中华急诊医学杂志  2016, Vol. 25 Issue (1): 63-65
西维来司钠对急性坏死性胰腺炎肺损伤保护作用及其机制研究
王后红, 李国刚, 李超, 王哲芳, 李晓文, 张伟东, 陈俐娜, 汤阿毛, 陈力     
310000 杭州,浙江大学医学院附属第二医院普外科(王后红、李国刚、李超、王哲芳、张伟东、陈力),急诊科(陈俐娜);
杭州市中医院普外科(李晓文);杭州市第一人民医院急诊科(汤阿毛)
Protective mechanism of sivelestat on acute necrotizing pancreatitis-associated acute lung injury in rats
Wang Houhong, Li Guogang, Li Chao, Wang Zhefang, Li Xiaowen, Zhang Weidong, Chen Lina, Tang Amao, Chen Li     
Department of General Surgery,The Second Affiliated Hospital of Zhejiang University College of Medicine,Hangzhou 310009 China(Wang HH,Li GG,Li C,Wang ZF, Zhang WD,Chen L),Department of Emergency,The Second Affiliated Hospital of Zhejiang University College of Medicine,Hangzhou 310009 China(Chen LN);
Department of General Surgery,Hangzhou Traditional Chinese Medical Hospital,Hangzhou 310007 China(Li XW),Department of Emergency,Hangzhou First People’ s Hospital,Hangzhou 310006 China(Tang AM)
Corresponding author: Chen Li, Email: chenli@mail.hz.zj.cn

急性坏死性胰腺炎(acute necrotic pancreatitis,ANP)是临床上常见的危重疾病,容易并发多器官功能障碍综合征(MODS),其中肺脏是最常受累的胰外器官,急性胰腺炎肺损伤是SAP患者早期病死的主要原因之一[1, 2, 3],对SAP合并肺损伤早期进行药物干预治疗仍然是最近的研究热点。目前认为中性粒细胞聚集并释放的多种酶,尤其是中性粒细胞弹性蛋白酶(NE)急性肺损伤的发病中起重要作用。西维来司钠(sivelestat sodium,ONO·Na)是一种特异性中性粒细胞弹性蛋白酶抑制剂,可在炎症局部有效抑制NE,减轻肺组织损伤并改善肺功能[4]。信号转导与转录激活因子(STAT)是一种新型细胞内信号转导和基因表达调控因子。急性胰腺炎时释放的各种细胞因子可以通过JAK/STATs途径激活STATs而诱导目的基因的表达[3]。本实验通过建立大鼠急性坏死性胰腺炎(ANP)肺损伤模型[5],并应用西维来司钠对大鼠ANP合并肺损伤进行干预处理,以探讨其对ANP合并肺损伤的保护作用及其作用机制,为其用于临床治疗重症急性胰腺炎合并肺损伤提供实验依据。

1 材料与方法 1.1 动物分组及试剂

75只SPF级雄性SD大鼠,体质量200~250 g(由上海实验动物中心提供)。按随机数字法分为正常组、ANP组和ONO治疗组,每组25只。西维来司钠购自美国Sigma公司,牛磺胆酸钠购自美国Sigma公司,使用前用生理盐水配制成浓度为5%的溶液。MDA和NE检测试剂盒购自奥地利Bender Medsystems公司。TNF-α和MPO 检测试剂盒购于北京中杉生物技术有限公司。

1.2 胰腺炎模型建立

采用胆胰管逆行注射5%牛磺胆酸钠(美国Sigma公司)0.1 mL/100 g体质量的方法制备ANP模型,可以看到透明胰胆管内张力增加,有液体进入,从胰头部开始,胰腺开始变红、水肿,面积逐渐扩大。5 min后退针,查看有无胆漏,如有则穿刺失败,没有则穿刺成功。正常组大鼠胆胰管内注入等容积生理盐水。ONO治疗组于造模后立即经阴茎静脉注射西维来司钠(10 mg/kg)体质量,其他两组注射等容积生理盐水。

