中华急诊医学杂志  2015, Vol. 24 Issue (5): 556-558
床旁超声在快速确定严重创伤患者鼻饲管位置中的应用
王啸澜, 吕旭东, 高玉芝, 张茂     
312000 浙江省绍兴,绍兴第二医院急诊科(王啸澜);
浙江省诸暨市人民医院急诊科(吕旭东);
浙江大学医学院附属第二医院急诊医学科 浙江大学急救医学研究所(高玉芝、张茂)

肠内营养是重症监护室(ICU)危重患者首选的营养支持方式,留置鼻饲管是最常用的建立有效肠内营养途径的方法[1, 2]。当鼻饲管异位于消化道外时,输入营养液就会导致肺炎、胸腔积液积脓、血胸、气胸、纵隔炎等严重并发症[2, 3, 4, 5, 6] 。有报道鼻饲管异位发生率达到0.3%~2%[7, 8, 9],因此,在开始肠内营养前及持续营养的过程中,确认鼻饲管的位置非常重要。目前X线定位法是鼻饲管定位的“金标准”,但该方法耗时长、有辐射,不宜短时内反复使用,所以英国国家医疗服务体系(National Health Service,NHS)未推荐其作为鼻饲管定位的首选方法,临床医护人员仍尝试去使用其他方法定位[10] 。近年来,超声在危重患者的床旁快速评估中已经得到广泛应用,并表现出很高的临床实用价值[11, 12, 13]。国内外已有少数使用腹部超声进行引导鼻饲管置入和定位的研究[15, 16, 17, 18, 19],但通过腹部超声检测的方法易受胃肠道气体干扰,操作中常需要在鼻饲管内注入大量液体以保证显影效果,这在未完全确定鼻饲管位置的患者中操作是非常危险的,而且该方法对操作者水平要求较高,不易被ICU医务人员掌握推广。本研究拟在严重创伤患者中应用床旁超声在身体不同部位进行鼻饲管定位,以X线定位法为金标准进行比较,探索和评价鼻饲管床旁超声定位的新方法。

1 资料与方法 1.1 一般资料

在一家大学附属的综合医院(浙江大学医学院附属第二医院)急诊ICU内完成。该ICU设有16张床单位,以收治严重创伤患者为主。经鼻插入胃肠营养管为急诊ICU内的常规操作,本研究由医院医学伦理委员会审核通过,不影响原有的救治方案,也不额外增加患者的费用和风险,留置鼻饲管前均取得家属书面的知情同意。共纳入2011年10月至2012年3月急诊ICU收治的具有鼻饲管置入指症的严重创伤患者115例,其中男91例,女24例;年龄(50±16)岁。致伤的原因包括道路交通伤71例,高处坠落伤29例,其他伤15例。损伤严重度评分(ISS)为31.2±8.1;入ICU的急性生理和慢性健康评分(APACHEⅡ)为16.5±7.1。其中91例接受机械通气。

1.2 方法

单中心双盲前瞻性研究。纳入研究的患者由一名具有成熟置管经验的住院医师采用常规盲插法置入鼻饲管,选复尔凯螺旋型鼻饲管(YZB/苏)内径CH10,长度145 cm(纽迪希亚医疗保健有限公司,荷兰)。超声法定位由另一名经过急危重症超声规范培训并有足够经验的临床医师(笔者本人)完成,操作前并不了解2种常规法定位的结果。患者取平卧位,使用Micro Maxx便携式超声机(SonoSite公司,美国)。颈部使用频率为6~13 MHz的直线线阵探头,在甲状腺峡部水平探查颈部,超声探头紧贴甲状腺左叶向中线区垂直扫查,食道横切面图像为规则圆形或椭圆形,不能被压扁、变形,内有空腔管道的回声或高回声的亮点,来回抽动鼻饲管时可见亮点回声移动。旋转探头获得食道长轴影像,可见鼻饲管的纵切面,为两条平行透亮高回声、呈“=”状。腹部换用频率为2~5 MHz的凸阵探头,在上腹部按照食道下段—贲门顺序探查鼻饲管,然后继续探查胃体—幽门、左腋中线处向中线区扫射胃底部查找,胃内可见两条平行透亮高回声、呈“=”形状的鼻饲管影像(图 1)。鼻饲管留置完毕2 h内进行床旁X线摄片,选用SM-50HF移动摄片机(赛德科公司,西班牙),由放射科技师按照规范获取胸部(含上腹部)的前后位摄片,放射科医师独立完成阅片并出具报告。结果判断参照英国NHS推荐的X线进行鼻饲管定位的标准[17](图 2)。

