东南大学附属中大医院重症医学科 (张朋书、徐静媛、杨毅、邱海波)
急性肺损伤 (acute lung injury,ALI) 及其严重形式急性呼吸窘迫综合征 (acute respiratory distress syndrome,ARDS) 是严重感染、创伤、休克等导致的急性难治性呼吸衰竭。全身性感染(sepsis)是ALI最常见的原因,占ALI病因50%以上[1]。近年来,尽管呼吸支持治疗取得长足进步,但是ALI病死率依然高达40%[2]。目前认为失控的肺部炎症反应是ALI发生发展的根本机制[3]。树突状细胞 (dendritic cell,DC) 是机体功能最为强大的抗原提呈细胞,具有独特的激发初次免疫应答的能力[4]。研究显示,肺常规DC在介导ALI肺炎症反应中发挥重要的作用[5]。DC在组织中接受抗原刺激后迁移至局部免疫器官如脾脏、淋巴结的T细胞区,启动免疫应答[6]。脾脏作为机体最大的外周免疫器官,有大量研究证实脾脏DC参与全身性感染的炎症激活和后期的免疫抑制[7, 8, 9, 10, 11]。然而,对于ALI时脾脏DC变化尚不清楚。本实验通过复制LPS-ALI小鼠模型,应用流式细胞术观察脾脏DC数量和功能状态,探讨ALI小鼠早期脾脏DC变化规律,为深入了解ALI的炎症反应机制奠定基础。
1 材料与方法 1.1 实验动物、试剂及实验分组 1.1.1 实验动物SPF级C57BL/6小鼠36只,雄性,6~8周龄,体质量18~22 g,由南京军区总医院实验动物中心提供。常规食水喂养并维持正常昼夜节律,稳定72 h后开始实验。本研究动物实验方案符合美国实验动物管理与使用指南的要求。
1.1.2 主要试剂和仪器LPS和胶原酶V购自Sigma-Aldrich公司。小鼠CD11c、CD11b、MHC Ⅱ、CD80及同型对照单克隆抗体购自eBioscience公司。小鼠IL-6 ELISA kit由上海依科赛生物有限公司提供。流式细胞仪为美国BD公司产品(BD FACSCaliburTM)。
1.1.3 实验分组C57BL/6小鼠称质量后,将36只C57BL/6小鼠随机(随机数字法)分为2组。① 对照组 (Con):气管内滴入与LPS等体积的PBS;(2) ALI组 (ALI):气管内滴入LPS 2 mg/kg复制LPS-ALI模型。后又按注射LPS或PBS 6、12、24 h三个时间点各分成3组,每组6只小鼠,至观察6、12、24 h后处死小鼠,留取脾待检。
1.2 ALI模型制备小鼠称质量,戊巴比妥钠 (50 mg/kg) 腹腔注射麻醉,仰卧固定于实验台,颈部皮肤消毒,切开皮肤,逐层分离皮下组织,暴露气管。气管内注入LPS 2 mg/kg (溶于30 μL PBS中,对照组注入等体积的PBS),缝合切口。手术完毕后迅速将动物直立、旋转,使液体在肺内分布均匀。动物清醒后常规饲养。小鼠LPS-ALI模型建立成功标准:肺间质充血、水肿,肺泡间隔明显増宽,肺间质和肺泡腔内有大量炎细胞浸润、出血,大量肺泡萎陷[12]。
1.3 脾单细胞悬液制备小鼠处死,无菌打开腹腔,应用机械法并裂解红细胞将脾脏制成单细胞悬液[13]。
1.4 检测指标及方法 1.4.1 肺湿质量/体质量 (LW/BW) 测定处死小鼠后,留取肺组织。用吸水纸将肺组织表面水分吸尽并清除血渍后,称质量并计算肺组织LW/BW。
1.4.2 肺组织HE染色及肺损伤评分肺组织固定、石蜡包埋、HE染色,光镜下观察肺组织损伤程度,采用Smith法进行肺损伤半定量评分[14]。
1.4.3 ELISA检测肺组织IL-6质量浓度取右下肺组织制备肺组织匀浆,ELISA检测IL-6质量浓度严格按试剂盒说明书进行操作。
1.4.4 流式细胞仪检测脾DC数量及功能状态脾单细胞悬液在显微镜下行细胞计数,调整细胞数为1×106/mL,分别加入单克隆抗体FITC-CD11c,Percp-Cy5.5-CD11b,PE-MHC Ⅱ及APC-CD80,室温下避光孵育30 min,PBS洗涤后以1%多聚甲醛固定,4 ℃避光保存,24 h内上机检测。各样本均设相应的同型对照管作为阴性对照。样本应用流式细胞仪FACSCaliburTM (BD公司) 检测,用Cellquest软件(美国BD公司)分析数据。
参照文献[15, 16]以CD11c+CD11b+细胞占脾单细胞数量百分比反映脾DC数量。分析表面表达CD80、MHC Ⅱ的DC比例,反映DC功能状态和成熟程度。
1.5 统计学方法采用SPSS 16.0软件进行统计分析。计量资料以均数±标准差(x± s )表示。两组间比较采用成组t检验,多组间比较采用单因素方差(LSD-t法)分析,方差不齐时采用Mann-Whitney U及Dunnett’s T3检验。以P <0.05为差异具有统计学意义。