1.3 标本采集

各组分别于6、12及24 h时间点取腹主动脉血(肝素抗凝)4 mL立即送检动脉血氧分压,大鼠处死后留取肺组织,用于检测MPO、TNF-α、NE、MPO及STAT1蛋白和磷酸化STAT1(P-STAT1)蛋白的表达。取胰腺组织和肺组织用10%中性磷酸缓冲福尔马林固定,石蜡包埋,连续切片,苏木精-伊红(HE)染色后留待光镜观察。

1.4 标本检测

血清淀粉酶检测采用全自动生化分析仪,肺组织检测NE、MDA、MPO和TNF-α采用酶联免疫吸附试验(ELISA),PaO2检测采用全自动血气分析仪。制备肺组织匀浆,蛋白定量后常规行蛋白质印迹法检测STAT1和p-STAT1表达,用凝胶分析软件分析目的蛋白条带的相对表达量。

1.5 统计学方法

应用SPSS 18.0统计软件进行分析。各组计量资料数据以均数±标准差(x±s)表示,组间分析采用单因素方差分析,两两比较采用LSD-t检验,以P<0.05为差异有统计学意义。

2 结果 2.1 血清淀粉酶、PaO2、肺组织TNF-α、MPO、NE、MDA的变化

ANP组PaO2各时间点较正常组和ONO组均降低(P<0.05)。ANP组TNF-α水平在制模后6 h达高峰,以后各时间点随之下降,ONO组TNF-α对应时间点水平明显低于ANP组,差异有统计学意义(P<0.05)。血浆淀粉酶、MPO、NE、MDA水平的变化SAP组各时间点均较正常组升高,差异有统计学意义(P<0.05),ONO组血浆淀粉酶、MPO、NE、MDA水平均较SAP组降低(P<0.05)。见表 1表 2

表 1 大鼠各时点对应组别淀粉酶(Amy)、PaO2、 TNF-α的变化
指标组别

6 h

12 h

24 h

Amy
(U/L)
正常组15.30±2.7016.21±2.4215.87±3.15
ANP组294.30±25.60a475.35±36.93a386.23±37.29a
ONO组197.40±23.30402.28±42.18b284.23±31.09b
PaO2
(mmHg)
正常组98.23±1.1298.02±0.8397.28±0.72
ANP组74.33±3.28a69.02±4.14a59.82±5.82a
ONO组87.34±5.24b82.39±5.82b78.34±4.23b
TNF-α
(ng/L)
正常组28.38±5.2329.92±4.2428.02±3.19
ANP组185.24±14.42a129.92±13.19a110.82±4.28a
ONO组147.93±18.29b98.28±12.3285.23±12.92b

注:与正常组比较,aP<0.05;与ANP组比较,bP<0.05


表 2 大鼠各时点对应组别NE、MDA 、MPO的变化
指标组别

6 h

12 h

24 h

NE
(μg/L)
正常组18.28±1.8419.43±1.6318.25±2.05
ANP组25.04±3.28a34.17±4.01a39.17±4.07a
ONO组22.15±3.16b29.44±3.07b31.42±4.03
MDA
(nmol/l)
正常组8.23±1.067.13±1.078.24±0.96
ANP组19.55±4.64a23.14±3.54a27.93±2.96a
ONO组17.76±3.2919.23±4.17b22.42±4.06b
MPO
(U/g)
正常组2.24±0.132.64±0.162.08±0.09
ANP组4.16±0.36a8.47±1.64a15.64±2.35a
ONO组3.05±0.34b5.34±1.07b11.42±1.23b

注:与NOR组比较,aP<0.05;与ANP组比较,bP<0.05

2.2 胰腺和肺组织病理学改变

正常组胰腺组织均无明显异常。ANP组大鼠表现为胰腺水肿明显,可见片状出血灶,大网膜及系膜周围组织器官轻度黏连,并可见散在皂化斑,ONO治疗组与ANP组相比,胰腺病理改变均较轻,病理评分下降,病理评分与同时间点ANP组的差异有统计学意义(P<0.05)。

