中华急诊医学杂志  2015, Vol. 24 Issue (6):652-654
创伤性重症急性胰腺炎的诊治体会
李贺 , 项和平, 张长乐, 姜大同, 汪亨通, 王天鹏    
230601 合肥,安徽医科大学第二附属医院急诊外科

创伤性重症急性胰腺炎是胰腺受损伤后产生的一种急性胰腺炎。随着我国建筑事业及交通运输事业的发展,创伤性胰腺炎的患者呈上升趋势。由于创伤的复杂性,形成了创伤性胰腺炎在诊断、治疗方面不同于一般胰腺炎的特点。本文就安徽医科大学第二附属医院2010年12月至2013年12月期间收治的16例创伤性重症急性胰腺炎,在诊断、治疗方式、手术时机、治疗经验等方面做一回顾性分析。

1 资料与方法 1.1 一般资料

收集2010年12月至2013年12月在安徽医科大学第二附属医院救治的创伤性重症急性胰腺炎患者16例,其中男10例,女6例,年龄18~73岁。入选条件:(1)患者均符合中华医学会消化病学分会制定的“中国急性胰腺炎诊治指南”中的SAP的诊断标准[1];(2)均有明确致伤因素,其中车祸伤7例,高处坠落伤5例,重物砸伤3例,刀刺伤1例。在腹部损伤中合并胃十二指肠、结肠破裂1例,肝脾破裂各1例,小肠破裂2例。排除标准:手术后创伤性胰腺炎不在此次讨论范围。入院时临床表现:16例患者均有上腹部疼痛、腹胀不适,8例患者有恶心呕吐,8例患者有弥漫性腹膜炎体征,所有患者均有血淀粉酶明显增高。 1.2 治疗方法 保守治疗6例,其中4例患者伤后6 h以内入院,入院时均有血淀粉酶增高,上腹部局限性腹膜炎体征,入院首次CT或BUS提示胰腺肿大,胰周少量渗出,游离腹腔无其他脏器损伤表现。另2例患者伤后2~3 d由外院转入,CT提示胰周蜂窝组织炎表现,胰周较多渗出,腹腔肝周、脾周、盆腔均有积液,因患者肛门已通气排便,且无弥漫性腹膜炎体征,腹腔膈下无游离气体表现,考虑患者腹腔积液系胰腺炎引起,排除空腔脏器损伤可能,故予以保守治疗。6例保守治疗患者均出现急性胰周液体积聚。治疗采用禁食、胃肠减压、生大黄水导泻、生长抑素抑制胰酶分泌、维护脏器功能、早期肠外营养支持等治疗。对于大量腹腔积液及急性胰周液体积聚或后期出现胰周脓肿,行BUS或CT引导下腹腔穿刺引流(图 1、2、3)。 手术治疗10例,对于入院时即有弥漫性腹膜炎体征或腹腔大量积液考虑合并其他脏器损伤者,立即给予手术治疗。胰腺血肿清除、裂伤缝合+远端胃切除+十二指肠破裂修补+横结肠造瘘术1例(图 4、5、6),胰腺裂伤缝合+肝破裂修补1例,胰腺体尾部切除+脾切除2例,胰腺包膜切开+小肠破裂修补2例,胰腺裂伤修补+腹腔引流1例,单纯胰腺包膜切开+腹腔引流2例,胰腺裂伤修补+胆囊造瘘+腹腔置管引流+腹部敞开1例。所有病例均放置鼻肠营养管,营养管末端位于空肠起始端以下。

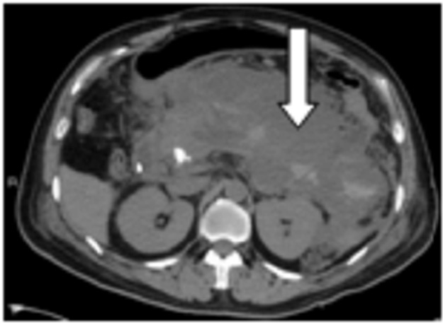
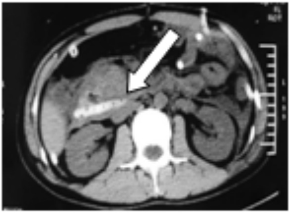
图 1 图中箭头提示胰周积液
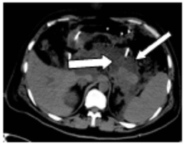
图 2 穿刺引出脓性积液
图 3 粗箭头提示胰尾积液基本吸收,细箭头为穿刺管位置
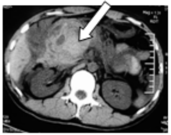
图 4 图中箭头提示胰头巨大血肿
图 5 图中箭头提示术后血肿明显缩小
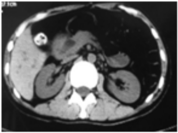
图 6 术后一月胰头血肿完全吸收,胰头形态基本正常
2 结果

