中华急诊医学杂志  2015, Vol. 24 Issue (7): 751-755
微小RNA-214对脓毒症小鼠心肌损伤的作用
葛晨, 刘俊行, 董士民     
050051 石家庄,河北医科大学第三医院急诊科
摘要:探讨微小RNA-214(miRNA-214)对脓毒症小鼠心肌损伤的作用。 方法 清洁级雄性昆明小鼠66只,体质量25~30 g,随机(随机数字法)分为4组:假手术组(Sham组,n=18)、脓毒症组(CLP组,n=18)、miRNA-214前体+脓毒症组(前体组,n=12)、miRNA-214抑制剂+脓毒症组(抑制剂组,n=12),其余6只小鼠应用载有miRNA-214前体和抑制剂的腺病毒转染用于空载病对照及miRNA-214转染情况检测。采用盲肠结扎穿孔术(CLP)制备小鼠脓毒症模型。Sham组开腹寻找盲肠,不结扎穿孔;前体组、抑制剂组转染后行CLP术。Sham、CLP组小鼠分别于术后6、12、24 h时取心肌组织采用实时荧光定量聚合酶链反应法(RT-PCR)测定miRNA-214表达。于术后12、24 h时采用酶联免疫法(ELISA)测定各组心肌组织炎症因子和血清心肌酶浓度;术后24 h时采用流式细胞技术测定心肌细胞凋亡率,光镜下观察心肌组织病理学结果。采用SPSS 13.0统计学软件进行分析,应用单因素方差分析进行组间差异比较。 结果 (1) 与Sham组比较,CLP组术后6、12、24hmiRNA-214表达分别升高2.28倍、1.89倍、1.53倍(F值分别为280.198, 82.48, 30.65; 均P<0.05); (2)与CLP组术后12 h比较,转染miRNA-214前体小鼠miRNA-214表达水平升高1.86倍,转染抑制剂小鼠miRNA-214表达下降84.5%(F=394.773; P<0.05);(3)与CLP组比较,前体组小鼠术后12、24 h心肌组织上清液肿瘤坏死因子(TNF-α)、白介素-6(IL-6),血清肌钙蛋白(cTnI)及脑钠肽(BNP)水平降低,白介素-10(IL-10)水平升高;反之,抑制剂组各指标水平升高,IL-10水平降低 (12hF值分别为72.819, 88.851, 147.546, 65.256, 102.72; 24hF值分别为50.836, 76.167, 100.290, 60.763, 52.580; 均P<0.05);(4)与CLP组比较,前体组小鼠术后24 h心肌细胞凋亡率下降,抑制剂组升高(F=151.076; P<0.05);(5)前体组小鼠心肌组织病理学损伤较CLP组、抑制剂组减轻。 结论 在CLP所致的小鼠心肌损伤中miRNA-214表达增加,且miRNA-214对CLP诱导的心肌损伤有保护作用。
关键词微小RNA-214     小鼠     脓毒症     心肌损伤     炎症因子     心肌酶     凋亡    
Role of miRNA-214 in myocardial injury in septic mice
Ge Chen, Liu Junxing, Dong Shimin     
Department of Emergency, The Third Hospital of Hebei Medical University, Shijiazhuang 050051, China
Corresponding author: Dong Shimin , Email: dsm_123@163.com
Abstract:Objective To evaluate the role of miRNA-214 in myocardial injury in septic mice. Methods Sixty-six healthy male Kunming mice, weighing 25-30 g, were randomLy(random number) divided into 4 groups: sham operation group (Sham group, n=18), cecal ligation and puncture group (CLP group, n=18), CLP+miRNA-214 precursor treated group(pre-miR-214 group, n=12), CLP+miRNA-214 inhibitor treated (anti-miR-214 group, n=12), and the rest six mice were treated with miRNA-214 precursor or inhibitor intravenously. Sepsis was induced by CLP, pre-miR-214 group and anti-miR-214 group were respectively treated with miRNA-214 precursor or miRNA-214 inhibitor before the CLP, Sham group were exposed to the cecum only. Mice were sacrificed and hearts were removed for determination of miRNA-214 expression by RT-PCR in Sham and CLP group at 6 h, 12 h, and 24 h. Blood samples were collected from inferior vena cava at 12hand 24hafter CLP for determination of the B-type natriuretic peptide (BNP) and cardiac troponin-I (cTnI) concentration by ELISA, then the mice were sacrificed and hearts were removed for determination of the inflammatory factor concentration by ELISA, cardiac myocyte apoptosis rate by flow cytometry and histopathological changes by microscopic examination. Statistical analysis was carried out with SPSS 13.0 software for One-way ANOVA. Results (1) The miRNA-214 expression was higher in CLP group than that in Sham group at 6 h, 12hand 24 h; (2) Compared with CLP group, the miRNA-214 expression in pre-miR-214 group was increased, but decreased in anti-miR-214 group at 12 h; (3) Compared with CLP group, the concentrations of the serum BNP, cTNI, tumor necrosis factor-alpha (TNF-α) and the interleukin-6 (IL-6) were lower than those in pre-miR-214 group, whereas the interleukin-10 (IL-10) was increased. However, the levels of these variables changed just in opposite direction in anti-miR-214 group at 12 h, 24 h; (4) Compared with CLP group, the myocardial cell apoptosis rate was decreased in pre-miR-214 group, but increased in anti-miR-214 group at 24 h; (5) The microscopic examination showed that myocardial injury was attenuated in pre-miR-214 group compared with CLP group. Conclusions The miRNA-214 expression was increased in myocardial injury in CLP mice, suggesting miRNA-214 expression relating to myocardial protection in sepsis.
Key words: MicroRNA     Sepsis     Myocardial injury     Inflammatory factor     Mycardial enzyme     Apoptosis    