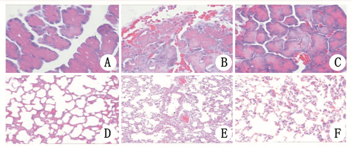
正常组肺组织结构清晰,肺泡壁完整,无明显水肿和渗出,无明显病理改变。ANP组大鼠肺组织间质明显充血、水肿,细胞浸润,间质明显增宽,肺间质中性粒细胞(PMN)及单核细胞浸润,随着时间延长肺损伤加重,肺组织病理评分逐渐增高。ONO治疗组大鼠肺间质水肿减轻,炎症细胞浸润较ANP组减少,病理评分下降,病理评分与同时间点ANP组的差异有统计学意义(P<0.05)。见图 1

图 1 正常组(A)、ANP组(B)、ONO组(C)12 h点大鼠胰腺组织光镜下病理改变(HE×200)。NOR组(D)、ANP组(E)、ONO组(F)12 h点大鼠肺组织光镜下病理改变(HE×200)

肺组织STAT1及p-STAT1蛋白的表达ANP组p-STAT1蛋白表达水平12 h显著高于正常组(P<0.05)。ONO治疗组 p-STAT1蛋白在同时点均较ANP组显著下降,差异有统计学意义(P<0.05)。见图 23

图 2 肺组织STAT1及p-STAT1蛋白的表达

图 3 肺组织STAT1及p-STAT1蛋白的相对表达量
3 讨论

急性胰腺炎是临床常见的急腹症之一,其中SAP占20%~30%,病死率高达40%。目前认为,SAP实质上亦是一种严重的全身炎症反应综合征(SIRS),其机制是由于不同的致病因素通过引起胰腺腺泡细胞的损伤,引发中性粒细胞释放大量炎性介质导致MODS[6, 7, 8]。而在胰外器官中,尤以ARDS最为突出。西维来司钠(sivelestat sodium)是一种小分子中性粒细胞弹性蛋白酶(neutrophil elastase,NE)抑制剂,在应用于重症急性胰腺炎肺损伤方面尚处于研究阶段,报道相对较少。本实验通过建立大鼠SAP 肺损伤模型来探讨西维来司钠对SAP 大鼠肺损伤的作用。

目前对于AP合并ALI的机制仍不完全确定,许多研究表明与多种促炎细胞因子介导的全身反应综合征有关,如TNF-α、血小板活化因子、白细胞介素等炎性介质在肺组织的积聚、活化,可能为AP并发ALI的一个重要病理机制[9, 10]。细胞因子通常与细胞膜外受体结合后启动胞内信号转导系统,引起目的基因表达发生改变。这种从细胞外到细胞核的信号转导极其迅速,其中STATs信号通路是许多细胞因子的共同信号通路之一[11, 12]。Janus激酶与STATs形成一种JAK-STATs复合通路,JAK-STATs通路不仅在细胞的增殖、分化、凋亡和血管发生等这些正常生理过程中起着重要的作用,亦与某些疾病的发生发展密切相关,而抑制该通路的活化能减轻炎症的病理损伤[13, 14]

研究发现胰腺腺泡细胞内存在JAK-STATs信号转导通路,其中STAT1是STATs家族中的一员,对信号转导起主导作用[15, 16, 17]。STAT1目的基因被证实具有促进炎症发生和抵抗细胞增殖作用,同时在脓毒症大鼠肺损伤模型中发现抑制STAT1活化可以减轻脓毒症所致肺组织损伤[18, 19],这和本课题研究结果相一致。

本研究中,ANP组给予西维来司钠干预能5明显降低肺组织中TNF-α,MPO,NE,MDA的表达,而且治疗后动脉血氧分压(PaO2)升高,胰腺和肺组织病理损伤明显减轻,各组大鼠STAT1蛋白表达差异无统计学意义,ONO治疗组p-STAT1表达量显著低于ANP组。上述结果再次表明西维来司钠对SAP合并肺损伤具有保护作用,其机制可能是通过抑制STAT1蛋白的磷酸化进而下调炎症因子如TNF-α、MDA和细胞间黏附分子等促炎递质的表达,从而改善ANP大鼠的肺损伤。

