浙江大学医学院附属第二医院(游向东)
剖宫产后子宫下段切口处妊娠(cesarean scar pregnancy,CSP)是指滋养叶细胞种植于子宫切口瘢痕处,随着妊娠进展,绒毛逐渐植入子宫肌层,甚至穿透肌层,导致子宫破裂,是一种罕见且危险的异位妊娠[1]。1978年由Larsen和Solomon首次报道[2],过去罕发,近年来随着剖宫产的增多,切口妊娠的发病率亦明显上升,有关文献报道其发病率为1∶ 1 800~2 216[3]。子宫峡部切口妊娠患者严禁进行盲目刮宫,否则易发生不可控制的术中、术后大出血[4]。因此早期明确诊断,对减少患者出血,保留生育功能十分重要。超声造影(conffast-enhanced ultra-sonography,CEUS)是一种新型超声诊断技术,是利用造影剂使后散射回声增强,提高超声诊断的分辨力、敏感性和特异性。本文拟通过彩色多普勒超声(CDFI)联合CEUS检查,探讨其对子宫切口妊娠的早期诊断价值。
1 资料与方法 1.1 一般资料回顾性分析2013年3月至2014年12月浙江中医药大学附属第三医院妇产科收治的患者45例,其中切口妊娠21例,宫腔下段妊娠24例,年龄21~40岁,中位年龄31岁。所有患者HCG均阳性,均有剖宫产史,其中1例2次剖宫产,距剖宫产时间10个月至11年,所有患者均要求终止妊娠,42例有明确停经史,停经37~62 d,其中12例伴不规则阴道出血。
1.2 仪器与方法使用百胜 MyLab90彩超仪,腔内探头,频率3~9 MHz,配备造影匹配成像技术,机械指数(MI)为0.06。造影剂选用Braco公司的SonoVue(声诺维),每瓶25 mg冻干粉经生理盐水5 mL稀释并振荡为微泡悬浮液。患者排空膀胱后,取膀胱截石位,先应用腔内探头行子宫附件常规扫查,明确孕囊位置、大小、形态,重点观察孕囊与剖宫产切口、宫腔及宫颈管的关系,观察前峡部肌层厚度,并用CDFI观察前峡部肌层血流情况,以及肌层与孕囊之间有无血流信号。而后抽取2.4 mL造影剂,以团注方式经肘正中静脉注入,随即以5 mL生理盐水冲洗针管,推注开始同时按下动态存储键。造影结束后回放动态图像,观察孕囊与切口肌层之间有无连续灌注,记录孕囊首先强化部位,开始强化时间、强化灶的形态及与周围组织的关系。造影结束后指定2名高年资医生对超声造影动态图像进行分析并做出诊断。
诊断标准:①切口妊娠:宫腔及宫颈管内未见孕囊;孕囊生长在子宫前峡部;孕囊与膀胱之间肌壁菲薄; CDFI示前峡部肌层与孕囊之间可见连续的血流信号,CEUS示宫前峡部肌层及孕囊呈早期快速强化。②宫腔下段妊娠:宫腔下段见孕囊,CDFI显示子宫后壁及侧壁肌层血流增多,前峡部肌层与孕囊之间未见明显连续血流信号,CEUS显示孕囊与前峡部肌层无连续灌注区,子宫前峡部以外部分孕囊首先强化,子宫前峡部肌层与孕囊之间见弧形无强化间隙。
1.3 统计学方法应用 SPSS13.0 软件包进行统计分析,CDFI、CEUS、CDFI及CEUS联合与病理结果比较采用χ2检验,以P<0.05为差异具有统计学意义。
2 结果CDFI正确诊断切口妊娠和下段妊娠分别为17例、14例(图 1、图 2),CEUS正确诊断切口妊娠和下段妊娠分别为19例、20例(图 3、图 4)。CDFI、CEUS、CDFI及CEUS联合在切口妊娠与宫腔下段妊娠的鉴别诊断中差异具有统计学意义(P<0.05)。见表 1。
![]() |
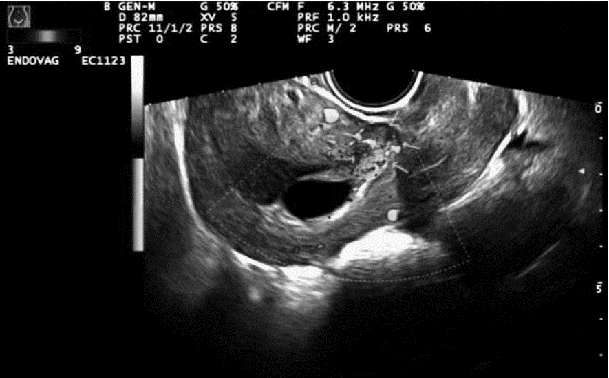
| 图 1 孕囊位于子宫前壁峡部,CDFI显示前壁峡部与孕囊之间血流信号 |
![]() |
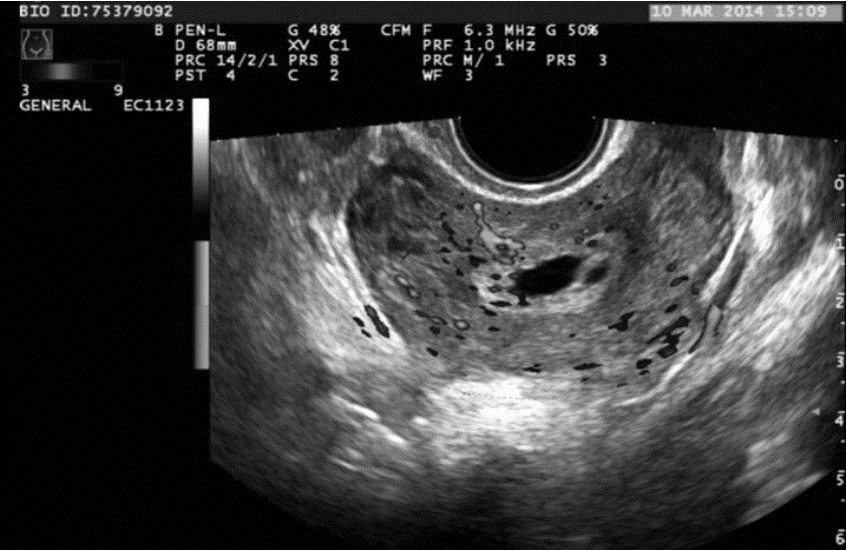
| 图 2 孕囊位于子宫下段近前峡部,CDFI显示前侧壁肌层与孕囊之间的条状血流信号 |
![]() |
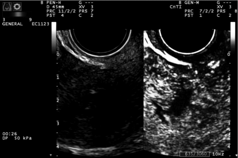