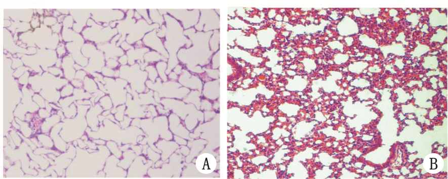
2 结果 2.1 ALI小鼠肺炎症损伤变化肺LW/BW反映肺炎症损伤程度[17]。ALI组小鼠6、12、24 h LW/BW均明显高于对照组相应时间点LW/BW (P <0.05),但ALI组各时间点差异无统计学意义 (P>0.05),见表 1。病理学检查显示对照组小鼠肺泡间隔均一,肺泡腔内未见明显渗出液及炎性细胞浸润;ALI组小鼠肺组织病理检查见肺泡间隔明显增宽、出血并有大量炎性细胞浸润,见图 1。Smith肺损伤评分可半定量评估ALI肺炎症损伤程度[14]。ALI组6、12、24 h肺组织病理损伤评分均明显高于对照组相应时间点的肺损伤评分 (P <0.05),但ALI组各时间点差异无统计学意义 (P>0.05),见表 1。ALI组6、12、24 h肺组织IL-6含量均明显高于对照组相应时间点肺组织IL-6水平 (P <0.01);与ALI组6 h和24 h相比,ALI组12 h肺IL-6水平显著升高 (P < 0.01)。见表 2。
![]() |
| A:对照组;B:ALI组 图 1 ALI小鼠6 h肺组织病理改变 (HE × 100) Fig 1 Changes of lung histopathology before and after ALI at 6 h (HE × 100) |
| 组别 | LW/BW | F值 | P值 | Smith评分 | F值 | P值 | ||||
| 6 h | 12 h | 24 h | 6 h | 12 h | 24 h | |||||
| 注:与对照组比较,a P <0.05;LW/BW为肺湿质量/体质量 | ||||||||||
| 对照组 | 0.53±0.03 | 0.52±0.02 | 0.52±0.04 | 0.345 | 0.714 | 0.56±0.08 | 0.67±0.22 | 0.61±0.14 | 0.72 | 0.504 |
| ALI组 | 0.72±0.09a | 0.67±0.03a | 0.63±0.09a | 1.639 | 0.227 | 6.08±0.53a | 5.27±0.19a | 5.11±0.26a | 2.67 | 0.106 |
| t值 | 4.37 | 5.73 | 2.57 | 25.09 | 38.70 | 37.24 | ||||
| P值 | 0.001 | 0.000 | 0.028 | 0.000 | 0.000 | 0.000 | ||||
| 组别 | IL-6 (pg/mg) | F值 | P值 | ||
| 6 h | 12 h | 24 h | |||
| 注:与对照组比较,aP < 0.01;与6 h和24 h ALI组比较,bP < 0.01 | |||||
| 对照组 | 393±91 | 335±168 | 345±112 | 0.43 | 0.656 |
| ALI组 | 2887±171a | 3447±431ab | 2923±231a | 6.57 | 0.009 |
| t值 | 32.29 | 16.69 | 24.97 | ||
| P值 | 0.000 | 0.000 | 0.000 | ||
对照组小鼠6、12、24 h脾DC分别为(1.12±0.37)%、(1.16±0.34)%和(1.14±0.15)%。 ALI小鼠6 h脾DC为(1.28±0.25)%,与对照组 差异无统计学意义 (P>0.05);ALI 组12 h脾脏DC显著升高至 (1.92±0.25)%,明显高于对照组 (P <0.01);ALI小鼠24 h脾DC降至 (0.96±0.21)%,与对照组差异无统计学意义 (P>0.05)。与ALI组6 h和24 h相比,ALI组12 h脾DC数量显著升高 (P <0.01)。见表 3和图 2A、B。
![]() |
| A:ALI小鼠脾脏DC数量变化流式细胞图;B:ALI小鼠脾脏DC数量变化;C:ALI小鼠脾脏DC表达CD80水平流式细胞图;D:ALI小鼠脾脏DC表达CD80变化;E:ALI小鼠脾脏DC表达MHCⅡ水平变化流式细胞图;F:ALI小鼠脾脏DC表达MHCⅡ水平变化; Isotype:同型对照;Con:对照组;ALI:急性肺损伤组;与对照组比较,a P < 0.05;与6 h ALI组比较,b P < 0.05 图 2 ALI小鼠脾DC数量及表达CD80、MHC Ⅱ变化 (n=6) Fig 2 Comparison of splenic DC, CD80 and MHC Ⅱ expression on splenic DC before and after ALI (n=6) |
