中华急诊医学杂志  2015, Vol. 24 Issue (7): 712-718
超声微泡靶向转染MicroRNA-21对猪冠状动脉微栓塞后心肌细胞凋亡的影响
苏强, 李浪 , 刘阳春, 刘涛, 王江友, 周游, 文伟明     
530021 南宁,广西医科大学第一附属医院心血管内科 广西心血管病研究所
摘要目的 冠状动脉微栓塞(coronary microembolization,CME) 后导致的心肌凋亡是引起心功能损伤的主要原因之一,第10号染色体缺失的磷酸酶和张力蛋白同源物基因(phosphatase and tensin hmmlogydeleted on ten,PTEN)在CME后心肌凋亡中起到重要的作用,MicroRNA-21对心肌有保护作用,主要是通过调控其靶基因PTEN实现,因此本研究探讨超声微泡靶向转染MicroRNA-21对CME小猪心肌细胞凋亡的影响及意义。 方法 20头巴马小猪随机(随机数字法)分为假手术组、微栓塞组(CME组)、CME+单纯基因组、CME+超声介导基因组,每组小猪均为5只。经微导管左前降支注入微栓塞球构建CME模型组,注射等量生理盐水构建假手术组。CME+超声介导基因组于CME前4天经耳缘静脉注入质粒-微泡混合液, 同时予超声基因转染治疗仪经猪胸壁辐照心肌。CME+单纯基因组于CME前4天经耳缘静脉注入质粒-微泡混合液,不予超声辐照。应用心脏超声检测心功能指标;组织病理切片HE及HBFP染色进行梗死区域测量;冰冻切片荧光显微镜评估绿色荧光蛋白(GFP)标记基因表达量;切口末端标记法检测心肌细胞凋亡;荧光定量PCR检测心肌组织PTEN mRNA表达;Western blot检测心肌组织PTEN与Caspase-3蛋白表达。 结果 ⑴与单纯基因组比较,超声介导基因组可使心肌内外源基因表达水平提高8倍以上(P<0.05)。⑵超声心动图参数显示,与假手术组[(67.87±2.36)%]比较,CME组[(50.94±3.52)%]和CME+单纯基因组[(52.47±3.71)%]的左室射血分数(LVEF)显著降低(P<0.05);与CME组比较,CME+超声介导基因组[(64.79±2.95)%]可改善CME导致的心功能损伤(P<0.05)。⑶与假手术组比较,CME组PTEN的mRNA和蛋白表达量均显著增加,Caspase-3的蛋白表达量增加(均P<0.05);与CME组比较,CME+超声介导基因组中PTEN的mRNA和蛋白表达量明显较低,Caspase-3的蛋白表达量较低(均P<0.05)。 结论 超声微泡靶向转染MicroRNA-21可以有效地改善CME致心功能损伤,其可能机制是通过下调其靶基因PTEN在心肌细胞的表达,进而减少心肌细胞凋亡起效。
关键词冠状血管     栓塞     微泡     超声检查     MicroRNA-21     细胞凋亡    
Effect of Compaction Methods on Performance of ATB-30 Asphalt Mixture
Su Qiang, Li Lang , Liu Yangchun, Liu Tao, Wang Jiangyou, Zhou You, Wen Weiming     
Department of Cardiology,the First Affiliated Hospital of Guangxi Medical University,Nanning 530021,China
Corresponding author: Li Lang, Email: drlilang@163.com
Abstract:Objective To investigate the effects of ultrasound-targeted microbubble destruction-mediated MicroRNA-21 on cardiomyocyte apoptosis after coronary microembolization(CME) in swine. Methods Twenty Bama miniature swine were randomLy(random number) divided into sham-operated,CME,CME plus gene transfection and CME plus ultrasound mediated gene transfection groups(n=5 per group). The CME model was established by microcatheter-mediated injection of microspheres into the left anterior descending artery. The sham-operated group were made by injection of saline instead. The CME plus ultrasound mediated gene transfection group was made by injection of plasmid-microbubble mixture through the marginal ear vein 4 days before CME established. Meanwhile, ultrasound treatment was given to the myocardium through chest wall. The CME plus gene transfection group was made by injection of plasmid-microbubble mixture through the marginal ear vein 4 days before CME established without exposure to ultrasound. Left ventricular ejection fraction(LVEF) was examined by cardiac ultrasound. Tissue biopsy was stained with hematoxylin-eosin(HE) and hematoxylin basic fuchsin picric acid(HBFP) to measure the size of infarction area. Green fluorescent protein(GFP)-labeled gene expression was evaluated by fluorescent microscopy in frozen sections. Cardiomyocyte apoptosis was detected with terminal deoxynucleotidyl transferase(TdT)-mediated dUTP nick end-labeling(TUNEL staining). The expression of PTEN mRNA was measured by fluorescent quantitative PCR. The levels of PTEN protein and Caspase-3 protein was measured by western blot. Results ①Compared to CME plus gene transfection group, the CME plus ultrasound mediated gene group had over eightfold expression of exogenous genes in myocardium( P <0.05) measured by using optical density of green fluorescence protein; ②Compared with sham-operated group[(67.87±2.36)%], the LVEF of CME group[(50.94±3.52)%] and CME plus gene transfection group[(52.47±3.71)%] were markedly decreased(P<0.05). Compared with CME group, the CME plus ultrasound mediated gene transfection group[(64.79±2.95)%] improved CME-induced cardiac dysfunction as evidenced by increased LVEF (P<0.05); ③Compared with sham-operated group,the expression of PTEN mRNA and levels of PTEN protein and Caspase-3 protein in the CME group increased significantly (P<0.05). Compared with CME group,the levels of PTEN protein and Caspase-3 protein and the expression of PTEN mRNA in CME plus ultrasound mediated gene transfection group was dramatically decreased(P<0.05). Conclusions Ultrasound microbubble-mediated MicroRNA-21 transfection effectively improved CME-induced cardiac dysfunction by down-regulating the expression of targeted gene PTEN in myocardial cells, mainly reducing the post-CME myocardial cell apoptosis.
Key words: Coronary vessels     Embolism     Microbubble     Ultrasonography     MicroRNA-21     Apoptosis    