本研究的不足之处是,没有阐述西维来司钠对肺损伤的保护作用和药物的剂量相关性,另外肺损伤的减轻是胰腺炎减轻后的间接效果还是西维来司钠直接对肺损伤具有保护作用需要以后进一步研究。

参考文献
[1] Ono S, Kuroki T, Adachi T, et al. The effect of selective neutrophil elastase inhibitor on pancreatic islet yields and functions in rat with hypercytokinemia[J]. Ann Transplant, 2011, 16(4):99-106.DOI: 10.12659/AOT.882225.
[2] 余佳, 金浩, 陈辰, 等.聚ADP核糖聚合酶抑制剂对重症急性胰腺炎大鼠肺炎症介质表达和肺损伤的影响[J].中华急诊医学杂志, 2012, 21(1):38-42. DOI:10.3760/cma. j.issn.1671-0282.2012.01.009. Yu J, Jin H, Chen C, et al.Poly(ADP-ribose) polymerase inhibitor attenuates expression of inflammatory mediators and injury of lung inarat model of severe acute pancreatitis[J].ChinJEmerg Med, 2012, 21(1):38-42.
[3] 徐萍, 李清华, 王静, 等.吡格列酮对急性坏死性胰腺炎大鼠胰腺PPARγ mRNA表达的影响[J].中华胰腺病杂志, 2010, 10(5):352-354.DOI:10.3760/cma.j.issn.1674-1935.2010. 05.016. Xu P, Li QH, Wang J, et al.Effect of pioglitazone on PPARγ mRNA expression in rats with acute necrotizing pancreatitis[J].ChinJPancreatol, 2010, 10(5):352-354.
[4] Cao J, Liu Q. Protective effects of sivelestat inacaerulein-induced rat acute pancreatitis model[J]. Inflammation, 2013, 36(6):1348-1356. DOI: 10.1007/s10753-013-9674-3.
[5] Hu Y, Hong Y, Xu Y, et al. Inhibition of the JAK/STAT pathway with ruxolitinib overcomes cisplatin resistance in non-small-cell lung cancer NSCLC[J]. Apoptosis, 2014, 19(11):1627-1636.DOI: 10.1007/s10495-014-1030-z.
[6] Guo L, Yamaguchi Y, Ikei S, et al. Neutrophil elastase inhibitor (ONO-5046) prevents lung hemorrhage induced by lipopoly saccharide in rat model ofcerulein pancreatitis[J]. Dig Dis Sci, 1995, 40(10):2177-2183.DOI:10.1007/BF02209002.
[7] 路小光, 康新, 战丽彬, 等.大黄附子汤对重症急性胰腺炎肺损伤大鼠肺泡上皮屏障功能的影响[J].中华急诊医学杂志, 2011, 20(2):151-155.DOI:10.3760/cma.j.issn.1671-0282.2011.02.010. Lu XG, Kang X, Zhan LB, et al.Effect of Dahuang Fuzi decotion on alveolaur epithelial barrier in rats with lung injury with severe acute pancreatitis[J].ChinJEmerg Med, 2011, 20(2):151-155.
[8] 张更伟, 单爱军, 柳勋法, 等.大剂量山莨菪碱联合乌司他丁治疗重症胰腺炎[J]. 中华急诊医学杂志, 2014, 23(2):187-190.DOI:10.3760/cma.j.issn.1671-0282.2014.02.017. Zhang GW, Shan AJ, Liu XF, et al. The study of treating acute pancreatitis with large dose of anisodamine combined with ulinastain[J].ChinJEmerg Med, 2014, 23(2):187-190.
[9] 蒋莉娅, 黄继人, 赵弘卿, 等. 针刺对重症急性胰腺炎早期急性肺损伤大鼠血清MIP-2蛋白及肺与大肠组织MIP-2mRNA表达的影响[J]. 中国中西医结合杂志, 2013, 33(7):958-962. DOI:10.7661/CJIM.2013.07.0958. Jiang LY, Huang JR, Zhao HQ, et al. Effect of acupuncture on serum MIP-2 and MIP-2 mRNA expressions in isolated Fei and Dachang of severe acute pancreatitis induced acute lung injury rats in the acute phase[J].CJITWM, 2013, 33(7):958-962.
