中华急诊医学杂志  2015, Vol. 24 Issue (7): 791-792
肺动静脉瘘致心搏骤停后超长心肺复苏成功一例
沈鹏, 徐笑月, 蒋林涛     
作者单位:314000 浙江省嘉兴,嘉兴市第一医院重症医学科

肺动静脉瘘(pulmonary arterio-venous fistula,PAVF)或称肺动静脉畸形(pulmonary arteriovenous malformations,PAVM)是一种肺内血管畸形,多发生在肺动静脉之间。由于肺动脉血液未经毛细血管氧合,致血氧饱和度降低,引起一系列临床症状,如心慌气短、全身无力、发绀、杵状指(趾),血色素升高以致心肺功能受损等[1]。近期嘉兴市第一医院重症医学科收治一例猝死后经超长心肺复苏成功,并最终明确为肺动静脉瘘的患者,现报道如下。

1 资料与方法

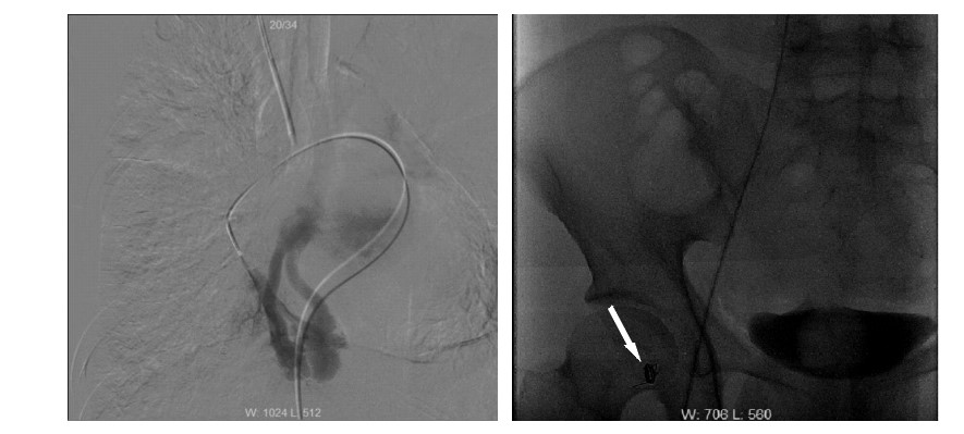
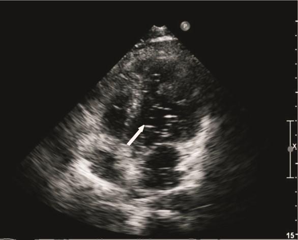
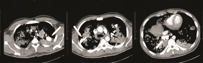
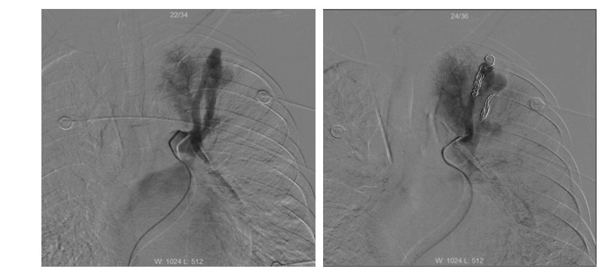
患者男性,25岁,因“突发抽搐后摔倒3 h余”于2014年2月23日诊断“外伤性硬膜下血肿”入我院神经外科,否认既往重大疾病史。急诊头颅计算机断层扫描(computed tomography,CT)及核磁共振成像(magnetic resonance imaging,MRI)均提示“左侧额颞部少量硬膜下血肿”。入院时患者浅昏迷,躁动不安,格拉斯哥昏迷评分(glasgow coma scale,GCS)11分,双侧瞳孔等大,光反射灵敏,两肺听诊未闻及明显干湿啰音,心律齐,无明显杂音,四肢均有活动,杵状指。入院后患者氧饱和度偏低,不吸氧时指脉氧饱和度波动在85%~90%之间,血常规:白细胞计数 10.4×109 L-1、中性粒比例 76.4%、血红蛋白 153 g/L,肝肾功能均正常范围,考虑患者有杵状指,予预约心脏彩超。