A:颈部超声扫查时探头的位置;B:腹部超声扫查时探头的体表位置;C:颈部的CT截面图,可见食道位于甲状腺左叶后内侧、气管左后方,食道内高密度亮点为鼻饲管;D:上腹部CT的截面图,贲门位于肝左叶后方、腹主动脉前方,贲门内高密度亮点为鼻饲管;E、G:颈部食道内的超声横截面和纵切图;F、H:胃贲门/胃体内鼻饲管超声图,受胃内气体干扰的鼻饲管只能部分显像。(Tr 气管;Th 甲状腺;E 食道;L 肝;G 胃) 图 1超声确定鼻饲管位置的方法
a:鼻饲管避开支气管轮廓沿食道方向下行;b:鼻饲管跨越气管隆突或支气管影像一直向下穿行;c:鼻饲管在身体中线位置穿越横膈进入膈下;d:在横膈下方鼻饲管末端清晰可见 图 2X线确定鼻饲管位置的方法
1.3 统计学方法

应用SPSS 13.0统计软件包(SPSS公司,美国)。以X线摄片结果为“金标准”,计算床旁颈部超声定位法、腹部超声(包括食道—贲门定位法和胃体定位法)行鼻饲管定位的敏感性、特异性、阳性预测值、阴性预测值、假阳性率、假阴性率和准确度,结果以计数或率表示。对超声三种检查方法敏感性、特异性、阳性预测值、阴性预测值、假阳性率、假阴性率和准确度进行比较(四格表卡方检验),以P<0.05为差异有统计学意义。

2 结果 2.1 患者鼻饲管的到位情况

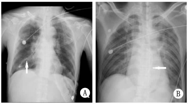
颈部超声定位法(超声法A)耗时(1.7±1.1)min,食道—贲门定位法(超声法B)耗时(6.4±2.4)min,胃体定位法(超声法C)耗时(10.3±4.5)min,X线检查法耗时(118.7±21.2)min。115例患者经X线检查共发现鼻饲管异位7例,其中气管内异位3例、食道内返折4例,总异位率6%,气管内异位率2.6%,2例典型的鼻饲管异位X线图像见图 3。3例鼻饲管气管内异位,在B超检查时均显示阴性结果,也即超声检查颈部食道、食道—贲门、胃体部均未探及鼻饲管,与X线检查结果一致;其中有2例抽吸液法,1例听诊法的结果阳性。4例食道内返折,超声在颈部食道探及鼻饲管,但在食道—贲门、胃体部均未探及;4例均未获得抽吸液,但均可闻及气过水声。

A:右下支气管内见鼻饲管影像,B:鼻饲管食道内折返 图 3鼻饲管异位的X线表现

床旁颈部超声定位法(超声法A)、食道—贲门定位法(超声法B)、胃体定位法(超声法C)判断鼻饲管位置的结果见表 1

表 1115例严重创伤患者3种方法确定鼻饲管位置的结果
超声法A超声法B超声法C
阳性阴性 合计 阳性阴性 合计 阳性阴性 合计
X线阳性 108010896121085157108
X线阴性437 077077
合计112311596191155164115
2.2 严重创伤患者鼻饲管3种超声定位方法的比较