严重脓毒症与脓毒症休克的病死率高达40%~70%,而心肌损伤是造成难治性低血压和脓毒症死亡的重要因素。目前防治脓毒症心肌损伤主要通过纠正原发病和积极的早期液体复苏,尚无有效的方法。近年来,研究表明miRNA在心血管疾病中起到重要的调控作用[1],对各种心血管疾病等所致的心肌损伤起到保护作用[2, 3, 4, 5]。本课题组前期研究显示,miRNA-214 对由H2O2诱导的心肌细胞损伤具有减少凋亡等保护作用,但其对脓毒症心肌损伤的治疗作用尚有待探讨[6]。本研究拟建立小鼠脓毒症心肌损伤模型,通过调控心肌miRNA-214表达,评价miRNA-214对脓毒症心肌损伤的作用,为脓毒症心肌损伤的基因治疗提供参考。

1 材料与方法

1.1 主要试剂和仪器

TRIzol RNA提取液(ambion公司,美国);miRNA cDNA合成试剂盒(GeneCopoeia公司,美国),实时荧光定量聚合酶链反应(RT-PCR)试剂盒(GeneCopoeia公司,美国);载有miRNA-214前体/抑制剂的腺病毒(invitrogen公司,美国);小鼠TNF-α、IL-6、IL-10酶联免疫吸附试验(ELISA)试剂盒(联科公司,杭州,中国),小鼠cTnI、BNP ELISA试剂盒(百沃公司,上海,中国);Annexin/PI凋亡试剂盒(联科公司,杭州,中国);实时定量PCR仪(ABI7500,ABI公司,美国);Epics-XL流式细胞仪(Beckman Coulter公司,美国)。

1.2 动物选择及分组

清洁级雄性昆明小鼠66只,体质量25~30 g,由河北医科大学实验动物中心提供。随机(随机数字法)分为4组:假手术组(Sham组,n=18)、脓毒症组(CLP组,n=18)、miRNA-214前体+脓毒症组(前体组,n=12)、miRNA-214抑制剂+脓毒症组(抑制剂组,n=12),剩余6只小鼠应用miRNA-214前体和抑制剂转染用于空载病毒对照及miRNA-214转染情况检测。