入院第二日(2月24日),患者神志转清,有指令动作,对答切题,已可下床活动。2月27日患者在家属搀扶下上厕所时,突发心搏骤停,当时立即予以气管插管以及持续胸外心脏按压等心肺复苏抢救,约110 min左右,患者恢复自主心律并转入ICU进一步抢救及治疗。入ICU时患者双侧瞳孔等大,光反射存在,并随即出现四肢躁动,遂予持续镇痛镇静治疗,并予亚低温脑保护(头部冰帽及盐酸氯丙嗪+异丙嗪静脉维持,维持体温在34 ℃左右),小剂量去甲肾上腺素 维持MAP在90 mmHg(1 mmHg=0.133 kPa)左右,机械通气支持等治疗,患者氧合、循环基本稳定,亚低温治疗48 h左右(3月1日)予复温,患者有自主睁眼,四肢均有活动,期间予床边心脏超声检查(采用右侧锁骨下静脉注射5%碳酸氢钠溶液+维生素C微泡造影)发现左室微泡显影,考虑肺动静脉瘘可能(图 1),予预约胸部增强CT检查,3月3日中午,患者突发大咯血,咯血量达近800 mL,予提高呼吸机支持条件等抢救处理后患者咯血停止,氧饱和度维持在90%以上,予急诊肺动脉增强CT扫描发现患者多发肺动静脉瘘,分别位于左上肺、右上肺及右下肺(图 2),随即组织本院胸外科、介入治疗科以及心内科等相关科室讨论后考虑患者肺动静脉多发,手术治疗需切除肺叶面积极大,故首选介入栓塞治疗,经家属签字同意后,当天即予急诊数字减影血管造影(digital subtraction angiography,DSA),术中见患者左上、右下肺动静脉瘘均为双支动静脉瘘畸形,右上造影未见畸形血管,考虑血栓形成可能;尝试左上及右下肺动静脉瘘弹簧圈栓塞治疗,最终左上肺动静脉瘘栓塞成功(图 3),右下肺动静脉瘘管径过大,血流速极快,弹簧圈(本院最大直径)无法固定(图 4),漂移至右髂外动脉,予床边动脉切开取出后结束治疗返回病房。再次告知家属拟行开胸肺动静脉瘘切除手术治疗(右下肺),家属因费用问题拒绝手术治疗,至3月5日,患者再次出现大咯血,抢救无效死亡。

