中华急诊医学杂志  2015, Vol. 24 Issue (9): 1050-1051
巨大囊肿性胎粪性腹膜炎全肠坏死一例
白晓霞,王正平,张晓辉,杨小福,贺晶     
310006 杭州,浙江大学医学院附属妇产科医院产科

胎粪性腹膜炎(meconium peritonitis,MP)是宫内肠穿孔胎粪渗漏入腹腔引起的无菌性化学性腹膜炎[1],相关报道可追溯到20世纪30年代[2]。如肠穿孔在胎粪长期溢漏后才封住,则可有膜状组织包裹漏液和部分肠袢,形成囊肿,如持续漏粪则囊肿逐渐增大甚至充满整个腹腔[1]。活产婴儿中巨大囊肿性MP发病率低,发生全肠坏死的存活儿未见报道,现就巨大囊肿性MP全肠坏死一例报道如下。

1 资料与方法

患者24岁,已婚(表兄妹结婚),阿拉伯民族,伊拉克共和国人。孕25周B超提示胎儿腹腔内囊性包块(约5 cm),内见分隔,透声差,拒绝产前诊断,坚持继续妊娠,不定期产前检查发现胎儿生长发育尚正常,腹腔内包块逐渐增大。

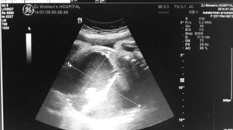
停经37+2周B超示:胎儿腹腔内12.2 cm×9.2 cm×7.2 cm液性暗区,内见分隔样回声,透声差(图 1),同日阴道分娩一男婴,Apgar评分8~9分/1~5 min,体质量2 750 g。新生儿查体:腹胀明显,腹部X线结果:腹部膨隆,两侧膈下无游离气体影,腹腔内中下腹部见不规则团片状及点状稍高密度及高密度影,最大为1.6 cm×1.2 cm,腹内显示少许肠管内有气体,未见明显气-液平面,诊断结果:腹腔囊肿,畸胎瘤?(图 2)。初步诊断:先天性腹腔囊肿,需手术治疗转入浙江大学医学院附属儿童医院。

图 1 孕妇产前B超结果

图 2 新生儿腹部X线结果

出生后24 h行剖腹探查术,发现腹腔内大量气体和淡黄绿色粪性腹水共约800 mL,肠管大网膜广泛粘连、大量钙化纤维块形成、小肠距屈氏韧带约2.5 cm处肠管坏死穿孔、近端肠管水肿淤血伴扩张、断端大便漏出。处理:近端小肠穿孔处于左下腹壁造瘘、腹腔冲洗并留置引流管,术后诊断MP。术后禁食、胃肠减压、腹腔引流、全静脉营养、抗感染、输血和切口换药等支持治疗,术后腹部感染严重,切口裂开并有大量黄绿色粪液流出。术后15 d二次剖腹探查,发现仅十二指肠血供尚可、其余肠管全部坏死,行坏死肠管切除、屈氏韧带处结扎十二指肠,术后持续如前对症支持治疗,但仍存在切口感染和排出十二指肠液。术后41 d第3次剖腹探查:发现腹腔内粘连严重、十二指肠水平部破裂,行粘连分离、沿破裂处切除远端肠管、荷包缝合十二指肠水平部并在上腹部造瘘,术后同上支持对症治疗。患儿全肠切除术后持续胃肠外营养,现18个月龄,体质量12 kg,智力体格发育无明显异常,等待肠移植。家属一直积极联系国外医院希望转运并进行肠移植手术,目前仍在等待中。

2 讨论

活产婴儿中MP发病率为1/30 000~35 000[3]。1966至1986年报道的MP病死率为43.7%~59.6%,近年降至16%~20%,产前诊断的胎粪性腹膜炎病死率为11%~14%,明显低于新生儿期诊断者40%~50%[4],这种良性变化趋势与MP产前诊断水平提高和围产期处理得当有关。

