中华急诊医学杂志  2015, Vol. 24 Issue (12): 1390-1395
骨髓间充质干细胞表面CXCR4过表达影响缺血-再灌注大鼠肾损伤修复的机制研究
司晓芸 , 李静静, 毕晓红, 吴小燕     
430071 武汉,武汉大学中南医院肾内科
摘要目的 观察骨髓间充质干细胞(MSCs)表面 CXCR4受体过表达对大鼠缺血-再灌注(I/R)肾损伤修复的影响。方法 制备I/R肾损伤匀浆,与MSCs共培养,Western blot检测细胞基质细胞衍生因子-1(SDF-1α)和CXCR4膜蛋白表达,Transwell实验观测匀浆处理后MSCs向SDF-1迁移的能力。建立I/R肾损伤模型,观察正常对照组、I/R肾损伤组、MSCs输注组和CXCR4中和抗体干预组病理改变;免疫荧光组织化学法检测肾组织CXCR4蛋白表达;Real-time定量PCR法检测SDF-1α、CXCR4、肝细胞生长因子(HGF)和表皮生长因子(EGF)mRNA表达。多组间比较采用单因素方差分析,两组间比较采用独立样本t检验。结果 SDF-1α蛋白表达在I/R肾损伤匀浆组明显升高,但与CXCR4抗体组间比较差异无统计学意义(t=0.862,P=0.403),I/R肾损伤匀浆能够显著上调MSCs CXCR4蛋白表达(F=95.957,t=10.166,P<0.01),并增强其向SDF-1迁移的能力(F=82.459,t=6.826,P<0.01),CXCR4中和抗体能够显著下调CXCR4蛋白表达(t= 13.657,P<0.01)和抑制迁移 (t=12.662,P<0.01)。I/R肾损伤组大鼠肾皮质肾小管结构破坏,MSCs移植能够改善损伤的肾小管,但修复作用可被CXCR4抗体所抑制。I/R肾损伤组SDF-1α蛋白和mRNA表达升高,但组间差异无统计学意义(F=1.909,P=0.173)。MSCs移植能够显著上调CXCR4蛋白和mRNA表达(F=6.663,P=0.006),随CXCR4表达增加,HGF(F=11.898,P<0.01)和EGF mRNA表达逐渐升高(F=5.309,P<0.05),CXCR4中和抗体能够下调该表达(t=5.312,t=4.310,P<0.01)。 结论 I/R肾损伤时,MSCs表面 CXCR4 受体表达升高,能够促进MSCs迁移,并分泌肾保护性细胞因子促进肾损伤修复。
关键词间充质干细胞     CXCR4受体     缺血-再灌注     大鼠    肾损伤    迁移    旁分泌    修复    
Effects of mesenchymal stem cells surface CXC chemokine receptor 4 over- expression on repair of ischemia reperfusion injured kidney
Si Xiaoyun , Li Jingjing, Bi Xiaohong, Wu Xiaoyan     
Department of Nephrology, Zhongnan Hospital of Wuhan University, Wuhan, 430071, China
Corresponding author: Si Xiaoyun, Email: lzgk.lxm@163.com
Abstract:Objective To observe the effects of mesenchymal stem cells (MSCs) surface CXC chemokine receptor 4 over-expression on the repair of kidney after ischemia reperfusion (I/R) injury. Methods The MSCs were co-cultured with I/R injured renal cell homogenate supernatant. The MSCs surface CXCR4 and stromal cells derived factor-1(SDF-1α) protein levels were detected by Western blot, chemotactic ability of MSCs to SDF-1 was investigated by transwell test. The I/R injured renal model was made and pathological changes were observed in control group, I/R group, MSCs injection group and CXCR4 neutralize antibody group. Renal CXCR4 protein expression was measured by immunofluorescence histochemistry, SDF-1α、CXCR4、hepatocyte growth factor (HGF) and epidermal growth factor (EGF) mRNA were detected by Real-time quantitative polymerase chain reaction (RT-PCR). Comparisons among multiple groups were performed using One-way analysis of variance, and comparisons between groups were carried out using independent-sample t-test. Results In vitro, the SDF-1α protein expression markedly increased in I/R injured renal tissue homogenate, but the difference was not significant between I/R group and CXCR4 antibody group (t=0.862, P=0.403). MSCs surface CXCR4 protein expression increased significantly after co-cultured with I/R injured renal tissue homogenate (F=95.957, t=10.166, P<0.01), and the chemotactic ability of MSCs to SDF-1 increased at the same time (F=82.459, t=6.826, P<0.01), the CXCR4 protein expression (t=13.657, P<0.01) and the chemotactic ability (t= 12.662, P<0.01) could be decreased by CXCR4 neutralize antibody. In vivo, renal tubular structure was destroyed in I/R group. After MSCs injection, the renal pathological injury improved rapidly, but the improvement could be inhibited by CXCR4 antibody. The expression of SDF-1α mRNA and level of SDF-1a protein increased in I/R group, but there was no significant difference among different groups (F=1.909, P=0.173). MSCs injection markedly up-regulated the CXCR4 protein and mRNA expression (F=6.663, P=0.006). Following the increase in CXCR4 expression, the expressions of HGF mRNA(F=11.898,P<0.01)and EGF mRNA(F=5.309,P<0.05)increased gradually which could be restrained by CXCR4 antibody (t=5.312,t=4.310,P<0.01). Conclusions I/R injured renal microenvironment markedly increased the mesenchymal stem cells surface CXCR4 expression, and increased CXCR4 expression can induce MSCs chemotaxis and stimulate the secretion of renal protective growth factors paracrine promoting the repair of the kidney.
Key words: Mesenchymal stem cells     CXC chemokine receptor 4     Ischemia reperfusion injury     Rats     Renal injury     Chemotaxis     Paracrine    Recovery    

