支气管动脉瘤(BAA)病因不明确,血流量增加可能是其形成原因[1],常伴发于肺的慢性炎性疾病[2]。它可位于纵膈或肺实质内,发生在肺实质者多见,通常表现为咯血;发生于纵膈者可出现压迫症状,如吞咽困难或上腔静脉综合征,少数可出现胸痛、血胸、休克等,破入食道可引起呕血,若破入邻近组织其症状类似主动脉夹层。本文报道异位支气管动脉自发性破裂致纵膈假性动脉瘤伴右侧血胸一例,表现为剧烈胸痛,并向后背放射,伴胸闷气急。现报道如下。
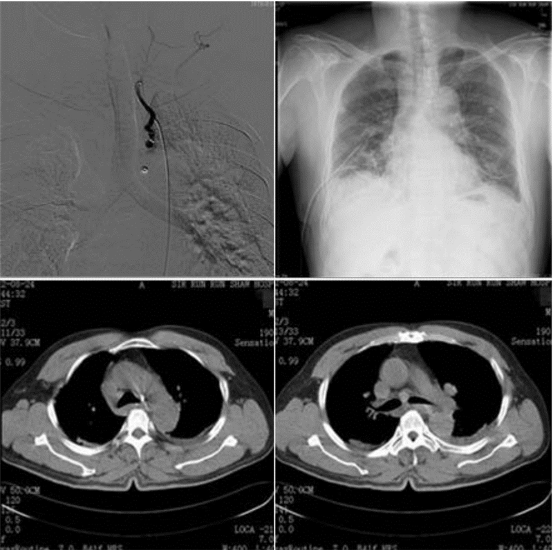
1 资料与方法患者,男性,52岁。因“突发右侧胸痛伴头痛1 d”急诊入院。查体:体温37.2 ℃,心率106次/min,呼吸20次/min,血压147/92 mmHg(1 mmHg=0.133 kPa)。神清,精神软,聋哑,双侧瞳孔等大等圆,光反应灵敏,颈静脉不充盈,气管居中,左肺及右上肺呼吸音清,右中下肺呼吸音消失,叩诊呈浊音,未闻及干湿啰音。心律齐,无杂音,腹平软,无压痛,双下肢无水肿。否认高血压、糖尿病、冠心病史;否认肺结核、支气管扩张征病史;否认药物食物过敏史;否认外伤手术史。血常规:白细胞计数10.4×109 L-1,血红蛋白13.5 g/dL,血小板计数173×109 L-1,中性粒百分数86.5% ;生化提示:电解质、肝肾功能及心肌酶谱正常;凝血功能提示正常。增强CT提示:(1)右肺广泛渗出改变,右下肺部分实变;左肺舌段少许炎症灶;(2)右侧胸腔积液。(3)气管隆突下结节状强化明显,旁边小血管影;后纵隔软组织肿块片,考虑血肿破入右侧胸腔可能(图 1)。立即急诊行主动脉造影+异位支气管动脉(假性动脉瘤)栓塞术,术中见主动脉造影见左侧锁骨下动脉发出异位支气管动脉,异位支气管动脉增粗,于隆突水平呈囊袋样扩张,给予栓塞治疗。术中用5F Cobra导管及微导管超选至异位支气管动脉内,先注入明胶海绵约一片,造影示异位支气管动脉末梢分支消失,但假性动脉瘤仍可显示,然后经微导管释放宝塔型弹簧钢圈2 mm~6 cm×1个,4 mm~8 cm×1个,术后造影示异位支气管动脉闭塞,假性动脉瘤未见显影。介入栓塞后再行右侧胸腔闭式引流治疗。术后恢复良好,第9天出院。术后22 d复查胸部增强CT,异位支气管动脉栓塞术后改变,血栓形成,未见强化影(图 2)。
![]() |
| 图 1 术前胸片、胸部增强CT及术中造影检查 |
![]() |
| 图 2 术后造影,术后胸片和术后胸部CT结果 |
支气管动脉瘤诊断主要依靠CTA、DSA、MRA等手段[3, 4]。查体可发现因血胸导致患侧肺呼吸音减低;胸片可见单侧胸腔积液和纵膈增宽;平扫胸部CT能显示后纵膈团块样高密度影及一侧胸腔大量积液;进一步增强CT或CTA检查可发现纵膈结节状强化影或造影剂外渗及异常小血管影。本病例根据出血部位看,支气管动脉破裂虽然发病率不高,但要高度怀疑,尤其是CT提示局部可见小血管影。当然,食管的营养血管病变也有可能。主动脉壁间血肿或主动脉溃疡所致的纵膈血肿或出血,病变往往紧贴胸主动脉,CTA检查有助于鉴别。
BAA一旦破裂可引起严重后果威胁生命,必须尽快治疗。一般认为手术具有较好的可靠性和功效,尤其是急诊、动脉瘤靠近支气管动脉起始部、介入治疗复发或失败的病例。随着近年来血管内技术的发展,经导管动脉栓塞术(TAE)的不断成熟,它以简单、微创、高效、一站式治疗模式等优点成为治疗BAA的首先方法[5, 6]。笔者对该病例上的治疗策略,考虑到其生命体征尚稳定,在急诊备血,开放静脉通路后,没有立即行胸腔闭式引流或胸腔诊断性穿刺,而是急诊由介入科医生先行介入造影检查明确诊断,并立即对罪犯支气管动脉进行了栓塞治疗。待破裂的异位支气管动脉栓塞成功后,再行右侧胸腔闭式引流术,解除右肺压迫,避免了在诊断不明确的情况下出现大量活动性出血而被迫进行急诊剖胸手术探查的尴尬。此外,该病例如果术前未发现罪犯血管为起源于左锁骨下动脉的异位支气管动脉,而直接凭经验选择经右胸手术探查,很可能出现手术野因较多活动性出血而显露不清,异位血管难以发现的情况,并最后导致大量输血,或手术失败,甚至有生命危险的可能。
根据国内外文献报道,依据微导管能否到达BAA,介入治疗主要采取4种方法:弹簧圈动脉瘤体内填充;输出端明胶海绵栓塞,输出端弹簧圈阻断;acrylate(NBCA)-Lipiodol混合物及明胶颗粒血管内栓塞;以及主动脉支架封闭[2, 7, 8, 9]。本病例因支气管动脉瘤破裂形成假性动脉瘤,且该异位支气管动脉近端至假性动脉瘤体之间有足够长度,故采用5F Cobra导管及微导管超选至异位支气管动脉内,在输入端注入明胶海绵,再释放宝塔型弹簧钢圈2个,术后造影示异位支气管动脉闭塞,假性动脉瘤未见显影。手术中由于导丝无法进入输出血管,故未行输出血管的栓塞处理。有文献报道BAA复发可能与输出血管未完全阻断,血液逆流充盈BAA或侧支沟通BAA有关。亦有报道认为单纯使用明胶海绵栓塞,由于明胶海绵可吸收,BAA再通的可能性较高,虽然其成本低且造成组织坏死的风险小,但不建议单纯使用。对于动脉瘤距离支气管动脉启始端较近的病例,除了栓塞病变支气管动脉外,有报道采用主动脉内放置覆膜支架覆盖支气管动脉的方法获得成功的经验。
