湖南省人民医院儿科医学中心(祝益民)
Zhu Yimin, Email:cszhuyimin@163.com
肺脏是重症感染最容易累及的器官,脓毒症患者中肺损伤发生率可达40%。由脓毒症和重症肺炎诱发的急性呼吸窘迫综合征(acute respiratory distress syndrome,ARDS)病死率高达40%~50%[1, 2]。脂多糖(lipopolysaccharide,LPS)是革兰阴性菌细胞壁的主要成分,大量释放入血引起内毒素血症,是脓毒症宿主器官损害的主要原因。JAK/STAT信号通路(janus kinase/signal transducer and activator of transcription,janus激酶/信号转导和转录激活子)是炎症反应的重要信号通路之一,主要由酪氨酸激酶相关受体、酪氨酸激酶JAK和转录因子STAT三部分组成。研究证明JAK/STAT信号通路调控中性粒细胞和巨噬细胞炎症因子相关基因的转录与翻译,在脓毒症发生发展过程中起重要作用[3]。SOCS是JAK/STAT信号通路负调控蛋白,可下调JAK/STAT信号通路下游炎症因子表达[4, 5]。
微小RNA-155(miR-155)在固有和适应性免疫中调控中发挥重要作用,是炎症反应中研究较多的一类miRNA [6]。研究发现,miR-155表达水平影响肺间质纤维化和机械通气引起肺损伤的严重程度[7, 8],但miR-155是否通过调控JAK/STAT信号通路,参与脓毒症相关肺损伤病理生理过程尚不清楚。本实验采用LPS诱导的内毒血症小鼠模型,探讨miR-155及其抑制剂对肺组织SOCS-JAK/STAT信号通路的影响,观察肺组织病理和炎症细胞因子变化,为探索脓毒症相关肺损伤机制及保护性治疗策略提供思路。
1 材料与方法 1.1 实验动物分组及模型复制方法[9]120只清洁级的6~8周龄雄性BALB/c小鼠,体质量20~25 g,购自复旦大学实验动物科学部,动物许可证号:SYXK(沪)2009-0019。按随机数字法分为对照组(n=40),内毒素血症组(n=40),miR-155抑制组(n=40)。小鼠称质量后,给予戊巴比妥0.3 mg/kg腹腔注射麻醉。miR-155抑制组尾静脉注射miR-155抑制剂80 mg/kg,对照组及内毒素血症组给予等容量生理盐水尾静脉注射;24 h后,内毒素血症组及miR-155抑制组腹腔注射LPS 20 mg/kg(溶于50μL生理盐水中)构建内毒素血症模型,对照组腹腔注射生理盐水50 μL。分别于模型构建后6、12、24、48 h用颈椎脱臼法处死10只小鼠,留取肺组织备用。本实验动物处置方法符合动物伦理学标准。
1.2 主要试剂和仪器脂多糖(LPS,Coli 0111:B4,美国Sigma公司);miR-155抑制剂siRNA及检测试剂盒(上海吉玛公司);TRIzolRNA提取液(美国Life Technologies公司);RT-PCR及实时荧光定量PCR试剂盒(日本TaKaRa公司);RIPA裂解液(上海碧云天生物技术有限公司);蛋白酶抑制剂(美国Sigma公司);蛋白浓度测定试剂盒及小鼠白细胞介素-10(IL-10)、肿瘤坏死因子-α(TNF-α)检测试剂盒(上海西唐生物科技有限公司);PCR仪(Roche公司)。
1.3 标本收集及制备左肺冰冻于液氮中,右肺保存于10%甲醛溶液。左上肺提取总RNA,左下肺提取肺组织总蛋白供检测IL-10、TNF-α;右肺组织以4%多聚甲醛固定,石蜡包埋后连续切片(厚度为4 μm),供组织学检查。
1.4 肺组织病理[10]进行苏木素-伊红(HE)染色,光镜下(×20)观察支气管黏膜及黏膜下肺组织充血、水肿和炎性细胞浸润情况。
1.5 STAT1 mRNA、SOCS1 mRNA检测肺组织RNA的提取按照试剂的要求进行,将所提取的总RNA测定260 mm和280 mm处吸光度(A)值,测定纯度及浓度。取部分RNA采用mRNA cDNA合成试剂盒进行逆转录,反应总体积为20 μL;逆转录条件为:37 ℃ 15 min,85 ℃ 5 s。进行实时荧光定量PCR,反应总体积为20 μL;扩增条件为:95 ℃ 30 s变性,95 ℃ 5 s,60 ℃ 20 s,反应40个循环。以GAPDH作为SOCS1和STAT1内参对照。引物由上海生物工程有限公司合成。每个qPCR重复3次,以GAPDH为内参基因,目的基因的相对表达量通过公式2-△△ct计算。
1.6 miR-155检测取部分RNA按照miRNA cDNA合成试剂盒进行逆转录,反应总体积为总体积为20 μL;逆转录的条件为:25 ℃ 30 min,42 ℃ 30 min,85 ℃ 5 min。进行实时荧光定量PCR,反应总体积为20 μL;扩增条件为:95 ℃ 3 min变性,95 ℃ 12 s,62 ℃ 40 s,反应40个循环。以5 S作为miR-155的内参对照。5S及miR-155引物由上海吉玛公司合成。每个qPCR重复3次,以5S为内参基因,目的基因的相对表达量通过公式2-△△ct计算。