| 组别 | 脾DC占脾单细胞比例(%) | F值 | P值 | ||
| 6 h | 12 h | 24 h | |||
| 注:与对照组比较,a P < 0.01;与6 h和24 h ALI组比较,b P < 0.01 | |||||
| 对照组 | 1.12±0.37 | 1.16±0.34 | 1.14±0.15 | 0.12 | 0.887 |
| ALI组 | 1.28±0.25 | 1.92±0.25ab | 0.96±0.21 | 20.25 | 0.000 |
| t值 | 0.78 | 3.95 | 0.81 | ||
| P值 | 0.456 | 0.004 | 0.439 | ||
对照组6、12、24 h 脾DC表达CD80分别为(9.0±3.6)%、(10.1±3.6)%和(11.3±3.5)%。ALI组相应时间点脾DC表达CD80分别为 (25.2±4.7)%、(36.6±6.2)%和(43.9±10.5)%,明显高于对照组 (P < 0.01)。与ALI组6 h相比,ALI组12 h和24 h脾脏DC表达CD80显著升高 (P <0.05);但ALI组12 h和24 h脾脏DC表达CD80水平差异无统计学意义 (P>0.05)。见表 4和图 2C、2D。
| 组别 | 脾DC表达CD80比例(%) | F值 | P值 | 脾DC表达MHC Ⅱ比例(%) | F值 | P值 | ||||
| 6 h | 12 h | 24 h | 6 h | 12 h | 24 h | |||||
| 注:与对照组比较,a P < 0.01;与6 h ALI组比较,b P < 0.05 | ||||||||||
| 对照组 | 9.0±3.6 | 10.1±3.6 | 11.3±3.5 | 0.495 | 0.622 | 84.9±8.6 | 85.4±1.8 | 82.2±6.6 | 0.47 | 0.635 |
| ALI组 | 25.2±4.7a | 36.6±6.2ab | 43.9±10.5ab | 7.738 | 0.007 | 88.9±1.5 | 89.0±4.0 | 86.5±9.5 | 0.28 | 0.758 |
| t值 | 6.08 | 8.15 | 6.15 | 0.76 | 1.05 | 0.89 | ||||
| P值 | 0.000 | 0.000 | 0.000 | 0.470 | 0.353 | 0.401 | ||||
对照组6 h、12 h和24 h脾DC表达MHC Ⅱ分别为 (84.9±8.6)%、(85.4±1.8)%和(82.2±6.6)%;ALI组小鼠相应时间点脾DC表达MHC Ⅱ 分别为 (88.9±1.5)%、(89.0±4.0)%和(86.5±9.5)%,与对照组差异无统计学意义 (P>0.05);ALI组各时间点脾DC表达MHC Ⅱ水平亦差异无统计学意义 (P>0.05)。见表 4和图 2E、F。
3 讨论ALI是感染、创伤和休克等导致的急性难治性呼吸衰竭,病死率高[1]。目前认为失控的炎症反应是其发生的根本原因[3]。DC是功能最强大的专职抗原提呈细胞,广泛分布于机体各组织,在启动和调节免疫应答反应中发挥关键性作用[4]。小鼠DC通过诱导T、B、NK等调控免疫应答,并通过释放细胞因子调节免疫反应的强度和时程[18]。近期研究证实,肺DC在介导ALI肺炎症反应中发挥重要的作用[5]。而脾脏作为机体最大的外周免疫器官,是发挥免疫应答效应的重要场所,其细胞组成、免疫调理因子的变化对机体整体免疫状态起重要的调节作用[16]。研究ALI脾DC状态有助于阐明ALI致病机制。
本研究利用气管内注射LPS (2 mg/kg) 复制小鼠ALI模型,模拟肺部感染导致ALI的临床过程。结果显示,LPS注射后,小鼠肺组织LW/BW显著升高,肺组织病理可见肺泡间隔增宽和肺泡间质内血管充血、出血及大量炎细胞渗出等ALI病理变化,Smith评分也显示小鼠肺损伤评分显著高于对照组,肺组织IL-6显著升高,证实小鼠ALI模型复制成功。
本实验应用流式细胞仪检测脾单细胞悬液,结果发现从正常小鼠的脾脏分离出来的DC占1%左右,与既往研究结果基本一致[16]。本研究结果显示,ALI小鼠脾脏DC呈一过性升高,12 h达高峰,24 h恢复基线水平。有研究显示,小鼠静脉注射LPS后,淋巴结中DC的数量在6 h内明显升高,12~24 h达高峰,峰值较正常升高8~15倍,随后DC大量凋亡而降至低于正常水平[19]。另有实验利用全身性感染小鼠模型,发现脾脏DC数量明显增加,36 h达高峰,然而48 h脾脏DC数量明显减少,推测是免疫系统自身“负反馈”[20]。本实验结果提示ALI小鼠脾脏DC与全身性感染小鼠变化趋势基本一致,在12~36 h呈现峰值,随后降至正常或更低水平。略有不同的是,本研究观察到ALI 小鼠脾脏DC在12 h达峰值,似略早于全身性感染小鼠 (12~36 h),原因尚不清楚,可能与不同模型选择、免疫反应方式不全相同等因素有关。