各种方法所测得的敏感性、特异性、阳性预测值、阴性预测值、假阳性率、假阴性率、准确率见表 2

表 2115例严重创伤患者鼻饲管3种超声定位方法的效能比较(%,95%CI)
指标超声法A 超声法B超声法C
敏感性100(100~100)88.9(83~94.8)47.2(37.8~56.6)
特异性 42.9(6.2~79.5)100(100~100)100(100~100)
阳性预测值96.4(93~99.9) 100(100~100)100(100~100)
阴性预测值100(100~100)36.8(15.2~58.5)10.9(3.3~18.6)
假阳性率57.1(20.5~93.1) 0.0(0.0~0.0)0.0(43.4~0.0)
假阴性率0.0(0.0~0.0)11.1(5.2~17.0)52.8(41.3~62.2)
准确率96.5(93.2~99.9) 89.6(84.0~95.2) 50.4(56.6~59.6)

各种不同部位超声定位法中,超声颈部定位法(超声法A)敏感性(100%)和准确率(96.5%)最高,阴性预测值达100%,而特异性(42.9%)低,较其他方法比较差异有统计学意义(P﹤0.01)。超声食道—贲门定位法(超声法B)敏感性(88.9%)和准确率(89.6%)较高,阴性预测值36.8%,较超声法A低,但比其他3种方法高,特异性达100%,差异有统计学意义(P﹤0.01)。

3 讨论

肠内营养是严重创伤患者首选的营养支持方式,通过鼻饲管进行肠内营养是ICU内一种重要的治疗手段[1, 2]。但鼻饲管需要在留置及后续肠内营养过程中进行位置的反复确认[2, 3, 4, 5]。床旁X线定位法是目前鼻饲管定位的“金标准”[4, 14],但存在耗时长、辐射的风险,不宜短时内反复使用[11, 12, 15]。在鼻胃管的定位中,NHS推荐当无法抽吸胃内容物进行pH测定或依据抽吸液pH值无法明确鼻胃管位置时才使用该方法[10]。因此,临床上迫切需要寻找其他有效的定位方法来减少或替代X线定位法带来的问题。

已经有少数学者进行了超声引导鼻饲管置入及定位的研究。已有文献报道通过床旁超声成功引导鼻肠管置入幽门后[15, 16, 17, 18, 19]。 Vigneau等[17]通过腹部超声进行35例鼻饲管定位的研究发现,该方法敏感性达97%(34/35),但其中8例需在鼻饲管内注入生理盐水-空气混合物以帮助显影。由于腹部超声检测的方法易受胃肠道气体干扰,需要在操作中向鼻饲管内注入大量液体以保证显影效果,这在未完全确定鼻饲管位置的患者中操作是非常危险的,抽取胃肠积气的方法相对安全但不易抽尽,因此仍有部分病例未能成功,而且该方法对操作者水平要求较高,不易被ICU医务人员掌握推广[15, 16, 17, 18, 19]

本研究以盲插法置入鼻饲管,发现部分鼻饲管在气管内异位或食道内返折,总异位率6%、气管内异位率2.6%,与部分学者得出的结论相近[18, 19]。研究中还发现,超声的颈部食道定位法、食道—贲门定位法与胃体定位法相比,检测的解剖位置较固定且不受胃肠道气体干扰,易于学习掌握、操作便捷。在留置鼻饲管时、注入鼻饲液前以及持续的鼻饲液输注过程中,以床旁超声颈部食道内和食道下段-贲门内定位法进行鼻饲管定位监测,可减少鼻饲等待时间,并可防止鼻饲管异位及相关并发症。与反复进行X线定位相比,床边超声颈部定位法和食道—贲门定位法进行快速鼻饲管定位操作简单易学,具有更强的可重复性、可操作性,同时可使患者和医生避免过多的辐射,为ICU危重患者快速、反复进行鼻饲管位置动态监测提供了有效的手段。

当然,本研究为单中心观察性研究,超声定位法的结果与操作者的技能水平密切相关,在推广应用前需要在较大范围内了解该技术的学习曲线,进而评估其实用价值。患者的因素也会不同程度上干扰超声检查的效能,包括如颈部和上腹部异常的异常如伤口、气管切开、皮下气肿、过度肥胖、腹部胀气等等。此外,该定位方法需要在ICU内配备专门的超声设备。

