妊娠晚期急性坏死性胰腺炎(acute necrotizing pancreatitis,ANP)是一种严重的妊娠并发症,发病急、进展快、并发症多、病死率高,是影响母婴生命安危的最凶险的急腹症之一。ANP时过度炎症反应可以引起胰腺及胎盘功能发生一系列的改变,巨噬细胞移动抑制因子(MIF)在炎症的发生发展中起到了一定的作用。有研究表明ISO-1能够特异性抑制MIF互变异构酶活性,能够改善重症脓毒血症及某些自身免疫性疾病的预后[1, 2]。本研究旨在观察MIF抑制剂ISO-1在妊娠晚期大鼠ANP时对大鼠胰腺及胎盘损伤的保护作用,并探讨其量效关系,为临床综合治疗妊娠晚期ANP提供实验依据。
1 材料与方法 1.1 药物与试剂牛磺胆酸钠(STC)购于美国Sigma公司,使用前用无菌生理盐水溶解配制成5%STC溶液。MIF抑制剂ISO-1(美国Santa公司)使用前用10%DMSO溶解和配制所需浓度。
1.2 动物模型制备和实验分组SPF级妊娠晚期SD大鼠30只、体质量200~250 g(湖北省疾病预防控制中心提供)。随机(随机数字法)分为假手术组(SO组),妊娠晚期急性坏死性胰腺组(ANP组),T1组(1.75 mg/kg),T2组(3.5 mg/kg),T3组(7.0 mg/kg),每组6只。参照文献 [3] 的方法制备ANP模型,即用异氟烷(氧流量2 L/min,4%异氟烷诱导麻醉,2.5%异氟烷维持麻醉 )麻醉后开腹,4.5号头皮针穿过十二指肠系膜缘,经乳头逆行插入主胰管,以0.1 mL/min恒速注射5%STC溶液(0.06 mL/kg)造模,夹闭主胰管5 min后见胰腺出现水肿、出血,即表明ANP模型制备成功。ANP组经腹腔内注射无菌处理的10%DMSO(2 mL/kg)溶液,30 min后制备ANP模型。不同剂量MIF抑制剂组分别于术前30 min经腹腔内注射10%DMSO(2 mL/kg)溶解的等体积、不同浓度的ISO-1,再制备ANP模型。SO组术前30 min经腹腔注射无菌处理的10%DMSO(2 mL/kg)溶液,麻醉后开腹,翻动胰腺后关腹。术后皮下均注射无菌生理盐水补液(2 mL/kg)。
1.3 指标检测造模后6 h大鼠心脏采血,2 000 r/min离心15 min,分离血清,-20°C保存。采用全自动生化仪(日本奥林巴斯2700)检测血清中AMY、LIP、ALT、AST的水平。
1.4 胰腺组织病理学检查术后6 h处死大鼠,取胰头部胰腺组织用10%甲醛固定,石蜡包埋、切片,行HE染色,根据Schmidt等[4]的方法,对胰腺水肿、腺泡坏死、出血和脂肪坏死、炎症和血管周围炎性浸润等在光镜下进行组织病理学观察及评分。
1.5 胎盘组织的病理学检查术后6 h处死大鼠,取胎盘组织用10%甲醛固定,石蜡包埋、切片,行HE染色,根据文献 [5] 的方法观察胎盘有无炎性细胞浸润、微小血栓形成、胎盘绒毛萎缩、合体小结、纤维蛋白沉积、钙化,胎盘梗死,有上述任一改变为1分。正常胎盘为0~1分;轻度胎盘损伤为2~3分;中度胎盘损伤为4~5分;重度胎盘损伤为6~7分。
1.6 统计学方法采用SPSS 17.0统计软件进行统计分析,计量数据以均数±标准差(x±s)表示,多组间比较采用单因素方差分析,以P<0.05为差异具有统计学意义。
2 结果 2.1 血清AMY和LIPANP组与SO组比较血清中AMY、LIP水平升高,差异具有统计学意义(t=-11.028,t=-8.532,P<0.05),T1组与ANP组比较血清中AMY、LIP水平降低,差异具有统计学意义(t=6.007,t=2.895,P<0.05),T2组与T1组比较血清中AMY、LIP水平降低,差异具有统计学意义(t=3.428,t=2.710,P<0.05),T2、T3组比较血清中AMY、LIP水平差异无统计学意义(t=0.565,t=0.350,P>0.05),见表 1。
| (x±s ) | |||||||
| 组别 | 只数 | AMY(U/L) | LIP(U/L) | ALT(U/L) | AST(U/L) | 胰腺病理评分 | 胎盘病理评分 |
