10080 广州,中山大学附属第三医院肾内科(熊海霞);
10080 广州,杭州师范大学附属医院急诊科(夏金明)
心脏骤停后综合征(post-cardiac arrest syndrome,PCAS)是心肺复苏患者自主循环恢复后出现的多器官功能障碍综合征,病死率高、预后差,主要原因是心脏骤停后脑组织持续性损伤[1, 2]。心脏骤停心肺复苏的本质是全身缺血-再灌注损伤,脑组织对缺氧最敏感,因而最易损伤。心脏骤停后脑损伤虽然由缺血缺氧直接引起,其损伤机制包括兴奋性中毒、钙离子平衡失调、自由基损伤和细胞死亡信号通路活化[3] 。但是心脏骤停后脑缺血导致的间接损伤未引起足够重视。近来研究表明,脑缺血或出血时凝血酶可通过受体及非受体介导途径导致脑损伤,其重要途径之一是通过蛋白酶激活受体-1(protease- activated receptor 1,PAR-1)活化加重神经元损伤,其损伤与N-甲基-D-天冬氨酸受体(NMDA受体)有关。PAR-1激活可上调NMDA受体介导的兴奋性氨基酸毒性,从而导致细胞凋亡[4]。此外,凝血酶活化PAR-1,引起脑组织炎症反应,亦是脑损伤的重要原因。因此,阻断凝血酶激活PAR-1应该是防治脑损伤的有效途径。本研究应用兔心脏骤停后综合征模型,探索应用蛋白酶激活受体-1的特异性阻断剂对心肺复苏后脑损伤的影响。
1 材料与方法 1.1 实验动物与模型建立本动物实验得到湖北医药学院动物实验伦理委员会的批准。日本大耳白兔30只(湖北省实验动物研究中心提供)6月龄,雄性,体质量(2.43±0.23)kg,随机(随机数字法)分为假手术组、心脏骤停后综合征(PCAS)组、PAR-1阻断剂组,每组10只。兔心脏骤停复苏后综合征(PCAS)制备方法依据文献[5]方法进行,简述如下。兔速眠新0.24 mL/kg麻醉后固定,用24号留置针穿刺股动脉,连接ZOLL全功能除颤监护起搏仪,进行心电监护。逆行气管插管,固定气管导管。心率、呼吸、血压稳定5 min后(以此作为实验计时点,即0时),采集动物血液,-80 ℃储藏供检测用。除假手术组外,其余各组耳缘静脉静注司可林1 mg/kg,1 min后夹闭气管导管至心搏骤停。心搏停止的标准: 动脉血压失去波动呈一条直线或平均动脉压<18 mmHg作为心搏骤停的判断标准(1 mmHg=0.133 kPa)。
心搏停止5 min后进行心肺复苏,呼吸机辅助呼吸 ,同时胸外心脏按压,频率180~220次/min;静注肾上腺素0.25 mg /kg,每3 min一次;5%的碳酸氢钠2 mL/kg,每30 min一次,共4次;陆醒灵0.24 mL/kg,肌注。复苏成功的标准:心肺复苏持续10 min,动物恢复自主循环(ROSC)持续10 min以上为复苏成功,否则为复苏失败。复苏成功动物脱机拔管,保持气道通畅。
1.2 动物处理PAR-1阻断剂组于复苏成功后15 min,以PAR-1阻断剂耳缘静脉注射SCH79797 (25 μg/kg i.v.,Santa Cruz 公司,美国),每日1次,共3次。假手术组、PCAS组分别以等量生理盐水静脉注射。分别在72 h处死兔,摘除脑海马组织,迅速置-80 ℃备用。
1.3 酶联免疫吸附试验(ELISA)法检测血清NSE含量兔于心搏骤停前及复苏后24、48、72 h不同时间点采取股静脉血,检测血清神经元特异性烯醇化酶(NSE)水平(试剂盒购自美国RD公司,操作按试剂盒说明书进行),以监测脑损伤情况。
1.4 病理观察取海马组织,制备石蜡切片,常规苏木精-伊红(HE)染色法染色,显微镜下观察。
1.5 原位末端标记法(TUNEL)分析脑细胞凋亡情况石蜡切片常规脱蜡至水,用蛋白酶K工作液孵育15 min,滴加破膜工作液10 min,洗涤,取TUNEL试剂盒内适量试剂1 (TdT) 和试剂2(dUTP)按1∶ 9混合,覆盖组织,37 ℃孵育60 min。切片洗涤3次,甩干后滴加DAPI染液,避光室温孵育10 min。洗涤后,用抗荧光淬灭封片剂封片,于尼康倒置荧光显微镜下观察并采集图像。同一视野下应用Image-Pro Plus 6.0软件对每张图像进行分析,凋亡的细胞(绿色荧光)占总细胞个数(蓝色荧光)比即为该视野组织细胞凋亡率。
1.6 Western blot分析海马组织caspase-3蛋白水平在72 h时点处死兔,摘除海马组织,常规方法提取蛋白、8%SDS-PAGE电泳、转膜和封闭。分别加入1∶ 500的一抗鼠抗兔caspase-3单克隆抗体和1∶ 1000的鼠抗兔β-肌动蛋白(actin,内参)单克隆抗体(均为Santa Cruz产品),4 ℃孵化过夜,用Western洗涤液洗涤3次。用1∶ 3000的二抗(辣根过氧化物酶标记山羊抗小鼠IgG)室温孵育30 min,用TBST洗涤。用增强的化学发光试剂盒进行显影、定影。曝光的X线片进行扫描,采用AlphaEase FC软件处理系统分析目标带的吸光度值。
