创伤失血性休克的结果往往是多器官功能衰竭(MODS),其中肺脏是最早出现损伤的器官之一,如急性肺损伤(ALI )和急性呼吸窘迫综合征(ARDS)等,也是目前在全球青壮年死亡的首要原因[1]。
我国西北地区分布着大面积的戈壁沙漠,在夏季存在着气温高、昼夜温差大、干燥等特点,在这种环境下若出现创伤失血性休克更会加重重要脏器损伤容易引发MODS导致死亡。目前对于沙漠干热环境中的创伤失血性休克的研究国内外未见文献报道,本实验主要是在西北特殊环境人工实验舱中(40 ℃ 、 湿度10 %)建立创伤失血性休克模型,探讨NO、iNOS等在创伤失血性休克继发肺损伤的变化规律及其与肺损伤机制的相关性,为沙漠干热环境创伤失血性休克救治提供理论依据。
1 材料与方法 1.1 实验材料和仪器140只SPF级雄性SD大鼠,体量约280~320 g(新疆医科大学实验动物中心);总蛋白定量测定试盒、一氧化氮(NO)测定试剂盒(南京建成生物工程研究所,中国);iNOS引物:上游:5’-GAAAGCGGTGTTCTTTGCTTCT-3’,下游:5’-CTTATCTGTTCCATGCAGACAACCT-3’;β-actin引物:上游:5’-AACCGTGGATGACCCAGAT-3’,下游5’-GTGGACAGTGAGGCCAGGAT-3’,(上海生物工程有限公司,中国);TRIzon总RNA提取试剂(北京康为世纪生物科技有限公司,中国);反转录试剂盒和荧光定量Mix(美国Invitrogen公司)。酶标仪、荧光定量PCR仪(美国Bio-Rad公司);模拟环境在兰州军区乌鲁木齐总医院研制的“西北特殊环境人工实验舱”中进行。
1.2 模型建立及处理140只雄性SD大鼠随机(随机数字法)分为常温组和干热组,每组又分别设对照组、休克后0、0.5、1、1.5、2、3 h组7个亚组,每组10只。实验前大鼠常规禁食、禁水6 h,沙漠干热环境创伤失血性休克组将各组实验大鼠放置在西北特殊环境人工实验舱内,并使用沙漠干热环境气候模式(40 ℃ ,湿度10 %),让大鼠自由活动预热60 min后,在人工实验舱内制造创伤失血性休克模型,模型参照孙英刚等[2]建立的创伤失血性休克模型并加以改进,采用3 %戊巴比妥腹腔麻醉,使用静脉留置针行右颈动、静脉和右股动脉插管,右颈动脉插管接BL-420F生物机能监测系统,用于测量血压等血流动力学指标;颈静脉插管建立简易补液通道;右股动脉插管以备放血。留置针插管前均经肝素钠生理盐水(500 U/kg)抗凝,并连接三通管以方便监测血压及采血。大鼠稳定10 min后,利用2500 g铁轮于30 cm高度击中SD大鼠左下肢股骨中上段造成粉碎性骨折,致伤后简易包扎伤口,经右股动脉放血使MAP维持在(35±5)mmHg(1 mmHg=0.133 kPa),若经打击后血压不能维持则通过右颈静脉补液通道输注生理盐水以维持MAP。大鼠行动静脉插管及创伤打击模型完成时间控制在25~30 min,并以大鼠MAP达到(35±5)mmHg为休克0 h时间点,模型成功后转移至常温环境中(25 ℃ 湿度35 %)。常温环境创伤失血性休克在常温环境中进行,其方法同干热环境组,沙漠干热环境对照组和常温环境对照组除不致伤外其余步骤同实验组,插管完成后即进行采血及组织取样,若大鼠出现死亡应剔除后重新补充。分别按照设定的时间点首先经下腔静脉采血,血液静置30 min,离心后留取上清液-80 ℃保存备用,处死大鼠,打开胸腔,游离、结扎右侧肺叶,首先分离、剪开气管首先进行气管插管、固定,用5 mL注射器,每次4 mL 4 ℃生理盐水缓慢推注、回抽,共灌洗肺5次,记录回抽液体量,计算回收百分率(回收率大于80%),-80 ℃冻存备用,然后留取右侧肺,右肺上叶甲醛4%固定,然后脱水、包埋;其余-80 ℃冻存。