冠状动脉微栓塞(coronary microembolization,CME)是冠心病经皮冠状动脉介入(percutaneous coronary intervention,PCI)治疗中棘手的并发症[1, 2],是患者远期预后不良和主要心脏不良事件发生的强烈预测因子[3]。研究表明,CME后引起心肌细胞凋亡是导致心功能损伤的重要机制之一,抑制心肌细胞凋亡可以有效的改善CME所致的心功能损伤[4]。近期研究证明MicroRNA-21对心肌有保护作用,主要是通过调控靶基因PTEN的表达进而抑制心肌细胞凋亡起效[5]。因此,笔者设想若能将MicroRNA-21转染至心肌,那么将有可能抑制CME后的心肌凋亡而起到心肌保护的作用。虽然在CME的防治方面,MicroRNA-21有巨大的潜力,但裸露的MicroRNAs在血液中不稳定,MicroRNA-21的 治 疗 作 用 不 可 能 通 过 裸 露 的MicroRNA-21来诱导[6],如何实现MicroRNAs安全、高效转染和表达仍是尚待解决的问题。超声靶向微泡破裂(ultrasound-targeted microbubble destruction,UTMD)是近年来新起的一种高效、安全、具有靶向性的非病毒基因传输技术,可以使目的基因更容易进入组织细胞内,实现并增强基因的转染及表达效率[7]。因此,本研究拟经导管建立CME猪的动物模型,构建MicroRNA-21真核表达质粒,通过超声微泡靶向介导转染MicroRNA-21,检测CME后心肌细胞凋亡以及MicroRNA-21靶基因PTEN的变化,以深入阐明MicroRNA-21防治CME致心功能损伤的效应机制。

1 材料与方法 1.1 实验材料

42 μm微栓塞球(Biosphere Medical Inc.,美国);TRNzol-A+总RNA提取试剂(KeyGEN,中国);RevertAid FistStrand cDNA Synthesis kit(Fermentas,立陶宛);MicroRNA-21及内参照U6引物(Takara,中国);PTEN mRNA、β-actin mRNA引物(Sagene,中国),羊抗猪PTEN多克隆抗体(Santa Cruz Biotechnology,美国);羊抗猪Caspase-3多克隆抗体(Santa Cruz Biotechnology,美国);兔抗GAPDH多克隆IgG抗体(Proteintech Group,美国);pGV262-EGFP/ MicroRNA-21质粒(GeneChem,中国);质粒提取试剂盒(Omega Bio-tek,Inc.,美国);二棕榈酰磷酯酰乙醇胺(Sigma,美国);二硬脂酰磷脂酰胆碱(Sigma,美国);TUNEL试剂盒(Roche,美国)。