1.3 模型制备及分组处理

适应环境3~5 d后,采用盲肠结扎穿孔术制备脓毒症模型,术前禁食12 h,自由饮水。腹腔注射10%水合氯醛(3 mL/kg)麻醉下仰卧固定,腹部消毒,铺无菌洞巾,沿腹正中线作1.5 cm纵行切口,分离盲肠,用3.0丝线于回盲瓣下方结扎盲肠根部,用18号针穿刺贯穿盲肠3次,并留置一条1 cm长橡皮引流条,挤压盲肠使粪便溢出,然后将盲肠还纳腹腔,逐层缝合腹壁切口。Sham组暴露盲肠后缝合腹壁切口,不作穿刺处理。miRNA-214前体组、抑制剂组分别以0.2 mL(109 pfu/mL)经尾静脉注射载有miRNA-214前体和miRNA-214抑制剂的腺病毒后4 d行CLP术。

1.4 标本处理

于下腔静脉取血,静置2 h,2 000 r/min离心20 min,取上清液,-80 ℃保存;取心室肌组织,液氮速冻,-80 ℃保存,用于下述指标测定。

1.5 观察指标

1.5.1 心肌组织miRNA-214表达水平的检测

采用RT-PCR法测定心肌组织miRNA-214的表达水平,miRNA-214和U6引物由广州复能公司提供。按照TRIzol试剂要求提取心肌组织RNA,采用超微量紫外分光光度计分别测定260 nm和280 nm处吸光度值,鉴定纯度及测定浓度。参照miRNA cDNA合成试剂盒行逆转录,反应体系总体积为20 μL;逆转录反应条件:37 ℃ 60 min,85 ℃ 5 min。实时荧光定量PCR:反应体系总体积20 μL;扩增条件:95 ℃预变性10 min,95 ℃变性10 s,60 ℃退火20 s,72 ℃延伸20 s,40个循环。以U6为内参,结果采用2-ΔΔCt法以相对表达倍数表示。

1.5.2 血清心肌酶及心肌组织炎性因子浓度的测定

血清和心肌组织自-80 ℃冰箱取出,4 ℃复融,匀浆心肌组织,加入灭菌蒸馏水,低温离心机4 000 r/min离心10 min,取组织上清液,参照ELISA试剂盒说明书,绘制标准曲线和回归方程,测定样品吸光度,代入标准曲线计算样品浓度。

1.5.3 心肌细胞凋亡率的测定

将心肌组织置于100目尼龙网上,下置一平皿,眼科剪刀将组织剪碎,用眼科镊研磨组织,并用生理盐水冲洗,收集混悬液,用300目铜网过滤去除细胞团块,后以1 000 r/min离心4 min,去除上清液,沉淀物即为单细胞悬液,调整其浓度为1×106/mL。将单细胞悬液置于5 mL流式管中,分别加入500 μL Buffer液、5 μL Annexin V/FITC和10 μL PI,摇匀后室温避光孵育15 min,采用流式细胞仪测定细胞凋亡率。

1.5.4 心肌组织病理学观察

取心肌组织置于4%多聚甲醛固定,石蜡包埋、常规切片,HE染色,光镜下观察病理学结果,采集图片。

1.6 统计学方法

采用SPSS 13.0统计学软件进行分析,计量资料以均数±标准差( x±s )表示,多组间比较应用单因素方差分析,组间差异比较采用SNK-q检验方法,以P<0.05为差异具有统计学意义。

2 结果

2.1 小鼠术后一般状况观察

各组小鼠术后3~6 h清醒,Sham组、空载前体及抑制剂小鼠可正常饮水、进食;CLP组小鼠清醒后精神萎靡,反应差,活动少,竖毛,寒战,不饮水,食欲低下,眼角分泌物增多,随时间延长病态逐渐明显;前体组、抑制剂组小鼠均出现不同程度与CLP组小鼠相似的病态表现。

2.2 miRNA-214在CLP小鼠心肌组织中的表达情况

与Sham组比较,CLP组miRNA-214的表达水平上调;CLP术后6、12、24hmiRNA-214表达分别是对应时相Sham组miR-214表达的2.28倍、1.89倍、1.53倍(F值分别为280.198、82.48、30.65; 均P<0.05)。见图 1

与Sham组对应时比较,aP<0.05 图 1 CLP小鼠心肌组织miRNA-214表达 Fig 1 MicroRNA-214 expression in mouse hearts after CLP
2.3 术后12hCLP组与转染miRNA-214前体、抑制剂后小鼠心肌miRNA-214表达情况比较