| 图 3 CEUS显示子宫前峡部部分孕囊早期快速明显强化,增强时间为12s |
![]() |
| 图 4 CEUS显示孕囊周围呈不均匀强化,未见其与子宫下段前壁峡部相连续 |
| 组别 | 病理证实(例) | χ2值 | P值 | ||
| 切口妊娠 | 下段妊娠 | ||||
| CDFI | 切口妊娠 | 17 | 10 | 7.202 | 0.007 |
| 下段妊娠 | 4 | 14 | |||
| CEUS | 切口妊娠 | 19 | 4 | 24.418 | 0.000 |
| 下段妊娠 | 2 | 20 | |||
| CDFI联合CEUS | 切口妊娠 | 16 | 1 | 12.069 | 0.001 |
| 下段妊娠 | 5 | 23 | |||
CDFI诊断切口妊娠的敏感性、特异性、阳性预测值和准确度分别为80.9%、58.3%、62.9%、68.9%。CEUS诊断切口妊娠的敏感性、特异性、阳性预测值和准确度分别为90.5%、83.3%、82.6%、86.6%,两者联合诊断切口妊娠的敏感度、特异度、阳性预测值和准确度分别为76.2%、95.8%、94.1%、86.6%。虽然CDFI和CEUS诊断切口妊娠的敏感性较高,但特异性较低,尤其是CDFI。CDFI联合CEUS的敏感性虽然降低,但可明显提高切口妊娠诊断的特异性及阳性预测值。见表 2。
| 组别 | 敏感度 | 特异度 | 阳性预测值 | 阴性预测值 | 假阳性率 | 假阴性率 | 准确度 |
| CDFI | 80.9 | 58.3 | 62.9 | 82.6 | 41.7 | 19.0 | 68.9 |
| CEUS | 90.5 | 83.3 | 82.6 | 90.9 | 16.7 | 9.5 | 86.6 |
| CDFI联合CEUS | 76.2 | 95.8 | 94.1 | 82.1 | 4.2 | 23.8 | 86.6 |
剖宫产子宫切口处妊娠是剖宫产的远期并发症之一。剖宫产后切口处组织结构薄弱,而血管供应却异常丰富,受精卵在此着床后,滋养细胞直接植入子宫肌层,绒毛与子宫肌层粘连、植入甚至穿透子宫壁,在妊娠早期可引发反复出血、子宫破裂致患者休克危及生命[5]。因此,早期诊断极为重要。
Jurkovic等[6]认为经阴道彩色多普勒超声检查是诊断子宫下部异位妊娠的金标准。CDFI具有廉价、直观、方便、无创伤、重复性强等优点,能显示孕囊的位置、大小、形态,前峡部肌层厚度,以及妊娠囊及其周围异常血流信号,明确妊娠囊与前峡部肌层之间的关系,是诊断CSP的首选检查方法。本组CDFI诊断切口妊娠的敏感度80.9%,特异度58.3%,敏感度较高,而特异度较低。申启玲、邓波等[7]根据孕囊与切口的关系,分为三种:孕囊完全位于切口处;孕囊小部分仅下缘与前壁肌层切口处关系密切;蜕膜组织呈楔形深人子宫下段切口处。笔者认为当子宫前壁峡部肌层血流不丰富,孕囊与前壁峡部肌层之间血流信号不明显时,CDFI对后两种类型的切口妊娠(即部分性切口妊娠)的诊断有困难,这也是本组误诊的主要原因。
CEUS检查简便、快捷,不受角度及呼吸运动的影响,可清楚显示微血管和组织的血流灌注情况[8],可为切口妊娠的鉴别诊断提供更多的信息,从而提高切口妊娠的诊断准确度。本组CEUS诊断切口妊娠的敏感度90.5%,特异度83.3%,其敏感度与CDFI相似,而特异度较CDFI增高。笔者观察到宫腔下段妊娠的CEUS表现与切口妊娠不同,宫腔下段妊娠时CEUS可见子宫前峡部肌层与孕囊之间的弧形无强化间隙,且绒毛增强时间晚于切口妊娠组,本组20例宫腔下段妊娠绒毛开始增强时间18~38 s,(26.3±7.1)s,19例切口妊娠绒毛增强时间11~23 s,(16.1±4.3)s,两者差异具有统计学意义(P<0.01)。