1.2 实验动物

健康巴马系小型猪20头,雌雄不拘,体质量25~30 kg,由广西大学动物科学技术学院提供。本实验遵照广西医科大学伦理委员会动物试验管理规范执行并获批准。

1.3 MicroRNA-21质粒的构建和携基因微泡的制备

构建重组质粒pGV262-EGFP/miR-21,转化DH5α感受态细胞,经卡那霉素筛选后挑取单克隆菌落置于LB培养基摇菌过夜进行扩增,按质粒提取试剂盒说明书提取和纯化质粒。Nanodrop测定其浓度和纯度,-20 ℃保存备用,该质粒载体携带有绿色荧光蛋白标记基因(green fluorescent protein,GFP)。参照Yuan等[8]制作微泡方法,制成质粒-微泡混合液,质粒的终浓度为2 mg/mL。

1.4 CME模型的建立与实验分组

参考笔者前期制作动物模型的方法[9],制成CME模型。同样操作,以注射生理盐水1.5 mL为假手术组。巴马系小型猪20头,按随机数字法分为假手术组、CME组、CME+单纯基因组、CME+超声介导基因组,每组小猪均为5头。

CME+超声介导基因组在CME前4天经耳缘静脉注入质粒-微泡混合液6 mL,同时予超声基因转染治疗仪经猪胸壁辐照心肌,以1 MHz频率,3.0 W/ cm2声强间歇作用2 min,辐照10 s,间歇10 s;CME+单纯基因组只注入质粒-微泡混合液6 mL,不予超声照射。超声基因转染治疗仪由重庆医科大学超声影像研究所研制。

1.5 小猪心功能的检测

于CME后9 h检测各组小猪左心室射血分数(LVEF)。探头频率为12 MHz。所有测量值均取3个心动周期的平均数[10]。所有超声心动图检查均由一位具有丰富超声心动图检查经验的专科医生完成。

1.6 组织取材及样品处理

检测心功能后,在麻醉状态下,经耳缘静脉注入10%氯化钾处死实验动物,开胸,取出心脏,平行于房室沟将心室切成6层(层厚5~8 mm),取部分左心室前壁心肌固定于4%中性甲醛,制备病理切片后行苏木素-伊红(HE)染色和苏木素碱性复红苦味酸(HBFP)染色检测心肌微梗死面积[11],取部分左心室前壁心肌组织冰冻切片于荧光显微镜下观察GFP表达,荧光强度以吸光度表示,每张切片选取6个视野,取平均数即为GFP相对表达量[12]

1.7 心肌微梗死面积测量

DMR+Q550病理图像分析仪检查,每张HBFP染色切片随机选取5个视野(×100),使用Leica Qwin分析软件平面法测量梗死区域,并表示为总分析切片的面积百分比,取平均数[13]

1.8 TUNEL法检测心肌细胞凋亡

严格按照试剂盒说明书操作,光镜下凋亡细胞核呈棕黄色(TUNEL阳性),每张切片上分别在微梗死区、梗死边缘区和远离梗死区,选取共40个非重叠400倍光镜视野[14],计数凋亡心肌细胞数和心肌细胞总数,心肌细胞凋亡率=凋亡心肌细胞数/心肌细胞总数×100%。

1.9 荧光定量PCR检测MicroRNA-21、PTEN mRNA表达量

按照Trizol操作说明提取左室心肌组织的总RNA,并用Nanodrop测量其浓度,采用cDNA逆转录试剂盒逆转录。采用SYBR GreenΙ荧光标记法检测PCR产物,MicroRNA-21及内参照U6引物由Takara公司提供;PTEN引物:上游:5’-GAGCCATTTCCATCCTGCAG’,下游:5’-GCTGTCATGTCTGGGAGTCT-3’;β-actin引物:上游:5’-CACCTTCTACAACGAGCTGC-3’,下游:5’-TCATCTTCTCACGGTTGGCT-3’,按试剂盒说明设置反应体系及参数,每个样本均做复孔检测,同时每次反应均设置阴性孔。PCR产物经过测序检测。结果采用2-ΔΔCT法比较。