1.7 统计学方法计量资料用均数±标准差(x±s)表示,采用SPSS 16.0统计软件处理数据。两组数据符合正态分布,三组间采用方差分析,多组间不同时间点测量资料采用重复测定方差分析。以P<0.05为差异具有统计学意义。
2 结果 2.1 心肺复苏情况心搏骤停5 min复苏成功18只,失败2只;复苏后24~72 h死亡2只。
2.2 PAR-1阻断剂对NSE的影响PAR-1阻断剂SCH79797显著降低NSE,与PCAS组比较差异有统计学意义(P<0.01或P<0.05),说明SCH79797能明显改善肝脑功能障碍(表 1)。
| 组别 | 0 | 24 h | 48 h | 72 h |
| Sham组 | 3.61±0.54 | 3.63±0.49 | 3.60±0.51 | 3.61±0.52 |
| PCAS组 | 3.58±0.69 | 12.58±2.13 a | 10.76±3.34 a | 7.98±1.15 a |
| PAR-1阻断剂组 | 3.59±0.65 | 9.33±3.16 b | 7.35±1.36 b | 5.16±0.72 b |
| 注:与sham组比较,aP< 0.01;与PCAS组比较,bP<0.05 | ||||
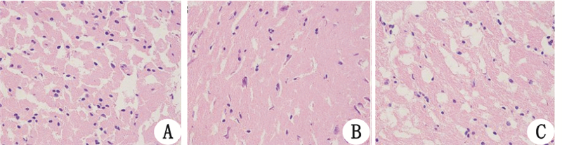
PCAS组均可见脑组织出现细胞肿胀,胞浆嗜酸性变,胞核碎裂、溶解、固缩,淋巴细胞和中性粒细胞浸润(图 1B)。PAR-1阻断剂组脑组织上述变化较轻(图 1C)。假手术组未见异常变化(图 1A)。
![]() |
| A:sham组;B:PCAS组;C:PAR-1阻断剂组 图 1 海马组织HE染色结果(×400) |
TUNEL分析结果表明,假手术组仅有极少量细胞凋亡,凋亡百分率为(2.40±0.84)%,而PCAS组神经元细胞凋亡则显著增多,凋亡百分率为(31.35±6.11)%,差异有统计学意义(P<0.01)。PAR-1阻断剂组神经元细胞凋亡较PCAS组明显减少,凋亡百分率为(8.58±3.20)%,差异有统计学意义(P<0.01),提示PAR-1阻断剂对心脏骤停后缺血-再灌注后的神经元凋亡具有抑制作用(图 2)。
![]() |
| A:sham组;B:PCAS组;C:PAR-1阻断剂组 图 2 脑海马细胞凋亡石蜡切片荧光TUNEL分析 (FITC×200) |
免疫印迹结果(图 3A)表明,心脏骤停后脑缺血casepase3前体(pro-casepase3)无明显改变,但导致caspase-3活性(cleaved casepase-3/actin)显著升高,假手术组caspase-3活性为(0.02±0.01),PCAS组caspase-3活性为(0.21±0.04)。与假手术组比较,PCAS组脑海马caspase-3活性增高,差异有统计学意义(P<0.01,图 3B)。PAR-1阻断剂组则显著降低至(0.04±0.02),caspase-3活性较PCAS组明显降低,差异有统计学意义(P<0.01,图 3B),表明PAR-1阻断剂对缺血引起的caspase-3活化及其活性升高具有抑制作用。
![]() |
| A:Western blot检测casepase 3 表达;B:cleaved casepase 3 水平的半定量分析;1:sham组;2:PCAS组;3:PAR-1阻断剂组; 与sham组比较,aP< 0.01;与PCAS组比较,bP< 0.01 图 3 兔脑海马组织casepase 3活性的变化 |
心脏骤停后的脑损害是死亡的常见原因,尤其是院前心脏骤停送医患者,高达68%最终死于脑损伤[6]。已经发现缺血后神经元出现细胞内Ca2+ 超载、自由基损伤、兴奋性氨基酸的过度释放引起神经元的过激反应[7],以及细胞死亡信号通路的激活[8],均参与脑损伤。近来研究表明,凝血酶亦是诱发脑损伤的重要因素,脑缺血或出血时凝血酶可通过多个途径导致脑损伤。心脏骤停后凝血系统常被激活,凝血酶活性升高[9, 10, 11],凝血酶主要通过激活PAR-1途径参与脑损伤的发生[12, 13, 14]。