尽管骨髓间充质干细胞(MSCs)修复急性缺血-再灌注(I/R)肾损伤已取得一定进展[1],但移植细胞在缺血组织中较低的迁移力限制了其临床应用[2]。SDF-1/CXCR4轴与MSCs迁移和归巢的关系是近年来的研究热点[3]。CXCR4正常情况下只表达于部分MSCs胞膜,高表达的CXCR4主要集中于细胞内部[4]。当机体发生缺血缺氧病变后,CXCR4能够从细胞内部动员至胞膜表面,并沿SDF-1浓度梯度迁移实现归巢[5]。部分研究表明,I/R肾损伤中高表达的SDF-1能够动员MSCs内部CXCR4向胞膜表达并招募MSCs聚集在损伤部位,聚集表达的MSCs又可能促进损伤局部间质细胞释放更多的SDF-1,形成一个反馈刺激网络[6]。但也有研究发现,SDF-1的这种动员作用极其有限,并不能诱导MSCs胞膜表达足够的CXCR4蛋白[7]。另外,有证据表明,移植的外源性MSCs在未迁移至受损肾脏前,损伤肾脏已经得到保护,MSCs可能主要通过旁分泌机制发挥肾保护作用[8]。本研究通过观察SDF-1/ CXCR4轴在I/R肾损伤中的表达变化,分析CXCR4表达与细胞因子分泌间的相关关系,以探索MSCs修复急性I/R肾损伤的可能机制。

1 材料与方法 1.1 实验动物和试剂

SPF级雌性SD大鼠110只(武汉大学动物实验中心,合格证号:SCXK 2008-0004)。兔多克隆 CXCR4抗体(Bioworld,美国),重组 SDF-1 因子(Santa Cruz,美国),CD29、CD34、CD45、CD105(Biolegend,美国),AMD3100(Sigma,美国)。采用SYBR Green PCR master mix试剂盒(Invitrogen,美国)行实时定量PCR检测。

1.2 骨髓MSCs培养和表面标志测定

采用贴壁细胞分离和密度梯度离心相结合的方法。2~3周龄雌性正常SD大鼠5只,分离双侧股骨,无血清L-DMEM培养液冲洗骨髓腔获取骨髓,1∶ 1缓慢注入Percoll淋巴细胞分离液(Amersham,瑞典),离心后吸取界面层单个核细胞接种,37 ℃、5%CO2培养箱静置培养,细胞长至80%融合时传代。取第2代MSCs,胰酶(Gibco,美国)消化成单个细胞,PBS洗涤,流式细胞仪(BD公司,美国)检测MSCs表面标志CD29、CD34、CD45、CD105表达。