| SO组 | 6 | 2 268.7±293.8 | 681.1±109.9 | 56.4±15.3 | 110.9±15.5 | 4.7±1.2 | 0.5±0.5 |
| ANP组 | 6 | 7 101.4±1 032.3a | 2 939.0±638.8a | 240.3±50.3a | 472.6±27.5a | 12.3±1.5a | 6.3±0.8a |
| T1组 | 6 | 4 349.5±439.5ab | 1 968.9±515.2ab | 155.0±41.8ab | 373.7±64.9ab | 10.5±1.6ab | 5.1±0.7ab |
| T2组 | 6 | 3 459.7±459.2abc | 1 268.6±367.8abc | 110.5±20.6abc | 281.8±66.8abc | 8.3±1.0abc | 3.0±0.6abc |
| T3组 | 6 | 3 288.4±583.7abc | 1 198.1±328.5abc | 100.6±13.2abc | 272.9±66.5abc | 8.0±1.4abc | 2.8±0.8abc |
| 注:与SO组比较,aP<0.05;与ANP组比较,bP<0.05;与T1组比较,cP<0.05 | |||||||
ANP组与SO组比较血清中ALT、AST水平升高,差异具有统计学意义(t=-8.564,t=-28.001,P<0.05),T1组与ANP组比较血清中ALT、AST水平降低,差异具有统计学意义(t=3.191,t=3.464,P<0.05),T2组与T1组比较血清中ALT、AST水平降低,差异具有统计学意义(t=2.336,t=2.414,P<0.05),T3与T2组比较血清中ALT、AST水平差异无统计学意义(t=0.986,t=0.232,P>0.05),见表 1。
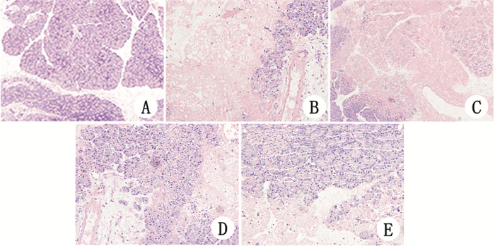
2.3 胰腺组织病理学变化SO组胰腺结构正常、无胰腺腺泡水肿、出血及炎症细胞浸润;ANP 组胰腺正常结构破坏,胰腺腺泡水肿、出血、坏死、炎症细胞浸润同SO组比较明显加重,病理评分较SO组增高,差异具有统计学意义(P<0.05);T1组胰腺正常结构破坏,胰腺腺泡水肿、出血、坏死、炎性细胞浸润同ANP组比较明显改善,病理评分较ANP组降低,差异具有统计学意义(t=2.414,P<0.05);T2组胰腺正常结构破坏,胰腺腺泡水肿、出血、坏死、炎性细胞浸润同T1组比较明显改善,病理评分较T1组降低,差异具有统计学意义(t=2.356,P<0.05);T3组胰腺正常结构破坏,腺泡水肿、出血、坏死、炎性细胞浸润同T2组比较无明显改善,病理评分较T2组差异无统计学意义(t=0.466,P>0.05),见图 1。
![]() |
| A:SO组 B: ANP组 C:T1组 D: T2组 E:T3组 图 1 各组大鼠胰腺组织病理学改变(HE×200) Fig 1 Morphologic changes of pancreatic tissue in groups(HE×200) |
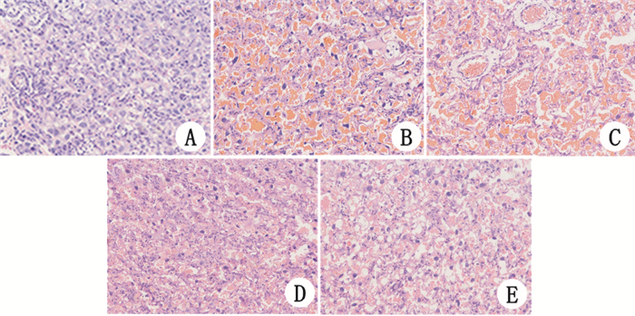
SO组胎盘结构正常,无炎性细胞浸润、微小血栓形成、胎盘绒毛萎缩、合体小结、纤维蛋白沉积及钙化,无胎盘梗死;ANP 组胎盘正常结构破坏,炎性细胞浸润、微小血栓形成、胎盘绒毛萎缩、合体小结、纤维蛋白沉积、钙化及胎盘梗死情况同SO组比较加重,病理评分较SO组升高,差异具有统计学意义(P<0.05);T1组胎盘正常结构破坏,炎性细胞浸润、微小血栓形成、胎盘绒毛萎缩、合体小结、纤维蛋白沉积、钙化及胎盘梗死情况同ANP组比较明显改善,病理评分较ANP组降低,差异具有统计学意义(t=2.573,P<0.05);T2组胎盘正常结构破坏,炎性细胞浸润、微小血栓形成、胎盘绒毛萎缩、合体小结、纤维蛋白沉积、钙化及胎盘梗死情况同T1组比较明显改善,病理评分较T1组降低,差异具有统计学意义(t=5.398,P<0.05);T3组胎盘正常结构破坏,炎性细胞浸润、微小血栓形成、胎盘绒毛萎缩、合体小结、纤维蛋白沉积及钙化及胎盘梗死情况同T2组比较无明显改善,病理评分同T2组差异无统计学意义(t=0.415,P>0.05),见图 2。
