输血相关性急性肺损伤(transfusion-related acute lung injury,TRALI)是指输入血液或血液制品后6 h内出现的以急性非心源性肺水肿和低氧血症为主要表现的临床综合征[1],目前已经成为导致输血相关死亡的主要原因[2, 3],其确切的发病机制尚不清楚。巨噬细胞(AM)是肺部炎症反应的调节阀,它能通过产生促炎和抗炎因子,在细胞表型改变和信号传递过程中发挥重要作用,是急性肺损伤发病始动环节的关键靶细胞[4]。以往研究报道,AM被可溶性分子活化后,其表面共刺激分子CD40表达上调[5]。CD40是一种完整的I型膜表面糖蛋白受体,与CD40配体结合后,可启动机体天然性和获得性免疫应答,形成瀑链式炎症反应[4]。但是关于AM的活化和共刺激分子CD40表达是否在TRALI中发挥作用的报道比较少。为此本实验通过“二次打击法”建立TRALI大鼠模型,研究AM活化、共刺激分子CD40表达及相关炎症因子的变化,探讨AMφ和共刺激分子CD40表达在TRALI发病机制中的作用。
1 材料与方法 1.1 实验动物6~7周龄的雄性Sprague Dawley大鼠(SD大鼠)60只,体质量(235±25) g,郑州大学实验动物中心提供,许可证号:ZYXK(豫)2013-0183。无特定病原体(SPF级)条件下饲养,标准颗粒饲料、饮水、垫料及一切物品均经无菌处理。
1.2 试剂和器材LPS (E.coli 0111:B4)购自Sigma公司;TNF-α、MIP-2及IL-1β ELISA试剂盒购自Genzmye Techne公司;总RNA抽提与纯化试剂盒购自Roche公司,RT-PCR试剂盒购自Promeg公司,抗CD40单克隆抗体、二抗兔抗鼠IgG购自Santa Cruz公司。
1.3 动物模型制备将60只SD大鼠按随机数字表法分为正常对照组、脂多糖对照组、TRALI组、阳性对照组,各15只。(1)正常对照组:除了经腹腔注射生理盐水(2 mL/只),以及移除大鼠血液后输注等体积生理盐水外,其余实验方法与步骤同TRALI组;(2)脂多糖对照组[6, 7, 8]:经大鼠腹腔注射脂多糖(2 mg/kg,≤1 min完毕),2 h后输注等体积的生理盐水,其余实验方法与步骤同TRALI组;(3)TRALI组[6, 7, 8]:经大鼠腹腔注射脂多糖(2 mg/kg,≤1 min完毕),回笼2 h,氯胺酮(80 mg/kg)腹腔注射麻醉,分离大鼠股血管并插管,内充50%肝素/生理盐水混合液,5~10 min内移除约等于大鼠10%血容量的血液(约1 mL),输注等体积的血浆(输注速度≤4 mL/h);(4)阳性对照组[9, 10]:除了移除约等于大鼠10%血容量的血液(约1 mL)后输注等体积脂多糖(5 mg/kg)外,其余实验方法与步骤同TRALI组。
1.4 肺标本采集和病理观察6 h后将三组大鼠以右心室采血法处死,取其肺组织标本(约1 cm×1 cm,2~4 g)放入液氮备用。另取肺组织标本(约1 cm×2 cm,3~5 g)甲醛固定、常规石蜡包埋、切片、苏木精-伊红染色法(Hema-toxylin-eosin staining),由病理科一名副主任医师负责观察其病理变化,并按Mikawa等[11]方法进行肺损伤评分。评分标准:(1)肺泡充血;(2)出血;(3)肺泡腔或血管壁中性粒细胞浸润或聚集;(4)肺泡壁增厚和(或)透明膜。以上四项形成指标,分别依病变轻重评0~4分(0分为无病变或非常轻微,1分为轻度病变,2分为中度病变,3分为重度病变,4分为极重度病变)。各项评定分数相加为急性肺损伤总评分。将所移除的大鼠血液以2 000 r/min离心5 min,-80 ℃冰箱保存备用。
1.5 血浆的制备参见文献[6, 8]无菌条件下采集120只SD大鼠全血1.5 U(1 U含全血150 mL及CPDA保存液45 mL),(4±2) ℃储存28 d,以3 000 r/min分离血浆100 mL,无菌条件下分装100份(1 mL/份),-80 ℃保存备用,输注前将血浆56 ℃水浴30 min。
1.6 BALF标本的收集对处死大鼠行气管插管,用PBS(每次0.5 mL)灌洗双肺6次,收集BALF共2.5 mL/只[9]。收集BALF以1 000 r/min离心12 min,吸取上清液,冷藏于-80 ℃冰箱用于后续试验,沉淀细胞用于AM细胞的分离和培养。