1.10 Western blot检测心肌组织中PTEN与Caspase-3蛋白表达

用组织裂解液提取心肌组织总蛋白,采用Lowry法测定蛋白浓度,取50 μg蛋白样品,10%SDS-PAGE电泳,100 mA×2 h湿转将蛋白条带转至PVDF膜上。封闭液室温封闭1 h,TBST洗脱后,加入羊抗猪PTEN或Caspase-3多克隆抗体(1∶ 200)室温孵育2 h,以兔抗GAPDH多克隆IgG抗体(1∶ 2 000)作内参照,洗膜后各以相应的二抗孵育1 h。抗原-抗体复合物用增强化学发光法显示,暗室X线胶片曝光,数码相机拍照,采用Bio-Rad公司的Gel Doc2000凝胶图像中专用软件分析目标条带的积分吸光度值(intergrated absorbance,IA=平均吸光度×面积),经GAPDH校正后,分别以PTEN和Caspase-3 IA值/GAPDH IA值反映PTEN和Caspase-3相对蛋白表达量。

1.11 统计学方法

采用SPSS 16.0统计软件对实验数据进行分析,计量资料以均数±标准差(x±s)表示,两组间比较采用成组t 检验,多组间比较采用方差分析,多组间两两比较采用LSD-t 检验,以P<0.05为差异具有统计学意义。

2 结果 2.1 绿色荧光蛋白(GFP)表达评估

取冰冻切片于荧光显微镜下观察,假手术组和CME组未检测到绿色荧光,CME+超声介导基因组和CME+单纯基因组可以观察到绿色荧光(图 1)。将荧光强度值作为GFP相对表达量,荧光强度以吸光度表示,经图像分析系统分析,CME+超声介导基因组和CME+单纯基因组吸光度分别为(124.13±6.17)和(15.85±4.91),t=2.88,P<0.05。

A:CME+超声介导基因组;B:CME+单纯基因组 图 1 单纯基因组和超声介导基因组荧光显微镜分析(×200) Fig 1 Fluorescence microscope analysis of the expression of green fluorescence protein(×200)
2.2 小猪心功能指标的变化情况

以心脏超声检测LVEF,术后9 h结果显示:⑴与假手术组[(67.87±2.36)%]比较(t=5.12,P<0.05),CME组[(50.94±3.52)%]和CME+单纯基因组[(52.47±3.71)%]的LVEF显著降低(t=3.71,P<0.05);⑵与CME组比较,CME+超声介导基因组[(64.79±2.95)%]可改善CME导致的心功能损伤(t=4.39,P<0.05)。

2.3 CME病理学观察

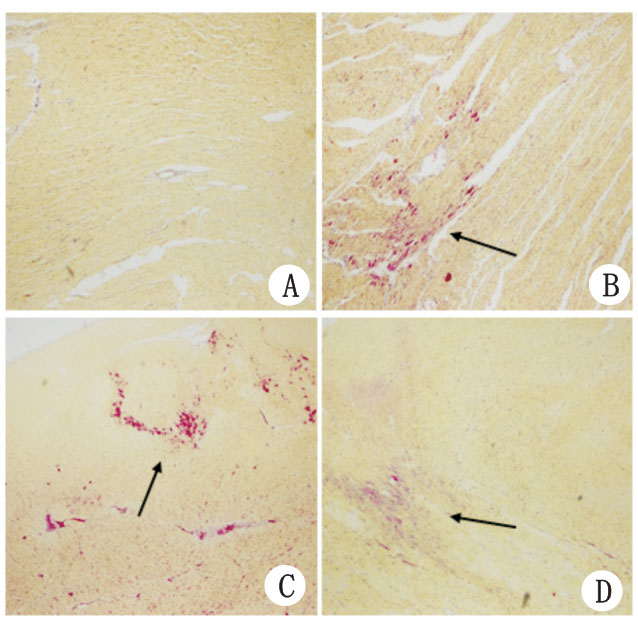
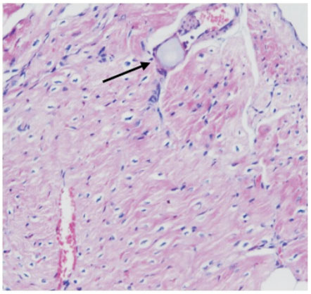
HE与HBFP染色结果:假手术组未见明显的梗死灶。CME组、CME+单纯基因组、CME+超声介导基因组均可见多发微梗死灶,多为楔形,呈局灶性分布,以心内膜下和左心室多见(图 2)。HE染色示微梗死灶内心肌细胞核溶解或消失,胞浆红染,周边心肌水肿、变性,周围炎性细胞浸润和红细胞渗出,微动脉内可见微栓塞球(图 3)。CME组、CME+单纯基因组、CME+超声介导基因组梗死面积分别为(11.02±4.19)%、(10.93±3.91)%、(10.47±3.83)%,各组间差异无统计学意义(F=6.77,P>0.05)。

