中华急诊医学杂志  2015, Vol. 24 Issue (12): 1417-1419
三黄泻心汤联合蒙脱石散治疗早期百草枯中毒大鼠的疗效观察
徐广宇, 白羽, 臧学丽, 迟红丽    
132013 吉林省吉林,北华大学药学院(徐广宇);
吉林医药学院药学院(白羽);
长春医药高等专科学校(臧学丽);
吉林大学白求恩第一医院急诊科(迟红丽)

目前,百草枯中毒的主要治疗方法主要有洗胃、导泻、血液净化、药物治疗等。其中早期洗胃、导泻使毒物迅速清除,减少毒物在消化道的吸收,有利于减轻百草枯对机体器官的损伤,为患者带来生的希望。三黄泻心汤由大黄、黄连、黄芩组成,具有泻火解毒、燥湿泄热的作用。其中大黄素、黄连碱等多种有效成分具有导泻、保护胃肠道等作用,有利于导泻时促进毒物的排出。同时修复受损的胃肠道黏膜[1]。蒙脱石散具有双层纹状结构及较大的表面积,能够牢固的吸附百草枯分子,随后百草枯与蒙脱石散的嵌合结构可以直接排出体外,而不会重吸收进入血液循环,降低了百草枯的血浆质量浓度[2]。本实验通过利用三黄泻心汤联合蒙脱石散对大鼠进行灌胃,之后观察大鼠体内百草枯排出时间及相关脏器的损伤情况,为临床应用三黄泻心汤联合蒙脱石散治疗早期百草枯中毒提供理论基础。

1 材料与方法 1.1 实验动物和材料

健康大鼠由吉林大学白求恩医学部提供(体质量250~300 g,给予标准饲料级水喂养,实验前12 h前禁食但不禁水)。ZH06-16大鼠灌胃针,OlympusBX40型光学显微镜,YBL-2生物组织包埋机,YT-6生物组织摊拷机,HMP-110组织脱水机,RM2015组织切片机等。

1.2 试剂

百草枯,大地丰农业科技;蒙脱石散,博福-益普生制药有限公司;三黄泻心汤,购买于同仁堂;苏木精等。

1.3 实验分组

将健康的成年大鼠随机(随机数字法)分为5组:A组为空白对照组(5只),B组为中毒对照组(75只),C组为三黄泻心汤干预组(75只),D组为蒙脱石散干预组(75只),E组为三黄泻心汤联合蒙脱石散干预组(75只)。同时将B、C、D、E组再按照30 min、1 h、2 h中毒时间分为三个亚组,每组25只。

B1:30 min百草枯中毒组;B2:1 h百草枯中毒组;B3:2 h百草枯中毒组。 C1:30 min三黄泻心汤干预组;C2:1 h三黄泻心汤干预组;C3:2 h三黄泻心汤干预组。D1:30 min蒙脱石散干预组;D2:1 h蒙脱石散干预组;D3:2 h蒙脱石散干预组。E1:30 min三黄泻心汤联合蒙脱石散干预组;E2:1 h三黄泻心汤联合蒙脱石散干预组; E3:2 h三黄泻心汤联合蒙脱石散干预组。观察各组大鼠1 h、8 h、24 h、48 h、72 h时的相应指标,每个时间点5只大鼠。

1.4 中毒大鼠模型的建立及药物干预

将百草枯稀释至20 mg/mL,对B、C、D、E各组大鼠进行灌胃,每只大鼠的灌胃量为50 mg/Kg。确保灌胃大鼠无呛咳,尽量减少口鼻溢出的药物。将成人的用药剂量换算成大鼠后得到三黄泻心汤和蒙脱石散的用药量分别为300 mg/kg、400 mg/kg,灌胃时将二者稀释为100 mg/mL。C1、C2、C3组分别在中毒后30 min、1 h、2 h给予三黄泻心汤300 mg/kg灌胃。D1、D2、D3组分别在中毒后30 min、1 h、2 h给予蒙脱石散400 mg/kg灌胃。E1、E2、E3组分别在中毒后30 min、1 h、2 h给予三黄泻心汤300 mg/kg,蒙脱石散400 mg/kg序贯灌胃。B1、B2、B3组分别在中毒后30 min、1 h、2 h给予相应的生理盐水灌胃。

