兰州大学第一医院急诊科(王奇坤、张娈娈、周荣);
兰州大学第一医院普外科(柴琛);
解放军第一医院检验科(岳建云、,鲁彦);
上海市精神卫生中心(郭晓云)
急性胰腺炎是胰腺的急性炎症反应[1, 2],大约15%的患者进展为重症急性胰腺炎(severe acute pancreatitis,SAP),病死率可达13%[3, 4],引起胰腺炎炎症扩散、病情加重、多器官功能障碍以致死亡的重要原因是炎症介质的释放[5]。一氧化氮[6]、一氧化碳[7]和硫化氢[8]等气体信号分子与炎症性疾病关系密切已有报道。二氧化硫(SO2)是一种大气污染物,对机体有毒性作用。近期的研究提示,内源性SO2可由体内含硫氨基酸(L-半胱氨酸等)代谢过程中在谷氨酸-草酰乙酸转移酶的作用下产生[9]。SO2具有抑制钙通道开放、减轻心肌损伤、舒张血管、改善心功能、抗动脉粥样硬化等生理学作用。因此SO2很可能是一种新的气体信号分子[10]。SO2与急性肺炎[11]、脓毒症[12]等炎症性疾病密切相关,但SO2与SAP有无关联目前未见文献报道。本实验观测SO2在SAP大鼠胰腺组织、肺组织、肝组织、肾组织及血清中的分布与水平变化,探讨SO2是否与SAP发病相关。
1 材料与方法 1.1 实验动物SPF成年雄性SD大鼠32只,体质量250~300 g,购自甘肃中医学院实验动物中心,动物许可证号:SCXR(甘)2011-0001。实验室室温24~26 ℃。适应性饲养1周后,随机(随机数字法)分为假手术组、SAP术后3 h、6 h和12 h共4组(每组n= 8)。
1.2 主要试剂与仪器RT-2100C型Rayto全自动酶标分分析仪购自上海爱丁堡生物科技发展有限公司; WSZ-261-79 型电热恒温水浴箱系上海跃进医疗器械厂生产;ELX50BioTek自动洗板机购自上海京工实业有限公司;大鼠二氧化硫ELISA试剂盒购自北京冬歌生物科技有限公司。戊巴比妥钠、牛磺胆酸钠均购自美国Sigma 公司。
1.3 方法 1.3.1 SAP 大鼠模型制备术前大鼠禁食12 h,禁水6 h。参照张永等[13]的方法制作大鼠SAP 模型。SAP模型制作方法简述如下:大鼠腹腔注射2% 的戊巴比妥钠(30 mg/kg)麻醉大鼠。麻醉后大鼠仰卧位固定于手术台上,备皮、消毒、铺洞巾后,剑突下1 cm沿腹正中切开2 cm皮肤,逐层进腹,在肝十二指肠韧带下方胰腺中间可见透明胰管。用动脉夹夹闭肝门端胰胆管。选用4.5号细头皮针于十二指肠乳头附近经十二指肠壁穿刺,逆行进入胰管约0.5 cm,小动脉夹固定,微量注射泵匀速(0.2 mL/min)注入5% 牛磺胆酸钠1.0 mL/kg,注射完毕10 min 后松开小动脉夹。观察胰腺出现水肿且伴出血灶,提示SAP 动物模型已建立;退针,肠管复位,逐层缝合腹壁切口。假手术组仅翻动胰腺后立即取组织。大鼠术后大腿外侧皮下注射无菌生理盐水(2 mL/100 g),苏醒后禁食,自由饮水。
1.3.2 标本处理假手术组及SAP组大鼠腹腔注射戊巴比妥(30 mg/kg) 麻醉后迅速分离胰腺、肺、肝、肾及血液。动物组织在1∶ 10 PBS 液中4 ℃匀浆,3 000r/min 离心20 min 后取上清。血液样本室温自然凝固15 min,3 000r/min 离心20 min 后取上清。所有标本液氮迅速冷冻,-20 ℃冻存。
1.3.1 内源性SO2的测定组织匀浆及血清中SO2水平采用应用双抗体夹心法测定。将特异性抗体结合到固相载体上形成固相抗体,然后和待检血清中的相应抗原结合形成免疫复合物,洗涤后再加酶标记抗体,与免疫复合物中抗原结合形成酶标抗体-抗原-固相抗体复合物,加底物显色,判断抗原含量。所有操作均由熟练的技术员严格按试剂盒说明进行。
1.4 统计学方法所有的连续变量均通过正态性检验,符合正态分布的计量资料用均数±标准差(x±s)表示。所有数据采用SPSS 19.0软件做统计学处理,两组间的比较采用成组t检验,多组间的比较采用单因素方差分析,以P<0.05为差异具有统计学意义。
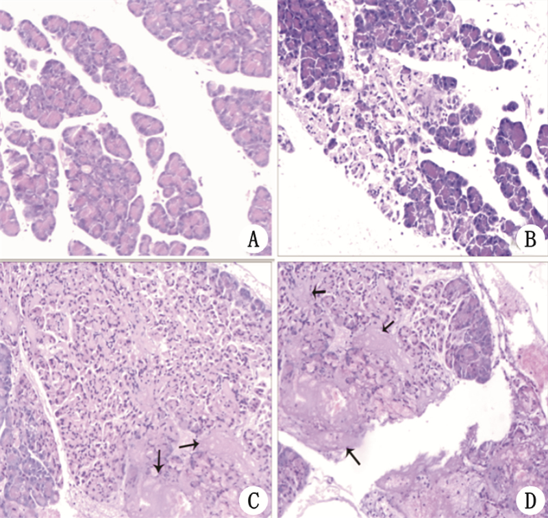
2 结果 2.1 假手术组及SAP组大鼠胰腺组织病理假手术组大鼠胰腺细胞形态规则,未见炎细胞。SAP 3 h组可见胰腺细胞变性,有点状、灶状坏死区;SAP 6 h组可见胰腺细胞片状坏死,炎细胞较多;SAP 12 h组可见大片凝固性坏死,胰腺细胞结构消失,炎细胞浸润(图1)。
![]() |
| A:假手术组;B:SAP术后3 h组;C:SAP术后6 h组;D:SAP术后12 h组 图 1 各组大鼠胰腺组织病理学改变(HE×100)(箭头所示为坏死灶) Fig 1 Morphologic changes of pancreatic tissue in groups(HE×100)(indicated by the arrows for focal necrosis) |