本病例若采用外科手术方式,由于纵膈血肿形成并有活动性出血,局部解剖和显露会较困难[10]。虽然罪犯血管起自左锁骨下动脉,但即使选择左侧进胸的手术途径,寻找到异位罪犯血管亦可能比较困难;而右侧剖胸只能显露右侧胸腔及隆突下结构,手术失败可能性较大。
TAE后需定期随访,以准确评判栓塞效果,及时发现可能出现的复发、漏诊和合并感染等。 纵膈支气管动脉瘤破裂可以采用血管内修复(栓塞)技术成功救治。但长期效果需要随访才能确认。
| [1] | Hoffmann V, Ysebaert D, De Schepper A, et al. Acute superior vena cava obstruction after rupture ofabronchial artery aneurysm[J]. Chest, 1996, 110(5):1356-1358. |
| [2] | Tanaka K, Ihaya A, Horiuci T, et al. Giant mediastinal bronchial artery aneurysm mimicking benign esophageal tumor:acase report and review of 26 cases from literature[J]. Vasc Surg, 2003, 38(5):1125-1129. |
| [3] | Remy-Jardin M, Remy J, Ramon P, et al. Mediastinal bronchial artery aneurysm: dynamic computed tomography appearance[J]. Cardiovasc Intervent Radiol, 1991, 14(2):118-120. |
| [4] | Templeton PA, Vainright JR, Rodriguez A, et al. Mediastinal tumors presenting as spontaneous themothorax, simulating aortic dissection[J]. Chest, 1988, 93(4):848-830. |
| [5] | Osada H, Kawada T, Ashida H, et al. Bronchaial artery aneurysm[J]. Ann Thorac Surg, 1986, 41:440-442. |
| [6] | Kalva SP, Wicky S. Mediastinal bronchial artery aneurysms: endo-vascular therapy in two patients[J]. Catheter Cardiovasc Interv, 2006, 68(6):858-861. |
| [7] | Lu PH, Wang LF, Su YS, et al. Endovascular therapy of bronchial artery aneurysm: five cases with six aneurysms[J]. Cardiovasc Intervent Radiol, 2011, 34(3):508-512. |
| [8] | Tsolaki E, Salviato E, Coen M, et al. Double right bronchial artery aneurysm treated with combined procedures[J]. EurJVasc Endovasc Surg, 2007, 34(5):537-539. |
| [9] | 陈卫, 胡晓云, 王煊, 等. 介入治疗支气管动脉瘤1例并文献回顾[J]. 中华胸心血管外科杂志, 2010, 26(5):340-342. |
| [10] | Kalangos A, Khachatourian G, Panos A, et al. Ruptured medi-astinal bronchial artery aneurysm:adilemma of diagnosis and therapeutic approach[J]. Thorac Cardiovasc Surg, 1997, 114(5):853-856. |
2015, Vol. 24