1.5 观察大鼠一般情况

观察大鼠中毒后的精神状态、对刺激的反应能力、呼吸频率和幅度、毛色、肢体活动、进食水情况、大小便状况和解剖后脏器,记录大鼠体质量及死亡情况。

1.6 留取标本

将各组大鼠观察1 h、8 h、24 h、48 h、72 h后,取血并处死,取出肺、胃、空场组织与10%甲醛溶液中固定,24 h后制备病理切片。

1.7 大鼠血浆百草枯浓度的检测

将上一步骤留取的血送吉林大学第一医院转化医学院进行百草枯浓度的测定。

1.8 统计学方法

全部数据以均数±标准差(x±s)表示,采用SPSS19.0及Excel 2010进行数据分析及绘图,组间比较采用成组t检验,P< 0.05为差异有统计学意义。

2 结果 2.1 大鼠一般状态的比较

空白对照组(A组) :大鼠精神状态良好,活动自如,饮食及大小便正常,体质量有所增加,皮毛光滑、整洁,无死亡。

中毒对照组(B组):大鼠中毒后的1 h,中毒症状开始出现,24~72 h症状逐渐明显:①精神萎靡、懒惰,进食、进水明显减少,②反应迟钝,四肢震颤,③呼吸急促、口周及四肢黏膜发绀,④皮毛干枯、毛发脱落,腺体分泌物增加,口鼻可出现血性分泌物,尿量减少,部分出现血尿,体质量下降。B1组死亡2只,B2组死亡3只,B3组死亡2只。

药物干预组(C、D、E组):C组比B组症状出现晚,症状轻,但腹泻严重。D组与B组相比症状较轻,E组比B、C、D组症状明显减轻,症状出现时间明显推迟。各组中尽早干预的组别大鼠的症状越轻。C1、C2、D2、E3组各死亡1只,C3、D3组死亡2只。

2.2 大鼠血浆中百草枯浓度的比较

大鼠血浆中百草枯浓度的比较见表 1

表 1 大鼠血浆中百草枯浓度的比较
(x±s)
组别 血浆中百草枯浓度(ng/mL)
1 h8 h24 h48 h72 h
A组未测出
B1组4 638.26±210.9164 978.93±228.6304 082.77±185.213 558.75±165.232 964.43±140.69
B2组4 598.78±203.624 913.48±219.353 997.11±179.683 568.92±158.212 886.31±124.62
B3组4 668.98±211.364 861.24±207.143 896.29±163.273 612.89±154.362 916.86±135.62
C1组4 126.61±179.32ad3 363.57±166.68ad1 362.92±59.21a762.71±36.23ad 299.68±12.39ad
C2组4 617.82±212.31dfg4013 669.39±177.83df1 995.36±89.32bdf1 024.65±48.22bdf401.86±20.06bdf
C3组4 587.65±209.48df3 882.06±189.92df2 232.52±95.2df1 334.90±80.08cdf 580.61±24.61cdf
D1组4 097.26±159.31ae3 543.48±158.20e2 081.58±72.11ae1 450.11±109.23ae365.29±16.32ae
D2组4 598.28±209.29eh3 701.28±169.21e2 325.02±50.25b1 520.67±103.07beh 378.97±37.02be
D3组4 656.33±213.643 987.16±145.33ei2 569.14±98.45e1 702.39±121.65ech419.38±28.32ch
E1组3 252.16±161.35a1 452.48±116.61a975.31±46.49a367.17±18.19a176.03±24.75a
E2组3 997.67±189.64bjk2 100.95±127.18b1 196.79±107.19bj675.33±32.75bj 235.46±26.75bj
E3组4 619.82±211.682 095.47±115.99cj1 352.69±65.53cj709.37±34.25cj308.75±12.95cj
注:C1、D1、E1与B1相比较,aP<0.05;C2、D2、E2与B2 相比较,bP<0.05;C3、D3、E3与B3相比较,cP<0.05;C1与E1,C2与E2 ,C3 与E3相比较,dP<0.05;D1与E1,D2与E2 ,D3 与E3相比较,eP<0.05;C2、C3与C1相比较,fP<0.05;C2与C3相比较,gP<0.05;D2、D3与D1相比较,hP<0.05;D2与D3相比较,iP<0.05;E2、E3与E1相比较,jP<0.05;E2与E3相比较,kP<0.05
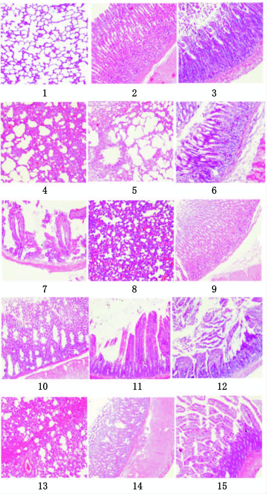
2.3 大鼠肺、胃、空肠组织的病理变化

