气肿性肝炎是一种极为罕见的致命性肝实质感染性疾病,核心特征为肝实质短期内出现气体,且无液化脓肿表现,其影像学特征与气肿性肾盂肾炎具有相似性。该病好发于糖尿病患者,部分病例合并消化系统癌症病史,自2001年首次报道以来,临床相关病例报道极少,目前国内仅报道1例并且治疗成功案例[1]。由于早期临床症状缺乏特异性,若未能及时识别并干预,病情可快速进展恶化,多数患者最终因败血症或多器官功能衰竭在短期内死亡,而CT检查是确诊该病的关键手段。目前,关于气肿性肝炎的发病机制、致病微生物谱及规范化治疗方案的相关研究数据仍较为匮乏,本文通过详细报道1例气肿性肝炎患者的临床资料,并结合现有相关文献进行系统复习,旨在进一步补充该病的临床特征、致病因素及治疗经验,为临床医生提高对气肿性肝炎的识别能力、完善诊疗思路、优化干预策略提供宝贵的参考依据,进而降低该病的漏诊率与死亡率。
1 病例资料患者,男性,61岁,1 d前(2020-10-9 10点左右)因“无明显诱因出现持续性腹痛”,至外院急诊就诊,腹部CT提示无明显急诊征象(图 1)。实验室检查:白细胞7.25×109/L,中性粒细胞比率75.5%,淋巴细胞比率19.3%,生化提示天门冬氨酸氨基转移酶108 U/L,淀粉酶103 U/L,肌酐73 µmol/L,C-反应蛋白2.4 mg/L,给予解痉、消炎、止痛等对症治疗后出现呕吐、畏寒发热,体温最高超39℃,降温后回家,仍有腹痛、呼吸急促,自行服用三九胃泰。
|
| 图 1 患者全腹部CT平扫未见明显急诊征象 |
|
|
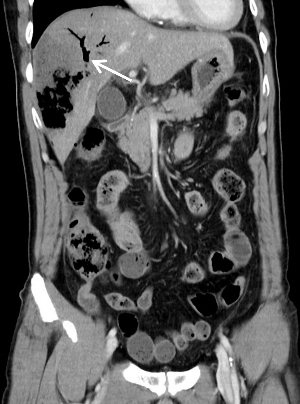
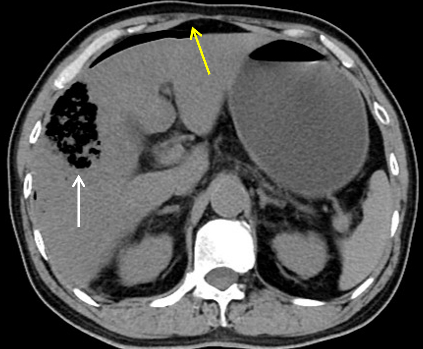
今晨零点左右上厕所后再发畏寒发热,家属发现其口唇发紫、呼吸急促,遂来本院急诊。腹部CT平扫提示肝内积气(图 2)。收住急诊抢救室,急查腹部增强CT,考虑肝脓肿致肝脏破裂(图 3)。
|
| 图 2 患者全腹部CT平扫示肝V段见团片状气体密度影(白色箭头所指处),腹腔可见大量游离气体(黄色箭头所指处) |
|
|
|
| 图 3 患者冠状位增强CT提示肝内胆管积气(箭头所指处) |
|
|
图 2患者全腹部CT平扫示肝V段见团片状气体密度影(白色箭头所指处),腹腔可见大量游离气体(黄色箭头所指处)。
实验室检查:白细胞计数21.5×109/L、中性粒细胞百分比91.1%;血淀粉酶2 400 U/L;降钙素原250.00 ng/mL;白介素6:150 000.00 pg/mL;心肌酶谱提示:氨基端B型利钠肽原7 651 pg/mL、肌钙蛋白-I 0.106 ng/mL、肌酸激酶4 850 U/L、乳酸脱氢酶7 600 U/L、钾4.89 mmol/L、肌酐272 μmol/L、C-反应蛋白90.5 mg/L;生化提示:丙氨酸氨基转移酶1 060 U/L、天门冬氨酸氨基转移酶2 260 U/L、肌酐296 μmol/L、球蛋白51.4 g/L、白蛋白18.1 g/L、总胆红素488.2 μmol/L、结合胆红素17.4 μmol/L、非结合胆红素470.8 μmol/L、肝素结合蛋白300.00 ng/mL;血气+电解质:全血乳酸11.10 mmol/L、二氧化碳分压21.8 mmHg(1 mmHg=0.133 kPa)、全血碱剩余-17.2 mmol/L、实际碳酸氢根浓度8.8 mmol/L、血液酸碱度7.230、阴离子隙21.7 mmol/L;凝血谱:血浆纤维蛋白原1.83 g/L、D-二聚体 > 20 000 μg/L(FEU)、国际标准化比率2.47、部分凝血活酶时间68.7 s、凝血酶原时间26.9 s。引流液涂片提示:肺克雷伯杆菌、产气夹膜梭菌。临床诊断为“肝脓肿、急性腹膜炎”,予抗感染、纠酸等处理。
患者随后出现呼吸困难、血氧饱和度下降,血气分析提示:血液酸碱度为6.97,血红蛋白持续下降,最低值为23 g/L,凝血谱(血浆):国际标准化比率4.11、部分凝血活酶时间112.0 s,行气管插管后转入ICU。入院后患者全身皮肤及巩膜可见黄染, 大腿外侧可见花斑, 四肢末梢偏冷。导尿管内可见酱油色液体。腹部无膨隆, 触诊硬, 腹肌紧张。提示出现严重溶血,采取多种治疗措施,包括快速补液、抗休克、抗感染、护肝降胆红素、连续性肾脏替代治疗维持内环境、血浆置换、外周临时静滴碳酸氢钠纠酸,输注红细胞等。但患者病情无改善,内环境及循环持续恶化,虽经积极抢救,于入院后第2天出现心搏骤停,心肺复苏30 min无效,宣布临床死亡。患者2年前在本院内镜下行肠息肉摘除术,术后痊愈。既往反复腹泻病史,间断服用止泻药。无糖尿病史。
2 讨论气肿性肝炎是一种由产气杆菌引起的罕见且危重的肝脏感染性疾病,其特征为肝脏短期内出现局部充气样改变[2]。该病病程进展迅速,若患者未能得到及时救治,死亡率极高[1-2]。自2002年Blachar医生首次报道气肿性肝炎以来[3],全球仅报道了18例,其中仅5例成功治愈,因此,气肿性肝炎的诊断、治疗与临床管理经验显得尤为重要。本病例报告提供了一个全面的描述气肿性肝炎的疾病演变过程,包括其完整的临床、放射学表现以及治疗方案,旨在为该领域提供全面参考。
本文回顾2024年以前文献报道的18例患者,发病年龄在38~82岁之间,男性9例,女性8例。18例患者中只有5例存活[1-2, 4-6],大部分患者在入院1~3 d内死亡[7-9]。
由于疾病的发病率非常低,其发病机制目前尚不清楚,部分学者认为与糖尿病具有高度相关性[1-2, 4-5, 10],也有部分学者认为与腹部手术相关[7-9, 11-12],本病例既往有肠息肉摘除术及反复腹泻病史,笔者认为此例患者反复腹泻导致厌氧菌存在是疾病的重要导火索。