蛋白酶激活受体(protease-activated receptors,PARs)属于G蛋白偶联受体超家族,现已知有4种PARs,分别为PAR-1、PAR-2、PAR-3和PAR-4,其中PAR-1、PAR-3和PAR-4由凝血酶激活。脑内神经元主要表达PAR-1,此外,星形胶质细胞和小胶质细胞也广泛表达PAR-1。有研究[4, 13] 发现,PAR-1激活可上调NMDA受体介导的兴奋性氨基酸毒性,从而导致神经元细胞凋亡。脑内小胶质细胞是潜在的炎性巨噬细胞,凝血酶可通过PAR-1激活小胶质细胞,表达和释放促炎因子,如TNF-α、IL-6和趋化因子,引起脑组织继发性炎症反应,导致继发性灌注不良或自由基生成,使脑细胞凋亡或坏死,导致脑组织损伤[15, 16] 。因此,通过抑制PAR-1通路理论上可减轻心脏骤停后凝血酶激活PAR-1引起的神经元损伤。
本研究利用PAR-1阻断剂SCH79797干预兔 PCAS模型,结果发现SCH79797能明显降低PCAS兔血清神经元特异性烯醇化酶(NSE),而NSE是反映神经元早期损伤特异的指标。海马组织HE染色分析表明,PCAS发生72 h脑组织仍然出现细胞肿胀,胞浆嗜酸性变,胞核碎裂、溶解,炎性细胞浸润,而PAR-1阻断剂组脑细胞变性、坏死及炎性细胞浸润明显减轻。由此可见,PAR-1阻断剂SCH79797能明显减轻心肺复苏后神经元损伤。
本研究发现,心脏骤停心肺复苏后72 h脑海马细胞存在较高的凋亡率,说明心脏骤停心肺复苏后脑损伤持续存在较长时间,其发生机制可能与缺血-再灌注损伤密切相关。关于缺血-再灌注损伤的发生机制,主要包括无复流现象、钙超载、白细胞的浸润、能量代谢障碍及自由基损伤。应用PAR-1阻断剂SCH79797治疗后,则可见脑细胞凋亡减少。免疫印迹分析发现,凋亡相关效应蛋白cleaved-casepase3在假手术组活性较低,而在 PCAS组则cleaved-casepase3活性增强,说明心脏骤停全脑缺血后凋亡相关蛋白被异常激活,这与国外Namura等[17]的研究结果一致。应用PAR-1阻断剂SCH79797治疗后,cleaved-casepase3表达显著低于PCAS组,进一步确认应用PAR-1阻断剂SCH79797可抑制心肺复苏后脑细胞凋亡。至于PAR-1激活引起脑损伤的信号机制,研究表明可能与活化有丝分裂原激活的蛋白激酶(mitogen-activated protein kinases,MAPK)信号通路有关[12]。
总之,本研究发现PAR-1阻断剂SCH79797可减轻心肺复苏后脑组织炎症反应,并降低脑细胞凋亡,减轻心脏骤停后脑缺血缺氧引起的神经元损伤,发挥神经保护作用。值得提出的是,凝血酶作用的信号通路有多条,包括受体途径和非受体途径,SCH79797只能阻断PAR-1受体途径发挥拮抗作用,因此SCH79797作用有其局限性。至于SCH79797阻断PAR-1后,神经元细胞内信号通路如何发生变化则是进一步探索的方向。
| [1] | Cart BG,Kahn JM,Merchant RM,et a1.Inter-hospital variability in post-cardiac arrest mortality[J].Resuscitation,2009,80(1):30-34. |
| [2] | Snyder-Ramos SA,Bottiger BW. Molecular markers of brain damage--clinical and ethical implications with particular focus on cardiac arrest[J].Restor Neurol Neurosci, 2003,21(3/4):123-139. |
| [3] | Nishizawa Y. Glutamate release and neuronal damage in ischemia[J] . Life Sci,2001,69(4):369-381. |
| [4] | Han KS, Mannaioni G, Hamill CE,et al.Activation of protease activated receptor 1 increases the exciability of the dentate granule neurons of hippocampus[J].Mol Brian,2011,4:32-43. |
| [5] | 肖敏,吕军,刘菊英,等.心脏骤停后综合征动物模型的建立[J].中国急救医学, 2010, 30 (6) : 532-536. |