空白对照组 在整个观察过程中,大鼠肺形态正常,呈粉红色,表面光滑,质地均匀、柔软。胃体积正常,黏膜光滑、红润,空肠壁厚,黏膜光滑。

2.4 血浆百草枯质量浓度-时间曲线

不同时间药物干预后大鼠血浆百草枯质量浓度-时间曲线见图 1

图 1 不同时间药物干预后血浆中百草枯浓度-时间的比较

图 1可以看出,除B组之外的各组大鼠血浆中百草枯质量浓度都随时间延长而逐渐下降的趋势,且C、D、E组大鼠血浆中百草枯质量浓度均低于B组,E组显著低于C、D组,百草枯进入大鼠体内后不断吸收入血,故B组血中百草枯呈现出先增高后下降的趋势。C、D、E组大鼠在中毒1h后血浆中百草枯质量浓度逐渐达到最大,之后开始迅速下降,72 h质量浓度降到最低。

2.5 大鼠肺、胃、空肠的大体病变观察

空白对照组(A组)肺:肺泡结构完整,可见连续的肺泡壁,形态正常,间隔无增厚,偶尔有少量的炎症细胞浸润,伴充血及毛细血管扩张(如图 2中1)。胃及空肠组织黏膜排列整齐,结果完整,可见腺体(如图 2中2、3)。中毒对照组(B组)B组的各组中毒大鼠肺、胃、空肠组织之间的差别不明显,肺:肺组织的损伤程度随时间的延长而加重。中毒1~8h后肺泡充血、水肿,间质内血管扩张,大量红细胞从血管中渗出,并有大量炎症细胞聚集在肺间质(如图 2中4)。中毒24 h后,肺泡间质轻度增厚,可见渗出性改变,甚至部分肺泡内可见渗血,肺泡及肺间质中的炎症细胞较前明显增加。中毒48 h后,肺出血进一步加重,呈弥漫性肺出血,肺组织结构破坏,间隔增厚,肺泡塌陷。中毒72 h后,肺组织中可见片状出血,肺泡间隔进一步增厚,肺泡壁融合,出现肺不张及肺实变。部分肺泡腔甚至不规则增大,可见化脓性改变(图 2中5)。胃:大鼠中毒6~24 h后胃组织损伤逐渐加重,胃黏膜上皮细胞明显水肿,大面积出血、坏死,腺体数量明显减少,固有层充血,炎症细胞浸润(图 2 中6)。中毒24 h后,胃组织损伤逐渐恢复,胃黏膜的损伤、充血、水肿及炎性细胞浸润程度均较前好转。空肠:中毒后1~24 h,空肠组织损伤逐渐加重,空肠绒毛脱落,黏膜糜烂、出血、坏死,有大量炎症细胞的浸润,黏膜层与固有层有不同程度的分离。中毒48 h后,损伤程度加重的不明显。中毒72 h后,空肠的大部分绒毛脱落,出血及坏死加重,并有炎症细胞浸润(图 2中7)。

图 2 大鼠肺、胃、空肠病理切片

三黄泻心汤干预组(C组)C组的肺、胃、空肠组织损伤较B组有所缓解,其中以C1组最明显,可见肺组织的充血、水肿,可见炎症细胞的浸润(如图 2中8)。胃及空肠的黏膜层与固有层分离不明显,可见点状出血,部分炎症细胞浸润(如图 2中9~12)。

蒙脱石散干预组(D组) D组的肺、胃、空肠组织损伤较B组明显减轻。其中D1组最明显。肺的充血、水肿及渗血减轻(如图 2中13)。胃及空肠黏膜上皮脱落减轻,出血范围小,可见部分炎症细胞的浸润(如图 2中14、15)。

三黄泻心汤联合蒙脱石散干预组(E组)E组肺、胃、空肠组织损伤较之前最轻。E组各时间段虽可见到肺泡间隔增厚、肺间质血管扩张、充血,炎症细胞浸润等现象,但未见肺不张及实变的现象(图 2中16~18为24 h时E1、E2、E3的肺病理切片)。胃及空肠黏膜水肿、充血、坏死及绒毛脱落情况明显缓解,黏膜层与固有层分离不太明显(图 2中19~21为24 h是E1、E2、E3的胃病理切片;22~24为72 h时空肠的病理切片)。