与CLP组术后12 h比较,转染miRNA-214前体后miRNA-214表达是CLP组miRNA-214表达的1.86倍,而转染miRNA-214抑制剂后miR-214表达则是CLP组的15.5%(F=394.773,P<0.05)。见图 2

与CLP组比较,aP<0.05 图 2 术后12 h各组miRNA-214表达 Fig 2 Comparison of microRNA-214 expression among different groups after surgery at 12 h
2.4 术后12 h、24 h各组心肌组织炎性因子、血清心肌酶学指标的比较

与Sham组对应时比较,CLP组心肌组织TNF-α、IL-6、IL-10及血清cTnI、BNP水平均显著升高(12 h F值分别为102.498、216.378、148.462、460.690、64.136; 24 h F值分别为35.158、61.116、59.496、286.220、103.634; 均P<0.05);与CLP组对应时比较,前体组心肌组织上清液TNF-α、IL-6及血清cTnI、BNP降低,IL-10水平升高;反之,抑制剂组各指标水平升高,IL-10水平降低(12 h F值分别为72.819、88.851、147.546、65.256、102.72; 24 h F值分别为50.836、76.167、100.290、60.763、52.580; 均P<0.05)。见表 1

表 1 术后12h、24h各组炎性因子及心肌酶学指标的比较(n=6,x±s )Table 1 Comparison of inflammatory factors and myocardial enzyme indicators among different groups after surgery at 12 h and 24 h(n=6,x±s )
组别时间点TNF-α(pg/mL)IL-6(pg/mL)IL-10(pg/mL)cTnI(ng/mL)BNP(pg/mL)
Sham组12 h283±3373±2150±130.52±0.0554±10
24 h284±4167±2268±350.42±0.0653±9
CLP组12 h573±62a354±42a376±64a6.1±0.6a133±22a
24 h447±53b233±47b252±46b5.1±0.7b190±33b
前体组12 h379±56c256±56c504±56c4.3±0.6c94±13c
24 h202±29d183±25d342±47d3.3±0.5d127±22d
抑制剂组12 h757±81c532±68c227±39c7.8±0.9c189±22c
24 h511±65d379±44d168±25d6.8±1.0d231±30d
注:与Sham组术后12 h比较,aP<0.05,与Sham组术后24 h比较,bP<0.05;与CLP组术后12 h比较,cP<0.05,与CLP组术后24 h比较,dP<0.05

与Sham组对应时比较,CLP组心肌组织TNF-α、IL-6、IL-10及血清cTnI、BNP水平均显著升高(12 h F值分别为102.498、216.378、148.462、460.690、64.136; 24 h F值分别为35.158、61.116、59.496、286.220、103.634; 均P<0.05);与CLP组对应时比较,前体组心肌组织上清液TNF-α、IL-6及血清cTnI、BNP降低,IL-10水平升高;反之,抑制剂组各指标水平升高,IL-10水平降低(12 h F值分别为72.819、88.851、147.546、65.256、102.72; 24 h F值分别为50.836、76.167、100.290、60.763、52.580; 均P<0.05)。见表 1

2.5 术后24 h各组心肌细胞凋亡率比较

CLP组小鼠心肌细胞凋亡率(7.6±0.8)较Sham组(1.38±0.02)升高(F=385.516; P<0.05);与CLP组比较,前体组小鼠心肌细胞凋亡率降低(5.4±0.6),抑制剂组升高(9.7±1.0)(F=151.076,P<0.05)。

2.6 术后24 h各组心肌组织形态学比较

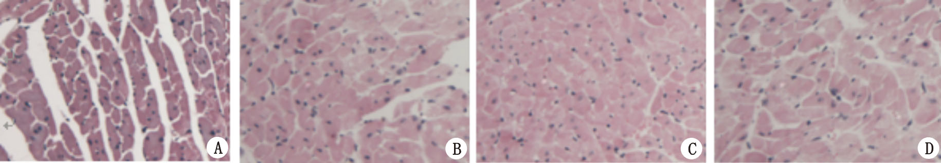
Sham组心肌组织未见明显病理改变;CLP组心肌细胞可见空泡变性,心肌坏死,心肌纤维肿胀,间质水肿;前体组可见上述病理改变,程度有所减轻;抑制剂组心肌细胞水肿,空泡变性明显,心肌纤维断裂。见图 3