1.7 AMφ的分离和培养根据文献[12]方法改良后,把沉淀细胞用PBS进行洗涤,1 000 r/min离心10 min,弃上清,用RPMI 1640培养液(含2 mmol/L谷胺酰氨、10%胎牛血清、100 U/L青霉素、100 U/L链霉素)混悬细胞,在37 ℃、5%CO2条件下培养2 h后,用PBS洗涤细胞,去除未贴壁的细胞,用含10%胎牛血清的RPMI 1640培养液重悬细胞,调整细胞浓度为105 cells/mL,培养24 h。以Giemsa染色法鉴定AMφ,锥虫蓝排斥实验检测其活性。
1.8 RT-PCR按Trizol试剂盒说明书提取细胞总mRNA,逆转录为cDNA。引物设计:TLR4(278 bp),正义链:5′ -GAACCCITCTATCATGCAAGGACTATG-3′ ,反义链:5′ -TTCGCGAAGCAATGGAACTTA-3′ ;β-actin(366 bp),正义链:5′ -TGGGTCAGAAGGACTCCTATGTG-3′ ,反义链: 5′ -CGTCCCAGTTGGTTAACAATGC-3′ 。PCR反应条件为:94 ℃ 30 s,54 ℃ 30 s,72 ℃ 1 min,30个循环,最后延伸72 ℃10 min。取等量的PCR扩增产物上样,经1.0%琼脂糖凝胶电泳,采用全自动凝胶成像分析系统记录摄片,分析RE-PCR产物吸光度(A),以IA表示含量。以目的基因A值与内参基因A值的比值表示目的基因相对表达量。
1.9 电泳迁移率变动分析(EMSA)检测核转录因子NF-κB的活性用改良方法[13]提取细胞核和细胞质,Bio-Rad染料试剂测定所有提取物蛋白含量,α-32P ATP标记核转录因子NF-κB寡聚核苷酸(5′ -AGTTGAGGGGACTTTCCCAGGC-3′ 探针,乙醇沉淀法纯化标记寡核苷酸。将核蛋白提取物与标记后的NF-κB探针室温下结合反应后用质量分数6%的聚丙烯酰胺凝胶电泳进行测定。将凝胶置真空干胶仪上60 ℃、75 min,80 ℃放射自显影,用Gel-pro凝胶分析系统对电泳谱带进行半定量分析,取其面积与萤光强度的乘积代表NF-κB相对活性。
1.10 Northern blot检测CD40 mRNA表达提取细胞总mRNA。样品mRNA每孔20 μg,甲醛凝胶电泳完毕后,转移至尼龙膜上。大鼠CD40及GAPDH探针按文献[14, 15]准备,将膜置于杂交袋中,样品mRNA与探针在42 ℃杂交过夜。杂交完毕后,于暗盒内压片,放射显影,测量条带的灰度值,GAPDH作为内参照,表达水平为两者灰度的比值。
1.11 流式细胞术检测巨噬细胞表面CD40蛋白表达取各组细胞,把浓度调至105 cells/mL的悬液,将细胞接种于10 μg/mL PE-鼠抗鼠CD40抗体,然后置于100 μL PBS中共同孵育,上流式细胞仪检测其表面分子表达,细胞分选后涂片,荧光显微镜观察,标记荧光细胞为阳性细胞,应用FACStar(Becton Dickinson,Mountain View,CA)软件分析,运用区分标本的平均荧光强度(MFI)评价CD40的表达情况。
1.12 细胞因子和趋化因子的分析ELISA法测BALF中TNF-α、MIP-2及IL-1β的含量,按照试剂盒说明步骤进行检测。
1.13 统计学方法实验所得数据均以均数±标准差(x±s)表示,采用SPSS 13.0软件处理,样本间均数比较采用t检验,以P 0.05为差异具有统计学意义。
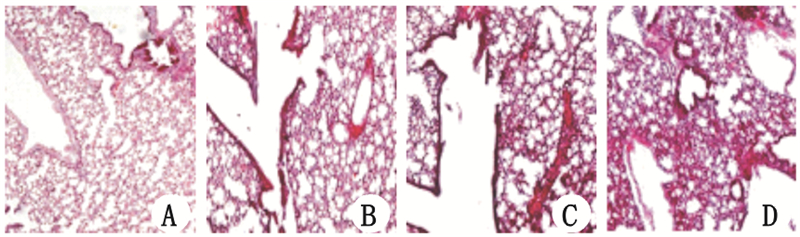
2 结果 2.1 肺组织病理变化肺组织切片常规HE染色,光镜下观察。正常对照组:大鼠肺组织结构清楚,肺泡壁结构完整,肺泡内未见炎性细胞渗出及肺泡萎陷肺泡间隔均一无增宽(图 1A);脂多糖对照组:肺泡间隔轻度增宽、少量炎性细胞浸润(图 1B);TRALI组:肺泡间隔增宽、中等量出血并较多炎性细胞浸润(图 1C);阳性对照组:肺内大量炎性细胞浸润,间质水肿加重,伴出血、微血栓及灶性肺不张 (图 1D)。
![]() |
| A:正常对照组;B:脂多糖对照组;C:TRALI组;D:阳性对照组 图 1 各组肺组织病理学改变(HE×200) Fig 1 Pathological changes of lung tissue(HE×200) |