3 讨论

百草枯随血液到达肺,被肺I型、Ⅱ型肺泡细胞摄取在还原型辅酶Ⅱ(NADPH)的作用下还原为自由基中间体PQ2+,后者与分子氧反应,形成联成吡啶阳离子和超氧阴离子O-2,活化氧系统激活后,后者在超氧化物歧化酶作用下形成过氧化氢(H2O2)。H2O2 在铁催化的Fethon型Haber-Weiss反应中迅速形成毒性更高的羟自由基(·OH)[3]。这一系列反应可引发生物膜多价不饱和脂肪酸均裂,形成脂性自由基和脂质过氧化,使膜受体、膜蛋白、离子通道和膜转运系统等的脂质微环境改变,导致膜结构破坏,同时,自由基引起细胞膜通透性增强,线粒体膜的液态及流动型改变,导致线粒体功能障碍,ATP生成减少,使质膜与肌浆网钙泵失灵,不能将肌浆中过多Ca2+泵出或摄入肌浆网这些因素导致Ca2+超载,成为细胞致死原因。百草枯进入胃肠后酸性缓解使百草枯不易破坏,胃黏膜缺血导致胃黏膜屏障破坏,氢离子的抵抗能力下降,氢离子逆向扩散,导致胃黏膜上皮脱落、坏死、黏膜溃疡、糜烂及出血等症状。最终胃肠道的细菌及毒素排出障碍,出现感染或一系列炎症级联反应。在本实验但中通过病理切片观察发现肺可出现间隔增厚、肺泡结果破坏、炎症细胞浸润和出血等改变。胃可出现黏膜上皮坏死、局部脱落、炎症细胞浸润及腺体减少等改变。空肠同样有绒毛水肿、断裂、剥脱等改变。上述改变随时间的迁延而更加严重。故在早期有效、大量的清除消化道中的百草枯成为了临床治疗的关键。百草枯具有见土钝化的特点,临床上已有使用白陶土及活性炭进行吸附解毒的先例。而蒙脱石散大多以吸附性止泻剂的身份广泛用于临床止泻,其特点是表面积大、吸附作用强、性能稳定。在上述实验中已发现其在早期清除百草枯有一定的效果。三黄泻心汤由大黄、黄连、黄芩组成,具有泻下、解毒等作用。其中大黄中的大黄素能够刺激肠壁细胞释放5-羟色胺,经5-羟色胺受体介导,增加胃肠道收缩及胃肠液分泌。大黄中的大黄酸具有类似乙酰胆碱样作用,能抑制Na+-K+-ATP酶活性进而促进大肠的蠕动。同时大黄能刺激小肠肠壁分泌Ⅱ型磷脂酶、溶菌酶等,进一步增强肠道的黏膜屏障促进肠道黏膜的愈合[2]。故给百草枯中毒的患者使用大黄不仅能在早期清除毒物,而且还能促进受百草枯损伤黏膜的恢复[4]。黄连、黄芩中也存在黄连碱、黄芩甙、黄芩素、汉黄芩素等有效成分具有导泻、抗菌、止血等作用,有利于排出百草枯,抑制细菌的生长。大量的临床试验已经证实百草枯从体内清除的时间快慢直接影响患者的预后。蒙脱石散可与胃肠道内的百草枯结合并充分吸附百草枯,三黄泻心汤能促进排泄,加快毒物的排出。同时二者可保护及修复损伤的胃肠道,抑制炎症介质的释放,阻止百草枯中毒后发生的一系列级联反应,进一步有效减轻大鼠重要器官的损伤。

参考文献
[1] 张楠,逄利,凡文博,等.蛹虫草小分子肽对百草枯致人胚肺成纤维细胞MRC-5过氧化损伤的保护作用[J]. 中国老年医学杂志,2014,21(6):6121-6122.
[2] 王占清,马玉英,尹彩星,等.思密达对百草枯中毒大鼠多器官损伤的作用[J].中华急诊医学杂志,2012,21(8):825-829.
[3] Wilhelm J, Frydrychova M .Hydrogen peroxide in the breath of rats: the effects of hypoxia and paraquat[J].Physiol Res ,1999,48(6):445-449.
[4] 王艳玲,杨秀芳,郑运田,等.大黄治疗急性百草枯中毒的研究[J].现代中西医结合杂志,2014,23(3):256-258.