![]() |
| A:SO组 B: ANP组 C:T1组 D: T2组 E:T3组 图 2 各组大鼠胎盘组织病理学改变(HE×200) Fig 2 Morphologic changes of placenta tissue in groups(HE×200) |
妊娠期AP是一种严重的妊娠并发症,可发生于妊娠各期,以妊娠晚期多见,发病率为1/4 000~1/1 000[6],随着饮食习惯的改变,近年来发病率有升高的趋势。妊娠期AP尤其是ANP极容易造成孕妇流产、早产、死产,胎儿的病死率为10%~20%,有报道称甚至高达30%[7, 8, 9]。 妊娠期ANP胰腺及胎盘的损伤机制尚不完全明确,在ANP发生、发展过程中,炎症因子的过度生成,多种炎症因子发生瀑布样级联反应在胎盘和胰腺损伤中起到一定的作用[5, 10]。
MIF作为体内重要的多功能细胞因子,参与机体炎症、免疫、肿瘤、妊娠等生理和病理的过程。有研究表明MIF在急性坏死性胰腺炎[11]、肝脏损伤[12]、急性呼吸窘迫综合征[13]、脓毒症[1, 14]等疾病的发生、发展过程中起到了一定的作用。ISO-1可选择性地结合MIF的互变异构酶活性位点,抑制该酶活性,从而抑制MIF的一些生物学功能。有研究在肿瘤细胞增殖中发现,ISO-1能特异性结合MIF 互变异构酶活性位点抑制该酶活性,从而抑制肿瘤细胞的增殖[15, 16]。本研究结果显示,ANP组大鼠血清AMY和LIP水平较SO组显著升高,而使用ISO-1预处理后,血清AMY和LIP水平较ANP组显著降低;同时光镜下HE染色发现ANP组胰腺、胎盘的损伤程度较SO组加重,在给予ISO-1预处理后胰腺、胎盘的损伤得到了一定的改善。这一实验结果表明ISO-1可以改善妊娠ANP胰腺、胎盘的损伤,降低血清中的AMY和LIP的水平。
有研究表明MIF在妊娠ANP血清和肝脏中的浓度升高,MIF的表达的程度同肝功能变化和病理损伤相关[17]。另有研究表明:在败血症动物模型中给予ISO-1后可以提高动物的生存率;给予不同剂量ISO-1时,在ISO-1达到一定的剂量之前时,动物的生存率随ISO-1的增加而升高,但是达到一定的剂量后,动物模型的生存率不再随ISO-1的增加而升高[1]。本实验研究结果显示,T1组大鼠血清AMY和LIP水平较ANP组显著降低,T2、T3组血清AMY和LIP水平较T1组显著降低,T2、T3组间血清AMY和LIP差异无统计学意义;T1组胰腺、胎盘的损伤程度较ANP组明显减轻,T2、T3组的损伤较T1组明显减轻,而T2、T3组之间的损伤程度无明显差别;血清中肝功能的指标同AMY及LIP变化趋势一致。这一实验结果表明中剂量的ISO-1是改善胰腺及胎盘损伤的最佳剂量。
综上所述,ISO-1对妊娠晚期ANP大鼠胰腺及胎盘具有保护作用,其机制可能是通过抑制MIF的互变异构酶的活性,进而影响MIF的生物学功能来实现的。中剂量的ISO-1是改善妊娠晚期ANP大鼠胰腺及胎盘安全、有效的最佳剂量。而MIF在妊娠晚期ANP时对胰腺及胎盘的损伤具体机制尚需进一步的研究。
| [1] | Al-Abed Y, Dabideen D, Aljabari B, et al.ISO-1 binding to the tautomerase active site of MIF inhibits its pro-inflammatory activity and increases survival in severe sepsis[J]..J Biol Chem,2005,280(44):36541-36544.DOI:10.1074/jbcC500243200. |
| [2] | Nicoletti F, Creange A, Orlikowski D, et al.Macrophage migration inhibitory factor (MIF) seems crucially involved in Guillain-Barre syndrome and experimental allergic neuritis[J].J Neuroimmunol,2005,168(1/2):168-174.DOI:10.1016/j.jneuroim.2005.07.019. |