TRALI组肺组织病理损伤综合评分(9.06±3.12)与正常对照组(2.68±2.54)和脂多糖对照组(4.79±2.78)比较差异具有统计学意义(均P < 0.01);阳性对照组(11.36±4.75)较正常对照组和脂多糖对照组升高(均P < 0.01);TRALI组与阳性对照组比较差异无统计学意义(P>0.05)。
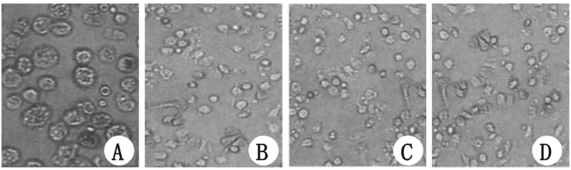
2.3 AM体外培养生长情况正常对照组细胞呈圆形,边缘清晰整齐,贴壁生长,见图 2A。脂多糖对照组、TRALI组和阳性对照组细胞形态不规则,向四周伸展伪足,边缘不清,贴壁生长,见图 2B、2C和2D。
![]() |
| A:正常对照组;B:脂多糖对照组;C:TRALI组; D:阳性对照组 图 2 AM体外培养生长情况(×200) Fig 2 AM growth in vitro(×200) |
在TRALI组AMφ中,TLR4 mRNA相对表达量(0.56±0.28)与正常对照组和脂多糖对照组[(0.12±0.09),(0.21±0.08)]比较差异有统计学意义(均P < 0.01);阳性对照组(0.63±0.29)较正常对照组和和脂多糖对照组升高(P均 < 0.01);TRALI组与阳性对照组比较差异无统计学意义(P>0.05)。见图 3。
![]() |
| A:正常对照组;B:阳性对照组;C:TRALI组;D:脂多糖对照组 图 3 TLR4 mRNA表达 Fig 3 Expression of TLR4 mRNA |
TRALI组AMφ中NF-κB的活性(297.65±36.67)与正常对照组(45.78±6.81)和脂多糖对照组(124.27±22.46)比较差异具有统计学意义(均P < 0.01);阳性对照组(336.34±37.59)较正常对照组和脂多糖对照组升高(均P < 0.01);TRALI组与阳性对照组比较差异无统计学意义(P>0.05)。见图 4。
![]() |
| A:正常对照组;B:阳性对照组;C:TRALI组;D:脂多糖对照组 图 4 AMφ中NF-кB的活性 Fig 4 NF-кB actitition of AMφ |
TRALI组CD40 mRNA表达(0.79±0.31)与正常对照组(0.04±0.02)和脂多糖对照组(0.21±0.09)比较差异具有统计学意义(P均 < 0.01);阳性对照组(0.85±0.32)较正常对照组和脂多糖对照组升高(均P < 0.01);TRALI组与阳性对照组比较差异无统计学意义(P>0.05)。见图 5。
![]() |
| A:正常对照组;B:TRALI组;C:阳性对照组;D:脂多糖对照组 图 5 CD40 mRNA表达水平 Fig 5 CD40 mRNA expression in different groups |
TRALI组CD40蛋白表达平均荧光强度(3.03±0.71)与正常对照组和脂多糖对照组[(0.05±0.01),(1.10±0.06)]比较差异具有统计学意义(均P < 0.01);阳性对照组(3.25±0.68)较正常对照组和脂多糖对照组升高(均P < 0.01);TRALI组与阳性对照组比较差异无统计学意义(P>0.05)。见图 6。
![]() |
| A:正常对照组;B:脂多糖对照组;C:TRALI组;D:阳性对照组 图 6 CD40蛋白表达水平(×400) Fig 6 CD40 protein expression in different groups(×400) |
TRALI组BALF中TNF-α、MIP-2、IL-1β的表达水平均显著高于正常对照组和脂多糖对照组(均P < 0.05);阳性对照组较正常对照组和脂多糖对照组升高(均P < 0.05);TRALI组与阳性对照组比较差异无统计学意义(P>0.05)。见表 1。
| 组别 | 例数 | TNF-α | MIP-2 | IL-1β |
| 正常对照组 | 20 | 45.23±12.04 | 85.36±17.58 | 11.23±2.89 |
| 脂多糖对照组 | 20 | 76.41±23.28 | 179.25±42.16 | 104.69±20.37 |
| TRALI组 | 20 | 110.68±31.20 ab | 471.34±101.58 ab | 298.49±25.60 ab |
| 阳性对照组 | 20 | 153.47±32.45 a | 542.24±110.49 a | 332.51±29.43 a |