1.3 I/R肾损伤匀浆制备与细胞分组

8周龄雌性SD大鼠9只,腹横切口入腹腔,分离两侧肾蒂,无损伤动脉夹持续夹闭两侧肾蒂40 min,开放动脉夹,再灌注60 min无菌取肾。在超净工作台中剪碎肾皮质,以PBS作匀浆剂,在玻璃匀浆器中制备I/R匀浆。收集匀浆液以1 500 r/min离心15 min,留取上清液,0.22 μm孔径一次性无菌滤器过滤,1.5 mL无菌EP管分装,-70 ℃冷冻保存备用。取第3代纯化的MSCs,在6 mm的培养板中培养,MSCs组采用L-DMEM培养液,10%胎牛血清(Hyclone,美国);匀浆组采用L-DMEM培养液,10%胎牛血清,20%大鼠I/R损伤肾脏组织匀浆;CXCR4抗体组采用L-DMEM培养液,10%胎牛血清,20%大鼠I/R损伤肾脏组织匀浆,抗CXCR4单抗(AMD3100 100 μg/mL)。各组均培养72 h。

1.4 Western blot

细胞接种于6 孔板,RIPA裂解液裂解,提取细胞总蛋白,BCA(博士德,武汉)法测定蛋白浓度。每组上样量50 μg,4 ℃,12%的SDS-PAGE凝胶中电泳后,0.2 mA 1 h转印至PVDF膜上,5%脱脂奶粉室温封闭2 h,加入SDF-1α抗体或CXCR4抗体4 ℃孵育过夜,二抗室温孵育2 h洗膜。ECL化学发光法显色,凝胶成像系统采集图像,以β-actin为内参进行蛋白半定量分析。

1.5 体外跨膜迁移实验

取Transwell小室放入24孔板中,小室滤膜的上方加20 μg Matrigel形成基质胶层,调整MSCs细胞浓度为3×104/mL。下室加600 μL含有SDF-1α (100 ng/mL)的10% FCS-DMEM培养基;MSCs组:上室加100 μL含有MSCs的细胞培养液;匀浆组:上室加100 μL含有20%损伤肾组织匀浆的细胞培养液;CXCR4抗体组:上室加100 μL含有20%损伤肾组织匀浆和CXCR4单抗(AMD3100 100 μg/mL)的细胞培养液。每组8个孔。37℃温箱孵育12 h后,保留侵袭至微孔膜下表面的细胞,无水乙醇固定,DAPI染色,荧光显微镜下计数迁移至微孔膜背面的细胞数。实验重复3次。

1.6 I/R肾损伤模型的建立和分组

96只雌性SD大鼠,腹横切口入腹腔,分离两侧肾蒂,无损伤动脉夹持续夹闭两侧肾蒂40 min,开放动脉夹,再灌注60 min后缝合腹腔,制备肾I/R模型。随机(随机数字法)分为对照组、I/R组(尾静脉输注1 mL生理盐水)、 MSCs组(I/R模型建立6~8 h后经尾静脉输注4×106个悬浮于1 mL生理盐水中的MSCs)、CXCR4抗体组:先将抗CXCR4单抗(AMD3100) 100 μg/mL与MSCs在5%CO2、37℃作用2 h后输注。每组24只。大鼠于1 d、3 d、7 d时杀检(每个时相点8只)。

1.7 组织学和损伤评分

石蜡切片厚2 μm,常规脱蜡水化后行HE染色,显微镜下观察并照相。

1.8 免疫荧光组织化学

5 μm厚的肾组织冰冻切片经5%牛血清白蛋白37 ℃封闭30 min,CXCR4兔抗鼠多克隆抗体(1∶ 50)4 ℃过夜,FITC标记的山羊抗兔IgG(1∶ 100;Pierce,美国)37 ℃避光孵育90 min,封片后荧光显微镜下观察肾组织CXCR4表达并照相。