[10] 徐晓武, 杨小敏, 金洲祥, 等. 银杏提取物对重症急性胰腺炎肺损伤大鼠肺泡中性粒细胞功能的影响[J]. 中国中西医结合杂志, 2014, 34(4):460-465.DOI:10.7661/CJIM. 2014.04.0460. Xu XW, Yang XM, Jin ZX, et al.Effect of Ginkgo biloba extract on the function of alveolar polymorphonucler neutrophils in severe acute pancreatitis rats complicated with lung injury[J]CJITWM, 2014, 34(4):460-465.
[11] Antao-Menezes A, Turpin EA, Bost PC, et al. STAT-1 signaling in human lung fibroblasts is induced by vanadium pentoxide through an IFN-beta autocrine loop[J].JImmunol, 2008, 180(6):4200-4207.DOI:10.4049/jimmunol.180.6.4200.
[12] Hu HL, Zhang Q, Kong B, et al. Expression of pancreatic regenerating gene in lung and intestinal tissue correlates with the severity of disease in rats with acute necrotizing pancreatitis[J]. Mol Med Rep, 2013, 7(2):503-508.DOI:10.3892/mmr.2012.1187.
[13] Guruvayoorappan C, Kuttan G. Amentoflavone inhibits experi-mental tumor metastasis througharegulatory mechanism involving MMP-2, MMP-9, prolyl hydroxylase, lysyl oxidase, VEGF, ERK-1, ERK-2, STAT-1, NM23 and cytokines in lung tissues of C57BL/6 mice[J]. Immunopharmacol Immunotoxicol, 2008, 30(4):711-727.DOI:10.1080/08923970802 278276.
[14] 张全, 曹丽叶, 程树杰, 等. 重症急性胰腺炎模型大鼠肺组织血红素加氧酶-1的表达及意义[J]. 中国普通外科杂志, 2013, 22(9):1163-1167. DOI:10.7659/j.issn.1005-6947. 2013.09.012. Zhang Q, Cao LY, Cheng SJ, et al.Heme oxygenase 1 expression in lung tissues in rats with severe acute pancreatitis and its significance[J].ChinJGen Surg, 2013, 22(9):1163-1167.
[15] 张鸣号, 李桂忠, 曹军. 氧化苦参碱对脓毒症大鼠肺组织JAK/STAT信号通路的影响[J]. 中国中药杂志, 2010, 35(1):103-107.DOI:10.4268/cjcmm20100122. Zhang MH, Li GZ, Cao J. Effect of oxymatrine on JAK/STAT iteral in rat lung tissue with sepsis[J].China Journal of Chinese Materia Medica, 2010, 35(1):103-107.
[16] Li HB, Chen F.Isolation and puritication of baicalein, wogonin and oroxylinAfrom the medicinal plant Scutellaria baicalensis by high-speed counter-current chromatography[J].JChromatogr A, 2005, 1074(1/2):107-110.DOI:10.1016/j.chroma.2005. 03.088.
[17] 于齐宏, 杜奕奇, 李兆申, 等. 参麦注射液减轻大鼠重症急性胰腺炎相关性肺损伤[J]. 第二军医大学学报, 2013, 34(11):1183-1186.DOI:10.3724/SP.J.1008.2013.01183. Yu QH, Du YQ, Li ZS, et al.Shenmai injection improves lung injury induced by severe acute pancreatitits in rats[J].Academic Journal of Second Military Medical University, 2013, 34(11):1183-1186.
[18] Ravichandran K, Tyagi A, Deep G, et al. Interleukin-1beta-induced iNOS expression in human lung carcinoma A549 cells: involvement of STAT and MAPK pathways[J]. IndianJExp Biol, 2011, 49(11):840-847.
[19] Liu PW, Chen MF, Tsai AP, et al. STAT1 mediates oroxylinainhibition of iNOS and pro-inflammatory cytokines expression in microglial BV-2 cells[J]. Plos One, 2012, 7(12): e50363.DOI: 10.1371/journal.pone.0050363.