据报道,与气肿性肝炎相关的病原体有肺炎克雷伯菌、产气荚膜梭菌、大肠杆菌、阴沟肠杆菌、变形链球菌、粪肠球菌和屎肠球菌,其中最常见的是产气荚膜梭菌[3, 6, 8, 11-14]和肺炎克雷伯菌[1-2, 4, 7, 11, 15-16],部分患者存在两种或两种以上细菌感染[3, 8-9, 11]。在本病例中,检测到肺炎克雷伯杆菌、产气夹膜梭菌。
气肿性肝炎的病理生理学机制是由于细菌感染导致组织坏死,进而引发混合性酸发酵[17]。最终产生的气体成分包括氮气、氢气、二氧化碳以及氧气;同时,这些由坏死组织分解代谢产生的气体产物,其转运过程受到了阻碍,最终导致疾病的发生。在厌氧条件下,发酵菌产生大量α毒素,它抑制中性粒细胞的成熟和迁移,促进氧自由基的释放,引起血管收缩效应和血小板聚集,导致继发性坏死的形成[18]。此外,穿孔溶素O与α毒素协同作用[19],通过形成孔隙,靶向红细胞并促进弥散性血管内凝血的发生,从而加速了临床症状的迅速进展。
气肿性肝炎的最初临床表现通常不明显,大部分以腹痛及发热为主,然而疾病进展非常迅速,全腹部CT检查对于气肿性肝炎的诊断具有高度敏感度[1],能够精准显示病灶及观察疾病的进展。早期CT提示肝脏局部出现充气样改变,进展期会伴有腹腔大量游离气体,提示肝脏破裂,此时应高度警惕此病。气肿性肝炎与肝脓肿影像诊断具有相似性,但是前者是肝实质被大量气体取代,不伴有液体及脓液,因此增强CT检查见不到明显环形强化灶。此外,实验室检查对于观察疾病的进展也具有举足轻重的作用。经皮导管引流、早期手术切除并长期使用抗生素是治疗疾病的关键[4-5, 20]。因此,早期快速做出诊断并且争分夺秒采取治疗措施是治疗疾病的关键。
利益冲突 所有作者声明无利益冲突
| [1] | Pan NN, Wang S, Miao ZW. Emphysematous hepatitis with successful treatments: a rare case report[J]. Medicine, 2023, 102(4): e32530. DOI:10.1097/MD.0000000000032530 |
| [2] | Porez D, Kallel H, Dobian S, et al. Diagnostic and management of emphysematous hepatitis with emphasis on biopathology[J]. Microorganisms, 2023, 11(9): 2137. DOI:10.3390/microorganisms11092137 |
| [3] | Hadem J, Westerkamp V, Trautwein C, et al. Hepatic gas gangrene following liver transplantation[J]. Liver Transpl, 2007, 13(3): 468-469. DOI:10.1002/lt.21032 |
| [4] | Francois S, Aerts M, Reynaert H, et al. Step-up approach in emphysematous hepatitis: a case report[J]. World J Hepatol, 2022, 14(2): 464-470. DOI:10.4254/wjh.v14.i2.464 |
| [5] | Ghosn Y, Abdallah A, Hussein Kamareddine M, et al. Gas-forming liver abscess versus emphysematous hepatitis: a radiologic diagnostic dilemma-a case report and review of the literature[J]. Case Reports Hepatol, 2019, 2019: 5274525. DOI:10.1155/2019/5274525 |
| [6] | Ukikusa M, Inomoto T, Kitai T, et al. Pneumoperitoneum following the spontaneous rupture of a gas-containing pyogenic liver abscess: report of a case[J]. Surg Today, 2001, 31(1): 76-79. DOI:10.1007/s005950170226 |
| [7] | Blachar A, Federle MP, Brancatelli G. Acute fulminant hepatic infection causing fatal "emphysematous hepatitis": case report[J]. Abdom Imag, 2002, 27(2): 188-190. DOI:10.1007/s00261-001-0067-y |
| [8] | Ho K, Sik J, Hoo J, et al. A case of emphysematous hepatitis with spontaneous pneumoperitoneum in a patient with hilar cholangiocarcinoma[J]. Korean J Hepatol, 2012, 18(1): 94-97. DOI:10.3350/kjhep.2012.18.1.94 |