1.3 观测指标及方法 1.3.1 病理学变化及肺损伤病理学评分由包埋好的肺组织,行常规切片、HE染色,观察病理变化,同时由专业技术人员根据Mikawa等[3]、张素品等[4]标准做肺损伤评分,光镜下观察各肺组织水肿、出血 、炎性细胞浸润和小气道损伤等项病理改变 ,各按程度分为 5个等级 :0分为无该项病理改变或极轻 ;1分为病理变化轻且很局限;2分为病理变化中等;3分为病变中等但广泛或局部 显著 ;4分为非常显著的广泛性病理改变 。每张切片随机取10个高倍视野,每个视野病理评分为每项评分之和,10个视野的平均值为病理评分。
1.3.2 肺灌洗液总蛋白量肺灌洗液由-80 ℃取出,4℃12 000 r/min离心10 min,按照总蛋白定量测试盒说明书操作,最后于562 nm处测定各管吸光度值,根据公式计算最终浓度。
1.3.3 肺组织NO测量肺组织由-80 ℃取出,称取0.1 g,在4 ℃生理盐水中漂洗、拭干,于玻璃匀浆管中手工匀浆,用1 mL生理盐水冲洗转移至1.5 mL EP管内制备成10%的组织匀浆,3000 r/min离心10 min,留取上清,按照测试盒说明书操作,酶标仪550 nm比色,测定吸光度值,根据公式计算各样本浓度。
1.3.4 肺组织 iNOS mRNA 表达量肺组织按照北京康为世纪生物科技有限公司提供的TRIzon总RNA提取试剂说明书,提取总RNA并测量浓度,计算20 μL反转录体系所需体积;然后依据美国Invitrogen公司提供说明书以提取的总RNA作为模板配成20 μL的体系,进行反转录得到cDNA,最后以反转录出来的cDNA为模板配成20 μL体系,在Bio-Rad实时荧光定量仪器上设定扩增参数:95 ℃预变性3 min;95 ℃10 s,60 ℃30 s,75 ℃10 s,共41个循环;最后于75 ℃延伸10 min,进行测定得出iNOS和内参β-actin的Ct值。
1.4 统计学方法计量资料以均数±标准差(x ±s)表示,运用SPSS 20.0进行统计分析,首先两组总体之间进行成组t检验,然后各组采用单因素方差分析,若差异具有统计学意义再采用SNK-q检验两两比较,最后进行Pearson相关性分析,以P﹤0.05为差异具有统计学意义。
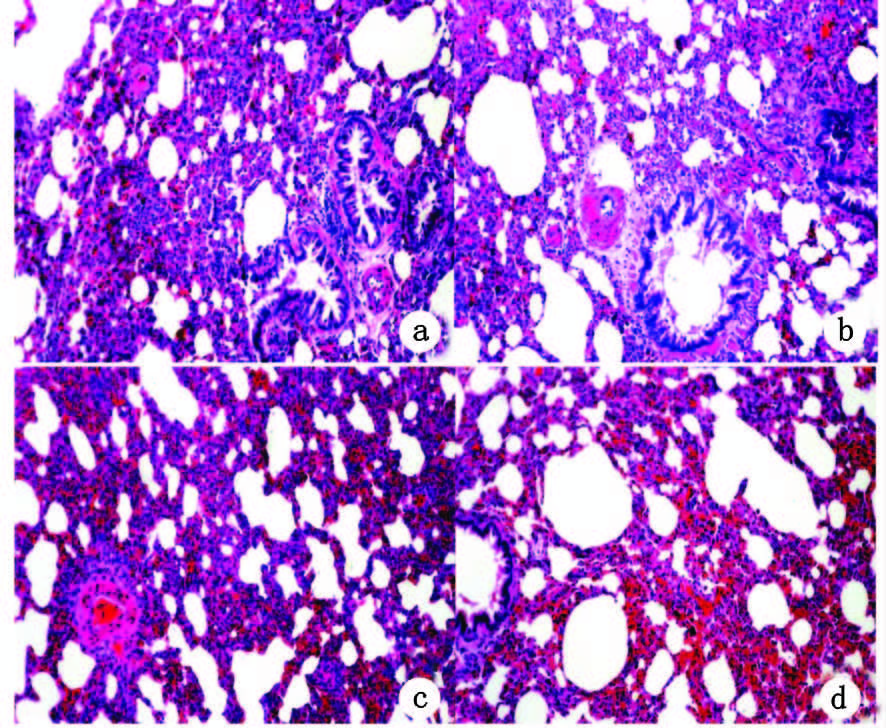
2 结果 2.1 病理学变化及肺损伤病理学评分电子显微镜下可以发现干热组肺泡间隔明显增宽,肺泡腔狭窄,支气管壁及部分肺泡间隔中可见大量炎症细胞渗出 ,肺泡壁血管明显充血、渗出性出血,支气管存在散在出血,常温组各时间点病理变化较干热组轻,见图 1。两组肺损伤评分总体比较差异具有统计学意义(t=3.279,P<0.05),干热组组内单因素方差分析差异具有统计学意义(F=12.32,P<0.01),常温组各组间单因素方差差异具有统计学意义(F=9.26,P<0.01),常温组与干热组肺损伤评分在休克后各时间点均高于对照组,干热组最大值(6.63±0.14)出现在1.5 h时,常温组最大值(5.50±0.20)在2.0 h时出现。见图 2。
|
| A、B:常温组2 h肺脏病理;C、D:干热组1.5 h时肺脏病理 图 1 2组大鼠不同时间点肺脏病理切片HE染色(×400) Fig. 1 Lung pathological section HE staining in two groups ( ×400) |
|
| 常温组与干热组中对照组与休克后各时间点间比较,aP<0.05;常温组组内各时间点间比较,bP<0.05;干热组组内各时间点间比较,cP<0.05 图 2 各组大鼠肺损伤病理学评分 Fig. 2 Score of lung injury in rats |
两组肺灌洗液总蛋白量总体t检验差异具有统计学意义(t=3.484,P<0.01),干热组休克后各时间点均高于常温组,干热组组内单因素方差分析差异有统计学意义(F=6.34,P<0.01),常温组组内方差分析差异具有统计学意义(F=2.86,P<0.05),常温组与干热组在复苏后各时间点均高于对照组,干热组峰值(157.31±3.63)μg/mL出现在1.5 h早于常温组峰值(117.29±5.97) μg/mL(常温组最大值出现在2.0 h)出现,组内休克后各时间点比较差异具有统计学意义,与肺损伤评分结果呈正相关r=0.674、r=0.795(P<0.05)。见图 3。