| 注:与正常对照组和脂多糖对照组比较, a P<0.05;与阳性对照组比较, b P>0.05 | ||||
TRALI是急性肺损伤(ALI)的一种形式,并且在临床症状上与急性呼吸窘迫综合征(ARDS)相似,因此Popovsky和Moore[16]推断其发病机制也与ALI/ARDS相似。而且ALI/ARDS动物模型和临床综合征都是至少两种不同的临床事件的共同结果,因此,Silliman和Mclaughlin[17]提出了相似的TRALI 二次打击发病机制。第1事件是患者在某种临床病症条件下,诱导体内的炎症反应、肺部内皮细胞(EC)的活化和中性粒细胞(PMN)在肺部的聚集,这些炎症介质通常不引起 PMN的活化(释放杀菌物质),而是使PMN处于引发态,可以增强PMN在受到第2步刺激时释放杀菌物质的能力[18, 19]。第2事件是输注含有生物活性介质的血液制品,它可以活化黏附在EC上的PMN,从而介导由PMN引起的EC损伤、毛细血管渗漏和发生TRALI。动物实验证实,TRALI依赖于机体基本情况的严重程度以及所输注的血液制品[20, 21]。因此,“二次打击”法建立的TRALI大鼠模型能较完整地模拟TRALI病理生理过程[7],可用于观察TRALI发病过程中相关炎症因子产物的表达水平。
笔者对各组SD大鼠肺组织作了常规石蜡包埋、切片、苏木精-伊红染色以观察其病理变化。TRALI组大鼠肺组织病理显示,大鼠肺泡间隔明显增宽,肺泡壁损伤、断裂,微血管扩张、充血,组织间隙有渗出的红细胞,肺泡腔内可见大量红细胞及炎症细胞,间质间隙充满中性粒细胞为主的炎性细胞浸润。这说明TRALI模型建立是成功的 [7, 22]。
AM主要分布在肺泡腔,匍行于肺表面的游离细胞,是肺泡腔内常驻的吞噬细胞。AMφ能够促进其表面共刺激分子CD40表达,增强NF-кB活性[23]。Khan等[24]提出CD40L通过CD40 引发PMN,并证实CD40L是引起TRALI的一个共刺激因子。本实验结果显示,TRALI组和阳性对照组AMφ中TLR4 mRNA表达、NF-кB活性明显高于正常对照组和脂多糖对照组。结果表明SD大鼠在输注储存悬浮红细胞上清液后,能够促进肺内AMφ的活化,提示AM的活化可能参与了TRALI发生。
活化的NF-кB能识别CD40基因启动子,促进CD40分子表达,继而和表达于T淋巴细胞表面的CD40配体(CD40L)结合,启动获得性免疫应答,导致炎症因子释放和基质金属蛋白酶(MMPs)的分泌,增加炎症细胞生存期并加重肺组织的炎症损伤程度,放大炎症反应。在本次实验中,TRALI组大鼠肺泡间隔明显增宽,肺泡壁损伤,微血管扩张、充血,组织间隙有渗出的红细胞,肺泡腔内可见大量红细胞及炎症细胞,间质间隙充满中性粒细胞为主的炎性细胞浸润,TRALI组肺组织病理损伤综合评分高于正常对照组和脂多糖对照组,同时TRALI组共刺激分子CD40 mRNA和蛋白显著表达,在BALF中,炎症因子TNF-α、MIP-2、IL-1β含量明显高于正常对照组和脂多糖对照组。其中TNF-a是AMφ产生的早期促炎细胞因子,是肺损伤发生的始动因素;MIP-2对PMN有趋化和激活能力;IL-1β可影响其他炎症因子释放,促进免疫球蛋白分泌,激活补体,表明SD大鼠在输注储存悬浮红细胞上清液后,能够促进肺内AMφ的活化,活化后的AMφ能释放大量促炎细胞因子以及上调其表面共刺激分子,增强获得性免疫反应介导的肺损伤,提示AM活化可能对TRALI发生起着一定促进作用。
综上所述,TRALI 大鼠肺AMφ和表面共刺激分子CD40的表达上调,能够促进具有强烈致炎作用的细胞因子TNF-α、MIP-2、IL-1β的释放,引起炎症性肺损伤和诱导失控性炎症级联反应,促进炎症反应加重,可能对TRALI发生起着一定作用,但是TRALI的发病机制尚不完全清楚,也远未引起临床广泛重视。为了降低和避免TRALI的发生,需要对相关病例进行更深入的研究。
| [1] | Hanane El, Kenz P, Vander L. Transfusion-related acute lung injury[J]. Euro J Anaesth, 2014, 31(2):345-350. |