超声检查是诊断MP的主要方法,MP的超声声像图复杂多变并呈动态改变[5],早期胎儿肠管穿孔胎粪渗入腹腔可刺激腹膜产生炎性腹水,随后纤维素渗出和纤维母细胞增生,造成腹腔内广泛粘连,黏稠的胎粪堆积在穿孔周围与腹腔炎性渗出液混合,受胰液的影响钙质沉淀而形成钙化块,将穿孔完全堵塞,粘连可导致胎儿肠梗阻从而出现羊水过多或肠管扩张,肠梗阻不明显病儿出生后可无任何症状,但以后可能反复出现粘连性肠梗阻,极少数患儿可至成年时发病;如肠穿孔长期未封住,膜状组织包裹部分肠袢形成囊肿,甚至充满整个腹腔[1];如肠穿孔发生于分娩前几天之内,出生后穿孔仍然开放,腹腔内充满染有胎粪的腹水,形成弥漫性腹膜炎,并迅速演变为化脓性腹膜炎或气腹;如果在腹膜鞘状突闭合前发生肠穿孔,胎粪不仅进入腹腔,亦可进入阴囊,生后阴囊内可见钙化及合并隐睾[6]。Patton等[7]还曾报道过胎粪弥散入血管形成栓子导致全身多脏器梗死的病例。

囊肿性MP是在肠穿孔较长时间不能闭合基础上形成的,占MP的13%~20%。根据Dirkes等[8]及Kamata等[9]分类,囊肿性MP属于Ⅱ型复杂性MP,产前诊断囊肿性MP对出生后手术预测率达100%,术后病死率高达25%~40%。本例囊肿性MP超声发现于孕25周,早于马继东等[10]MP囊肿平均发生于孕31周的报道。囊肿性MP应与胎儿腹腔系膜囊肿、囊性畸胎瘤及寄生胎相鉴别。囊肿性MP囊壁不规整,囊内透声差,囊肿周边可出现环状钙化强回声,若无上述声像图表现则需动态监测,以进一步明确诊断;系膜囊肿为边界清、壁薄及内液清的囊性块;囊性畸胎瘤囊壁规整、但囊内液稠、可见钙化灶,其形态多呈块状或不规则形;寄生胎与患儿为一卵双胎,由于寄生胎不能直接取得胎盘血供,成为胎儿的赘生物,多数发生在腹膜后,少数发生在颅内或胸部,寄生胎内可见不同的组织结构及器官雏形,若发现骨骼结构则较具特征性,与MP周边见环状钙化有较大差异。囊肿性MP还需要与胎粪性假囊肿(meconium pseudocyst)相鉴别,胎粪性假囊肿是充满胎粪的扩张肠管,囊壁为极度扩张的肠壁组织,与正常肠管相连,但由于囊肿压迫及炎性反应囊壁上皮消失。形成过程是肠穿孔闭合致肠管闭锁或狭窄,闭锁或狭窄肠管上方胎粪积存致肠管扩张成囊肿样,部分胎粪性假囊肿合并MP,表现为粘连、钙化或小的囊肿性MP,宫内超声或MRI检查可根据囊肿壁情况及是否与正常肠管相通情况鉴别[11]