|
| 常温组与干热组中对照组与休克后各时间点间比较,aP<0.05;常温组组内各时间点间比较,bP<0.05;干热组组内各时间点间比较,cP<0.05 图 3 各组大鼠肺灌洗液总蛋白量 Fig. 3 Total protein in each lung lavage fluid of rats |
两组肺组织匀浆NO质量摩尔浓度总体比较差异具有统计学意义(t=2.472,P<0.05),干热组数值均大于常温组,干热组组内单因素方差分析差异具有统计学意义(F=6.77,P<0.01),常温组组内方差分析差异具有统计学意义(F=7.83,P<0.01)常温组与干热组肺组织匀浆NO质量摩尔浓度在休克后各时间点均高于对照组,干热组最大值(3.35±0.23)μmol/g出现在2.0 h早于常温组最大值(2.30±0.30) μmol/g(常温组最大值出现在3.0 h)出现,常温组与干热组NO质量摩尔浓度在复苏后0 h时均有显著升高,见图 4。
|
| 常温组与干热组中对照组与休克后各时间点间比较,aP<0.05;常温组组内各时间点间比较,bP<0.05;干热组组内各时间点间比较,cP<0.05 图 4 各组大鼠肺组织匀浆NO质量摩尔浓度 Fig. 4 Homogenates of NO concentration in lung tissue of each group of rats |
两组肺灌洗液总蛋白量总体差异具有统计学意义(P<0.01),干热组休克后各时间点均高于常温组,干热组组内单因素方差分析差异具有统计学意义(P<0.01),常温组各亚组间方差分析差异具有统计学意义(P<0.01)常温组与干热组在复苏后各时间点均高于对照组,干热组最大值(3.505±0.031)出现在1.5 h早于常温组最大值(2.405±0.039) (常温组最大值出现在2 h)出现,相关性分析发现常温组与干热组iNOS mRNA表达量与肺损伤评分呈正相关r=0.846、r=0.899,与肺组织匀浆NO质量摩尔浓度也呈正相关r= 0.680、r=0.376(P<0.05)。见图 5。
|
| a常温组与干热组中对照组与休克后各时间点间比较差异具有统计学意义,b常温组组内各时间点间比较差异具有统计学意义,c干热组组内各时间点间比较差异具有统计学意义,P<0.05. 图 5 各组大鼠肺损组织iNOS表达量 Fig. 5 Expression of iNOS in lung tissue of rats in each group |
创伤失血性休克容易造成全身性缺血-再灌注、多器官功能衰竭,是美国和全球40岁以下人群各年龄组主要的死亡原因[5, 6],而肺是最容易受到损伤引发ALI。沙漠戈壁在夏季存在着气温高、昼夜温差大、干燥等特点,目前对于沙漠干热环境中的创伤失血性休克的研究国内外未见文献报道,本实验通过在西北特殊环境人工实验舱中建立沙漠干热环境创伤失血性休克模型,探讨NO、iNOS等在创伤失血性休克继发肺损伤时的变化规律及其与肺损伤机制的相关性,为进一步研究提供理论依据。
本实验研究发现干热环境组肺病理损伤较常温组严重,两组肺损伤评分总体差异具有统计学意义,常温组与干热组肺损伤评分在休克后各时间点均高于对照组,组内各时间点间差异具有统计学意义,干热组峰值出现较常温组早。肺灌洗液总蛋白量比较差异具有统计学意义,两组各时间点均高于对照组,且干热组复苏后各时间点均高于常温组,干热组峰值出现早于常温组峰值出现,相关性分析发现其与肺损伤评分结果呈正相关r= 0.674、r=0.795。以上研究结果表明创伤失血性休克大鼠继发急性肺损伤时,沙漠干热环境中高温、干燥等特点一方面可以通过呼吸道直接对肺泡壁上皮细胞产生损伤,导致细胞膜完整性破坏、渗出增加;另一方面可以促进炎症细胞的侵润、聚集,损伤肺脏血管基底膜致毛细血管通透性增加,进一步加重肺损伤[7, 8]。