| 基因 | 正义链 | 反义链 |
| GAPDH | TGCACCACCAACTGCTTAGC | GCATGGACTGTGGTCATGAG |
| SOCS1 | TCCGATTACCGGCGCATCACG | CTCCAGCAGCTCGAAAGGCA |
| STAT1 | ATTTCTCCTTCTGGCCTTG | AGGAACGTCCCTGGCTG |
| 5S | TCGTCTGATCTCGGAAGCACCCGGTT | AAGCCTACAGCACCCGGTAT |
| miRNA-155 | CGGCGGTTAATGCTAATTGTGAT | GTGCAGGGTCCGAGGT |
称取适量肺组织,加入含有蛋白酶抑制剂的RIPA裂解液,冰上匀浆,取上清。用BCA蛋白浓度测定试剂盒测定总蛋白浓度。按照TNF-α、IL-10 ELISA试剂盒说明书操作,计算细胞因子浓度。目的蛋白在总蛋白中的含量以 ng/μg表示。
1.8 统计学方法使用SPSS 13.0软件处理数据,测定结果以均数±标准差(x±s)表示。两组间差异比较采用非配对t检验;多组比较采用单因素方差分析,均数间两两比较采用LSD检验,若组间方差不齐则采用近似F检验Welch法。以P<0.05为差异具有统计学意义。
2 结果 2.1 一般情况LPS刺激4 h左右,小鼠开始出现内毒素血症的表现:病态明显,活动减少,弓背蜷缩,进食饮水少,鼻腔、眼角可见分泌物等。miR-155抑制组,小鼠上述表现相对较轻。对照组小鼠表现正常。
2.2 肺组织miR-155表达LPS组miR-155表达量高于对照组,24 h达到高峰,是对照组的15.84倍,48 h表达下降。inhibitor+LPS组miR-155表达量低于LPS组,12 h、24 h差异具有统计学意义(P<0.01)。见表 2、图 1。
| 组别 | miR-155 | |||
| 6 h | 12 h | 24 h | 48 h | |
| LPS组 | 8.52±1.12 | 11.04±0.99 | 15.84±0.80 | 4.03±2.55 |
| inhibitor+LPS组 | 6.74±0.63 | 4.73±1.15 | 4.41±0.25 | 1.94±0.12 |
| t值 | 2.40 | 6.08 | 23.64 | 1.10 |
| P值 | 0.074 | <0.01 | <0.01 | 0.0351 |
![]() |
| inhibitor+LPS组与LPS组相应时间点比较,aP<0.05,bP<0.01 图 1 不同时间点各组小鼠肺组织miR-155、STAT1 mRNA、SOCS1 mRNA变化图 Fig 1 Expression of miR-155,STAT1 mRNA and SOCS1 mRNA in the lung tissues at different time points |
正常小鼠肺组织表达一定量的STAT1 mRNA和SOCS1 mRNA,LPS组和inhibitor+LPS组STAT1 mRNA、SOCS1 mRNA表达量有不同程度升高。LPS组和inhibitor+LPS组STAT1 mRNA均在6 h表达最高,分别达对照组的10.78、6.78倍;SOCS1 mRNA均在6 h表达最高,分别达对照组的3.83、9.49倍。与同时间点LPS组比较,inhibitor+LPS组STAT1 mRNA在6 h、12 h、24 h明显下降(P<0.05);SOCS1 mRNA在6 h、12 h、24 h明显升高(P<0.01)。见图 1、表 3。
| 组别 | STAT1 mRNA | SOCS1 mRNA | |||||||
| 6 h | 12 h | 24 h | 48 h | 6 h | 12 h | 24 h | 48 h | ||
| LPS组 | 10.78±1.92 | 3.69±1.66 | 1.68±0.57 | 0.59±0.48 | 3.83±2.45 | 2.49±0.39 | 1.66±0.24 | 1.07±0.25 | |
| inhibitor+LPS组 | 6.78±1.35 | 1.35±0.35 | 0.75±0.40 | 0.52±0.30 | 9.49±2.20 | 3.48±0.47 | 2.07±0.45 | 1.30±0.39 | |