16例患者无死亡病例。横结肠造瘘患者术后3个月再次入院行造瘘口还纳术后痊愈。腹部敞开患者经后期植皮出院,术后6个月再次入院行关腹手术后痊愈。

3 讨论 3.1 创伤性重症胰腺炎的诊断

在解剖结构上胰腺位于腹膜后,位置深在,特别是合并腹部多发伤时,创伤性胰腺炎容易漏诊[2]。所以,对于腹部损伤患者,特别是腹部高能量损伤,应考虑到胰腺损伤的可能[3]。对于行剖腹探查的患者,应常规探查胰腺。

血清淀粉酶对于诊断创伤性胰腺炎依然有重要价值。本组16例患者,入院时初次血淀粉酶明显升高者12例,4例未升高患者均为入院时间在2 h以内,后期复查淀粉酶均明显升高。故初始淀粉酶不升高,不能完全排除胰腺炎可能[4]

腹部BUS在诊断创伤性胰腺炎时具有便捷、无创、可反复操作的特点,特别是对于一些多发伤不宜搬动的患者,床旁即可检查。BUS可探查到胰腺肿胀、胰周渗出、胰腺实质的局部或完全中断等[5],但该方法容易受到腹腔条件干扰,漏诊率较高。

CT检查是诊断创伤性胰腺炎的重要检查方式之一[6]。创伤性重症胰腺炎的CT主要表现为:①胰腺明显肿胀,胰周解剖结构模糊;②胰周积液或成蜂窝组织炎表现;③胰腺的血肿或断裂;④双侧肾前筋膜增厚等[7]。CT对于诊断创伤性重症胰腺炎准确率较高,但判断胰腺损伤程度特别是主胰管有无损伤时仍存在一定的漏诊、误诊率[8]

ERCP已成为腺损伤检查的重要辅助手段,同时亦被认为明确有无主胰管损伤的金标准,准确性和特异性可达到100%[9, 10],对于指导治疗有很大帮助。本组有2例患者行ERCP检查,1例患者入院保守治疗后病情加重,CT提示胰腺周围血肿及积液增加,行ERCP检查确诊无主胰管损伤后继续予以保守治疗+穿刺引流后痊愈;另1例患者在行ERCP检查确诊主胰管损伤后,行胰腺体尾部切除+脾切除手术治疗。

3.2 创伤性重症胰腺炎的治疗 3.2.1 保守治疗

本组保守治疗6例,保守治疗与其他病因引起的重症胰腺炎无明显区别,治疗采用禁食、胃肠减压、生大黄水导泻、生长抑素抑制胰酶分泌、维护脏器功能、早期肠外营养支持等治疗。对于大量腹腔积液及急性胰周液体积聚或后期出现胰周脓肿的患者,行BUS或CT引导下腹腔穿刺引流[11, 12]。因创伤的复杂性,创伤性胰腺炎在保守治疗过程中应严密观察病情,如不能排除其他重要脏器损伤可能时,手术指征应适当放宽。 3.2.2 手术治疗

手术治疗的时机的选择本来就是重症胰腺炎的一个有争议的问题,在创伤性重症急性胰腺炎治疗上这个问题仍然存在。由于创伤的特殊性,笔者认为下列情况应手术治疗:(1) 术前检查提示胰腺损伤严重,胰腺断裂,应早期手术;伤后早期手术胰周及腹腔组织水肿较轻,有利于手术进行。(2)患者伤后短时间内腹腔即有大量积液,即使胰腺损伤程度不重也应积极手术探查。(3)保守治疗过程中患者出现其他重要脏器损伤表现时,应积极手术探查。