NO是机体内重要的信使分子和效应分子且具有多种生理功能,NO产生过量通过氧化应激可促进急性肺损伤的进展[9, 10]。临床研究发现ARDS患者的支气管肺泡灌洗液中NO质量摩尔浓度和iNOS mRNA表达量均高于正常人,而且在LPS诱导的ALI中,由LPS或炎症介质刺激引起的内毒素休克使肺组织iNOS mRNA过度表达[11],内源性NO产生过量损伤肺泡毛细血管屏障引起肺水肿[12],敲除iNOS基因的小鼠表现出轻度急性肺损伤[13, 14],最新研究发现硫氢化钠可通过抑制iNOS/ NO途径可对肢体爆炸创伤引起的肺损伤具有保护作用[15]。本实验研究发现干热组与常温组NO质量摩尔浓度比较存在差异,两组在休克后各时间点均高于对照组,干热组休克后各时间点均高于常温组,干热组峰值出现早于常温组出现,肺组织iNOS基因mRNA表达量比较差异具有统计学意义,常温组与干热组在复苏后各时间点均高于对照组,干热组复苏后各时间点均高于常温组,干热组峰值出现在1.5 h。由此可见,随着损伤加重及炎症反应的进行,可能是肠道内细菌转移,导致内毒素休克进而激发iNOS表达量增加,NO大量产生,进而生成强毒性的氧自由基造成肺的广泛性损伤[16]。另外,肺组织NO质量摩尔浓度峰值出现较iNOS推迟,而相关性分析发现iNOS表达量与肺损伤评分结果呈正相关r=0.846、r=0.899,与肺组织NO质量摩尔浓度呈正相关0.680、0.376,说明干热环境中创伤失血性休克大鼠肺损伤时肺组织NO质量摩尔浓度的变化不同于常温环境中随iNOS表达量而变化,并具有较好的相关性。其原因可能是沙漠干热环境的气温高、干燥等因素可以对肺直接产生损伤。常温组与干热组NO质量摩尔浓度在复苏后0 h均有显著升高,应考虑是在建立模型的过程中,由于有效循环血量锐减、剧烈疼痛等多种因素致使大鼠为维持正常生理状态产生过多NO所引起。
总之,该研究发现沙漠干热环境中创伤失血性休克大鼠肺损伤比常温环境中严重且出现早,肺组织NO、iNOS在创伤失血性休克大鼠肺损伤过程中起到至关重要的作用,同时为沙漠干热环境中创伤失血性休克继发性肺损伤的救治和有效抑制iNOS药物研发奠定基础。
| [1] | Pati S, Gerber MH ,Menge TD, et al. Bone marrow derived mesenchymal stem cells inhibit inflammation and preserve vascular endothelial integrity in the lungs after hemorrhagic shock[J]. PLoS One, 2011, 6(9): 251-271. |
| [2] | 孙英刚, 黄宗海, 冯浩淼,等. 创伤性休克大鼠模型的建立[J]. 解放军医学杂志, 2002, 27(12): 1086-1087. |
| [3] | Mikawa K, Nishina K, Takao Y, et al. ONO-1714, a nitric oxide synthase inhibitor, attenuates endotoxin-induced acute lung injury in rabbits[J]. Anesth Analg, 2003, 97(6): 1751-1755. |
| [4] | 张素品, 张加艳, 于泳浩,等.七氟烷后处理对大鼠肺缺血再灌注损伤的影响[J]. 中华麻醉学杂志, 2009, 29(8): 753-756. |
| [5] | Davidson GH, Hamlat CA, Rivara FP, et al. Long-term survival of adult trauma patients[J]. JAMA, 2011, 305(10): 1001-1007. |