应用床旁超声确定鼻饲管位置具有较高的敏感性和准确性。颈部定位法可准确判断鼻饲管在消化道外的异位。超声食道—贲门定位法可准确判断鼻饲管进入胃内(到位)。颈部联合食道—贲门超声定位可进一步提高超声定位的准确性。床旁超声鼻饲管颈部定位法和食道—贲门定位法操作简单、快速、无辐射,可作为危重患者鼻饲管定位的补充手段,值得进一步研究和推广应用。

参考文献
[1] Gramlich L, Kichian K, Pinilla J, et al.Does enteral nutrition compared to parenteral nutrition result in better outcomes in critically ill adult patients?Asystematic review of the literature[J].Nutrition,2004,20(10):843-848.
[2] Elpis G, Kevin JG.Blindly inserted nasogastric feeding tubes and thoracic complications in intensive care [J].Health,2010,2(10):1135-1141.
[3] Metheny NA, Meert KL,Clouse RE.Complications related to feeding tube placement[J].Curr Opin Gastroenterol,2007,23(2):178-182.
[4] Bankier AA, Wiesmayr MN, Henk C.Radiographic detection of intrabronchial malpositions of nasogastric tubes and subsequent complications in intensive care unit patients[J].Intensive Care Med,1997,23(4):406-410.
[5] Galbois A, Vitry P, Ait-Oufella H,et al.Colorimetric capno-graphy,anew procedure to ensure correct feeding tube placement in the intensive care unit: An evaluation ofalocal protocol[J]. Crit Care,2011,26(4):411-414.
[6] Best C. Caring for the patient withanasogastric tube[J].Nurs Stand,2005,20(3):59-65.
[7] McWey RE, Curry NS, Schabel SI, et al.Complications of nasoenteric feeding tubes[J].AmJSurg,1988,155(2):253-257.
[8] Rassias AJ, Ball PA, Corwin HL.A prospective study of trach-eopulmonary complications associated with the placement of narrow-bore enteral feeding tubes[J]. Critical Care,1998,2(1):25-28.
[9] Valentine RJ, Turner Jr. Pleural complications of nasoenteric feeding tubes[J].JPENJParenter Enteral Nutr,1985,9(5):605-607.
[10] NHS National Patient Safety Agency. Reducing the harm caused by misplaced nasogastric feeding tubes in adults, children and infants, http://www.npsa.nhs.uk/alerts (accessed 10 March 2011 ).
[11] 徐少文,张茂,干建新. 重视超声在严重创伤救治中的应用[J].中华急诊医学杂志,2010, 19(5):459-461.
[12] Maury E, Guglielminotti J, Alzieu M, et al. Ultrasonic exami-nation: an alternative to chest radiography after central venous catheter insertion [J]. AmJRespir Crit Care Med,2001,164(3):403-405.
[13] Lichtenstein DA, Menu Y.A bedside ultrasound sign ruling out pneumothorax in the critically ill: lung sliding[J].Chest,1995,108(5):1345-1348.
[14] Metheny N,McSweeneyM,Wehrle MA,et al.Effectiveness of the auscultatory method in predicting feeding tube location[J].Nurs Res,1990,39(5):262-267.
[15] Hilbert G, Vargas F, Valentino R, et al.Comparison of B-mode ultrasound and computed tomography in the diagnosis of maxillary sinusitis in mechanically ventilated patients[J].Crit Care Med,2001,29(7):1337-1342.
[16] Hernández-Socorro CR, Marin J, Ruiz-Santana S, et al.Bedside sonographic-guided versus blind nasoenteric feeding tube placement in critically ill patients[J]. Crit Care Med,1996,24(10):1690-1694.
[17] Vigneau C, Baudel JL, Guidet B,et al.Sonography as an alter-native to radiography for nasogastric feeding tube location[J]. Intensive Care Med,2005 ,31(11):1570-1572.
[18] Greenberg M, Bejar R, Asser S.Confirmation of transpyloric feeding tube placement by ultrasonography[J].Pediatr,1993,122(3):413-415.
[19] Gritzmann N, Hollerweger A, Macheiner P,et al.Transabdo-minal sonography of the gastrointestinal tract[J]. Eur Radiol,2002,12(7):1748-1761.