| t值 | 4.41 | 2.69 | 3.62 | 0.40 | 4.55 | 4.12 | 2.38 | 1.40 | |
| P值 | <0.01 | 0.023 | <0.01 | 0.693 | <0.01 | <0.01 | 0.032 | 0.182 | |
与同时间点对照组比较,LPS组小鼠肺组织中的TNF-α,IL-10升高明显(P<0.01),且分别在6 h和48 h最高;与同时间点LPS组比较,inhibitor+LPS组TNF-α在6 h、12 h、24 h明显下降(P<0.01),IL-10在12 h、24 h、48 h明显下降(P<0.01)。见图 2、表 4。
![]() |
| inhibitor+LPS组与LPS组相应时间点比较,aP<0.05,bP<0.01;LPS组与对照组相应时间点比较,cP<0.05,dP<0.01 图 2 不同时间点各组小鼠肺组织TNF-α、IL-10水平变化 Fig 2 Expression of TNF-α and IL-10 in the mouse lung tissues at different time points |
| 组别 | TNF-α(ng/μg) | IL-10(ng/μg) | |||||||
| 6 h | 12 h | 24 h | 48 h | 6 h | 12 h | 24 h | 48 h | ||
| 正常组 | 19.73±2.69 | 18.73±3.17 | 20.87±1.94 | 20.32±3.64 | 16.62±2.84 | 15.76±0.87 | 18.87±4.14 | 18.34±3.79 | |
| LPS组 | 75.50±14.40 a | 64.14±16.14 a | 43.34±6.40 a | 30.10±6.38 a | 48.56±8.68 a | 62.37±4.89 a | 78.67±10.33 a | 109.96±8.73 a | |
| inhibitor+LPS组 | 41.81±7.08 b | 36.03±9.54 b | 28.89±4.95 b | 26.02±6.66 | 39.48±7.45 | 48.71±5.21 b | 51.18±8.05 b | 72.84±9.84 b | |
| F值 | 90.11 | 18.86 | 27.93 | 8.20 | 38.11 | 85.78 | 125.02 | 306.05 | |
| P值 | <0.01 | <0.01 | <0.01 | <0.01 | <0.01 | <0.01 | <0.01 | <0.01 | |
| 注:inhibitor+LPS组与LPS组相应时间点比较, a P<0.01;LPS组与对照组相应时间点比较, b P<0.01 | |||||||||
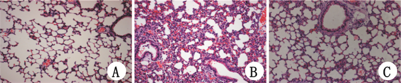
对照组(图 3A)肺组织结构完整,肺泡大小均匀,肺间隔未见增宽,肺间质未见出血、水肿及炎性细胞浸润;LPS组(图 3B)LPS刺激48 h后肺泡结构破坏,肺泡腔变形,肺泡和肺间质水肿,肺泡腔内可见淡红色浆液及炎性细胞浸润;inhibitor+LPS组(图 3C) LPS刺激48 h后肺组织炎性细胞浸润、渗出等病理损伤程度轻于LPS组。
![]() |
| 图 3 光镜下观察各组小鼠48 h肺组织病理变化(HE×20) Fig 3 Pathological changes of the lung tissues in different groups at 48h(HE, ×20) |
在感染导致脓毒症的过程中,过度炎症反应与代偿性抗炎反应相互作用,导致免疫反应失衡,发生脏器功能损害及最终免疫抑制是主要病理生理基础。JAK/STAT信号通路是众多细胞因子信号转导的共同途径,参与细胞的增殖、分化、凋亡以及炎症反应等许多重要生物学过程[11]。miR-155与维持细胞生物学稳态,调控免疫及炎症介质密切相关[6, 12, 13]。本研究结果显示,小鼠腹腔注射LPS后,肺组织miR-155表达增加,注射LPS 6 h即出现STAT1 mRNA和SOCS1 mRNA表达增加,TNF-α和IL-10升高。采用miR-155抑制剂预处理小鼠后肺组织miR-155、STAT1 mRNA及TNF-α的表达与释放明显减少,肺组织病理损害减轻,但SOCS1 mRNA表达增加。这说明miR-155通过JAK/STAT信号通路,在内毒素致肺损伤的过程中起作用。
