510515 广州,广州军区武汉总医院急诊科(陈晓娟、付炜、唐忠志)
热射病(heat stroke,HS) 是一种急性热致疾患,典型临床表现为高热(>40 ℃) 、无汗和意识障碍[1],病死率高达10%~50%[2, 3, 4],即便幸存者也有约30%遗留永久性神经系统及肢体功能障碍[5]。按发病原因不同分为经典型热射病(classical heat stroke,CHS)和劳力型热射病(exertional heat stroke,EHS)[1]。随着全球气候变暖和城市热岛效应加剧,夏季极端气候不断出现,HS的发生率和病死率明显上升[6, 7, 8, 9],已经成为严重威胁公共健康的疾病之一。目前HS的发病机制尚不清楚,而HS动物模型的建立对阐明其机制具有重要意义。传统的CHS动物模型建立方法是将大鼠置于仿真热气候动物舱内、模拟高温高湿环境促使其发病。然而仿真热气候动物舱设备价格昂贵、体积庞大,因而限制了其应用。而动物体温维持仪建模时间短、成本低、实验条件要求相对降低,具有广泛应用的潜在价值,但目前尚无两种方法对比的研究。因此,本研究旨在比较两种建模方法的异同,评估动物体温维持仪建模方法的应用价值。
1 材料与方法 1.1 主要仪器设备及试剂仿真热气候动物舱(南方医科大学公共卫生与热带医学学院提供),PowerLab数据采集分析系统(澳大利亚ADInstruments公司),SS-20-2型动物体温维持仪(安徽淮北正华生物仪器设备有限公司),LH750全自动血液分析仪(美国BECKMAN COULTER公司),ELISA 试剂盒[C-反应蛋白(CRP):德国Immudiagnostik公司;肿瘤坏死因子-α(TNF-α)、白介素-1β (IL-1β):美国 R&D 公司]。
1.2 实验动物及分组8~10周龄SPF级雄性Wistar大鼠24只(购于南方医科大学实验动物中心),体质量220~250 g,于南方医院实验动物中心适应性饲养1周,环境温度(25±1)℃,相对湿度(60±5)%,自由摄食、进水。所有大鼠在实验前1周接受PowerLab数据采集分析系统的无创血压测量训练,频率为3次/d。实验大鼠随机(随机数字法)分为3组,每组8只,分别为室温对照(C-C)组、高温对照(HS-C)组、高温麻醉(HS-A)组。
1.3 实验方法HS-A组大鼠以10%水合氯醛3 mL/kg腹腔注射麻醉,麻醉深度以疼痛反射消失,呼吸、心率平稳为标准,稳定5 min后进行后续实验。实验期间所有大鼠禁食、禁水,室温维持在(25±1)℃。C-C组置于室温自由活动; HS-C组置于预设干球温度(35±0.5)℃、湿球温度(27±0.5)℃的仿真热气候动物舱内进行热暴露;HS-A组麻醉后置于预设温度为35 ℃的动物体温维持仪的电热毯内,并保证大鼠躯体所有部分均未外露,根据大鼠意识状态适时酌量增加水合氯醛注射。
1.4 监测指标大鼠分别于实验开始前(0 min)、实验开始后每隔5 min连接PowerLab数据采集分析系统监测大鼠核心体温(Tc,以直肠温度代替)、动脉收缩压(SBP,以尾动脉收缩压代替),直至SBP上升至峰值后开始下降作为大鼠HS发生的标志,记录大鼠发病时间及Tc。大鼠发生HS后,立刻将其转移至室温环境。所有大鼠于建模前1 d、建模结束时麻醉后经内眦静脉采取1.5 mL血液(代表外周血),其中0.5 mL使用全自动血液分析仪进行白细胞(WBC)计数,其余1 mL离心后取上清液,ELISA检测血清CRP、TNF-α、IL-1β浓度;建模结束时麻醉后开颅、开腹,观察各组大鼠大脑、肺、肝、小肠、肾等主要器官大体病变,并留取相应标本行苏木精-伊红(HE)染色,观察组织病变。
1.5 统计学方法实验数据使用SPSS 19.0进行统计学分析。计量资料用均数± 标准差(x±s)表示,两组间比较采用独立样本t检验,多组间比较采用单因素方差分析,多样本均数间的多重比较采用LSD-t检验;计数资料以频数和率表示,组间比较采用χ2检验。以P< 0.05为差异具有统计学意义。
2 结果 2.1 发病时间、SBP及Tc变化HS-A组大鼠发病时间比HS-C组明显缩短[(40.0 ± 4.3) min vs.(110.1 ± 5.3) min,t=-25.686,P<0.01],发病时SBP及Tc比HS-C组低[(159.1 ± 5.91) mmHg vs.(174.54 ± 5.77) mmHg,t=5.519,P< 0.01;(43.5 ± 0.4) ℃vs.(44.4 ± 0.2) ℃,t=-5.872,P< 0.01](图 1)。
