床研究进展[J].国际老年医学杂志,2010,31(1):62-63.DOI:10.3969/j.issn.1674-7593.2010.01.009Xu JQ,Liao DM. Progress in Clinical Research of Subclinical Hypothyroidism in the Elderly Patients[J]. International Journal of Geriatrics,2010,31(1):62-63. |
| [4] | Canaris GJ,Manowitz NR,Mayor G,et al.The ColoradoThyroid Disease Prevalence Study[J].Arch Intern Med,2000,160(4):526-534.DOI:10.1001/archinte.160.4.526. |
| [5] | Chen HS,Wu TE,Jap TS,et al.Subclinical hypothyroidism is arisk factor for nephropathy and cardiovascular diseases in type 2 diabetic patients[J].Diabet Med,2007,24(12):1336-1344.DOI:10.1111/j.1464-5491.2007.02270.x |
| [6] | 杨治芳,汤佳珍,李小卫,等.老年2型糖尿病肾病与甲状腺功能减退的相关性[J]. 中国老年学杂志.2012,10(32):4135-4136.DOI:10.3969/j.issn.1005-9202.2012.19.010Yang ZF,Tang JZ,Li XW,et al. Relationship between type 2 diabetic nephropathy and hypothyroidism in elderly patients [J].Chin JGeront,2012,19(32);4135-4136. |
| [7] | De Castro F,Bonacini M,Walden JM,et al. Myxedema ascites report of two cases and review of the literature[J].J Clin Gastroenterol,1991,13(4):411-414.DOI:10.1097/00004836-199108000-00010 |
| [8] | LangK.Capillary permeability in myxedema[J].AmJMed Sci,1944,208(1):15.DOI:10.1097/00000441-194407000-00002. |
| [9] | 齐书英,崔俊玉,李淑荣.甲状腺功能减退症并大量心包积液一例误诊[J].临床误诊治,2006,19(3):78.DOI:10.3969/j.issn.1002-3429.2006.03.087Qi SY,Cui JY,Li SR. Thyroid dysfunction andacase ofalarge pericardial effusion misdiagnosed[J]. Clin Misdiagn & Misther,2006,19(3):78. |
| [10] | Sevinc A,Sari R,Camci C,et al.Asecondary interpretations is needed on serum CA 125 levels in case of serosal involvement[J].JR Soc Health,2000,120(4):268-70.DOI: 10.1177/146642400012000420. |
| [11] | Chen YC,Cadnapaphornchai MA,Yang J,et al.Nonosmotie release of vasopressin and renal aquaporins in impaired urinary dilution in hypothyroidism[J].AmJphysiol,2005,289(4):672-678.DOI: 10.1152/ajprenal.00384.2004. |
| [12] | 冯秋霞,牛敏,高政南.甲状腺功能减退致大量腹水伴CAl25升高的临诊应对[J].中华内分泌代谢杂志.2013;5(29): 430-432.DOI: 10.3760/cma.j.issn.1000-6699.2013.05.020.Feng QX,Nin M,Gao ZN. Approach to the hypothyroid patient with severe ascites and elevated blood CA125 level[J].ChinJEndocrin & Metabol,2013,5(29):430-431. |
| [13] | Duarte DR,Chang CV,Minicucci MF,et al. Myxedema ascites with elevated serum CA 125 concentration[J].AmJMed Sci,2006,331 (2):103-4.DOI:10.1097/00000441-200602000-00020. |
| [14] | Bast RC,Feeney M,Lazarus H,et al. Reactivity ofamonoclonal antibody with human ovarian carcinoma[J].J Clin Invest,1981,68(5):1331-7.DOI:10.1172/JCI110380. |
| [15] | Depczynski B,Ward R,Eisman J. The association between myxedematous ascites and extreme elevation of serum tumor markers[J].JClin Endocrinol Metab,1996,81(11):4175.DOI:10.1210/jc.81.11.4175a. |
| [16] | Takahashi N,Shimada T,Ishibashi Y,et al.Transient elevation of serum tumor markers inapatient with hypothyroidism[J].AmJMed Sci,2007,333(6):387-389.DOI:10.1097/MAJ.0b013e318065b023. |
| [17] | Krishnan STM,Philipose Z,Rayman G.Hypothyroidism mimicking intra-abdominal malignancy[J]. BMJ,2002,325(7370):946-947.DOI:10.1136/bmj.325.7370.946 |
| [18] | Hashimoto T,Matsubara F. Changes in the tumor marker concentration in female patients with hyper-,eu-,and hypothyroidism[J].Endocrinol Jpn,1989,36(3):873-879.DOI:10.1507/endocrj1954.36.873 |
| [19] | Soon E,Toshner M,Mela M,et al.Risk of potentially life-threatening thyroid dysfunction due to amiodarone in idiopathic pulmonaryar terialhypertension patients[J].J Am Coll Cardiol,2011,57(8):997-998. DOI:10.1016/j.jacc.2010.09.059. |
| [20] | Kawaguchi G,Abe E,Sasamoto R.Elevation of serum carcinoembryonic antigen level inapatient with hypothyroidism after radiation therapy for cervical esophageal cancer[J].IntJClin Oncol,2010,15(1):104-108. DOI: 10.1007/s10147-009-0005-5. |
| [21] | Seo T,Ikeda Y,Onaka H,et al.usefulness of serum ca125 measurement for monitoring pericardial effusion[J].Jpn Circ J,1993,57(6):489-494.DOI:10.1253/jcj.57.489 |
| [22] | Taguchi T,Iwasaki Y,Asaba K,et al.myxedema coma and cardiac ischemia in relation to thyroid hormone replacement therapy ina38-year-old japanese woman[J].Clin Ther,2007,29(12):2710-4.DOI:10.1016/j.clinthera.2007.12.025. |
2016, Vol. 25