| [3] | 陈辰, 王卫星, 郝顺心,等.罗格列酮对大鼠重症急性胰腺炎的作用[J].中华急诊医学杂志,2008,17(10):1027-1030.DOI:10.3760/j.issn:1671-0282.2008.10.006.Chen C,Wang WX, Hao SX,et al. Effects of rosiglitazone on severe acute pancreatitits in rats[J].Chin J Emerg Med,2008,17(10):1027-1030. |
| [4] | Schmidt J, Rattner DW, Lewandrowski K, et al.A better model of acute pancreatitis for evaluating therapy[J].Ann Surger,1992,215(1):44-56.DOI: 10.1097/00000658-199201000-00007. |
| [5] | 徐丽南, 林楠, 张颖,等.妊娠合并急性胰腺炎大鼠胎盘组织细胞黏附分子E-选择素的表达及意义[J].中国病理生理杂志,2011,27(9):1781-1785. DOI: 10.3969/j.issn.1000-4718.2011.09.023.Xu LN,Lin N,Zhang Y,et al.Expression of adhesion molecule E-selectin in placenta tissues of pregnant rats with acute pancreatitis[J].Chin J Pathophysiol, 2011,27(9):1781-1785. |
| [6] | Robertson KW, Stewart IS,Imrie CW. Severe acute pancreatitis and pregnancy [J]. Pancreatology, 2006, 6(4):309-315.DOI:10.1159/000092694. |
| [7] | Stimac D,Stimac T.Acute pancreatitis during pregnancy[J].Eur J Gastroenterol Hepatol,2011,23(10):839-844.DOI: 10.1097/MEG. 0b013e328349b199. |
| [8] | Geng YX, Li WQ, Sun LQ, et al.Severe acute pancreatitis during pregnancy: eleven years experience from a surgical intensive care unit[J]. Dig Dis Sci, 2011, 56(12):3672-3677.DOI: 10.1007/s10620-011-1809-5. |
| [9] | Eddy JJ, Gideonsen MD, Song JY, et al.Pancreatitis in pregnancy [J]. Obstet Gynecol, 2008,112(5):1075-1081. DOI:10.1097/AOG.0b013e318185a032. |
| [10] | Wang YZ, Wang SW, Zhang YC, et al.Protective effect of exogenous IGF-I on the intestinalmucosal barrier in rats with severe acute pancreatitis[J].World journal of emergency medicine,2012,3(3):213-220.DOI:10.5847/wjem. j.1920-8642.2012.03.010. |