1.9 Real-time定量PCR

Trizol (Invitrogen,美国)法提取肾皮质总RNA。使用SYBR Green PCR master mix试剂盒进行实时定量PCR检测。引物序列如下:SDF-1α:上游引物5’-ACA CTC CAA ACT GTG CCC TTC-3’;下游引物5’-GGC TTT GTC CAG GTA CTC TTGG-3’,片断长度107 bp;CXCR4:上游引物5’-GCT AAC ACT TAC GCA AAG ACA T-3’,下游引物5’-CGT GAA ACA GAC AAA CAA CAG-3’,片断长度232 bp;肝细胞生长因子(HGF):上游引物5’-CAA CGC AGA TGG TTT ATT ACG AG-3’,下游引物5’-ATC CAC GAC CAG GAA CAA TGAC-3’,片断长度221 bp;表皮生长因子(EGF):上游引物:5’-AAC ACG GAG GGA GGC TAC AAC-3’,下游引物5’-CGG TCC ACG GAT TCA ACA TAC-3’,片断长度200 bp;β-actin:上游引物5’-CGT TGA CAT CCG TAA AGA CCTC-3’,下游引物5’-TAG GAG CCA GGG CAG TAA TCT-3’,片断长度110 bp。反应体系如下:酶激活,94 ℃,1 min、扩增反应95 ℃,15 s、变性50 ~60 ℃,15 s、退火59 ℃,15 s、延伸72 ℃,45 s,共40个循环。计算对比的样本间基因表达的差异(ΔΔCt),采用2-ΔΔCt法进行数据的相对定量分析。

1.10 统计学方法

用SPSS 13. 0统计软件进行分析,正态分布数据以均数±标准差(x±s)表示,多组间差异采用ANOVA单因素方差分析,两组间比较采用独立样本t检验,以P<0. 05为差异具有统计学意义。

2 结果 2.1 骨髓MSCs培养与鉴定

刚接种的 MSCs细胞呈圆形,大小不一。细胞传代后增殖较快,绝大部分为细长梭形细胞,也有扁平形带突起的细胞,似成纤维样细胞。第3代细胞呈长梭形,边界清楚,胞核饱满居中,呈放射状或旋涡样排列。见图 1。P2代MSCs经流式细胞仪检测,表面标志CD29+CD105阳性表达率为97.18%,CD34、CD45阳性表达率分别为1.37%、0.95%,符合间充质干细胞表面特征。见图 2

A:第3代MSCs(5d×40);B:第3代MSCs(2d×100) 图 1 骨髓间充质干细胞形态 Fig 1 Morphology of mesenchymal stem cells
图 2 骨髓MSCs表面标志物鉴定(流式细胞仪) Fig 2 Surface markers identification of mesenchymal stem cells by flow cytometry
2.2 Western blot蛋白免疫印迹

与MSCs组比较(0.54±0.11),SDF-1α蛋白表达在I/R肾损伤匀浆组(1.66± 0.18,F=139.652,t=14.609,P<0.01)明显升高,但与CXCR4抗体组间比较差异无统计学意义(1.59±0.14,t=0.862,P=0.403)。I/R肾损伤匀浆能够显著上调MSCs CXCR4蛋白表达(1.48±0.15 vs. 0.69±0.16,F=95.957,t=10.166,P<0.01),CXCR4中和抗体能够明显下调CXCR4蛋白表达(0.62±0.09),差异有统计学意义(t= 13.657,P<0.01)。见图 3

1:MSCs组;2:MSCs+匀浆组;3:MSCs+匀浆+CXCR4抗体组。SDF-1α蛋白:在匀浆组和CXCR4抗体组显著升高,但2组间差异无统计学意义;CXCR4蛋白:匀浆组显著升高,CXCR4抗体组明显下降 图 3 Western blot 检测MSCs SDF-1α和CXCR4蛋白表达 Fig 3 SDF-1α and CXCR4 protein expression in three groups by western blot
2.3 MSCs迁移细胞计数

I/R肾损伤匀浆能够诱导MSCs迁移(38.92±6.79个/cm2),迁移细胞数明显高于MSCs组(18.47±5.02个/cm2F=82.459,t=6.826,P<0.01),CXCR4中和抗体能够明显下调MSCs迁移(7.03±2.14个/cm2t=12.662,P<0.01)。见图 4