![]() |
| 图 1 三组大鼠SBP及Tc随时间变化情况 Fig 1 Systolic arterial blood pressure and core temperature on the time course |
HS-A组与HS-C组大鼠建模后外周血WBC计数、CRP、TNF-α、IL-1β等炎症相关指标升高,与建模前相比差异具有统计学意义(P< 0.01)。建模后HS-A组大鼠CRP、TNF-α、IL-1β等炎性因子水平比HS-C组低[(14.88 ± 2.56) μg/mL vs.(20.86 ± 2.99)μg/mL,P< 0.01;(75.38 ± 1.84) pg/mL vs.(83.38 ± 3.52)pg/mL,P< 0.01;(160.07 ± 4.85) pg/mL vs.(173.42 ± 3.82)pg/mL,P< 0.01],而两组大鼠WBC计数差异无统计学意义[(13.73 ± 2.20)×109 L-1 vs. (13.92 ± 1.64) ×109 L-1,P=0.849]见图 2。
![]() |
| HS-C和HS-A组比C-C组,aP< 0.01;HS-A组比HS-C组,bP< 0.01。 图 2 建模前后三组大鼠炎症相关指标变化 Fig 2 Levels of WBC, CRP, TNF-α and IL-1β in serum before/after heat exposure |
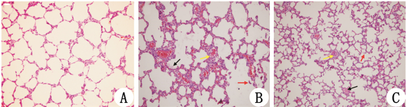
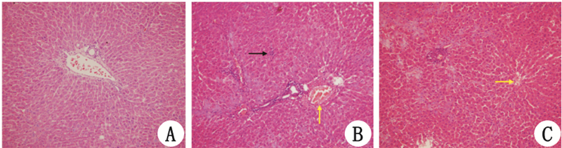
(1)大体改变:与C-C组大鼠相比,HS-A和HS-C组大鼠脑体积增加,脑回变宽、扁平,脑沟变浅、窄,白质水肿明显;双肺肿胀,呈暗红色,可见散在出血点及大片出血斑;肝脏肿大,包膜紧张,表面光滑,色暗红;小肠缺血、肿胀,色苍白,蠕动减弱;肾脏体积略增大,被膜稍紧张,色暗红,纵切面可见皮质缺血明显。(2)镜下:与C-C组大鼠相比,HS-A和HS-C组大鼠脑组织疏松,细胞和血管周围间隙变大,神经元、神经胶质细胞肿胀、胞质淡染,部分神经元出现核固缩、胞体缩小变形、尼氏小体消失、胞质深红染,即红色神经元;局部可见噬神经现象(图 3)。肺间质毛细血管扩张、充血、大量炎性细胞浸润,可见散在点状出血;微血管内可见混合血栓形成和白细胞栓塞;在肺呼吸性细支气管、肺泡管的内表面可见透明膜形成;肺泡明显扩张,上皮细胞肿胀、脱落,肺泡间隔明显增厚并断裂,相邻肺泡融合(图 4)。肝小叶结构紊乱,肝细胞大片水肿,胞质疏松、淡染,呈半透明状,以肝小叶中央静脉周围为重;部分肝细胞可见核固缩、碎裂、溶解;门管区可见大量炎性细胞浸润;微血管内可见红细胞瘀滞、混合血栓形成(图 5)。小肠壁水肿、增厚,绒毛结构紊乱、破坏,上皮细胞可见变性、坏死、脱落,局部大量炎性细胞浸润(图 6)。肾小球无明显改变,肾小管上皮肿胀,部分细胞坏死、脱落,管腔内可见管型形成,间质水肿、散在出血,炎性细胞浸润不明显(图 7)。
![]() |
| A:C-C组;B:HS-C组;C:HS-A组;B、C示脑组织疏松,神经元和胶质细胞肿胀、胞质淡染;黑色箭头示噬神经现象,黄色箭头示红色神经元 图 3 大鼠大脑HE染色镜下观察(×200) Fig 3 HE staining shown lesions of brain in groups C-C (A), HS-C (B), and HS-A (C) under microscope (×200) |
![]() |
| A:C-C组,B:HS-C组,C:HS-A组;B、C示肺间质血管扩张、充血,散在点状出血,大量炎性细胞浸润;肺泡明显扩张,间隔增厚、断裂,上皮细胞肿胀、脱落;黑色箭头示透明膜形成,黄色箭头示微血管内混合血栓形成,红色箭头示脱落的上皮细胞 图 4 大鼠肺HE染色镜下观察(×200) Fig 4 HE staining shown lesions of lung in groups/C-C (A), HS-C (B), and HS-A (C) under microscope (×200) |
![]() |