在手术方式选择上,依据美国创伤外科学会于1990年制定的分级标准及有无合并损伤进行相应手术。本组病例单就胰腺损伤本身,对于Ⅰ、Ⅱ型损伤的8例患者行胰腺包膜切开止血+裂伤缝合修补;2例Ⅲ型损伤行胰腺体尾部切除+脾切除术。对于Ⅳ型胰腺的损伤,胰腺近端严重损伤,而胰头部完好者,可行近端胰管结扎、断端褥式缝合,远端与空肠行Roux-en-Y吻合术或远、近断端分别与空肠行Roux-en- Y吻合术[13]。Ⅴ型胰腺损伤多合并十二指肠损伤,应尽量避免急诊行胰十二指肠切除术,而可根据情况行“三管造瘘法”和改良的十二指肠憩室术[14]。对于无法修补的严重十二指肠损伤、难控性大出血,可急诊行胰十二指肠切除术,该手术复杂,时间长,吻合口多,术后并发症多,围手术期病死率高达30%~40%。

在行手术治疗时笔者认为应注意以下几点:(1)术中探查应仔细,即使胰包膜下的血肿再小也应切开包膜进行探查,防止胰腺深部裂伤;(2)对于复杂的多发伤,应注意损伤控制的理念在胰腺损伤的应用,如果患者生命体征极度不平稳,较长时间的大的复杂手术只会把患者进一步推向死亡边缘,手术很成功,但患者死亡了对患者来说是没有意义的;(3)重视腹腔引流管的放置,对于胰腺损伤患者,腹腔应多处置管引流,引流管最好选用口径较粗的可冲洗引流管。恰当地置管引流可有效地处理及减少术后并发症发生,本组手术10例患者均采用10号康丽三腔引流管,平均每位患者放置3.5根引流管,小网膜囊、文氏孔、盆腔为必放置引流管的三个部位,术后无一例患者发生腹腔包裹性积液。

总之,创伤性重症胰腺炎既有一般重症胰腺炎的特点,又合并创伤的复杂性、多样性特点,在诊断上应仔细判断,在治疗上应根据不同患者的具体情况制定个体化的治疗方案。

参考文献
[1] 中华医学会消化病学分会胰腺疾病学组.中国急性胰腺炎诊治指南(2013年,上海)[J].中华消化杂志,2013,33(4):217-222.
[2] 吴昌雄,郑进方,邢贻雷,等.15例胰腺横断伤的手术治疗[J]. 中国普通外科杂志,2010,19(3):321-323.
[3] 项震,高劲谋,胡平,等.钝性胰腺损伤36例诊治分析[J].创伤外科杂志,2013,15(5):391-393.
[4] Pata G,Cascella C,Di Betta E,et al. Extension of nonoperative management of blunt pancreatic trauma a to include grade Ⅲ injuries: a safety analysis[J].World J Surg,2009,33(8):1611-1617.
[5] 郑瑜,陈定章,朱亚莉,等.超声对胰腺损伤的诊断价值[J].中国超声医学杂志,2007,23(7):549-551.
[6] Velmahos GC,Tabbara M,Gross R,et al. Blunt pancreatoduodenal injury:a multicenter study of Research Consortium of New England Centers for Trauma(ReCONECT)[J]. Arch Surg,2009,144(5):413-419.
[7] Degiannis E,Glapa M, Loukogeorgakis S P,et al.Management of pancreatic trauma[J].Injury, 2008,39(1):21-29.
[8] 王文森,陆振忠,宋敏芳. 胰腺损伤早期CT 检查的临床价值[J]. 医学影像学杂志,2011,16(9):927-929.
[9] Malgras B,Douard R,Siauve N,et al. Management of left pancreatic trauma[J]. Am Surg, 2011,77(1):1-9.
[10] Krige JE,Kotze UK,Hameed M,et al. Pancreatic injuries after blunt abdominal trauma: an analysis of 110 patients treated at a level 1 trauma center[J]. S Afr Surg,2011,49(2):58-64.
[11] 项和平,张长乐,李贺. 腹部手术后急性胰腺炎的诊断及治疗[J].中华急诊医学杂志, 2012, 21(8):908-910.
[12] 冯博,杜斌.重症胰腺炎的治疗[J].中华急诊医学杂志,2012,21(10): 1084-1087.
[13] 刘伟,杨鹏,李于红,等. 胰腺损伤 48 例诊断与外科治疗[J].肝胆胰外科杂志,2011,23(1):73-75.
[14] 雷若庆,王庆刚,张中文,等.胰腺及十二指肠损伤的处理:在明确的基础上力求简单[J].肝胆胰外科杂志, 2011,23(4):265-266.