心力衰竭(心衰)是心室射血和(或)充盈功能受损的一种复杂的临床综合征,是各种心脏疾病的终末阶段,是当今最重要的心血管疾病之一,严重威胁着人类生命。据统计,17%~45%心衰患者在确诊后1年内死亡,大部分患者的生存期在5年以内[1]。此外,心衰患者的数量呈快速增长的态势[2],以美国为例,预计2030年心衰人群将从2012年的580万上升至850万[3]。我国心衰的发病率约1.3%,估计约有1 800万左右的心衰患者,每年有50万左右的新发心衰患者[4]。但是,当前心衰治疗手段非常有限且疗效欠佳,患者症状重、预后差,常规治疗手段不能满足临床的需求,亟需新的治疗手段出现。2015年4月1日,浙江大学医学院附属第二医院心脏中心开展了亚太地区首二例Algisyl可植入性水凝胶治疗心力衰竭,现报道如下。
1 资料与方法 1.1 患者入选标准
患者入选标准根据AUGMENT-HF研究:(1)年龄18~79岁;(2)优化治疗(药物、CRT/CRTD)后患者症状仍反复;(3)纽约心功能分级(NYHA)Ⅲ或Ⅳ级,6 min步行试验100~475 m;(4)病情相对稳定(无明显肝、肾、肺功能异常,近期无心梗和脑卒中发作),能够耐受手术;(5)超声心动图:心脏扩大,心肌变薄,左室射血分数(LVEF) ≤35%,左心室厚度≥8 mm;(6)预期寿命≥1年。
1.2 患者一般资料
病例1:患者,男,51岁,因“反复胸闷乏力8年余”入院。曾多次住院治疗,予优化药物治疗后,病情仍反复。既往无冠心病、高血压、心脏瓣膜病等疾病。查体:脉搏75次/min,呼吸18次/min,血压110/58 mmHg(1 mmHg=0.133 kPa),体温36.5 ℃;颈静脉无明显充盈;双肺呼吸粗,未闻及明显干湿啰音;心前区无异常隆起,叩诊心界向左扩大,心尖搏动位于左侧腋前线,搏动弥散,心律齐,心前区未闻及明显病理性杂音,未触及震颤;双下肢无明显水肿。心超提示“左心增大伴左心功能不全,左心室直径7.27 cm,左心房直径5.04 cm,左心射血分数19.1%”。诊断:扩张型心肌病 心功能Ⅲ级。
病例2:患者,男,52岁,因“反复胸闷气促7个月余”入院,优化药物治疗后症状依然反复。既往有肺结核病史,无冠心病、高血压、心脏瓣膜病等疾病。查体:脉搏100次/min,呼吸20次/min,血压105/83 mmHg,体温36.8 ℃;颈静脉无怒张;两肺呼吸音清,未及明显干湿啰音;心前区无异常隆起,心界叩诊左下扩大,心尖搏动位于左锁骨中线外2 cm,搏动弥散,心律齐,心尖区可及3/6级收缩期吹风样杂音,未触及心前区震颤;双下肢无水肿。心超提示:“全心扩大伴左心功能不全,左心室直径6.21 cm,左心房直径3.91 cm,射血分数25.5%,二尖瓣中-大量反流”。诊断:扩张型心肌病、二尖瓣中大量反流、心功能Ⅲ级。
2 结果
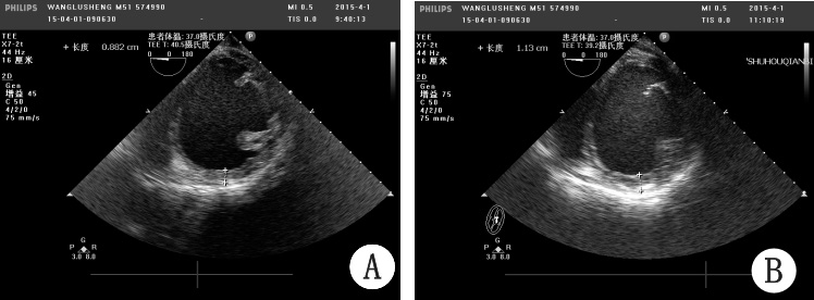
经过医院伦理委员会通过,患者及家属充分知情同意后,2015年4月1日在外科手术室行Algisyl可植入性水凝胶治疗。具体操作流程如下:(1)全身麻醉、气管插管;(2)由心脏大血管外科医生实施左侧肋间切口,暴露心脏;(3)确认左心室中间水平为注射部位,使用外科标记笔划一直线作为标记,注射点分布在距标记线约1 cm左右的两侧,避开可视的血管,每个注射点之间的距离1.5 cm左右(总注射针数取决于患者心脏大小,一般14~19点);(4)每个注射点注射0.3 mL Algisyl,持续缓慢的方式注射(大约0.1 mL/s);(5)闭合手术切口,手术结束。首次采用斜行进针和实时超声监控的方法见图 1和图 2。避免Algisyl进入血液,提高手术的安全性。术中、术后心电监护可见少量室性早搏,未发现持续性室速、室颤等恶性心律失常现象,无心脏骤停、过敏、栓塞等不良事件。术后患者胸闷气急等症状明显缓解,恢复良好,顺利出院,短期和远期疗效有待于进一步随访。
![]() |
| 图 1 患者术中斜行进针照片 Fig 1 Oblique injection |
![]() |
| A:注射前;B:注射后 图 2 患者术中实时心脏超声监控结果 Fig 2 Real-time ultrasonic monitoring |
现阶段心衰治疗手段主要是药物、辅助器械及心脏移植,这些治疗方法显著提高了患者的生存率及生活质量,但仍面临许多困境。优化药物治疗(ACEI、β受体阻滞剂和利尿剂等)后,许多患者症状仍反复发作;心脏再同步化治疗(CRT)并非适合所有的心衰患者,且部分患者对CRT反应欠佳;左心辅助装置价格昂贵且难以获得,普遍应用的可能性较小;心脏移植是最终的解决方案,但是供体的来源非常有限,同时对年龄较大的患者不一定适合,且价格昂贵[5, 6]。
降低左心室壁的张力被认为是治疗心衰的基石[7]。动物实验证实在左心室壁中注入非收缩性物质降低心肌纤维的张力并改善心功能[8],Algisyl可植入性水凝胶就是通过该机制来延缓或逆转左心室扩大患者的心衰进程[9]。Algisyl可植入性水凝胶是自凝固性、生物相容性的藻酸盐提取物,注射入左心室肌层后增加左室壁厚度,局部心肌向心室腔内凸出,舒张末期容积缩小,这样可以降低室壁张力,进而改善心肌收缩性和心搏出量,使氧耗更有效。注入心肌后的水凝胶也能起到支撑的作用,防止左心室进一步扩大[10]。