A-D分别为假手术组、CME组、CME+单纯基因组、CME+超声介导基因组;缺血心肌红染,箭头示微梗死灶 图 2 HBFP染色显示心肌微梗死灶(HBFP ×200) Fig 2 Histopathologic examination of CME myocardial microinfarction(HBFP ×200)
箭头示微动脉内微栓塞球(微球) 图 3 CME组局部心肌微梗死灶(HE×400) Fig 3 HE staining of microinfarct sites after CME (HE×400)
2.4 各组心肌细胞凋亡的观察

CME后心肌细胞凋亡主要存在于心肌微梗死灶及其周围区。假手术组偶见心肌细胞凋亡存在于心内膜下。假手术组、CME组、CME+单纯基因组、CME+超声介导基因组心肌细胞凋亡率分别为(0.29±0.13)%、(5.27±1.58)%、(5.62±1.94)%、(1.54±0.86)% ,与假手术组比较,CME组(t=3.77,P<0.05)和CME+单纯基因组(t=5.14,P<0.05)心肌细胞凋亡率较高;与CME组比较,CME+超声介导基因组心肌细胞凋亡率较小(t=6.79,P<0.05,图 4)。

A-D分别为假手术组、CME组、CME+单纯基因组、CME+超声介导基因组;凋亡心肌细胞核呈棕黄色,正常细胞核呈淡蓝色,箭头示凋亡心肌细胞核 图 4 TUNEL检测心肌细胞凋亡(×400) Fig 4 Detecting myocardial apoptosis by TUNEL assay (×400)
2.5 各组MicroRNA-21、PTEN mRNA表达量的比较

⑴与假手术组比较,CME组(t=4.90,P<0.05)和CME+单纯基因组(t=3.21,P<0.05)小猪心肌细胞中PTEN mRNA的表达量均显著增加,而MicroRNA-21表达量差异无统计学意义(t=1.10,P >0.05);⑵与CME组比较,CME+超声介导基因组中PTEN mRNA的表达量较低(t=3.02,P<0.05),MicroRNA-21表达量明显增加(t=6.19,P<0.05)。见图 56

A-D分别为假手术组、CME组、CME+单纯基因组、CME+超声介导基因组;与CME组比较,aP<0.05 图 5 荧光定量PCR检测各组MicroRNA-21表达量 Fig 5 Quantitative PCR detected expression of MicroRNA-21
A-D分别为假手术组、CME组、CME+单纯基因组、CME+超声介导基因组;与假手术组比较,aP<0.05;与CME组比较,bP<0.05 图 5 荧光定量PCR检测各组PTEN mRNA表达量 Fig 5 Quantitative PCR detected expression of PTEN mRNA
2.6 Western blot检测各组PTEN和Caspase-3的蛋白表达

与假手术组比较,CME组(t=8.12,P<0.05)和CME+单纯基因组(t=4.91,P<0.05)小猪心肌细胞中PTEN和Caspase-3的相对蛋白表达量均显著增加;与CME组比较,CME+超声介导基因组中PTEN和Caspase-3的相对蛋白表达量较低(t=4.29,P<0.05)。见图 7图 8

A-D分别为假手术组、CME组、CME+单纯基因组、CME+超声介导基因组;与假手术组比较,aP<0.05;与CME组比较,bP<0.05 图 7 Western blot检测各组PTEN蛋白相对表达量 Fig 7 Western blot detected expression of PTEN protein
A-D分别为假手术组、CME组、CME+单纯基因组、CME+超声介导基因组。与假手术组比较,aP<0.05;与CME组比较,bP<0.05 图 8 Western blot检测各组Caspase-3蛋白相对表达量 Fig 8 Western blot detected expression of Caspase-3 protein
3 讨论