miR-155启动子区域存在核因子κb (nuclearfactor-κb,NF-κb)的结合位点。LPS通过TLR4信号传导通路激活IKK复合物,活化NF-κb,与miR -155基因启动子结合,上调miR-155表达[14]。Gatto等[15]研究发现miR-155启动子区域存在两个NF-κb结合部位。研究发现,LPS刺激骨髓巨噬细胞、小鼠单核巨噬细胞,miR-155表达增加[16, 17]。笔者观察到腹腔注射LPS可刺激小鼠肺组织miR-155及炎症因子的表达。Guo等[18]和Nahid等[19]报道,腹腔注射LPS后,miRNA-155转基因小鼠血液循环中的TNF-α含量较对照组表达增加;而LPS诱导的急性肺损伤模型中发现miRNA-155反义核苷酸(ASO)组小鼠TNF-α明显减少,提示上调miR-155可能促进炎症因子的表达。
miR -155能与SOCS1 mRNA的3’ UTR端互补结合,可降解SOCS1 mRNA或抑制其翻译[20, 21]。体外实验发现转染了miR-155类似物后,包含SOCS1 mRNA3'UTR端质粒的细胞荧光素酶活性低于对照组,SOCS1 mRNA表达水平下降[20]。Momen-Heravi等[22]运用外泌体转染miR-155抑制剂至LPS刺激的小鼠巨噬细胞中,发现SOCS1 mRNA表达高于未转染抑制剂细胞,说明miR-155能降低SOCS1 mRNA水平。本研究观察到miR-155抑制组LPS鼠SOCS1 mRNA表达高于LPS组,miR-155与SOCS1 mRNA表达负相关。
JAK/STAT信号通路激活过程为:细胞因子与受体结合后导致受体的二聚化或寡聚化,与受体偶联的JAK激酶通过自动/交互磷酸化活化,催化胞浆中单体STATs磷酸化,形成STATs二聚体,转移到核内调控基因表达[11, 23]。SOCS可通过抑制JAK激酶活性、阻止STAT与蛋白激酶结合及促进JAK和STAT降解等途径负调控JAK/STAT通路[24]。STAT1是STAT家族主要成员,研究发现STAT1基因敲除小鼠无IFN-α,IFN-γ反应性[23]。Luu等[25]发现LPS与TLR4结合后迅速引起STAT1磷酸化;STAT1基因敲除脓毒症小鼠的病死率降低。在盲肠结扎穿刺法(CLP)构建的脓毒症模型中,发现STAT1基因敲除小鼠病死率显著低于野生型小鼠(10% vs. 80%)[26]。笔者发现miR-155抑制组小鼠肺组织SOCS1 mRNA明显高于LPS组;STAT1 mRNA表达明显下降,TNF-α和IL-10的含量低于LPS组,肺组织损伤明显轻于LPS组,说明miR-155抑制剂可能通过增加SOCS1 mRNA表达,负调控STAT1 mRNA及炎症因子的表达,减轻肺组织损伤。
综上所述,miR-155抑制剂使内毒素血症小鼠肺组织SOCS1 mRNA表达上调,JAK/STAT1信号通路表达下调,减轻炎症反应和肺组织损伤。说明miR-155可通过SOCS1-JAK/STAT1信号通路调控肺组织炎症反应。
| [1] | 刘松桥, 邱海波. 急性呼吸窘迫综合征诊治进展 [J]. 中华急诊医学杂志, 2014, 23(3): 248-251. |
| [2] | Mikkelsen ME, Shah CV, Meyer NJ, et al. The epidemiology of acute respiratory distress syndrome in patients presenting to the emergency department with severe sepsis [J]. Shock, 2013, 40(5): 375-381. |
| [3] | Nguyen-Jackson H, Panopoulos AD, Zhang H, et al. STAT3 controls the neutrophil migratory response to CXCR2 ligands by direct activation of G-CSF-induced CXCR2 expression and via modulation of CXCR2 signal transduction [J]. Blood, 2010, 115(16): 3354-3363. |
| [4] | Paracha RZ, Ahmad J, Ali A, et al. Formal modelling of toll like receptor 4 and JAK/STAT signalling pathways: insight into the roles of SOCS-1, interferon-beta and proinflammatory cytokines in sepsis [J]. PLoS One, 2014, 9(9): e108466. |