DC成熟状态也决定机体发生免疫反应的类型和程度。未成熟DC诱导免疫激活的能力很弱,成熟的DC具有诱导免疫激活T细胞的功能,改变DC的表型和功能将影响机体的免疫应答反应。笔者通过检测DC表达CD80水平反映DC功能状态和成熟程度,检测DC表达MHC Ⅱ反映DCs抗原提呈功能和成熟状态[21]。
本研究发现尽管ALI小鼠脾脏DC数量仅一过性升高,但在各观察时间点脾脏表达CD80的DC均明显升高,且随观察时间延长进一步升高,表明成熟的DC增多,且呈时间依赖性,与全身性感染小鼠早期脾脏DC功能变化基本一致,该变化也与ALI早期机体炎症反应亢进过程相吻合[10, 11]。然而,ALI时表达MHC Ⅱ的脾脏DC差异无统计学意义,均近90%左右,表示在静息状态和炎症状态下脾脏DC均有较强的抗原提呈能力,ALI小鼠脾脏DC表达MHC Ⅱ差异无统计学意义,不排除可能与DC高表达MHC Ⅱ有关。
总之,本研究发现ALI小鼠脾脏DC呈一过性增加,伴功能呈成熟状态。脾脏DC可能参与ALI发生发展,而以脾脏DC为靶点调控ALI病程可能具有新的防治前景。
| [1] | Matthay MA, Ware LB, Zimmerman GA. The acute respiratory distress syndrome [J]. J Clin Invest, 2012,122(8):2731-2740. |
| [2] | Ferguson ND, Cook DJ, Guyatt GH, et al. High-frequency oscillation in early acute respiratory distress syndrome [J]. N Engl J Med, 2013,368(9):795-805. |
| [3] | 邱海波, 黄英姿. 急性呼吸窘迫综合征治疗的进步[J]. 中华急诊医学杂志, 2011,20(2):117-119. |
| [4] | Steinman RM. Decisions about dendritic cells: past, present, and future[J]. Annu Rev Immunol, 2012, 30:1-22. |
| [5] | 董亮, 贺宏丽, 刘军, 等. 急性肺损伤早期肺常规树突状细胞的动态变化[J]. 中华急诊医学杂志, 2012,21(6):607-611. |
| [6] | Randolph GJ, Ochando J, Partida-Sanchez S. Migration of dendritic cell subsets and their precursors[J]. Annu Rev Immunol, 2008,26:293-316. |
| [7] | Efron P, Moldawer LL. Sepsis and the dendritic cell[J]. Shock, 2003,20(5):386-401. |
| [8] | Ding Y, Chung CS, Newton S, et al. Polymicrobial sepsis induces divergent effects on splenic and peritoneal dendritic cell function in mice[J]. Shock, 2004,22(2):137-144. |
| [9] | Grimaldi D, Louis S, Pene F, et al. Profound and persistent decrease of circulating dendritic cells is associated with ICU-acquired infection in patients with septic shock[J]. Intensive Care Med, 2011,37(9):1438-1446. |
| [10] | 刘军, 邱海波. 树突状细胞介导的免疫功能紊乱在全身性感染中的作用[J]. 中华急诊医学杂志, 2010,19(9):1004-1006. |