假手术组大鼠血清中的SO2水平为 (14.61 ± 0.68) μmol /g。肝组织中SO2水平最高(1.62 ± 0.11 μmol /g),其次是胰腺组织(1.57 ± 0.07 μmol /g)、肺组织(1.51 ± 0.15 μmol /g)和肾组织(1.07 ± 0.10 μmol /g)。和肾组织相比,P<0.05,见图2。
![]() |
| 与肾组织比较,aP<0.05 图 2 假手术组胰腺组织、肝组织、肺组织和肾组织中SO2含量 Fig 2 The sulfur dioxide content in pancreas, liver, lung or kidney tissues in rats of sham operation group |
假手术组大鼠血清中SO2浓度为(14.61 ± 0.68) μmol /g。SAP大鼠血清中SO2水平随时间延长逐渐升高(F= 22.718,P< 0.05)。术后6 h开始有统计学意义( 16.80 ± 1.27) μmol /g,t=4.311,P<0.05,12h血清中SO2水平达最高(18.88±1.56) μmol /g,t=7.120,P<0.05,见图3。
![]() |
| 与假手术组相比,aP<0.05 图 3 SAP大鼠血清中SO2水平变化 Fig 3 The changes of SO2 level in serum of SAP rats |
假手术组大鼠胰腺、肝、肺、肾内的含量分别为:(1.57±0.07)、(1.61±0.11)、(1.51±0.15)、(1.07±0.10) μmol /g。SAP大鼠胰腺、肝、肺及肾中SO2水平随时间延长而逐渐升高(F=36.963、 28.741、41.730、43.691 ,P<0.05),术后6 h胰腺、肝、肺及肾中 SO2的水平依次为(1.89±0.17)、(1.92±0.16)、(1.91±0.15)、(1.30±0.10) μmol /g,与假手术组比较。差异具有统计学意义(t=5.125、4.469、5.152、4.693、 4.311,P<0.05)。12 h达最高,胰腺、肝、肺及肾中 SO2的水平依次为(2.31±0.23)、(2.22±0.15)、(2.17±0.07)、(1.55±0.11) μmol/g,与假手术组比较,差异具有统计学意义(t=8.623、9.263、10.764、9.357、7.120,P<0.05,图4)。
![]() |
| 与假手术组相比,aP<0.05 图 4 SAP大鼠胰腺组织、肝组织、肺组织及肾组织中SO2水平变化 Fig 4 SO2 change in pancreas, liver, lung and kidney tissues of SAP rats |
本实验假手术组的大鼠SO2含量由高到低为血清、肝、胰腺、肺和肾组织,与Luo和杜淑旭的研究结果不同。Luo等[14]研究发现,SO2在Wistar大鼠的胃的含量最高,其次依次为右心室、左心室、大脑灰质、胰腺、肺、大脑白质、肾髓质、脾脏、肾皮质和肝。杜淑旭等[15]研究认为,在正常Wistar大鼠各组织中均含有一定量的亚硫酸盐,动脉血管中的含量明显高于其它组织,主动脉和肺动脉中的亚硫酸盐含量较高,其次是肠系膜动脉、尾动脉和肾动脉。亚硫酸盐在肺、肝、心和肾中的含量大致相等(0.95 ~1.78)μmol/g。本实验研究结果与文献报道结果不一致的原因可能是,(1)动物品系不同,本实验采用SD大鼠,杜淑旭采用Wistar大鼠;(2)本实验动物模型进行了开腹、腹翻动胰腺等操作,杜淑旭等[15]采用的是正常大鼠立即取组织;(3)测定方法不同,本实验采用Elisa试剂盒测定SO2含量,上述文献采取高效液相色谱荧光法检测。
本实验室以往的研究表明,SO2可能与脓毒症有一定的相关性[12]。SO2在炎症性疾病中的作用尚不明确。SO2及其衍生物在参与炎症过程既有炎症介质[11, 16]的作用,又有抑制炎症[17]的作用。研究认为造成这种相反结果的原因可能为:(1)给药方式不同,慢性接触或吸入二氧化硫可能对哺乳动物有害;(2)给药剂量不同,高浓度的二氧化硫是有害的,但是基础或低浓度是有益的。SO2在炎症性疾病中的作用有待于进一步研究。
SO2及其衍生物还具有舒张血管、抑制钙通道开放、减轻心肌损伤、改善心功能、抗动脉粥样硬化等作用,可能作为一种内皮源性超极化因子参与心血管系统功能调节。目前还没有发现SO2的特异性信号通路,对SO2的认识仍处于探索阶段。有关SO2在各种生理状态下,对全身或局部炎症的影响,以及在重症急性胰腺炎发病中的作用、机制有待进一步研究。
| [1] | Wang YZ, Wang SW, Zhang YC, et al. Protective effect of exogenous IGF-I on the intestinalmucosal barrier in rats with severe acute pancreatitis[J]. WorldJEmerg Med, 2012, 3(3) :200-213. |