A:MSCs组迁移细胞;B:MSCs+匀浆组迁移细胞明显增加;C:MSCs+匀浆+CXCR4抗体组迁移细胞显著减少 图 4 Transwell实验计数各组迁移细胞数(荧光显微镜 ×200) Fig 4 Evaluation of MSC migration in three groups by transwell test(×200)
2.4 肾组织病理学改变

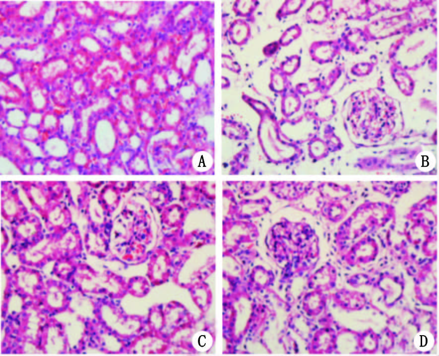
I/R组大鼠肾皮质结构几乎消失,肾小管上皮细胞刷状缘扁平、皱缩、脱落,核深染和裸露,细胞片状坏死、脱落,基底膜不完整,髓质部分肾小管结构完全破坏,肾间质见大量炎性细胞浸润,损伤在1 d时明显加重,3 d时达高峰。MSCs细胞移植后能够明显改善损伤的肾小管;这种修复作用可被CXCR4中和抗体所抑制。见图 5

A:正常组;B:I/R组;C:I/R+MSCs组;D:I/R+MSCs+CXCR4抗体组 图 5 3 d时各组大鼠肾组织病理改变(HE×200) Fig 5 Observation of renal pathological changes at three days by HE staining(HE×200)
2.5 肾皮质CXCR4蛋白表达

免疫荧光组织化学结果显示,I/R组CXCR4蛋白表达增多(0.91±0.19 vs. 0.09±0.02,F=286.23,t=12.403,P<0.01),MSCs移植能够明显升高I/R大鼠CXCR4蛋白表达(3.49±0.38,t=17.277,P<0.01),CXCR4中和抗体能够显著下调I/R大鼠CXCR4表达(1.97±0.25,t=9.499,P<0.01)。见图 6

A:正常组;B:I/R组CXCR4蛋白表达增多;C:I/R+MSCs组CXCR4蛋白表达明显增加;D:I/R+MSCs+CXCR4抗体组CXCR4蛋白表达显著下调 图 6 3 d时各组大鼠肾皮质CXCR4蛋白表达(免疫荧光×200) Fig 6 Renal cortical CXCR4 protein expression at three days by immunofluorescence histochemistry(×200)
2.6 Real-time定量PCR

I/R模型大鼠1 d时出现SDF-1α mRNA显著表达(3.55±0.33),3 d(3.64±0.38)和7 d(3.94±0.52)时持续升高,SDF-1α mRNA表达量各组间差异不显著(F=1.909,P=0.173)。MSCs移植能够明显增加I/R大鼠CXCR4 mRNA表达,3 d时达高峰(2.11±0.32 vs. 2.94±0.55 vs. 2.58±0.46,F=6.663,P=0.006),CXCR4中和抗体能够显著下调CXCR4 mRNA表达(1.42±0.11 vs. 2.94±0.55,t=7.698,P<0.01)。MSCs移植后,随时间延长,大鼠肾皮质HGF mRNA(3.28±0.94 vs. 4.92±1.12 vs. 5.96± 1.25,F=11.898,P<0.01)和EGF mRNA(2.46±0.77 vs. 3.16±0.41 vs. 3.74±1.05,F=5.309,P=0.014)表达逐渐升高,7d时达高峰,这种表达可被CXCR4中和抗体所抑制(HGF:3.11±0.86 vs. 5.96±1.25,t=5.312,P<0.01;EGF:2.08±0.29 vs. 3.74±1.05,t=4.310,P<0.01)。

3 讨论

MSCs对急性I/R肾损伤具有明显的治疗作用,能迅速改善肾功能异常、促进血管新生、抑制肾小管上皮细胞凋亡,使残存的肾小管上皮细胞去分化成具有分裂功能的细胞,再增殖、分化成成熟细胞,以此改善和促进局部损伤肾脏结构和功能恢复[9]。但目前MSCs移植主要通过静脉注射方式,因此细胞对损伤部位的趋向和迁移数量就成为研究热点。近年来研究发现,SDF-1/CXCR4轴与MSCs迁移和归巢密切相关。