产前诊断囊肿性MP如病灶局限、病情稳定、胎儿宫内状况良好,可等待至足月分娩;绝大多数囊肿性MP胎儿可选择经阴道分娩,但应警惕腹难产的发生。Shyu等[12]认为胎儿腹围过大,可能发生腹难产者,产时腹腔穿刺腹水减量有利于胎儿经阴道顺产,但Konje等[13]认为这种情况下剖宫产是更好的选择。胎儿出生后尽早手术,囊肿性MP由于胎粪浸泡及囊肿压迫使肠壁脆弱多需一期手术腹腔冲洗引流及肠管造瘘,二期再行肠管吻合术[14],不同于胎粪性假囊肿可直接行囊肿切除和肠管端端吻合术[12],文献报道多数预后良好。 该患者外籍且有宗教信仰,孕25周发现胎儿腹腔内囊性包块,内透声差,未行产前诊断,但妊娠过程中胎儿生长发育良好,孕37+2周临产超声检查及产后腹部X线检查均未明确囊肿性质,超声图像显示囊肿内透声差,囊内见散在的高密度影,未见明显囊壁钙化影,X线检查也未见明显囊壁钙化影及腹腔内气体影,故剖腹探查前首先考虑囊性畸胎瘤,直到术中发现腹腔内充满胎粪样腹水才明确诊断。Ⅰ期小肠造瘘和腹腔引流术后出现全肠坏死,Ⅱ~Ⅲ期行全肠切除及十二指肠水平部以下切除后好转,成为首例存活的因MP全肠坏死的无肠儿。 全肠坏死可能与充满腹腔的囊肿长时间对肠管压迫及感染所致。治疗方法包括终身胃肠外营养或肠移植,但这对患儿、家庭甚至社会是极大的挑战,笔者对该患儿结局持续跟踪随访。 鉴于外籍人员宗教信仰及我国计划生育政策特殊性,胎儿异常外籍孕妇拒绝终止妊娠或出生后放弃治疗,但孕期发现胎儿腹腔巨大囊肿若能积极诊断并进一步处理,如考虑巨大囊肿性MP行囊液抽吸减压有望改善预后,从而减少或避免出生后严重不良结局发生。

参考文献
[1] Lally KP, Mehall JR, Xue H, et al. Meconium stimulatesapro-inflammatory response in peritoneal macrophages: implications for meconium peritonitis[J].JPediatr Surg, 1999, 34(1): 214-217.
[2] Thelander HE. Perforation of the gastrointestinal tract of the newborn infant[J]. AmJDis Child, 1939, 58:371-393.
[3] Foster MA, Nyberg DA, Mahony BS, et al. Meconium peritonitis: prenatal sonographic findings and their clinical significance[J]. Radiology, 1987, 165(3):661-665.
[4] Miyake H, Urushihara N, Fukumoto K, et al. Primary anastomosis for meconium peritonitis: first choice of treatment[J].JPediatr Surg, 2011, 46(12):2327-2331.
[5] Murkey BR, Bhalerao SA, Jassawalla MJ, et al. Prenatal ultrasonographic diagnosis of cystic meconium peritonitis with intestinal atresia and its post-natal management[J].JObstet Gynaecol India, 2012, 62(Suppl 1):40-42.
[6] Alanbuki AH, Bandi A, Blackford N. Meconium periorchitis:Acase report and literature review[J]. Can Urol Assoc J, 2013, 7(7/8):E495-498.
[7] Patton WL, Lutz AM, Willmann JK, et al. Systemic spread of meconium peritonitis[J]. Pediatr Radiol, 1998, 28(9):714-716.
[8] Dirkes K, Crombleholme TM, Craigo SD, et al. The natural history of meconium peritonitis diagnosed in utero[J].JPediatr Surg, 1995, 30(7):979-982.
[9] Kamata S, Nose K, Ishikawa S, et al. Meconium peritonitis in utero[J]. Pediatr Surg Int, 2000, 16(5/6):377-379.
[10] 马继东,冯翠竹,王莹,等. 30例胎粪性腹膜炎患儿的产前诊断、围产期管理与治疗效果[J]. 中华围产医学杂志, 2013, 16(11):668-672.
[11] Minato M, Okada T, Miyagi H, et al. Meconium pseudocyst with particular pathologic findings:acase report and review of the literature[J].JPediatr Surg, 2012, 47(4):e9-12.
[12] Shyu MK, Shih JC, Lee CN, et al. Correlation of prenatal ultrasound and postnatal outcome in meconium peritonitis[J]. Fetal Diagn Ther, 2003, 18(4): 255-261.
[13] Konje JC, de Chazal R, MacFadyen U, et al. Antenatal diagnosis and management of meconium peritonitis:acase report and review of the literature[J]. Ultrasound Obstet Gynecol, 1995, 6(1):66-69.
[14] Valladares E, Rodríguez D, Vela A, et al. Meconium pseudocyst secondary to ileum volvulus perforation without peritoneal calcification:acase report[J].JMed Case Rep, 2010, 4:292.