| [11] | Rahman SH, Menon KV, Holmfield JHM, et al.Serum macrophage migration inhibitory factor is an early marker of pancreatic necrosis in acute pancreatitis [J]. Ann Surg, 2007, 245(2):282-289.DOI:10.1097/01.sla.0000245471. 33987.4b. |
| [12] | Barnes MA, McMullen MR, Roychowdhury S, et al.Macrophage migration inhibitory factor contributes to ethanol-induced liver injury by mediating cell injury, steatohepatitis, and steatosis[J].Hepatology,2013,57(5):1980-1991.DOI:10. 1002/hep.26169. |
| [13] | Lai KN, Leung JCK, Metz CN, et al.Role for macrophage migration inhibitory factor in acute respiratory distress syndrome[J].J Pathol,2003,199(4):496-508.DOI:10.1002/path.1291 |
| [14] | 张振辉, 林珮仪, 陈晓辉,等.脓毒症小鼠心和肾组织中巨噬细胞移动抑制因子的表达[J].中华急诊医学杂志,2009,18(11):1159-1162.DOI:10.3760/cma.j.issn. 1670-0282.2009.11.011.Zhang ZH,Lin PY,Chen XH,et al.The epxression of macrophage migration inhibitory factor in the heart and renal tissue in rats with sepsis[J].Chin J Emerg Med,2009,18(11):1159-1162. |
| [15] | 杨莉萍, 陈萌, 彭侠彪,等.巨噬细胞移动抑制因子抑制剂对大肠癌细胞增殖的作用[J].检验医学与临床,2011,8(1):1-3,5.DOI:10.3969/j.issn.1672-9455.2011.01. 001. Yang LP,Chen M,Peng XB,et al.Effects of ISO-1 on proliferation of colorectal cancer cell lines[J].Lab Med Chin,2011,8(1):1-3,5. |
| [16] | Meyer-Siegler KL, Iczkowski KA, Leng L, et al.Inhibition of macrophage migration inhibitory factor or its receptor (CD74) attenuates growth and invasion of DU-145 prostate cancer cells[J].J Immunol,2006,177(12):8730-8739.DOI:10. 4049/ jimmunol.177.12.8730. |
| [17] | 柯丽娜, 王卫星, 李斌,等.孕鼠重症急性胰腺炎巨噬细胞移动抑制因子变化及肝损伤的研究[J].中华实验外科杂志,2012,29(3):531-534.DOI:10.3760/cma.j.issn. 1001-9030.2012.03.064. Ke LN,Wang WX,Li B,et al.Changes in macrophage inhibitory factor and liver injury in rats with severe acute pancreatitis during pregnancy[J].Chin J Experiment Surg,2012,29(3):531-534. |
2016, Vol. 25