| [2] | Yin K, Dang SC,Zhang JX. Relationship between expression of triggering receptor-1 on myeloid cells in intestinal tissue and intestinal barrier dysfunction in severe acute pancreatitis[J]. WorldJEmerg Med, 2011, 2(3) :216-221. |
| [3] | Guo Q, Li A, Xia Q, et al. The role of organ failure and infection in necrotizing pancreatitis:aprospective study[J]. Ann Surg, 2014, 259(6): 1201-1207. |
| [4] | 王春耀,杜斌. 急性重症胰腺炎诊治进展[J]. 中华急诊医学杂志, 2014, 23(10): 1073-1075. |
| [5] | 祝益民,彭亚. 重症胰腺炎的早期多学科联合救治策略[J]. 中华急诊医学杂志, 2014, 23(10): 1076-1078. |
| [6] | 王强. 一氧化氮在炎症反应中的作用[J]. 医学综述, 2002, 8(4): 198-202. |
| [7] | Qin W, Zhang J, Lv W, et al. Effect of carbon monoxide-releasing molecules Ⅱ-liberated CO on suppressing inflammatory response in sepsis by interfering with nuclear factor kappaBactivation[J]. PLoS One, 2013, 8(10): e75840. |
| [8] | 郑一诫,储以微.气体分子硫化氢在炎症与免疫调节中的研究进展[J]. 生命科学, 2010, 22(10): 1025-1029. |
| [9] | Kunert J. Metabolism of sulfur-containing amino acids in the dermatophyte Microsporum gypseumINeutral amino acids[J].JBasic Microbiol, 1985, 25(1): 29-37. |
| [10] | Wang XB, Jin HF, Tang CS, et al. Significance of endogenous sulphur-containing gases in the cardiovascular system[J]. Clin Exp Pharmacol Physiol, 2010, 37(7) :745-752. |
| [11] | Mitsuhashi H, Ikeuchi H, Yamashita S, et al. Increased levels of serum sulfite in patients with acute pneumonia[J]. Shock, 2004, 21(2) :99-102. |
| [12] | 李斌, 鲁彦, 岳建云, 等. 脓毒症大鼠体内内源性二氧化硫的分布[J]. 医学研究杂志, 2013, 42(2) :31-34. |
| [13] | 张永, 李斌, 鲁彦, 等. 外源性硫化氢对急性坏死性胰腺炎的影响[J]. 中国普外基础与临床杂志, 2013. 20(4): 385-388. |
| [14] | Luo L, Chen S, Jin H, et al. Endogenous generation of sulfur dioxide in rat tissues[J]. Biochem Biophys Res Commun, 2011, 415(1) :61-67. |
| [15] | 杜淑旭, 金红芳, 卜定方, 等. 内源性二氧化硫及其生成酶在大鼠体内的生成与分布[J]. 中国病理生理杂志, 2008, 24(11) :2108-2112. |
| [16] | Kajiyama H, Nojima Y, Mitsuhashi H, et al. Elevated levels of serum sulfite in patients with chronic renal failure[J].JAm Soc Nephrol, 2000, 11(5): 923-927. |
| [17] | 田悦,汤秀英,金红芳,等. 二氧化硫对低氧性肺动脉高压大鼠肺动脉结构的影响[J]. 中华儿科杂志, 2008, 46(9) :675-679. |
2015, Vol. 24