| [5] | Dalpke A, Heeg K, Bartz H, et al. Regulation of innate immunity by suppressor of cytokine signaling (SOCS) proteins [J]. Immunobiology, 2008, 213(3/4): 225-235. |
| [6] | Zhang M, Zhang Q, Liu F, et al. MicroRNA-155 may affect allograft survival by regulating the expression of suppressor of cytokine signaling[J]. Med Hypotheses, 2011, 77(4): 682-684. |
| [7] | Vaporidi K, Vergadi E, Kaniaris E, et al. Pulmonary microRNA profiling inamouse model of ventilator-induced lung injury [J]. AmJPhysiol Lung Cell Mol Physiol, 2012, 303(3): L199-207. |
| [8] | Ng CT, Dheen ST, Yip WC, et al. The induction of epigenetic regulation of PROS1 gene in lung fibroblasts by gold nanoparticles and implications for potential lung injury [J]. Biomaterials, 2011, 32(30): 7609-7615. |
| [9] | Peyssonnaux C, Cejudo-Martin P, Doedens A, et al. Cutting edge: Essential role of hypoxia inducible factor-1alpha in development of lipopolysaccharide-induced sepsis [J].JImmunol, 2007, 178(12): 7516-7519. |
| [10] | Liu MW, Wang YH, Qian CY, et al. Xuebijing exerts protective effects on lung permeability leakage and lung injury by upregulating Toll-interacting protein expression in rats with sepsis [J]. IntJMol Med, 2014, 34(6): 1492-1504. |
| [11] | O'shea JJ, Plenge R. JAK and STAT signaling molecules in immunoregulation and immune-mediated disease [J]. Immunity, 2012, 36(4): 542-550. |
| [12] | Kutty RK, Nagineni CN, Samuel W, et al. Inflammatory cytokines regulate microRNA-155 expression in human retinal pigment epithelial cells by activating JAK/STAT pathway [J]. Biochem Biophys Res Commun, 2010, 402(2): 390-395. |
| [13] | Guo H, Ingolia NT, Weissman JS, et al. Mammalian microRNAs predominantly act to decrease target mRNA levels [J]. Nature, 2010, 466(7308): 835-840. |
| [14] | O'neill LA, Sheedy FJ, Mccoy CE. MicroRNAs: the fine-tuners of Toll-like receptor signalling [J]. Nat Rev Immunol, 2011, 11(3): 163-175. |
| [15] | Gatto G, Rossi A, Rossi D, et al. Epstein-Barr virus latent membrane protein 1 trans-activates miR-155 transcription through the NF-kappaB pathway [J]. Nucleic Acids Res, 2008, 36(20): 6608-6619. |