虽然CDFI、CEUS对切口妊娠的诊断均具有一定优势.但是仅单独检查,对切口妊娠的早期诊断有一定的局限。 CDFI虽然能显示孕囊与子宫前峡部肌层之间异常血流信号,但它对流速低、流量小的血流不敏感,不能显示其微循环灌注情况。CEUS虽然能显示CDFI难以分辨的低速低流量血流信号,且能判断绒毛种植部位,但目前运用超声造影对切口妊娠的研究尚少,其诊断标准尚需大量病例积累后进一步研究证实[9,10]。切口妊娠表现多种多样,笔者认为对于CDFI诊断不明确者,有必要联合CEUS检查。本研究中CDFI和CEUS联合应用,虽然敏感性略减低(76.2%),但获得了高度的特异性(95.8%)。
本研究病例较少,在以后的研究中,将扩大样本量及均衡样本构成比,对两者联合检查中仍误诊的信息作更进一步的深入研究。综上所述,CDFI是诊断切口妊娠比较理想的方法。CEUS不受角度及呼吸运动的影响,能显示病灶周围及内部细小血管的微灌注成像信息,客观反映子宫前峡部肌层及孕囊周围血供情况,为切口妊娠诊断提供更多的信息。将CDFI及CEUS联合应用,可明显提高切口妊娠的诊断特异性,对于剖宫产术后子宫切口妊娠的早期诊断具有极其重要的临床价值。
| [1] | Rotas MA,Haberman S,Levgur M.Cesareanscarectopicpregnancies: etiology,diagnosisand management[J].Obstet Gynecol,2006,107 (6):1373-1381. |
| [2] | Larsen JV, Solomon MH. Pregnancy inauterine scar sacculus: an unu- sual cause of postabortalhaemorrhage[J].SAfr Med J, 1978, 53(2): 142-143. |
| [3] | 王利权,徐平,陈绣瑛,等. 介入治疗结合B型超声介导下刮宫处理子宫峡部妊娠[J]中华急诊医学杂志,2010 19(7):770-772. |
| [4] | Kang SY,Park BJ,Kim YW,et al.Surgical management of caesareaen scar ectipoc pregnancy: hysterotomy by travaginal approach[J].Feitil Steril ,2011 ,96(1) :e25-28. |
| [5] | Tulpin L, Morel O, Malartic C,et al.Conservative management ofacesarean scar ectopic pregnancy:a case report[J].Cases J,2009,2:7794. |
| [6] | Jurkovic D, Hillaby K, Woelfer B, et al. First-trimester diagnosis and management of pregnancies implanted into the lower uterine segment Cesarean section scar[J]. Ultrasound Obstet Gynecol, 2003, 21(3):220-227. |
| [7] | 申启玲,邓波.超声对剖宫产术后子宫切口妊娠的诊断价值[J].临床超声医学杂志,2012,14(6):4l5-416. |
| [8] | 石惠杰,吴长君,刘露阳,等. 动态实时灰阶超声造影在急诊肝破裂诊断中的运用[J].中国急救医学,2006, 26(2):148-149. |
| [9] | 李建华,张磊,陈欣林.超声造影在剖宫产后切口妊娠诊断中的临床应用价值[J]医学超声杂志: (电子版),2009 ,6(4):684-689. |
| [10] | 邵亚勤,杨高怡. 剖宫产后子宫切口妊娠超声造影表现分析[J].临床超声医学杂志,2012,42(6):108-110. |
2015, Vol. 24