针对Algisyl可植入性水凝胶的临床试验AUGMENT-HF为多中心、前瞻性、随机的临床研究,纳入了优化药物治疗和/或器械治疗后仍然具有症状的晚期心衰患者,评估Algisyl可植入性水凝胶治疗的安全性和有效性。78例患者随机分入Algisyl植入+优化药物治疗组或单独优化药物治疗组,主要有效终点为术后6个月最大摄氧量(VO2)的变化,主要安全终点为术后30 d病死率。6个月随访结果显示,与单独优化药物治疗组相比较,Algisyl植入+优化药物治疗组的VO2持续改善,6 min步行试验结果显著增高,NYHA心功能分级明显改善,因心衰再次住院率降低65%,生活质量评分升高63%,左心室质量显著降低30 g,两组因心血管原因导致的病死率差异无统计学意义。因此,Algisyl可植入性水凝胶治疗心衰是安全有效的。
浙江大学医学院附属第二医院心脏中心在亚太地区成功开展了首二例的Algisy可植入性水凝胶治疗心力衰竭,并首次采用斜行进针和实时超声监控的方法,提高手术的安全性,初步的经验提示该手术是安全的,这为Algisyl进一步在中国人群的应用进行了有益的探索。
| [1] | Ponikowski P,Anker SD, Alhablb KF. Heart failure:preventing disease and death worldwide[J]. ESC Heart Failure,2014,1(1):4-25. |
| [2] | Mosterd A, Hoes AW. Clinical epidemiology of heart failure[J]. Heart,2007,93(9):1137-1146. |
| [3] | Heidenreich PA, Albert NM, Allen LA, et al. Forecasting the impact of heart failure in the United States: a policy statement from the American Heart Association[J]. Circ Heart Fail,2013,6(3):606-619. |
| [4] | Guo Y, Lip GY, Banerjee A. Heart failure in East Asia[J]. Curr Cardiol Rev,2013,9(2):112-122. |
| [5] | 中华医学会心血管病学分会, 中华心血管病杂志编辑委员会. 中国心力衰竭诊断和治疗指南2014[J]. 中华心血管病杂志,2014,42(2):98-122. |
| [6] | Yancy CW, Jessup M, Bozkurt B, et al. 2013 ACCF/AHA guideline for the management of heart failure: a report of the American College of Cardiology Foundation/American Heart Association Task Force on Practice Guidelines[J]. J Am CollCardiol,2013,62(16):e147-e239. |
| [7] | Guccione JM, Salahieh A, Moonly SM, et al. Myosplint decreases wall stress without depressing function in the failing heart: a finite element model study [J]. Ann ThoracSurg, 2003, 769 (4):1171-1180. |
| [8] | Wall ST, Walker JC, Healy KE, et al. Theoretical impact of the injection of material into the myocardium: a finite element model simulation [J]. Circulation, 2006, 114 (24):2627-2635. |
| [9] | Lee RJ, Hinson A, Helgerson S, et al. Polymer-based restoration of left ventricular mechanics[J]. Cell Transplant, 2013, 22(3):529-533. |
| [10] | Lee LC, Zhihong Z, Hinson A, et al. Reduction in left ventricular wall stress and improvement in function in failing hearts using Algisyl-LVR[J]. J Vis Exp, 2013,74 :e50096. |
2015, Vol. 24