近年来大量研究发现,CME后导致的心肌细胞凋亡是引起心功能损伤的主要原因之一[4],若能抑制CME后的心肌凋亡则可以有效地减少CME所导致的心功能损伤。PTEN是人类发现的第一个具有磷酸化酶功能的抑癌基因,在细胞的生长发育、凋亡、迁移、信号传递等方面都起着重要的调控作用[15, 16]。笔者前期研究发现,CME发生后心肌PTEN表达明显升高,与CME后的心肌凋亡呈明显的正相关,PTEN极有可能参与了CME后心肌凋亡的调控。研究表明,PTEN是MicroRNA-21重要的靶基因之一,通过使MicroRNA-21在心肌细胞中高表达,可以调控PTEN发挥抗凋亡的作用,进而保护心肌[17]。Sayed等[17]研究发现,在低氧诱导建立的心肌细胞凋亡模型中,过表达MicroRNA-21能显著地抑制PTEN的表达,缓解心力衰竭的发生发展,推测该效应主要与抑制PTEN的促凋亡作用有关。因此,笔者设想若能将MicroRNA-21转染至心肌组织则有可能可以通过调控PTEN的表达而起到抑制CME后心肌凋亡,改善心功能的作用。

Yin等[18]研究发现,通过给大鼠左室壁直接注射miRNA-21,能减少24 h后缺血-再灌注引起的左室梗死面积,改善心功能,但存在有创性、转染率低等问题,缺乏有效、有组织特异度和靶向性的基因转载系统,极大地限制了其临床应用。近年来,研究证实超声微泡作为新型的载体系统,可以携带基因到达体内发挥治疗作用[19]。超声空化效应瞬间产生的“激震波”(shockwave)使细胞膜表面出现可逆性小孔,提高了细胞膜的通透性,进而增强外源基因的摄取、转染和表达,空化效应可能是超声能提高基因转染效率的主要机制[20]。此外,超声聚焦于特定组织破坏微泡,可将基因靶向导入靶组织,提高基因局部的表达[21]

在本研究中笔者发现,超声介导基因组和单纯基因组在转染4 d后均在心肌组织中检测到了绿色荧光,并且超声介导基因组的绿色荧光强度约为单纯基因组的8倍。由于脱氧核糖核酸(DNA)在血循环中会很快被血清DNA酶所降解,由肝脏清除,导致经静脉系统注射DNA质粒不会发生有效的基因转染,因此超声微泡介导pGV262-EGFP/miR-21后的心肌转染效率要显著高于单纯静脉注射pGV262-EGFP/miR-21。此外,超声介导基因组的心肌组织MicroRNA-21表达水平要明显高于单纯基因组,说明UTMD技术可以成功地将靶基因转染至靶器官,并得到有效地表达。

本研究中笔者发现成功转染MicroRNA-21至心肌组织后,CME后的心功能损伤可以得到明显的改善,通过进一步检测其靶基因PTEN在心肌组织中的表达,发现PTEN的表达水平无论是mRNA还是蛋白表达水平都受到明显的抑制。进一步证实了MicroRNA-21与其靶基因PTEN在心血管疾病中的重要作用。通过进一步检测CME后心肌细胞凋亡,笔者发现超声介导基因组心肌细胞Caspase-3相对表达量和心肌细胞凋亡率均明显下降。因此,笔者推测MicroRNA-21对CME后心功能的保护作用,主要是通过下调PTEN,进而抑制CME后心肌凋亡实现。

本研究的局限性:CME造模使用的微栓塞剂为塑料微球,与临床实际动脉粥样硬化斑块破裂形成的富有血小板、红细胞等具有生物活性的栓塞物质不同,可能与斑块破裂后导致的CME的实际病理生理改变有一定的差距。此外,研究中未对超声辐照参数及pGV262-EGFP/miR-21质粒剂量进行优化,在今后的研究中有待进一步的完善。

综上所述,超声微泡靶向转染MicroRNA-21可以有效地改善CME致心功能损伤,其可能机制是通过下调其靶基因PTEN在心肌细胞的表达,进而减少心肌细胞凋亡起效,该研究为CME的防治提供了一种新的治疗策略。