| [2] | Barrett NA, Kam PC. Transfusion-related acute lung injury: literature review[J]. Anesthesia, 2006, 61(8): 777-785. |
| [3] | Silliman CC, McLaughlin NJ. Transfusion-related acute lung injury[J]. Blood Rev, 2006, 20(3):139-159. |
| [4] | Cuschiere J, Billigren J, Maier RV, Endotoxin tolerance attenuates LPS-induced TLR4 mobilization to lipid rafts;a condition reversed by PKC activation[J]. J Leukoc Biol, 2006,80(10):1289-1297. |
| [5] | Han P, McDonalds T, Hodge G. Potential immaturity of the T-cell and antigen-presenting cell interaction in cord blood with particular emphasis on the CD40-CD40 ligand costimulatory pathway[J]. Immunology, 2004, 113(1):26-34. |
| [6] | Susannah E,Nicholson MD, Robert A. Transfusion-related acute lung injury in a rat model of trauma-hemorrhage[J]. J Trauma, 2011, 70(2): 466-471. |
| [7] | Marguerite R, Kelher T, Masuno EE, et al. Plasma from stored packed red blood cells and MHC class I antibodies causes acute lung injury in a 2-event in vivo rat model[J]. Blood, 2009,113(9):2079-2087. |
| [8] | Silliman CC.The two-event model of transfusion-related acute lung injury[J].Crit Care Med,2006, 34 (5suppl) :S124-131. |
| [9] | Hashimoto N, Kawabe T, Imaizumi K, et al. CD40 plays a crucial role in lipopolysaccharide-induced acute lung injury[J]. AM J Respir Cell Mol Biol, 2004, 30(6):808-815. |
| [10] | 佟欣, 栾婷, 李国福, 等. 早期抗凝对脂多糖致急性肺损伤大鼠的保护作用[J]. 中华危重病急救医学, 2014, 23(11):836-838. |
| [11] | Mikawa K,Nishina K,Takaa Y,et al. ONO-1714.a nitric oxide synthase inhibitor,attenuated endotoxin-induced acute lung injury in rabbits[J]. Anesth Anolg,2003,97(6):1751-1755. |
| [12] | Beck-Shimmer B, Schwendener R, Pasch T, et al. Alverlar macrophages regulate neutrophil recruitment in endotoxin-induced lung injury[J]. Respir Res, 2005, 6(1): 61-62. |
| [13] | Wesemann D, Qin H, Kokorina N, et al. TRADD interacts with STAT1-alpha and influences interferon-gamma signaling[J]. Nat Immunol, 2004, 5(1):199-207. |