| A:C-C组,B:HS-C组,C:HS-A组;B、C示肝小叶结构紊乱,肝细胞大片水肿,门管区大量炎性细胞浸润;黑色箭头示肝细胞坏死后炎性细胞浸润,黄色箭头示红细胞瘀滞、混合血栓形成 图 5 大鼠肝脏HE染色镜下观察(×200) Fig 5 HE staining shown lesions of liver in groups/C-C (A), HS-C (B), and HS-A (C) under microscope (×200) |
![]() |
| A:C-C组,B:HS-C组,C:HS-A组;B、C示小肠绒毛结构紊乱,部分上皮细胞变性、坏死、脱落,局部可见炎性细胞浸润;黑色箭头示脱落的上皮细胞,黄色箭头示局部炎性细胞浸润 图 6 大鼠小肠HE染色镜下观察(×200) Fig 6 HE staining shown lesions of small intestine in groups/C-C (A), HS-C (B), and HS-A (C) under microscope (×200) |
![]() |
| A:C-C组,B:HS-C组,C:HS-A组;B、C示肾小管上皮细胞肿胀,管腔变窄,间质可见散在出血、炎性细胞浸润;黑色箭头示管型形成;黄色箭头示肾小管上皮细胞坏死、脱落 图 7 大鼠肾脏HE染色镜下观察(×400) Fig 7 HE staining shown lesions of kidney in groups/C-C (A), HS-C (B), and HS-A (C) under microscope (×400) |
HS-A组大鼠在热暴露过程中死亡1只,HS-C组在热暴露过程中死亡1只、热暴露结束时死亡1只。两组病死率差异具有统计学意义(χ2=6.250,P=0.012)。
3 讨论本研究应用动物体温维持仪所建立的大鼠模型(HS-A组)大体及镜下病理改变与使用仿真热气候动物舱所建立模型(HS-C组)并无明显差异,而HS-A组大鼠的炎症因子水平较低、病死率S-A组大鼠发病时SBP及Tc比HS-C组大鼠低。
两种方法所建立模型炎症反应及病理改变均符合HS的病理生理改变[5]。HS-A组大鼠病死率较低,可能与炎性因子水平较低有关。因其处于麻醉状态,机体应激能力明显下降、发生免疫抑制,加之麻醉本身的抗炎作用[10],导致炎症反应减弱;还可能因实验样本量较小而导致统计学差异。该组大鼠发病时SBP及Tc比HS-C组大鼠低可能与其处于麻醉状态导致血管张力降低、血压及体温调节能力下降[11, 12, 13]有关。HS-A组炎性因子水平较HS-C组低,但两组大鼠器官损伤并无明显差异,这与HS早期以直接热损伤为主[5]有关。
目前建立大鼠CHS模型的方法主要有仿真热气候动物舱法[14, 15]和电热毯包裹法[4, 16]等。本研究方法即属于电热毯包裹法。从整体环境的模拟来看,仿真热气候动物舱具有温度、湿度、光照可控的特点,能够模拟自然环境;且建模过程中大鼠处于清醒状态,更接近自然发病过程,但其建立模型所需成本及条件要求很高,国内许多实验室都未能达到,因此限制了其应用。而电热毯包裹法建立模型时大鼠需处于麻醉状态,同时缺乏湿度及光照的调节,即大鼠整个发病过程处于一种非自然状态,这就不能观察大鼠发病过程中的症状变化。但因其建模时间短、成本低、实验条件要求相对降低,因而也被广泛采用。而且将大鼠麻醉之后再建立模型能够减轻动物所遭遇的痛苦,更符合动物伦理、更人道。目前关于这两种方法应用的比较尚未见报道。本研究通过对比两种建模方法,证实应用动物体温维持仪建立大鼠CHS模型与仿真热气候动物舱法无明显差异,并且能够明显缩短建模时间、节约成本,是一种简易、可靠而又经济的大鼠CHS模型建立方法,可以代替仿真热气候动物舱法。
| [1] | Bouchama A, Knochel JP. Heat stroke[J]. N Engl J Med,2002,346(25):1978-1988. |
| [2] | Prevention CFDC. Heat Illness and Deaths — New York City, 2000-2011[R]. Morbidity and mortality weekly report,2013,62(31):617-635. |
| [3] | Levine M, Lovecchio F, Ruha A, et al. Influence of drug use on morbidity and mortality in heatstroke[J]. J Med Tox, 2012,8(3):252-257. |