| [11] | 张朋书, 刘军, 邱海波. 脾脏树突状细胞在全身性感染中的变化及治疗意义[J]. 国际麻醉学与复苏杂志, 2011,32(2):244-246. |
| [12] | Matute-Bello G, Frevert CW, Martin TR. Animal models of acute lung injury[J]. Am J Physiol Lung Cell Mol Physiol, 2008,295(3):L379-399. |
| [13] | Gautier EL, Huby T, Saint-Charles F, et al. Enhanced dendritic cell survival attenuates lipopolysaccharide-induced immuno-suppression and increases resistance to lethal endotoxic shock[J]. J Immunol, 2008,180(10):6941-6946. |
| [14] | Liu J, Zhang PS, Yu Q, et al. Losartan inhibits conventional dendritic cell maturation and Th1 and Th17 polarization responses: Novel mechanisms of preventive effects on lipopolysaccharide-induced acute lung injury [J]. Int J Mol Med, 2012,29(2):269-276. |
| [15] | van RLS, Prins JB, Leenen PJ, et al. Allergen-induced accumulation of airway dendritic cells is supported by an increase in CD31hiLy-6Cneg bone marrow precursors in a mouse model of asthma[J]. Blood, 2002,100(10):3663-3671. |
| [16] | Naik SH, Metcalf D, van NA, et al. Intrasplenic steady-state dendritic cell precursors that are distinct from monocytes[J]. Nat Immunol, 2006,7(6):663-671. |
| [17] | Hashimoto N, Kawabe T, Imaizumi K, et al. CD40 plays a crucial role in lipopolysaccharide-induced acute lung injury[J]. Am J Respir Cell Mol Biol, 2004,30(6):808-815. |
| [18] | Naik SH, Sathe P, Park HY, et al. Development of plasmacytoid and conventional dendritic cell subtypes from single precursor cells derived in vitro and in vivo[J]. Nat Immunol, 2007,8(11):1217-1226. |
| [19] | MacPherson GG, Jenkins CD, Stein MJ, et al. Endotoxin-mediated dendritic cell release from the intestine. Characterization of released dendritic cells and TNF dependence[J]. J Immunol, 1995,154(3):1317-1322. |
| [20] | De Smedt T, Pajak B, Muraille E, et al. Regulation of dendritic cell numbers and maturation by lipopolysaccharide in vivo[J]. J Exp Med, 1996,184(4):1413-1424. |
| [21] | Iwasaki A. Mucosal dendritic cells[J]. Annu Rev Immunol, 2007,25:381-418. |
2015, Vol. 24