| [14] | Nguyen VT, Benveniste EN. Involvement of SATA-1 and ets family members in interferon-gamma induction of CD40 transcription in microglia/macrophages[J]. J Biol Chem, 2000, 275(10): 23674-23684. |
| [15] | Qin H, Wilson CA, Roberts KL, et al. IL-10 inhibits lipopolysac-charide-induced CD40 gene expression through induction of suppressor of cytokine signaling-3[J]. J Immunol, 2006,177(9): 7761-7771. |
| [16] | Popovsky MA, Moore SB.Diagnostic and pathogenetic considerations in transfusion-related acute lung injury[J].Transfus, 1985, 25(6): 573- 577. |
| [17] | Silliman CC, Mclaughlin NJ. Transfusion-related acute lung injury[J]. Blood Rev, 2006, 20(1):139-159. |
| [18] | Mark R,Looney N,Roubinian O,et al. Prospective study on the clinical course and outcomes in transfusion-related acute lung injury[J]. Crit Care Med,2014,42(7): 1676-1687. |
| [19] | 李玮, 谢如锋, 范华骅. 中性粒细胞在输血相关性急性肺损伤中的作用[J]. 中国输血杂志, 2012, 25(12): 1335-1338. |
| [20] | Bux J, Sachs UJ. The pathogenesis of transfusion-related acute lung injury[J]. Br J Haematol, 2007, 176(6):886-891. |
| [21] | Silliman CC, Bercovitz RS, Khan SY, et al. Antibodies to the HLA-A2 antigen prime neutrophils and serve as the second event in an in vitro model of transfusion-related acute lung injury[J]. Vox Sang, 2014, 107(1): 76-82. |
| [22] | 李丽玮, 花紫菱, 张慧箴, 等. 输血相关性急性肺损伤大鼠模型建立及肺组织病理研究[J]. 中国输血杂志, 2012, 25(11): 1121-1124. |
| [23] | Hoebe K, Du X, Georgel P, et al. Identification of LPS as a key transducer of MyD88-independent TIR signaling[J]. Nature, 2003, 424(3): 743-748. |
| [24] | Khan SY, Kelher MR, Heal JM, et al. Soluble CD40 ligand accumulates in stored blood components, primes neutrophils through CD40, and is a potential cofactor in the development of transfusion-related acute lung injury[J]. Blood,2006,8(7): 2455-2462. |
2015, Vol. 24