A:Sham组;B:CLP组;C:前体组;D:抑制剂组 图 3 术后24 h各组小鼠心脏病理切片(HE×200) Fig 3 Pathological changes of heart in mice after surgery at 24 h(HE×200)
3 讨论

本研究采用经典的盲肠结扎穿孔方法制作小鼠脓毒症模型[7]。结果显示小鼠明显病态表现,光镜下心肌细胞水肿,纤维排列紊乱、水肿,心肌组织炎性指标与血清心肌酶学指标水平升高,提示存在明显的心肌损伤。近年miRNA在脓毒症防治中发挥的重要作用逐渐被认知,多种miRNA在脓毒症中表达异常,其中miRNA-132、miRNA-155、miRNA-150、miRNA-146 变化较为显著[8, 9, 10, 11],可能成为诊断脓毒症潜在的新型生物标记物[12]。研究表明,miRNA-214在缺血性心肌病、扩张性心肌病异常表达,发挥多种生物学效应[13]。研究表明,miRNA-214对氧化应激诱导的心肌细胞凋亡具有保护作用[6]。但迄今为止miRNA-214在脓毒症中的意义尚不清楚。

本研究采用RT-PCR技术发现,CLP小鼠心肌组织miRNA-214表达升高,6 h达假手术组2.28倍,24 h仍为1.53倍,提示脓毒症时伴有miRNA-214异常表达。本研究经尾静脉注射腺病毒转染干预miRNA-214表达,结果注射miRNA-214前体或抑制剂使心肌miRNA-214表达分别升高至CLP组的1.86倍和下降至CLP组的15.5%,提示该方法可有效调控心肌miRNA-214过表达和低表达。研究显示,与CLP组术后各时间点比较,前体组心肌组织促炎因子、心肌损伤标记物及心肌细胞凋亡率降低,抗炎因子IL-10水平升高;反之,抑制剂组各指标水平升高,IL-10水平降低,表明上调miRNA-214表达水平会减轻脓毒症小鼠炎症反应并对其心肌损伤有保护作用。 脓毒症时心肌损伤与炎症反应、氧化应激、细胞凋亡等因素密切相关。TNF-α和IL-6是导致脓毒症心肌损伤的主要炎症因子,除可通过核转录因子(NF-κB)引发炎症反应失控[14],还可通过激活caspase诱发心肌细胞凋亡[15],线粒体损伤在脓毒症心肌细胞凋亡中发挥重要作用[16]。脓毒症时组织缺血缺氧,氧自由基清除功能下降,氧自由基堆积损伤心肌,导致心肌细胞舒缩功能下降[17]

miRNA-214对脓毒症心肌损伤的保护作用可能通过以下途径:(1)miRNA-214减轻炎症反应。已有研究显示,miR-146通过抑制TNF-α和IL-1受体mRNA表达以减少IL-1、TNF-α等炎症介质的释放[18]。miR-16也可直接结合TNF-α mRNA的3’非翻译区并促进其降解,具有防止炎症瀑布反应过度扩大的作用。本研究中miRNA-214过表达能促进抗炎因子释放,抑制促炎因子产生,提示miRNA-214可能通过与炎症通路中mRNA结合促其降解,抑制炎症反应。(2)miRNA-214减缓氧化应激。研究证明,miRNA-214在H2O2处理的心肌细胞中表达上调,且干预miRNA-214使其上调对氧化应激的心肌细胞具有保护作用[6]。(3)miRNA-214抑制心肌细胞凋亡。研究发现,减少心肌细胞凋亡可改善心功能[19],miRNA-214抑制细胞凋亡是通过抑制PTEN进而抑制磷脂酰肌醇-3羟基激酶/苏氨酸激酶(PI3K/Akt)凋亡通路起作用的[20] ,提示前体组上调miRNA-214可能通过加强对PTEN的抑制作用,阻止PI3K/Akt凋亡通路发挥作用,降低心肌细胞凋亡率,减轻心肌损伤。