| [16] | Piccinini AM, Midwood KS. Endogenous control of immunity against infection: tenascin-C regulates TLR4-mediated inflammation via microRNA-155 [J]. Cell Rep, 2012, 2(4): 914-926. |
| [17] | Mccoy CE, Sheedy FJ, Qualls JE, et al. IL-10 inhibits miR-155 induction by toll-like receptors [J].JBiol Chem, 2010, 285(27): 20492-20498. |
| [18] | Guo Z, Wen Z, Qin A, et al. Antisense oligonucleotide treatment enhances the recovery of acute lung injury through IL-10-secreting M2-like macrophage-induced expansion of CD4+ regulatoryTcells [J].JImmunol, 2013, 190(8): 4337-4348. |
| [19] | Nahid MA, Satoh M, Chan EK. MicroRNA in TLR signaling and endotoxin tolerance [J]. Cell Mol Immunol, 2011, 8(5): 388-403. |
| [20] | Rao R, Nagarkatti P, Nagarkatti M. Staphylococcal Enterotoxin B-Induced MicroRNA-155 Targets SOCS1 To Promote Acute Inflammatory Lung Injury [J]. Infect Immun, 2014, 82(7): 2971-2979. |
| [21] | Chen Y, Liu W, Sun T, et al. 1’ 25-DihydroxyvitaminDpromotes negative feedback regulation of TLR signaling via targeting microRNA-155-SOCS1 in macrophages [J].JImmunol, 2013, 190(7): 3687-3695. |
| [22] | Momen-Heravi F, Bala S, Bukong T, et al. Exosome-mediated delivery of functionally active miRNA-155 inhibitor to macrophages [J]. Nanomedicine, 2014, 10(7): 1517-1527. |
| [23] | Kiu H, Nicholson SE. Biology and significance of the JAK/STAT signalling pathways [J]. Growth Factors, 2012, 30(2): 88-106. |
| [24] | Collins AS, Mccoy CE, Lloyd AT, et al. miR-19a: an effective regulator of SOCS3 and enhancer of JAK-STAT signalling [J]. PLoS One, 2013, 8(7): e69090. |
| [25] | Luu K, Greenhill CJ, Majoros A, et al. STAT1 playsarole in TLR signal transduction and inflammatory responses [J]. Immunol Cell Biol, 2014, 92(9): 761-769. |
| [26] | Herzig D, Fang G, Toliver-Kinsky TE, et al. STAT1-deficient mice are resistant to cecal ligation and puncture-induced septic shock [J]. Shock, 2012, 38(4): 395-402. |
2015, Vol. 24