SDF-1又称为基质细胞衍生因子-1,是骨髓基质细胞产生的CXC类趋化蛋白[10]。SDF-1 mRNA在不同组织的间质细胞、内皮细胞以及肝、脾、肾、心、脑和肺中表达水平较高,并在不同种属之间具有高度保守性。CXCR4是目前已知SDF-1唯一的受体,编码基因位于4号染色体,有7个跨膜α螺旋,由352个氨基酸组成[11]。急性缺血-再灌注肾损伤时,损伤肾组织局部高表达SDF-1,能够诱导CXCR4+ MSCs沿SDF-1浓度梯度迁移归巢并发挥损伤修复作用。本研究中,无论是体外I/R肾组织匀浆还是I/R动物模型中,均观察到明显升高的SDF-1 mRNA和蛋白,表明损伤肾组织能够表达高浓度的SDF-1,成为启动SDF-1/CXCR4轴的始动因素。但研究同时观察到,伴随SDF-1表达升高,体内体外MSCs CXCR4表达虽然也明显升高,但给予CXCR4特异性中和抗体干预后,SDF-1表达在各组间差异并无显著性,推测SDF-1可能并不是活化MSCs并动员CXCR4膜转移的主要因素。

正常情况下,仅少部分MSCs胞膜表达 CXCR4,高表达的CXCR4受体主要集中于细胞内部。骨髓中的 MSCs 虽能表达较高水平的 CXCR4,但随着体外培养时间的延长,MSCs 膜表面CXCR4表达逐渐降低。虽然肾组织中存在SDF-1的持续高表达,但由于外源性的MSCs并不能表达足够量的CXCR4蛋白,这将阻碍MSCs有效迁移和归巢于损伤肾脏。因此,提高MSCs的CXCR4 表达,将会对其增殖、迁移起到促进作用。本研究中,当采用I/R肾损伤匀浆刺激MSCs后,MSCs表面出现显著CXCR4表达,与此同时,高表达CXCR4的MSCs向SDF-1的趋化作用明显增强。在体内试验中,随CXCR4表达升高,损伤的肾组织修复也得到显著改善,这种改善作用可被CXCR4中和抗体所抑制。在急性I/R肾损伤中,缺氧诱导因子-1、转化生长因子β1等多种细胞因子分泌增加,给予缺氧诱导因子刺激MSCs,其表面活性 CXCR4的表达水平明显提高,并且MSCs沿 SDF-1α浓度梯度迁移的能力也得到相应的提高[12]。将NOD/SCID鼠幼T细胞在TGF-β1中预孵育24 h,T细胞表面CXCR4表达也显著上调[13]。损伤肾组织中MSCs 膜表面 CXCR4 受体表达增加是否与这些细胞因子有关尚有待进一步的研究。

I/R肾损伤时,损伤的细胞产生大量促炎因子,而一些有助于坏死肾小管修复的细胞因子却显著下降。如果可以采取措施抑制促炎因子分泌、上调有助于肾损害修复的细胞因子表达,势必有助于肾功能恢复[14]。近年来研究发现,移植的外源性MSCs在未迁移至受损肾脏前,损伤肾脏已经得到保护,推测旁分泌机制可能也在MSCs肾修复中起重要作用。HGF可以加速肾小管上皮细胞有丝分裂、抑制小管细胞凋亡、促进细胞增殖,还可阻止炎症细胞浸润和抑制肿瘤坏死因子-α、单核细胞趋化蛋白等致炎因子的表达,是急性肾损伤修复时肾小管上皮细胞保护、生长、形态发生的重要基质信号[15]。EGF则来源于肾脏,主要分布于肾小球上皮细胞、间质细胞、系膜细胞等部位,是近端肾小管上皮细胞最有效的有丝分裂因子,对促进肾小管增生、维持肾脏细胞存活发育成熟起着重要作用[16]。本研究观察到,缺血-再灌注肾损伤时,HGF和EGF表达显著下调,给予MSCs输注后,随CXCR4表达升高,HGF和EGF表达也逐渐升高,用CXCR4中和抗体抑制CXCR4表达,则HGF和EGF表达随之下降。推测缺血-再灌注肾损伤微环境能够激活MSCs促进CXCR4表达,CXCR4过表达上调肾保护性因子分泌,促进肾损伤修复。