| [9] | Nada KM, El Husseini I, Abu Hishmeh ME, et al. A rare case of septic shock secondary to emphysematous hepatitis[J]. Case Rep Crit Care, 2017, 2017: 3020845. DOI:10.1155/2017/3020845 |
| [10] | Chauhan U, Prabhu SM, Shetty GS, et al. Emphysematous hepatitis: a fatal infection in diabetic patients: case report[J]. Clin Res Hepatol Gastroenterol, 2012, 36(6): e114-6. DOI:10.1016/j.clinre.2012.05.018 |
| [11] | Azri A, Pichon J, Fartoukh M, et al. Fatal emphysematous hepatitis with spontaneous pneumoperitoneum[J]. Liver Int, 2020, 40(5): 1224. DOI:10.1111/liv.14450 |
| [12] | Létourneau-Guillon L, Audet P, Plasse M, et al. Answer to case of the month #162: emphysematous infection of the liver parenchyma[J]. Can Assoc Radiol J, 2010, 61(2): 117-119. DOI:10.1016/j.carj.2009.10.003 |
| [13] | Calderon H, Serfin J. 13-Hour progression of emphysematous hepatitis as depicted on repeat computerized tomography[J]. J Surg Case Rep, 2020, 2020(4): rjaa089. DOI:10.1093/jscr/rjaa089 |
| [14] | Kurasawa M, Nishikido T, Koike J, et al. Gas-forming liver abscess associated with rapid hemolysis in a diabetic patient[J]. World J Diabetes, 2014, 5(2): 224-229. DOI:10.4239/wjd.v5.i2.224 |
| [15] | Bofill A, Marco F. Emphysematous hepatitis[J]. N Engl J Med, 2021, 385(17): e58. DOI:10.1056/NEJMicm2108779 |
| [16] | Lin YS, Wang WS, Chen M. Emphysematous changes of the liver[J]. Gastroenterology, 2012, 142(2): 213-414. DOI:10.1053/j.gastro.2011.04.064 |
| [17] | Miranda G, Dionísio AC, Azevedo C, et al. Fulminant emphysematous hepatitis - a rare cause of septic shock[J]. Eur J Case Rep Intern Med, 2020, 7(5): 001539. DOI:10.12890/2020_001539 |
| [18] | Takehara M, Takagishi T, Seike S, et al. Clostridium perfringens α-toxin impairs innate immunity via inhibition of neutrophil differentiation[J]. Sci Rep, 2016, 6: 28192. DOI:10.1038/srep28192 |
| [19] | Awad MM, Ellemor DM, Boyd RL, et al. Synergistic effects of alpha-toxin and perfringolysin O in Clostridium perfringens-mediated gas gangrene[J]. Infect Immun, 2001, 69(12): 7904-7910. DOI:10.1128/IAI.69.12.7904-7910.2001 |
| [20] | Estébanez-Ferrero B, Fuentes-Porcel O, Lorenzo-Liñán MÁ, et al. Emphysematous hepatitis: a very rare entity with a poor prognosis[J]. Rev Esp Enferm Dig, 2021, 113(8): 612-614. DOI:10.17235/reed.2021.7795/2021 |
2026, Vol. 35