心尖部四腔心,箭头示左心大量微泡显影 图 1 床旁心脏超声微泡造影

红色箭头示左上肺、右上肺及右下肺动静脉瘘 图 2 患者增强CT检查结果

左上肺双支动静脉瘘,予弹簧圈栓塞治疗后血流明显减少,周围肺组织血供改善 图 3 患者左上肺DSA造影及栓塞后

箭头示弹簧圈栓塞失败漂移至右侧髂外动脉 图 4 患者右下肺DSA及尝试栓塞治疗
2 讨论

肺动静脉瘘又称肺动静脉畸形,是肺部的动脉和静脉直接相通而引起的血管短路,多为先天性,少数可由于胸部创伤累及肺血管而形成[2]。肺动静脉瘘的临床表现与动静脉瘘的大小、数量、对气体交换的影响和有无并发症有关,常合并遗传性出血性毛细血管扩张症(hereditary hemorrhagic telangiectasia,HHT)或称Osler-Weber-Rendu综合征[3],其中约30%的患者可有神经症状[4],诊断主要有赖于CT检查[5, 6, 7],增强CT扫描是金标准[8]

本例患者因癫痫样发作入院,但既往无类似发作病史,住院期间出现心搏呼吸骤停,复苏后无明显肢体活动障碍,考虑可能与动静脉瘘短时间大量分流后脑缺氧有关,在以往文献中,罕有报道。提示对于不明原因的神经系统症状和体征,需警惕先天性血管畸形可能,特别是有杵状指等典型体征时,需详细追问病史及体格检查,并予以针对性的实验室或影像学检查。此外,本例患者在出现心搏呼吸骤停后,我们调集了大量的医护人员予以持续胸外心脏按压等心肺复苏抢救(本院尚未配备胸外按压机),期间患者一直保持有微弱的自主呼吸,因此经历了约110 min的复苏时间仍未放弃,最终恢复自主心律及循环,成为我院有史以来最长时间的心肺复苏成功案例。结合以往相关文献报道,在保证复苏,特别是按压质量的情况下,超长心肺复苏结合复苏后的脑保护等措施仍可能取得良好的预后,不遗留明显的脑部或其他脏器功能障碍[9, 10, 11, 12]。另外,所有肺部血管畸形均应予以治疗以预防可能的并发症,对于孤立的血管畸形患者,可考虑手术治疗,而对于多发畸形患者,首选介入栓塞治疗[13],笔者首先采用了介入治疗,栓塞了部分畸形血管,取得了部分效果,同时为后期手术争取了时间,虽然患者最终由于多方面原因,仍抢救无效死亡,但为今后在肺动静脉瘘的诊治以及超长心肺复苏方面积累了宝贵的经验。

参考文献
[1] 古立暖,陈新国,刘桂海,等. 先天性肺动静脉瘘的诊治[J]. 中华小儿外科杂志,2005,26(6):335-336.
[2] 白仁驹,张雪林. 医学影像诊断学[M]. 北京:人民卫生出版社,2010:198-200.
[3] Cottin V, Dupuis-Girod S, Lesca G, et al. Pulmonary vascular manifestations of hereditary hemorrhagic telangiectasia (rendu-osler disease)[J]. Respiration,2007,74(4):361-378.
[4] Fishman AP.Fishman’ s pulmonary diseases and disorders[M]. 4th ed. New York:The McGraw-Hill Companise,2008:1467-1483.
[5] Lawler LP, Fishman EK. Multi-detector row CT of thoracic disease with emphasis on 3D volume rendering and CT angiography[J]. Radiographics,2001,21(5):1257-1273.
[6] Lawler LP, Fishman EK. Arteriovenous malformations and systemic lung supply: evaluation by multidetector CT and three-dimensional volume rendering[J]. Am J Roentgenol,2002,178(2):493-495.
[7] White RJ, Pollak JS. Pulmonary arteriovenous malformations: diagnosis with three-dimensional helical CT--a breakthrough without contrast media[J]. Radiology,1994,191(3):613-614.
[8] Khurshid I, Downie GH. Pulmonary arteriovenous malformation[J]. Postgrad Med J,2002,78(918):191-197.
[9] 卢年芳,郑瑞强,林华,等. 340 min超长心肺复苏成功抢救1例呼吸心搏骤停患者[J]. 中国危重病急救医学,2008,20(7):440.
[10] Chiu CW, Yen HH, Chiu CC, et al. Prolonged cardiac arrest: successful resuscitation with extracorporeal membrane oxygenation[J]. Am J Emerg Med,2013,31(11):1627.e5-6.
[11] Boue Y, Lavolaine J, Bouzat P, et al. Neurologic recovery from profound accidental hypothermia after 5 hours of cardiopulmonary resuscitation[J]. Crit Care Med,2014,42(2):e167-170.
[12] 邢帮荣,钟新华,叶志强.超长心肺复苏成功因素分析--附1例报道 .中国急救医学,2014,Z1:108-110.
[13] Pejhan S, Rahmanijoo N, Farzanegan R, et al. Surgically treatable pulmonary arteriovenous fistula[J]. Ann Thorac Cardiovasc Surg,2012,18(1):36-38.