参考文献
[1] Ha TY. MicroRNAs in human diseases: from cancer to cardiovascular disease [J]. Immune Netw, 2011, 11(3): 135-154.
[2] Dong S, Cheng Y, Yang J, et al. MicroRNA expression signature and the role of microRNA-21 in the early phase of acute myocardial infarction [J].JBiol Chem,2009, 284(43): 29514-29525.
[3] Kartha RV, Subramanian S. MicroRNAs in cardiovascular diseases: biology and potential clinical applications [J].JCardiavasc TransI Res, 2010, 3(3): 256-270.
[4] Cheng Y, Ji R, Yue J, et al. MicroRNAs are aberrantly expressed in hypertrophic heart: do they playarole in cardiac hypertrophy [J]. AmJPathol, 2007, 170(6): 1831-1840.
[5] Shan H, Li X, Pan Z, et al. Tanshinone IIA protects against sudden cardiac deathinduced by lethal arrhythmias via repression of microRNA-1 [J]. BrJPharmacol, 2009, 158(5): 1227-1235.
[6] Lv G, Shao S, Dong H, et al. MicroRNA-214 protects cardiac myocytes against H2O2-induced injury [J].JCell Biochem, 2013, 115(1): 93-101.
[7] 秦延军, 张新亮, 于悦卿, 等. 促红细胞生成素对脓毒症大鼠心肌损伤的保护作用 [J]. 中华急诊医学杂志, 2014, 23(2): 151-156.
[8] Lagos D, Pollara G, Henderson S, et al. miR-132 regulates antiviral innate immunity through suppression of the p300 transcriptional co-activator [J]. Nat Cell Biol, 2010, 12(5): 513-519.
[9] Tili E, Michaille JJ, Cimino A, et al. Modulation of miR-155 and miR-125b levels following lipopolysaccharide/TNF-alpha stimulation and their possible roles in regulating the response to endotoxin shock [J].JImmunol, 2007, 179(8): 5082-5089.
[10] Vasilescu C, Rossi S, Shimizu M, et al. MicroRNA fingerprints identify miR-150 asaplasma prognostic marker in patients with sepsis [J]. PLoS One, 2009, 4(10): e7405.
[11] Wang JF, Yu ML, Yu G, et al. Serum miR-146a and miR-223 as potential new biomarkers for sepsis [J]. Biochem Biophys Res Commun, 2010, 394(1): 184-188.
[12] Giza DE, Vasilescu C. MicroRNA’ s role in sepsis and endotoxin tolerance. More players on the stage [J]. Chirurgia (Bucur), 2010, 105(5): 625-630.
[13] Ikeda S, Kong SW, Lu J, et al.Altered microRNA expression in human heart disease [J]. Physiol Genomics, 2007, 31(3): 367-373.
[14] Zanotti S, Kamar A. Cytokine modulation in sepsis and septic shock [J]. Expert Opin Investig Drugs, 2002, 11(8): 1061-1075.
[15] Pantano C, Shrivastava P, MeElhinney B, et al. Hydrogen Peroxide signaling Through tumor necrosis factor receptor1 leads to selective activation of c-Jun N-terminal kinase [J].J Biol Chem, 2003, 278(45): 44091-44096.
[16] 李莉, 严静, 陈昌勤, 等. 线粒体损伤在脓毒症大鼠心肌细胞凋亡中的作用 [J]. 中华急诊医学杂志, 2012, 21(11): 1221-1225.
[17] Pantano C, Shrivastava P, MeElhinney B, et al. Hydrogen Peroxide signaling Through tumor necrosis factor receptor1 leads to selective activation of c-Jun N-terminal kinase [J].JBiol Chem, 2003, 278(45): 44091-44096.
[18] Lederhuber H,Baer K,Altiok I,et al.MicroRNA-146:tiny player in neonatal innate immunity [J]. Neonatology, 2011, 99(1):51-56.
[19] 张寒钰, 杨立沛, 谢苗荣. 脓毒症大鼠心肌细胞凋亡及糖皮质激素的作用 [J]. 中华急诊医学杂志, 2014, 23(10): 1105-1108.
[20] Yang H, Kong W, He L, et al. MicroRNA expression profiling in human ovarian cancer: miR-214 induces cell survival and cisplatin resistance by targeting PTEN [J]. Cancer Res, 2008, 68(2): 425-433.