| [4] | Yamakawa K, Matsumoto N, Imamura Y, et al. Electrical vagus nerve stimulation attenuates systemic inflammation and improves survival in a rat heatstroke model[J]. PLoS One,2013,8(2):e56728. |
| [5] | Leon LR, Helwig BG. Heat stroke: Role of the systemic inflammatory response[J]. J App Phys,2010,109(6):1980-1988. |
| [6] | Bai L, Ding G, Gu S, et al. The effects of summer temperature and heat waves on heat-related illness in a coastal city of China, 2011-2013[J]. Envir Res,2014,132():212-219. |
| [7] | Harlan S, Chowell G, Yang S, et al. Heat-Related deaths in hot cities: estimates of human tolerance to high temperature thresholds[J]. Inter J Env Res & Pub Health,2014,11(3):3304-3326. |
| [8] | Mo WC, Gao X, Liu GP, et al. Heat-related illness in Jinshan District of Shanghai: A retrospective analysis of 70 patients[J]. World J Emerg Med,2014,5(4):286-290. |
| [9] | 周从阳,杨继斌,刘仁树,等. 重症中暑的临床特征及其昏迷机制[J]. 中华急诊医学杂志,2004,13(4):273-274. |
| [10] | Kurosawa S, Kato M. Anesthetics, immune cells, and immune responses[J]. J Anesth,2008,22(3):263-277. |
| [11] | Jurkovich GJ, Greiser WB, Luterman A, et al. Hypothermia in trauma victims: an ominous predictor of survival[J]. Trauma,1987,27(9):1019-1024. |
| [12] | Frei CW, Derighetti M, Morari M, et al. Improving regulation of mean arterial blood pressure during anesthesia through estimates of surgery effects[J]. IEEE Trans Biomed Eng,2000,47(11):1456-1464. |
| [13] | Washington DE, Sessler DI, Moayeri A, et al. Thermoregulatory responses to hyperthermia during isoflurane anesthesia in humans[J]. J Appl Physiol,1993,74(1):82-87. |
| [14] | 林晓静,邹飞,李亚洁,等. 重度热射病合并内毒素血症大鼠模型的建立[J]. 南方医科大学学报,2006,26(1):86-89. |
| [15] | 耿焱,付炜,刘亚楠,等. 清醒与麻醉状态经典型热射病大鼠模型比较[J]. 解放军医学杂志,2013,38(8):615-619. |
| [16] | Chen YW, Chen SH, Chou W, et al. Exercise pretraining protects against cerebral ischaemia induced by heat stroke in rats[J]. Br J Sports Med,2007,41(9):597-602. |
2015, Vol. 24