参考文献
[1] B?se D, von Birgelen C, Zhou XY, et al. Impact of atherosclerotic plaque composition on coronary microembolization during percutaneous coronary interventions[J]. Basic Res Cardiol, 2008, 103(6): 587-597.
[2] Heusch G, Kleinbongard P, B?se D, et al. Coronary microembolization from bedside to bench and back to bedside[J]. Circulation, 2009, 120(18): 1822-1836.
[3] Morishima I, Sone T, Okumura K, et al. Angiographic no-reflow phenomenon as a predictor of adverse long-term outcome in patients treated with percutaneous transluminal coronary angioplasty for first acute myocardial infarction[J]. J Am Coll Cardiol, 2000, 36(4): 1202-1209.
[4] Li L, Su Q, Wang Y, et al. Effect of atorvastatin (Lipitor) on myocardial apoptosis and caspase-8 activation following coronary microembolization[J]. Cell Biochem Biophys, 2011, 61(2): 399-406.
[5] Yang Q, Yang K, Li A. microRNA21 protects against ischemiareperfusion and hypoxiareperfusioninduced cardiocyte apoptosis via the phosphatase and tensin homolog/Aktdependent mechanism[J]. Mol Med Rep, 2014, 9(6): 2213-2220.
[6] Kota J, Chivukula RR, O’ Donnell KA, et al. Therapeutic microRNA delivery suppresses tumorigenesis in a murine liver cancer model[J]. Cell, 2009, 137(6): 1005-1017.
[7] Geis NA, Katus HA, Bekeredjian R. Microbubbles as a vehicle for gene and drug delivery: current clinical implications and future perspectives[J]. Curr Pharm Des, 2012, 18(15): 2166-2183.
[8] Yuan QY, Huang J, Chu BC, et al. A visible, targeted high-efficiency gene delivery and transfection strategy[J]. BMC Biotechnology, 2011, 11(1): 56.
[9] 苏强, 李浪, 马国添, 等. 猪急性冠状动脉微栓塞模型的建立[J]. 中国动脉硬化杂志, 2014, 22(4): 335-339.
[10] Li L, Li DH, Qu N, et al. The role of ERK1/2 signaling pathway in coronary microembolization-induced rat myocardial inflammation and injury[J]. Cardiology, 2009, 117(3): 207-215.
[11] Su Q, Li L, Liu YC, et al. Effect of metoprolol on myocardial apoptosis and caspase-9 activation after coronary microembolization in rats[J]. Exp Clin Cardiol, 2013, 18(2): 161-165.
[12] Yuan QY, Huang J, Li XJ, et al. Transendocardial delivery of HGF via microbubbles and ultrasound to treat acute myocardial infarction[J]. Curr Gene Ther, 2013, 13(1): 31-38.
[13] Su Q, Li L, Liu Y, et al. Effect of metoprolol on myocardial apoptosis after coronary microembolization in rats[J]. World J Emerg Med, 2013, 4(2): 138-143.
[14] 苏强, 李浪, 周游, 等. 美托洛尔预处理对大鼠冠状动脉微栓塞后心肌细胞凋亡及天冬氨酸特异性半胱氨酸蛋白酶-8 活化的影响及意义[J]. 中华心血管病杂志, 2013, 41(8): 693-697.
[15] Ling S, Birnbaum Y, Nanhwan MK, et al. Dickkopf-1 (DKK1) phosphatase and tensin homolog on chromosome 10 (PTEN) crosstalk via microRNA interference in the diabetic heart[J]. Basic Res Cardiol, 2013, 108(3): 1-14.
[16] Keyes KT, Xu J, Long B, et al. Pharmacological inhibition of PTEN limits myocardial infarct size and improves left ventricular function postinfarction[J]. Am J Physiol Heart Circ Physiol, 2010, 298(4): H1198-H1208.
[17] Sayed D, He M, Hong C, et al. MicroRNA-21 is a downstream effector of AKT that mediates its antiapoptotic effects via suppression of Fas ligand[J]. J Biol Chem, 2010, 285(26): 20281-20290.
[18] Yin C, Salloum FN, Kukreja RC. A novel role of microRNA in late preconditioning upregulation of endothelial nitric oxide synthase and heat shock protein 70[J]. Circ Res, 2009, 104(5): 572-575.
[19] Chen ZY, Lin Y, Yang F, et al. Gene therapy for cardiovascular disease mediated by ultrasound and microbubbles[J]. Cardiovasc Ultrasound, 2013, 11:11.
[20] Mayer CR, Geis NA, Katus HA, et al. Ultrasound targeted microbubble destruction for drug and gene delivery[J]. Expert Opin Drug Deliv, 2008, 5(10): 1121-1138.
[21] Zhou Z, Zhang P, Ren J, et al. Synergistic effects of ultrasound-targeted microbubble destruction and TAT peptide on gene transfection: an experimental study in vitro and in vivo[J]. J Control Release, 2013, 170(3): 437-444.