参考文献
[1] Wang Y, He J, Pei X, et al. Systematic review and meta-analysis of mesenchymal stem/stromal cells therapy for impaired renal function in small animal models[J]. Nephrology (Carlton), 2013, 18(3): 201-208.
[2] Fang ZQ, Ye BW, Liu YL,et al. Localized expression of human BMP-7 by BM- MSCs enhances renal repair in an in vivo model of ischemia-reperfusion injury[J]. Genes Cells, 2012, 17(1): 53-64.
[3] Yuan L, Sakamoto N, Song G, et al. Low-level shear stress induces human mesenchymal stem cell migration through the SDF-1/CXCR4 axis via MAPK signaling pathways[J]. Stem Cells Dev, 2013, 22(17): 2384-2393.
[4] Uchida D, Onoue T, Kuribayashi N, et al. Blockade of CXCR4 in oral squamous cell carcinoma inhibits lymph node metastases[J]. EurJCancer, 2011, 47(3): 452-459.
[5] Stokman G, Stroo I, Claessen N, et al. SDF-1 provides morphological and functional protection against renal ischaemia/reperfusion injury[J]. Nephrol Dial Transplant, 2010, 25(12): 3852-3859.
[6] Gong J, Meng HB, Hua J, et al. The SDF-1/CXCR4 axis regulates migration of transplanted bone marrow mesenchymal stem cells towards the pancreas in rats with acute pancreatitis[J]. Mol Med Rep, 2014, 9(5): 1575-1582.
[7] M, Miekus K, Majka M. Downregulation of the CXCR4 receptor inhibits cervical carcinoma metastatic behavior in vitro and in vivo[J]. IntJOncol, 2014, 44(6): 1853-1860.
[8] Guiducci S, Manetti M, Romano E, et al. Bone marrow-derived mesenchymal stem cells from early diffuse systemic sclerosis exhibitaparacrine machinery and stimulate angiogenesis in vitro[J]. Ann Rheum Dis, 2011, 70(11): 2011-2021.
[9] 李玲莉, 丁国华, 魏捷, 等. 骨髓间充质干细胞在肾缺血-再灌注损伤早期的抗凋亡作用[J]. 中华急诊医学杂志, 2008, 17(12): 1275-1278.
[10] Liu N, Tian J, Cheng J, et al. Effect of erythropoietin on the migration of bone marrow-derived mesenchymal stem cells to the acute kidney injury microenvironment [J]. Exp Cell Res, 2013, 319(13): 2019-2027.
[11] Liu H, Liu S, Li Y, et al. The role of SDF-1-CXCR4/CXCR7 axis in the therapeutic effects of hypoxia-preconditioned mesenchymal stem cells for renal ischemia/reperfusion injury[J]. PLoS One, 2012, 7(4): e34608.
[12] Liu H, Xue W, Ge G, et al. Hypoxic preconditioning advances CXCR4 and CXCR7 expression by activating HIF-1α in MSCs[J]. Biochem Biophys Res Commun, 2010, 401(4): 509-515.
[13] Si XY, Li JJ, Yao T, et al. Transforming growth factorβ1 in the micro- environment of ischemia reperfusioninjured kidney enhances the chemotaxis of mesenchymal stem cells to stromal cellderived factor1 through upregulation of surface chemokine (CXC motif) receptor 4[J]. Mol Med Rep, 2014, 9(5): 1794-1798.
[14] 谢晓强, 吕碧锋, 章振保, 等. G-CSF动员骨髓干细胞向缺血-再灌注肾脏归巢并促进肾脏修复的研究[J]. 中华急诊医学杂志, 2012, 21(5): 491-496.
[15] Zhou D, Tan RJ, Lin L, et al. Activation of hepatocyte growth factor receptor, c-met, in renal tubules is required for renoprotection after acute kidney injury[J]. Kidney Int, 2013, 84(3): 509-520.
[16] Mulder GM, Nijboer WN, Seelen MA, et al. Heparin binding epidermal growth factor in renal ischaemia/reperfusion injury[J]. J Pathol, 2010, 221(2): 183-192.