| [6] | Laver S, Farrow C, Turner D, et al.Mode of death after admission to an intensive care unit following cardiac arrest[J] .Intensive Care Med, 2004,30(11):2126-2128. |
| [7] | Dohmen C, Kumura E, Rosner G,et al.Extracellular correlates of glutamate toxicity in short-term cerebral ischemia and reperfusion: a direct in vivo comparison between white and gray matter[J] .Brain Res,2005 ,1037(1/2):43-51. |
| [8] | Charriaut-Marlangue C, Margaill I, Represa A,et al.Apoptosis and necrosis after reversible focal ischemia: an in situ DNA fragmentation analysis[J]. J Cereb Blood Flow Metab,1996 ,16(2):186-194. |
| [9] | Bottiger BW, Motsch J, Bohrer H, et al. Activation of blood coagulation after cardiac arrest is not balanced adequately by activation of endogenous fibrinolysis[J]. Circulation,1995,92(9):2572-2578. |
| [10] | Gando S, Nanzaki S, Morimoto Y, et al.Tissue factor and tissue factor pathway inhibitor levels during and after cardiopulmonary resuscitation [J].Thrombosis Research,1999,96(2):107-113. |
| [11] | Johansson J, Ridefelt P, Basu S,et al.Antithrombin reduction after experimental cardiopulmonary resuscitation[J].Resuscitation,2003,59(2):235-242. |
| [12] | Wang J,Jin H,Hua Y,et al. Role of protease activated receptor-1 in brain injury after experimental global cerebral ischemia [J].Stroke,2012,43(9):2476-2482. |
| [13] | Hamill CE, Mannaioni G, Lyuboslavsky P,et al.Protease-activated receptor 1-dependent neuronal damage involves NMDA receptor function[J].Exp Neurol,2009,217(1):136-146. |
| [14] | 刘飞飞,柳夫义,王林,等.蛋白酶激活受体-1在凝血酶诱导大鼠脑损伤及神经再生中的作用[J].浙江大学学报(医学版),2013,42(3):283-290. |
| [15] | Mller T, Hanisch UK, Ransom BR.Thrombin-induced activation of cultured rodent microglia[J].J Neurochem,2000,75(4):1539-1547. |
| [16] | 刘郁,张海鹏.缺血缺氧性脑损伤病理机制[J].中华急诊医学杂志, 2003,12(7):496-497. |
| [17] | Namura S, Zhu J, Fink K, et al. Activation and cleavage of caspase-3 in apoptosis induced by experimental cerebral ischemia[J]. J Neurosci, 1998, 18(10): 3659-3668. |
2015, Vol. 24