| [6] | Dewar D, Moore FA, Moore EE, et al. Postinjury multiple organ failure[J]. Injury, 2009, 40(9): 912-918. |
| [7] | 韩继媛,张金萍,孙鹏,等.卡托普利对百草枯致急性肺损伤的保护作用[J]. 中华急诊医学杂志, 2009,18(10): 1056-1059. |
| [8] | 陈宁,赵鹤龄,程彤,等. 机械通气对急性肺损伤大鼠细胞凋亡的影响[J]. 中华急诊医学杂志, 2011, 20(11): 1153-1156. |
| [9] | Yang YL, Huang KL, Liou HL,et al. The involvement of nitric oxide, nitric oxide synthase, neutrophil elastase, myeloperoxidase and proinflammatory cytokines in the acute lung injury caused by phorbol myristate acetate[J]. J Biomed Sci, 2008,15(4): 499-507. |
| [10] | Su CF, Yang FL, Chen HI. Inhibition of inducible nitric oxide synthase attenuates acute endotoxin-induced lung injury in rats[J]. Clin Exp Pharmacol Physiol, 2007,34(4): 339-346. |
| [11] | Sittipunt C, Steinberg KP, Ruzinski JT,et al. Nitric oxide and nitrotyrosine in the lungs of patients with acute respiratory distress syndrome[J]. Am J Respir Crit Care Med, 2001, 163(2): 503-510. |
| [12] | Mehta S. The effects of nitric oxide in acute lung injury[J]. Vascul Pharmacol, 2005, 43(6): 390-403. |
| [13] | Hesse AK, Drger M, Kupatt C, et al. Proinflammatory role of inducible nitric oxide synthase in acute hyperoxic lung injury[J]. Respir Res, 2004, 5(1): 11-12. |
| [14] | Su CF, Yang FL, Chen HI,et al. Inducible nitric oxide synthase contributes to ventilator-induced lung injury[J]. Am J Respir Crit Care Med, 2005, 172(4): 470-479. |
| [15] | Ning J, Mo L, Zhao H, et al. Sodium Hydrosulphide alleviates remote lung injury following limb traumatic injury in rats[J]. PLoS One, 2013, 8(3): 591-600. |
| [16] | 张向峰, 梁瑛, Foda D,等.致小鼠急性肺损伤时一氧化氮合成酶的表达[J]. 中华急诊医学杂志, 2004, 13(6): 365-367. |
2015, Vol. 24


